Proximal Ulnar Osteotomy as a Treatment for Humeral Intracondylar Fissure in a Shetland Sheepdog
Abstract
Simple Summary
Abstract
1. Introduction
2. Materials and Methods
Surgical Treatment
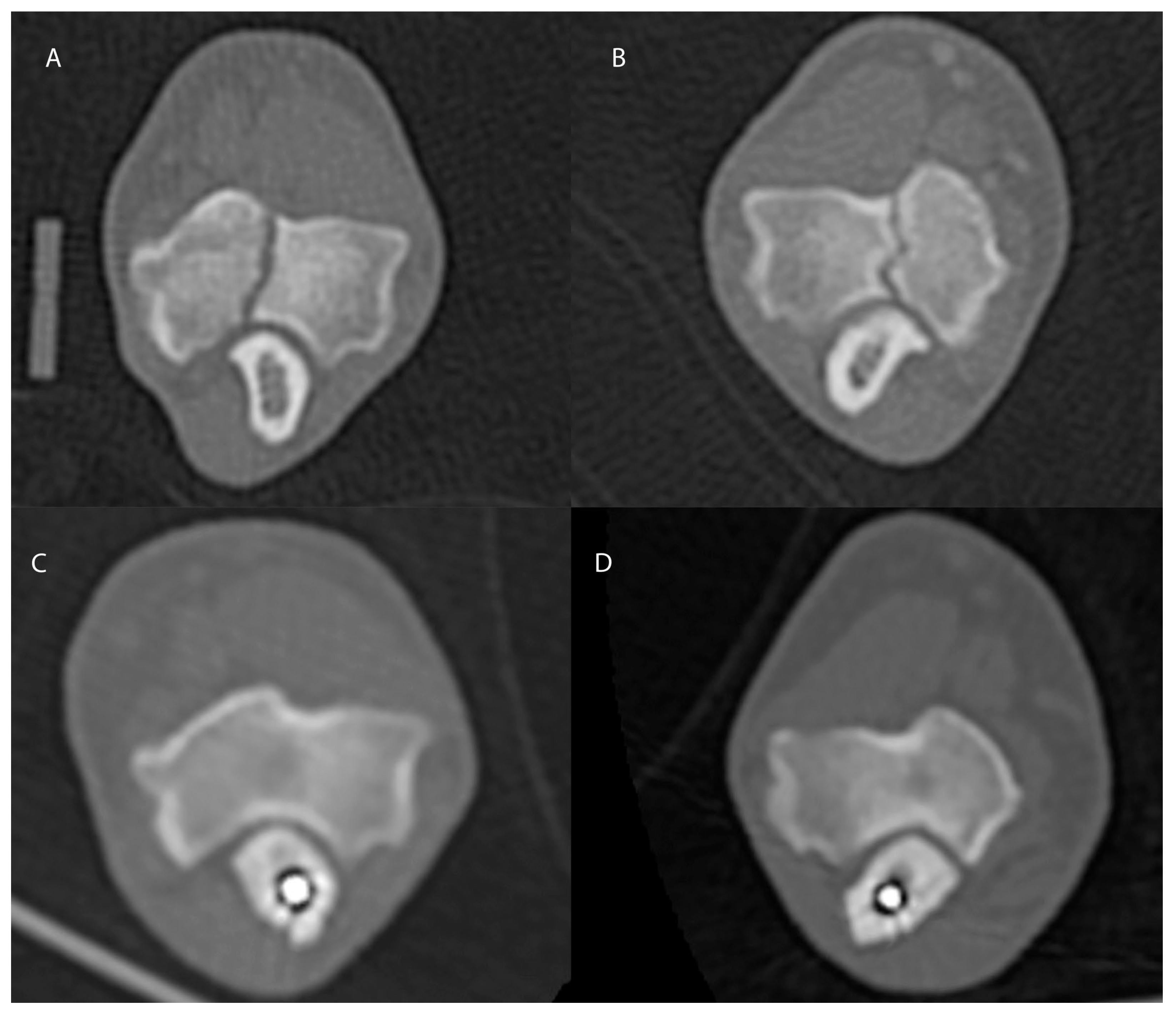
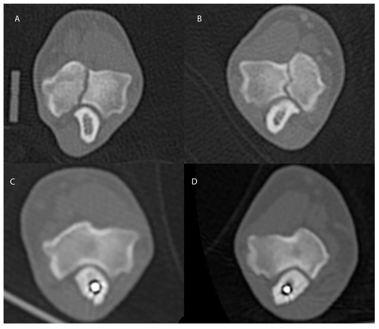
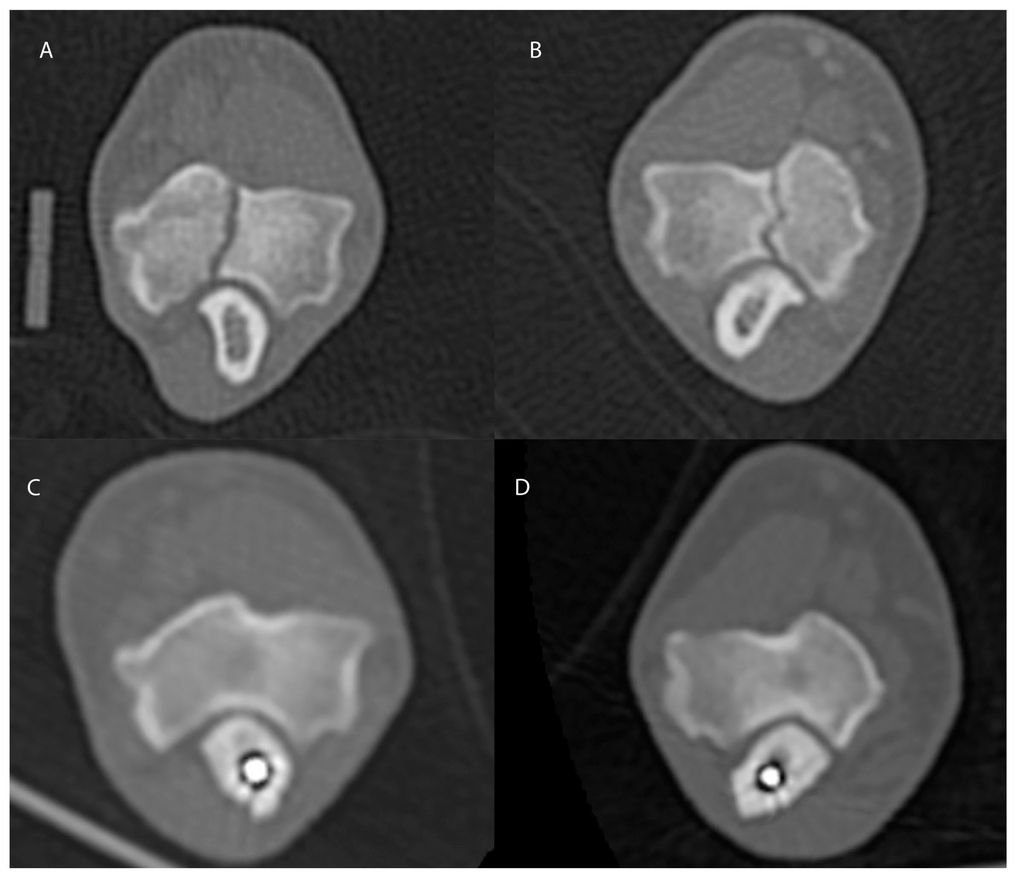
3. Results
4. Discussion
5. Conclusions
Author Contributions
Funding
Institutional Review Board Statement
Informed Consent Statement
Data Availability Statement
Conflicts of Interest
References
- Moores, A.P.; Agthe, P.; Schaafsma, I.A. Prevalence of incomplete ossification of the humeral condyle and other abnormalities of the elbow in English Springer Spaniels. Vet. Comp. Orthop. Traumatol. 2012, 25, 211–216. [Google Scholar] [PubMed]
- Meyer-Lindenberg, A.; Heinen, V.; Fehr, M.; Nolte, I. Incomplete ossification of the humeral condyle as the cause of lameness in dogs. Vet. Comp. Orthop. Traumatol. 2002, 15, 187–194. [Google Scholar]
- Marcellin-Little, D.J.; DeYoung, D.J.; Ferris, K.K.; Berry, C.M. Incomplete ossification of the humeral condyle in spaniels. Vet. Surg. 1994, 23, 475–487. [Google Scholar] [CrossRef] [PubMed]
- Butterworth, S.J.; Innes, J.F. Incomplete humeral condylar fractures in the dog. J. Small Anim. Pract. 2001, 42, 394–398. [Google Scholar] [CrossRef]
- Franklin, C.; Herrtage, M.; Harris, K.; Genain, M.A. Prevalence of incidental humeral intracondylar fissures in brachycephalic breed dogs in CT studies. Vet. Radiol. Ultrasound. 2022; early view. [Google Scholar] [CrossRef]
- Farrell, M.; Trevail, T.; Marshall, W.; Yeadon, R.; Carmichael, S. Computed tomographic documentation of the natural progression of humeral intracondylar fissure in a cocker spaniel. Vet. Surg. 2011, 40, 966–971. [Google Scholar] [CrossRef]
- Hattersley, R.; McKee, M.; O’Neill, T.; Clarke, S.; Butterworth, S.; Maddox, T.; Owen, M.; Langley-Hobbs, S.J.; Comerford, E. Postoperative complications after surgical management of incomplete ossification of the humeral condyle in dogs. Vet. Surg. 2011, 40, 728–733. [Google Scholar] [CrossRef]
- Moores, A.P. Humeral intracondylar fissure in dogs. Vet. Clin. N. Am. Small Anim. Pract. 2021, 51, 421–437. [Google Scholar] [CrossRef]
