Retrospective Evaluation of the Most Frequently Observed Histological Changes in Duodenal and Rectal Mucosal Biopsies in Horses with Recurrent Colic
Abstract
Simple Summary
Abstract
1. Introduction
2. Materials and Methods
3. Results
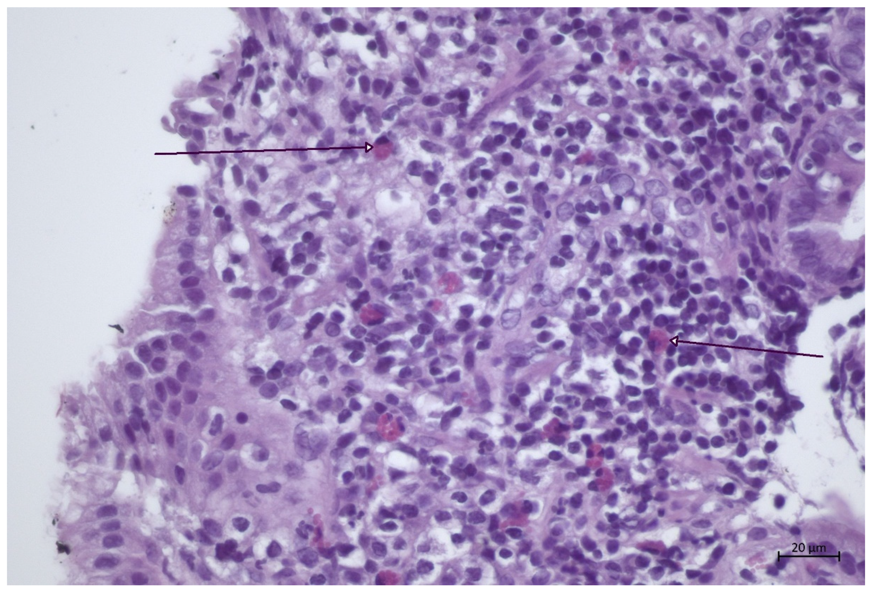
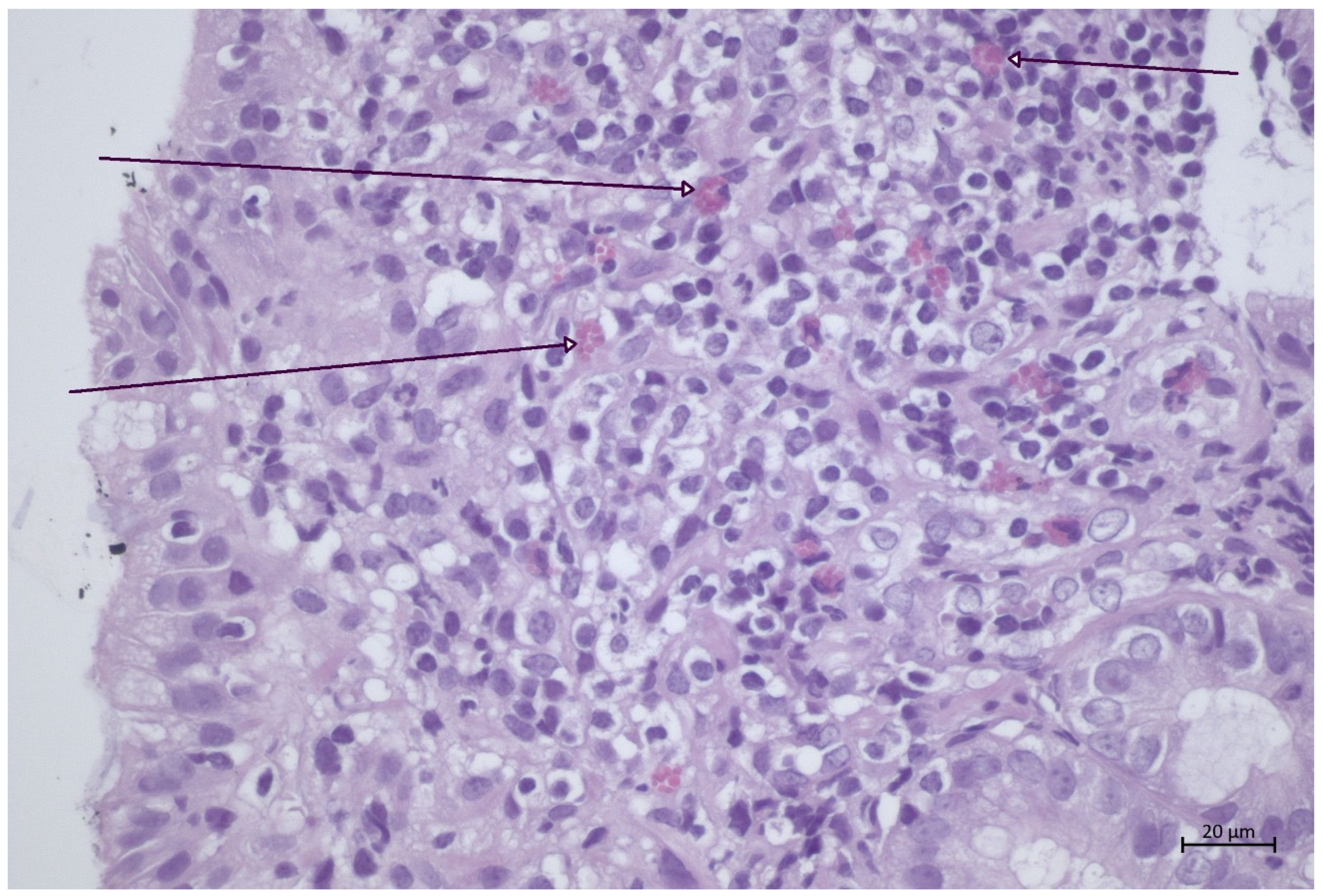
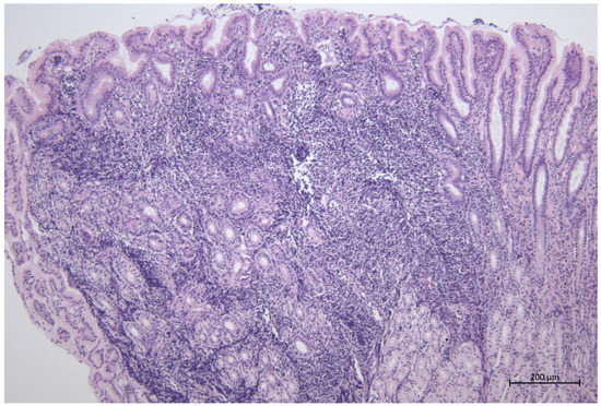
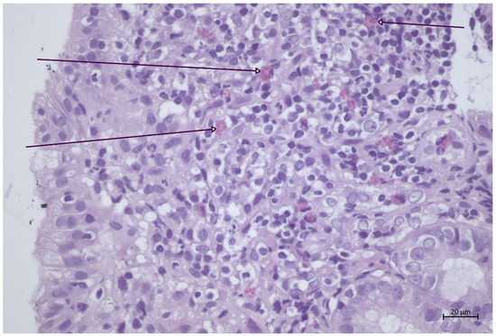
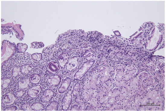
3.1. Duodenal Mucosal Samples
3.1.1. Superficial Epithelium
3.1.2. Lamina Propria
3.1.3. Submucosa
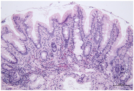
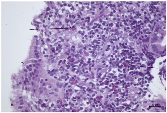
3.2. Rectal Mucosal Samples
3.2.1. Superficial Epithelium
3.2.2. Lamina Propria
3.2.3. Submucosa
3.3. Total Protein and Albumin Analysis
4. Discussion
5. Conclusions
Author Contributions
Funding
Institutional Review Board Statement
Informed Consent Statement
Data Availability Statement
Acknowledgments
Conflicts of Interest
References
- Scantlebury, C.E.; Archer, D.C.; Proudman, C.J.; Pinchbeck, G.L. Management and horse-level risk factors for recurrent colic in the UK general equine practice population. Equine Vet. J. 2015, 47, 202–206. [Google Scholar] [CrossRef] [PubMed]
- van Proosdij, R.; Frietman, S. Retrospective Analysis of Cause-of-Death at an Equine Retirement Center in the Netherlands Over an Eight-Year Period. J. Equine Vet. Sci. 2022, 110, 103824. [Google Scholar] [CrossRef]
