The Evolution of Lesions on Follow-Up Magnetic Resonance Imaging of the Proximal Metacarpal Region in Non-Racing Sport Horses That Returned to Work (2015–2023)
Abstract
Simple Summary
Abstract
1. Introduction
2. Materials and Methods
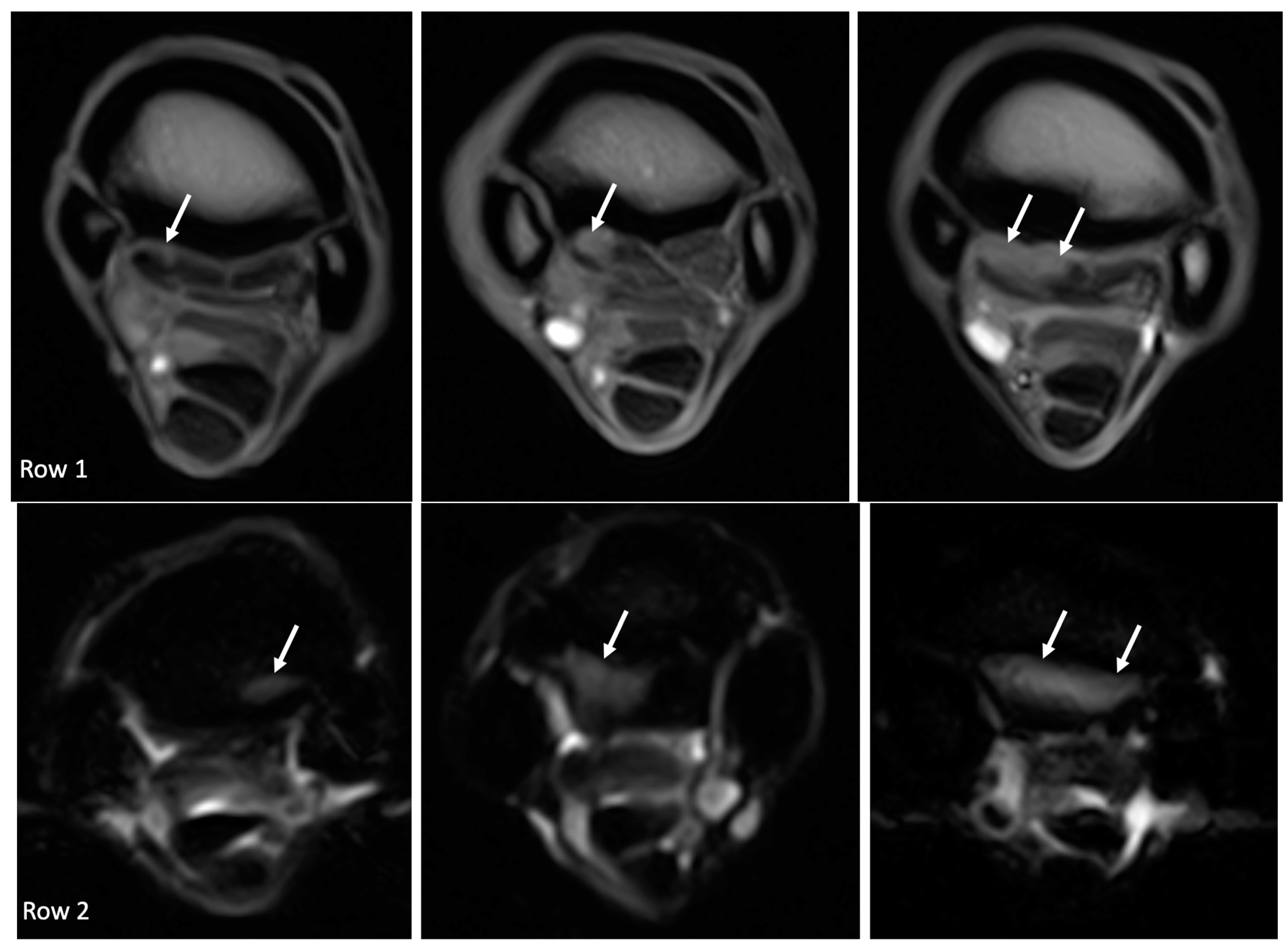
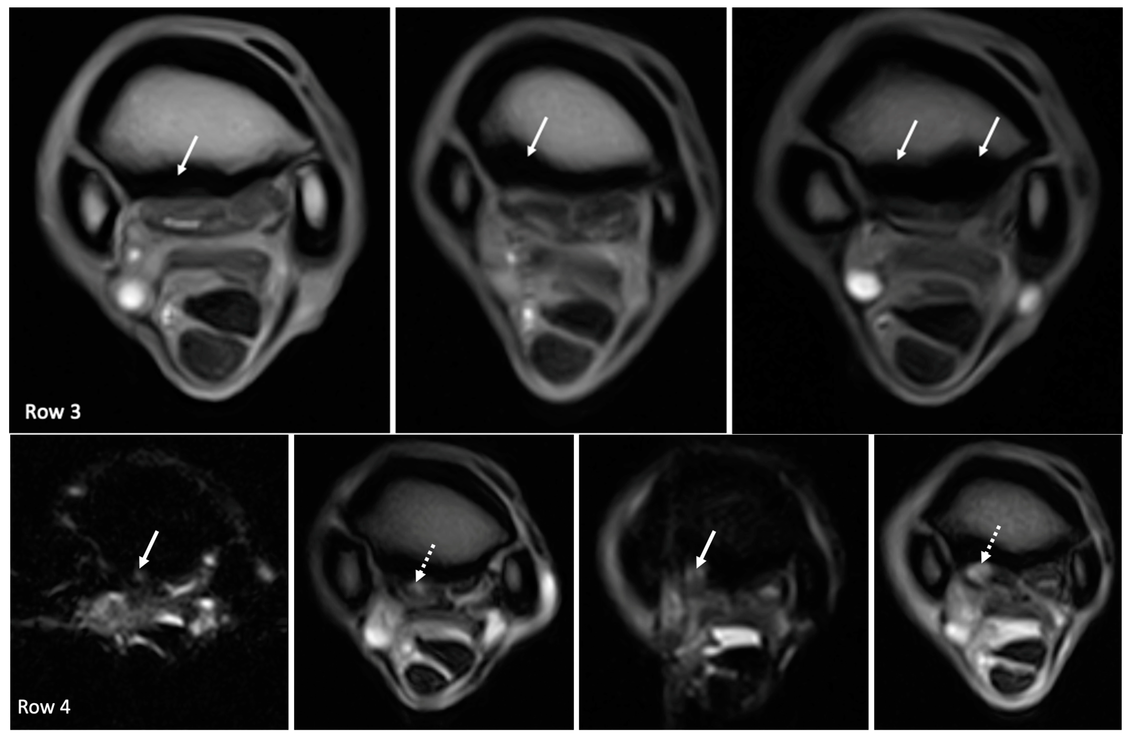
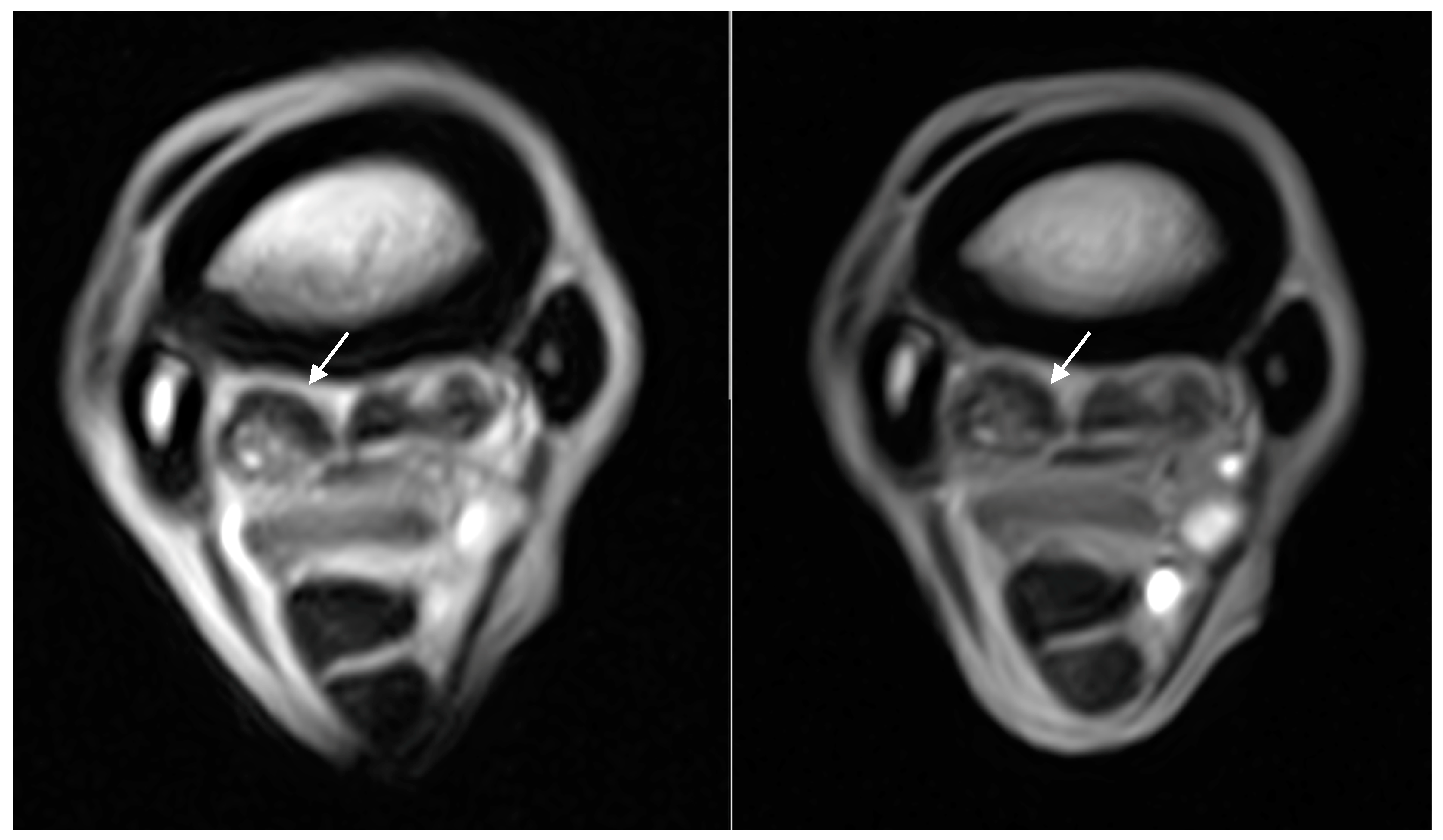
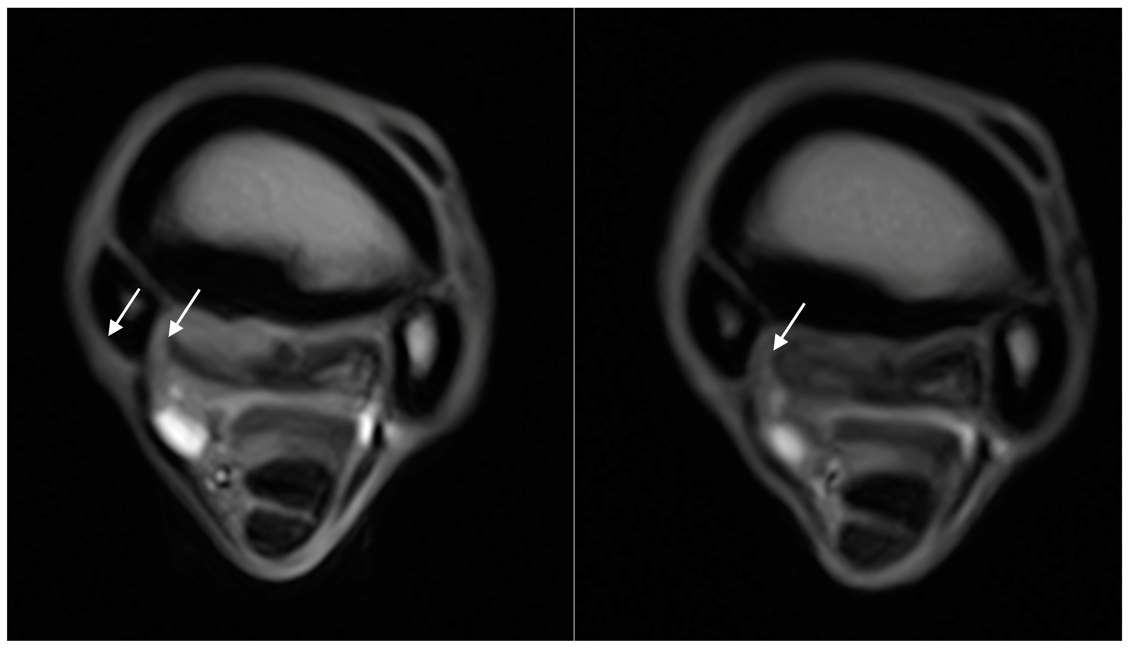
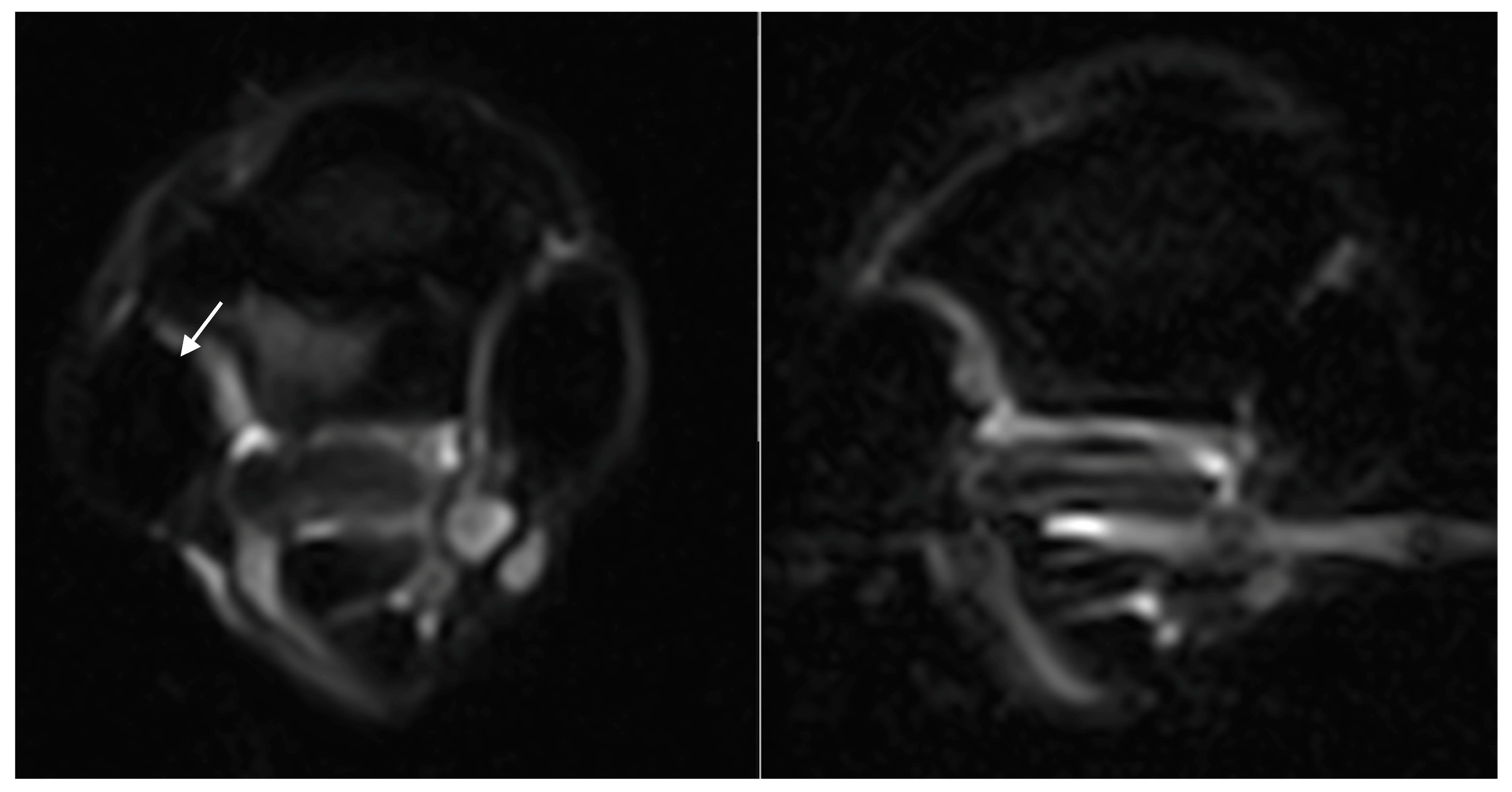
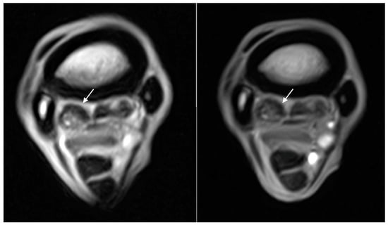
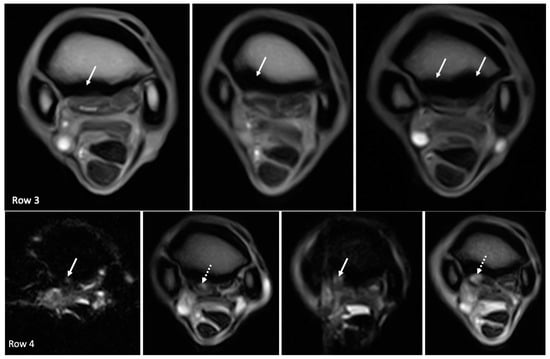
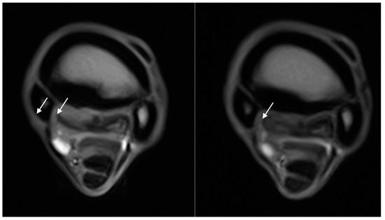
3. Results
4. Discussion
5. Conclusions
Author Contributions
Funding
Institutional Review Board Statement
Informed Consent Statement
Data Availability Statement
Conflicts of Interest
References
- Denoix, J.; Perrot, B.; Bousseau, B.; Sciciuna, C. Images Échographiques Des Lesions Du Muscle Interosseoux III (Ligament Suspenseur Du Boulet). Prat. Vet. Equine 1991, 23, 23–33. [Google Scholar]
- Gibson, K.T.; Steel, C.M. Conditions of the Suspensory Ligament Causing Lameness in Horses. Equine Vet. Educ. 2002, 14, 39–50. [Google Scholar] [CrossRef]
- Meehan, L.; Labens, R. Diagnosing Desmitis of the Origin of the Suspensory Ligament. Equine Vet. Educ. 2016, 28, 335–343. [Google Scholar] [CrossRef]
- Dyson, S.J. Proximal Metacarpal and Metatarsal Pain: A Diagnostic Challenge. Equine Vet. Educ. 2003, 15, 134–138. [Google Scholar] [CrossRef]
- Dyson, S. Diagnosis and Management of Common Suspensory Lesions in the Forelimbs and Hindlimbs of Sport Horses. Clin. Tech. Equine Pract. 2007, 6, 179–188. [Google Scholar] [CrossRef]
