Causes of Admission, Mortality and Pathological Findings in European Hedgehogs: Reports from Two University Centers in Italy and Switzerland
Abstract
Simple Summary
Abstract
1. Introduction
2. Materials and Methods
2.1. Animal Origin
2.2. Study Animals
2.3. Pathological Examination
2.4. Bacteriological and Parasitological Investigations
2.5. Statistical Analysis and Data Presentation
3. Results
3.1. Descriptive Analysis
3.2. Causes of Admission
3.3. Causes of Death
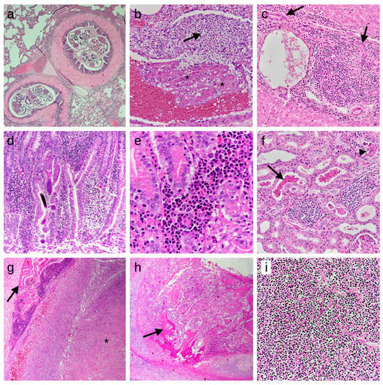
3.4. Pathological Findings
3.4.1. External Examination
3.4.2. Inner Organs
3.4.3. Body Cavities
3.4.4. Neoplasia
3.4.5. Detection of Parasitic and Bacterial Infectious Agents
4. Discussion
5. Conclusions
Author Contributions
Funding
Institutional Review Board Statement
Informed Consent Statement
Data Availability Statement
Acknowledgments
Conflicts of Interest
References
- Döpke, C. Kasuistische Auswertung der Untersuchungen von Igeln (Erinaceus europaeus) im Einsendungsmaterial des Instituts für Pathologie von 1980 bis 2001; Tierärztliche Hochschule: Hannover, Germany, 2002. [Google Scholar]
- Amori, G.; Cassola, F. IUCN Red List European Hedgehog. Available online: https://www.iucnredlist.org/species/29650/2791303#geographic-range (accessed on 4 November 2023).
- Delogu, M.; Cotti, C.; Lelli, D.; Sozzi, E.; Trogu, T.; Lavazza, A.; Garuti, G.; Castrucci, M.R.; Vaccari, G.; De Marco, M.A.; et al. Eco-Virological Preliminary Study of Potentially Emerging Pathogens in Hedgehogs (Erinaceus europaeus) Recovered at a Wildlife Treatment and Rehabilitation Center in Northern Italy. Animals 2020, 10, 407. [Google Scholar] [CrossRef] [PubMed]
- Lapini, L. Erinaceus europaeus. In The Atlas of European Mammals; Mitchell-Jones, A.J., Amori, G., Bogdanowicz, W., Krystufek, B., Reijnders, P.J.H., Spitzenberger, F., Stubbe, M., Thissen, J.B.M., Vohralik, V., Zima, J., Eds.; Poyser: London, UK, 1999; pp. 38–40. [Google Scholar]
- Pettett, C.E.; Moorhouse, T.P.; Johnson, P.J.; Macdonald, D.W. Factors Affecting Hedgehog (Erinaceus europaeus) Attraction to Rural Villages in Arable Landscapes. Eur. J. Wildl. Res. 2017, 63, 54. [Google Scholar] [CrossRef]
- Rautio, A.; Isomursu, M.; Valtonen, A.; Hirvelä-Koski, V.; Kunnasranta, M. Mortality, Diseases and Diet of European Hedgehogs (Erinaceus europaeus) in an Urban Environment in Finland. Mammal Res. 2016, 61, 161–169. [Google Scholar] [CrossRef]
- Bexton, S. Hedgehogs. In BSAVA Manual of Wildlife Casualties; Mullineaux, E., Keeble, E., Eds.; British Small Animal Veterinary Association: Glouchester, UK, 2016; pp. 117–132. ISBN 9781905319800. [Google Scholar]
- Morris, P.A. The Effects of Supplementary Feeding on Movements of Hedgehogs (Erinaceus europaeus). Mammal Rev. 1985, 15, 23–32. [Google Scholar] [CrossRef]
- Kadlecova, G.; Rasmussen, S.L.; Voslarova, E.; Vecerek, V. Differences in Mortality of Pre-Weaned and Post-Weaned Juvenile European Hedgehogs (Erinaceus europaeus) at Wildlife Rehabilitation Centres in the Czech Republic. Animals 2023, 13, 337. [Google Scholar] [CrossRef]
- Haigh, A.; O’Riordan, R.M.; Butler, F. Hedgehog Erinaceus europaeus Mortality on Irish Roads. Wildl. Biol. 2014, 20, 155–160. [Google Scholar] [CrossRef]
- Bunnell, T. The Incidence of Disease and Injury in Displaced Wild Hedgehogs (Erinaceus europaeus). Lutra 2001, 44, 3–14. [Google Scholar]
- Jackson, D.B. The Breeding Biology of Introduced Hedgehogs (Erinaceus europaeus) on a Scottish Island: Lessons for Population Control and Bird Conservation. J. Zool. 2006, 268, 303–314. [Google Scholar] [CrossRef]
- Lukešová, G.; Voslarova, E.; Vecerek, V.; Vucinic, M. Trends in Intake and Outcomes for European Hedgehog (Erinaceus europaeus) in the Czech Rescue Centers. PLoS ONE 2021, 16, e0248422. [Google Scholar] [CrossRef]