- Pollard, D.; Wylie, C.E.; Newton, J.R.; Verheyen, K.L.P. Factors associated with euthanasia in horses and ponies enrolled in a laminitis cohort study in Great Britain. Prev. Vet. Med. 2020, 174, 104833. [Google Scholar] [CrossRef] [PubMed]
- Mair, T.S.; Smith, L.J. Survival and complication rates in 300 horses undergoing surgical treatment of colic. Part 1: Shor term survival following a single laparotomy. Equine Vet. J. 2005, 37, 296–302. [Google Scholar] [CrossRef] [PubMed]
- Scantlebury, C.E.; Archer, D.C.; Proudman, C.J.; Pinchbeck, G.L. Recurrent colic in the horse: Incidence and risk factors for recurrence in the general practice population. Equine Vet. J. Suppl. 2011, 39, 81–88. [Google Scholar] [CrossRef]
- Cohen, N.D.; Gibbs, P.G.; Woods, A.M. Dietary and other management factors associated with colic in horses. J. Am. Vet. Med. Assoc. 1999, 215, 53–60. [Google Scholar]
- Stewart, H.L.; Engiles, J.B.; Stefanovski, D.; Southwood, L. Clinical and intestinal histologic features of horses treated for recurrent colic: 66 cases (2006–2015). J. Am. Vet. Med. Assoc. 2018, 10, 1279–1288. [Google Scholar]
- Schumacher, J.; Edwards, J.F.; Cohen, N.D. Chronic Idiopathic Inflammatory Bowel Diseases of the Horse. J. Vet. Intern. Med. 2000, 14, 258–265. [Google Scholar] [CrossRef]
- Peuhkuri, K.; Vapaatalo, H.; Korpela, R. Even low-grade inflammation impacts on small intestinal function. World J. Gastroenterol. 2010, 16, 1057–1062. [Google Scholar] [CrossRef]
