Transcriptome Analysis Reveals Immune and Antioxidant Defense Mechanisms in the Eriocheir japonica sinensis after Exposure to Ammonia
Simple Summary
Abstract
1. Introduction
2. Materials and Methods
2.1. Laboratory Animals and Temporary Management
2.2. Acute Ammonia Stress Experiment
2.3. Sampling and Preservation
2.4. Histopathological Section
2.5. TUNEL Assay
2.6. Determination of Nonspecific Enzyme Activity
2.6.1. Sample Pretreatment
2.6.2. Biochemical Analysis
2.7. RNA Extraction, Library Construction, and Illumina Sequencing
2.8. Transcriptome Analysis and Functional Annotation of Unigenes
2.9. Identification of Differentially Expressed Genes and Gene Enrichment Analysis
2.10. Quantitative Real-Time PCR (qRT-PCR)
2.11. Data Processing
3. Results and Discussion
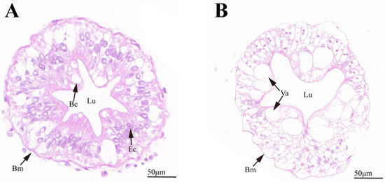
3.1. Effect of Ammonia on Histopathology of Hepatopancreas of E. j. sinensis
3.2. Effects of Ammonia Stress on Nonspecific Enzyme Activities in Hepatopancreas of E. j. sinensis
3.3. Detection of Apoptosis in TUNEL Cells
3.4. Effect of Ammonia Stress on Hemolymph Nonspecific Enzyme Activity of E. j. sinensis
3.5. Construction and Analysis of Transcriptome Library
3.6. Functional Annotations and Classification
3.7. Identification and Analysis of DEGs
3.8. qRT-PCR Results
4. Conclusions
Author Contributions
Funding
Institutional Review Board Statement
Informed Consent Statement
Data Availability Statement
Conflicts of Interest
References
- Liu, X.H. The biological characteristics and feeding technique of Eriocheir sinensis. Hubei Agric. Sci. 2009, 48, 158–160. [Google Scholar]
- Wang, X.; Yao, Q.; Zhang, D.M.; Lei, X.Y.; Wang, S.; Wan, J.W.; Guo, Z.X. Effects of acute salinity stress on osmoregulation, antioxidant capacity and physiological metabolism of female Chinese mitten crabs (Eriocheir sinensis). Aquaculture 2022, 552, 737989. [Google Scholar] [CrossRef]
- Sui, L.; Zhang, F.; Wang, X.; Bossier, P.; Sorgeloos, P.; Hänfling, B. Genetic diversity and population structure of the Chinese mitten crab Eriocheir sinensis in its native range. Mar. Biol. 2009, 156, 1573–1583. [Google Scholar] [CrossRef]
- Chen, D.W.; Zhang, M.; Shrestha, S. Compositional characteristics and nutritional quality of Chinese mitten crab (Eriocheir sinensis). Food Chem. 2007, 103, 1343–1349. [Google Scholar] [CrossRef]
- Wang, C.; Wang, X.; Xiao, S.; Bu, X.; Lin, Z.; Qi, C.; Chen, L. T-2 toxin in the diet suppresses growth and induces immunotoxicity in juvenile Chinese mitten crab (Eriocheir sinensis). Fish Shellfish Immunol. 2020, 97, 593–601. [Google Scholar] [CrossRef]
- Whittamore, J.M. Osmoregulation and epithelial water transport: Lessons from the intestine of marine teleost fish. J. Comp. Physiol. B 2012, 182, 1–39. [Google Scholar] [CrossRef]
- Wang, T.; Yang, C.; Zhang, S.; Rong, L.; Yang, X.; Wu, Z.; Sun, W. Metabolic changes and stress damage induced by ammonia exposure in juvenile Eriocheir sinensis. Ecotoxicol. Environ. Saf. 2021, 223, 112608. [Google Scholar] [CrossRef]
- Wang, X.; Tjale, P.M.; Yao, Q.; Zhang, D.M.; Zhang, B.Y.; Chen, Y.K.; Guo, Z.X. Comparison of the growth performance and nutritional qualities of Chinese mitten crab (Eriocheir sinensis) with different stocking densities in rice-crab culture systems. Aquacult. Rep. 2021, 20, 100761. [Google Scholar] [CrossRef]
- Lu, X.; Luan, S.; Cao, B.; Meng, X.; Sui, J.; Dai, P.; Kong, J. Estimation of genetic parameters and genotype-by-environment interactions related to acute ammonia stress in Pacific white shrimp (Litopenaeus vannamei) juveniles at two different salinity levels. PLoS ONE 2017, 12, e0173835. [Google Scholar] [CrossRef]
