Novel Porcine Getah Virus from Diarrheal Piglets in Jiangxi Province, China: Prevalence, Genome Sequence, and Pathogenicity
Simple Summary
Abstract
1. Introduction
2. Materials and Methods
2.1. Ethical Approval and Consent to Participate
2.2. Case Presentation and Sample Collection
2.3. Virus Isolation Purification and Titration
2.4. Virus Plaque Assay and Growth Curve
2.5. Indirect Immunofluorescence Assay (IFA)
2.6. Complete Genome Sequencing, Sequence Alignments, and Phylogenetic Analysis
2.7. Inoculation of Piglets and Pathogenicity Investigation
2.8. Pathological Changes and Virus Distribution in Organs, Serum, and Feces
2.9. Statistics Analysis
3. Results
3.1. Pathogen Identification and Epidemiological Investigation of Porcine GETV
3.2. Isolation and Characterization of GETV
3.3. Whole-Genome Sequencing and Phylogenetic Analysis
3.4. Clinical Manifestations and Necropsy Observations of Piglets Challenged with GETV-JX-CHN-22-P7
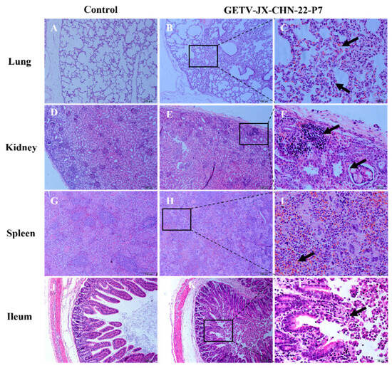
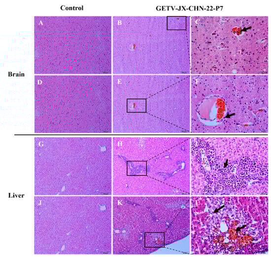
3.5. Virus Distribution and Histopathological Examination
4. Discussion
5. Conclusions
Supplementary Materials
Author Contributions
Funding
Institutional Review Board Statement
Informed Consent Statement
Data Availability Statement
Acknowledgments
Conflicts of Interest
References
- Chen, R.; Mukhopadhyay, S.; Merits, A.; Bolling, B.; Nasar, F.; Coffey, L.L.; Powers, A.; Weaver, S.C. ICTV Report Consortium ICTV Virus Taxonomy Profile: Togaviridae. J. Gen. Virol. 2018, 99, 761–762. [Google Scholar] [CrossRef]
- Strauss, J.H.; Strauss, E.G. The alphaviruses: Gene expression, replication, and evolution. Microbiol. Rev. 1994, 58, 491–562. [Google Scholar] [CrossRef] [PubMed]
- Kamada, M.; Ando, Y.; Fukunaga, Y.; Kumanomido, T.; Imagawa, H.; Wada, R.; Akiyama, Y. Equine Getah virus infection: Isolation of the virus from racehorses during an enzootic in Japan. Am. J. Trop. Med. Hyg. 1980, 29, 984–988. [Google Scholar] [CrossRef]
- Li, X.D.; Qiu, F.X.; Yang, H.; Rao, Y.N.; Calisher, C.H. Isolation of Getah virus from mosquitos collected on Hainan Island, China, and results of a serosurvey. Southeast Asian J. Trop. Med. Public Health 1992, 23, 730–734. [Google Scholar] [PubMed]
- Ksiazek, T.; Trosper, J.; Cross, J.; Basaca-Sevilla, V. Isolation of Getah virus from Nueva Ecija Province, Republic of the Philippines. Trans. R. Soc. Trop. Med. Hyg. 1981, 75, 312–313. [Google Scholar] [CrossRef]
- Liu, H.; Zhang, X.; Li, L.-X.; Shi, N.; Sun, X.-T.; Liu, Q.; Jin, N.-Y.; Si, X.-K. First isolation and characterization of Getah virus from cattle in northeastern China. BMC Veter-Res. 2019, 15, 320. [Google Scholar] [CrossRef]
- Do, L.P.; Bui, T.M.; Hasebe, F.; Morita, K.; Phan, N.T. Molecular epidemiology of Japanese encephalitis in northern Vietnam, 1964–2011: Genotype replacement. Virol. J. 2015, 12, 51. [Google Scholar] [CrossRef]