- Bischofberger, A.S.; Konar, M.; Ohlerth, S.; Geyer, H.; Lang, J.; Ueltschi, G.; Lischer, C.J. Magnetic Resonance Imaging, Ultrasonography and Histology of the Suspensory Ligament Origin: A Comparative Study of Normal Anatomy of Warmblood Horses. Equine Vet. J. 2006, 38, 508–516. [Google Scholar] [CrossRef] [PubMed]
- Werpy, N.M.; Denoix, J.-M. Imaging of the Equine Proximal Suspensory Ligament. Vet. Clin. N. Am. Equine Pract. 2012, 28, 507–525. [Google Scholar] [CrossRef] [PubMed]
- Werpy, N.M.; Denoix, J.M.; McIlwraith, C.W.; Frisbie, D.D. Comparison between Standard Ultrasonography, Angle Contrast Ultrasonography and Magnetic Resonance Imaging Characteristics of the Normal Equine Proximal Suspensory Ligament. Vet. Radiol. Ultrasound 2013, 54, 536–547. [Google Scholar] [CrossRef] [PubMed]
- Denoix, J.-M.; Coudry, V.; Jacquet, S. Ultrasonographic Procedure for a Complete Examination of the Proximal Third Interosseous Muscle (Proximal Suspensory Ligament) in the Equine Forelimbs. Equine Vet. Educ. 2008, 20, 148–153. [Google Scholar] [CrossRef]
- Brokken, M.T.; Schneider, R.K.; Sampson, S.N.; Tucker, R.L.; Gavin, P.R.; Ho, C.P. Magnetic Resonance Imaging Features of the Proximal Metacarpal and Metatarsal Injuries in the Horse. Vet. Radiol. Ultrasound 2007, 48, 507–517. [Google Scholar] [CrossRef]
- Powell, S.E.; Ramzan, P.H.L.; Head, M.J.; Shepherd, M.C.; Baldwin, G.I.; Steven, W.N. Standing Magnetic Resonance Imaging Detection of Bone Marrow Oedema-type Signal Pattern Associated with Subcarpal Pain in 8 Racehorses: A Prospective Study. Equine Vet. J. 2010, 42, 10–17. [Google Scholar] [CrossRef] [PubMed]
