Acute Exposure to Two Biocides Causes Morphological and Molecular Changes in the Gill Ciliary Epithelium of the Invasive Golden Mussel Limnoperna fortunei (Dunker, 1857)
Abstract
:Simple Summary
Abstract
1. Introduction
2. Materials and Methods
2.1. Mussel Management
2.2. Exposure to Biocides
2.3. Histological Analysis
2.4. Morphometry
2.5. Mucous Cell Analysis
2.6. Scanning Electron Microscopy (SEM) Preparations
2.7. Transmission Electron Microscopy (TEM) Preparations
2.8. Molecular Analysis
2.8.1. Primer Design
2.8.2. Gene Expression
2.9. Statistical Analysis
3. Results
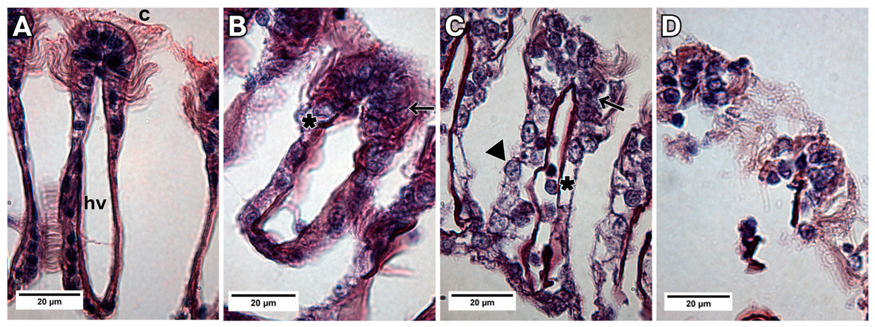
3.1. Changes from Exposure to Sodium Dichloroisocyanurate (NaDCC)
3.2. Changes from Exposure to MXD-100™
4. Discussion
5. Conclusions
Author Contributions
Funding
Institutional Review Board Statement
Informed Consent Statement
Data Availability Statement
Acknowledgments
Conflicts of Interest
References
- Darrigran, G.; Pastorino, G. Bivalvos invasores en el Río de la Plata, Argentina (Invasive bivalves in the Río de la Plata, Argentina). Comun. Soc. Malacológica Urug. 1993, 7, 309–313. (In Spanish) [Google Scholar]
- Oliveira, M.D.; Campos, M.; Paolucci, E.M.; Mansur, M.C.; Hamilton, S.K. Colonization and spread of Limnoperna fortunei in South America. In Limnoperna fortunei; Springer International Publishing: Cham, Switzerland, 2015; pp. 333–355. [Google Scholar] [CrossRef]
- Adelino, J.; Heringer, G.; Diagne, C.; Courchamp, F.; Faria, L.; Zenni, R. The economic costs of biological invasions in Brazil: A first assessment. NeoBiota 2021, 67, 349–374. [Google Scholar] [CrossRef]
- Darrigran, G.A.; Damborenea, M.C. A South American bioinvasion case history: Limnoperna fortunei (Dunker, 1857), the golden mussel. Amer. Malac. Bull. 2005, 20, 105–112. [Google Scholar]
- Aldridge, D.C.; Elliott, P.; Moggridge, G.D. Microencapsulated BioBullets for the control of biofouling zebra mussels. Environ. Sci. Technol. 2006, 40, 975–979. [Google Scholar] [CrossRef]
- Cloete, T.E.; Jacobs, L.; Brözel, V.S. The chemical control of biofouling in industrial water systems. Biodegradation 1998, 9, 23–37. [Google Scholar] [CrossRef]
- Cataldo, D.; Boltovskoy, D.; Pose, M. Toxicity of chlorine and three nonoxidizing molluscicides to the pest mussel Limnoperna fortunei. J. Am. Water Work. Assoc. 2003, 95, 66–78. [Google Scholar] [CrossRef]
- Montresor, L.C.; Miranda-Filho, K.C.; Paglia, A.; Luz, D.M.; Araújo, J.M.; Silva, M.J.d.S.; Gerhard, L.; Martinez, C.B.; Vidigal, T.H. Short-term toxicity of ammonia, sodium Hydroxide and a commercial biocide to golden mussel Limnoperna fortunei (Dunker, 1857). Ecotoxicol. Environ. Saf. 2013, 92, 150–154. [Google Scholar] [CrossRef]
- Rajagopal, S.; Van der Velde, G.; Jenner, H.A. Effects of low-level chlorination on zebra mussel, Dreissena polymorpha. Water Res. 2002, 36, 3029–3034. [Google Scholar] [CrossRef]
