Possible Association of Bovine Gammaherpesvirus 6 with Pulmonary Disease in a Cow
Abstract
Simple Summary
Abstract
1. Introduction
2. Detailed Case Description
2.1. Tissue Collection and Study Location
2.2. Immunohistochemical Identification of Pathogens Associated with the Development of BRD
2.3. Molecular Detection of Infectious Disease Pathogens of BRD
2.4. Sequencing and Phylogenetic Analysis of BoGHV6 Polymerase Gene
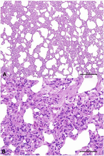
2.5. Clinical, Gross, Histopathologic, and Immunohistochemical Findings
2.6. Molecular Amplification, Sequence, and Phylogenetic Analysis of BoGHV6 Polymerase Gene
3. Discussion
4. Conclusions
Author Contributions
Funding
Institutional Review Board Statement
Informed Consent Statement
Data Availability Statement
Acknowledgments
Conflicts of Interest
References
- Van der Maaten, M.J.; Boothe, A.D. Isolation of a herpes-like virus from lymphosarcomatous cattle. Arch. Gesamte Virusforsch 1972, 37, 85–96. [Google Scholar] [CrossRef] [PubMed]
- ICTV—International Committee on Taxonomy of Viruses. Virus Taxonomy: 2021 Release—Order Herpesvirales. Available online: https://talk.ictvonline.org/taxonomy/ (accessed on 10 April 2022).
- Crawford, T.B.; Li, H.; Rosenburg, S.R.; Norhausen, R.W.; Garner, M.M. Mural folliculitis and alopecia caused by infection with goat-associated malignant catarrhal fever virus in two sika deer. J. Am. Vet. Med. Assoc. 2002, 221, 843–847. [Google Scholar] [CrossRef] [PubMed]
- Li, H.; Dyer, N.; Keller, J.; Crawford, T.B. Newly recognized herpesvirus causing malignant catarrhal fever in white-tailed deer (Odocoileus virginianus). J. Clin. Microbiol. 2000, 38, 1313–1318. [Google Scholar] [CrossRef] [PubMed]
- Li, H.; Gailbreath, K.; Flach, E.J.; Taus, N.S.; Cooley, J.; Keller, J.; Russell, G.C.; Knowles, D.P.; Haig, D.M.; Oaks, J.L.; et al. A novel subgroup of rhadinoviruses in ruminants. J. Gen. Virol. 2005, 86 Pt 11, 3021–3026. [Google Scholar] [CrossRef] [PubMed]
- O’Toole, D.; Li, H. The pathology of malignant catarrhal fever, with an emphasis on ovine herpesvirus 2. Vet. Pathol. 2014, 51, 437–452. [Google Scholar] [CrossRef]
- Russell, G.C.; Stewart, J.P.; Haig, D.M. Malignant catarrhal fever: A review. Vet. J. 2009, 179, 324–335. [Google Scholar] [CrossRef]
- Zhu, H.; Huang, Q.; Hu, X.; Chu, W.; Zhang, J.; Jiang, L.; Yu, X.; Zhang, X.; Cheng, S. Caprine herpesvirus 2-associated malignant catarrhal fever of captive sika deer (Cervus nippon) in an intensive management system. BMC Vet. Res. 2018, 14, 38. [Google Scholar] [CrossRef]
- Foyle, K.L.; Fuller, H.E.; Higgins, R.J.; Russell, G.C.; Willoughby, K.; Rosie, W.G.; Stidworthy, M.F.; Foster, A.P. Malignant catarrhal fever in sika deer (Cervus nippon) in the UK. Vet. Rec. 2009, 165, 445–447. [Google Scholar] [CrossRef]
- Headley, S.A.; Fritzen, J.T.T.; Bon, V.R.; Xavier, A.A.C.; Dall Agnol, A.M.; Zucoloto, N.Z.; Silva, F.H.P.; Figueiredo, J.R.X.; Alfieri, A.F.; Okano, W.; et al. Detection of bovine gammaherpesvirus 6 in tissues of aborted fetuses from dairy cows concomitantly infected by Histophilus somni. Microb. Pathog. 2022, 169, 105621. [Google Scholar] [CrossRef]
