Effects of an Endocrine Disruptor Triclosan on Ruditapes decussatus: Multimarker and Histological Approaches
Abstract
Simple Summary
Abstract
1. Introduction
2. Material and Methods
2.1. Collection Site of R. decussatus
2.2. Experimental Set-Up
2.3. Biochemical Biomarkers Study
2.4. Histopathological Study
2.5. Data Processing
3. Results
3.1. Biochemical Biomarkers
3.1.1. Glutathione S-Transferase (GST) Activity
3.1.2. Acetylcholinesterase Activity (AChE)
3.1.3. Malondialdehyde Rate (MDA)
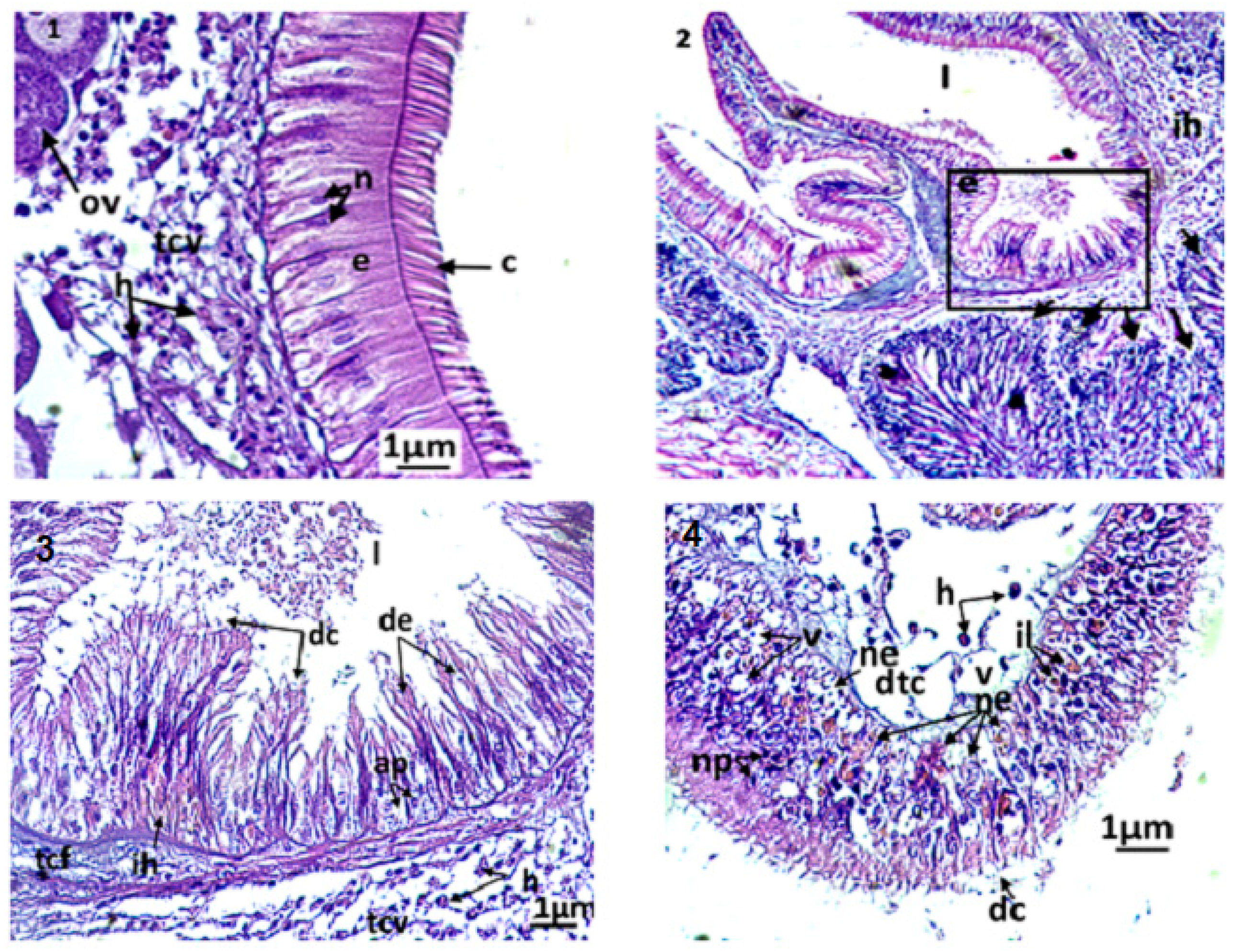
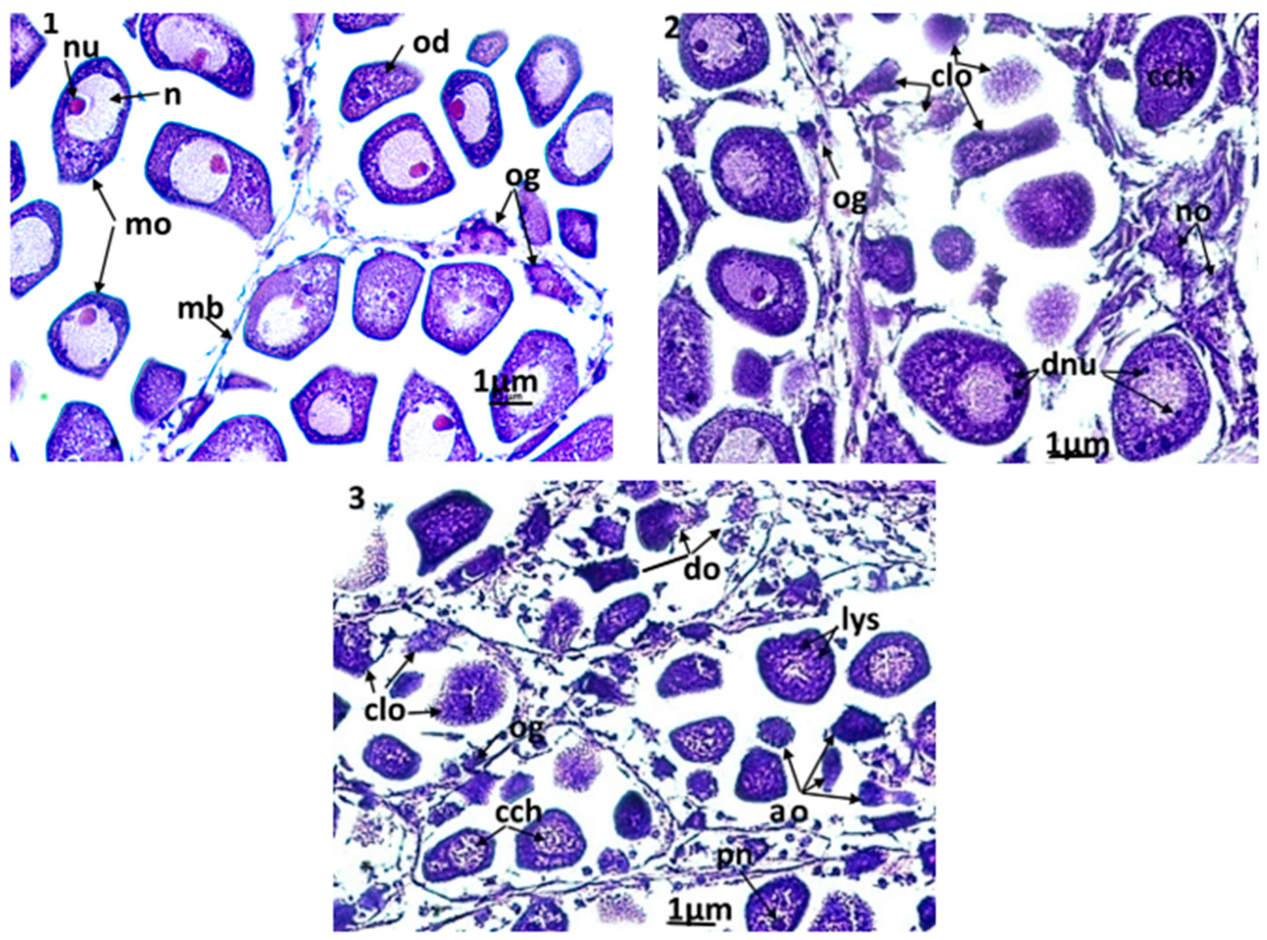
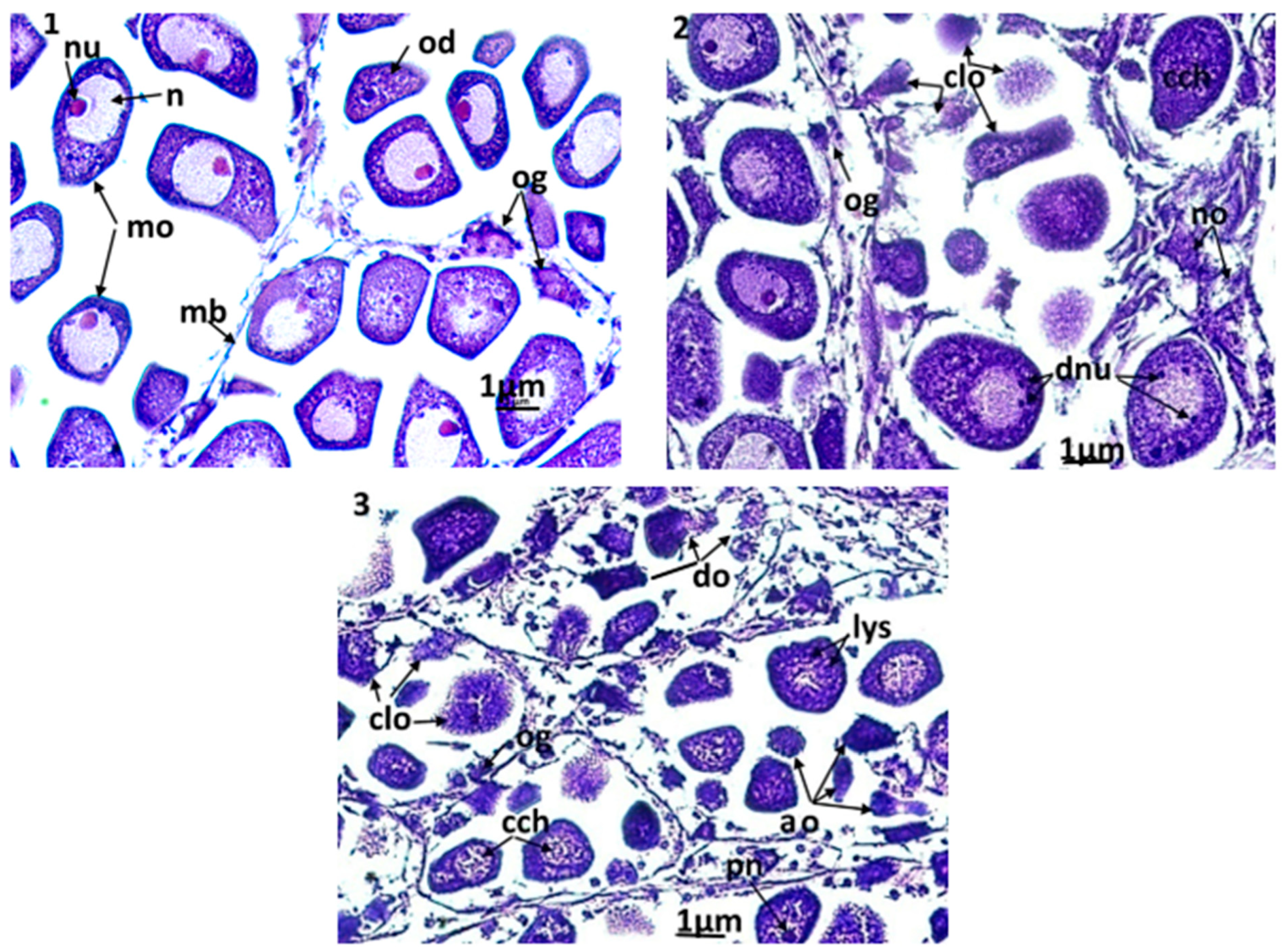
3.2. Histological Study
3.2.1. Observed Pathologies
3.2.2. Index of Damage (ID)
4. Discussion
4.1. Does Triclosan Affect the Biomarker Activities in R. decussatus?
4.2. Are Histological Features Modified by Triclosan?
5. Conclusions
Author Contributions
Funding
Institutional Review Board Statement
Informed Consent Statement
Data Availability Statement
Acknowledgments
Conflicts of Interest
References
- Bennasser, L.; Fekhaoui, M.; Seigle Murandi, F.; Benoit Guyod, J.L. Influence of the tide on the quality of the waters of the lower sebou subject to the industrial discharges of the Rharb (Maroc). Water. Res. 1997, 31, 859–867. [Google Scholar] [CrossRef]
- Rao, J.V.; Kavitha, P.; Srikanth, K.; Usman, P.K.; et Rao, T.G. Environmental contamination using accumulation of metals in marine sponges, Sigmadocia fibulata inhabiting the coastal waters of Gulf of Mannar, India. Toxicol. Environ. Chem. 2007, 89, 487–498. [Google Scholar]
- D’Adamo, R.; Di Stasio, M.; Fabbrochini, A. Migratory crustaceans as biomonitors of metal pollution in their nursery areas. The Lesina lagoon (SE Italy) as a case study. Environ. Monit. Assess. 2008, 143, 15–24. [Google Scholar] [CrossRef] [PubMed]
- Smolders, R.; Bervoets, L.; Wepener, V.; Blust, R. A conceptual framework for using mussels as biomonitors in whole effluent toxicity. Hum. Ecol. Risk Assess. 2003, 9, 741–760. [Google Scholar] [CrossRef]
- Minguez, L.; Pedelucq, J.; Farcy, E.; Ballandonne, C.; Budzinski, H.; Halm-Lemeille, M.-P. Toxicities of 48 pharmaceuticals and their freshwater and marine environmental assessment in northwestern France. Env. Sci. Pollut. Res. 2016, 23, 4992–5001. [Google Scholar]
- Khazri, A.; Sellami, B.; Dellali, M.; Corcellas, C.; Eljarrat, E.; Barceló, D.; Mahmoudi, E. Acute toxicity of cypermethrin on the freshwater mussel Unio gibbus. Ecotoxicol. Environ. Saf. 2015, 115, 62–66. [Google Scholar]
- Sultan, C.; Balaguer, P.; Terouanne, B.; Georget, V.; Paris, F.; Jeandel, C.; Lumbroso, S.; Nicolas, J. Environmental xenoestrogens, antiandrogens and disorders of male sexual differentiation. Mol. Cell. Endocrinol. 2001, 178, 99–105. [Google Scholar] [CrossRef]
