Reproductive Maturation of Meagre Argyrosomus regius (Asso, 1801) Reared in Floating Cages
Abstract
Simple Summary
Abstract
1. Introduction
2. Materials and Methods
2.1. Ethical Statement
2.2. Sampling
2.3. Gonad Histological Analysis
2.4. Sex-Steroid Plasma Level Measurement
2.5. Statistical Analysis
3. Results
3.1. Gonadosomatic Index and Sex Steroid Plasma Concentrations
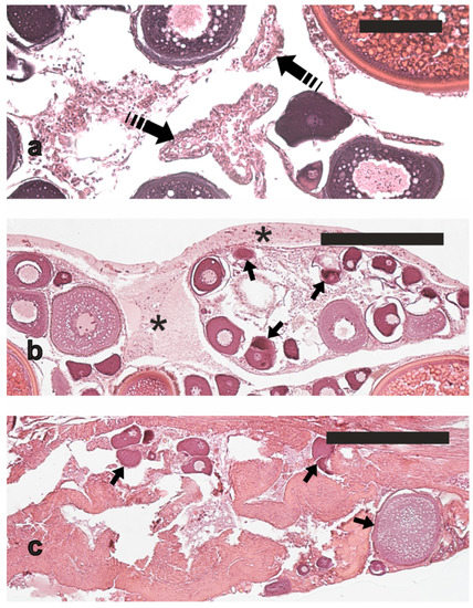
3.2. Histological Analysis of Ovaries
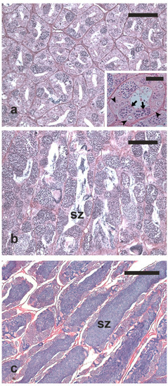
3.3. Histological Analysis of Testes
4. Discussion
5. Conclusions
Author Contributions
Funding
Institutional Review Board Statement
Informed Consent Statement
Data Availability Statement
Acknowledgments
Conflicts of Interest
References
- Duncan, N.J.; Estévez, A.; Fernández-Palacios, H.; Gairin, I.; Hernández-Cruz, C.M.; Roo, F.J.; Schuchardt, D.; Vallés, R. Aquaculture production of meagre (Argyrosomus regius): Hatchery techniques, ongrowing and market. In Advances in Aquaculture Hatchery Technology; Allan, G., Burnell, G., Eds.; Woodhead Publishing Limited: Cambridge, UK, 2013; pp. 519–541. [Google Scholar]
- Global Aquaculture Production Quantity (1950–2020). Available online: https://www.fao.org/fishery/statistics-query/en/aquaculture/aquaculture_quantity (accessed on 27 October 2022).
- Del Mar Gil, M.; Grau, A.; Basilone, G.; Ferreri, R.; Palmer, M. Reproductive strategies and fecundity of meagre Argyrosomus regius Asso, 1801 (Pisces: Sciaenidae): Implications for restocking programs. Sci. Mar. 2013, 77, 105–118. [Google Scholar] [CrossRef]
- Del Mar Gil, M.; Palmer, M.; Grau, A.; Pérez-Mayol, S. First evidence on the growth of hatchery-reared juvenile meagre Argyrosomus regius released in the Balearic Islands coastal region. Aquaculture 2014, 434, 78–87. [Google Scholar] [CrossRef]
- Cruz, W.; Grau, A.; Pastor, E.; Crespo, S.; Sala, R. Desarrollo ontogeénico de la larva de Corvina (Argyrosomus regius): Estudio preliminar. In Proceedings of the Libro de Actas Toma II XI Congreso Nacional de Acuicultura, Vigo, Spain, 24–28 September 2007; pp. 735–738. (In Spanish). [Google Scholar]
- Estévez, A.; Treviño, L.; Gisbert, E. La densidad larvaria inicial afecta al crecimiento pero no a la supervivencia de las larvas de corvina (Argyrosomus regius) en cultivo. In Proceedings of the Libro de Actas Toma II XI Congreso Nacional de Acuicultura, Vigo, Spain, 24–28 September 2007; pp. 747–749. (In Spanish). [Google Scholar]
- Fernández-Palacios, H.; Schuchardt, D.; Roo, J.; Borrero, C.; Hernández-Cruz, C.M.; Socorro, J. Estudio morfométrico de la corvina (Argyrosomus regius Asso, 1801) durante el primer mes de vida. In Proceedings of the Libro de Actas Toma II XI Congreso Nacional de Acuicultura, Vigo, Spain, 24–28 September 2007; pp. 755–758. (In Spanish). [Google Scholar]
- Hernández-Cruz, C.M.; Schuchardt, D.; Roo, J.; Borrero, C.; Fernández-Palacios, H. Optimización del protocolo de destete de corvina (Argyrosomus regius Asso, 1801). In Proceedings of the Libro de Actas Toma II XI Congreso Nacional de Acuicultura, Vigo, Spain, 24–28 September 2007; pp. 751–754. (In Spanish). [Google Scholar]