- Dall Agnol, A.M.; Leme, R.A.; Suphoronski, S.A.; Oliveira, T.E.S.; Possatti, F.; Saporiti, V.; Headley, S.A.; Alfieri, A.A.; Alfieri, A.F. Porcine lymphotropic herpesvirus DNA detection in multiple organs of pigs in Brazil. Braz. J. Microbiol. 2020, 51, 2145–2152. [Google Scholar] [CrossRef]
- Griffin, D.; Chengappa, M.M.; Kuszak, J.; McVey, D.S. Bacterial pathogens of the bovine respiratory disease complex. Vet. Clin. N. Am. Food Anim. Pract. 2010, 26, 381–394. [Google Scholar] [CrossRef] [PubMed]
- Gagea, M.I.; Bateman, K.G.; van Dreumel, T.; McEwen, B.J.; Carman, S.; Archambault, M.; Shanahan, R.A.; Caswell, J.L. Diseases and pathogens associated with mortality in Ontario beef feedlots. J. Vet. Diagn. Investig. 2006, 18, 18–28. [Google Scholar] [CrossRef] [PubMed]
- Castro, M.M.; Oliveira, T.E.S.; Headley, S.A. Bovine respiratory disease in Brasil: A short review. Semin. Ciênc. Agrár. 2021, 42, 2081–2110. [Google Scholar] [CrossRef]
- Oliveira, T.E.S.; Scuisato, G.S.; Pelaquim, I.F.; Cunha, C.W.; Cunha, L.S.; Flores, E.F.; Pretto-Giordano, L.G.; Lisbôa, J.A.N.; Alfieri, A.A.; Saut, J.P.E.; et al. The participation of a virus within the malignant catarrhal fever virus group and Mycoplasma bovis in the development of single and mixed infections in beef and dairy cattle with bovine respiratory disease. Front. Vet. Sci. 2021, 8, 691448. [Google Scholar] [CrossRef]
- Headley, S.A.; de Lemos, G.A.A.; Dall Agnol, A.M.; Xavier, A.A.C.; Depes, V.C.A.; Yasumitsu, C.Y.; Oliveira, T.E.S.; Silva, L.E.; Faccin, T.C.; Alfieri, A.A.; et al. Ovine gammaherpesvirus 2 infections in cattle without typical manifestations of sheep-associated malignant catarrhal fever and concomitantly infected with bovine coronavirus. Braz. J. Microbiol. 2022, 53, 433–446. [Google Scholar] [CrossRef] [PubMed]
- Headley, S.A.; Oliveira, T.E.S.; Cunha, C.W. A review of the epidemiological, clinical, and pathological aspects of malignant catarrhal fever in Brazil. Braz. J. Microbiol. 2020, 51, 1405–1432. [Google Scholar] [CrossRef] [PubMed]
- Headley, S.A.; Oliveira, T.E.S.; Li, H.; Lisbôa, J.A.N.; Queiroz, G.R.; Fritzen, J.T.T.; Flores, E.F.; Alfieri, A.A.; Cunha, C.W. Immunohistochemical detection of intralesional antigens of Ovine Gammaherpesvirus-2 in Cattle with Sheep-associated Malignant Catarrhal Fever. J. Comp. Pathol. 2020, 174, 86–98. [Google Scholar] [CrossRef]
- Headley, S.A.; Dall Agnol, A.M.; Bessegato, J.A.; Frucchi, A.P.S.; Maturana, É.F.L.; Rodrigues, R.V.; Xavier, A.A.C.; Alfieri, A.F.; Alfieri, A.A. Association of ovine gammaherpesvirus 2 with an outbreak of acute respiratory disease in dairy cattle. Sci. Rep. 2022. submitted. [Google Scholar]
- Rovnak, J.; Quackenbush, S.L.; Reyes, R.A.; Baines, J.D.; Parrish, C.R.; Casey, J.W. Detection of a novel bovine lymphotropic herpesvirus. J. Virol. 1998, 72, 4237–4242. [Google Scholar] [CrossRef]
- Garigliany, M.M.; Bayrou, C.; Cassart, D.; Jolly, S.; Desmecht, D. Bovine lymphotropic herpesvirus detected in Belgium. Vet. Rec. 2013, 172, 535–536. [Google Scholar] [CrossRef]
- Oliveira, C.H.; Oliveira, F.G.; Gasparini, M.R.; Galinari, G.C.; Lima, G.K.; Fonseca, A.A., Jr.; Barbosa, J.D.; Barbosa-Stancioli, E.F.; Leite, R.C.; Dos Reis, J.K. Bovine herpesvirus 6 in buffaloes (Bubalus bulalis) from the Amazon region, Brazil. Trop. Anim. Health Prod. 2015, 47, 465–468. [Google Scholar] [CrossRef]
