Serological and Molecular Investigation of Infectious Laryngotracheitis Virus in Chickens from Robe Town, Southeastern Ethiopia
Simple Summary
Abstract
1. Introduction
2. Materials and Methods
2.1. Description of the Study Area
2.2. Study Design, Study Population, and Sampling
2.3. Laboratory Analysis
2.3.1. Serological Analysis
2.3.2. Isolation and Molecular Detection
2.4. Statistical Analysis
3. Results
3.1. Seroprevalence and Associated Risk Factors of Infectious Laryngotracheitis Virus
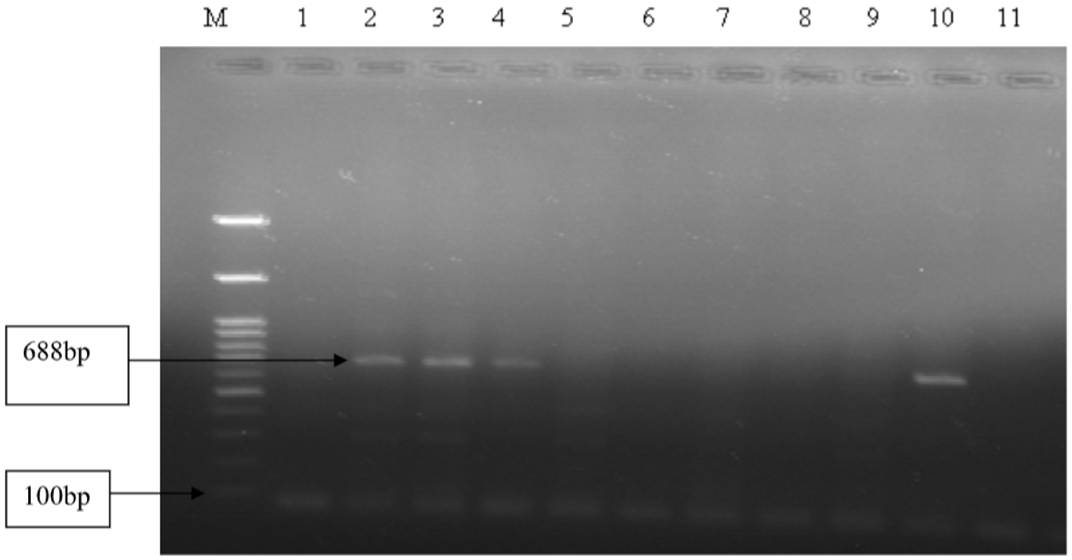
3.2. Isolation and Molecular Detection of Infectious Laryngotracheitis Virus
4. Discussion
5. Conclusions
Supplementary Materials
Author Contributions
Funding
Institutional Review Board Statement
Informed Consent Statement
Data Availability Statement
Acknowledgments
Conflicts of Interest
References
- Tadelle, D.; Million, T.; Alemu, Y.; Peters, K. Village chicken production systems in Ethiopia: Use patterns and performance valuation and chicken products and socioeconomic functions of chicken. Livest. Res. Rural. Dev. 2003, 15, 1–9. Available online: https://www.cabidigitallibrary.org/doi/full/10.5555/20033132152 (accessed on 15 February 2023).
- CSA. Agricultural Sample Survey. Report on Livestock and Livestock Characteristics. The Federal Democratic Republic of Ethiopia, Private Peasant Holdings; Statistical Bulletin 570; Central Statistical: Addis Ababa, Ethiopia, 2013. [Google Scholar]
- Bagust, T.J.; Jones, R.C.; Guy, J.S. Avian infectious laryngotracheitis. Rev. Sci. Tech. 2000, 19, 483–492. [Google Scholar] [CrossRef] [PubMed]
- Ou, S.C.; Giambrone, J.J.; Macklin, K.S. Comparison of a TaqMan real-time polymerase chain reaction assay with a loop-mediated isothermal amplification assay for detection of Gallid herpesvirus 1. J. Vet. Diagn. Investig. 2012, 24, 138–141. [Google Scholar] [CrossRef] [PubMed]
- Jaisree, S.; Bharathi, R.; Shoba, K.; Ramesh, A.; Vijayarani, K.; Vairamuthu, S. Detection and Molecular Characterization of Avian Infectious Laryngotracheitis Virus Isolated from a Breeder Flock. J Anim. Res. 2021, 11, 257–262. [Google Scholar] [CrossRef]
- Menendez, K.R.; Garcia, M.; Spatz, S.; Tablante, N.L. Molecular epidemiology of infectious laryngotracheitis: A review. Avian Pathol. 2014, 43, 108–117. [Google Scholar] [CrossRef]
- Fuchs, W.; Veits, J.; Helferich, D.; Granzow, H.; Teifke, P.J.; Mettenleiter, C.T. Molecular biology of avian infectious laryngotracheitis virus. Vet. Res. 2007, 38, 261–279. [Google Scholar] [CrossRef]
- Kongsuwan, K.; Johnson, A.; Sheppard, M. Identification of an infectious laryngotracheitis virus gene encoding an immunogenic protein with a predicted Mr of 32 kilodaltons. Virus Res. 1993, 29, 125–140. [Google Scholar] [CrossRef] [PubMed]
- Saif, Y.M.; Glisson, J.R.; Fadly, A.M.; Mcdougald, L.R.; Nolan, L.K.; Swayne, D.E. Infectious Laringotracheitis. In Diseases of Poultry, 13th ed.; Garcıa, M., Spatz, S., Guy, J.S., Eds.; Iowa State Press: Ames, IA, USA, 2013; pp. 161–179. [Google Scholar]
- Coppo, M.J.C.; Hartley, C.A.; Devlin, J.M. Immune responses to infectious laryngotracheitis virus. Dev. Comp. Immunol. 2013, 41, 454–462. [Google Scholar] [CrossRef]