- Rodríguez-Rúa, A.; Grau, A.; Jiménez, M.T.; Valencia, J.M.; Rosano, M.; Durán, J.; Pastor, E.; Cárdenas, S. Cultivo larvario de la corvina Argyrosomus regius (Asso, 1801). In Proceedings of the Libro de Actas Toma II XI Congreso Nacional de Acuicultura, Vigo, Spain, 24–28 September 2007; pp. 739–742. (In Spanish). [Google Scholar]
- Roo, J.; Hernández Cruz, C.M.; Borrero, C.; Fernández Palacios, H.; Schuchardt, D. Efecto de la densidad larvaria y secuencia alimentaria en el cultivo larvario de corvina (Argyrosomus regius Asso, 1801) durante el primer mes de vida. In Proceedings of the Libro de Actas Toma II XI Congreso Nacional de Acuicultura, Vigo, Spain, 24–28 September 2007; pp. 743–746. (In Spanish). [Google Scholar]
- Ortega, A.; de la Gándara, F. Crecimiento de corvina (Argyrosomus regius) en tanques. In Proceedings of the Libro de Actas Toma II XI Congreso Nacional de Acuicultura, Vigo, Spain, 24–28 September 2007; pp. 763–766. (In Spanish). [Google Scholar]
- Vargas-Chacoff, L.; Páscoa, I.; Gonçalves, O.; Ruiz-Jarabo, I.; Woundering, Y.; Martín del Río, M.P.; Mancera, J.M. Influencia de diferentes piensos comerciales sobre el crecimiento y parámetros metabo´licos de la corvina (Argyrosomus regius) en fase de engorde en estero. In Proceedings of the Libro de Actas Toma II XI Congreso Nacional de Acuicultura, Vigo, Spain, 24–28 September 2007; pp. 759–762. (In Spanish). [Google Scholar]
- Estévez, A.; Treviño, L.; Kotzamanis, Y.; Karacostas, I.; Tort, L.; Gisbert, E. Effects of different levels of plant proteins on the ongrowing of meagre (Argyrosomus regius) juveniles at low temperatures. Aquac. Nutr. 2011, 17, e572–e582. [Google Scholar] [CrossRef]
- Garrido, M.D.; García García, B.; López, M.B.; Villagomez, S.; Hernández, M.D. Cambios físico químicos y microbiológicos de filetes de corvina (Argyrosomus regius) durante su almacenamiento en hielo. In Proceedings of the Libro de Actas Toma II XI Congreso Nacional de Acuicultura, Vigo, Spain, 24–28 September 2007; pp. 767–770. (In Spanish). [Google Scholar]
- Hernández, M.D.; García García, B.; Ferrandini, E.; Nieto, G.; Garrido, M.D. Composición en ácidos grasos de filetes de corvina (Argyrosomus regius) almacenados en hielo. In Proceedings of the Libro de Actas Toma II XI Congreso Nacional de Acuicultura, Vigo, Spain, 24–28 September 2007; pp. 771–774. (In Spanish). [Google Scholar]
- Duncan, N.J.; Mylonas, C.C.; Milton Sullon, E.; Karamanlidis, D.; França Nogueira, M.C.; Ibarra-Zatarain, Z.; Chiumento, M.; Aviles Carrillo, R.O. Paired spawning with male rotation of meagre Argyrosomus regius using GnRHa injections, as a method for producing multiple families for breeding selection programs. Aquaculture 2018, 495, 506–512. [Google Scholar] [CrossRef]
- Fakriadis, I.; Sigelaki, I.; Papadaki, M.; Papandroulakis, N.; Raftopoulos, A.; Tsakoniti, K.; Mylonas, C.C. Control of reproduction of greater amberjack Seriola dumerili reared in aquaculture facilities. Aquaculture 2020, 519, 734880. [Google Scholar] [CrossRef]
