Effects of Different Levels of Antarctic Krill Oil on the Ovarian Development of Macrobrachium rosenbergii
Simple Summary
Abstract
1. Introduction
2. Materials and Methods
2.1. Ethics Statement
2.2. Diet and Prawn Management
2.3. Sample Collection
2.4. Histological Analysis of Ovaries
2.5. Measurements of Reproductive Hormones and Vitellogenin Concentrations in Hemolymph
2.6. Determination of Methyl MF Content in Hemolymph
2.7. Quantitative Real-Time PCR
2.8. Statistical Analysis
3. Results
3.1. Effects of Antarctic Krill Oil on the Growth Performance of M. rosenbergii
3.2. Effects of Antarctic Krill Oil on the Hepatopancreas Index and Ovary Index of M. rosenbergii
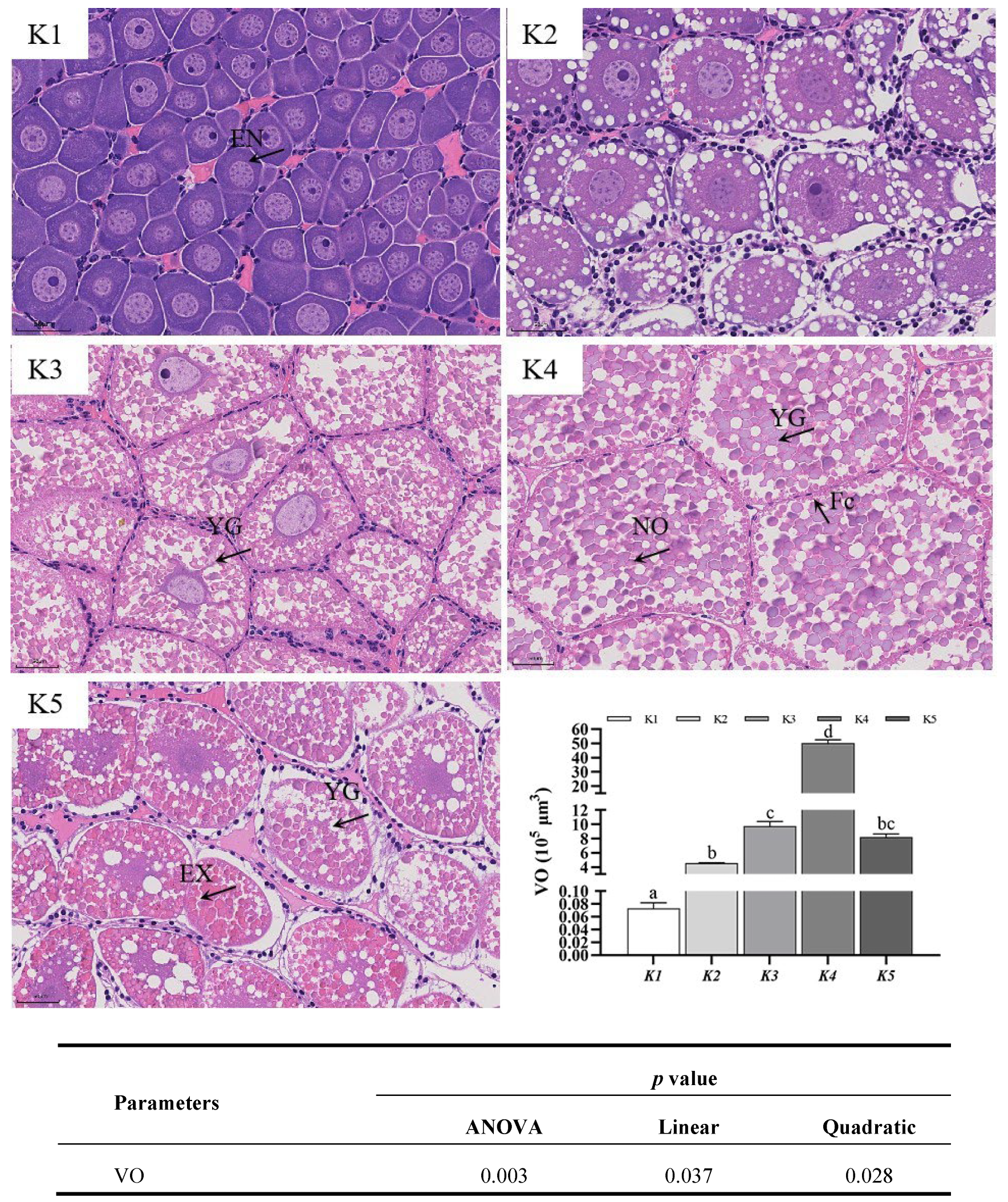
3.3. Effects of Antarctic Krill Oil on the Ovarian Histomorphology and Oocyte Parameters of M. rosenbergii
3.4. Effects of Antarctic Krill Oil on the Reproductive Hormone Secretion Level of M. rosenbergii
3.5. Effects of Antarctic Krill Oil on the Expression of Vitellogenin, Vitellogenin Receptor Gene, and Maturation Promoting Factor in M. rosenbergii
3.6. Effects of Antarctic Krill Oil on Ovarian Development-Related Genes in M. rosenbergii
4. Discussion
5. Conclusions
Author Contributions
Funding
Institutional Review Board Statement
Informed Consent Statement
Data Availability Statement
Conflicts of Interest
References
- FAO. Top 10 Species Groups in Global, Regional and National Aquaculture 2022. 2024. Available online: https://openknowledge.fao.org/handle/20.500.14283/cd1148en (accessed on 12 November 2024).