- Brown, E.; Taylor, C.T. Hypoxia-sensitive pathways in intestinal inflammation. J. Physiol. 2018, 596, 2985–2989. [Google Scholar] [CrossRef]
- Boshuizen, B.; Ploeg, M.; Dewulf, J.; Klooster, S.; Bruijn, M.; Picavet, M.T.; Palmers, K.; Plancke, L.; Cock, H.; Theelen, M.; et al. Inflammatory bowel disease (IBD) in horses: A retrospective study exploring the value of different diagnostic approaches. BMC Vet. Res. 2018, 14, 21. [Google Scholar] [CrossRef] [PubMed]
- Lindberg, R.; Nygren, A.; Persson, S.G.B. Rectal biopsy diagnosis in horses with clinical signs of intestinal disorders: A retrospective study of 116 cases. Equine Vet. J. 1996, 28, 275–284. [Google Scholar] [CrossRef] [PubMed]
- Kerbyson, N.; Knottenbelt, D. Intestinal biopsies for investigating and managing inflammatory bowel disease in horses. Practice 2015, 37, 347–358. [Google Scholar] [CrossRef]
- Erben, U.; Loddenkemper, C.; Doerfel, K.; Spieckermann, S.; Haller, D.; Heimesaat, M.M.; Zeitz, M.; Siegmund, B.; Kühl, A.A. A guide to histomorphological evaluation of intestinal inflammation in mouse models. Int. J. Clin. Exp. Pathol. 2014, 15, 4557–4576. [Google Scholar]
- R Core Team. R: A Language and Environment for Statistical Computing. (Version 4.1) [Computer software]. R Packages Retrieved from MRAN Snapshot 2022-01-01. 2021. Available online: https://cran.r-project.org (accessed on 1 January 2022).