- Si, L.; Pan, L.; Wang, H.; Zhang, X. Transcriptomic response to ammonia-N stress in the hepatopancreas of swimming crab Portunus trituberculatus. Mar. Life Sci. Technol. 2020, 2, 135–145. [Google Scholar] [CrossRef]
- Cheng, C.H.; Ma, H.L.; Deng, Y.Q.; Feng, J.; Chen, X.L.; Guo, Z.X. Transcriptome analysis and histopathology of the mud crab (Scylla paramamosain) after air exposure. Comp. Biochem. Physiol. Part C Toxicol. Pharmacol. 2020, 228, 108652. [Google Scholar] [CrossRef] [PubMed]
- Vogt, G. Functional cytology of the hepatopancreas of decapod crustaceans. J. Morphol. 2019, 280, 1405–1444. [Google Scholar] [CrossRef] [PubMed]
- Liang, C.; Liu, J.; Cao, F.; Li, Z.; Chen, T. Transcriptomic analyses of the acute ammonia stress response in the hepatopancreas of the kuruma shrimp (Marsupenaeus japonicus). Aquaculture 2019, 513, 734328. [Google Scholar] [CrossRef]
- Tang, D.; Wu, Y.; Wu, L.; Bai, Y.; Zhou, Y.; Wang, Z. The effects of ammonia stress exposure on protein degradation, immune response, degradation of nitrogen-containing compounds and energy metabolism of Chinese mitten crab. Mol. Biol. Rep. 2022, 49, 6053–6061. [Google Scholar] [CrossRef] [PubMed]
- Ren, Q.; Pan, L.; Zhao, Q.; Si, L.J. Ammonia and urea excretion in the swimming crab Portunus trituberculatus exposed to elevated ambient ammonia-N. Comp. Biochem. Physiol. Part A 2015, 187, 48–54. [Google Scholar] [CrossRef]
- Laura, M.; Dimitri, T.; Claire, L.É.; Sophie, H.; Emmanuel, C.; Thibaut, L.H.; Hervé, L.J.; Elliott, S. Diluted seawater and ammonia-N tolerance of two mangrove crab species. New insights to understand the vulnerability of pristine islands ecosystems organisms. Front. Ecol. Evol. 2022, 10, 839160. [Google Scholar]
- Valavanidis, A.; Vlahogianni, T.; Dassenakis, M.; Scoullos, M. Molecular biomarkers of oxidative stress in aquatic organisms in relation to toxic environmental pollutants. Ecotoxicol. Environ. Saf. 2006, 64, 178–189. [Google Scholar] [CrossRef]
- Liu, S.; Pan, L.; Liu, M.; Yang, L. Effects of ammonia exposure on nitrogen metabolism in gills and hemolymph of the swimming crab Portunus trituberculatus. Aquaculture 2014, 432, 351–359. [Google Scholar] [CrossRef]
- Li, M.; Lai, H.; Li, Q.; Gong, S.; Wang, R. Effects of dietary taurine on growth, immunity and hyperammonemia in juvenile yellow catfish Pelteobagrus fulvidraco fed all-plant protein diets. Aquaculture 2016, 450, 349–355. [Google Scholar] [CrossRef]
- Chen, Y.Y.; Chen, J.C.; Lin, Y.C.; Yeh, S.T.; Huang, C.L. White shrimp Litopenaeus vannamei that have received Gracilaria tenuistipitata extract show early recovery of immune parameters after ammonia stressing. Mar. Drugs. 2015, 13, 3606–3624. [Google Scholar] [CrossRef]
- Yang, X.; Song, X.; Zhang, C.; Pang, Y.; Song, Y.; Cheng, Y.; Zong, X. Effects of dietary melatonin on hematological immunity, antioxidant defense and antibacterial ability in the Chinese mitten crab, Eriocheir sinensis. Aquaculture 2020, 529, 735578. [Google Scholar] [CrossRef]
- Lu, X.; Luan, S.; Dai, P.; Meng, X.; Cao, B.; Luo, K.; Kong, J. ITRAQ-based comparative proteome analysis for molecular mechanism of defense against acute ammonia toxicity in Pacific White shrimp Litopenaeus vannamei. Fish Shellfish Immunol. 2018, 74, 52–61. [Google Scholar] [CrossRef] [PubMed]
- Lemarie, G.; Dosdat, A.; Covès, D.; Dutto, G.; Gasset, E.; Person-Le Ruyet, J. Effect of chronic ammonia exposure on growth of European seabass (Dicentrarchus labrax) juveniles. Aquaculture 2004, 229, 479–491. [Google Scholar] [CrossRef]