- FAO. FIGIS List of Species for Fishery Global Production Statistics. 2022. Available online: https://www.fao.org/statistics/data-collection/general/en (accessed on 12 November 2024).
- Du, T.T.; Qi, H.Y.; Lin, K.; Peng, X.; Gao, Q.X.; Yang, G.L.; Yi, S.K.; Tang, Q.Y. Comprehensive Evaluation of Germplasm Resources of Nine Macrobrachium rosenbergii Strains in China. Aquacult. Rep. 2023, 33, 101755. [Google Scholar] [CrossRef]
- Li, M.; Zhang, X.; Jiao, L.F.; Wang, J.L.; He, Y.; Li, S.Q.; Jin, M.; Zhang, L.; Zhou, Q.C. Dietary Protein Regulates Ovarian Development through TOR Pathway Mediated Protein Metabolism in Female Litopenaeus vannamei. Aquacult. Rep. 2023, 33, 101781. [Google Scholar] [CrossRef]
- Hou, S.Q.; Zhu, S.C.; Li, J.H.; Huang, J.; Li, J.Y.; Cheng, Y.X. Effects of Dietary Phospholipid and Cholesterol Levels on Growth, Molting Performance, and Ovary Development in Female Juvenile Crayfish (Procambarus clarkii). Aquacult. Nutr. 2022, 2022, 4033033. [Google Scholar] [CrossRef]
- Pangantihon-Kühlmann, M.P.; Millamena, O.; Chern, Y. Effect of Dietary Astaxanthin and Vitamin A on the Reproductive Performance of Penaeus monodon Broodstock. Aquat. Living Resour. 1998, 11, 403–409. [Google Scholar] [CrossRef]
- Teng, X.N.; Wang, S.C.; Zeb, L.; Dong, Y.S.; Xiu, Z.L. Two-Step Enzymolysis of Antarctic Krill for Simultaneous Preparation of Value-Added Oil and Enzymolysate. Mar. Drugs 2023, 21, 47. [Google Scholar] [CrossRef]
- Yamaguchi, K.; Murakami, M.; Nakano, H.; Konosu, S.; Kokura, T.; Yamamoto, H.; Kosaka, M.; Hata, K. Supercritical Carbon Dioxide Extraction of Oils from Antarctic Krill. J. Agric. Food Chem. 1986, 34, 904–907. [Google Scholar] [CrossRef]
- Xie, D.; Gong, M.Y.; Wei, W.; Jin, J.; Wang, X.S.; Wang, X.G.; Jin, Q.Z. Antarctic Krill (Euphausia superba) Oil: A Comprehensive Review of Chemical Composition, Extraction Technologies, Health Benefits, and Current Applications. Compr. Rev. Food Sci. Food Saf. 2019, 18, 514–534. [Google Scholar] [CrossRef]
- Xie, D.; Jin, J.; Sun, J.; Liang, L.; Wang, X.S.; Zhang, W.; Wang, X.G.; Jin, Q.Z. Comparison of Solvents for Extraction of Krill Oil from Krill Meal: Lipid Yield, Phospholipids Content, Fatty Acids Composition and Minor Components. Food Chem. 2017, 233, 434–441. [Google Scholar] [CrossRef]
- Xie, D.; Mu, H.Y.; Tang, T.P.; Wang, X.S.; Wei, W.; Jin, J.; Wang, X.G.; Jin, Q.Z. Production of Three Types of Krill Oils from Krill Meal by a Three-Step Solvent Extraction Procedure. Food Chem. 2018, 248, 279–286. [Google Scholar] [CrossRef]
- Wang, L.L.; Yang, F.; Rong, Y.L.; Yuan, Y.; Ding, Y.T.; Shi, W.Z.; Wang, Z.H. Effects of Different Proteases Enzymatic Extraction on the Lipid Yield and Quality of Antarctic Krill Oil. Food Sci. Nutr. 2019, 7, 2224–2230. [Google Scholar] [CrossRef]
- Wouters, R.; Lavens, P.; Nieto, J.; Sorgeloos, P. Penaeid Shrimp Broodstock Nutrition: An Updated Review on Research and Development. Aquaculture 2001, 202, 1–21. [Google Scholar] [CrossRef]
- Lin, Z.D.; Han, F.L.; Lu, J.T.; Guo, J.L.; Qi, C.L.; Wang, C.L.; Xiao, S.S.; Bu, X.Y.; Wang, X.D.; Qin, J.G.; et al. Influence of Dietary Phospholipid on Growth Performance, Body Composition, Antioxidant Capacity and Lipid Metabolism of Chinese Mitten Crab, Eriocheir sinensis. Aquaculture 2020, 516, 734653. [Google Scholar] [CrossRef]
- Khan, R.; Jiang, X.H.; Hameed, U.; Shi, Q.H. Role of Lipid Metabolism and Signaling in Mammalian Oocyte Maturation, Quality, and Acquisition of Competence. Front. Cell Dev. Biol. 2021, 9, 639704. [Google Scholar] [CrossRef] [PubMed]
- Wiernicki, B.; Dubois, H.; Tyurina, Y.Y.; Hassannia, B.; Bayir, H.; Kagan, V.E.; Vandenabeele, P.; Wullaert, A.; Vanden Berghe, T. Excessive Phospholipid Peroxidation Distinguishes Ferroptosis from Other Cell Death Modes Including Pyroptosis. Cell Death Dis. 2020, 11, 922. [Google Scholar] [CrossRef] [PubMed]