- Li, Y.-Y.; Liu, H.; Fu, S.-H.; Li, X.-L.; Guo, X.-F.; Li, M.-H.; Feng, Y.; Chen, W.-X.; Wang, L.-H.; Lei, W.-W.; et al. From discovery to spread: The evolution and phylogeny of Getah virus. Infect. Genet. Evol. 2017, 55, 48–55. [Google Scholar] [CrossRef]
- Rocklöv, J.; Tozan, Y.; Ramadona, A.; Sewe, M.O.; Sudre, B.; Garrido, J.; Lary, C.B.d.S.; Lohr, W.; Semenza, J.C. Using Big Data to Monitor the Introduction and Spread of Chikungunya, Europe, 2017. Emerg. Infect. Dis. 2019, 25, 1041–1049. [Google Scholar] [CrossRef]
- Fukunaga, Y.; Kumanomido, T.; Kamada, M. Getah virus as an equine pathogen. Veter-Clin. North Am. Equine Pract. 2000, 16, 605–617. [Google Scholar] [CrossRef]
- Rawle, D.J.; Nguyen, W.; Dumenil, T.; Parry, R.; Warrilow, D.; Tang, B.; Le, T.T.; Slonchak, A.; Khromykh, A.A.; Lutzky, V.P.; et al. Sequencing of Historical Isolates, K-mer Mining and High Serological Cross-Reactivity with Ross River Virus Argue against the Presence of Getah Virus in Australia. Pathogens 2020, 9, 848. [Google Scholar] [CrossRef] [PubMed]
- Kanamitsu, M.; Wada, Y.; Ogata, T.; Urasawa, S.; Taniguchi, K.; Saroso, J.S.; Wada, Y. Geographic distribution of arbovirus antibodies in indigenous human populations in the Indo-Australian archipelago. Am. J. Trop. Med. Hyg. 1979, 28, 351–363. [Google Scholar] [CrossRef] [PubMed]
- Sanderson, C.J. A serologic survey of Queensland cattle for evidence of arbovirus infections. Am. J. Trop. Med. Hyg. 1969, 18, 433–439. [Google Scholar] [CrossRef]
- Shortridge, K.; Mason, D.; Watkins, K.; Aaskov, J. Serological evidence for the transmission of Getah virus in Hong Kong. Vet. Rec. 1994, 134, 527–528. [Google Scholar] [CrossRef] [PubMed]
- Sugiyama, I.; Shimizu, E.; Nogami, S.; Suzuki, K.; Miura, Y.; Sentsui, H. Serological survey of arthropod-borne viruses among wild boars in Japan. J. Veter-Med. Sci. 2009, 71, 1059–1061. [Google Scholar] [CrossRef]
- Li, Y.; Fu, S.; Guo, X.; Li, X.; Li, M.; Wang, L.; Gao, X.; Lei, W.; Cao, L.; Lu, Z.; et al. Serological Survey of Getah Virus in Domestic Animals in Yunnan Province, China. Vector-Borne Zoonotic Dis. 2019, 19, 59–61. [Google Scholar] [CrossRef] [PubMed]
- Zhao, J.; Dellicour, S.; Yan, Z.; Veit, M.; Gill, M.S.; He, W.-T.; Zhai, X.; Ji, X.; Suchard, M.A.; Lemey, P.; et al. Early Genomic Surveillance and Phylogeographic Analysis of Getah Virus, a Reemerging Arbovirus, in Livestock in China. J. Virol. 2023, 97, e0109122. [Google Scholar] [CrossRef]
- Sentsui, H.; Kono, Y. Reappearance of Getah virus infection among horses in Japan. Nihon Juigaku Zasshi. 1985, 47, 333–335. [Google Scholar] [CrossRef] [PubMed]