- Bezerra-Santos, M.A.; Sgroi, G.; Mendoza-Roldan, J.A.; Khedri, J.; Camarda, A.; Iatta, R.; Sazmand, A.; Otranto, D. Ectoparasites of Hedgehogs: From Flea Mite Phoresy to Their Role as Vectors of Pathogens. Int. J. Parasitol. Parasites Wildl. 2021, 15, 95–104. [Google Scholar] [CrossRef]
- Hubert, P.; Julliard, R.; Biagianti, S.; Poulle, M.L. Ecological Factors Driving the Higher Hedgehog (Erinaceus europeaus) Density in an Urban Area Compared to the Adjacent Rural Area. Landsc. Urban Plan. 2011, 103, 34–43. [Google Scholar] [CrossRef]
- Taucher, A.L.; Gloor, S.; Dietrich, A.; Geiger, M.; Hegglin, D.; Bontadina, F. Decline in Distribution and Abundance: Urban Hedgehogs under Pressure. Animals 2020, 10, 1606. [Google Scholar] [CrossRef] [PubMed]
- Van De Poel, J.L.; Dekker, J.; Van Langevelde, F. Dutch Hedgehogs Erinaceus europaeus Are Nowadays Mainly Found in Urban Areas, Possibly Due to the Negative Effects of Badgers Meles Meles. Wildl. Biol. 2015, 21, 51–55. [Google Scholar] [CrossRef]
- Rasmussen, S.L.; Berg, T.B.; Dabelsteen, T.; Jones, O.R. The Ecology of Suburban Juvenile European Hedgehogs (Erinaceus europaeus) in Denmark. Ecol. Evol. 2019, 9, 13174–13187. [Google Scholar] [CrossRef]
- Garcês, A.; Soeiro, V.; Lóio, S.; Sargo, R.; Sousa, L.; Silva, F.; Pires, I. Outcomes, Mortality Causes, and Pathological Findings in European Hedgehogs (Erinaceus europaeus, Linnaeus 1758): A Seventeen Year Retrospective Analysis in the North of Portugal. Animals 2020, 10, 1305. [Google Scholar] [CrossRef] [PubMed]
- Hof, A.R.; Bright, P.W. The Value of Green-Spaces in Built-up Areas for Western Hedgehogs. Lutra 2009, 52, 69–82. [Google Scholar]
- Ruszkowski, J.J.; Hetman, M.; Turlewicz-Podbielska, H.; Pomorska-Mól, M. Hedgehogs as a Potential Source of Zoonotic Pathogens—A Review and an Update of Knowledge. Animals 2021, 11, 1754. [Google Scholar] [CrossRef]
- Huijser, M.P.; Bergers, P.J.M. The Effect of Roads and Traffic on Hedgehog (Erinaceus europaeus) Populations. Biol. Conserv. 2000, 95, 111–116. [Google Scholar] [CrossRef]
- Zacharopoulou, M.; Guillaume, E.; Coupez, G.; Bleuart, C.; Le Loc’h, G.; Gaide, N. Causes of Mortality and Pathological Findings in European Hedgehogs (Erinaceus europaeus) Admitted to a Wildlife Care Centre in Southwestern France from 2019 to 2020. J. Comp. Pathol. 2022, 190, 19–29. [Google Scholar] [CrossRef]
- Alomar, H.; Chabert, A.; Coeurdassier, M.; Vey, D.; Berny, P. Accumulation of Anticoagulant Rodenticides (Chlorophacinone, Bromadiolone and Brodifacoum) in a Non-Target Invertebrate, the Slug, Deroceras reticulatum. Sci. Total Environ. 2018, 610–611, 576–582. [Google Scholar] [CrossRef]
- D’Havé, H.; Scheirs, J.; Covaci, A.; Schepens, P.; Verhagen, R.; De Coen, W. Nondestructive Pollution Exposure Assessment in the European Hedgehog (Erinaceus europaeus): III. Hair as an Indicator of Endogenous Organochlorine Compound Concentrations. Environ. Toxicol. Chem. 2006, 25, 158–167. [Google Scholar] [CrossRef] [PubMed]
- Dowding, C.V.; Shore, R.F.; Worgan, A.; Baker, P.J.; Harris, S. Accumulation of Anticoagulant Rodenticides in a Non-Target Insectivore, the European Hedgehog (Erinaceus europaeus). Environ. Pollut. 2010, 158, 161–166. [Google Scholar] [CrossRef]
- Hof, A.R.; Bright, P.W. Quantifying the Long-Term Decline of the West European Hedgehog in England by Subsampling Citizen-Science Datasets. Eur. J. Wildl. Res. 2016, 62, 407–413. [Google Scholar] [CrossRef]
- Rondinini, C.; Battistoni, A.; Teofili, C. Lista Rossa IUCN dei Vertebrati Italiani 2022; Comitato Italiano IUCN e Ministero dell’Ambiente e della Sicurezza Energetica: Rome, Italy, 2022; Volume 30. [Google Scholar]
- Rondinini, C.; Capasso, S. Erinaceus europaeus—Italian IUCN Red List. Available online: https://www.iucn.it/scheda.php?id=-944215748 (accessed on 13 November 2023).