- Torsabo, D.; Iber, B.T.; Idris, N.; Okomoda, V.T.; Koh, I.C.C.; Abduh, M.Y.; Noordin, N.M.; Abol-Munafi, A.B. Phospholipid-Supplemented Diet Impacts on Growth, Blood Metrics, Reproductive Indices, and Fatty Acid Profiles of Pangasianodon hypopthalmus. Aquacult. Rep. 2023, 33, 101802. [Google Scholar] [CrossRef]
- Meeratana, P.; Sobhon, P. Classification of Differentiating Oocytes during Ovarian Cycle in the Giant Freshwater Prawn, Macrobrachium rosenbergii de Man. Aquaculture 2007, 270, 249–258. [Google Scholar] [CrossRef]
- Laufer, H.; Borst, D.; Baker, F.C.; CARRAsco, C.; Sinkus, M.; REuTER, C.C.; TsAI, L.W.; Schooley, D.A. Identification of a Juvenile Hormone-Like Compound in a Crustacean. Science 1987, 235, 202–205. [Google Scholar] [CrossRef]
- Nagaraju, G.P.C.; Reddy, P.R.; Reddy, P.S. In Vitro Methyl Farnesoate Secretion by Mandibular Organs Isolated from Different Molt and Reproductive Stages of the Crab Oziotelphusa senex senex. Fish. Sci. 2006, 72, 410–414. [Google Scholar] [CrossRef]
- Okumura, T.; Sakiyama, K. Hemolymph Levels of Vertebrate-Type Steroid Hormones in Female Kuruma Prawn Marsupenaeus Japonicus (Crustacea: Decapoda: Penaeidae) during Natural Reproductive Cycle and Induced Ovarian Development by Eyestalk Ablation. Fish. Sci. 2004, 70, 372–380. [Google Scholar] [CrossRef]
- Warrier, S.R.; Tirumalai, R.; Subramoniam, T. Occurrence of Vertebrate Steroids, Estradiol 17β and Progesterone in the Reproducing Females of the Mud Crab Scylla serrata. Comp. Biochem. Phys. A 2001, 130, 283–294. [Google Scholar] [CrossRef]
- Simões, L.A.R.; Normann, R.S.; Chung, J.S.; Vinagre, A.S. A Brief and Updated Introduction to the Neuroendocrine System of Crustaceans. Mol. Cell. Endocrinol. 2024, 590, 112265. [Google Scholar] [CrossRef] [PubMed]
- Kluebsoongnoen, J.; Saensuwanna, A.; Jozghorban, M.; Ho, T.; Szolajska, E.; Sarnowski, T.J.; Udomkit, A. A Possible Role of the Ecdysone Receptor in Modulating Gonad-Inhibiting Hormone Gene Expression in the Black Tiger Prawn, Penaeus monodon. Aquaculture 2023, 569, 739393. [Google Scholar] [CrossRef]
- Summavielle, T.; Monteiro, P.R.R.; Reis-Henriques, M.A.; Coimbra, J. In Vitro Metabolism of Steroid Hormones by Ovary and Hepatopancreas of the Crustacean Penaeid Shrimp Marsupenaeus japonicus. Sci. Mar. 2003, 67, 299–306. [Google Scholar] [CrossRef]
- Liang, X.L.; Luo, X.L.; Lin, H.X.; Han, F.L.; Qin, J.G.; Chen, L.Q.; Xu, C.; Li, E.C. Effects and Mechanism of Different Phospholipid Diets on Ovary Development in Female Broodstock Pacific White Shrimp, Litopenaeus vannamei. Front. Nutr. 2022, 9, 830934. [Google Scholar] [CrossRef]
- Liang, X.L.; Xu, C.; Wang, P.; Chang, T.; Xiao, X.M.; Li, T.; Han, F.L.; Li, E.C. Effect of Dietary Krill Oil Levels on the Regulation of Ovary Development in Pacific White Shrimp (Litopenaeus vannamei) Broodstock. Aquaculture 2024, 589, 740968. [Google Scholar] [CrossRef]
- Xu, C.; Yang, X.L.; Liang, Z.Y.; Jiang, Z.Z.; Chen, H.; Han, F.L.; Jia, Y.Y.; Li, E.C. Evaluation of the Role of Soybean Lecithin, Egg Yolk Lecithin, and Krill Oil in Promoting Ovarian Development in the Female Redclaw Crayfish Cherax quadricarinatus. Aquacult. Nutr. 2023, 2023, 6925320. [Google Scholar] [CrossRef]
- Wu, N.; Zhang, Y.; Li, H.Y.; Zhang, G.F.; Liu, Q.; Wei, H. Endocrine Disruption Effects of 4-Nonylphenol and Estradiol on Vitellogenin Gene Expression in vivo in Macrobrachium rosenbergii. Chin. J. Zool. 2007, 42, 1–7. [Google Scholar] [CrossRef]
- Chen, L.L. The Metabolism of Nonylphenol in Macrobrachium rosenbergii and Effects of Nonylphenol on Gonad Development Related Genes of Macrobrachium rosenbergii. Master’s Thesis, Guangdong Ocean University, Zhanjiang, China, 2015. [Google Scholar]