- Gao, X.; Li, J.; Wu, T.; Dou, J.; Zhang, W.; Jia, H.; Zhang, Z.; Liu, X.; Li, Y. The Isolation and Characterization of a Novel Group III-Classified Getah Virus from a Commercial Modified Live Vaccine against PRRSV. Viruses 2023, 15, 2090. [Google Scholar] [CrossRef]
- Chu, P.-P.; Guo, H.; Zhou, X.; Chen, S.-N.; Sun, X.; Tian, S.; Zou, Y.-G.; Li, C.-L.; Zhang, R.; Zhai, S.-L. Emergence of a novel GIII Getah virus variant in pigs in Guangdong, China, 2023. Microbiol. Spectr. 2024, 12, e0048324. [Google Scholar] [CrossRef]
- Zhou, F.; Wang, A.; Chen, L.; Wang, X.; Cui, D.; Chang, H.; Wang, C. Isolation and phylogenetic analysis of Getah virus from a commercial modified live vaccine against porcine reproductive and respiratory syndrome virus. Mol. Cell. Probes. 2020, 53, 101650. [Google Scholar] [CrossRef] [PubMed]
- Morita, K.; Igarashi, A. Oligonucleotide fingerprint analysis of strains of Getah virus isolated in Japan and Malaysia. J. Gen. Virol. 1984, 65 Pt 11, 1899–1908. [Google Scholar] [CrossRef] [PubMed]
- Azerigyik, F.A.; Faizah, A.N.; Kobayashi, D.; Amoa-Bosompem, M.; Matsumura, R.; Kai, I.; Sasaki, T.; Higa, Y.; Isawa, H.; Iwanaga, S.; et al. Evaluating the mosquito host range of Getah virus and the vector competence of selected medically important mosquitoes in Getah virus transmission. Parasites. Vectors. 2023, 16, 99. [Google Scholar] [CrossRef] [PubMed]
- Nemoto, M.; Bannai, H.; Tsujimura, K.; Kobayashi, M.; Kikuchi, T.; Yamanaka, T.; Kondo, T. Getah Virus Infection among Racehorses, Japan, 2014. Emerg. Infect. Dis. 2015, 21, 883–885. [Google Scholar] [CrossRef] [PubMed]
- Xing, C.; Jiang, J.; Lu, Z.; Mi, S.; He, B.; Tu, C.; Liu, X.; Gong, W. Isolation and characterization of Getah virus from pigs in Guangdong province of China. Transbound. Emerg. Dis. 2020, 67, 2249–2253. [Google Scholar] [CrossRef]
- Kuwata, R.; Shimoda, H.; Phichitraslip, T.; Prasertsincharoen, N.; Noguchi, K.; Yonemitsu, K.; Minami, S.; Supriyono; Tran, N.T.B.; Takano, A.; et al. Getah virus epizootic among wild boars in Japan around 2012. Arch. Virol. 2018, 163, 2817–2821. [Google Scholar] [CrossRef]
- Shi, N.; Liu, H.; Li, L.-X.; Hu, B.; Zhang, L.; Zhao, C.-F.; Deng, X.-Y.; Li, X.-T.; Xue, X.-H.; Bai, X.; et al. Development of a TaqMan probe-based quantitative reverse transcription PCR assay for detection of Getah virus RNA. Arch. Virol. 2018, 163, 2877–2881. [Google Scholar] [CrossRef]
- Yang, T.; Li, R.; Hu, Y.; Yang, L.; Zhao, D.; Du, L.; Li, J.; Ge, M.; Yu, X. An outbreak of Getah virus infection among pigs in China, 2017. Transbound. Emerg. Dis. 2018, 65, 632–637. [Google Scholar] [CrossRef]
- Li, L.; Fu, F.; Xue, M.; Chen, W.; Liu, J.; Shi, H.; Chen, J.; Bu, Z.; Feng, L.; Liu, P. IFN-lambda preferably inhibits PEDV infection of porcine intestinal epithelial cells compared with IFN-alpha. Antivir. Res. 2017, 140, 76–82. [Google Scholar] [CrossRef]