- Swayne, D.E.; Boulianne, M.; Logue, C.M.; McDougald, L.R.; Nair, V.; Suarez, D.L. Infectious Laryngotracheitis. In Diseases of Poultry, 14th ed.; García, M., Spatz, S., Eds.; Wiley-Blackwell: Hoboken, NJ, USA, 2020; pp. 189–203. [Google Scholar]
- Wolfrum, N. Infectious laryngotracheitis: An update on current approaches for prevention of an old disease. J. Anim. Sci. 2020, 98, S27–S35. [Google Scholar] [CrossRef]
- Saif, Y.M.; Glisson, J.R.; Fadly, A.M.; Mcdougald, L.R.; Nolan, L.K.; Swayne, D.E. Laryngotracheitis. In Diseases of Poultry, 12th ed.; Guy, J.S., Garcia, M., Eds.; Blackwell Publishing: Arres, IA, USA, 2008; pp. 137–152. [Google Scholar]
- Addis, B.; Tadesse, D.; Mekuriaw, S. Study on major causes of chicken mortality and associated risk factors in Bahir Dar Zuria District, Ethiopia. Afr. J. Agric. Res. 2014, 9, 3465–3472. [Google Scholar] [CrossRef]
- Rojs, O.Z.; Dov, A.; UrosKrapez, U.; Zlabravec, Z.; Racnik, J.; Slavec, B. Detection of Laryngotracheitis Virus in Poultry Flocks with Respiratory Disorders in Slovenia. Viruses 2021, 13, 707. [Google Scholar] [CrossRef] [PubMed]
- Ferrara, G.; Iovane, V.; Moje, N.; Improda, E.; Iovane, G.; Pagnini, U.; Montagnaro, S. Cattle exposure to bubaline herpesvirus (BuHV-1) in Southern Italy: A hidden threat for IBR eradication? Prev. Vet. Med. 2024, 224, 106116. [Google Scholar] [CrossRef] [PubMed]
- Crespo, R.; Woolcock, P.R.; Chin, R.P.; Shivaprasad, H.L.; García, M. Comparison of diagnostic techniques in an outbreak of infectious laryngotracheitis from meat chickens. Avian Dis. 2007, 51, 858–862. [Google Scholar] [CrossRef] [PubMed]
- Zhao, Y.; Kong, C.; Cui, X.; Cui, H.; Shi, X.; Zhang, X.; Hu, S.; Hao, L.; Wang, Y. Detection of infectious laryngotracheitis virus by real-time PCR in naturally and experimentally infected chickens. PLoS ONE 2013, 8, e67598. [Google Scholar] [CrossRef] [PubMed]
- Kammon, A.; Shabba, J.; Abouzeed, Y.; Asheg, A. Isolation, Serological and Molecular Detection of Infectious Laryngotracheitis Virus (ILTV) in Chickens in Libya. Approaches Poult. Dairy Vet. Sci. 2020, 7, 655–665. [Google Scholar] [CrossRef]
- Mekibib, B.; Dejene, S.; Abebe, R. First Report of Avian Infectious Laryngotracheitis Outbreak in Small Scale Chicken Flocks Around Hawassa City, Ethiopia. Anim. Health Prod. 2019, 67, 239–245. [Google Scholar]
- Tesfaye, A.; Sahle, M.; Sori, T.; Kassa, T.; Garoma, A.; Koran, T.; Dima, C.; Guyassa, C.; Hilu, H.; Guta, S.; et al. Infectious Laryngotracheitis Virus in Commercial and Backyard Chicken Production Systems in Central and South Ethiopia (first report) ILT in Ethiopian Poultry Production. J. Appl. Poult. Res. 2019, 28, 1324–1329. [Google Scholar] [CrossRef]
- Roba, Y.T.; Tadesse, D.; Assefa, Z.; Tesfaye, A. Seroprevalence of infectious laryngotracheitis disease in backyard chickens in villages of Ada’a district, Oromia, Ethiopia: First report. Trop. Anim. Health Prod. 2020, 52, 3109–3112. [Google Scholar] [CrossRef]
- Birhan, M.; Syoum, A.; Ibrahim, S.M.; Fentahun, T.; Mohammed, A.; Berhane, N.; Bitew, M.; Gelaye, E.; Atanaw, M.B.; Getachew, B.; et al. Serological Evidence of Infectious Laryngotracheitis Infection and Associated Risk Factors in Chickens in Northwestern Ethiopia. Sci. World J. 2022, 2022, 6096981. [Google Scholar] [CrossRef]