- Ding, L.; Yu, J.Y.; Peng, X.; Yang, G.L.; Du, T.T.; Tang, Q.Y.; Yi, S.K. Changes in Molting Frequency and Expression Patterns of Molting-Related Genes in Macrobrachium Rosenbergii with Exogenous Calcium Supplement in Water. Aquaculture 2024, 586, 740761. [Google Scholar] [CrossRef]
- Qian, Z.Y.; Liu, X.L. Elucidation of the Role of Farnesoic Acid O-Methyltransferase (FAMeT) in the Giant Freshwater Prawn, Macrobrachium rosenbergii: Possible Functional Correlation with Ecdysteroid Signaling. Comp. Biochem. Physiol. Part A Mol. Integr. Physiol. 2019, 232, 1–12. [Google Scholar] [CrossRef]
- Thongbuakaew, T.; Siangcham, T.; Suwansa-ard, S.; Elizur, A.; Cummins, S.F.; Sobhon, P.; Sretarugsa, P. Steroids and Genes Related to Steroid Biosynthesis in the Female Giant Freshwater Prawn, Macrobrachium rosenbergii. Steroids 2016, 107, 149–160. [Google Scholar] [CrossRef]
- Li, Y.Y.; Cai, S.L.; Liu, H. Quantitative analysis of vitellogenin mRNA expression in Litopenaeus vannamei and Macrobrachium rosenbergii. J. Fish. China 2012, 36, 1667–1674. [Google Scholar] [CrossRef]
- Shahidi, F.; Abad, A. Why Is Antactic Krill (Euphasia superba) Oil on the Spotlight? A Review. Food Prod. Process. Nutr. 2024, 6, 88. [Google Scholar] [CrossRef]
- Duo, L.; Yang, J.Z.; Wang, X.; Zhang, G.; Zhao, J.X.; Zou, H.; Wang, Z.; Li, Y. Krill Oil: Nutraceutical Potential in Skin Health and Disease. Front. Nutr. 2024, 11, 1388155. [Google Scholar] [CrossRef] [PubMed]
- Sun, Q.W.; Mu, Q.Q.; Yan, Y.; Jiang, W.Q.; Lin, Y.; Qian, L.J.; Jiang, S.F.; Zhao, Y.F.; Zhou, Q.L.; Miao, L.H.; et al. Krill Oil Showed a Good Application Potential as the Dietary Lipid Source on the Growth, Physiology, Nutritional Quality, and Flavor of the Edible Meat of the Oriental River Prawns (Macrobrachium nipponense). Aquacult. Rep. 2023, 32, 101721. [Google Scholar] [CrossRef]
- Lv, H.Y.; Zhou, Y.; Shu, H.; Wang, W.L.; Huang, X.C. Effects of dietary different n-3/n-6 fatty acid ratio on the growth performance and antioxidant capacity of juvenile freshwater giant prawn (Macrobrachium rosenbergii). J. Fish. China 2023, 47, 099611. [Google Scholar] [CrossRef]
- Chen, G.Z.; Zhong, Z.X.; Yang, M.M.; Xing, Q.Q.; Xia, Z.L.; Tang, Q.Y.; Yi, S.L.; Cai, M.Y.; Yang, J.; Yang, G.L. Histological observation of gonad development during the first sexual maturity of Macrobrachium rosenbergii. Oceanol. Limnol. Sin. 2022, 53, 1208–1218. [Google Scholar] [CrossRef]
- Crisp, J.A.; D’Souza, F.M.L.; Tweedley, J.R.; Partridge, G.J.; Moheimani, N.R. Quantitative Determination of Ovarian Development in Penaeid Prawns (Decapoda: Penaeidae). J. Crustac. Biol. 2017, 37, 81–89. [Google Scholar] [CrossRef]
- Hismayasari, I.B.; Marhendra, A.P.W.; Rahayu, S.; Supriyadi, D.S. Gonadosomatic Index (GSI), Hepatosomatic Index (HSI) and Proportion of Oocytes Stadia as an Indicator of Rainbowfish Melanotaenia boesemani Spawning Season. Int. J. Fish. Aquat. Stud. 2015, 2, 359–362. [Google Scholar]
- Rodríguez-González, H.; Hernández-Llamas, A.; Villarreal, H.; Saucedo, P.E.; García-Ulloa, M.; Rodríguez-Jaramillo, C. Gonadal Development and Biochemical Composition of Female Crayfish Cherax quadricarinatus (Decapoda: Parastacidae) in Relation to the Gonadosomatic Index at First Maturation. Aquaculture 2006, 254, 637–645. [Google Scholar] [CrossRef]
- Roth, Z.; Khalaila, I. Identification and Characterization of the Vitellogenin Receptor in Macrobrachium rosenbergii and Its Expression during Vitellogenesis. Mol. Reprod. Dev. 2012, 79, 478–487. [Google Scholar] [CrossRef]
- Snigirevskaya, E.S.; Sappington, T.W.; Raikhel, A.S. Internalization and Recycling of Vitellogenin Receptor in the Mosquito Oocyte. Cell Tissue Res. 1997, 290, 175–183. [Google Scholar] [CrossRef] [PubMed]