- Dosdat, A.; Person-Le Ruyet, J.; Covès, D.; Dutto, G.; Gasset, E.; Le Roux, A.; Lemarié, G. Effect of chronic exposure to ammonia on growth, food utilisation and metabolism of the European sea bass (Dicentrarchus labrax). Aquat. Living Resour. 2003, 16, 509–520. [Google Scholar] [CrossRef]
- Gomes Jr, R.S.; de Lima, J.P.V.; Cavalli, R.O.; Correia, E.D.S. Acute toxicity of ammonia and nitrite to painted river prawn, Macrobrachium carcinus, larvae. J. World Aquacult. Soc. 2016, 47, 239–247. [Google Scholar] [CrossRef]
- Hong, M.; Chen, L.; Sun, X.; Gu, S.; Zhang, L.; Chen, Y. Metabolic and immune responses in Chinese mitten-handed crab (Eriocheir sinensis) juveniles exposed to elevated ambient ammonia. Comp. Biochem. Physiol. Part C Toxicol. Pharmacol. 2007, 145, 363–369. [Google Scholar] [CrossRef]
- Moore, C.L.; Savenka, A.V.; Basnakian, A.G. TUNEL assay: A powerful tool for kidney injury evaluation. Int. J. Mol. Sci. 2021, 22, 412. [Google Scholar] [CrossRef]
- Grabherr, M.G.; Haas, B.J.; Yassour, M.; Levin, J.Z.; Thompson, D.A.; Amit, I.; Adiconis, X.; Fan, L.; Raychowdhury, R.; Zeng, Q. Full-length transcriptome assembly from RNA-Seq data without a reference genome. Nat. Biotechnol. 2011, 29, 644–652. [Google Scholar] [CrossRef]
- Kim, D.; Langmead, B.; Salzberg, S.L. HISAT: A fast spliced aligner with low memory requirements. Nat. Methods 2015, 12, 357–360. [Google Scholar] [CrossRef]
- Trapnell, C.; Williams, B.A.; Pertea, G.; Mortazavi, A.; Kwan, G.; Van Baren, M.J.; Pachter, L. Transcript assembly and quantification by RNA-Seq reveals unannotated transcripts and isoform switching during cell differentiation. Nat. Biotechnol. 2010, 28, 511–515. [Google Scholar] [CrossRef]
- Apweiler, R.; Bairoch, A.; Wu, C.H.; Barker, W.C.; Boeckmann, B.; Ferro, S.; Yeh, L.S.L. UniProt: The universal protein knowledgebase. Nucleic Acids Res. 2004, 32, D115–D119. [Google Scholar] [CrossRef] [PubMed]
- Finn, R.D.; Coggill, P.; Eberhardt, R.Y.; Eddy, S.R.; Mistry, J.; Mitchell, A.L.; Bateman, A. The Pfam protein families database: Towards a more sustainable future. Nucleic Acids Res. 2016, 44, D279–D285. [Google Scholar] [CrossRef] [PubMed]
- Tatusov, R.L.; Galperin, M.Y.; Natale, D.A.; Koonin, E.V. The COG database: A tool for genome-scale analysis of protein functions and evolution. Nucleic Acids Res. 2000, 28, 33–36. [Google Scholar] [CrossRef]
- Young, M.D.; Wakefield, M.J.; Smyth, G.K.; Oshlack, A. Goseq: Gene Ontology testing for RNA-seq datasets. R Bioconductor 2012, 8, 1–25. [Google Scholar]
- Kanehisa, M.; Goto, S.; Kawashima, S.; Okuno, Y.; Hattori, M. The KEGG resource for deciphering the genome. Nucleic Acids Res. 2004, 32, D277–D280. [Google Scholar] [CrossRef]
- Conesa, A.; Götz, S.; García-Gómez, J.M.; Terol, J.; Talón, M.; Robles, M. Blast2GO: A universal tool for annotation, visualization and analysis in functional genomics research. Bioinformatics 2005, 21, 3674–3676. [Google Scholar] [CrossRef]
- Wang, L.; Feng, Z.; Wang, X.; Wang, X.; Zhang, X. DEGseq: An R package for identifying differentially expressed genes from RNA-seq data. Bioinformatics 2010, 26, 136–138. [Google Scholar] [CrossRef]
- Ashburner, M.; Ball, C.A.; Blake, J.A.; Botstein, D.; Butler, H.; Cherry, J.M.; Sherlock, G. Gene ontology: Tool for the unification of biology. Nat. Genet. 2000, 25, 25–29. [Google Scholar] [CrossRef] [PubMed]