- Nagy, A.; Dyson, S. Magnetic Resonance Imaging Findings in the Carpus and Proximal Metacarpal Region of 50 Lame Horses. Equine Vet. J. 2012, 44, 163–168. [Google Scholar] [CrossRef] [PubMed]
- Murray, R.C.; Tranquille, C.A.; Walker, V.A.; Milmine, R.C.; Bak, L.; Tacey, J.B.; Bolas, N.M. Magnetic Resonance Imaging Findings in the Proximal Metacarpal Region of 359 Horses and Proximal Metatarsal Region of 64 Horses Acquired under Standing Sedation. J. Equine Vet. Sci. 2020, 94, 103268. [Google Scholar] [CrossRef]
- van Veggel, E.; Selberg, K.; van der Velde-Hoogelander, B.; Bolas, N.; Vanderperren, K.; Bergman, H.J. Magnetic Resonance Imaging Findings of the Proximal Metacarpal Region in Warmblood Horses: 36 Lame and 26 Control Limbs (2015–2021). Front. Vet. Sci. 2021, 8, 714423. [Google Scholar] [CrossRef]
- Werpy, N.M. Recheck Magnetic Resonance Imaging Examinations for Evaluation of Musculoskeletal Injury. Vet. Clin. N. Am. Equine Pract. 2012, 28, 659–680. [Google Scholar] [CrossRef]
- Barrett, M.F.; Manchon, P.T.; Hersman, J.; Kawcak, C.E. Magnetic Resonance Imaging Findings of the Proximal Metacarpus in Quarter Horses Used for Cutting: Retrospective Analysis of 32 Horses 2009–2012. Equine Vet. J. 2018, 50, 172–178. [Google Scholar] [CrossRef]
- Nagy, A.; Dyson, S. Magnetic Resonance Anatomy of the Proximal Metacarpal Region of the Horse Described from Images Acquired from Low- and High-Field Magnets. Vet. Radiol. Ultrasound 2009, 50, 595–605. [Google Scholar] [CrossRef]
- Murray, R.C.; Blunden, T.S.; Schramme, M.C.; Dyson, S.J. How Does Magnetic Resonance Imaging Represent Histologic Findings in the Equine Digit ? Vet. Radiol. Ultrasound 2006, 47, 17–31. [Google Scholar] [CrossRef]