- Zheng, X.C.; Zhang, L.; Jiang, W.B.; Abasubong, K.P.; Zhang, C.Y.; Zhang, D.D.; Li, X.F.; Jiang, G.Z.; Chi, C.; Liu, W.B. Effects of Dietary Icariin Supplementation on the Ovary Development-Related Transcriptome of Chinese Mitten Crab (Eriocheir sinensis). Comp. Biochem. Physiol. Part D Genom. Proteom. 2021, 37, 100756. [Google Scholar] [CrossRef] [PubMed]
- Kajiura, H.; Yamashita, M.; Katsu, Y.; Nagahama, Y. Isolation and Characterization of Goldfish Cdc2, a Catalytic Component of Maturation-Promoting Factor: (Oocyte Maturation/Cell Cycle/Molecular Cloning/Monoclonal Antibody/Gel Filtration). Dev. Growth Differ. 1993, 35, 647–654. [Google Scholar] [CrossRef] [PubMed]
- Tomy, S.; Saikrithi, P.; James, N.; Balasubramanian, C.P.; Panigrahi, A.; Otta, S.K.; Subramoniam, T.; Ponniah, A.G. Serotonin Induced Changes in the Expression of Ovarian Gene Network in the Indian White Shrimp, Penaeus indicus. Aquaculture 2016, 452, 239–246. [Google Scholar] [CrossRef]
- Phinyo, M.; Visudtiphole, V.; Roytrakul, S.; Phaonakrop, N.; Jarayabhand, P.; Klinbunga, S. Characterization and Expression of Cell Division Cycle 2 (Cdc2) mRNA and Protein during Ovarian Development of the Giant Tiger Shrimp Penaeus Monodon. Gen. Comp. Endocr. 2013, 193, 103–111. [Google Scholar] [CrossRef]
- Song, D.Y.; Shi, B.; Ding, L.Y.; Jin, M.; Sun, P.; Jiao, L.F.; Zhou, Q.C. Regulation of Dietary Phospholipids on Growth Performance, Antioxidant Activities, Phospholipid Metabolism and Vitellogenesis in Prereproductive Phase of Female Swimming Crabs, Portunus trituberculatus. Aquaculture 2019, 511, 734230. [Google Scholar] [CrossRef]
- Nowosad, J.; Kucharczyk, D.; Targońska, K. Enrichment of Zebrafish Danio rerio (Hamilton, 1822) Diet with Polyunsaturated Fatty Acids Improves Fecundity and Larvae Quality. Zebrafish 2017, 14, 364–370. [Google Scholar] [CrossRef]
- Ding, L.Y.; Jin, M.; Sun, P.; Lu, Y.; Ma, H.N.; Yuan, Y.; Fu, H.Y.; Zhou, Q.C. Cloning, Tissue Expression of the Fatty Acid-Binding Protein (Pt-FABP1) Gene, and Effects of Dietary Phospholipid Levels on Fabp and Vitellogenin Gene Expression in the Female Swimming Crab Portunus trituberculatus. Aquaculture 2017, 474, 57–65. [Google Scholar] [CrossRef]
- Khalid, M.Z.; Ahmad, S.; Ngegba, P.M.; Zhong, G. Role of Endocrine System in the Regulation of Female Insect Reproduction. Biology 2021, 10, 614. [Google Scholar] [CrossRef]
- Roy, S.; Saha, T.T.; Zou, Z.; Raikhel, A.S. Regulatory Pathways Controlling Female Insect Reproduction. Annu. Rev. Entomol. 2018, 63, 489–511. [Google Scholar] [CrossRef]
- Zhou, Y.X.; Wei, J.; Deng, G.; Hu, A.; Sun, P.Y.; Zhao, X.; Song, B.L.; Luo, J. Delivery of Low-Density Lipoprotein from Endocytic Carriers to Mitochondria Supports Steroidogenesis. Nat. Cell Biol. 2023, 25, 937–949. [Google Scholar] [CrossRef] [PubMed]
- Poirier, D. Inhibitors of 17β-Hydroxysteroid Dehydrogenases. Curr. Med. Chem. 2003, 10, 453–477. [Google Scholar] [CrossRef] [PubMed]
- Lu, Y.; Liu, M.M.; Gong, J.; Cheng, Y.X.; Wu, X.G. Effect of Exogenous Estrogen on the Ovarian Development and Gene Expression in the Female Swimming Crab Portunus Trituberculatus (Miers, 1876) (Decapoda: Brachyura: Portunidae). J. Crustac. Biol. 2018, 38, 367–373. [Google Scholar] [CrossRef]
- Jiang, Y.J.; Hu, Y.X.; Xu, W.; Tao, B.B.; Chen, J.; Luo, H.R.; Luo, D.J.; Han, D.; Xie, S.Q.; Zhu, X.M.; et al. Effects of Dietary Soybean Lecithin on Growth, Tissue Fatty Acid Composition, and Gonadal Development in the Hermaphroditic Rice Field Eel (Monopterus albus). Aquacult. Rep. 2024, 36, 102185. [Google Scholar] [CrossRef]
- Yang, X.L. Study on Nutritional Enhancement Effect of Dietary Phospholipid Supplement on Female Red Claw Crayfish, Cherax quadricarinatus. Master’s Thesis, Hainan University, Haikou, China, 2024. [Google Scholar]
- Belles, X.; Piulachs, M.D. Ecdysone Signalling and Ovarian Development in Insects: From Stem Cells to Ovarian Follicle Formation. Biochim. Biophys. Acta (BBA)-Gene Regul. Mech. 2015, 1849, 181–186. [Google Scholar] [CrossRef]