- Mao, X.; Cai, T.; Olyarchuk, J.G.; Wei, L. Automated genome annotation and pathway identification using the KEGG Orthology (KO) as a controlled vocabulary. Bioinformatics 2005, 21, 3787–3793. [Google Scholar] [CrossRef]
- Huang, S.; Chen, X.; Wang, J.; Chen, J.; Yue, W.; Lu, W.; Wang, C. Selection of appropriate reference genes for qPCR in the Chinese mitten crab, Eriocheir sinensis (Decapoda, Varunidae). Crustaceana 2017, 90, 275–296. [Google Scholar] [CrossRef]
- Liu, Y.; Cao, G.; Zhao, N.; Mulligan, K.; Ye, X. Improve ground-level PM2.5 concentration mapping using a random forests-based geostatistical approach. Environ. Pollut. 2018, 235, 272–282. [Google Scholar] [CrossRef] [PubMed]
- Livak, K.J.; Schmittgen, T.D. Analysis of relative gene expression data using real-time quantitative PCR and the 2−ΔΔCT method. Methods 2001, 25, 402–408. [Google Scholar] [CrossRef] [PubMed]
- Ren, Q.; Li, M.; Yuan, L.; Song, M.; Xing, X.; Shi, G.; Meng, F.; Wang, R. Acute ammonia toxicity in crucian carp Carassius auratus and effects of taurine on hyperammonemia. Comp. Biochem. Physiol. C Toxicol. Pharmacol. 2016, 190, 9–14. [Google Scholar] [CrossRef]
- Sampaio, F.G.; de Lima Boijink, C.; Oba, E.T.; dos Santos, L.R.B.; Kalinin, A.L.; Rantin, F.T. Antioxidant defenses and biochemical changes in pacu (Piaractus mesopotamicus) in response to single and combined copper and hypoxia exposure. Comp. Biochem. Physiol. Part C Toxicol. Pharmacol. 2008, 147, 43–51. [Google Scholar] [CrossRef]
- Hoseini, S.M.; Yousefi, M.; Hoseinifar, S.H.; Van Doan, H. Antioxidant, enzymatic and hematological responses of common carp (Cyprinus carpio) fed with myrcene-or menthol-supplemented diets and exposed to ambient ammonia. Aquaculture 2019, 506, 246–255. [Google Scholar] [CrossRef]
- Muta, T.; Iwanaga, S. The role of haemolymph coagulation innate immunity. Curr. Opin. Immunol. 1996, 8, 41–47. [Google Scholar] [CrossRef] [PubMed]
- Molina, R.; Moreno, I.; Pichardo, S.; Jos, A.; Moyano, R.; Monterde, J.G.; Cameán, A. Acid and alkaline phosphatase activities and pathological changes induced in Tilapia fish (Oreochromis sp.) exposed subchronically to microcystins from toxic cyanobacterial blooms under laboratory conditions. Toxicon 2005, 46, 725–735. [Google Scholar] [CrossRef]
- Qin, Q.; Qin, S.; Wang, L.; Lei, W. Immune responses and ultrastructural changes of hemocytes in freshwater crab Sinopotamon henanense exposed to elevated cadmium. Aquat. Toxicol. 2012, 106, 140–146. [Google Scholar] [CrossRef]
- Winston, G.W.; Di Giulio, R.T. Prooxidant and antioxidant mechanisms in aquatic organisms. Aquat. Toxicol. 1991, 19, 137–161. [Google Scholar] [CrossRef]
- Zhang, M.; Li, M.; Wang, R.; Qian, Y. Effects of acute ammonia toxicity on oxidative stress, immune response and apoptosis of juvenile yellow catfish Pelteobagrus fulvidraco and the mitigation of exogenous taurine. Fish Shellfish Immunol. 2018, 79, 313–320. [Google Scholar] [CrossRef]
- Zhao, L.; Cui, C.; Liu, Q.; Sun, J.; He, K.; Adam, A.A.; Yang, S. Combined exposure to hypoxia and ammonia aggravated biological effects on glucose metabolism, oxidative stress, inflammation and apoptosis in largemouth bass (Micropterus salmoides). Aquat. Toxicol. 2020, 224, 105514. [Google Scholar] [CrossRef] [PubMed]
- Livingstone, D.R. Contaminant-stimulated reactive oxygen species production and oxidative damage in aquatic organisms. Mar. Pollut. Bull. 2001, 42, 656–666. [Google Scholar] [CrossRef] [PubMed]