- Thrift, E.; Nouvellet, P.; Mathews, F. Plastic Entanglement Poses a Potential Hazard to European Hedgehogs Erinaceus europaeus in Great Britain. Animals 2023, 13, 2448. [Google Scholar] [CrossRef]
- Moore, L.J.; Petrovan, S.O.; Baker, P.J.; Bates, A.J.; Hicks, H.L.; Perkins, S.E.; Yarnell, R.W. Impacts and Potential Mitigation of Road Mortality for Hedgehogs in Europe. Animals 2020, 10, 1523. [Google Scholar] [CrossRef]
- Rasmussen, S.L.; Berg, T.B.; Martens, H.J.; Jones, O.R. Anyone Can Get Old—All You Have to Do Is Live Long Enough: Understanding Mortality and Life Expectancy in European Hedgehogs (Erinaceus europaeus). Animals 2023, 13, 626. [Google Scholar] [CrossRef]
- Martínez, J.C.; Rosique, A.I.; Royo, M.S. Causes of Admission and Final Dispositions of Hedgehogs Admitted to Three Wildlife Rehabilitation Centers in Eastern Spain. Hystrix 2014, 25, 107–110. [Google Scholar] [CrossRef]
- Otranto, D.; Dantas-Torres, F.; Santos-Silva, M.M. Ixodes Ricinus (Linnaeus, 1758) (Figs. 67−69). In Ticks of Europe and North Africa: A Guide to Species Identification; Estrada-Peña, A., Mihalca, A.D., Petney, T.N., Eds.; Springer International Publishing: Cham, Switzerland, 2017; pp. 189–195. ISBN 978-3-319-63760-0. [Google Scholar]
- Sándor, A.D. Ixodes Hexagonus Leach, 1815 (Figs. 49–51). In Ticks of Europe and North Africa: A Guide to Species Identification; Estrada-Peña, A., Mihalca, A.D., Petney, T.N., Eds.; Springer International Publishing: Cham, Switzerland, 2017; pp. 147–151. ISBN 978-3-319-63760-0. [Google Scholar]
- Smith, F.G.A. Siphonaptera. In Handbooks for the Identification of British Insects; Royal Entomological Society: St Albans, UK, 1957; Volume 6, pp. 1–94. [Google Scholar]
- Il Clima in Europa. Available online: https://www.schededigeografia.net/Europa/europa_fisica/clima_europa.htm (accessed on 14 November 2023).
- Wallenfeldt, J. Canton Zurich, Switzerland. Available online: https://www.britannica.com/place/Zurich-canton-Switzerland (accessed on 14 November 2023).
- Foreste Del Piemonte, Economia e Ambiente. Available online: https://www.regione.piemonte.it/web/temi/ambiente-territorio/foreste/foreste-piemonte-economia-ambiente (accessed on 14 November 2023).
- Tikkanen, A. Piedmont Region, Italy. Available online: https://www.britannica.com/place/Piedmont-region-Italy (accessed on 14 November 2023).
- Landscape: In Brief. Available online: https://www.bafu.admin.ch/bafu/en/home/topics/landscape/in-brief.html (accessed on 14 November 2023).
- Il Cambiamento Climatico in Piemonte. Available online: https://www.regione.piemonte.it/web/temi/ambiente-territorio/cambiamento-climatico/cambiamento-climatico-piemonte (accessed on 14 November 2023).
- Fact Sheet: Facts & Figures Swiss Public Transport. Available online: https://www.mystsnet.com/en/download/fact-sheet-facts-figures-swiss-public-transport/ (accessed on 3 January 2024).
- Trasporti e Mobilità Istat. Available online: https://www.istat.it/storage/politiche-sviluppo/Trasporti_mobilita.xls (accessed on 3 January 2024).
- Urban and Rural Areas. Available online: https://www.eda.admin.ch/aboutswitzerland/en/home/gesellschaft/bevoelkerung/stadt-und-land.html (accessed on 3 January 2024).
- Il Censimento Permanente Della Popolazione in Piemonte—Anno 2020. Available online: https://www.istat.it/it/archivio/268878 (accessed on 3 January 2024).
- Igel Stadt Zürich. Available online: https://www.stadt-zuerich.ch/ted/de/index/gsz/beratung-und-wissen/tier-und-mensch/Igel.html (accessed on 4 January 2024).
- Lehmann, S.; Dervas, E.; Ruiz Subira, A.; Eulenberger, U.; Gimmel, A.; Grimm, F.; Hetzel, U.; Kipar, A. Verminous Pneumonia in European Hedgehogs (Erinaceus europaeus). Vet. Pathol. 2023, 61, 256–268. [Google Scholar] [CrossRef]