- Venkatnarayanan, S.; Murthy, P.S.; Kirubagaran, R.; Veeramani, P.; Venugopalan, V.P. Response of green mussels (Perna viridis) subjected to chlorination: Investigations by valve movement monitoring. Environ. Monit. Assess. 2021, 193, 202. [Google Scholar] [CrossRef]
- Netto, O.S.M. Controle da incrustação de organismos invesores em materiais de sistemas de resfriamento de usinas hidrelétricas. (Control of incrustation of invasive organisms in materials of hydroelectric power plant cooling systems). Master’s thesis, Federal University of Paraná, Brazil. 2012 (Portuguese). Available online: https://acervodigital.ufpr.br/handle/1884/26575?show=full (accessed on 6 September 2021).
- Darrigran, G.A.; Colautti, D.C.; Maroñas, M.E. A potential biocide for control of the golden mussel, Limnoperna fortunei. J. Freshw. Ecol. 2007, 22, 359–360. [Google Scholar] [CrossRef]
- Hamza, D.S. Morphological Effects of Pollution on Gill of Common Clam, Tapes decussatus Linnaeus, 1758 (Bivalvia: Veneridae). Egypt. Acad. J. Biol. Sci. B. Zool. 2019, 11, 169–179. [Google Scholar] [CrossRef]
- Bogan, A.E. Global diversity of freshwater mussels (Mollusca, Bivalvia) in freshwater. In Freshwater Animal Diversity Assessment; Springer: Dordrecht, The Netherlands, 2007; pp. 139–147. [Google Scholar] [CrossRef]
- Freitas, E.T.F.; Moreira, A.M.S.; de Paula, R.S.; Andrade, G.R.; de Carvalho, M.D.; Assis, P.S.; Jorge, E.C.; Cardoso, A.V. Ultrastructure of the gill ciliary epithelium of Limnoperna fortunei (Dunker 1857), the invasive golden mussel. BMC Zool. 2022, 7, 6. [Google Scholar] [CrossRef] [PubMed]
- Nogarol, L.R.; Brossi-Garcia, A.L.; de Oliveira David, J.A.; Fontanetti, C.S. Morphological and histochemical characterization of gill filaments of the brazilian endemic bivalve Diplodon expansus (Küster, 1856) (Mollusca, Bivalvia, Hyriidae). Microsc. Microanal. 2012, 18, 1450–1458. [Google Scholar] [CrossRef] [PubMed]
- Rosa, M.; Ward, J.E.; Shumway, S.E. Selective capture and ingestion of particles by suspension-feeding bivalve molluscs: A review. J. Shellfish. Res. 2018, 37, 727–746. [Google Scholar] [CrossRef]
- Morton, B. The biology and anatomy of Limnoperna fortunei, a significant freshwater bioinvader: Blueprints for success. In Limnoperna fortunei; Springer International Publishing: Cham, Switzerland, 2015; pp. 3–41. [Google Scholar] [CrossRef]
- Handy, R.D.; Galloway, T.S.; Depledge, M.H. A proposal for the use of biomarkers for the assessment of chronic pollution and in regulatory toxicology. Ecotoxicology 2003, 12, 331–343. [Google Scholar] [CrossRef]
- Bigot, A.; Vasseur, P.; Rodius, F. SOD and CAT cDNA cloning, and expression pattern of detoxification genes in the freshwater bivalve Unio tumidus transplanted into the Moselle river. Ecotoxicology 2010, 19, 369–376. [Google Scholar] [CrossRef]
- Livingstone, D. The fate of organic xenobiotics in aquatic ecosystems: Quantitative and qualitative differences in biotransformation by invertebrates and fish. Comp. Biochem. Physiol. Part A Mol. Integr. Physiol. 1998, 120, 43–49. [Google Scholar] [CrossRef]