- Okumura, T.; Aida, K. Effects of Bilateral Eyestalk Ablation on Molting and Ovarian Development in the Giant Freshwater Prawn, Macrobrachium rosenbergii. Fish. Sci. 2001, 67, 1125–1135. [Google Scholar] [CrossRef]
- Fallon, A.M.; Hagedorn, H.H.; Wyatt, G.R.; Laufer, H. Activation of Vitellogenin Synthesis in the Mosquito Aedes Aegypti by Ecdysone. J. Insect. Physiol. 1974, 20, 1815–1823. [Google Scholar] [CrossRef]
- De Loof, A.; Wei, Z.; Huybrechts, R.; Gijbels, J.; Verhaert, P. The Ecdysoid RH5849 Induces Yolk Polypeptide Synthesis in Male Flies. Invertebr. Reprod. Dev. 1997, 31, 69–74. [Google Scholar] [CrossRef]
- Sumiya, E.; Ogino, Y.; Miyakawa, H.; Hiruta, C.; Toyota, K.; Miyagawa, S.; Iguchi, T. Roles of Ecdysteroids for Progression of Reproductive Cycle in the Fresh Water Crustacean Daphnia Magna. Front. Zool. 2014, 11, 60. [Google Scholar] [CrossRef]
- Iga, M.; Smagghe, G. Identification and Expression Profile of Halloween Genes Involved in Ecdysteroid Biosynthesis in Spodoptera Littoralis. Peptides 2010, 31, 456–467. [Google Scholar] [CrossRef]
- Yoshiyama, T.; Namiki, T.; Mita, K.; Kataoka, H.; Niwa, R. Neverland Is an Evolutionally Conserved Rieske-Domain Protein That Is Essential for Ecdysone Synthesis and Insect Growth. Development 2006, 133, 2565–2574. [Google Scholar] [CrossRef] [PubMed]
- Warren, J.T.; Petryk, A.; Marqués, G.; Jarcho, M.; Parvy, J.-P.; Dauphin-Villemant, C.; O’Connor, M.B.; Gilbert, L.I. Molecular and Biochemical Characterization of Two P450 Enzymes in the Ecdysteroidogenic Pathway of Drosophila melanogaster. Proc. Natl. Acad. Sci. USA 2002, 99, 11043–11048. [Google Scholar] [CrossRef] [PubMed]
- Benrabaa, S.A.M.; Chang, S.A.; Chang, E.S.; Mykles, D.L. Effects of Molting on the Expression of Ecdysteroid Biosynthesis Genes in the Y-Organ of the Blackback Land Crab, Gecarcinus lateralis. Gen. Comp. Endocr. 2023, 340, 114304. [Google Scholar] [CrossRef] [PubMed]
- Gu, S.H.; Chen, C.H.; Lin, P.L. Changes in Expressions of Ecdysteroidogenic Enzyme and Ecdysteroid Signaling Genes in Relation to Bombyx Embryonic Development. J. Exp. Zool. Part A Ecol. Integr. Physiol. 2021, 335, 477–488. [Google Scholar] [CrossRef] [PubMed]
- Xie, X.; Zhu, D.F.; Li, Y.; Qiu, X.E.; Cui, X.Y.; Tang, J. Hemolymph Levels of Methyl Farnesoate During Ovarian Development of the Swimming Crab Portunus trituberculatus, and Its Relation to Transcript Levels of HMG-CoA Reductase and Farnesoic Acid O -Methyltransferase. Biol. Bull. 2015, 228, 118–124. [Google Scholar] [CrossRef]
- Nagaraju, G.P.C.; Reddy, P.S.; Reddy, P.R. Involvement of Methyl Farnesoate in the Regulation of Molting and Reproduction in the Freshwater Crab Oziotelphusa senex senex. J. Crustac. Biol. 2004, 24, 511–515. [Google Scholar] [CrossRef]
- Xie, X.; Tao, T.; Liu, M.X.; Zhou, Y.Q.; Liu, Z.Y.; Zhu, D.F. The Potential Role of Juvenile Hormone Acid Methyltransferase in Methyl Farnesoate (MF) Biosynthesis in the Swimming Crab, Portunus trituberculatus. Anim. Reprod. Sci. 2016, 168, 40–49. [Google Scholar] [CrossRef]
- Helvig, C.; Koener, J.F.; Unnithan, G.C.; Feyereisen, R. CYP15A1, the Cytochrome P450 That Catalyzes Epoxidation of Methyl Farnesoate to Juvenile Hormone III in Cockroach Corpora Allata. Proc. Natl. Acad. Sci. USA 2004, 101, 4024–4029. [Google Scholar] [CrossRef]
- Huang, Q.C.; Wang, X.D.; Bu, X.Y.; Song, Y.; Han, F.L.; Lin, Z.D.; Qiao, F.; Shi, Q.C.; Qin, J.G.; Chen, L.Q. Role of Vitamin a in the Ovary Development for Female Eriocheir sinensis in the Gonadal Development Stage. Aquaculture 2022, 560, 738612. [Google Scholar] [CrossRef]
- Maeda, A.; Maeda, T.; Imanishi, Y.; Sun, W.Y.; Jastrzebska, B.; Hatala, D.A.; Winkens, H.J.; Hofmann, K.P.; Janssen, J.J.; Baehr, W.; et al. Retinol Dehydrogenase (RDH12) Protects Photoreceptors from Light-Induced Degeneration in Mice. J. Biol. Chem. 2006, 281, 37697–37704. [Google Scholar] [CrossRef]