- Mariacher, A.; Santini, A.; Del Lesto, I.; Tonon, S.; Cardini, E.; Barone, A.; Eleni, C.; Fichi, G.; Perrucci, S. Endoparasite Infections of the European Hedgehog (Erinaceus europaeus) in Central Italy. Animals 2021, 11, 3171. [Google Scholar] [CrossRef]
- Majeed, S.K.; Cooper, J.E. Lesions Associated with a Capillaria Infestation in the European Hedgehog (Erinaceus europaeus). J. Comp. Pathol. 1984, 94, 625–628. [Google Scholar] [CrossRef]
- Majeed, S.K.; Morris, P.; Cooper, J.E. Occurrence of the Lungworms Capillaria and Crenosoma Spp. in British Hedgehogs (Erinaceus europaeus). J. Comp. Pathol. 1989, 100, 27–36. [Google Scholar] [CrossRef]
- Poglayen, G.; Giannetto, S.; Scala, A.; Garippa, G.; Capelli, G.; Scaravelli, D.; Brianti, E.; Reeve, N.J. Helminths Found in Hedgehogs (Erinaceus europaeus) in Three Areas of Italy. Vet. Rec. 2003, 152, 22–24. [Google Scholar] [CrossRef] [PubMed]
- Rasmussen, S.L.; Hallig, J.; van Wijk, R.E.; Petersen, H.H. An Investigation of Endoparasites and the Determinants of Parasite Infection in European Hedgehogs (Erinaceus europaeus) from Denmark. Int. J. Parasitol. Parasites Wildl. 2021, 16, 217–227. [Google Scholar] [CrossRef]
- Pfäffle, M.; Černábolfíková, B.; Hulva, P.; Petney, T. Different Parasite Faunas in Sympatric Populations of Sister Hedgehog Species in a Secondary Contact Zone. PLoS ONE 2014, 9, e114030. [Google Scholar] [CrossRef]
- Gaglio, G.; Allen, S.; Bowden, L.; Bryant, M.; Morgan, E.R. Parasites of European Hedgehogs (Erinaceus europaeus) in Britain: Epidemiological Study and Coprological Test Evaluation. Eur. J. Wildl. Res. 2010, 56, 839–844. [Google Scholar] [CrossRef]
- Cousquer, G. Analysis of Tracheal Sputum for Diagnosing and Monitoring Verminous Pneumonia in Hedgehogs (Erinaceus europaeus). Vet. Rec. 2004, 154, 332–333. [Google Scholar] [CrossRef] [PubMed]
- Gorgani-Firouzjaee, T.; Farshid, A.A.; Naem, S. First Ultrastructural Observations on Gastritis Caused by Physaloptera clausa (Spirurida: Physalopteridae) in Hedgehogs (Erinaceus europeaus). Parasitol. Res. 2015, 114, 3693–3698. [Google Scholar] [CrossRef]
- Octavia, S.; Lan, R. The Family Enterobacteriaceae. In The Prokaryotes; Springer: Berlin, Heidelberg, 2014; pp. 225–286. [Google Scholar]
- Mehdizadeh Gohari, I.; Navarro, M.A.; Li, J.; Shrestha, A.; Uzal, F.; McClane, B.A. Pathogenicity and Virulence of Clostridium Perfringens. Virulence 2021, 12, 723–753. [Google Scholar] [CrossRef]
- Torres, C.; Alonso, C.A.; Ruiz-Ripa, L.; León-Sampedro, R.; Del Campo, R.; Coque, T.M. Antimicrobial Resistance in Enterococcus Spp. of Animal Origin. Microbiol. Spectr. 2018, 6, ARBA-0032-2018. [Google Scholar] [CrossRef]
- Liu, H.; Zhu, J.; Hu, Q.; Rao, X. Morganella Morganii, a Non-Negligent Opportunistic Pathogen. Int. J. Infect. Dis. 2016, 50, 10–17. [Google Scholar] [CrossRef]
- Lawson, B.; Franklinos, L.H.V.; Rodriguez-Ramos Fernandez, J.; Wend-Hansen, C.; Nair, S.; Macgregor, S.K.; John, S.K.; Pizzi, R.; Núñez, A.; Ashton, P.M.; et al. Salmonella Enteritidis ST183: Emerging and Endemic Biotypes Affecting Western European Hedgehogs (Erinaceus europaeus) and People in Great Britain. Sci. Rep. 2018, 8, 2449. [Google Scholar] [CrossRef]
- Jota Baptista, C.; Oliveira, P.A.; Gonzalo-Orden, J.M.; Seixas, F. Do Urban Hedgehogs (Erinaceus europaeus) Represent a Relevant Source of Zoonotic Diseases? Pathogens 2023, 12, 268. [Google Scholar] [CrossRef]
- Jota Baptista, C.V.; Seixas, F.; Gonzalo-Orden, J.M.; Oliveira, P.A. Can the European Hedgehog (Erinaceus europaeus) Be a Sentinel for One Health Concerns? Biologics 2021, 1, 61–69. [Google Scholar] [CrossRef]