- Tamura, K.; Stecher, G.; Kumar, S. MEGA11: Molecular Evolutionary Genetics Analysis Version 11. Mol. Biol. Evol. 2021, 38, 3022–3027. [Google Scholar] [CrossRef]
- Zhang, Y.; Chen, Y.; Yuan, W.; Peng, Q.; Zhang, F.; Ye, Y.; Huang, D.; Ding, Z.; Lin, L.; He, H.; et al. Evaluation of Cross-Protection between G1a- and G2a-Genotype Porcine Epidemic Diarrhea Viruses in Suckling Piglets. Animals. 2020, 10, 1674. [Google Scholar] [CrossRef] [PubMed]
- Zhang, Y.; Yu, J.; Tan, L.; Wang, X.; Li, R.; Kim, D.Y. Complete genetic dissection and cell type-specific replication of old world alphaviruses, getah virus (GETV) and sagiyama virus (SAGV). J. Microbiol. 2021, 59, 1044–1055. [Google Scholar] [CrossRef]
- Zhang, Y.; Li, Y.; Guan, Z.; Yang, Y.; Zhang, J.; Sun, Q.; Li, B.; Qiu, Y.; Liu, K.; Shao, D.; et al. Rapid Differential Detection of Japanese Encephalitis Virus and Getah Virus in Pigs or Mosquitos by a Duplex TaqMan Real-Time RT-PCR Assay. Front. Veter-Sci. 2022, 9, 839443. [Google Scholar] [CrossRef] [PubMed]
- Li, B.; Wang, H.; Liang, G. Getah Virus (Alphavirus): An Emerging, Spreading Zoonotic Virus. Pathogens. 2022, 11, 945. [Google Scholar] [CrossRef] [PubMed]
- Lu, G.; Chen, R.; Shao, R.; Dong, N.; Liu, W.; Li, S. Getah virus: An increasing threat in China. J. Infect. 2020, 80, 350–371. [Google Scholar] [CrossRef] [PubMed]
- Sun, Q.; Xie, Y.; Guan, Z.; Zhang, Y.; Li, Y.; Yang, Y.; Zhang, J.; Li, Z.; Qiu, Y.; Li, B.; et al. Seroprevalence of Getah virus in Pigs in Eastern China Determined with a Recombinant E2 Protein-Based Indirect ELISA. Viruses. 2022, 14, 2173. [Google Scholar] [CrossRef]
- Shi, N.; Li, L.-X.; Lu, R.-G.; Yan, X.-J.; Liu, H. Highly Pathogenic Swine Getah Virus in Blue Foxes, Eastern China, 2017. Emerg. Infect. Dis. 2019, 25, 1252–1254. [Google Scholar] [CrossRef]
- Pan, J.; Zhang, H.; Chen, X.; Zeng, M.; Han, H.; Guo, Y.; Li, J.; Luo, S.; Yan, G.; Chen, S.; et al. Evolutionary characterization and pathogenicity of Getah virus from pigs in Guangdong Province of China. Arch. Virol. 2023, 168, 258. [Google Scholar] [CrossRef]
- Shi, N.; Qiu, X.; Cao, X.; Mai, Z.; Zhu, X.; Li, N.; Zhang, H.; Zhang, J.; Li, Z.; Shaya, N.; et al. Molecular and serological surveillance of Getah virus in the Xinjiang Uygur Autonomous Region, China, 2017–2020. Virol. Sin. 2022, 37, 229–237. [Google Scholar] [CrossRef]
- Shi, N.; Zhu, X.; Qiu, X.; Cao, X.; Jiang, Z.; Lu, H.; Jin, N. Origin, genetic diversity, adaptive evolution and transmission dynamics of Getah virus. Transbound. Emerg. Dis. 2022, 69, e1037–e1050. [Google Scholar] [CrossRef]
- Kumanomido, T.; Wada, R.; Kanemaru, T.; Kamada, M.; Hirasawa, K.; Akiyama, Y. Clinical and virological observations on swine experimentally infected with Getah virus. Vet. Microbiol. 1988, 16, 295–301. [Google Scholar] [CrossRef]