- Duester, G. Alcohol Dehydrogenase as a Critical Mediator of Retinoic Acid Synthesis from Vitamin A in the Mouse Embryo. J. Nutr. 1998, 128, 459S–462S. [Google Scholar] [CrossRef] [PubMed]
- Girish, B.P.; Swetha, C.H.; Srilatha, M.; Hemalatha, M.; Sreenivasula Reddy, P. Evidence for Retinoic Acid Involvement in the Regulation of Vitellogenesis in the Fresh Water Edible Crab, Oziotelphusa senex senex. Comp. Biochem. Physiol. Part A Mol. Integr. Physiol. 2018, 222, 1–6. [Google Scholar] [CrossRef] [PubMed]
- Girish, B.P.; Swetha, C.H.; Reddy, P.S. Induction of Ecdysteroidogenesis, Methyl Farnesoate Synthesis and Expression of Ecdysteroid Receptor and Retinoid X Receptor in the Hepatopancreas and Ovary of the Giant Mud Crab, Scylla serrata by Melatonin. Gen. Comp. Endocr. 2015, 217–218, 37–42. [Google Scholar] [CrossRef] [PubMed]
- Gong, J.; Huang, C.C.; Shu, L.; Bao, C.C.; Huang, H.Y.; Ye, H.H.; Zeng, C.S.; Li, S.J. The Retinoid X Receptor from Mud Crab: New Insights into Its Roles in Ovarian Development and Related Signaling Pathway. Sci. Rep. 2016, 6, 23654. [Google Scholar] [CrossRef]
- Hopkins, P.M.; Durica, D.; Washington, T. RXR Isoforms and Endogenous Retinoids in the Fiddler Crab, Uca Pugilator. Comp. Biochem. Physiol. Part A Mol. Integr. Physiol. 2008, 151, 602–614. [Google Scholar] [CrossRef]
- Girish, B.P.; Swetha, C.H.; Reddy, P.S. Expression of RXR, EcR, E75 and VtG mRNA Levels in the Hepatopancreas and Ovary of the Freshwater Edible Crab, Oziothelphusa senex senex (Fabricius, 1798) during Different Vitellogenic Stages. Sci. Nat. 2015, 102, 20. [Google Scholar] [CrossRef]
- Le Maire, A.; Teyssier, C.; Balaguer, P.; Bourguet, W.; Germain, P. Regulation of RXR-RAR Heterodimers by RXR- and RAR-Specific Ligands and Their Combinations. Cells 2019, 8, 1392. [Google Scholar] [CrossRef]
- Le Maire, A.; Alvarez, S.; Shankaranarayanan, P.; R De Lera, A.; Bourguet, W.; Gronemeyer, H. Retinoid Receptors and Therapeutic Applications of RAR/RXR Modulators. Curr. Top. Med. Chem. 2012, 12, 505–527. [Google Scholar] [CrossRef]




| Ingredients (% Dry Matter) | K1 | K2 | K3 | K4 | K5 |
|---|---|---|---|---|---|
| Fish meal | 15 | 15 | 15 | 15 | 15 |
| Cottonseed protein | 10 | 10 | 10 | 10 | 10 |
| Spray-dried blood cell powder | 2 | 2 | 2 | 2 | 2 |
| Soybean meal | 20 | 20 | 20 | 20 | 20 |
| Corn gluten meal | 15 | 15 | 15 | 15 | 15 |
| α-starch | 22 | 22 | 22 | 22 | 22 |
| Soybean oil | 6 | 4.5 | 3 | 1.5 | 0 |
| Antarctic Krill oil | 0 | 1.5 | 3 | 4.5 | 6 |
| Choline chloride | 1 | 1 | 1 | 1 | 1 |
| Vitamin–mineral premix 1 | 1 | 1 | 1 | 1 | 1 |
| Bentonite | 1 | 1 | 1 | 1 | 1 |
| Calcium dihydrogen phosphate | 2 | 2 | 2 | 2 | 2 |
| Carboxymethyl cellulose | 5 | 5 | 5 | 5 | 5 |
| Total | 100 | 100 | 100 | 100 | 100 |
| Proximate analysis (%) | |||||
| Crude protein (%) | 38.8 | 38.5 | 38.9 | 38.4 | 38.3 |
| Ether extract (%) | 8.22 | 8.19 | 8.20 | 8.23 | 8.24 |
| Ash (%) | 11.66 | 11.58 | 11.61 | 11.68 | 11.69 |
| Gene | Forward (5′-3′) | Reverse (5′-3′) | Acquisition Pathway |
|---|---|---|---|
| Vtg | CCGACCATGCATTCACTCCGTTGA | TGTTGCCAAGGGACTTCAGTAGAGC | [29] |
| VtgR | TAGTCATAGTGGTGCTGCTCG | GAGAAGCGGTAAGTCTGGTT | [30] |
| Cdc2 | TGCCTTGTAATCCTGTAGTTG | CCTCCCGATATTCTTGTCCT | TRINITY_DN104178 |
| Cyclin B | ACATTCTGAGCGTCTGGTGC | ATGGCAAAGATGTCCTCTGTAGTT | TRINITY_DN1230 |
| RDH12 | ACGAACTCTATTCTGGCATCT | CAGCAAACAAATCGCCTACT | TRINITY_DN2519 |
| ALDH | AGAGGCAATACGCAATACAC | CGAAGGTCAACAATGGGAAA | TRINITY_DN14240 |
| RXR | GATCGGCAGTCCCCTTTGAA | TTGGACACACTGGGAGAAGC | [31] |
| FAMeT | GCACACTTGGCCCTCACTTC | CACACCACGTCGGGAGTTTC | [32] |
| CYP15A1_C1 | TTCAGAGCGGCGACATTCAA | CAACGGTCAAAGGTGGGTCA | TRINITY_DN22898 |