- Chen, L.; Wang, Z.; Jing, Z.; Wang, Z.; Cao, S.; Yu, T. Accumulation and Risk of Triclosan in Surface Sediments Near the Outfalls of Municipal Wastewater Treatment Plants. Bull. Env. Contam. Toxicol. 2015, 95, 525–529. [Google Scholar]
- Elyousfi, S.; Dellali, M.; Mezni, A.; Ben Ali, M.; Hedfi, A.; Almalki, M.; Rohal-Lupher, M.; Dervishi, A.; Boufahja, F. Toxicity of silver nanoparticles on the clam Ruditapes decussatus assessed through biomarkers and clearance rate. Mat. Res. Exp. 2021, 8, 105005. [Google Scholar] [CrossRef]
- Amiard-Triquet, C.; Rainglet, F.; Larroux, C.; Regoli, F.; Hummel, H. Metallothioneins in Arctic bivalves. Ecotoxicol. Environ. Saf. 1998, 41, 96–102. [Google Scholar] [CrossRef]
- Cheung, C.C.; Zheng, G.J.; Lam, P.K.; Richardson, B.J. Relationships between tissue concentrations of chlorinated hydrocarbons (polychlorinated biphenyls and chlorinated pesticides) and antioxidative responses of marine mussels. Perna viridis. Mar. Pollut. Bull. 2002, 45, 181–191. [Google Scholar] [CrossRef] [PubMed]
- Larsson, P. Contaminated sediment of lakes and oceans act as sources of chlorinated hydrocarbons for release to water and atmosphere. Nature 1985, 317, 347–349. [Google Scholar] [CrossRef]
- Matozzo, V.; Formenti, A.; Donadello, G.; Marin, M.G. A multi-biomarker approach to assess effects of Triclosan in the clam Ruditapes philippinarum. Mar. Environ. Res. 2012, 74, 40–46. [Google Scholar]
- Costa, S.; Coppola, F.; Pretti, C.; Intorre, L.; Meucci, V.; Soares, A.M.V.M.; Montserrat, S.; Freitas, R. Biochemical and physiological responses of two clam species to Triclosan combined with climate change scenario. Sci. Total Env. 2020, 724, 138143. [Google Scholar] [CrossRef]
- Dellali, M.; Hedfi, A.; Ben Ali, M.; Noureldeen, A.; Darwish, H.; Beyrem, H.; Gyedu-Ababio, T.; Dervishi, A.; Karachle, P.K.; Boufahja, F. Multi-biomarker approach in Mytilus galloprovincialis and Ruditapes decussatus as a predictor of pelago-benthic responses after exposure to Benzo[a]Pyrene. Comp. Biochem. Physiol. C Toxicol. Pharmacol. 2021, 249, 109141. [Google Scholar] [CrossRef]
- Adolfsson-Erici, M.; Pettersson, M.; Parkkonen, J.; Sturve, J. Triclosan, a commonly used bactericide found in human milk and in the aquatic environment in Sweden. Chemosphere 2002, 46, 1485–1489. [Google Scholar] [CrossRef] [PubMed]
- Bradford, M.M. A rapid and sensitive method for the quantization of microgram quantities of protein utilizing the principle of protein-dry binding. Anal. Biochem. 1976, 72, 248–254. [Google Scholar] [CrossRef] [PubMed]