- Duncan, N.J.; Estévez, A.; Porta, J.; Carazo, I.; Norambuena, F.; Aguilera, C.; Gairin, I.; Bucci, F.; Valles, R.; Mylonas, C.C. Reproductive development, GnRHa-induced spawning and egg quality of wild meagre (Argyrosomus regius) acclimatised to captivity. Fish Physiol. Biochem. 2012, 38, 1273–1286. [Google Scholar] [CrossRef] [PubMed]
- Mylonas, C.C.; Mitrizakis, N.; Castaldo, C.A.; Cerviño, C.P.; Papadaki, M.; Sigelaki, I. Reproduction of hatchery-produced meagre Argyrosomus regius in captivity II. Hormonal induction of spawning and monitoring of spawning kinetics, egg production and egg quality. Aquaculture 2013, 414, 318–327. [Google Scholar] [CrossRef]
- Mylonas, C.C.; Fatira, E.; Karkut, P.; Sigelaki, I.; Papadaki, M.; Duncan, N. Reproduction of hatchery-produced meagre Argyrosomus regius in captivity III. Comparison between GnRHa implants and injections on spawning kinetics and egg/larval performance parameters. Aquaculture 2015, 448, 44–53. [Google Scholar] [CrossRef]
- Mylonas, C.C.; Salone, S.; Biglino, T.; de Mello, P.H.; Fakriadis, I.; Sigelaki, I.; Duncan, N. Enhancement of oogenesis/spermatogenesis in meagre Argyrosomus regius using a combination of temperature control and GnRHa treatments. Aquaculture 2016, 464, 323–330. [Google Scholar] [CrossRef]
- Mylonas, C.C.; Fostier, A.; Zanuy, S. Broodstock management and hormonal manipulations of fish reproduction. Gen. Comp. Endocrinol. 2010, 165, 516–534. [Google Scholar] [CrossRef]
- Corriero, A.; Medina, A.; Mylonas, C.C.; Bridges, C.R.; Santamaria, N.; Deflorio, M.; Losurdo, M.; Zupa, R.; Gordin, H.; de la Gándara, F.; et al. Proliferation and apoptosis of male germ cells in captive Atlantic bluefin tuna (Thunnus thynnus L.) treated with gonadotropin-releasing hormone agonist (GnRHa). Anim. Reprod. Sci. 2009, 116, 346–357. [Google Scholar] [CrossRef]
- Zupa, R.; Fauvel, C.; Mylonas, C.C.; Pousis, C.; Santamaria, N.; Papadaki, Μ.; Fakriadis, I.; Cicirelli, V.; Mangano, S.; Passantino, L.; et al. Rearing in captivity affects spermatogenesis and sperm quality in greater amberjack Seriola dumerili (Risso, 1810). J. Anim. Sci. 2017, 95, 4085–4100. [Google Scholar] [CrossRef] [PubMed]
- Zupa, R.; Rodríguez, C.; Mylonas, C.C.; Rosenfeld, H.; Fakriadis, I.; Papadaki, M.; Perez, J.A.; Pousis, C.; Basilone, G.; Corriero, A. Comparative study of reproductive development in wild and captive-reared greater amberjack Seriola dumerili (Risso, 1810). PLoS ONE 2017, 12, e0169645. [Google Scholar] [CrossRef] [PubMed]
- Mylonas, C.C.; Mitrizakis, N.; Papadaki, M.; Sigelaki, I. Reproduction of hatchery-produced meagre Argyrosomus regius in captivity I. Description of the annual reproductive cycle. Aquaculture 2013, 414, 309–317. [Google Scholar] [CrossRef]