- Gagnon, C.A.; Allam, O.; Drolet, R.; Tremblay, D. Quebec: Detection of bovine lymphotropic herpesvirus DNA in tissues of a bovine aborted fetus. Can. Vet. J. 2010, 51, 1021–1022. [Google Scholar] [PubMed]
- de Boer, M.W.; Zheng, T.; Buddle, B.M.; McDougall, S. Detection of bovine herpesvirus type 4 antibodies and bovine lymphotropic herpesvirus in New Zealand dairy cows. N. Z. Vet. J. 2014, 62, 351–355. [Google Scholar] [CrossRef]
- Kubiś, P.; Materniak, M.; Kuźmak, J. Comparison of nested PCR and qPCR for the detection and quantitation of BoHV6 DNA. J. Virol. Methods 2013, 194, 94–101. [Google Scholar] [CrossRef]
- Cobb, S.P.; Banks, M.; Russell, C.; Thorne, M. Bovine lymphotrophic herpesvirus in a UK dairy herd. Vet. Rec. 2006, 158, 807–808. [Google Scholar] [CrossRef] [PubMed]
- Banks, M.; Ibata, G.; Murphy, A.M.; Frossard, J.P.; Crawshaw, T.R.; Twomey, D.F. Bovine lymphotropic herpesvirus and non-responsive post-partum metritis in dairy herds in the UK. Vet. J. 2008, 176, 248–250. [Google Scholar] [CrossRef] [PubMed]
- Collins, J.K.; Bruns, C.; Vermedahl, T.L.; Schiebel, A.L.; Jessen, M.T.; Schultheiss, P.C.; Anderson, G.M.; Dinsmore, R.P.; Callan, R.J.; DeMartini, J.C. Malignant catarrhal fever: Polymerase chain reaction survey for ovine herpesvirus 2 and other persistent herpesvirus and retrovirus infections of dairy cattle and bison. J. Vet. Diagn. Investig. 2000, 12, 406–411. [Google Scholar] [CrossRef] [PubMed]
- Rosato, G.; Ruiz Subira, A.; Al-Saadi, M.; Michalopoulou, E.; Verin, R.; Dettwiler, M.; Nordgren, H.; Chiers, K.; Groβmann, E.; Köhler, K.; et al. Gammaherpesvirus infections in cattle in Europe. Viruses 2021, 13, 2337. [Google Scholar] [CrossRef]
- Oliveira, T.E.S.; Pelaquim, I.F.; Flores, E.F.; Massi, R.P.; Valdiviezo, M.J.J.; Pretto-Giordano, L.G.; Alfieri, A.A.; Saut, J.P.E.; Headley, S.A. Mycoplasma bovis and viral agents associated with the development of bovine respiratory disease in adult dairy cows. Transbound. Emerg. Dis. 2020, 67 (Suppl. 2), 82–93. [Google Scholar] [CrossRef]
- Boom, R.; Sol, C.J.; Salimans, M.M.; Jansen, C.L.; Wertheim-van Dillen, P.M.; van der Noordaa, J. Rapid and simple method for purification of nucleic acids. J. Clin. Microbiol. 1990, 28, 495–503. [Google Scholar] [CrossRef]
- Alfieri, A.A.; Parazzi, M.E.; Takiuchi, E.; Médici, K.C.; Alfieri, A.F. Frequency of group A rotavirus in diarrhoeic calves in Brazilian cattle herds, 1998–2002. Trop. Anim. Health Prod. 2006, 38, 521–526. [Google Scholar] [CrossRef] [PubMed]
- Baxter, S.I.; Pow, I.; Bridgen, A.; Reid, H.W. PCR detection of the sheep-associated agent of malignant catarrhal fever. Arch. Virol. 1993, 132, 145–159. [Google Scholar] [CrossRef] [PubMed]
- Vilcek, S.; Herring, A.J.; Herring, J.A.; Nettleton, P.F.; Lowings, J.P.; Paton, D.J. Pestiviruses isolated from pigs, cattle and sheep can be allocated into at least three genogroups using polymerase chain reaction and restriction endonuclease analysis. Arch. Virol. 1994, 136, 309–323. [Google Scholar] [CrossRef]