- Habig, W.H.; Pabst, M.J.; Jakoby, W.B. Glutathione S-transferases, the first enzymatic step in mercapturic acid formation. J. Biol. Chem. 1974, 249, 7130–7139. [Google Scholar] [CrossRef]
- Bocquen, G.; Galgani, F.; Walker, C.H. Cholinestérases, biomarkers of neurotoxicity. In Biomarkers and Ecotoxicology: Fundamental Aspects; Lagadic, L., Caquet, T., Amiard, J.C., Ramade, F., Eds.; Masson: Paris, France, 1997; pp. 209–240. [Google Scholar]
- Haque, M.N.; Eom, H.J.; Nam, S.E.; Shin, Y.K.; Rhee, J.S. Chlorothalonil induces oxidative stress and reduces enzymatic activities of Na+/K+-ATPase and acetylcholinesterase in gill tissues of marine bivalves. PLoS ONE 2019, 14, e0214236. [Google Scholar]
- Le Pennec, M.; Barillé, L.; Grizel, H. The gills. In An Atlas of Histology and Cytology of Marine Bivalve Molluscs; Grizel, H., Ed.; Ifremer: Plouzané, France, 2003; p. 201. [Google Scholar]
- Clarke, K.R.; Warwick, R.M. Changes in Marine Communities: An Approach to Statistical Analysis and Interpretation, 2nd ed.; PRIMER-E: Plymouth, UK, 2001. [Google Scholar]
- Riba, I.; de Canales, M.G.; Forja, J.M.; DelValls, T.A. Sediment quality in the Guadalquivir estuary: Sublethal effects associated with the Aznalcóllar mining spill. Mar. Poll. Bull. 2004, 48, 153–163. [Google Scholar] [CrossRef]
- Bebianno, M.J.; Geret, F.; Hoarau, P.; Serafim, M.A.; Coelho, M.R.; Gnassia-Barelli, M.; Romeo, M. Biomarkers in Ruditapes decussatus: A potential bioindicator species. Biomark. 2004, 9, 305–330. [Google Scholar]
- Jebali, J.; Banni, M.; Almeida, E.A.D.; Boussetta, H. Oxidative DNA damage levels and catalase activity in the clam Ruditapes decussatus as pollution biomarkers of Tunisian marine environment. Environ. Monit. Assess. 2007, 124, 195–200. [Google Scholar] [CrossRef] [PubMed]
- Banni, M.; Bouraoui, Z.; Clerandeau, C.; Narbonne, J.F.; Boussetta, H. Mixture toxicity assessment of cadmium and benzo[a]pyrene in the sea worm Hediste diversicolor. Chemosphere 2009, 77, 902–906. [Google Scholar] [CrossRef]
- Bodin, N.; Burgeot, T.; Stanisiere, J.Y.; Bocquené, G.; Menard, D.; Minier, C.; Boutet, I.; Amat, A.; Cherel, Y.; Budzinski, H. Seasonal variations of a battery of biomarkers and physiological indices for the mussel Mytilus galloprovincialis transplanted into the north west Mediterranean Sea. Comp. Biochem. Physiol. Part C Toxicol. Pharmacol. 2004, 138, 411–427. [Google Scholar] [CrossRef] [PubMed]
- Giarratano, E.; Gil, M.N.; Malanga, G. Seasonal and pollution-induced variations in biomarkers of transplanted mussels within the Beagle Channel. Mar. Pollut. Bull. 2011, 62, 1337–1344. [Google Scholar] [CrossRef]