- Soares, F.; Ribeiro, L.; Gamboa, M.; Duarte, S.; Mendes, A.C.; Castanho, S.; Barata, M.; Lourenço, T.M.; Pousão-Ferreira, P. Comparative analysis on natural spawning of F1 meagre, Argyrosomus regius, with wild broodstock spawns in Portugal. Fish Physiol. Biochem. 2015, 41, 1509–1514. [Google Scholar] [CrossRef]
- Vallés, R.; Bayarri, M.J.; Mannano, E.; Duncan, N. Plasma sex steroid profiles in meagre (Argyrosomus regius). Indian J. Sci. Technol. 2011, 4, 108. [Google Scholar] [CrossRef]
- Schiavone, R.; Zilli, L.; Storelli, C.; Vilella, S. Changes in hormonal profile, gonads and sperm quality of Argyrosomus regius (Pisces, Scianidae) during the first sexual differentiation and maturation. Theriogenology 2012, 77, 888–898. [Google Scholar] [CrossRef]
- Santos, M.; Soares, F.; Moreira, M.; Beirão, J. Evaluation of different extenders for the cold storage of meagre (Argyrosomus regius) semen. Aquac. Res. 2018, 49, 2723–2731. [Google Scholar] [CrossRef]
- Ramos-Júdez, S.; González, W.; Dutto, G.; Mylonas, C.C.; Fauvel, C.; Duncan, N. Gamete quality and management for in vitro fertilisation in meagre (Argyrosomus regius). Aquaculture 2019, 509, 227–235. [Google Scholar] [CrossRef]
- Fernández-Palacios, H.; Schuchardt, D.; Roo, J.; Izquierdo, M.; Hernández-Cruz, C.; Duncan, N. Dose dependent effect of a single GnRHa injection on the spawning of meagre (Argyrosomus regius) broodstock reared in captivity. Span. J. Agric. Res. 2014, 12, 1038–1048. [Google Scholar] [CrossRef]
- De Mello, P.; Lancerotto, S.; Fakriadis, I.; Tsoukali, P.; Papadaki, M.; Mylonas, C.C. The importance of thermoperiod for proper gametogenesis and successful egg and sperm production in meagre (Argyrosomus regius) breeders in aquaculture. Mediterr. Mar. Sci. 2021, 22, 218–231. [Google Scholar] [CrossRef]
- Stipa, P.; Angelini, M. Argyrosomus regius. Cultured Aquatic Species Information Programme; FAO Fisheries and Aquaculture Department: Rome, Italy, 2005; Available online: http://www.fao.org/fishery/culturedspecies/Argyrosomus_regius/en (accessed on 1 December 2022).
- Zupa, R.; Martino, N.A.; Marzano, G.; Dell’Aquila, M.E.; Corriero, A. Meagre Argyrosomus regius (Asso, 1801) stem spermatogonia: Histological characterization, immunostaining, in vitro proliferation, and cryopreservation. Animals 2020, 10, 851. [Google Scholar] [CrossRef]
- Abou Shabana, N.M.; Abd El Rahma, S.H.; Al Absawy, M.A.; Assem, S.S. Reproductive biology of Argyrosomus regius (Asso, 1801) inhabiting the south eastern Mediterranean Sea, Egypt. Egypt. J. Aquat. Res. 2012, 38, 147–156. [Google Scholar] [CrossRef]
- Corriero, A.; Desantis, S.; Deflorio, M.; Acone, F.; Bridges, C.R.; de la Serna, J.M.; Megalofonou, P.; De Metrio, G. Histological investigation on the ovarian cycle of the eastern Atlantic bluefin tuna (Thunnus thynnus L.). J. Fish Biol. 2003, 63, 108–119. [Google Scholar] [CrossRef]
- Corriero, A.; Medina, A.; Mylonas, C.C.; Abascal, F.J.; Deflorio, M.; Aragón, L.; Bridges, C.R.; Santamaria, N.; Heinisch, G.; Vassallo-Agius, R.; et al. Histological study of the effects of treatment with gonadotropin-releasing hormone agonist (GnRHa) on the reproductive maturation of captive-reared Atlantic bluefin tuna (Thunnus thynnus L.). Aquaculture 2007, 272, 675–686. [Google Scholar] [CrossRef]