- Dyson, S.; Blunden, T.; Murray, R. Comparison between Magnetic Resonance Imaging and Histological Findings in the Navicular Bone of Horses with Foot Pain. Equine Vet. J. 2012, 44, 692–698. [Google Scholar] [CrossRef]
- Mizobe, F.; Nomura, M.; Kato, T.; Nambo, Y.; Yamada, K. Signal Changes in Standing Magnetic Resonance Imaging of Osseous Injury at the Origin of the Suspensory Ligament in Four Thoroughbred Racehorses under Tiludronic Acid Treatment. J. Equine Sci. 2017, 28, 87–97. [Google Scholar] [CrossRef]
- Costa-Paz, M.; Muscolo, D.L.; Ayerza, M.; Makino, A.; Aponte-Tinao, L. Magnetic Resonance Imaging Follow-up Study of Bone Bruises Associated with Anterior Cruciate Ligament Ruptures. Arthrosc. J. Arthrosc. Relat. Surg. 2001, 17, 445–449. [Google Scholar] [CrossRef] [PubMed]
- Roemer, F.; Bohndorf, K. Long-Term Osseous Sequelae after Acute Trauma of the Knee Joint Evaluated by MRI. Skelet. Radiol. 2002, 31, 615–623. [Google Scholar] [CrossRef] [PubMed]
- Mandalia, V.; Fogg, A.J.B.; Chari, R.; Murray, J.; Beale, A.; Henson, J.H.L. Bone Bruising of the Knee. Clin. Radiol. 2005, 60, 627–636. [Google Scholar] [CrossRef] [PubMed]
- Gold, S.J.; Werpy, N.M.; Gutierrez-Nibeyro, S.D. Injuries of the Sagittal Groove of the Proximal Phalanx in Warmblood Horses Detected with Low-Field Magnetic Imaging: 19 Cases (2007–2016). Vet. Radiol. Ultrasound 2017, 58, 344–353. [Google Scholar] [CrossRef] [PubMed]
- Faulkner, J.E.; Joostens, Z.; Broeckx, B.J.G.; Hauspie, S.; Mariën, T.; Vanderperren, K. Follow-Up Magnetic Resonance Imaging of Sagittal Groove Disease of the Equine Proximal Phalanx Using a Classification System in 29 Non-Racing Sports Horses. Animals 2023, 14, 34. [Google Scholar] [CrossRef] [PubMed]