- Papo, M.B.; Bertotto, D.; Quaglio, F.; Vascellari, M.; Pascoli, F.; Negrato, E.; Binato, G.; Radaelli, G. Histopathology and stress biomarkers in the clam Venerupis philippinarum from the Venice Lagoon (Italy). Fish Shellfish. Immunol. 2014, 39, 42–50. [Google Scholar] [CrossRef]
- Uliano-Silva, M.; Americo, J.A.; Brindeiro, R.; Dondero, F.; Prosdocimi, F.; de Freitas Rebelo, M. Gene discovery through transcriptome sequencing for the invasive mussel Limnoperna fortunei. PLoS ONE 2014, 9, e102973. [Google Scholar] [CrossRef]
- Instituto Brasileiro do Meio Ambiente e dos Recursos Naturais Renováveis. Instrução Normativa N 17, De 21 De Outubro de 2015; Diário Oficial da União, Poder Executivo: Brasília, Brazil, 2015; pp. 126–127. Available online: https://www.ibama.gov.br/sophia/cnia/legislacao/IBAMA/IN0017-21102015.pdf (accessed on 6 September 2021).
- Instituto Brasileiro do Meio Ambiente e dos Recursos Naturais Renováveis. Instrução Normativa N 18, De 21 De Outubro De 2015; Diário Oficial da União, Poder Executivo: Brasília, Brazil, 2015; p. 127. Available online: https://www.ibama.gov.br/sophia/cnia/legislacao/IBAMA/IN0018-21102015.pdf (accessed on 6 September 2021).
- David, J.A.d.O.; Fontanetti, C.S. The Role of Mucus in Mytella falcata (Orbigny 1842) gills from polluted environments. Water Air Soil Pollut. 2009, 203, 261–266. [Google Scholar] [CrossRef]
- Crawley, M.J. The R Book; John Wiley & Sons: Hoboken, NJ, USA, 2012. [Google Scholar]
- Pfaffl, M.W.; Horgan, G.W.; Dempfle, L. Relative expression software tool (REST©) for group-wise comparison and statistical analysis of relative expression results in real-time PCR. Nucleic Acids Res. 2002, 30, e36. [Google Scholar] [CrossRef] [PubMed]
- Pal, S.; Kokushi, E.; Koyama, J.; Uno, S.; Ghosh, A.R. Histopathological alterations in gill, liver and kidney of common carp exposed to chlorpyrifos. J. Environ. Sci. Health Part B 2012, 47, 180–195. [Google Scholar] [CrossRef] [PubMed]
- Mansur, M. Bivalves invasores límnicos: Morfologia comparada de Limnoperna fortunei e espécies de Corbicula spp. In Moluscos Lımnicos Invasores no Brasil: Biologia, Prevençao, Controle; Redes Editora: Porto Alegre, Brazil, 2012; pp. 61–74. [Google Scholar]
- de Oliveira Ribeiro, C.A.; Belger, L.; Pelletier, E.; Rouleau, C. Histopathological evidence of inorganic mercury and methyl mercury toxicity in the arctic charr (Salvelinus alpinus). Environ. Res. 2002, 90, 217–225. [Google Scholar] [CrossRef] [PubMed]
- Paolucci, E.M.; Sardiña, P.; Sylvester, F.; Perepelizin, P.V.; Zhan, A.; Ghabooli, S.; Cristescu, M.E.; Oliveira, M.D.; MacIsaac, H.J. Morphological and genetic variability in an alien invasive mussel across an environmental gradient in South America. Limnol. Oceanogr. 2014, 59, 400–412. [Google Scholar] [CrossRef]
- Woo, S.; Denis, V.; Won, H.; Shin, K.; Lee, G.; Lee, T.-K.; Yum, S. Expressions of oxidative stress-related genes and antioxidant enzyme activities in Mytilus galloprovincialis (Bivalvia, Mollusca) exposed to hypoxia. Zool. Stud. 2013, 52, 15. [Google Scholar] [CrossRef]
