Common Neurologic Diseases in Geriatric Dogs
Abstract
Simple Summary
Abstract
1. Introduction
2. Brain Diseases
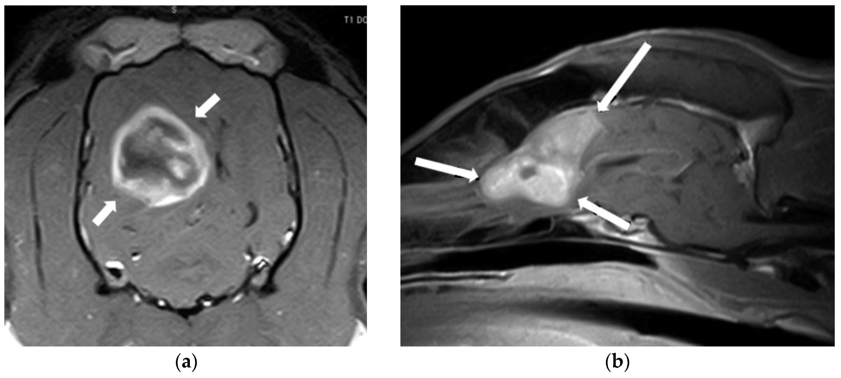
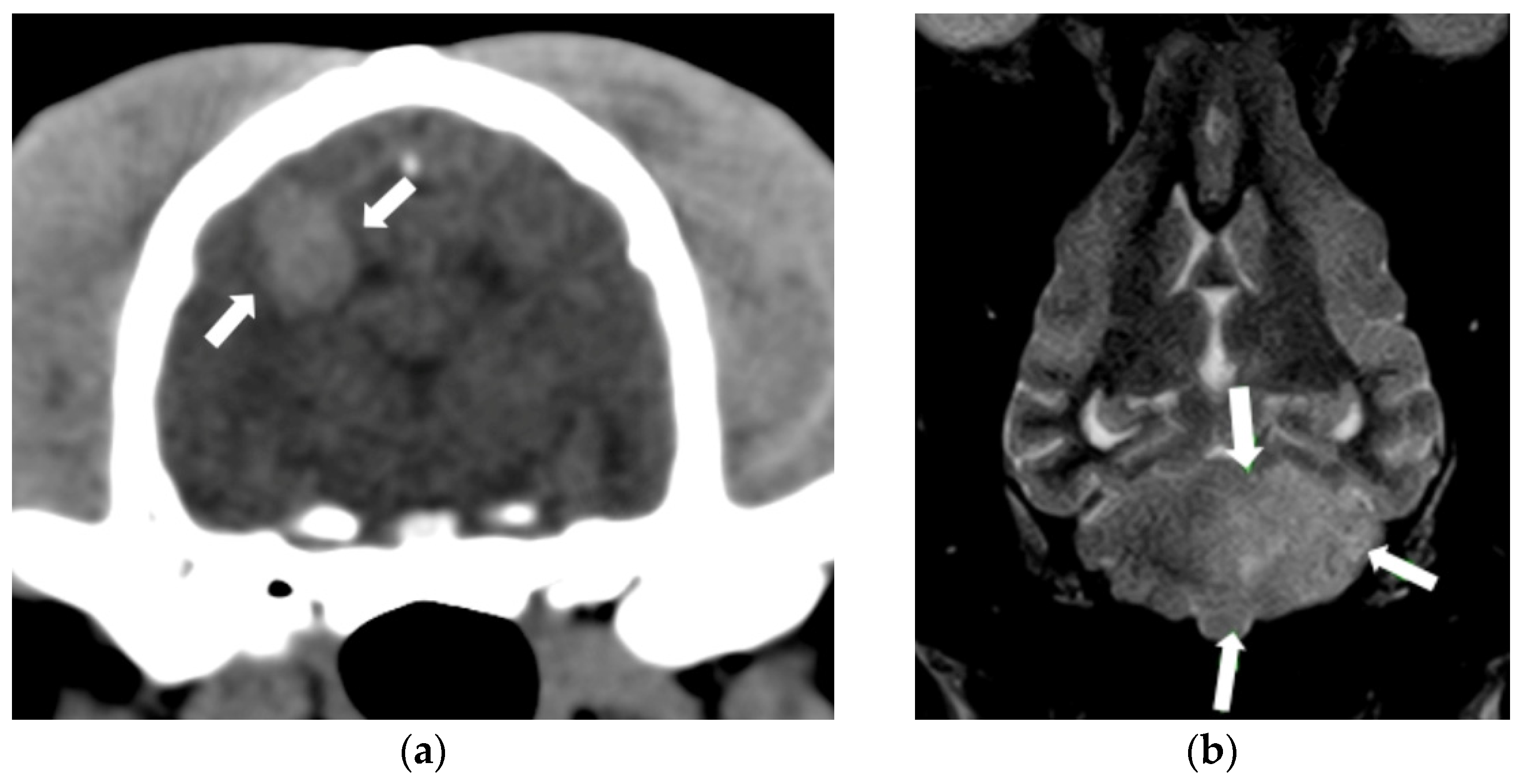
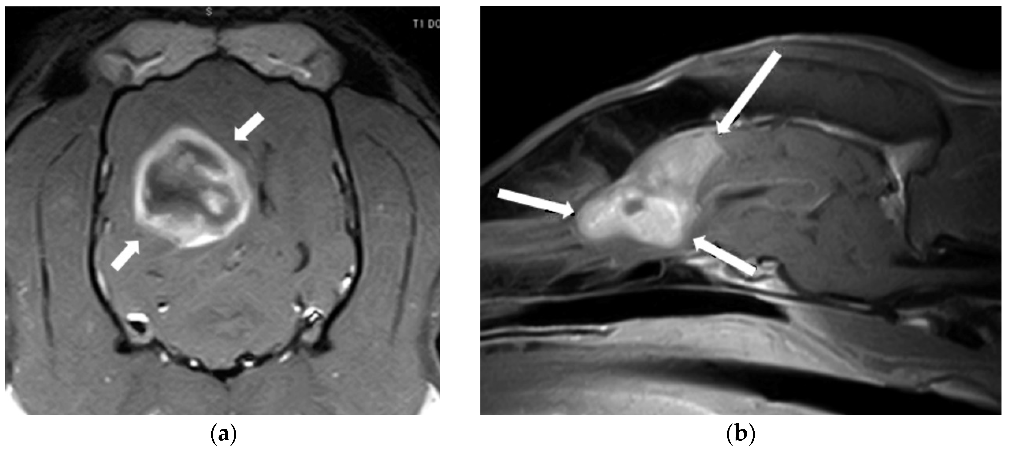
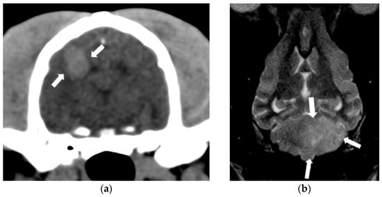
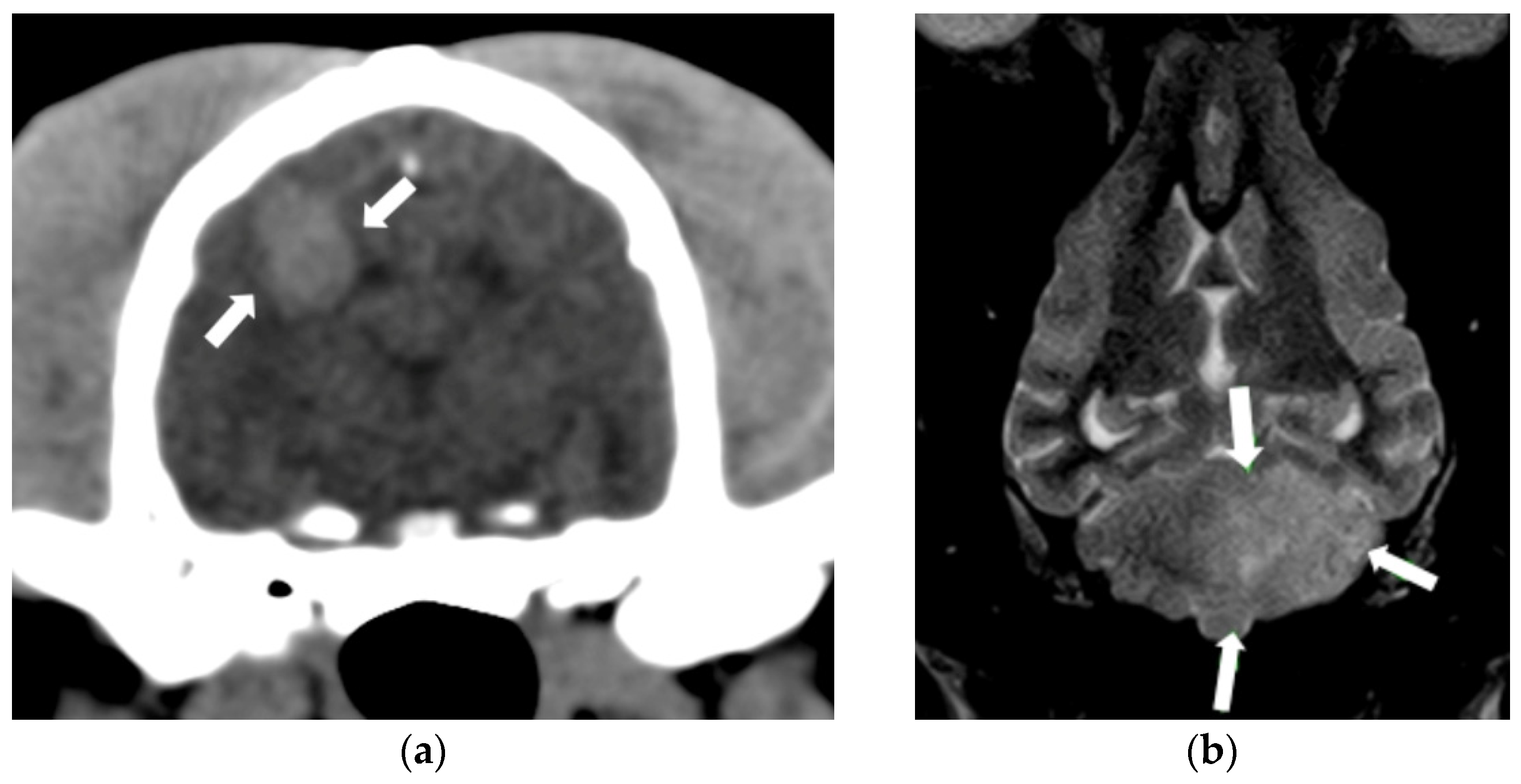
2.1. Intracranial Neoplasia
- Chemotherapy: its use is limited due to the presence of the blood–brain barrier (BBB), which reduces the number of drugs than can access the central nervous system. The most commonly used chemotherapeutics for brain tumours are the alkylating agents lomustine (CCNU), carmustine (BCNU), and temozolomide (TMZ) for gliomas, and the antimetabolite hydroxyurea in the case of meningiomas [6,11,13,22,28]. Despite the weak evidence to support their efficacy in the treatment of canine intracranial neoplasia, it seems as though most reported chemotherapeutics, either alone or combined with other anticancer therapies, could have some beneficial effect on survival [12,13,29,30].
- Surgery: most published information with meaningful case numbers is related to more easily accessible canine meningiomas [11,13,20]. In a recent study, the median survival time of dogs with meningiomas treated with surgical resection was 386 days [13]. Surgical treatment of gliomas is infrequently attempted as approaching and removing them is technically demanding due to their intra-axial location [6,28].
- Radiation therapy (RT): it has been shown to be beneficial for the treatment of intracranial tumours used as a monotherapy or adjunctive modality [11,12,13,22,31,32,33]. Although meningiomas are associated in the literature with a significantly better prognosis in terms of survival compared to gliomas, recent studies reported similar survival times in both types of tumours [33,34]. Another important beneficial effect of radiation therapy is the increase of seizure freedom. This can be crucial because the recurrence of seizures is a common reason for euthanasia in these patients [31,33,35].
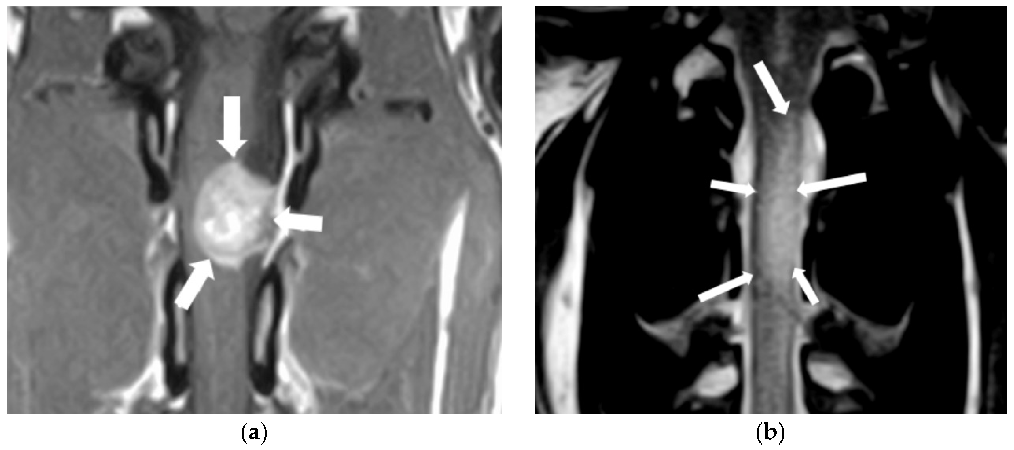
2.2. Cerebrovascular Disease
2.3. Idiopathic Vestibular Syndrome
3. Spinal cord Diseases
3.1. Intervertebral Disc Disease
3.2. Degenerative Myelopathy
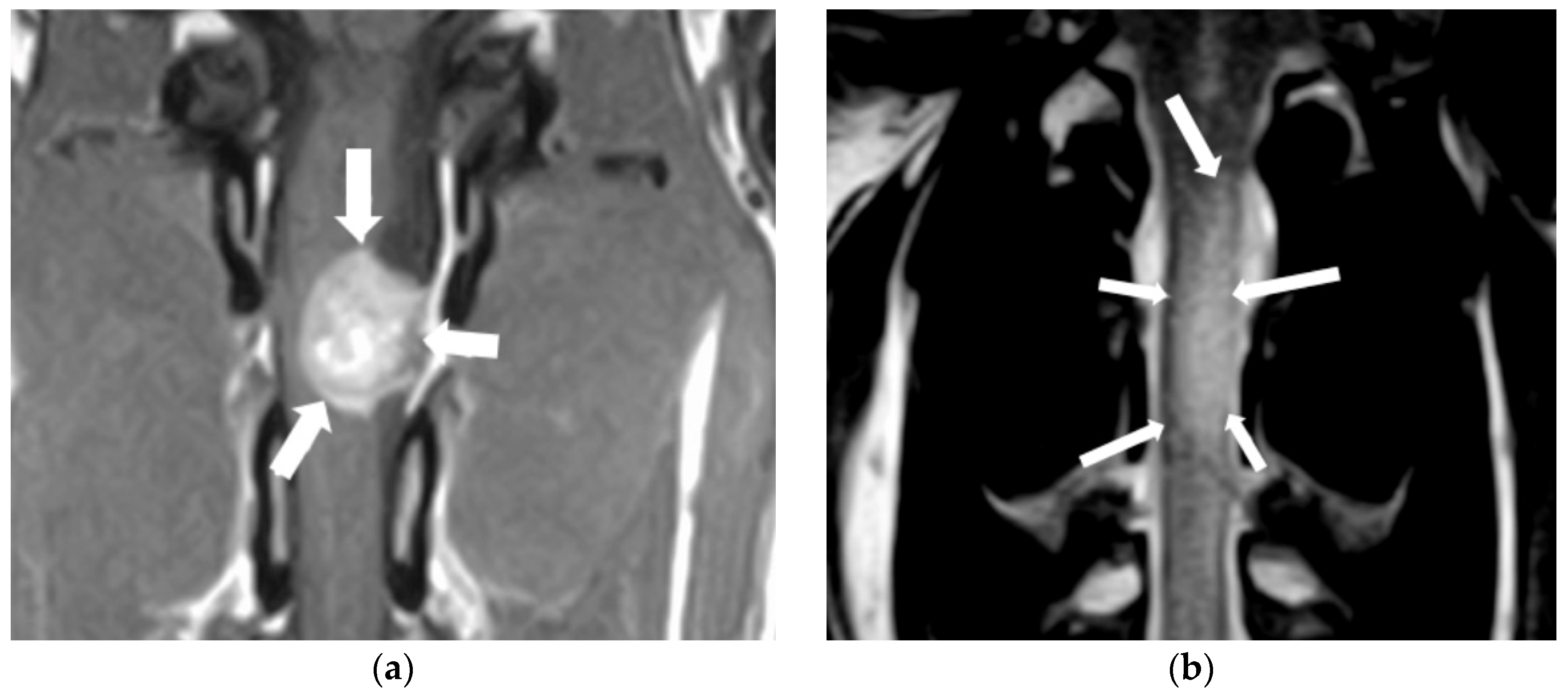
3.3. Spinal Cord Neoplasia
4. Conclusions
Supplementary Materials
Author Contributions
Funding
Institutional Review Board Statement
Informed Consent Statement
Data Availability Statement
Conflicts of Interest
References
- Dhaliwal, R.; Boynton, E.; Carrera-Justiz, S.; Cruise, N.; Gardner, M.; Huntingford, J.; Lobprise, H.; Rozanski, E. 2023 AAHA Senior Care Guidelines for Dogs and Cats. J. Am. Anim. Hosp. Assoc. 2023, 59, 1–21. [Google Scholar] [CrossRef] [PubMed]
- McKenzie, B.A.; Chen, F.L.; Gruen, M.E.; Olby, N.J. Canine Geriatric Syndrome: A Framework for Advancing Research in Veterinary Geroscience. Front. Vet. Sci. 2022, 9, 853743. [Google Scholar] [CrossRef]
- Bagley, R.S. Common Neurologic Diseases of Older Animals. Vet. Clin. N. Am. Small Anim. Pract. 1997, 27, 1451–1486. [Google Scholar] [CrossRef] [PubMed]
- Bacon, L.D. Central and Peripheral Nervous System. In Treatment and Care of the Geriatric Veterinary Patient; Gardner, M., McVety, D., Eds.; John Wiley & Sons: Hoboken, NJ, USA, 2017; pp. 87–97. [Google Scholar]
- Willems, A.; Paepe, D.; Marynissen, S.; Smets, P.; Van de Maele, I.; Picavet, P.; Duchateau, L.; Daminet, S. Results of Screening of Apparently Healthy Senior and Geriatric Dogs. J. Vet. Intern. Med. 2017, 31, 81–92. [Google Scholar] [CrossRef]
- Miller, A.D.; Miller, C.R.; Rossmeisl, J.H. Canine Primary Intracranial Cancer: A Clinicopathologic and Comparative Review of Glioma, Meningioma, and Choroid Plexus Tumors. Front. Oncol. 2019, 9, 1151. [Google Scholar] [CrossRef] [PubMed]
- Snyder, J.M.; Shofer, F.S.; Van Winkle, T.J.; Massicotte, C. Canine Intracranial Primary Neoplasia: 173 Cases (1986–2003). J. Vet. Intern. Med. 2006, 20, 669–675. [Google Scholar] [CrossRef] [PubMed]