- Döpke, C.; Fehr, M.; Thiele, A.; Pohlenz, J.; Wohlsein, P. Morphological and Immunohistochemical Characterization of Spontaneous Mammary Tumours in European Hedgehogs (Erinaceus europaeus). J. Comp. Pathol. 2007, 137, 22–29. [Google Scholar] [CrossRef] [PubMed]
- Ulrich, R.; Stan, A.C.; Fehr, M.; Mallig, C.; Puff, C. Desmoplastic Ganglioglioma of the Spinal Cord in a Western European Hedgehog (Erinaceus europaeus). J. Vet. Diagn. Investig. 2010, 22, 978–983. [Google Scholar] [CrossRef] [PubMed]
- Singh, K.; Blas-Machado, U.; Cooper, E.J.; Caseltine, S.L.; Nordhausen, R. Spontaneous Subcutaneous Myxosarcoma in a Captive European Hedgehog (Erinaceus europaeus). J. Vet. Diagn. Investig. 2006, 18, 627–631. [Google Scholar] [CrossRef]
- Kuonen, V.J.; Wilkie, D.A.; Morreale, R.J.; Oglesbee, B.; Barrett-Rephun, K. Unilateral Exophthalmia in a European Hedgehog (Erinaceus europaeus) Caused by a Lacrimal Ductal Carcinoma. Vet. Ophthalmol. 2002, 5, 161–165. [Google Scholar] [CrossRef]


| Sex | Age | BCS | |||||||||||||||||||
|---|---|---|---|---|---|---|---|---|---|---|---|---|---|---|---|---|---|---|---|---|---|
| Male | Female | Unknown | Adult | Juvenile | Unweaned | Cachectic | Decent | Good | Excellent | ||||||||||||
| n | %, [95% CI] | n | %, [95% CI] | n | %, [95% CI] | n | %, [95% CI] | n | %, [95% CI] | n | %, [95% CI] | n | %, [95% CI] | n | %, [95% CI] | n | %, [95% CI] | n | %, [95% CI] | ||
| Country of origin | Italy | 87 | 61.7, [53.1–69.8] | 75 | 66.4, [56.9–75.0] | 0 | 0.0, [0.0–19.5] | 84 | 54.5, [46.3–62.6] | 76 | 67.9, [58.3–76.4] | 2 | 40.0, [5.2–85.3] | 10 | 28.6, [14.6–46.3] | 50 | 61.0, [49.6–71.6] | 98 | 66.2, [58.0–73.8] | 4 | 66.7, [22.3–95.7] |
| Switzerland | 54 | 38.3, [30.2–46.9] | 38 | 33.6, [25.0–43.1] | 17 | 100.0, [80.5–100.0] | 70 | 45.5, [37.4–53.7] | 36 | 32.1, [23.6–41.6] | 3 | 60.0, [14.7–94.7] | 25 | 71.4, [53.7–85.4] | 32 | 39.0, [28.4–50.4] | 50 | 33.8, [26.2–42.0] | 2 | 33.3, [43.3–77.7] | |
| Country of Origin | |||||
|---|---|---|---|---|---|
| Italy | Switzerland | ||||
| n | %, [95% CI] | n | %, [95% CI] | ||
| Cause of admission | Trauma/Predation | 60 | 37.0, [29.6–45.0] | 17 | 15.6, [9.4–23.8] |
| Debilitation | 56 | 34.6, [27.3–42.4] | 19 | 17.4, [10.8–25.9] | |
| Found dead | 3 | 1.9, [0.4–5.3] | 27 | 24.8, [17.0–34.0] | |
| Respiratory signs | 13 | 8.0, [4.3–13.3] | 15 | 13.8, [7.9–21.7] | |
| Random find | 23 | 14.2, [9.2–20.5] | 0 | 0.0, [0.0–3.3] | |
| Gastrointestinal signs | 2 | 1.2, [0.1–4.4] | 12 | 11.0, [5.8–18.4] | |
| Neurological signs | 0 | 0.0, [0.0–2.3] | 6 | 5.5, [2.0–11.6] | |
| Neoplasia | 2 | 1.2, [0.1–4.4] | 0 | 0.0, [0.0–3.3] | |
| Unknown | 3 | 1.9, [0.4–5.3] | 13 | 11.9, [6.5–19.5] | |
| Cause of death | Infectious disease | 87 | 53.7, [45.7–61.6] | 77 | 70.6, [61.2–79.0] |
| Trauma/Predation | 62 | 38.3, [30.8–46.2] | 13 | 11.9, [6.5–19.5] | |
| Starvation | 0 | 0.0, [0.0–2.3] | 5 | 4.6, [1.5–10.4] | |
| Neoplasia | 2 | 1.2, [0.1–4.4] | 3 | 2.8, [0.6–7.8] | |
| Unknown | 11 | 6.8, [3.4–11.8] | 11 | 10.1, [5.1–17.3] | |
| Sex | Age | BCS | |||||||||||||||||||
|---|---|---|---|---|---|---|---|---|---|---|---|---|---|---|---|---|---|---|---|---|---|
| Male | Female | Unknown | Adult | Juvenile | Unweaned | Cachectic | Decent | Good | Excellent | ||||||||||||
| n | %, [95% CI] | n | %, [95% CI] | n | %, [95% CI] | n | %, [95% CI] | n | %, [95% CI] | n | %, [95% CI] | n | %, [95% CI] | n | %, [95% CI] | n | %, [95% CI] | n | %, [95% CI] | ||