- Bustamante, P.; Luna-Acosta, A.; Clemens, S.; Cassi, R.; Thomas-Guyon, H.; Warnau, M. Bioaccumulation and metabolisation of 14C-pyrene by the Pacific oyster Crassostrea gigas exposed via seawater. Chemosphere 2012, 87, 938–944. [Google Scholar]
- Hoarau, P.; Gnassia Barelli, M.; Romeo, M.; Girard, J.P. Differential induction of glutathione S-transferases in the clam Ruditapes decussates exposed to organic compounds. Environ. Toxicol. Chem. Int. J. 2001, 20, 523–529. [Google Scholar] [CrossRef]
- Narbonne, J.F.; Aarab, N.; Clérandeau, C.; Daubeze, M.; Narbonne, J.; Champeau, O.; Garrigues, P. Scale of classification based on biochemical markers in mussels: Application to pollution monitoring in Mediterranean coasts and temporal trends. Biomark 2005, 10, 58–71. [Google Scholar] [CrossRef]
- Vidal-Liñán, L.; Bellas, J.; Campillo, J.A.; Beiras, R. Integrated use of antioxidant enzymes in mussels, Mytilus galloprovincialis, for monitoring pollution in highly productive coastal areas of Galicia (NW Spain). Chemosphere 2010, 78, 265–272. [Google Scholar]
- Ono, H.; Ozaki, K.; Yoshikawa, H. Identification of cytochrome P450 and glutathione-S-transferase genes preferentially expressed in chemosensory organs of the swallowtail butterfly, Papilio xuthus L. Insect. Mol. Biol. 2005, 35, 837–846. [Google Scholar] [CrossRef]
- George, S.G. Enzymology and molecular biology of phase II xenobiotic-conjugating enzymes in fish. In Aquatic Toxicology; CRC Press: Boca Raton, FL, USA, 1994; pp. 37–85. [Google Scholar]
- Smii, H.; Khazri, A.; Ben Ali, M.; Mezni, A.; Hedfi, A.; Albogami, B.; Almalki, M.; Pacioglu, O.; Beyrem, H.; Boufahja, F. Titanium Dioxide Nanoparticles are Toxic for the Freshwater Mussel Unio ravoisieri: Evidence from a Multimarker Approach. Diversity 2021, 13, 679. [Google Scholar] [CrossRef]
- Attig, H.; Dagnino, A.; Negri, A.; Jebali, J.; Boussetta, H.; Viarengo, A.; Dondero, F.; Banni, M. Uptake and biochemical responses of mussels Mytilus galloprovincialis exposed to sublethal nickel concentrations. Ecotoxicol. Environ. Saf. 2010, 73, 1712–1719. [Google Scholar] [CrossRef] [PubMed]
- Cravo, A.; Pereira, C.; Gomes, T.; Cardoso, C.; Serafim, A.; Almeida, C.; Bebianno, M.J. A multibiomarker approach in the clam Ruditapes decussatus to assess the impact of pollution in the Ria Formosa lagoon, South Coast of Portugal. Mar. Environ. Res. 2012, 75, 23–34. [Google Scholar] [CrossRef]
- Matozzo, V.; Binelli, A.; Parolini, M.; Locatello, L.; Gabriella Marin, M. Biomarker responses and contamination levels in the clam Ruditapes philippinarum for biomonitoring the Lagoon of Venice (Italy). J. Environ. Monit. 2010, 12, 776–786. [Google Scholar] [CrossRef]