- Trenzado, C.E.; Morales, A.E.; Palma, J.M.; de la Higuera, M. Blood antioxidant defenses and hematological adjustments in crowded/uncrowded rainbow trout (Oncorhynchus mykiss) fed on diets with different levels of antioxidant vitamins and HUFA. Comp. Biochem. Physiol. Part C Toxicol. Pharmacol. 2009, 149, 440–447. [Google Scholar] [CrossRef]
- Li, C.; Zhang, M.; Li, M.; Zhang, Q.; Qian, Y.; Wang, R. Effect of dietary alanyl-glutamine dipeptide against chronic ammonia stress induced hyperammonemia in the juvenile yellow catfish (Pelteobagrus fulvidraco). Comp. Biochem. Physiol. Part C Toxicol. Pharmacol. 2018, 213, 55–61. [Google Scholar] [CrossRef]
- Li, S.; Zheng, L.; Zhang, J.; Liu, X.; Wu, Z. Inhibition of ferroptosis by up-regulating Nrf2 delayed the progression of diabetic nephropathy. Free Radic. Biol. Med. 2021, 162, 435–449. [Google Scholar] [CrossRef] [PubMed]
- Wang, A.R.; Ran, C.; Ringø, E.; Zhou, Z.G. Progress in fish gastrointestinal microbiota research. Rev. Aquacult. 2018, 10, 626–640. [Google Scholar] [CrossRef]
- Zhang, C.; Zhang, Q.; Pang, Y.; Song, X.; Zhou, N.; Wang, J.; Yang, X. The protective effects of melatonin on oxidative damage and the immune system of the Chinese mitten crab (Eriocheir sinensis) exposed to deltamethrin. Sci. Total Environ. 2019, 653, 1426–1434. [Google Scholar] [CrossRef]
- Zhang, Y.L.; Zhang, H.L.; Wang, L.Y.; Gu, B.Y.; Fan, Q.X. Changes of ammonia, urea contents and transaminase activity in the body during aerial exposure and ammonia loading in Chinese loach Paramisgurnus dabryanus. Fish Physiol. Biochem. 2017, 43, 631–640. [Google Scholar] [CrossRef]
- Fırat, Ö.; Cogun, H.Y.; Yüzereroğlu, T.A.; Gök, G.; Fırat, Ö.; Kargin, F.; Kötemen, Y. A comparative study on the effects of a pesticide (cypermethrin) and two metals (copper, lead) to serum biochemistry of Nile tilapia, Oreochromis niloticus. Fish Physiol. Biochem. 2011, 37, 657–666. [Google Scholar] [CrossRef]
- Wang, T.; Shan, H.W.; Geng, Z.X.; Yu, P.; Ma, S. Dietary supplementation with freeze-dried Ampithoe sp. enhances the ammonia-N tolerance of Litopenaeus vannamei by reducing oxidative stress and endoplasmic reticulum stress and regulating lipid metabolism. Aquacult. Rep. 2020, 16, 100264. [Google Scholar] [CrossRef]
- Xu, L.; Spinas, G.A.; Niessen, M. ER stress in adipocytes inhibits insulin signaling, represses lipolysis, and alters the secretion of adipokines without inhibiting glucose transport. Horm. Metab. Res. 2010, 42, 643–651. [Google Scholar] [CrossRef] [PubMed]
- Zou, W.; Liu, W.; Yang, B.; Wu, L.; Yang, J.; Zou, T.; Zhang, D. Quercetin protects against perfluorooctanoic acid-induced liver injury by attenuating oxidative stress and inflammatory response in mice. Int. Immunopharmacol. 2015, 28, 129–135. [Google Scholar] [CrossRef] [PubMed]
- Amara, I.E.; Elshenawy, O.H.; Abdelrady, M.; El-Kadi, A.O. Acute mercury toxicity modulates cytochrome P450, soluble epoxide hydrolase and their associated arachidonic acid metabolites in C57Bl/6 mouse heart. Toxicol. Lett. 2014, 226, 53–62. [Google Scholar] [CrossRef] [PubMed]
- Chang, C.C.; Yeh, M.S.; Cheng, W. Cold shock-induced norepinephrine triggers apoptosis of haemocytes via caspase-3 in the white shrimp, Litopenaeus vannamei. Fish Shellfish Immunol. 2009, 27, 695–700. [Google Scholar] [CrossRef]
- Liang, Z.; Liu, R.; Zhao, D.; Wang, L.; Sun, M.; Wang, M.; Song, L. Ammonia exposure induces oxidative stress, endoplasmic reticulum stress and apoptosis in hepatopancreas of pacific white shrimp (Litopenaeus vannamei). Fish Shellfish Immunol. 2016, 54, 523–528. [Google Scholar] [CrossRef] [PubMed]