- Kawamura, H.; Yago, K.; Narita, M.; Imada, T.; Nishimori, T.; Haritani, M. A fatal case in newborn piglets with Getah virus infection: Pathogenicity of the isolate. Nihon Juigaku Zasshi 1987, 49, 1003–1007. [Google Scholar] [CrossRef] [PubMed]
- Izumida, A.; Takuma, H.; Inagaki, S.; Kubota, M.; Hirahara, T.; Kodama, K.; Sasaki, N. Experimental infection of Getah virus in swine. Jpn. J. Veter-Sci. 1988, 50, 679–684. [Google Scholar] [CrossRef] [PubMed]







| Viruses | Detected Number | Positive Number | Positive Rate |
|---|---|---|---|
| Mono-virus | |||
| GETV | 411 | 197 | 47.95% |
| PRRSV | 133 | 9 | 6.76% |
| PEDV | 278 | 73 | 26.25% |
| PDCoV | 182 | 55 | 30.21% |
| TGEV | 182 | 0 | 0 |
| PoRV | 235 | 25 | 10.63% |
| Co-infection | |||
| GETV + PRRSV | 133 | 5 | 3.75% |
| GETV + PDCoV | 182 | 10 | 5.49% |
| GETV + PEDV | 278 | 52 | 18.70% |
| GETV + PoRV | 235 | 20 | 8.51% |
Disclaimer/Publisher’s Note: The statements, opinions and data contained in all publications are solely those of the individual author(s) and contributor(s) and not of MDPI and/or the editor(s). MDPI and/or the editor(s) disclaim responsibility for any injury to people or property resulting from any ideas, methods, instructions or products referred to in the content. |
© 2024 by the authors. Licensee MDPI, Basel, Switzerland. This article is an open access article distributed under the terms and conditions of the Creative Commons Attribution (CC BY) license (https://creativecommons.org/licenses/by/4.0/).
Share and Cite
Lan, J.; Fang, M.; Duan, L.; Liu, Z.; Wang, G.; Wu, Q.; Fan, K.; Huang, D.; Ye, Y.; Wan, G.; et al. Novel Porcine Getah Virus from Diarrheal Piglets in Jiangxi Province, China: Prevalence, Genome Sequence, and Pathogenicity. Animals 2024, 14, 2980. https://doi.org/10.3390/ani14202980
Lan J, Fang M, Duan L, Liu Z, Wang G, Wu Q, Fan K, Huang D, Ye Y, Wan G, et al. Novel Porcine Getah Virus from Diarrheal Piglets in Jiangxi Province, China: Prevalence, Genome Sequence, and Pathogenicity. Animals. 2024; 14(20):2980. https://doi.org/10.3390/ani14202980
Chicago/Turabian StyleLan, Jianhui, Mengtao Fang, Leilei Duan, Zhong Liu, Guanggao Wang, Qi Wu, Ke Fan, Dongyan Huang, Yu Ye, Gen Wan, and et al. 2024. "Novel Porcine Getah Virus from Diarrheal Piglets in Jiangxi Province, China: Prevalence, Genome Sequence, and Pathogenicity" Animals 14, no. 20: 2980. https://doi.org/10.3390/ani14202980
APA StyleLan, J., Fang, M., Duan, L., Liu, Z., Wang, G., Wu, Q., Fan, K., Huang, D., Ye, Y., Wan, G., Tang, Y., & Song, D. (2024). Novel Porcine Getah Virus from Diarrheal Piglets in Jiangxi Province, China: Prevalence, Genome Sequence, and Pathogenicity. Animals, 14(20), 2980. https://doi.org/10.3390/ani14202980