| Cause of admission | Trauma/ Predation | 43 | 31.9, [24.1–40.4] | 32 | 30.5, [21.9–40.2] | 2 | 11.8, [1.5–36.4] | 56 | 36.4, [28.8–44.5] | 21 | 18.8, [12.0–27.2] | 0 | 0.0, [0.0–52.2] | 6 | 17.1, [6.6–33.6] | 22 | 26.8, [17.6–37.8] | 47 | 31.8, [24.4–40.0] | 2 | 33.3, [4.3–77.7] |
| Debilitation | 37 | 27.4, [20.1–35.7] | 35 | 33.3, [24.4–43.2] | 3 | 17.6, [3.8–43.4] | 34 | 22.1, [15.8–29.5] | 40 | 35.7, [26.9–45.3] | 1 | 20.0, [0.5–71.6] | 9 | 25.7, [12.5–43.3] | 29 | 35.4, [25.1–46.7] | 37 | 25.0, [18.3–32.8] | 0 | 0.0, [0.0–45.9] | |
| Found dead | 14 | 10.4, [5.8–16.8] | 8 | 7.6, [3.3–14.5] | 8 | 47.1, [23.0–72.2] | 13 | 8.4, [4.6–14.0] | 16 | 14.3, [8.4–22.2] | 1 | 20.0, [0.5–71.6] | 7 | 20.0, [8.4–36.9] | 8 | 9.6, [4.3–18.3] | 15 | 10.1, [5.8–16.2] | 0 | 0.0, [0.0–45.9] | |
| Respiratory signs | 16 | 11.9, [6.9–18.5] | 12 | 11.4, [6.0–19.1] | 0 | 0.0, [0.0–19.5] | 22 | 14.3, [9.2–20.8] | 6 | 5.4, [2.0–11.3] | 0 | 0.0, [0.0–52.2] | 5 | 14.3, [4.8–30.3] | 6 | 7.3, [2.7–15.2] | 15 | 10.1, [5.8–16.2] | 2 | 33.3, [4.3–77.7] | |
| Random find | 14 | 10.4, [5.8–16.8] | 9 | 8.6, [4.0–15.6] | 0 | 0.0, [0.0–19.5] | 3 | 1.9, [0.4–5.6] | 18 | 16.1, [9.8–24.2] | 2 | 40.0, [5.3–85.3] | 1 | 2.9, [0.1–14.9] | 7 | 8.5, [3.5–16.8] | 15 | 10.1, [5.8–16.2] | 0 | 0.0, [0.0–45.9] | |
| Gastrointestinal signs | 8 | 5.9, [2.6–11.3] | 5 | 4.8, [1.6–10.8] | 1 | 5.9, [0.1–28.7] | 8 | 5.2, [2.3–10.0] | 5 | 4.5, [1.5–10.1] | 1 | 20.0, [0.5–71.6] | 2 | 5.7, [0.7–19.6] | 4 | 4.9, [1.3–12.0] | 8 | 5.4, [2.4–10.4] | 0 | 0.0, [0.0–45.9] | |
| Neurological signs | 2 | 1.5, [0.2–5.2] | 3 | 2.9, [0.6–8.1] | 1 | 5.9, [0.1–28.7] | 4 | 2.6, [0.7–6.5] | 2 | 1.8, [0.2–6.3] | 0 | 0.0, [0.0–52.2] | 0 | 0.0, [0.0–10.0] | 3 | 3.7, [0.8–10.3] | 3 | 2.0, [0.4–5.8] | 0 | 0.0, [0.0–45.9] | |
| Neoplasia | 1 | 0.7, [0.0–4.1] | 1 | 1.0, [0.0–5.2] | 0 | 0.0, [0.0–19.5] | 2 | 1.3, [0.2–4.6] | 0 | 0.0, [0.0–3.2] | 0 | 0.0, [0.0–52.2] | 0 | 0.0, [0.0–10.0] | 1 | 1.2, [0.0–6.6] | 0 | 0.0, [0.0–2.5] | 1 | 16.7, [0.4–64.1] | |
| Unknown | 6 | 4.4, [1.6–9.4] | 8 | 7.6, [3.3–14.5] | 2 | 11.8, [1.5–36.4] | 12 | 7.8, [4.1–13.2] | 4 | 3.6, [1.0–8.9] | 0 | 0.0, [0.0–52.2] | 5 | 14.3, [4.8–30.3] | 2 | 2.4, [0.3–8.5] | 8 | 5.4, [2.4–10.4] | 1 | 16.7, [0.4–64.1] | |
| Cause of death | Infectious disease | 86 | 61.0, [52.4–69.1] | 66 | 58.4%, [48.8–67.6] | 12 | 70.6, [44.0–89.7] | 89 | 57.8, [49.6–65.7] | 70 | 62.5, [52.9–71.5] | 5 | 100.0, [47.8–100.0] | 22 | 62.9, [44.9–78.5] | 53 | 64.6, [53.3–74.9] | 86 | 58.1, [49.7–66.2] | 3 | 50.0, [11.8–88.2] |
| Trauma/ Predation | 39 | 27.7, [20.5–35.8] | 32 | 28.3, [20.2–37.6] | 4 | 23.5, [6.8–49.9] | 49 | 31.8, [24.6–39.8] | 26 | 23.2, [15.8–32.1] | 0 | 0.0, [0.0–52.2] | 3 | 8.6, [1.8–23.1] | 19 | 23.2, [14.6–33.8] | 51 | 34.5, [26.8–42.7] | 2 | 33.3, [4.3–77.7] | |
| Starvation | 2 | 1.4, [0.2–5.0] | 3 | 2.7, [0.6–7.6] | 0 | 0.0, [0.0–19.5] | 3 | 1.9, [0.4–5.6] | 2 | 1.8, [0.2–6.3] | 0 | 0.0, [0.0–52.2] | 5 | 14.3, [4.8–30.3] | 0 | 0.0, [0.0–4.4] | 0 | 0.0, [0.0–2.5] | 0 | 0.0, [0.0–45.9] | |
| Neoplasia | 3 | 2.1, [6.1] | 2 | 1.8, [0.2–6.2] | 0 | 0.0, [0.0–19.5] | 5 | 3.2, [1.2–7.4] | 0 | 0.0, [0.0–3.2] | 0 | 0.0, [0.0–52.2] | 1 | 2.9, [0.1–14.9] | 1 | 1.2, [0.0–6.6] | 2 | 1.4, [0.1–4.8] | 1 | 16.7, [0.4–64.1] | |
| Unknown | 11 | 7.8, [4.0–13.5] | 10 | 8.8, [4.3–15.6] | 1 | 5.9, [0.1–28.7] | 8 | 5.2, [2.3–10.0] | 14 | 12.5, [7.0–20.1] | 0 | 0.0, [0.0–52.2] | 4 | 11.4, [3.2–26.7] | 9 | 11.0, [5.1–19.8] | 9 | 6.1, [2.8–11.2] | 0 | 0.0, [0.0–45.9] | |
| Cause of Death | |||||||||||
|---|---|---|---|---|---|---|---|---|---|---|---|
| Infectious Disease | Neoplasia | Starvation | Trauma/Predation | Unknown | |||||||
| n | %, [95% CI] | n | %, [95% CI] | n | %, [95% CI] | n | %, [95% CI] | n | %, [95% CI] | ||