- Snyder, J.M.; Lipitz, L.; Skorupski, K.A.; Shofer, F.S.; Van Winkle, T.J. Secondary Intracranial Neoplasia in the Dog: 177 Cases (1986–2003). J. Vet. Intern. Med. 2008, 22, 172–177. [Google Scholar] [CrossRef] [PubMed]
- Song, R.B.; Vite, C.H.; Bradley, C.W.; Cross, J.R. Postmortem Evaluation of 435 Cases of Intracranial Neoplasia in Dogs and Relationship of Neoplasm with Breed, Age, and Body Weight. J. Vet. Intern. Med. 2013, 27, 1143–1152. [Google Scholar] [CrossRef]
- Miller, K.D.; Ostrom, Q.T.; Kruchko, C.; Patil, N.; Tihan, T.; Cioffi, G.; Fuchs, H.E.; Waite, K.A.; Jemal, A.; Siegel, R.L.; et al. Brain and Other Central Nervous System Tumor Statistics, 2021. CA Cancer J. Clin. 2021, 71, 381–406. [Google Scholar] [CrossRef]
- Hu, H.; Barker, A.; Harcourt-Brown, T.; Jeffery, N. Systematic Review of Brain Tumor Treatment in Dogs. J. Vet. Intern. Med. 2015, 29, 1456–1463. [Google Scholar] [CrossRef]
- José-López, R.; Gutierrez-Quintana, R.; de la Fuente, C.; Manzanilla, E.G.; Suñol, A.; Pi Castro, D.; Añor, S.; Sánchez-Masian, D.; Fernández-Flores, F.; Ricci, E.; et al. Clinical Features, Diagnosis, and Survival Analysis of Dogs with Glioma. J. Vet. Intern. Med. 2021, 35, 1902–1917. [Google Scholar] [CrossRef]
- Forward, A.K.; Volk, H.A.; Cherubini, G.B.; Harcourt-Brown, T.; Plessas, I.N.; Garosi, L.; De Decker, S. Clinical Presentation, Diagnostic Findings and Outcome of Dogs Undergoing Surgical Resection for Intracranial Meningioma: 101 Dogs. BMC Vet. Res. 2022, 18, 88. [Google Scholar] [CrossRef]
- Koehler, J.W.; Miller, A.D.; Miller, C.R.; Porter, B.; Aldape, K.; Beck, J.; Brat, D.; Cornax, I.; Corps, K.; Frank, C.; et al. A Revised Diagnostic Classification of Canine Glioma: Towards Validation of the Canine Glioma Patient as a Naturally Occurring Preclinical Model for Human Glioma. J. Neuropathol. Exp. Neurol. 2018, 77, 1039–1054. [Google Scholar] [CrossRef]
- Rossmeisl, J.H.; Jones, J.C.; Zimmerman, K.L.; Robertson, J.L. Survival Time Following Hospital Discharge in Dogs with Palliatively Treated Primary Brain Tumors. J. Am. Vet. Med. Assoc. 2013, 242, 193–198. [Google Scholar] [CrossRef]
- Bigio Marcello, A.; Gieger, T.L.; Jiménez, D.A.; Granger, L.A. Detection of Comorbidities and Synchronous Primary Tumours via Thoracic Radiography and Abdominal Ultrasonography and Their Influence on Treatment Outcome in Dogs with Soft Tissue Sarcomas, Primary Brain Tumours and Intranasal Tumours. Vet. Comp. Oncol. 2015, 13, 433–442. [Google Scholar] [CrossRef]
- Stadler, K.L.; Ruth, J.D.; Pancotto, T.E.; Werre, S.R.; Rossmeisl, J.H. Computed Tomography and Magnetic Resonance Imaging Are Equivalent in Mensuration and Similarly Inaccurate in Grade and Type Predictability of Canine Intracranial Gliomas. Front. Vet. Sci. 2017, 4, 157. [Google Scholar] [CrossRef]
- Cherubini, G.B.; Mantis, P.; Martinez, T.A.; Lamb, C.R.; Cappello, R. Utility of Magnetic Resonance Imaging for Distinguishing Neoplastic from Non-Neoplastic Brain Lesions in Dogs and Cats. Vet. Radiol. Ultrasound 2005, 46, 384–387. [Google Scholar] [CrossRef]
- Wolff, C.A.; Holmes, S.P.; Young, B.D.; Chen, A.V.; Kent, M.; Platt, S.R.; Savage, M.Y.; Schatzberg, S.J.; Fosgate, G.T.; Levine, J.M. Magnetic Resonance Imaging for the Differentiation of Neoplastic, Inflammatory, and Cerebrovascular Brain Disease in Dogs. J. Vet. Intern. Med. 2012, 26, 589–597. [Google Scholar] [CrossRef]
- Wisner, E.R.; Dickinson, P.J.; Higgins, R.J. Magnetic Resonance Imaging Features of Canine Intracranial Neoplasia. Vet. Radiol. Ultrasound 2011, 52, S52–S61. [Google Scholar] [CrossRef]
- Bentley, R.T. Magnetic Resonance Imaging Diagnosis of Brain Tumors in Dogs. Vet. J. 2015, 205, 204–216. [Google Scholar] [CrossRef]
- Dickinson, P.J. Advances in Diagnostic and Treatment Modalities for Intracranial Tumors. J. Vet. Intern. Med. 2014, 28, 1165–1185. [Google Scholar] [CrossRef]