- SARC. Profile of Sinana Agricultural Research Center (SARC). In Working Document Series 1, November 2001; Oromia Agricultural Research Institute: Addis Ababa, Ethiopia, 2001. [Google Scholar]
- CSA. The 2001/02 Ethiopian Agricultural Sample Enumeration (ESAE); Farm Practice 2001–2002 (1994 E.C); Central Statistical Authority (CSA): Addis Ababa, Ethiopia, 2004. [Google Scholar]
- Thrusfield, M. Veterinary Epidemiology, 4th ed.; John Wiley and Sons, Inc.: Hoboken, NJ, USA, 2018; pp. 272–293. [Google Scholar]
- OIE. Collection and Shipment of Diagnostic Specimens. In Terrestrial Manual 2008; World Organisation for Animal Health: Paris, France, 2008; pp. 1–14. [Google Scholar]
- OIE. Chapter 3.3.3.—Avian infectious laryngotracheitisAvian infectious laryngotracheitis. In WOAH Terrestrial Manual; World Organisation for Animal Health: Paris, France, 2021; Available online: https://www.woah.org/fileadmin/Home/fr/Health_standards/tahm/3.03.03_AVIAN_INF_LARYNGO.pdf (accessed on 15 May 2023).
- Ebrahimi, M.M.; Shahsavandi, S.; Yousefi, A.R.; Ebrahimi, N. Isolation, identification and chemical inactivation of infectious laryngotracheitis virus for use as a vaccine candidate. Acta Virol. 2021, 65, 33–41. [Google Scholar] [CrossRef]
- Yi, C.; Li, G.; Mu, Y.; Cui, S.; Zhang, D.; Xu, Q.; Liang, C.; Wang, M.; Zhou, S.; Zhou, H.; et al. Isolation, identification, molecular and pathogenicity characteristics of an infectious laryngotracheitis virus from Hubei province, China. Poult. Sci. 2024, 103, 103271. [Google Scholar] [CrossRef] [PubMed]
- OIE. Avian infectious laryngotracheitis. In OIE Terrestrial Manual; World Organisation for Animal Health: Paris, France, 2014; pp. 1–11. [Google Scholar]
- Chacon, J.L.; Ferreira, A.J.P. Differentiation of field isolates and vaccine strains of infectious laryngotracheitis virus by DNA sequencing. Vaccine 2009, 27, 6731–6738. [Google Scholar] [CrossRef] [PubMed]
- Baksi, S. Sero-prevalence of infectious laryngotracheitis of poultry in India. Indian J. Poult. Sci. 2016, 51, 234–236. [Google Scholar] [CrossRef]
- Salhi, O.; Messaï, C.R.; Ouchene, N.; Boussaadi, I.; Kentouche, H.; Kaidi, R.; Khelef, D. Indicators and risk factors of infectious laryngotracheitis in layer hen flocks in Algeria. Vet. World 2021, 14, 182–189. [Google Scholar] [CrossRef] [PubMed]
- Rahman, M.; Uddin, K.; Hassan, Z.; Rahman, M.; Ali, Z.; Rahman, L.; Akter, M.R.; Rahman, M. Seroprevalence study of infectious laryngotracheitis virus antibody of commercial layer in Gazipur Districts of Bangladesh. Asian J. Med. Biol. Res. 2018, 4, 1–6. [Google Scholar] [CrossRef]
- Jahan, M.S.; Khan, R.F.; Nazir, H.N.; Amin, M.M.; Rahman, M.B. Sero-Surveillance of Infectious Laryngotracheitis in Layer Birds in Bangladesh. Microbes Health 2012, 1, 38–40. [Google Scholar] [CrossRef]
- Mutwakil, S.H.; Ballal, M.; Osman, O.H.; Ballal, A.; Osman, O.H. Infectious Laryngotracheitis Virus Antibodies in some States of the Sudan. Sudan J. Vet. Res. 2011, 26, 71–76. Available online: https://www.sudanjvr.net/journal/1727.pdf (accessed on 10 May 2023).