- Solé, M.; Kopecka-Pilarczyk, J.; Blasco, J. Pollution biomarkers in two estuarine invertebrates, Nereis diversicolor and Scrobicularia plana, from a Marsh ecosystem in SW Spain. Environ. Int. 2009, 35, 523–531. [Google Scholar] [CrossRef] [PubMed]
- Ben-Khedher, S.; Jebali, J.; Kamel, N.; Banni, M.; Rameh, M.; Jrad, A.; Boussetta, H. Biochemical effects in crabs (Carcinus maenas) and contamination levels in the Bizerta Lagoon: An integrated approach in biomonitoring of marine complex pollution. Environ. Sci. Pollut. Res. 2013, 20, 2616–2631. [Google Scholar] [CrossRef] [PubMed]
- Ricciardi, F.; Matozzo, V.; Binelli, A.; Marin, M.G. Biomarker responses and contamination levels in crabs (Carcinus aestuarii) from the Lagoon of Venice: An integrated approach in biomonitoring estuarine environments. Water Res. 2010, 44, 1725–1736. [Google Scholar] [CrossRef] [PubMed]
- Lima, I.; Moreira, S.M.; Rendon-Von Osten, J.; Soares, A.M.; Guilhermino, L. Biochemical responses of the marine mussel Mytilus galloprovincialis to petrochemical environmental contamination along the North-western coast of Portugal. Chemosphere 2007, 66, 1230–1242. [Google Scholar] [CrossRef]
- Pellerin-Massicotte, J. Influence of elevated temperature and air-exposure on MDA levels and catalase activities in digestive glands of the blue mussel (Mytilus edulis L.). J. Res. Oceanogr. 1997, 22, 91–98. [Google Scholar]
- Ladhar-Chaabouni, R.; Smaoui-Damak, W.; Hamza-Chaffai, A. In vivo variation of some biomarkers with time and cadmium concentration in the cockle Cerastoderma glaucum. Mar. Biol. Res. 2009, 5, 487–495. [Google Scholar] [CrossRef]
- Bebianno, M.J.; Barreira, L.A. Polycyclic aromatic hydro carbons concentrations and biomarker responses in the clam Ruditapes decussatus transplanted in the Ria Formosa lagoon. Ecotoxicol. Environ. Saf. 2009, 72, 1849–1860. [Google Scholar] [CrossRef] [PubMed]
- Tenkov, K.S.; Dubinin, M.V.; Vedernikov, A.A.; Chelyadnikova, Y.A.; Belosludtseva, K.N. An in vivo study of the toxic effects of triclosan on Xenopus laevis (Daudin, 1802) frog: Assessment of viability, tissue damage and mitochondrial dysfunction. Comp. Biochem. Physiol. C Toxicol. Pharmacol. 2022, 259, 109401. [Google Scholar] [CrossRef] [PubMed]
- Belosludtsev, K.N.; Belosludtseva, N.V.; Tenkov, K.S.; Penkov, N.V.; Agafonov, A.V.; Pavlik, L.L.; Yashin, V.A.; Samartsev, V.N.; Dubinin, M.V. Study of the mechanism of permeabilization of lecithin liposomes and rat liver mitochondria by the antimicrobial drug triclosan. Biochim. Biophys. Acta Biomembr. 2018, 1860, 264–271. [Google Scholar] [CrossRef] [PubMed]