- Kani, Y.; Cecere, T.E.; Lahmers, K.; LeRoith, T.; Zimmerman, K.L.; Isom, S.; Hsu, F.-C.; Debinksi, W.; Robertson, J.L.; Rossmeisl, J.H. Diagnostic Accuracy of Stereotactic Brain Biopsy for Intracranial Neoplasia in Dogs: Comparison of Biopsy, Surgical Resection, and Necropsy Specimens. J. Vet. Intern. Med. 2019, 33, 1384–1391. [Google Scholar] [CrossRef]
- Shinn, R.L.; Kani, Y.; Hsu, F.-C.; Rossmeisl, J.H. Risk Factors for Adverse Events Occurring after Recovery from Stereotactic Brain Biopsy in Dogs with Primary Intracranial Neoplasia. J. Vet. Intern. Med. 2020, 34, 2021–2028. [Google Scholar] [CrossRef]
- Moore, S.A. Managing Neuropathic Pain in Dogs. Front. Vet. Sci. 2016, 3, 12. [Google Scholar] [CrossRef]
- Orlandi, R.; Vasilache, C.G.; Mateo, I. Palliative Ventriculoperitoneal Shunting in Dogs with Obstructive Hydrocephalus Caused by Tumors Affecting the Third Ventricle. J. Vet. Intern. Med. 2020, 34, 1556–1562. [Google Scholar] [CrossRef]
- de Stefani, A.; de Risio, L.; Platt, S.R.; Matiasek, L.; Lujan-Feliu-Pascual, A.; Garosi, L.S. Surgical Technique, Postoperative Complications and Outcome in 14 Dogs Treated for Hydrocephalus by Ventriculoperitoneal Shunting. Vet. Surg. 2011, 40, 183–191. [Google Scholar] [CrossRef]
- Hidalgo Crespo, E.; Farré Mariné, A.; Pumarola, I.; Battle, M.; Borrego Massó, J.F.; Luján Feliu-Pascual, A. Survival Time after Surgical Debulking and Temozolomide Adjuvant Chemotherapy in Canine Intracranial Gliomas. Vet. Sci. 2022, 9, 427. [Google Scholar] [CrossRef]
- Moirano, S.J.; Dewey, C.W.; Wright, K.Z.; Cohen, P.W. Survival Times in Dogs with Presumptive Intracranial Gliomas Treated with Oral Lomustine: A Comparative Retrospective Study (2008–2017). Vet. Comp. Oncol. 2018, 16, 459–466. [Google Scholar] [CrossRef]
- José-López, R. Chemotherapy for the Treatment of Intracranial Glioma in Dogs. Front. Vet. Sci. 2023, 10, 1273122. [Google Scholar] [CrossRef]
- Schwarz, P.; Meier, V.; Soukup, A.; Drees, R.; Besserer, J.; Beckmann, K.; Roos, M.; Rohrer Bley, C. Comparative Evaluation of a Novel, Moderately Hypofractionated Radiation Protocol in 56 Dogs with Symptomatic Intracranial Neoplasia. J. Vet. Intern. Med. 2018, 32, 2013–2020. [Google Scholar] [CrossRef]
- Staudinger, C.; Meier, V.; Beckmann, K.; Körner, M.; Rohrer Bley, C. Treatment of Intracranial Neoplasia in Dogs Using Higher Doses: A Randomized Controlled Trial Comparing a Boosted to a Conventional Radiation Protocol. J. Vet. Intern. Med. 2022, 36, 1353–1364. [Google Scholar] [CrossRef]
- Trageser, E.; Martin, T.; Burdekin, B.; Hart, C.; Leary, D.; LaRue, S.; Boss, M.-K. Efficacy of Stereotactic Radiation Therapy for the Treatment of Confirmed or Presumed Canine Glioma. Vet. Comp. Oncol. 2023, 21, 578–586. [Google Scholar] [CrossRef]
- Magalhaes, T.R.; Benoît, J.; Nécová, S.; North, S.; Queiroga, F.L. Outcome After Radiation Therapy in Canine Intracranial Meningiomas or Gliomas. In Vivo 2021, 35, 1117–1123. [Google Scholar] [CrossRef]
- Monforte Monteiro, S.R.; Rossmeisl, J.H.; Russell, J.; Holmes, M.A.; Wessmann, A.; Morris, J.; Dobson, J.M.; Vanhaesebrouck, A.E. Effect of Radiotherapy on Freedom from Seizures in Dogs with Brain Tumors. J. Vet. Intern. Med. 2020, 34, 821–827. [Google Scholar] [CrossRef]
- Feigin, V.L.; Norrving, B.; Mensah, G.A. Global Burden of Stroke. Circ. Res. 2017, 120, 439–448. [Google Scholar] [CrossRef]
- Wessmann, A.; Chandler, K.; Garosi, L. Ischaemic and Haemorrhagic Stroke in the Dog. Vet. J. 2009, 180, 290–303. [Google Scholar] [CrossRef]
- Kalimo, H.; Kaste, M.; Haltia, M. Vascular diseases. In Greenfield’s Neuropathology; Graham, D.I., Lantos, P.L., Eds.; Arnold: London, UK, 2002; Volume 1, pp. 281–355. [Google Scholar]
- Victor, M.; Ropper, A.H. Cerebrovascular diseases. In Adams and Victor’s Principles of Neurology; Wonsiewicz, M.J., Medina, M.P., Navrozov, M., Eds.; McGraw-Hill: New York, NY, USA, 2001; pp. 821–924. [Google Scholar]