- Pohjola, L.; Tammiranta, N.; Ek-Kommonen, C.; Soveri, T.; Hänninen, M.L.; Ahomaa, M.F.; Huovilainen, A. A survey for selected avian viral pathogens in backyard chicken farms in Finland. Avian Pathol. 2017, 46, 166–172. [Google Scholar] [CrossRef]
- Bhuiyan, Z.; Ali, Z.; Moula, M.; Bary, A.; Arefin, N.; Giasuddin; Khan, Z. Sero-prevalence of major avian respiratory diseases in broiler and sonali chicken in selected areas of Bangladesh. J. Adv. Vet. Anim. Res. 2019, 6, 561–566. [Google Scholar] [CrossRef]
- GhalyanchiLangeroudi, A.; Hosseini, H.; Fallah, M.H.; Aghaeean, L.; Dizaji, R.E.; Ziafati, Z.; Modiri, A.; Almasi, Y.; BaGholamian, B.; Ashouri, A.; et al. Original article serological survey of infectious laryngotracheitis in broiler flocks, Iran, 2018. Iran. J. Virol. 2020, 14, 1–5. Available online: http://journal.isv.org.ir/article-1-378-en.html (accessed on 20 March 2023).
- Uddin, I.; Sen, B.; Islam, S.; Islam, M.S.; Das, S.; Sultana, N.; Ripa, R.N.; Kashem, A.; Kamaruddin, K.M. Seroepidemiology of infectious laryngotracheitis (ILT) in the commercial layer farms of Chittagong district, Bangladesh. Adv. Anim. Vet. Sci. 2014, 2, 316–320. [Google Scholar] [CrossRef]
- Shittu, I.; Sulaiman, K.I.; Gado, A.D.; Egbuji, A.N.; Ndahi, M.D.; Pam, E.; Joannis, T.M. Sero-epizootiological investigation of infectious laryngotracheitis infection in commercial poultry of Plateau state, north central Nigeria. J. Immunoass. Immunochem. 2016, 37, 368–375. [Google Scholar] [CrossRef] [PubMed]
- Garrido, A.; Barrionuevo, M.; Jara, I.S.; Sandoval, P.; Alfonso, P.; Barrera, M. Serologic and molecular survey of avian infectious laryngotracheitis in Ecuador. Ecuad. Calid. 2016, 3, 43–51. [Google Scholar] [CrossRef]
- Sonaiya, E.B.; Swan, S.E.J. Small-Scale Poultry Production; FAO: Rome, Italy, 2004. [Google Scholar]
- Adene, D.F. The Cornerstones in Poultry Health and Production: Concepts, Costs and the Contemporary Applications; Ibadan University Press: Ibadan, Nigeria, 2007. [Google Scholar]
- Cover, M.S. The early history of Infectious laryngotracheitis. Avian Dis. 1996, 40, 494–500. [Google Scholar] [CrossRef] [PubMed]
- Hutton, S.; Bettridge, J.; Christley, R.; Habte, T.; Ganapathy, K. Detection of infectious bronchitis virus 793B, avian metapneumovirus, Mycoplasma gallisepticum and Mycoplasma synoviae in poultry in Ethiopia. Trop. Anim. Health Prod. 2017, 49, 31. [Google Scholar] [CrossRef]
- Tekelemariam, T.H.; Walkden-Brown, S.; Atire, F.A.; Tefera, D.A.; Alemayehu, D.H.; Gerber, P.F. Detection of Chicken Respiratory Pathogens in Live Markets of Addis Ababa, Ethiopia, and Epidemiological Implications. Vet. Sci. 2022, 9, 503. [Google Scholar] [CrossRef]
- Tran, T.T.; Nazir, S.; Yegoraw, A.A.; Assen, A.M.; Walkden-Brown, S.W.; Gerber, P.F. Detection of infectious laryngotracheitis virus (ILTV) in tissues and blood fractions from experimentally infected chickens using PCR and immunostaining analyses. Res. Vet. Sci. 2020, 134, 64–68. [Google Scholar] [CrossRef]


| Kebele | No. Sample | Positive | Prevalence (%) | 95% CI |
|---|---|---|---|---|
| Alage | 33 | 12 | 36.4 | 22.19, 53.38 |