- Dyson, S.; Nagy, A.; Murray, R. Clinical and Diagnostic Imaging Findings in Horses with Subchondral Bone Trauma of the Sagittal Groove of the Proximal Phalanx. Vet. Radiol. Ultrasound 2011, 52, 596–604. [Google Scholar] [CrossRef] [PubMed]
- Ramzan, P.H.L.; Powell, S.E. Clinical and Imaging Features of Suspected Prodromal Fracture of the Proximal Phalanx in Three Thoroughbred Racehorses. Equine Vet. J. 2010, 42, 164–169. [Google Scholar] [CrossRef] [PubMed]
- Bertone, A.L. Suspensory Ligament Desmitis. In Adams and Stashak’s Lameness in Horses; Baxter, G.M., Ed.; Blackwell Publishing Ltd.: West Sussex, UK, 2011; pp. 644–648. [Google Scholar]
- Vanel, M.; Olive, J.; Gold, S.; Mitchell, R.D.; Walker, L. Clinical Significance and Prognosis of Deep Digital Flexor Tendinopathy Assessed over Time Using MRI. Vet. Radiol. Ultrasound 2012, 53, 621–627. [Google Scholar] [CrossRef] [PubMed]
- Holowinski, M.; Judy, C.; Saveraid, T.; Maranda, L. Resolution of Lesions on STIR Images Is Associated with Improved Lameness Status in Horses. Vet. Radiol. Ultrasound 2010, 51, 479–484. [Google Scholar] [CrossRef]
- Werpy, N.M. Magnetic Resonance Imaging of the Equine Patient: A Comparison of High- and Low-Field Systems. Clin. Tech. Equine Pract. 2007, 6, 37–45. [Google Scholar] [CrossRef]
- Likon, I.; Dyson, S.; Nagy, A. Magnetic Resonance Imaging Measurements of the Proximal Palmar Cortex of the Third Metacarpal Bone and the Suspensory Ligament in Non-Lame Endurance Horses before and after Six Months of Training. Animals 2023, 13, 1106. [Google Scholar] [CrossRef] [PubMed]