- Duan, Y.; Zhang, Y.; Dong, H.; Zhang, J. Effect of desiccation on oxidative stress and antioxidant response of the black tiger shrimp Penaeus monodon. Fish Shellfish Immunol. 2016, 58, 10–17. [Google Scholar] [CrossRef]
- Jaffer, Y.D.; Saraswathy, R.; Ishfaq, M.; Antony, J.; Bundela, D.S.; Sharma, P.C. Effect of low salinity on the growth and survival of juvenile pacific white shrimp, Penaeus vannamei: A revival. Aquaculture 2020, 515, 734561. [Google Scholar] [CrossRef]
- Andreyeva, A.Y.; Kladchenko, E.S.; Kukhareva, T.A.; Rychkova, V.N.; Tkachuk, A.A.; Lavrichenko, D.S. Effects of salinity on hemocyte functionality in mediterranean mussels (Mytilus galloprovincialis). J. Shellfish Res. 2023, 42, 215–221. [Google Scholar] [CrossRef]
- Huang, Y.; Hong, Y.; Huang, Z.; Zhang, J.; Huang, Q. Avermectin induces the oxidative stress, genotoxicity, and immunological responses in the Chinese Mitten Crab, Eriocheir sinensis. PLoS ONE 2019, 14, e0225171. [Google Scholar] [CrossRef]
- Tatusov, R.L.; Koonin, E.V.; Lipman, D.J. A genomic perspective on protein families. Science 1997, 278, 631–637. [Google Scholar] [CrossRef]
- Subramanian, A.; Tamayo, P.; Mootha, V.K.; Mukherjee, S.; Ebert, B.L.; Gillette, M.A.; Mesirov, J.P. Gene set enrichment analysis: A knowledge-based approach for interpreting genome-wide expression profiles. Proc. Natl. Acad. Sci. USA 2005, 102, 15545–15550. [Google Scholar] [CrossRef] [PubMed]
- Boore, J.L. Animal mitochondrial genomes. Nucleic Acids Res. 1999, 27, 1767–1780. [Google Scholar] [CrossRef]
- Koo, M.J.; Rooney, K.T.; Choi, M.E.; Ryter, S.W.; Choi, A.M.; Moon, J.S. Impaired oxidative phosphorylation regulates necroptosis in human lung epithelial cells. Biochem. Biophys. Res. Commun. 2015, 464, 875–880. [Google Scholar] [CrossRef] [PubMed]
- Mitchell, P. Chemiosmotic coupling in oxidative and photosynthetic phosphorylation. BBA-Bioenergetics 2011, 1807, 1507–1538. [Google Scholar] [CrossRef]
- Oliveira, D.C.S.G.; Raychoudhury, R.; Lavrov, D.V.; Werren, J.H. Rapidly evolving mitochondrial genome and directional selection in mitochondrial genes in the parasitic wasp Nasonia (Hymenoptera: Pteromalidae). Mol. Biol. Evol. 2008, 25, 2167–2180. [Google Scholar] [CrossRef]
- Kulkarni, A.; Krishnan, S.; Anand, D.; Uthaman, S.K.; Otta, S.K.; Karunasagar, I.; Valappil, R.K. Immune responses and immunoprotection in crustaceans with special reference to shrimp. Rev. Aquacult. 2021, 13, 431–459. [Google Scholar] [CrossRef]
- Lambeth, J.D.; Neish, A.S. Nox enzymes and new thinking on reactive oxygen: A double-edged sword revisited. Annu. Rev. Pathol. Mech. Dis. 2014, 9, 119–145. [Google Scholar] [CrossRef] [PubMed]
- Schieber, M.; Chandel, N.S. ROS function in redox signaling and oxidative stress. Curr. Biol. 2014, 24, R453–R462. [Google Scholar] [CrossRef]
- Shadel, G.S.; Horvath, T.L. Mitochondrial ROS signaling in organismal homeostasis. Cell 2015, 163, 560–569. [Google Scholar] [CrossRef]
- Weinberg, S.E.; Sena, L.A.; Chandel, N.S. Mitochondria in the regulation of innate and adaptive immunity. Immunity 2015, 42, 406–417. [Google Scholar] [CrossRef]
- West, A.P.; Brodsky, I.E.; Rahner, C.; Woo, D.K.; Erdjument-Bromage, H.; Tempst, P. TLR signalling augments macrophage bactericidal activity through mitochondrial ROS. Nature 2011, 472, 476–480. [Google Scholar] [CrossRef] [PubMed]
- Huber, L.A.; Teis, D. Lysosomal signaling in control of degradation pathways. Curr. Opin. Cell Biol. 2016, 39, 8–14. [Google Scholar] [CrossRef] [PubMed]