- Danielski, A.; Yeadon, R. Humero-anconeal elbow incongruity in spaniel breed dogs with humeral intracondylar fissure: Arthroscopic findings. Vet. Surg. 2022, 51, 117–124. [Google Scholar] [CrossRef]
- Fitzpatrick, N.; Caron, A.; Solano, M.A. Bi-oblique dynamic proximal ulnar osteotomy in dogs: Reconstructed computed tomographic assessment of radioulnar congruence over 12 weeks. Vet. Surg. 2013, 42, 727–738. [Google Scholar] [CrossRef]
- Kranz, S.T.; Lesser, A.S. Radiographic evaluation of osteotomized ulnar segments following arthroscopic treatment for canine medial coronoid disease. Vet. Comp. Orthop. Traumatol. 2011, 24, 383–388. [Google Scholar]
- Gilson, S.D.; Piermattei, D.L.; Schwarz, P.D. Treatment of humeroulnar subluxation with a dynamic proximal ulnar osteotomy. A review of 13 cases. Vet. Surg. 1989, 18, 114–122. [Google Scholar] [CrossRef]
- Moores, A.P.; Tivers, M.S.; Grierson, J. Clinical assessment of a shaft screw for stabilization of the humeral condyle in dogs. Vet. Comp. Orthop. Traumatol. 2014, 27, 179–185. [Google Scholar]
- Rovesti, G.L.; Flückiger, M.; Margini, A.; Marcellin-Little, D.J. Fragmented coronoid process and incomplete ossification of the humeral condyle in a rottweiler. Vet. Surg. 1998, 27, 354–357. [Google Scholar] [CrossRef]
- Von Pfeil, D.J.; DeCamp, C.E.; Agnello, C.; Steficek, B.A. Deformity secondary to bilateral incomplete ossification of the humeral condyle in a German Shorthaired Pointer dog. A case report with ten-year follow-up. Vet. Comp. Orthop. Traumatol. 2010, 23, 468–471. [Google Scholar]
- Strohmeier, U.W.; Harris, K.P. Humeral intracondylar fissures in French bulldogs. Vet. Rec. 2021, 189, e504. [Google Scholar] [CrossRef]
- Gnudi, G.; Martini, F.M.; Zanichelli, S.; Volta, A.; Bertoni, G.; Del Bue, M.; Borghetti, P. Incomplete humeral condylar fracture in two English Pointer dogs. Vet. Comp. Orthop. Traumatol. 2005, 18, 243–245. [Google Scholar]
- Witte, P.G.; Bush, M.A.; Scott, H.W. Propagation of a partial incomplete ossification of the humeral condyle in an American cocker spaniel. J. Small Anim. Pract. 2010, 51, 591–593. [Google Scholar] [CrossRef]