- Dar, O.I.; Sharma, S.; Singh, K.; Sharma, A.; Bhardwaj, R.; Kaur, A. Biochemical markers for prolongation of the acute stress of triclosan in the early life stages of four food fishes. Chemosphere 2020, 247, 125914. [Google Scholar] [CrossRef] [PubMed]
- Paul, T.; Shukla, S.P.; Kumar, K.; Poojary, N.; Kumar, S. Effect of temperature on triclosan toxicity in Pangasianodon hypophthalmus (Sauvage, 1878): Hematology, biochemistry and genotoxicity evaluation. Sci. Total Environ. 2019, 668, 104–114. [Google Scholar] [CrossRef]
- Au, D.W.T. The application of histo-cytopathological biomarkers in marine pollution monitoring: A review. Mar. Pollut. Bull. 2004, 48, 817–834. [Google Scholar] [CrossRef]
- Nicholson, S. Cardiac and branchial physiology associated with copper accumulation and detoxification in the mytilid mussel Perna viridis. J. Exp. Mari. Biol. Ecol. 2003, 295, 157–171. [Google Scholar] [CrossRef]
- Arockia Vasanthi, L.A.; Revathi, P.; Arulvasu, C.; Munuswamy, N. Biomarkers of metal toxicity and histology of Perna viridis from Ennore estuary, Chennai, south east coast of India. Ecotoxicol. Environ. Saf. 2012, 84, 92–98. [Google Scholar] [CrossRef]
- Morton, B. The functional morphology of the organs of the mantle cavity of Pernaviridis (Linnaeus, 1758) (Bivalvia: Mytilacea). Am. Malacol. Bull. 1987, 5, 159–164. [Google Scholar]
- Viarengo, A.; Arena, N.; Canesi, L.; Alia, F.A.; Orunesu, M. Structural and biochemical alterations in the gills of copper exposed mussels. In Contaminants in the Environment: A Multidisciplinary Assessment of Risk to Man and Other Organism; CRC Press: Boca Raton, FL, USA, 1994; pp. 135–144. [Google Scholar]
- Shin, P.K.S.; Yau, F.N.; Chow, S.H.; Tai, K.K.; Cheung, S.G. Responses of the green-lipped mussel Perna viridis (L.) to suspended solids. Mar. Poll. Bull. 2002, 45, 157–162. [Google Scholar] [CrossRef]
- Nicholson, S.; Lam, P.K.S. Pollution monitoring in Southeast Asia using biomarkers in the mytilid mussel Perna viridis (Mytilidae:Bivalvia). Environ. Int. 2005, 31, 121–132. [Google Scholar] [CrossRef] [PubMed]
- Martín-Díaz, M.L.; Jiménez-Tenorio, N.; Sales, D.; DelValls, T.A. Accumulation and histopathological damage in the clam Ruditapes philippinarum and the crab Carcinus maenas to assess sediment toxicity in Spanish ports. Chemosphere 2008, 71, 1916–1927. [Google Scholar] [CrossRef] [PubMed]
- Ben-Khedher, S.; Jebali, J.; Houas, Z.; Nawéli, H.; Jrad, A.; Banni, M.; Boussetta, H. Metals bioaccumulation and histopathological biomarkers in Carcinus maenas crab from Bizerta lagoon, Tunisia. Environ. Sci. Pollut. Res. 2014, 21, 4343–4357. [Google Scholar] [CrossRef] [PubMed]