- Dancot, M.; Joostens, Z.; Audigié, F.; Busoni, V. The Plantar Proximal Cortex of the Third Metatarsal Bone Shows Raised Longitudinal Ridges at the Suspensory Ligament Enthesis in Normal Equine Isolated Limbs—A Radiographic, Computed Tomography, and MRI Study. Front. Vet. Sci. 2023, 10, 1265116. [Google Scholar] [CrossRef] [PubMed]
- Scharf, A.; de Solis, C.N.; Sampson, S.N.; Glass, K.; Watts, A.E. Suspensory Ligament Size Does Not Change after Plantar Fasciotomy and Neurectomy of the Deep Branch of the Lateral Plantar Nerve by Ultrasonographic Assessment. Vet. Surg. 2022, 51, 259–269. [Google Scholar] [CrossRef] [PubMed]







| Sequence | TR (ms) | TE (ms) | Flip Angle (Deg.) | FOV (cm) | Matrix Size | Slice Thickness (mm) | Gap (mm) | Fr × Ph |
|---|---|---|---|---|---|---|---|---|
| T1W GRE | 52 | 8 | 50 | 170 × 170 | 256 × 256 | 5 | 0.6 | 170 × 170 |
| T2*W GRE | 68 | 13 | 28 | 170 × 170 | 256 × 256 | 5 | 0.6 | 170 × 160 |
| T2W FSE | 1500 | 110 | 90 | 170 × 170 | 256 × 256 | 5 | 0.6 | 128 × 144 |
| STIR FSE | 1834 | 22 | 90 | 170 × 170 | 256 × 256 | 5 | 0.6 | 128 × 144 |
| Finding | Number of Limbs and Percentage with Findings | Resolved | Decreased | Unchanged | Increased |
|---|---|---|---|---|---|
| Dorsal margin irregularity of the PSL | 12/18 (75%) | - | - | 12/12 (100%) | - |
| Hyperintense signal on T1W GRE and T2*W GRE within the dorsal collagenous part of the PSL | 11/18 (61%) | 0/11 | 6/11 (55%) | 4/11 (36%) | 1/11 (9%) |
| Hyperintense STIR signal within the dorsal collagenous part of the PSL | 5/18 (28%) | 4/5 (80%) | - | 1/5 (20%) | - |
| McIII hyperintense STIR signal | 16/18 (89%) | 16/16 (100%) | - | - | - |