| Season of death | Winter | 19 | 11.6, [7.1–17.5] | 1 | 20.0, [0.5–71.6] | 1 | 20.0, [0.5–71.6] | 2 | 2.7, [0.3–9.3] | 3 | 13.6, [2.9–34.9] |
| Spring | 37 | 22.6, [16.4–29.7] | 2 | 40.0, [5.3–85.3] | 1 | 20.0, [0.5–71.6] | 28 | 37.3, [26.4–49.3] | 4 | 18.2, [5.2–40.3] | |
| Summer | 60 | 36.6, [29.2–44.5] | 0 | 0.0, [0.0–52.2] | 3 | 60.0, [14.7–94.7] | 27 | 36.0, [25.2–47.9] | 10 | 45.5, [24.4–67.8] | |
| Autumn | 45 | 27.4, [20.8–34.9] | 2 | 40.0, [5.3–85.3] | 0 | 0.0, [0.0–52.2] | 14 | 18.7, [10.6–29.3] | 5 | 22.7, [7.8–45.4] | |
| Unknown | 3 | 1.8, [0.4–5.3] | 0 | 0.0, [0.0–52.2] | 0 | 0.0, [0.0–52.2] | 4 | 5.3, [1.5–13.1] | 0 | 0.0, [0.0–15.4] | |
| Organ | Macroscopic Findings | n | %, [95% CI] |
|---|---|---|---|
| Ectoparasites | Co-infestation | 25 | 9.2, [6.1–13.3] |
| Myiasis | 17 | 6.3, [3.7–9.9] | |
| Ticks | 15 | 5.5, [3.1–9.0] | |
| Fleas | 8 | 3.0, [1.3–5.7] | |
| Lung | Granulomatous bronchopneumonia ± pleuritis | 90 | 33.2, [27.6–39.2] |
| Catarrhal bronchopneumonia ± pleuritis | 55 | 20.3, [15.7–25.6] | |
| Hyperemia | 26 | 9.6, [6.4–13-7] | |
| Suppurative bronchopneumonia ± pleuritis | 14 | 5.2, [2.9–8.5] | |
| Hemorrhage | 6 | 2.2, [0.8–4.8] | |
| Fibrinous pleuropneumonia | 4 | 1.5, [0.4–3.7] | |
| Neoplasia | 1 | 0.4, [0.0–2.0] | |
| Liver | Hyperemia | 11 | 4.1, [2.0–7.1] |
| Lipidosis | 11 | 4.1, [2.0–7.1] | |
| Chronic hepatitis/Perihepatitis | 5 | 1.8, [0.6–4.3] | |
| Rupture | 4 | 1.5, [0.4–3.7] | |
| Neoplasia | 1 | 0.4, [0.0–2.0] | |
| Skin | Laceration/Abrasion/Hemorrhage | 48 | 17.7, [13.4–22.8] |
| Dermatitis | 17 | 6.3, [3.7–9.9] | |
| Abscess/Granuloma | 9 | 3.3, [1.5–6.2] | |
| Intestine | Catarrhal enteritis | 20 | 7.4, [4.6–11.2] |
| Herniation | 4 | 1.5, [0.4–3.7] | |
| Hemorrhagic enteritis | 3 | 1.1, [0.2, 3.2] | |
| Mesenteric lymph nodes | Reactive hyperplasia | 20 | 7.4, [4.6–11.2] |
| Musculo-skeletal | Limb fracture/Luxation/Amputation | 15 | 5.5, [3.1–9.0] |
| Skull fracture | 12 | 4.4, [2.3–7.6] | |
| Myositis/Osteitis | 9 | 3.3, [1.5–6.2] | |
| Hemorrhage | 8 | 3.0, [1.3–5.7] | |
| Polytrauma | 4 | 1.5, [0.4–3.7] | |
| Spleen | Congestion | 16 | 5.9, [3.4–9.4] |
| Neoplasia | 3 | 1.1, [0.2, 3.2] | |
| Splenitis | 3 | 1.1, [0.2, 3.2] | |
| Rupture | 2 | 0.7, [0.1–2.6] | |
| Kidneys | Interstitial nephritis/Glomerulonephritis | 3 | 1.1, [0.2, 3.2] |
| Hyperemia | 2 | 0.7, [0.1–2.6] | |
| Neoplasia | 2 | 0.7, [0.1–2.6] | |
| Petechiae | 2 | 0.7, [0.1–2.6] | |
| Stomach | Catharral gastritis | 15 | 5.5, [3.1–9.0] |
| Hemorrhagic gastritis | 11 | 4.1, [2.0–7.1] | |
| Gastric ulcer | 5 | 1.8, [0.6–4.3] | |
| Traumatic rupture | 1 | 0.4, [0.0–2.0] | |
| Parasites | 1 | 0.4, [0.0–2.0] | |
| Brain | Hemorrhage | 9 | 3.3, [1.5–6.2] |
| Subdural hematoma | 8 | 3.0, [1.3–5.7] | |
| Meningitis/meningoencephalitis | 1 | 0.4, [0.0–2.0] | |
| Heart | Fibrinous pericarditis | 6 | 2.2, [0.8–4.8] |
| Urinary bladder | Suspected neurogenic bladder dysfunction | 4 | 1.5, [0.4–3.7] |
| Cystitis | 2 | 0.7, [0.1–2.6] | |
| Reproductive tract | Endometritis/Metritis | 3 | 1.1, [0.2, 3.2] |
| Balanoposthitis | 1 | 0.4, [0.0–2.0] | |
| Thoracic effusion | Serohemorrhagic | 45 | 16.6, [12.4–21.6] |
| Hemothorax | 13 | 4.8, [2.6–8.1] | |
| Suppurative | 6 | 2.2, [0.8–4.8] | |
| Serum-fibrinous | 3 | 1.1, [0.2, 3.2] | |
| Abdominal effusion | Serohemorrhagic | 13 | 4.8, [2.6–8.1] |
| Hemoabdomen | 4 | 1.5, [0.4–3.7] | |
| Serofibrinous | 2 | 0.7, [0.1–2.6] | |
| Suppurative | 1 | 0.4, [0.0–2.0] |
| Organ | Histologic Findings | n | %, [95% CI] |
|---|---|---|---|
| Lung | Lymphoplasmacytic pneumonia ± pleuritis | 118 | 45.9, [39.7–52.2] |
| Granulomatous pneumonia ± pleuritis | 49 | 18.1, [13.7–23.2] | |