| Basaso | 19 | 4 | 21.1 | 8.51, 43.33 |
| Bole | 57 | 11 | 19.3 | 11.13, 31.34 |
| Robe/01 | 19 | 3 | 15.8 | 5.52, 37.57 |
| Robe/02 | 19 | 6 | 31.6 | 15.36, 53.99 |
| Robe/03 | 27 | 7 | 25.9 | 13.17, 44.68 |
| Robe/04 | 20 | 5 | 25.0 | 11.19, 46.87 |
| Shallo | 46 | 16 | 34.8 | 22.68, 49.23 |
| Total | 240 | 64 | 26.7 | 21.47, 32.6 |
| Factor | Examined (n) | Positive | Proportion (%) | 95%CI | p-Value |
|---|---|---|---|---|---|
| Breed | |||||
| Exotic | 226 | 56 | 24.78 | 9.15–30.41 | |
| Local | 14 | 8 | 57.14 | 31.22–83.07 | 0.008 |
| Sex | |||||
| Male | 46 | 9 | 19.57 | 8.10–31.03 | |
| Female | 194 | 55 | 35.71 | 15–43.28 | 0.22 |
| Purpose | |||||
| Broiler | 47 | 10 | 21.28 | 9.58–32.98 | |
| Layer | 193 | 54 | 27.98 | 21.65–34.31 | 0.35 |
| Age | |||||
| >20 weeks | 193 | 55 | 28.5 | 22.13–34.87 | |
| 8–20 weeks | 47 | 9 | 19.5 | 7.9–30.4 | 0.19 |
| Farm type | |||||
| Backyard | 70 | 31 | 44.29 | 32.65–55.92 | |
| Commercial | 170 | 33 | 19.4 | 13.47–25.36 | <0.0001 |
| Chicken introduction | |||||
| No | 17 | 13 | 76.47 | 53–90 | |
| Yes | 223 | 51 | 22.87 | 18–29 | <0.0001 |
| Variable | n | Positive | Proportion (%) | AOR (95% CI) | p-Value |
|---|---|---|---|---|---|
| Chicken introduction | |||||
| No | 17 | 13 | 76.47 | ||
| Yes | 223 | 51 | 22.87 | 6.79 (2, 23.1) | 0.002 |
| Farm type | |||||
| Backyard | 70 | 31 | 44.29 | ||
| Commercial | 170 | 33 | 19.4 | 2.3 (1.19, 4.46) | 0.013 |
Disclaimer/Publisher’s Note: The statements, opinions and data contained in all publications are solely those of the individual author(s) and contributor(s) and not of MDPI and/or the editor(s). MDPI and/or the editor(s) disclaim responsibility for any injury to people or property resulting from any ideas, methods, instructions or products referred to in the content. |
© 2024 by the authors. Licensee MDPI, Basel, Switzerland. This article is an open access article distributed under the terms and conditions of the Creative Commons Attribution (CC BY) license (https://creativecommons.org/licenses/by/4.0/).
Share and Cite
Abebe, S.; Ferrara, G.; Getachew, B.; Hirpa, E.; Moje, N. Serological and Molecular Investigation of Infectious Laryngotracheitis Virus in Chickens from Robe Town, Southeastern Ethiopia. Animals 2024, 14, 3227. https://doi.org/10.3390/ani14223227
Abebe S, Ferrara G, Getachew B, Hirpa E, Moje N. Serological and Molecular Investigation of Infectious Laryngotracheitis Virus in Chickens from Robe Town, Southeastern Ethiopia. Animals. 2024; 14(22):3227. https://doi.org/10.3390/ani14223227
Chicago/Turabian StyleAbebe, Samuel, Gianmarco Ferrara, Belayneh Getachew, Eyob Hirpa, and Nebyou Moje. 2024. "Serological and Molecular Investigation of Infectious Laryngotracheitis Virus in Chickens from Robe Town, Southeastern Ethiopia" Animals 14, no. 22: 3227. https://doi.org/10.3390/ani14223227
APA StyleAbebe, S., Ferrara, G., Getachew, B., Hirpa, E., & Moje, N. (2024). Serological and Molecular Investigation of Infectious Laryngotracheitis Virus in Chickens from Robe Town, Southeastern Ethiopia. Animals, 14(22), 3227. https://doi.org/10.3390/ani14223227