| McIII sclerosis | 18/18 (100%) | - | - | 16/18 (89%) | 2/18 (11%) |
| McIII palmar cortical resorption | 12/18 (67%) | - | - | 11/12 (92%) | 1/12 (8%) |
| Finding | Initial MRI | (Last) Rescan MRI |
|---|---|---|
| Dorsal margin irregularity of the PSL | Grade 0: 5 limbs Grade 1: 7 limbs Grade 2: 6 limbs Grade 3: 0 limbs | Grade 0: 5 limbs Grade 1: 7 limbs Grade 2: 6 limbs Grade 3: 0 limbs |
| Hyperintense signal on T1W GRE and T2*W GRE within the dorsal collagenous part of the PSL | Grade 0: 7 limbs Grade 1: 5 limbs Grade 2: 5 limbs Grade 3: 1 limb | Grade 0: 7 limbs Grade 1: 10 limbs Grade 2: 1 limbs Grade 3: 0 limbs |
| Hyperintense STIR signal within the dorsal collagenous part of the PSL | Grade 0: 13 limbs Grade 1: 1 limb Grade 2: 4 limbs Grade 3: 0 limb | Grade 0: 17 limbs Grade 1: 0 limbs Grade 2: 1 limbs Grade 3: 0 limbs |
| McIII hyperintense STIR signal | Grade 0: 2 limbs Grade 1: 5 limbs Grade 2: 3 limbs Grade 3: 8 limbs | Grade 0: 18 limbs Grade 1: 0 limbs Grade 2: 0 limbs Grade 3: 0 limbs |
| McIII sclerosis | Grade 0: 0 limbs Grade 1: 11 limbs Grade 2: 6 limbs Grade 3: 1 limb | Grade 0: 0 limbs Grade 1: 10 limbs Grade 2: 6 limbs Grade 3: 2 limbs |
| McIII palmar cortical resorption | Grade 0: 7 limbs Grade 1: 8 limbs Grade 2: 3 limbs Grade 3: 0 limbs | Grade 0: 6 limbs Grade 1: 9 limbs Grade 2: 3 limbs |
Disclaimer/Publisher’s Note: The statements, opinions and data contained in all publications are solely those of the individual author(s) and contributor(s) and not of MDPI and/or the editor(s). MDPI and/or the editor(s) disclaim responsibility for any injury to people or property resulting from any ideas, methods, instructions or products referred to in the content. |