| Suppurative pneumonia ± pleuritis | 21 | 8.2, [5.1–12.2] | |
| Neoplasia | 1 | 0.4, [0.0–0.2] | |
| Pulmonary parasites | 147 | 57.2, [50.9–63.3] | |
| Liver | Lymphoplasmacytic (cholangio)hepatitis | 60 | 23.3, [18.3–29.0] |
| Steatosis | 12 | 4.7, [2.4–8.0] | |
| Suppurative/Mixed cellular (cholangio)hepatitis ± necrosis | 9 | 3.5, [1.6–6.5] | |
| Granulomatous (cholangio)hepatitis | 7 | 2.7, [1.1–5.5] | |
| Necrosis/Degeneration | 7 | 2.7, [1.1–5.5] | |
| Neoplasia | 3 | 1.2, [0.2–3.4] | |
| Intestine | Lymphoplasmacytic enteritis | 42 | 16.3, [12.0–21.4] |
| Suppurative/necrotizing enteritis | 13 | 5.1, [2.7–8.5] | |
| Intestinal parasites | 35 | 13.6, [9.7–18.4] | |
| Spleen | Extramedullary hematopoiesis | 66 | 25.7, [20.5–31.5] |
| Reactive hyperplasia of the white pulp | 39 | 15.2, [11.0–20.2] | |
| Follicular depletion/rarefaction | 3 | 1.2, [0.2–3.4] | |
| Neoplasia | 3 | 1.2, [0.2–3.4] | |
| Splenitis | 3 | 1.2, [0.2–3.4] | |
| Necrosis | 1 | 0.4, [0.0–0.2] | |
| Kidneys | Lymphoplasmacytic/granulomatous/suppurative nephritis | 40 | 15.6, [11.4–20.6] |
| Degeneration/Necrosis of tubuli | 4 | 1.6, [0.4–3.9] | |
| Neoplasia | 2 | 0.8, [0.1–2.8] | |
| Brain | Suppurative (meningo)encephalitis | 12 | 4.7, [2.4–8.0] |
| Lymphoplasmacytic (meningo)encephalitis | 11 | 4.3, [2.2–7.5] | |
| Hemorrhage | 7 | 2.7, [1.1–5.5] | |
| Granulomatous (meningo)encephalitis | 1 | 0.4, [0.0–0.2] | |
| Heart | Lymphoplasmacytic epi-/myo-/endocarditis | 11 | 4.3, [2.2–7.5] |
| Suppurative myocarditis | 5 | 1.9, [0.6–4.5] |
Disclaimer/Publisher’s Note: The statements, opinions and data contained in all publications are solely those of the individual author(s) and contributor(s) and not of MDPI and/or the editor(s). MDPI and/or the editor(s) disclaim responsibility for any injury to people or property resulting from any ideas, methods, instructions or products referred to in the content. |
© 2024 by the authors. Licensee MDPI, Basel, Switzerland. This article is an open access article distributed under the terms and conditions of the Creative Commons Attribution (CC BY) license (https://creativecommons.org/licenses/by/4.0/).
Share and Cite
Prandi, I.; Dervas, E.; Colombino, E.; Bonaffini, G.; Zanet, S.; Orusa, R.; Robetto, S.; Vacchetta, M.; Mauthe von Degerfeld, M.; Quaranta, G.; et al. Causes of Admission, Mortality and Pathological Findings in European Hedgehogs: Reports from Two University Centers in Italy and Switzerland. Animals 2024, 14, 1852. https://doi.org/10.3390/ani14131852
Prandi I, Dervas E, Colombino E, Bonaffini G, Zanet S, Orusa R, Robetto S, Vacchetta M, Mauthe von Degerfeld M, Quaranta G, et al. Causes of Admission, Mortality and Pathological Findings in European Hedgehogs: Reports from Two University Centers in Italy and Switzerland. Animals. 2024; 14(13):1852. https://doi.org/10.3390/ani14131852
Chicago/Turabian StylePrandi, Ilaria, Eva Dervas, Elena Colombino, Giuseppe Bonaffini, Stefania Zanet, Riccardo Orusa, Serena Robetto, Massimo Vacchetta, Mitzy Mauthe von Degerfeld, Giuseppe Quaranta, and et al. 2024. "Causes of Admission, Mortality and Pathological Findings in European Hedgehogs: Reports from Two University Centers in Italy and Switzerland" Animals 14, no. 13: 1852. https://doi.org/10.3390/ani14131852
APA StylePrandi, I., Dervas, E., Colombino, E., Bonaffini, G., Zanet, S., Orusa, R., Robetto, S., Vacchetta, M., Mauthe von Degerfeld, M., Quaranta, G., Hetzel, U., & Capucchio, M. T. (2024). Causes of Admission, Mortality and Pathological Findings in European Hedgehogs: Reports from Two University Centers in Italy and Switzerland. Animals, 14(13), 1852. https://doi.org/10.3390/ani14131852