- Costa, P.M.; Carreira, S.; Costa, M.H.; Caeiro, S. Development of histopathological indices in a commercial marine bivalve (Ruditapes decussatus) to determine environmental quality. Aquat. Toxicol. 2013, 126, 442–454. [Google Scholar] [CrossRef]
- Martín-Díaz, M.L.; Blasco, J.; de Canales, M.G.; Sales, D.; DelValls, T.Á. Bioaccumulation and toxicity of dissolved heavy metals from the Guadalquivir Estuaryafter the Aznal collar mining spillusing Ruditapes philippinarum. Arch. Environ. Contam. Toxicol. 2005, 48, 233–241. [Google Scholar] [CrossRef]
- Berthoua, F.; Balouëtb, G.; Bodennec, G.; Marchand, M. The occurrence of hydrocarbons and histopathological abnormalities in oysters for seven years following the wreck of the Amoco Cadiz in Brittany (France). Mar. Environ. Res. 1987, 23, 103–133. [Google Scholar] [CrossRef]
- Saravana Bhavan, P.; Geraldine, P. Histopathology of the hepatopancreas and gills of the prawn Macrobrachium malcolmsonii exposed to endosulfan. Aquat. Toxicol. 2000, 50, 331–339. [Google Scholar] [CrossRef]
- Neff, J.M.; Hillman, R.E.; Carr, R.S.; Buhl, R.L.; Lahey, J.I. Histopathologic and biochemical responses in Arctic marine bivalve molluscs exposed to experimentally spilled oil. Arctic 1987, 40, 220–229. [Google Scholar] [CrossRef]







| Histopathological Alterations | After 3 Days | After 7 Days | ||||||
|---|---|---|---|---|---|---|---|---|
| Ut | C1 | C2 | C3 | Ut | C1 | C2 | C3 | |
| Increase of the hemocytic number (AH) | +/− | +/− | + | ++ | +/− | +/− | +++ | +++ |
| Hemocytic infiltration (IH) | +/− | +/− | ++ | ++ | +/− | +/− | +++ | +++ |
| Alteration of the lamellar epithelium (AE) | +/− | +/− | ++ | ++ | +/− | +/− | +++ | +++ |
| Erosion of eyelashes (EC) | − | +/− | ++ | ++ | − | +/− | ++ | +++ |
| Lamellar alteration (AL) | − | +/− | + | ++ | − | +/− | ++ | ++ |
| Lamellar fusion (FL) | − | − | +/− | + | − | +/− | ++ | ++ |
| Rupture of filaments (DF) | − | +/− | + | + | − | +/− | + | ++ |
| Irregularity of the interfilamentous space (IEI) | − | +/− | + | ++ | +/− | +/− | + | ++ |
| Vacuolization (V) | − | − | + | + | − | − | +/− | + |
| Index of Damage (ID) | 0.15 | 0.4 | 1.25 | 1.6 | 0.2 | 0.45 | 1.95 | 2.3 |
| Histopathological Alterations | After 3 Days | After 7 Days | ||||||
|---|---|---|---|---|---|---|---|---|
| T | C1 | C2 | C3 | T | C1 | C2 | C3 | |
| Hemocytic infiltration (IH) | + | + | ++ | +++ | + | + | +++ | +++ |
| Increasing of hemocytic number (AH) | + | + | ++ | +++ | + | + | +++ | +++ |
| Light dilation (LD) | − | +/− | + | ++ | − | +/− | ++ | +++ |