- Vilcek, S.; Elvander, M.; Ballagi-Pordany, A.; Belak, S. Development of nested PCR assays for detection of bovine respiratory syncytial virus in clinical samples. J. Clin. Microbiol. 1994, 32, 2225–2231. [Google Scholar] [CrossRef] [PubMed]
- Claus, M.P.; Alfieri, A.F.; Folgueras-Flatschart, A.V.; Wosiacki, S.R.; Médici, K.C.; Alfieri, A.A. Rapid detection and differentiation of bovine herpesvirus 1 and 5 glycoprotein C gene in clinical specimens by multiplex-PCR. J. Virol. Methods 2005, 128, 183–188. [Google Scholar] [CrossRef]
- Takiuchi, E.; Stipp, D.T.; Alfieri, A.F.; Alfieri, A.A. Improved detection of bovine coronavirus N gene in faeces of calves infected naturally by a semi-nested PCR assay and an internal control. J. Virol. Methods 2006, 131, 148–154. [Google Scholar] [CrossRef]
- Zhu, Y.M.; Shi, H.F.; Gao, Y.R.; Xin, J.Q.; Liu, N.H.; Xiang, W.H.; Ren, X.G.; Feng, J.K.; Zhao, L.P.; Xue, F. Isolation and genetic characterization of bovine parainfluenza virus type 3 from cattle in China. Vet. Microbiol. 2011, 149, 446–451. [Google Scholar] [CrossRef] [PubMed]
- Angen, O.; Thomsen, J.; Larsen, L.E.; Larsen, J.; Kokotovic, B.; Heegaard, P.M.; Enemark, J.M. Respiratory disease in calves: Microbiological investigations on trans-tracheally aspirated bronchoalveolar fluid and acute phase protein response. Vet. Microbiol. 2009, 137, 165–171. [Google Scholar] [CrossRef] [PubMed]
- Townsend, K.M.; Frost, A.J.; Lee, C.W.; Papadimitriou, J.M.; Dawkins, H.J. Development of PCR assays for species- and type-specific identification of Pasteurella multocida isolates. J. Clin. Microbiol. 1998, 36, 1096–1100. [Google Scholar] [CrossRef]
- Angen, O.; Ahrens, P.; Tegtmeier, C. Development of a PCR test for identification of Haemophilus somnus in pure and mixed cultures. Vet. Microbiol. 1998, 63, 39–48. [Google Scholar] [CrossRef]
- Voltarelli, D.C.; de Alcântara, B.K.; Lunardi, M.; Alfieri, A.F.; de Arruda Leme, R.; Alfieri, A.A. A nested-PCR strategy for molecular diagnosis of mollicutes in uncultured biological samples from cows with vulvovaginitis. Anim. Reprod. Sci. 2018, 188, 137–143. [Google Scholar] [CrossRef] [PubMed]
- VanDevanter, D.R.; Warrener, P.; Bennett, L.; Schultz, E.R.; Coulter, S.; Garber, R.L.; Rose, T.M. Detection and analysis of diverse herpesviral species by consensus primer PCR. J. Clin. Microbiol. 1996, 34, 1666–1671. [Google Scholar] [CrossRef]
- Hall, T.A. BioEdit: A user-friendly biological sequence alignment editor and analysis program for Windows 95/98/NT. Nucleic Acids Symp. Ser. 1999, 41, 95–98. [Google Scholar]
- Kimura, M. A simple method for estimating evolutionary rates of base substitutions through comparative studies of nucleotide sequences. J. Mol. Evol. 1980, 16, 111–120. [Google Scholar] [CrossRef]
- Kumar, S.; Stecher, G.; Tamura, K. MEGA7: Molecular Evolutionary Genetics Analysis Version 7.0 for Bigger Datasets. Mol. Biol. Evol. 2016, 33, 1870–1874. [Google Scholar] [CrossRef]
- Zhang, M.; Hill, J.E.; Godson, D.L.; Ngeleka, M.; Fernando, C.; Huang, Y. The pulmonary virome, bacteriological and histopathological findings in bovine respiratory disease from western Canada. Transbound. Emerg. Dis. 2020, 67, 924–934. [Google Scholar] [CrossRef]