- Gorelick, F.S.; Shugrue, C.A.; Kolodecik, T.R.; Thrower, E.C. Vacuolar adenosine triphosphatase and pancreatic acinar cell function. J. Gastroenterol. Hepatol. 2006, 21, S18–S21. [Google Scholar] [CrossRef] [PubMed]
- Triepels, R.H.; Van den Heuvel, L.P.; Trijbels, J.M.; Smeitink, J.A. Respiratory chain complex I deficiency. Am. J. Med. Genet. 2001, 106, 37–45. [Google Scholar] [CrossRef]
- Mimaki, M.; Wang, X.; McKenzie, M.; Thorburn, D.R.; Ryan, M.T. Understanding mitochondrial complex I assembly in health and disease. BBA-Bioenergetics 2012, 1817, 851–862. [Google Scholar] [CrossRef]
- Quintens, R.; Singh, S.; Lemaire, K.; De Bock, K.; Granvik, M.; Schraenen, A.; Vroegrijk, I.O.C.M.; Costa, V.; Van Noten, P.; Lambrechts, D.; et al. Mice deficient in the respiratory chain gene Cox6a2 are protected against high-fat diet-induced obesity and insulin resistance. PLoS ONE 2013, 8, e56719. [Google Scholar] [CrossRef]
- Elmore, S.E.; La Merrill, M.A. Oxidative phosphorylation impairment by DDT and DDE. Front. Endocrinol. 2019, 10, 429001. [Google Scholar] [CrossRef]
- Chen, X.; Zheng, J.; Teng, M.; Zhang, J.; Qian, L.; Duan, M.; Wang, Z.; Wang, C. Environmentally relevant concentrations of tralopyril affect carbohydrate metabolism and lipid metabolism of zebrafish (Danio rerio) by disrupting mitochondrial function. Ecotoxicol. Environ. Saf. 2021, 223, 112615. [Google Scholar] [CrossRef]
- Xu, Z.; Zhang, Y.; Xu, Z.; Zhong, Y.; Wang, L.; Liu, C.; Chen, A.; Jiang, S.; Sun, W.; Yu, G.; et al. Dysregulation of gut health in zebrafish by differentially charged nanoplastic exposure: An integrated analysis of histopathology, immunology, and microbial informatics. Environ. Sci.-Nano 2023, 10, 933–947. [Google Scholar] [CrossRef]
- Usenko, C.Y.; Abel, E.L.; Kudela, M.; Janise, A.; Bruce, E.D. Comparison of pbde congeners as inducers of oxidative stress in zebrafish. Environ. Toxicol. Chem. 2015, 34, 1154–1160. [Google Scholar] [CrossRef]
- Hu, Y.C.; Kang, C.K.; Tang, C.H.; Lee, T.H. Transcriptomic analysis of metabolic pathways in milkfish that respond to salinity and temperature changes. PLoS ONE 2015, 10, e0134959. [Google Scholar] [CrossRef] [PubMed]
- Tine, M.; McKenzie, D.J.; Bonhomme, F.; Durand, J.D. Salinity-related variation in gene expression in wild populations of the black-chinned tilapia from various West African coastal marine, estuarine and freshwater habitats. Estuar. Coast. Shelf Sci. 2011, 91, 102–109. [Google Scholar] [CrossRef]
- Shi, X.Z.; Li, X.C.; Wang, S.; Zhao, X.F.; Wang, J.X. Transcriptome analysis of hemocytes and hepatopancreas in red swamp crayfish, Procambarus clarkii, challenged with white spot syndrome virus. ISJ-Invert. Surviv. J. 2010, 7, 119–131. [Google Scholar]
- Li, X.; Zhang, Y.; Shen, P.; Xu, Y.; Gao, Q.; Cheng, H.; Wang, W.; Gu, Z.; Chen, X. Baicalin protects giant freshwater prawn, Macrobrachium rosenbergii against Vibrio parahaemolyticus via modulation of the Toll signaling pathway. J. World Aquacult. Soc. 2021, 52, 987–1000. [Google Scholar] [CrossRef]
- Wang, C.; Pan, J.; Wang, X.; Cai, X.; Lin, Z.; Shi, Q.; Li, E.; Qin, J.G.; Chen, L. N-acetylcysteine provides protection against the toxicity of dietary T-2 toxin in juvenile Chinese mitten crab (Eriocheir sinensis). Aquaculture 2021, 538, 736531. [Google Scholar] [CrossRef]
- Stephens, A.; Rojo, L.; Araujo-Bernal, S.; Garcia-Carreno, F.; Muhlia-Almazan, A. Cathepsin B from the white shrimp Litopenaeus vannamei: cDNA sequence analysis, tissues-specific expression and biological activity. Comp. Biochem. Physiol. B Biochem. Mol. Biol. 2012, 161, 32–40. [Google Scholar] [CrossRef]