| Shrinkage of epithelial cells (RE) | − | +/− | + | ++ | − | +/− | + | ++ |
| Swelling of epithelial cells (GE) | − | − | + | + | − | − | + | ++ |
| Cellular debris (DC) | − | − | + | ++ | − | − | + | ++ |
| Cellular necrosis (NC) | − | − | +/− | + | − | +/− | + | + |
| Tubular necrosis (NT) | − | − | +/− | + | − | +/− | + | + |
| Alteration of the conjunctive tissue (AT) | +/− | +/− | + | + | +/− | +/− | ++ | ++ |
| Elongation of the digestive tubes | − | − | − | +/− | − | − | +/− | + |
| Damaged nucleus | − | +/− | + | + | − | +/− | + | + |
| Vacuolization | +/− | + | + | ++ | +/− | + | ++ | ++ |
| Abundant secretion | +/− | + | + | ++ | +/− | + | +++ | +++ |
| Index of Damage (ID) | 0.26 | 0.46 | 1 | 1.65 | 0.26 | 0.53 | 1.65 | 2 |
Disclaimer/Publisher’s Note: The statements, opinions and data contained in all publications are solely those of the individual author(s) and contributor(s) and not of MDPI and/or the editor(s). MDPI and/or the editor(s) disclaim responsibility for any injury to people or property resulting from any ideas, methods, instructions or products referred to in the content. |
© 2023 by the authors. Licensee MDPI, Basel, Switzerland. This article is an open access article distributed under the terms and conditions of the Creative Commons Attribution (CC BY) license (https://creativecommons.org/licenses/by/4.0/).
Share and Cite
Added, A.; Khalloufi, N.; Khazri, A.; Harrath, A.H.; Mansour, L.; Nahdi, S.; Boufahja, F.; Aldahmash, W.; Alrefaei, A.F.; Dellali, M. Effects of an Endocrine Disruptor Triclosan on Ruditapes decussatus: Multimarker and Histological Approaches. Animals 2023, 13, 402. https://doi.org/10.3390/ani13030402
Added A, Khalloufi N, Khazri A, Harrath AH, Mansour L, Nahdi S, Boufahja F, Aldahmash W, Alrefaei AF, Dellali M. Effects of an Endocrine Disruptor Triclosan on Ruditapes decussatus: Multimarker and Histological Approaches. Animals. 2023; 13(3):402. https://doi.org/10.3390/ani13030402
Chicago/Turabian StyleAdded, Amira, Noureddine Khalloufi, Abdelhafidh Khazri, Abdel Halim Harrath, Lamjed Mansour, Saber Nahdi, Fehmi Boufahja, Waleed Aldahmash, Abdulwahed Fahad Alrefaei, and Mohamed Dellali. 2023. "Effects of an Endocrine Disruptor Triclosan on Ruditapes decussatus: Multimarker and Histological Approaches" Animals 13, no. 3: 402. https://doi.org/10.3390/ani13030402
APA StyleAdded, A., Khalloufi, N., Khazri, A., Harrath, A. H., Mansour, L., Nahdi, S., Boufahja, F., Aldahmash, W., Alrefaei, A. F., & Dellali, M. (2023). Effects of an Endocrine Disruptor Triclosan on Ruditapes decussatus: Multimarker and Histological Approaches. Animals, 13(3), 402. https://doi.org/10.3390/ani13030402