- Garosi, L.; McConnell, J.E.; Platt, S.R.; Barone, G.; Baron, J.C.; de Lahunta, A.; Schatzberg, S.J. Results of Diagnostic Investigations and Long-Term Outcome of 33 Dogs with Brain Infarction (2000–2004). J. Vet. Intern. Med. 2005, 19, 725–731. [Google Scholar] [CrossRef]
- Garosi, L.; McConnell, J.F.; Platt, S.R.; Barone, G.; Baron, J.C.; de Lahunta, A.; Schatzberg, S.J. Clinical and Topographic Magnetic Resonance Characteristics of Suspected Brain Infarction in 40 Dogs. J. Vet. Intern. Med. 2006, 20, 311–321. [Google Scholar] [CrossRef]
- Garosi, L.S. Cerebrovascular Disease in Dogs and Cats. Vet. Clin. N. Am. Small Anim. Pract. 2010, 40, 65–79. [Google Scholar] [CrossRef]
- McConnell, J.F.; Garosi, L.; Platt, S.R. Magnetic Resonance Imaging Findings of Presumed Cerebellar Cerebrovascular Accident in Twelve Dogs. Vet. Radiol. Ultrasound 2005, 46, 1–10. [Google Scholar] [CrossRef]
- Hillock, S.M.; Dewey, C.W.; Stefanacci, J.D.; Fondacaro, J.V. Vascular Encephalopathies in Dogs: Incidence, Risk Factors, Pathophysiology, and Clinical Signs. Comp. Cont. Educ. Pract. Vet. 2006, 28, 196–207. [Google Scholar]
- Gonçalves, R.; Carrera, I.; Garosi, L.; Smith, P.M.; Fraser McConnell, J.; Penderis, J. Clinical and Topographic Magnetic Resonance Imaging Characteristics of Suspected Thalamic Infarcts in 16 Dogs. Vet. J. 2011, 188, 39–43. [Google Scholar] [CrossRef]
- Boudreau, C.E. An Update on Cerebrovascular Disease in Dogs and Cats. Vet. Clin. N. Am. Small Anim. Pract. 2018, 48, 45–62. [Google Scholar] [CrossRef]
- Sacco, R.L.; Kasner, S.E.; Broderick, J.P.; Caplan, L.R.; Connors, J.J.B.; Culebras, A.; Elkind, M.S.V.; George, M.G.; Hamdan, A.D.; Higashida, R.T.; et al. An Updated Definition of Stroke for the 21st Century: A Statement for Healthcare Professionals from the American Heart Association/American Stroke Association. Stroke 2013, 44, 2064–2089. [Google Scholar] [CrossRef]
- Ozawa, T.; Miura, N.; Hasegawa, H.; Uemura, T.; Nakamoto, Y.; Tsujio, M.; Takeuchi, T.; Shiraishi, M. Characteristics and Outcome of Suspected Cerebrovascular Disease in Dogs: 66 Cases (2009–2016). J. Small Anim. Pract. 2022, 63, 45–51. [Google Scholar] [CrossRef]
- Gredal, H.; Toft, N.; Westrup, U.; Motta, L.; Gideon, P.; Arlien-Søborg, P.; Skerritt, G.C.; Berendt, M. Survival and Clinical Outcome of Dogs with Ischaemic Stroke. Vet. J. 2013, 196, 408–413. [Google Scholar] [CrossRef]
- Koch, B.C.; Motta, L.; Wiinberg, B.; Westrup, U.; Kristensen, A.T.; Skerritt, G.; Berendt, M.; Gredal, H. D-Dimer Concentrations and Thromboelastography in Five Dogs With Ischemic Stroke. Front. Vet. Sci. 2019, 6, 255. [Google Scholar] [CrossRef]
- Arnold, S.A.; Platt, S.R.; Gendron, K.P.; West, F.D. Imaging Ischemic and Hemorrhagic Disease of the Brain in Dogs. Front. Vet. Sci. 2020, 7, 279. [Google Scholar] [CrossRef]
- Radulescu, S.M.; Humm, K.; Eramanis, L.M.; Volk, H.A.; Church, D.B.; Brodbelt, D.; O’Neill, D.G. Vestibular Disease in Dogs under UK Primary Veterinary Care: Epidemiology and Clinical Management. J. Vet. Intern. Med. 2020, 34, 1993–2004. [Google Scholar] [CrossRef]
- Harrison, E.; Grapes, N.J.; Volk, H.A.; De Decker, S. Clinical Reasoning in Canine Vestibular Syndrome: Which Presenting Factors Are Important? Vet. Rec. 2021, 188, e61. [Google Scholar] [CrossRef]
- Gredal, H.B. Vestibular Syndrome in Dogs: How to Keep a Level Head. Vet. Rec. 2021, 188, 223–225. [Google Scholar] [CrossRef]
- Mertens, A.M.; Schenk, H.C.; Volk, H.A. Current Definition, Diagnosis, and Treatment of Canine and Feline Idiopathic Vestibular Syndrome. Front. Vet. Sci. 2023, 10, 1263976. [Google Scholar] [CrossRef]
- Orlandi, R.; Gutierrez-Quintana, R.; Carletti, B.; Cooper, C.; Brocal, J.; Silva, S.; Gonçalves, R. Clinical Signs, MRI Findings and Outcome in Dogs with Peripheral Vestibular Disease: A Retrospective Study. BMC Vet. Res. 2020, 16, 159. [Google Scholar] [CrossRef]
- Han, D.-G.; Kim, D.-J. The Evolutionary Hypothesis of Benign Paroxysmal Positional Vertigo. Med. Hypotheses 2020, 134, 109445. [Google Scholar] [CrossRef]