© 2024 by the authors. Licensee MDPI, Basel, Switzerland. This article is an open access article distributed under the terms and conditions of the Creative Commons Attribution (CC BY) license (https://creativecommons.org/licenses/by/4.0/).
Share and Cite
van Veggel, E.C.S.; Vanderperren, K.; Selberg, K.T.; Bergman, H.-J.; Hoogelander, B. The Evolution of Lesions on Follow-Up Magnetic Resonance Imaging of the Proximal Metacarpal Region in Non-Racing Sport Horses That Returned to Work (2015–2023). Animals 2024, 14, 1731. https://doi.org/10.3390/ani14121731
van Veggel ECS, Vanderperren K, Selberg KT, Bergman H-J, Hoogelander B. The Evolution of Lesions on Follow-Up Magnetic Resonance Imaging of the Proximal Metacarpal Region in Non-Racing Sport Horses That Returned to Work (2015–2023). Animals. 2024; 14(12):1731. https://doi.org/10.3390/ani14121731
Chicago/Turabian Stylevan Veggel, Elisabeth C. S., Katrien Vanderperren, Kurt T. Selberg, Hendrik-Jan Bergman, and Brenda Hoogelander. 2024. "The Evolution of Lesions on Follow-Up Magnetic Resonance Imaging of the Proximal Metacarpal Region in Non-Racing Sport Horses That Returned to Work (2015–2023)" Animals 14, no. 12: 1731. https://doi.org/10.3390/ani14121731
APA Stylevan Veggel, E. C. S., Vanderperren, K., Selberg, K. T., Bergman, H.-J., & Hoogelander, B. (2024). The Evolution of Lesions on Follow-Up Magnetic Resonance Imaging of the Proximal Metacarpal Region in Non-Racing Sport Horses That Returned to Work (2015–2023). Animals, 14(12), 1731. https://doi.org/10.3390/ani14121731