- Hunter, J.R.; Macewicz, B.J.; Sibert, J.R. The spawning frequency of skipjack tuna, Katsuwonus pelamis, from the South Pacific. Fish Bull. 1986, 48, 895–903. [Google Scholar]
- Corriero, A.; Wylie, M.J.; Nyuji, M.; Zupa, R.; Mylonas, C.C. Reproduction of greater amberjack (Seriola dumerili) and other members of the family Carangidae. Rev. Aquac. 2021, 13, 1781–1815. [Google Scholar] [CrossRef]
- Toledo, J.D.; Marte, C.L.; Castillo, A.R. Spontaneous maturation and spawning of sea bass Lates calcarifer in floating net cages. J. Appl. Ichthyol. 1991, 7, 217–222. [Google Scholar] [CrossRef]
- Mylonas, C.C.; Bridges, C.R.; Gordin, H.; Belmonte Ríos, A.; García, A.; de la Gándara, F.; Fauvel, C.; Suquet, M.; Medina, A.; Papadaki, M.; et al. Preparation and administration of gonadotropin-releasing hormone agonist (GnRHa) implants for the artificial control of reproductive maturation in captive-reared Atlantic bluefin tuna (Thunnus thynnus). Rev. Fish. Sci. 2007, 15, 183–210. [Google Scholar] [CrossRef]
- Aranda, G.A.; Aragón, L.; Corriero, A.; Mylonas, C.C.; de la Gándara, F.; Belmonte, A.; Medina, A. GnRHa induced spawning in cage-reared Atlantic bluefin tuna: An evaluation using stereological quantification of ovarian post-ovulatory follicles. Aquaculture 2011, 317, 255–259. [Google Scholar] [CrossRef]
- De Metrio, G.; Bridges, C.R.; Mylonas, C.C.; Caggiano, M.; Deflorio, M.; Santamaria, N.; Zupa, R.; Pousis, C.; Vassallo-Agius, R.; Gordin, H.; et al. Spawning induction and large-scale collection of fertilized eggs in captive Atlantic bluefin tuna (Thunnus thynnus L.) and the first larval rearing efforts. J. Appl. Ichthyol. 2010, 26, 596–599. [Google Scholar] [CrossRef]
- Džoić, T.; Beg Paklar, G.; Grbec, B.; Ivatek-Šahdan, S.; Zorica, B.; Šegvić-Bubić, T.; Čikeš Keč, V.; Lepen Pleić, I.; Mladineo, I.; Grubišić, L.; et al. Spillover of the Atlantic bluefin tuna offspring from cages in the Adriatic Sea: A multidisciplinary approach and assessment. PLoS ONE 2017, 12, e0188956. [Google Scholar] [CrossRef] [PubMed]
- Grunow, B.; Kirchhoff, T.; Lange, T.; Moritz, T.; Harzsch, S. Histochemistry on vibratome sections of fish tissue: A comparison of fixation and embedding methods. Aquat. Biol. 2015, 23, 251–263. [Google Scholar] [CrossRef]
- Tran, T.; Sundaram, C.P.; Bahler, C.D.; Eble, J.N.; Grignon, D.J.; Monn, M.F.; Simper, N.B.; Cheng, L. Correcting the shrinkage effects of formalin fixation and tissue processing for renal tumors: Toward standardization of pathological reporting of tumor size. J. Cancer 2015, 6, 759–766. [Google Scholar] [CrossRef] [PubMed]
- Wikliund, T.; Lounasheimo, L.; Lom, J.; Bylund, G. Gonadal impairment in roach Rutilus rutilus from Finnish coastal areas of the northern Baltic Sea. Dis. Aquat. Org. 1996, 26, 163–171. [Google Scholar] [CrossRef]