- Juhn, S.K.; Ikeda, K.; Morizono, T.; Murphy, M. Pathophysiology of Inner Ear Fluid Imbalance. Acta Otorhinolaryngol. 2006, 26, 208–215. [Google Scholar] [CrossRef]
- Won, S.; Yoon, J. MRI Utricle Diameter Asymmetry Is Significantly Greater in Dogs with Idiopathic Vestibular Syndrome Compared with Unaffected Dogs. Vet. Radiol. Ultrasound 2020, 61, 540–544. [Google Scholar] [CrossRef]
- Castillo, G.; Parmentier, T.; Monteith, G.; Gaitero, L. Inner Ear Fluid-Attenuated Inversion Recovery MRI Signal Intensity in Dogs with Vestibular Disease. Vet. Radiol. Ultrasound 2020, 61, 531–539. [Google Scholar] [CrossRef]
- Rossmeisl, J.H. Vestibular Disease in Dogs and Cats. Vet. Clin. N. Am. Small Anim. Pract. 2010, 40, 81–100. [Google Scholar] [CrossRef]
- Foth, S.; Meller, S.; Kenward, H.; Elliott, J.; Pelligand, L.; Volk, H.A. The Use of Ondansetron for the Treatment of Nausea in Dogs with Vestibular Syndrome. BMC Vet. Res. 2021, 17, 222. [Google Scholar] [CrossRef]
- Henze, L.; Foth, S.; Meller, S.; Twele, F.; Charalambous, M.; Kenward, H.; Elliott, J.; Pelligand, L.; Volk, H.A. Ondansetron in Dogs with Nausea Associated with Vestibular Disease: A Double-Blinded, Randomized Placebo-Controlled Crossover Study. J. Vet. Intern. Med. 2022, 36, 1726–1732. [Google Scholar] [CrossRef]
- Turbatu, R.M.; Fernoagă, C.; Tudor, N.; Vlăgioiu, C. The Role of Betahistine Dihydrochloride in the Treatment of Peripheral Vestibular Syndrome in Dogs—Study of 3 Cases. Medicam. Vet./Vet. Drug 2019, 13, 43–47. [Google Scholar]
- Kraeling, M. Proposed Treatment for Geriatric Vestibular Disease in Dogs. Top. Companion Anim. Med. 2014, 29, 6–9. [Google Scholar] [CrossRef]
- Brisson, B.A. Intervertebral Disc Disease in Dogs. Vet. Clin. N. Am. Small Anim. Pract. 2010, 40, 829–858. [Google Scholar] [CrossRef]
- Fenn, J.; Olby, N.J. Canine Spinal Cord Injury Consortium (CANSORT-SCI) Classification of Intervertebral Disc Disease. Front. Vet. Sci. 2020, 7, 579025. [Google Scholar] [CrossRef]
- Hansen, H.J. A Pathologic-Anatomical Interpretation of Disc Degeneration in Dogs. Acta Orthop. Scand. 1951, 20, 280–293. [Google Scholar] [CrossRef]
- Macias, C.; Mckee, W.M.; May, C.; Innes, J.F. Thoracolumbar Disc Disease in Large Dogs: A Study of 99 Cases. J. Small Anim. Pract. 2002, 43, 439–446. [Google Scholar] [CrossRef]
- Bergknut, N.; Smolders, L.A.; Grinwis, G.C.M.; Hagman, R.; Lagerstedt, A.-S.; Hazewinkel, H.A.W.; Tryfonidou, M.A.; Meij, B.P. Intervertebral Disc Degeneration in the Dog. Part 1: Anatomy and Physiology of the Intervertebral Disc and Characteristics of Intervertebral Disc Degeneration. Vet. J. 2013, 195, 282–291. [Google Scholar] [CrossRef]
- Smolders, L.A.; Bergknut, N.; Grinwis, G.C.M.; Hagman, R.; Lagerstedt, A.-S.; Hazewinkel, H.A.W.; Tryfonidou, M.A.; Meij, B.P. Intervertebral Disc Degeneration in the Dog. Part 2: Chondrodystrophic and Non-Chondrodystrophic Breeds. Vet. J. 2013, 195, 292–299. [Google Scholar] [CrossRef]
- Crawford, A.H.; De Decker, S. Clinical Presentation and Outcome of Dogs Treated Medically or Surgically for Thoracolumbar Intervertebral Disc Protrusion. Vet. Rec. 2017, 180, 569. [Google Scholar] [CrossRef] [PubMed]
- Gomes, S.A.; Volk, H.A.; Packer, R.M.; Kenny, P.J.; Beltran, E.; De Decker, S. Clinical and Magnetic Resonance Imaging Characteristics of Thoracolumbar Intervertebral Disk Extrusions and Protrusions in Large Breed Dogs. Vet. Radiol. Ultrasound 2016, 57, 417–426. [Google Scholar] [CrossRef] [PubMed]
- De Decker, S.; Gomes, S.A.; Packer, R.M.; Kenny, P.J.; Beltran, E.; Parzefall, B.; Fenn, J.; Nair, D.; Nye, G.; Volk, H.A. Evaluation of magnetic resonance imaging guidelines for differentiation between thoracolumbar intervertebral disk extrusions and intervertebral disk protrusions in dogs. Vet. Radiol. Ultrasound 2016, 57, 526–533. [Google Scholar] [CrossRef]