| Primer Names | Sequences (5′–3′) |
|---|---|
| β-actin-F | GCATCCACGAGACCACTTACA |
| β-actin-R | CTCCTGCTTGCTGATCCACATC |
| Ndufs4-F | AATCTGGCACTCACAATC |
| Ndufs4-R | AAGCAATGGCATCCTC |
| Ndufv2-F | AAAACAACCCAGATACTTCC |
| Ndufv2-R | AGTTCCCGACCTGACG |
| Ndufa5-F | GATGCCCTCAGATGCT |
| Ndufa5-R | CCACTTCCACTGTCCCT |
| COX6A-F | CGCTCCATTTCCACCG |
| COX6A-R | CCACTAGCAGGGACACCAT |
| COX11-F | CACAGCACAGAGCGAGTC |
| COX11-R | CGCCCGCAGGTAAAGT |
| ATP5MF-F | GGAGAACTTGGTGCCT |
| ATP5MF-R | CATCTTGCCGTAGTTTAT |
| ATPeV0E-F | GATGACTGGTGGTGGG |
| ATPeV0E-R | GTATGGCGATGATGGTT |
| crustin-2-F | GCGACAGGAACCAGAAG |
| crustin-2-R | AAGCGTCACAGCAGCAC |
| Lectin-F | GGCGGCTGCTTCTACTT |
| Lectin-R | ACGTCCACGAACCCTCA |
| ALF3-F | TCTGGTCTATGGCACAACG |
| ALF3-R | AGTCCCGAGTGGCTTCC |
| chitinase 3-F | GCGAACCTCGACCTCAT |
| chitinase 3-R | TCCCTGGGCAATCTTTT |
| PPAF2-F | CCATCGGCTTCAACAAT |
| PPAF2-R | TGATGACGGGATTCTTACA |
| CTSB-F | CGGGCGGAACTTCAACA |
| CTSB-R | CGGTGCGGGAATCAAAC |
| Samples | Clean Reads | Clean Bases | GC Content | %≥Q30 |
|---|---|---|---|---|
| Es-He-CK1 | 20,791,412 | 6,226,997,816 | 50.96% | 95.57% |
| Es-He-CK2 | 19,925,204 | 5,968,030,201 | 51.08% | 95.48% |
| Es-He-CK3 | 23,122,701 | 6,924,535,291 | 50.83% | 95.34% |
| Es-He-3001 | 20,552,156 | 6,151,444,046 | 49.16% | 95.15% |
| Es-He-3002 | 20,324,902 | 6,084,546,375 | 49.16% | 95.74% |
| Es-He-3003 | 20,327,981 | 6,083,545,895 | 49.29% | 95.75% |
| Annotation | Number of Genes | Percentage (%) |
|---|---|---|
| Annotated in NR | 14,602 | 19.2 |
| Annotated in SwissProt | 7944 | 10.4 |
| Annotated in PFAM | 14,805 | 19.5 |
| Annotated in KOG | 10,175 | 13.4 |
| Annotated in GO | 14,180 | 18.6 |
| Annotated in COG | 4096 | 5.4 |
| Annotated in KEGG | 10,289 | 13.5 |
| Total | 76,091 | 100 |
Disclaimer/Publisher’s Note: The statements, opinions and data contained in all publications are solely those of the individual author(s) and contributor(s) and not of MDPI and/or the editor(s). MDPI and/or the editor(s) disclaim responsibility for any injury to people or property resulting from any ideas, methods, instructions or products referred to in the content. |
© 2024 by the authors. Licensee MDPI, Basel, Switzerland. This article is an open access article distributed under the terms and conditions of the Creative Commons Attribution (CC BY) license (https://creativecommons.org/licenses/by/4.0/).
Share and Cite
Zhu, X.-R.; Jin, Y.; Zhang, X.; Liu, Q.-N.; Tang, B.-P. Transcriptome Analysis Reveals Immune and Antioxidant Defense Mechanisms in the Eriocheir japonica sinensis after Exposure to Ammonia. Animals 2024, 14, 2981. https://doi.org/10.3390/ani14202981
Zhu X-R, Jin Y, Zhang X, Liu Q-N, Tang B-P. Transcriptome Analysis Reveals Immune and Antioxidant Defense Mechanisms in the Eriocheir japonica sinensis after Exposure to Ammonia. Animals. 2024; 14(20):2981. https://doi.org/10.3390/ani14202981
Chicago/Turabian StyleZhu, Xi-Rong, Ye Jin, Xue Zhang, Qiu-Ning Liu, and Bo-Ping Tang. 2024. "Transcriptome Analysis Reveals Immune and Antioxidant Defense Mechanisms in the Eriocheir japonica sinensis after Exposure to Ammonia" Animals 14, no. 20: 2981. https://doi.org/10.3390/ani14202981
APA StyleZhu, X.-R., Jin, Y., Zhang, X., Liu, Q.-N., & Tang, B.-P. (2024). Transcriptome Analysis Reveals Immune and Antioxidant Defense Mechanisms in the Eriocheir japonica sinensis after Exposure to Ammonia. Animals, 14(20), 2981. https://doi.org/10.3390/ani14202981