- Iummato, M.M.; Sabatini, S.E.; Cacciatore, L.C.; Cochón, A.C.; Cataldo, D.; de Molina, M.d.C.R.; Juárez, Á.B. Biochemical responses of the golden mussel Limnoperna fortunei under dietary glyphosate exposure. Ecotoxicol. Environ. Saf. 2018, 163, 69–75. [Google Scholar] [CrossRef]
- Girardello, F.; Leite, C.C.; Touguinha, L.B.; Roesch-Ely, M.; da Silva, C.K.H.; de Oliveira, R.M.; Borges, D.L.G.; Villela, I.V.; Fernandes, A.N.; Salvador, M. ZnO nanoparticles alter redox metabolism of Limnoperna fortunei. Environ. Sci. Pollut. Res. 2021, 28, 69416–69425. [Google Scholar] [CrossRef]
- Wang, S.; Sun, Z.; Ren, C.; Li, F.; Xu, Y.; Wu, H.; Ji, C. Time-and dose-dependent detoxification and reproductive endocrine disruption induced by tetrabromobisphenol A (TBBPA) in mussel Mytilus galloprovincialis. Mar. Environ. Res. 2023, 183, 105839. [Google Scholar] [CrossRef]
- Penaforte, L.R. Invasão do Mexilhão Dourado, Limnoperna fortunei (Dunker, 1857): Impactos, Métodos de Controle e Estratégias de Gestão Adotadas (Invasion of the Golden Mussel, Limnoperna fortunei (Dunker, 1857): Impacts, Control Methods and Management Strategies Adopted); Universidade Federal de Minas Gerais: Belo Horizonte, Brazil, 2014. (In Portuguese) [Google Scholar]
- Seo, D.; Jo, J. Humidifier disinfectant, sodium dichloroisocyanurate (NaDCC): Assessment of respiratory effects to protect workers’ health. Sci. Rep. 2021, 11, 15681. [Google Scholar] [CrossRef]
- Chavan, P.; Kumar, R.; Kirubagaran, R.; Venugopalan, V.P. Chlorination-induced genotoxicity in the mussel Perna viridis: Assessment by single cell gel electrophoresis (comet) assay. Ecotoxicol. Environ. Saf. 2016, 130, 295–302. [Google Scholar] [CrossRef]
- Wang, Y.; Branicky, R.; Noë, A.; Hekimi, S. Superoxide dismutases: Dual roles in controlling ROS damage and regulating ROS signaling. J. Cell Biol. 2018, 217, 1915–1928. [Google Scholar] [CrossRef] [PubMed]
- Girardello, F.; Leite, C.C.; Branco, C.S.; Roesch-Ely, M.; Fernandes, A.N.; Salvador, M.; Henriques, J.A.P. Antioxidant defences and haemocyte internalization in Limnoperna fortunei exposed to TiO2 nanoparticles. Aquat. Toxicol. 2016, 176, 190–196. [Google Scholar] [CrossRef] [PubMed]
- Bouallegui, Y.; Ben Younes, R.; Bellamine, H.; Oueslati, R. Histopathology and analyses of inflammation intensity in the gills of mussels exposed to silver nanoparticles: Role of nanoparticle size, exposure time, and uptake pathways. Toxicol. Mech. Methods 2017, 27, 582–591. [Google Scholar] [CrossRef] [PubMed]
- Hawkins, A.; Smith, R.; Bayne, B.; Heral, M. Novel observations underlying the fast growth of suspension-feeding shellfish in turbid environments: Mytilus edulis. Mar. Ecol. Prog. Ser. 1996, 131, 179–190. [Google Scholar] [CrossRef]