- Salger, F.; Ziegler, L.; Böttcher, I.C.; Oechtering, G.; Böttcher, P.; Flegel, T. Neurologic Outcome After Thoracolumbar Partial Lateral Corpectomy for Intervertebral Disc Disease in 72 Dogs. Vet. Surg. 2014, 43, 581–588. [Google Scholar] [CrossRef]
- Flegel, T.; Boettcher, I.C.; Ludewig, E.; Kiefer, I.; Oechtering, G.; Böttcher, P. Partial Lateral Corpectomy of the Thoracolumbar Spine in 51 Dogs: Assessment of Slot Morphometry and Spinal Cord Decompression. Vet. Surg. 2011, 40, 14–21. [Google Scholar] [CrossRef]
- Wolf, J.K.; Early, P.J.; Pozzi, A.; Vigani, A. Ultrasound-Guided Paravertebral Perineural Glucocorticoid Injection for Signs of Refractory Cervical Pain Associated with Foraminal Intervertebral Disk Protrusion in Four Dogs. J. Am. Vet. Med. Assoc. 2021, 258, 999–1006. [Google Scholar] [CrossRef]
- Levine, G.J.; Levine, J.M.; Walker, M.A.; Pool, R.R.; Fosgate, G.T. Evaluation of the Association between Spondylosis Deformans and Clinical Signs of Intervertebral Disk Disease in Dogs: 172 Cases (1999–2000). J. Am. Vet. Med. Assoc. 2006, 228, 96–100. [Google Scholar] [CrossRef]
- Jeffery, N.D.; Harcourt-Brown, T.R.; Barker, A.K.; Levine, J.M. Choices and Decisions in Decompressive Surgery for Thoracolumbar Intervertebral Disk Herniation. Vet. Clin. N. Am. Small Anim. Pract. 2018, 48, 169–186. [Google Scholar] [CrossRef]
- Levine, J.M.; Levine, G.J.; Johnson, S.I.; Kerwin, S.C.; Hettlich, B.F.; Fosgate, G.T. Evaluation of the Success of Medical Management for Presumptive Cervical Intervertebral Disk Herniation in Dogs. Vet. Surg. 2007, 36, 492–499. [Google Scholar] [CrossRef]
- Levine, J.M.; Levine, G.J.; Johnson, S.I.; Kerwin, S.C.; Hettlich, B.F.; Fosgate, G.T. Evaluation of the Success of Medical Management for Presumptive Thoracolumbar Intervertebral Disk Herniation in Dogs. Vet. Surg. 2007, 36, 482–491. [Google Scholar] [CrossRef]
- Portero, M.; Villalonga, L.; Hernández, M.; Pérez Díaz, C. Efficacy of Medical Ozone as an Adjuvant Treatment in Dogs with Intervertebral Disc Protusions—A Retrospective Study. Animals 2023, 13, 3717. [Google Scholar] [CrossRef]
- Coates, J.R.; Wininger, F.A. Canine Degenerative Myelopathy. Vet. Clin. N. Am. Small Anim. Pract. 2010, 40, 929–950. [Google Scholar] [CrossRef]
- Averill, D.R. Degenerative Myelopathy in the Aging German Shepherd Dog: Clinical and Pathologic Findings. J. Am. Vet. Med. Assoc. 1973, 162, 1045–1051. [Google Scholar]
- Coates, J.R.; March, P.A.; Oglesbee, M.; Ruaux, C.G.; Olby, N.J.; Berghaus, R.D.; O’Brien, D.P.; Keating, J.H.; Johnson, G.S.; Williams, D.A. Clinical Characterization of a Familial Degenerative Myelopathy in Pembroke Welsh Corgi Dogs. J. Vet. Intern. Med. 2007, 21, 1323–1331. [Google Scholar] [CrossRef]
- Moretti, R.; Massimello, G.; Chessa, S.; Sartore, S.; Tranchero, A.; Profiti, M.; Sacchi, P. Allele and Genotype Frequencies for Primary Hereditary Cataract, Multifocal Retinopathy 1, and Degenerative Myelopathy in Pyrenean Mountain Dog from Italy. Top. Companion Anim. Med. 2024, 58, 100844. [Google Scholar] [CrossRef]
- Maki, S.; Islam, M.S.; Itoh, T.; Nurimoto, M.; Yabuki, A.; Furusawa, Y.; Kamishina, H.; Kobatake, Y.; Rakib, T.M.; Tacharina, M.R.; et al. Molecular Epidemiological Survey for Degenerative Myelopathy in German Shepherd Dogs in Japan: Allele Frequency and Clinical Progression Rate. Animals 2022, 12, 1647. [Google Scholar] [CrossRef]
- Santos, C.R.O.; Gouveia, J.J.d.S.; Gouveia, G.V.; Bezerra, F.C.M.; Nogueira, J.F.; Baraúna Júnior, D. Molecular Screening for the Mutation Associated with Canine Degenerative Myelopathy (SOD1:C.118G > A) in German Shepherd Dogs in Brazil. PLoS ONE 2020, 15, e0242347. [Google Scholar] [CrossRef]
- Zeng, R.; Coates, J.R.; Johnson, G.C.; Hansen, L.; Awano, T.; Kolicheski, A.; Ivansson, E.; Perloski, M.; Lindblad-Toh, K.; O’Brien, D.P.; et al. Breed Distribution of SOD1 Alleles Previously Associated with Canine Degenerative Myelopathy. J. Vet. Intern. Med. 2014, 28, 515–521. [Google Scholar] [CrossRef]