- Piola, V.; Posch, B.; Radke, H.; Telintelo, G.; Herrtage, M.E. Magnetic resonance imaging features of canine incomplete humeral condyle ossification. Vet. Radiol. Ultrasound. 2012, 53, 560–565. [Google Scholar] [CrossRef]
- Matcuk, G.R., Jr.; Mahanty, S.R.; Skalski, M.R.; Patel, D.B.; White, E.A.; Gottsegen, C.J. Stress fractures: Pathophysiology, clinical presentation, imaging features, and treatment options. Emerg. Radiol. 2016, 23, 365–375. [Google Scholar] [CrossRef]
- Carrera, I.; Hammond, G.J.; Sullivan, M. Computed tomographic features of incomplete ossification of the canine humeral condyle. Vet. Surg. 2008, 37, 226–231. [Google Scholar] [CrossRef] [PubMed]
- Danielski, A.; Yeadon, R. Proximal ulnar osteotomy as a treatment for humeral intracondylar fissure in spaniel breed dogs: Preliminary results. In Proceedings of the ESVOT 2022 Congress, Nice, France, 21–24 September 2022; pp. 426–427. [Google Scholar]
- McCarthy, J.; Woods, S.; Mosley, J.R. Long-term outcome following management of canine humeral intracondylar fissure using a medial approach and a cannulated drill system. Vet. Rec. 2020, 186, 490. [Google Scholar] [CrossRef] [PubMed]
- Chase, D.; Sul, R.; Solano, M.; Calvo, I.; Joslyn, S.; Farrell, M. Short- and long-term outcome after transcondylar screw placement to treat humeral intracondylar fissure in dogs. Vet. Surg. 2019, 48, 299–308. [Google Scholar] [CrossRef] [PubMed]
- Caron, A.; Fitzpatrick, N. Bi-Oblique Dynamic Proximal Ulnar Osteotomy: Surgical Technique and Clinical Outcome in 86 Dogs. Vet. Surg. 2016, 45, 356–363. [Google Scholar] [CrossRef]
- Williams, H.; Arthurs, G.; Burton, N.; Kulendra, E.; Radke, H.; Parsons, K. Lateral Radial Head Subluxation as a Complication Following Proximal Ulnar Osteotomy or Ostectomy in Eight Dogs. Vet. Comp. Orthop. Traumatol. 2019, 32, 250–256. [Google Scholar] [CrossRef]
- Böttcher, P.; Bräuer, S.; Werner, H. Estimation of joint incongruence in dysplastic canine elbows before and after dynamic proximal ulnar osteotomy. Vet. Surg. 2013, 42, 371–376. [Google Scholar] [CrossRef]
- Walton, M.B.; Crystal, E.; Morrison, S.; Onyett, J.; McClement, J.; Allan, R.; Straw, M.; Innes, J.F. A humeral intracondylar repair system for the management of humeral intracondylar fissure and humeral condylar fracture. J. Small Anim. Pract. 2020, 61, 757–765. [Google Scholar] [CrossRef]