- Lechmann, J.; Ackermann, M.; Kaiser, V.; Bachofen, C. Viral infections shared between water buffaloes and small ruminants in Switzerland. J. Vet. Diagn. Investig. 2021, 33, 894–905. [Google Scholar] [CrossRef] [PubMed]
- De Oliveira, T.E.S.; Scuisato, G.S.; Fritzen, J.T.T.; Silva, D.C.; Massi, R.P.; Pelaquim, I.F.; Silva, L.E.; Flores, E.F.; Santos, R.L.; Pretto-Giordano, L.G.; et al. Infectious disease agents associated with pulmonary alterations in aborted bovine fetuses. Animals 2022, 12, 1596. [Google Scholar] [CrossRef]
- Castro, M.M. Gammaherpesvírus Bovino 6 Associado a Lesões Pulmonares e Entéricas em Búfalos na Região Centro-Oeste do Brasil. Ph.D. Thesis, Universidade de Cuiabá, Cuiabá, Mato Grosso, Brasil, 2022. [Google Scholar]
- Li, H.; Cunha, C.W.; Taus, N.S.; Knowles, D.P. Malignant catarrhal fever: Inching toward understanding. Annu. Rev. Anim. Biosci. 2014, 2, 209–233. [Google Scholar] [CrossRef]
- Cunha, C.W.; Gailbreath, K.L.; O’Toole, D.; Knowles, D.P.; Schneider, D.A.; White, S.N.; Taus, N.S.; Davies, C.J.; Davis, W.C.; Li, H. Ovine herpesvirus 2 infection in American bison: Virus and host dynamics in the development of sheep-associated malignant catarrhal fever. Vet. Microbiol. 2012, 159, 307–319. [Google Scholar] [CrossRef]



Disclaimer/Publisher’s Note: The statements, opinions and data contained in all publications are solely those of the individual author(s) and contributor(s) and not of MDPI and/or the editor(s). MDPI and/or the editor(s) disclaim responsibility for any injury to people or property resulting from any ideas, methods, instructions or products referred to in the content. |
© 2023 by the authors. Licensee MDPI, Basel, Switzerland. This article is an open access article distributed under the terms and conditions of the Creative Commons Attribution (CC BY) license (https://creativecommons.org/licenses/by/4.0/).
Share and Cite
Headley, S.A.; Dall Agnol, A.M.; Oliveira, T.E.S.; Bon, V.R.; Scuisato, G.S.; Xavier, A.A.C.; Yasumitsu, C.Y.; Alfieri, A.F.; Alfieri, A.A. Possible Association of Bovine Gammaherpesvirus 6 with Pulmonary Disease in a Cow. Animals 2023, 13, 417. https://doi.org/10.3390/ani13030417
Headley SA, Dall Agnol AM, Oliveira TES, Bon VR, Scuisato GS, Xavier AAC, Yasumitsu CY, Alfieri AF, Alfieri AA. Possible Association of Bovine Gammaherpesvirus 6 with Pulmonary Disease in a Cow. Animals. 2023; 13(3):417. https://doi.org/10.3390/ani13030417
Chicago/Turabian StyleHeadley, Selwyn Arlington, Alais Maria Dall Agnol, Thalita Evani Silva Oliveira, Vinícius Rodrigues Bon, Gabriela Sanches Scuisato, Ana Aparecida Correa Xavier, Carolina Yuka Yasumitsu, Alice Fernandes Alfieri, and Amauri Alcindo Alfieri. 2023. "Possible Association of Bovine Gammaherpesvirus 6 with Pulmonary Disease in a Cow" Animals 13, no. 3: 417. https://doi.org/10.3390/ani13030417
APA StyleHeadley, S. A., Dall Agnol, A. M., Oliveira, T. E. S., Bon, V. R., Scuisato, G. S., Xavier, A. A. C., Yasumitsu, C. Y., Alfieri, A. F., & Alfieri, A. A. (2023). Possible Association of Bovine Gammaherpesvirus 6 with Pulmonary Disease in a Cow. Animals, 13(3), 417. https://doi.org/10.3390/ani13030417