- Garrido, M.; Chaparro, O.; Thompson, R.; Garrido, O.; Navarro, J. Particle sorting and formation and elimination of pseudofaeces in the bivalves Mulinia edulis (siphonate) and Mytilus chilensis (asiphonate). Mar. Biol. 2012, 159, 987–1000. [Google Scholar] [CrossRef]
- Kankaanpää, H.; Leiniö, S.; Olin, M.; Sjövall, O.; Meriluoto, J.; Lehtonen, K.K. Accumulation and depuration of cyanobacterial toxin nodularin and biomarker responses in the mussel Mytilus edulis. Chemosphere 2007, 68, 1210–1217. [Google Scholar] [CrossRef]
- Cheung, S.; Shin, P. Size effects of suspended particles on gill damage in green-lipped mussel Perna viridis. Mar. Pollut. Bull. 2005, 51, 801–810. [Google Scholar] [CrossRef]
- Macêdo, A.K.S.; Dos Santos, K.P.E.; Brighenti, L.S.; Windmöller, C.C.; Barbosa, F.A.R.; de Azambuja Ribeiro, R.I.M.; Dos Santos, H.B.; Thomé, R.G. Histological and molecular changes in gill and liver of fish (Astyanax lacustris Lütken, 1875) exposed to water from the Doce basin after the rupture of a mining tailings dam in Mariana, MG, Brazil. Sci. Total Environ. 2020, 735, 139505. [Google Scholar] [CrossRef]
- Carella, F.; Feist, S.; Bignell, J.; De Vico, G. Comparative pathology in bivalves: Aetiological agents and disease processes. J. Invertebr. Pathol. 2015, 131, 107–120. [Google Scholar] [CrossRef]
- Atkins, D. Note on the regeneration of the gill of Mytilus edulis. J. Mar. Biol. Assoc. United Kingd. 1931, 17, 551–566. [Google Scholar] [CrossRef]
- Mackie, G.L.; Claudi, R. Monitoring and Control of Macrofouling Mollusks in Fresh Water Systems; CRC Press: Boca Raton, FL, USA, 2009. [Google Scholar] [CrossRef]
- Zhang, C.; Cui, F.; Zeng, G.-M.; Jiang, M.; Yang, Z.-Z.; Yu, Z.-G.; Zhu, M.-Y.; Shen, L.-Q. Quaternary ammonium compounds (QACs): A review on occurrence, fate and toxicity in the environment. Sci. Total Environ. 2015, 518, 352–362. [Google Scholar] [CrossRef] [PubMed]
- Pereyra, P.J.; Bulus Rossini, G.D.; Darrigran, G.A. Toxicity of three comercial tannins to the nuisance invasive species Limnoperna fortunei (Dunker, 1857): Implications for control. Fresenius Environ. Bull. 2011, 20, 1432–1437. [Google Scholar]
- Manduzio, H.; Rocher, B.; Durand, F.; Galap, C.; Leboulenger, F. The point about oxidative stress in molluscs. Invertebr. Surviv. J. 2005, 2, 91–104. [Google Scholar]
- Zangar, R.C.; Davydov, D.R.; Verma, S. Mechanisms that regulate production of reactive oxygen species by cytochrome P450. Toxicol. Appl. Pharmacol. 2004, 199, 316–331. [Google Scholar] [CrossRef]
- Ertürk Gürkan, S.; Gürkan, M. Toxicity of gamma aluminium oxide nanoparticles in the Mediterranean mussel (Mytilus galloprovincialis): Histopathological alterations and antioxidant responses in the gill and digestive gland. Biomarkers 2021, 26, 248–259. [Google Scholar] [CrossRef]
- Châtel, A.; Hamer, B.; Jakšić, Ž.; Vucelić, V.; Talarmin, H.; Dorange, G.; Schröder, H.; Müller, W. Induction of apoptosis in mussel Mytilus galloprovincialis gills by model cytotoxic agents. Ecotoxicology 2011, 20, 2030–2041. [Google Scholar] [CrossRef]