- Wininger, F.A.; Zeng, R.; Johnson, G.S.; Katz, M.L.; Johnson, G.C.; Bush, W.W.; Jarboe, J.m.; Coates, J.R. Degenerative Myelopathy in a Bernese Mountain Dog with a Novel SOD1 Missense Mutation. J. Vet. Intern. Med. 2011, 25, 1166–1170. [Google Scholar] [CrossRef]
- Awano, T.; Johnson, G.S.; Wade, C.M.; Katz, M.L.; Johnson, G.C.; Taylor, J.F.; Perloski, M.; Biagi, T.; Baranowska, I.; Long, S.; et al. Genome-Wide Association Analysis Reveals a SOD1 Mutation in Canine Degenerative Myelopathy That Resembles Amyotrophic Lateral Sclerosis. Proc. Natl. Acad. Sci. USA 2009, 106, 2794. [Google Scholar] [CrossRef]
- Nardone, R.; Höller, Y.; Taylor, A.C.; Lochner, P.; Tezzon, F.; Golaszewski, S.; Brigo, F.; Trinka, E. Canine Degenerative Myelopathy: A Model of Human Amyotrophic Lateral Sclerosis. Zoology 2016, 119, 64–73. [Google Scholar] [CrossRef]
- March, P.A.; Coates, J.R.; Abyad, R.J.; Williams, D.A.; O’Brien, D.P.; Olby, N.J.; Keating, J.H.; Oglesbee, M. Degenerative Myelopathy in 18 Pembroke Welsh Corgi Dogs. Vet. Pathol. 2009, 46, 241–250. [Google Scholar] [CrossRef]
- Johnson, P.J.; Miller, A.D.; Cheetham, J.; Demeter, E.A.; Luh, W.-M.; Loftus, J.P.; Stephan, S.L.; Dewey, C.W.; Barry, E.F. In Vivo Detection of Microstructural Spinal Cord Lesions in Dogs with Degenerative Myelopathy Using Diffusion Tensor Imaging. J. Vet. Intern. Med. 2021, 35, 352–362. [Google Scholar] [CrossRef] [PubMed]
- Oyake, K.; Kobatake, Y.; Shibata, S.; Sakai, H.; Saito, M.; Yamato, O.; Kushida, K.; Maeda, S.; Kamishina, H. Changes in Respiratory Function in Pembroke Welsh Corgi Dogs with Degenerative Myelopathy. J. Vet. Med. Sci. 2016, 78, 1323–1327. [Google Scholar] [CrossRef] [PubMed]
- Morgan, B.R.; Coates, J.R.; Johnson, G.C.; Bujnak, A.C.; Katz, M.L. Characterization of Intercostal Muscle Pathology in Canine Degenerative Myelopathy: A Disease Model for Amyotrophic Lateral Sclerosis. J. Neurosci. Res. 2013, 91, 1639–1650. [Google Scholar] [CrossRef] [PubMed]
- Kobatake, Y.; Nakata, K.; Sakai, H.; Sasaki, J.; Yamato, O.; Takashima, S.; Nishii, N.; Maeda, S.; Islam, M.S.; Kamishina, H. The Long-Term Clinical Course of Canine Degenerative Myelopathy and Therapeutic Potential of Curcumin. Vet. Sci. 2021, 8, 192. [Google Scholar] [CrossRef] [PubMed]
- Bouché, T.V.; Coates, J.R.; Moore, S.A.; Faissler, D.; Rishniw, M.; Olby, N.J. Diagnosis and Management of Dogs with Degenerative Myelopathy: A Survey of Neurologists and Rehabilitation Professionals. J. Vet. Intern. Med. 2023, 37, 1815–1820. [Google Scholar] [CrossRef] [PubMed]
- Ivansson, E.L.; Megquier, K.; Kozyrev, S.V.; Murén, E.; Körberg, I.B.; Swofford, R.; Koltookian, M.; Tonomura, N.; Zeng, R.; Kolicheski, A.L.; et al. Variants within the SP110 Nuclear Body Protein Modify Risk of Canine Degenerative Myelopathy. Proc. Natl. Acad. Sci. USA 2016, 113, E3091–E3100. [Google Scholar] [CrossRef] [PubMed]
- Toedebusch, C.M.; Bachrach, M.D.; Garcia, V.B.; Johnson, G.C.; Katz, M.L.; Shaw, G.; Coates, J.R.; Garcia, M.L. Cerebrospinal Fluid Levels of Phosphorylated Neurofilament Heavy as a Diagnostic Marker of Canine Degenerative Myelopathy. J. Vet. Intern. Med. 2017, 31, 513–520. [Google Scholar] [CrossRef] [PubMed]
- Kowal, J.B.; Verga, S.A.; Pandeya, S.R.; Cochran, R.J.; Sabol, J.C.; Rutkove, S.B.; Coates, J.R. Electrical Impedance Myography in Dogs With Degenerative Myelopathy. Front. Vet. Sci. 2022, 9, 874277. [Google Scholar] [CrossRef] [PubMed]
- Kathmann, I.; Cizinauskas, S.; Doherr, M.G.; Steffen, F.; Jaggy, A. Daily Controlled Physiotherapy Increases Survival Time in Dogs with Suspected Degenerative Myelopathy. J. Vet. Intern. Med. 2006, 20, 927–932. [Google Scholar] [CrossRef]
- Bagley, R.S. Spinal Neoplasms in Small Animals. Vet. Clin. N. Am. Small Anim. Pract. 2010, 40, 915–927. [Google Scholar] [CrossRef]