- Rajasilta, M.; Elfving, M.; Hänninen, J.; Laine, P.; Vuorinen, I.; Paranko, J. Morphological abnormalities in gonads of the Baltic herring (Clupea harengus membras): Description of types and prevalence in the northern Baltic Sea. Ambio 2016, 45, 205–214. [Google Scholar] [CrossRef] [PubMed]
- Żarski, D.; Rechulicz, J.; Krejszeff, S.; Czarkowski, T.K.; Stánczak, K.; Palínska, K.; Gryzínska, M.; Targónska, K.; Kozłowski, K.; Mamcarz, A.; et al. Ovarian alterations in wild northern pike Esox lucius females. Dis. Aquat. Org. 2013, 106, 49–56. [Google Scholar] [CrossRef]








| Sampling Period (Temperature) | Sex | Total Length (cm) | Total Body Mass (kg) | Gonad Mass (g) | |||
|---|---|---|---|---|---|---|---|
| mean ± SD | min–max | mean ± SD | min–max | mean ± SD | min–max | ||
| March–April 14–17 °C | f | 69.5 ± 3.1 | 64.5–73.0 | 3.3 ± 0.3 | 2.5–3.8 | 43.6 ± 21.9 | 14.7–88.6 |
| m | 70.7 ± 3.1 | 67.0–75.0 | 3.3 ± 0.3 | 2.9–3.7 | 21.6 ± 17.5 | 4.5–51.1 | |
| June 20–23 °C | f | 71.9 ± 3.6 | 68.0–77.0 | 3.3 ± 0.6 | 2.6–3.9 | 189.2 ± 144.0 | 26.0–408.0 |
| m | 72.4 ± 2.1 | 70.0–75.0 | 3.5 ± 0.4 | 3.2–4.0 | 142.3 ± 35.0 | 94.0–177.0 | |
| July 24–25 °C | f | 71.4 ± 7.3 | 61.0–80.0 | 3.0 ± 0.5 | 2.3–3.9 | 102.4 ± 48.4 | 46.0–166.0 |
| m | 69.6 ± 6.3 | 57.0–76.0 | 2.9 ± 0.6 | 1.5–3.5 | 71.2 ± 19.6 | 34.0–103.0 | |
Disclaimer/Publisher’s Note: The statements, opinions and data contained in all publications are solely those of the individual author(s) and contributor(s) and not of MDPI and/or the editor(s). MDPI and/or the editor(s) disclaim responsibility for any injury to people or property resulting from any ideas, methods, instructions or products referred to in the content. |
© 2023 by the authors. Licensee MDPI, Basel, Switzerland. This article is an open access article distributed under the terms and conditions of the Creative Commons Attribution (CC BY) license (https://creativecommons.org/licenses/by/4.0/).
Share and Cite
Zupa, R.; Hala, E.; Ventriglia, G.; Pousis, C.; Passantino, L.; Quaranta, A.; Corriero, A.; De Virgilio, C. Reproductive Maturation of Meagre Argyrosomus regius (Asso, 1801) Reared in Floating Cages. Animals 2023, 13, 223. https://doi.org/10.3390/ani13020223
Zupa R, Hala E, Ventriglia G, Pousis C, Passantino L, Quaranta A, Corriero A, De Virgilio C. Reproductive Maturation of Meagre Argyrosomus regius (Asso, 1801) Reared in Floating Cages. Animals. 2023; 13(2):223. https://doi.org/10.3390/ani13020223
Chicago/Turabian StyleZupa, Rosa, Edmond Hala, Gianluca Ventriglia, Chrysovalentinos Pousis, Letizia Passantino, Angelo Quaranta, Aldo Corriero, and Caterina De Virgilio. 2023. "Reproductive Maturation of Meagre Argyrosomus regius (Asso, 1801) Reared in Floating Cages" Animals 13, no. 2: 223. https://doi.org/10.3390/ani13020223
APA StyleZupa, R., Hala, E., Ventriglia, G., Pousis, C., Passantino, L., Quaranta, A., Corriero, A., & De Virgilio, C. (2023). Reproductive Maturation of Meagre Argyrosomus regius (Asso, 1801) Reared in Floating Cages. Animals, 13(2), 223. https://doi.org/10.3390/ani13020223