- Romero, A.; Novoa, B.; Figueras, A. The complexity of apoptotic cell death in mollusks: An update. Fish Shellfish Immunol. 2015, 46, 79–87. [Google Scholar] [CrossRef]
- Morishita, H.; Kanda, Y.; Kaizuka, T.; Chino, H.; Nakao, K.; Miki, Y.; Taketomi, Y.; Guan, J.-L.; Murakami, M.; Aiba, A. Autophagy is required for maturation of surfactant-containing lamellar bodies in the lung and swim bladder. Cell Rep. 2020, 33, 108477. [Google Scholar] [CrossRef]
- Pandey, S.; Parvez, S.; Ansari, R.A.; Ali, M.; Kaur, M.; Hayat, F.; Ahmad, F.; Raisuddin, S. Effects of exposure to multiple trace metals on biochemical, histological and ultrastructural features of gills of a freshwater fish, Channa punctata Bloch. Chem. Biol. Interact. 2008, 174, 183–192. [Google Scholar] [CrossRef]
- Velmurugan, B.; Cengiz, E.I.; Yolcu, M.; Uğurlu, P.; Selvanayagam, M. Cytological and histological effects of pesticide chlorpyriphos in the gills of Anabas testudineus. Drug Chem. Toxicol. 2020, 43, 409–414. [Google Scholar] [CrossRef]
- Sprecher, S.L.; Getsinger, K.D. Zebra mussel Chemical Control Guide; Environmental Laboratory: Washington, DC, USA, 2000; p. 116. [Google Scholar]
- Fabbri, E.; Valbonesi, P.; Franzellitti, S. HSP expression in bivalves. Invertebr. Surviv. J. 2008, 5, 135–161. [Google Scholar]
- Maroñas, M.E.; Damborenea, M.C. Efeito de biocidas e tolerância à exposição ao ar. In Introdução a Biologia das Invasões. O Mexilhão Dourado na América do Sul: Biologia, Dispersão, Impacto, Prevenção e Controle; Darrigran, G., Damborenea, C., Eds.; Cubo Editora: São Carlos, Brazil, 2009; pp. 169–183. [Google Scholar]












| Water Quality Parameters with NaDCC Biocide (1.5 mg L−1) | ||||
| Treatment | pH | Temperature (°C) | DO * (mg L−1) | Conductivity (μS/cm) |
| Control 24 h (wqi = 2, mean, SD) | 7.69 (0.10) | 21.90 (0.00) | 8.45 (0.52) | 134.00 (2.83) |
| 24 h (wqi = 6, mean, SD) | 7.68 (0.09) | 22.07 (0.14) | 8.93 (0.23) | 134.50 (1.05) |
| Control 48 h (wqi = 4, mean, SD) | 7.71 (0.16) | 21.85 (0.33) | 8.95 (0.24) | 131.75 (3.40) |
| 48 h (wqi = 12, mean, SD) | 7.71 (0.10) | 21.78 (0.36) | 8.90 (0.13) | 133.67 (3.31) |
| Control 72 h (wqi = 6, mean, SD) | 7.69 (0.17) | 22.23 (0.43) | 9.30 (0.42) | 132.17 (3.31) |
| 72 h (wqi = 18, mean, SD) | 7.69 (0.10) | 22.01 (0.44) | 8.71 (0.27) | 132.44 (3.35) |
| Water Quality Parameters with MXD-100™ Biocide (5.6 mg L−1) | ||||
| Treatment | pH | Temperature (°C) | DO * (mg L−1) | Conductivity (μS/cm) |
| Control 24 h (wqi = 2, mean, SD) | 8.13 (0.10) | 20.50 (0.57) | 7.30 (0.85) | 151.45 (4.74) |
| 24 h (wqi = 6, mean, SD) | 7.75 (0.15) | 20.55 (0.36) | 7.25 (0.29) | 149.80 (1.38) |
| Control 48 h (wqi = 4, mean, SD) | 8.29 (0.38) | 20.60 (0.33) | 7.07 (0.61) | 150.92 (2.80) |
| 48 h (wqi = 12, mean, SD) | 7.78 (0.13) | 20.50 (0.29) | 7.29 (0.46) | 150.15 (1.52) |
| Control 72 h (wqi = 5, mean, SD) | 8.16 (0.46) | 19.98 (0.18) | 7.00 (0.64) | 150.24 (1.49) |
| 72 h (wqi = 15, mean, SD) | 7.88 (0.36) | 20.04 (0.19) | 7.10 (0.40) | 150.05 (1.45) |