- Petersen, S.A.; Sturges, B.K.; Dickinson, P.J.; Pollard, R.E.; Kass, P.H.; Kent, M.; Vernau, K.M.; Lecouteur, R.A.; Higgins, R.J. Canine Intraspinal Meningiomas: Imaging Features, Histopathologic Classification, and Long-Term Outcome in 34 Dogs. J. Vet. Intern. Med. 2008, 22, 946–953. [Google Scholar] [CrossRef]
- Besalti, O.; Caliskan, M.; Can, P.; Vural, S.A.; Algin, O.; Ahlat, O. Imaging and Surgical Outcomes of Spinal Tumors in 18 Dogs and One Cat. J. Vet. Sci. 2016, 17, 225–234. [Google Scholar] [CrossRef]
- Rissi, D.R.; Barber, R.; Burnum, A.; Miller, A.D. Canine Spinal Cord Glioma: A Case Series and Review of the Literature. J. Vet. Diagn. Investig. 2017, 29, 126–132. [Google Scholar] [CrossRef] [PubMed]
- Wyatt, S.; De Risio, L.; Driver, C.; José-López, R.; Pivetta, M.; Beltran, E. Neurological Signs and MRI Findings in 12 Dogs with Multiple Myeloma. Vet. Radiol. Ultrasound 2019, 60, 409–415. [Google Scholar] [CrossRef] [PubMed]
- Auger, M.; Hecht, S.; Springer, C.M. Magnetic Resonance Imaging Features of Extradural Spinal Neoplasia in 60 Dogs and Seven Cats. Front. Vet. Sci. 2021, 7, 610490. [Google Scholar] [CrossRef] [PubMed]
- Tam, C.; Hecht, S.; Mai, W.; Nelson, N.; Chen, A.V.; Griffin IV, J.F. Cranial and Vertebral Osteosarcoma Commonly Has T2 Signal Heterogeneity, Contrast Enhancement, and Osteolysis on MRI: A Case Series of 35 Dogs. Vet. Radiol. Ultrasound 2022, 63, 552–562. [Google Scholar] [CrossRef]
- Lacassagne, K.; Hearon, K.; Berg, J.; Séguin, B.; Hoyt, L.; Byer, B.; Selmic, L.E. Canine Spinal Meningiomas and Nerve Sheath Tumours in 34 Dogs (2008–2016): Distribution and Long-Term Outcome Based upon Histopathology and Treatment Modality. Vet. Comp. Oncol. 2018, 16, 344–351. [Google Scholar] [CrossRef]
- Pancotto, T.E.; Rossmeisl, J.H., Jr.; Zimmerman, K.; Robertson, J.L.; Werre, S.R. Intramedullary Spinal Cord Neoplasia in 53 Dogs (1990–2010): Distribution, Clinicopathologic Characteristics, and Clinical Behavior. J. Vet. Intern. Med. 2013, 27, 1500–1508. [Google Scholar] [CrossRef]
- Luttgen, P.J. Neoplasms of the Spine. Vet. Clin. N. Am. Small Anim. Pract. 1992, 22, 973–984. [Google Scholar] [CrossRef]
- Krasnow, M.S.; Griffin, J.F.; Levine, J.M.; Mai, W.; Pancotto, T.E.; Kent, M.; Harcourt-Brown, T.R.; Carrera-Justiz, S.C.; Gilmour, L.J.; Masciarelli, A.E.; et al. Agreement and Differentiation of Intradural Spinal Cord Lesions in Dogs Using Magnetic Resonance Imaging. J. Vet. Intern. Med. 2022, 36, 171–178. [Google Scholar] [CrossRef]
- Platt, S.R. Disorders of the spinal cord. In Handbook of Small Animal Practice, 5th ed.; Morgan, R., Ed.; Elsevier: St. Louis, MO, USA, 2008; pp. 256–274. [Google Scholar]
- Kent, M.; Northrup, N. Spinal Neoplasia. In Veterinary Surgery: Small Animal, 1st ed.; Tobias, K.M., Johnston, S.A., Eds.; Elsevier: St. Louis, MO, USA, 2008; pp. 537–546. [Google Scholar]





Disclaimer/Publisher’s Note: The statements, opinions and data contained in all publications are solely those of the individual author(s) and contributor(s) and not of MDPI and/or the editor(s). MDPI and/or the editor(s) disclaim responsibility for any injury to people or property resulting from any ideas, methods, instructions or products referred to in the content. |
© 2024 by the authors. Licensee MDPI, Basel, Switzerland. This article is an open access article distributed under the terms and conditions of the Creative Commons Attribution (CC BY) license (https://creativecommons.org/licenses/by/4.0/).
Share and Cite
Espino, L.; Miño, N. Common Neurologic Diseases in Geriatric Dogs. Animals 2024, 14, 1753. https://doi.org/10.3390/ani14121753
Espino L, Miño N. Common Neurologic Diseases in Geriatric Dogs. Animals. 2024; 14(12):1753. https://doi.org/10.3390/ani14121753
Chicago/Turabian StyleEspino, Luciano, and Natalia Miño. 2024. "Common Neurologic Diseases in Geriatric Dogs" Animals 14, no. 12: 1753. https://doi.org/10.3390/ani14121753
APA StyleEspino, L., & Miño, N. (2024). Common Neurologic Diseases in Geriatric Dogs. Animals, 14(12), 1753. https://doi.org/10.3390/ani14121753