- Rutkowski, P.T.; Samora, J.B. Congenital Radioulnar Synostosis. J. Am. Acad. Orthop. Surg. 2021, 29, 563–570. [Google Scholar] [CrossRef]
- Dohn, P.; Khiami, F.; Rolland, E.; Goubier, J.N. Adult post-traumatic radioulnar synostosis. Orthop. Traumatol. Surg. Res. 2012, 98, 709–714. [Google Scholar] [CrossRef]
- Carrig, C.B. Growth abnormalities of the canine radius and ulna. Vet. Clin. N. Am. Small Anim. Pract. 1983, 13, 91–115. [Google Scholar] [CrossRef]
- Langley-Hobbs, S.J.; Carmichael, S.; Pead, M.J.; Torrington, A.M. Management of antebrachial deformity and shortening secondary to a synostosis in a dog. J. Small Anim. Pract. 1996, 37, 359–363. [Google Scholar] [CrossRef]



Disclaimer/Publisher’s Note: The statements, opinions and data contained in all publications are solely those of the individual author(s) and contributor(s) and not of MDPI and/or the editor(s). MDPI and/or the editor(s) disclaim responsibility for any injury to people or property resulting from any ideas, methods, instructions or products referred to in the content. |
© 2023 by the authors. Licensee MDPI, Basel, Switzerland. This article is an open access article distributed under the terms and conditions of the Creative Commons Attribution (CC BY) license (https://creativecommons.org/licenses/by/4.0/).
Share and Cite
Karydas, S.; Danielski, A. Proximal Ulnar Osteotomy as a Treatment for Humeral Intracondylar Fissure in a Shetland Sheepdog. Animals 2023, 13, 519. https://doi.org/10.3390/ani13030519
Karydas S, Danielski A. Proximal Ulnar Osteotomy as a Treatment for Humeral Intracondylar Fissure in a Shetland Sheepdog. Animals. 2023; 13(3):519. https://doi.org/10.3390/ani13030519
Chicago/Turabian StyleKarydas, Stavros, and Alan Danielski. 2023. "Proximal Ulnar Osteotomy as a Treatment for Humeral Intracondylar Fissure in a Shetland Sheepdog" Animals 13, no. 3: 519. https://doi.org/10.3390/ani13030519
APA StyleKarydas, S., & Danielski, A. (2023). Proximal Ulnar Osteotomy as a Treatment for Humeral Intracondylar Fissure in a Shetland Sheepdog. Animals, 13(3), 519. https://doi.org/10.3390/ani13030519