| Gene | Initial | Sequence | Genbank Access Entries |
|---|---|---|---|
| Cytochrome P450 | CYP | F: 5′-GCCAAGGGACACGATTCTAC-3′ R: 5′-CATACAAAGACACCGCCATTC-3′ | OP066521 |
| Superoxide dismutase | SOD | F: 5′-TGATTCGTAGGGACTTTGGA-3′ R: 5′-CCTGGTTAGCACAAGCAACA-3′ | OP066522 |
| Catalase | CAT | F:5′-CTCTCAAGTCGGTGTATTCTGG-3′ F:5′-CCTGTTTTTCCTTTCGCTGT-3′ | OP066523 |
| Heat Shock Protein 70 | HSP70 | F:5′-GAAGCCTACCTCGGACAAAA-3′ | OP066524 |
| F:5′-CGGACCTCAAACAGTGAACC-3′ | |||
| Glyceraldehyde 3-phosphate dehydrogenase | GAPDH * | F: 5′-TACTGCGAGGCAACAATAGG-3′ | OP066520 |
| R: 5′-GTTTTTCAAGGCACCACAGA-3′ |
Disclaimer/Publisher’s Note: The statements, opinions and data contained in all publications are solely those of the individual author(s) and contributor(s) and not of MDPI and/or the editor(s). MDPI and/or the editor(s) disclaim responsibility for any injury to people or property resulting from any ideas, methods, instructions or products referred to in the content. |
© 2023 by the authors. Licensee MDPI, Basel, Switzerland. This article is an open access article distributed under the terms and conditions of the Creative Commons Attribution (CC BY) license (https://creativecommons.org/licenses/by/4.0/).
Share and Cite
Moreira, A.M.S.; Freitas, E.T.F.; Reis, M.d.P.; Nogueira, J.M.; Barbosa, N.P.d.U.; Reis, A.L.M.; Pelli, A.; Camargo, P.R.d.S.; Cardoso, A.V.; de Paula, R.S.; et al. Acute Exposure to Two Biocides Causes Morphological and Molecular Changes in the Gill Ciliary Epithelium of the Invasive Golden Mussel Limnoperna fortunei (Dunker, 1857). Animals 2023, 13, 3258. https://doi.org/10.3390/ani13203258
Moreira AMS, Freitas ETF, Reis MdP, Nogueira JM, Barbosa NPdU, Reis ALM, Pelli A, Camargo PRdS, Cardoso AV, de Paula RS, et al. Acute Exposure to Two Biocides Causes Morphological and Molecular Changes in the Gill Ciliary Epithelium of the Invasive Golden Mussel Limnoperna fortunei (Dunker, 1857). Animals. 2023; 13(20):3258. https://doi.org/10.3390/ani13203258
Chicago/Turabian StyleMoreira, Amanda Maria Siqueira, Erico Tadeu Fraga Freitas, Mariana de Paula Reis, Júlia Meireles Nogueira, Newton Pimentel de Ulhôa Barbosa, André Luiz Martins Reis, Afonso Pelli, Paulo Ricardo da Silva Camargo, Antonio Valadão Cardoso, Rayan Silva de Paula, and et al. 2023. "Acute Exposure to Two Biocides Causes Morphological and Molecular Changes in the Gill Ciliary Epithelium of the Invasive Golden Mussel Limnoperna fortunei (Dunker, 1857)" Animals 13, no. 20: 3258. https://doi.org/10.3390/ani13203258
APA StyleMoreira, A. M. S., Freitas, E. T. F., Reis, M. d. P., Nogueira, J. M., Barbosa, N. P. d. U., Reis, A. L. M., Pelli, A., Camargo, P. R. d. S., Cardoso, A. V., de Paula, R. S., & Jorge, E. C. (2023). Acute Exposure to Two Biocides Causes Morphological and Molecular Changes in the Gill Ciliary Epithelium of the Invasive Golden Mussel Limnoperna fortunei (Dunker, 1857). Animals, 13(20), 3258. https://doi.org/10.3390/ani13203258