| Met | TGTGAAGAGGAGGCGGAGGA | AAGGCGAAGCGACTTGTGGT | TRINITY_DN12014 |
| nvd | CATACCAGCCACATACACTT | TTGCTTGCCTTCATTACTCT | TRINITY_DN7487 |
| dib | GGCATAGGAAAGAGTGAAGC | GTGGAGGCCAAAGATAGTGA | TRINITY_DN4119 |
| EcR | AGAGCCGCATAAAGTGGAGA | CTCAGGTCGGTCAGGATGTT | [31] |
| HR38 | TTAGGTGGAACAACAAGTGA | GATGGGTAATAACAGGCTTC | XM_067096834.1 |
| E75 | AGTTCCTCCGAGTCCTTATGTG | AGAATCGTCTGGGCTTTCAG | OQ626397.1 |
| FTZ-F1 | GGATCACCTGCACCAACGTA | GGAAACGATCTGCGAACTGC | [31] |
| LDLR | GGGCTATGCTCAACTGCTCG | AGGCAGGTTCCACTATGTGATGTA | TRINITY_DN5050 |
| 17β-HSD1 | CGGCTGGAAATGCAGAAGTG | GATGTACTCGTCGCCGTAGG | [33] |
| ERR | AATACCAACGAACCACCCAA | GCTTCATCTCCGCACTCACT | TRINITY_DN100301 |
| 18S | GTCTGTGATGCCCTTAGATGTCC | GCAAGCCCCAATCCCTATC | [34] |
| Parameters | IW/g | FW/g | WG/% | SGR/(%·Day−1) | SR/% |
|---|---|---|---|---|---|
| K1 | 4.59 ± 0.04 | 27.21 ± 2.34 a | 493.19 ± 51.79 a | 1.97 ± 0.09 a | 90.00 ± 2.88 |
| K2 | 4.62 ± 0.10 | 29.69 ± 1.11 ab | 545.55 ± 37.59 a | 2.07 ± 0.06 a | 93.33 ± 3.33 |
| K3 | 4.52 ± 0.05 | 36.22 ± 1.75 b | 702.62 ± 43.67 b | 2.31 ± 0.06 b | 93.33 ± 1.67 |
| K4 | 4.51 ± 0.06 | 36.50 ± 3.00 b | 708.25 ± 58.69 b | 2.31 ± 0.08 b | 91.67 ± 3.33 |
| K5 | 4.57 ± 0.09 | 32.40 ± 1.99 ab | 608.11 ± 32.94 ab | 2.17 ± 0.05 ab | 95.00 ± 4.58 |
| ANOVA | 0.806 | 0.030 | 0.017 | 0.013 | 0.782 |
| Linear | 0.517 | 0.022 | 0.016 | 0.010 | 0.337 |
| Quadratic | 0.577 | 0.028 | 0.018 | 0.015 | 0.476 |
| Parameters | VTG (ng/mL) | EH (pg/mL) | E2 (pg/mL) | P4 (ng/mL) | MF (ng/mL) |
|---|---|---|---|---|---|
| K1 | 31.92 ± 1.28 a | 366.95 ± 18.7 a | 29.03 ± 1.09 a | 3.60 ± 0.26 a | 0.36 ± 0.05 a |
| K2 | 41.44 ± 2.92 ab | 449.79 ± 24.86 bc | 38.25 ± 1.21 ab | 4.26 ± 0.43 ab | 0.51 ± 0.15 ab |
| K3 | 47.30 ± 3.91 bc | 450.77 ± 29.91 bc | 49.05 ± 4.95 bc | 5.44 ± 0.43 b | 0.84 ± 0.15 c |
| K4 | 62.97 ± 6.20 d | 498.62 ± 12.14 c | 70.20 ± 8.52 d | 5.64 ± 0.73 b | 0.93 ± 0.07 bc |
| K5 | 55.94 ± 2.01 cd | 430.11 ± 12.24 b | 57.75 ± 6.93 cd | 4.93 ± 0.74 ab | 0.58 ± 0.10 abc |
| ANOVA | <0.001 | 0.002 | <0.001 | 0.025 | 0.015 |
| Linear | <0.001 | 0.01 | <0.001 | 0.007 | 0.061 |
| Quadratic | 0.093 | 0.002 | 0.119 | 0.053 | 0.007 |
Disclaimer/Publisher’s Note: The statements, opinions and data contained in all publications are solely those of the individual author(s) and contributor(s) and not of MDPI and/or the editor(s). MDPI and/or the editor(s) disclaim responsibility for any injury to people or property resulting from any ideas, methods, instructions or products referred to in the content. |
© 2024 by the authors. Licensee MDPI, Basel, Switzerland. This article is an open access article distributed under the terms and conditions of the Creative Commons Attribution (CC BY) license (https://creativecommons.org/licenses/by/4.0/).
Share and Cite
Zheng, X.; Yang, J.; Liu, X.; Sun, C.; Zhou, Q.; Wang, A.; Chen, J.; Liu, B. Effects of Different Levels of Antarctic Krill Oil on the Ovarian Development of Macrobrachium rosenbergii. Animals 2024, 14, 3313. https://doi.org/10.3390/ani14223313
Zheng X, Yang J, Liu X, Sun C, Zhou Q, Wang A, Chen J, Liu B. Effects of Different Levels of Antarctic Krill Oil on the Ovarian Development of Macrobrachium rosenbergii. Animals. 2024; 14(22):3313. https://doi.org/10.3390/ani14223313
Chicago/Turabian StyleZheng, Xiaochuan, Jie Yang, Xin Liu, Cunxin Sun, Qunlan Zhou, Aimin Wang, Jianming Chen, and Bo Liu. 2024. "Effects of Different Levels of Antarctic Krill Oil on the Ovarian Development of Macrobrachium rosenbergii" Animals 14, no. 22: 3313. https://doi.org/10.3390/ani14223313
APA StyleZheng, X., Yang, J., Liu, X., Sun, C., Zhou, Q., Wang, A., Chen, J., & Liu, B. (2024). Effects of Different Levels of Antarctic Krill Oil on the Ovarian Development of Macrobrachium rosenbergii. Animals, 14(22), 3313. https://doi.org/10.3390/ani14223313