- Kerby, D.S. The simple difference formula: An approach to teaching nonparametric correlation. Compr. Psychol. 2014, 3, 2165–2228. [Google Scholar] [CrossRef]
- Brazil, T. Gastroscopy and duodenoscopy. In The Equine Hospital Manual; Blackwell Publishing: Hoboken, NJ, USA, 2008; pp. 498–499. [Google Scholar]
- Jacobs, G.; Collins-Kelly, L.; Lappin, M.; Tyler, D. Lymphocytic-plasmacytic enteritis in 24 dogs. J. Vet. Intern. Med. 1990, 4, 45–53. [Google Scholar] [CrossRef]
- Couto, C.G.; Rutgers, H.C.; Sherding, R.G.; Rojko, J. Gastrointestinal lymphoma in 20 dogs. A retrospective study. J. Vet. Intern. Med. 1989, 3, 73–78. [Google Scholar] [CrossRef]
- Seldenrijk, C.A.; Morson, B.C.; Meuwissen, S.G.; Schipper, N.W.; Lindeman, J.; Meijer, C.J. Histopathological evaluation of colonic mucosal biopsy specimens in chronic inflammatory bowel disease: Diagnostic implications. Gut 1991, 32, 1514–1520. [Google Scholar] [CrossRef]
- Vitale, V. Inflammatory bowel diseases in horses: What do we know? Equine Vet. Educ. 2022, 34, 493–500. [Google Scholar] [CrossRef]
- Kalck, K.A. Inflammatory bowel disease in horses. Vet. Clin. N. Am. Equine Pract. 2009, 25, 303–315. [Google Scholar] [CrossRef]
- Rötting, A.K.; Freeman, D.E.; Constable, P.D.; Eurell, J.A.; Wallig, M.A. Mucosal distribution of eosinophilic granulocytes within the gastrointestinal tract of horses. Am. J. Vet. Res. 2008, 69, 874–879. [Google Scholar] [CrossRef] [PubMed]
- Scott, E.A.; Heidel, J.R.; Snyder, S.P.; Ramirez, S.; Whitler, W.A. Inflammatory bowel disease in horses: 11 cases (1988–1998). J. Am. Vet. Med. Assoc. 1999, 214, 1527–1530. [Google Scholar]
- Oliver-Espinosa, O. Diagnostics and treatments in chronic diarrhea and weight loss in horses. Vet. Clin. N. Am. Equine Pract. 2018, 34, 69–80. [Google Scholar] [CrossRef] [PubMed]
- Kaikkonen, R.; Niinist€o, K.; Sykes, B.; Anttila, M.; Sankari, S.; Raekallio, M. Diagnostic evaluation and short-term outcome as indicators of long-term prognosis in horses with findings suggestive of inflammatory bowel disease treated with corticosteroids and anthelmintics. Act. Vet. Scan 2018, 56, 35. [Google Scholar] [CrossRef] [PubMed]
- Bhaijee, F.; Brown, K.A.; Long, B.W.; Brown, A.S. Russell body gastroenteritis: An aberrant manifestation of chronic inflammation in gastrointestinal mucosa. Case Rep. Med. 2013, 2013, 797264. [Google Scholar] [CrossRef]
- Kemper, D.L.; Perkins, G.A.; Schumacher, J.; Edwards, J.F.; Valentine, B.A.; Divers, T.J.; Cohen, N.D. Equine lymphocytic-plasmacytic enterocolitis: A retrospective study of 14 cases. Equine Vet. J. Suppl. 2000, 32, 108–112. [Google Scholar] [CrossRef]
- Speca, S.; Giusti, I.; Rieder, F.; Latella, G. Cellular and molecular mechanisms of intestinal fibrosis. World J. Gastroenterol. 2012, 28, 3635–3661. [Google Scholar] [CrossRef]
- McCartney-Francis, N.L.; Chan, J.; Wahl, S.M. Inflammatory joint disease: Clinical, histological, and molecular parameters of acute and chronic inflammation and tissue destruction. Methods Mol. Biol. 2003, 225, 147–159. [Google Scholar]
- Serra, S.; Jani, P.A. An approach to duodenal biopsies. J. Clin. Pathol. 2006, 59, 1133–1150. [Google Scholar] [CrossRef] [PubMed]
- Steuer, A.E.; Stewart, J.C.; Barker, V.D.; Adams, A.A.; Nielsen, M.K. Cytokine and Goblet Cell gene expression in equine cyathostomin infection and larvicidal anthelmintic therapy. Parasite Immunol. 2020, 42, e12709. [Google Scholar] [CrossRef]
- Rieder, F.; Brenmoehl, J.; Leeb, S.; Schölmerich, J.; Rogler, G. Wound healing and fibrosis in intestinal disease. Gut 2007, 56, 130–139. [Google Scholar] [CrossRef] [PubMed]
- Hopster-Iversen, C.; Hopster, K.; Staszyk, C.; Rohn, K.; Freeman, D.; Rötting, A.K. Influence of mechanical manipulations on the local inflammatory reaction in the equine colon. Equine Vet. J. Suppl. 2011, 39, 1–7. [Google Scholar] [CrossRef] [PubMed]
- Day, M.J.; Bilzer, T.; Mansell, J.; Wilcock, B.; Hall, E.J.; Jergens, A.; Minami, T.; Willard, M.; Washabau, R. World Small Animal Veterinary Association Gastrointestinal Standardization Group. Histopathological standards for the diagnosis of gastrointestinal inflammation in endoscopic biopsy samples from the dog and cat: A report from the World Small Animal Veterinary Association Gastrointestinal Standardization Group. J. Comp. Pathol. 2008, 138 (Suppl. 1), S1–S43. [Google Scholar] [PubMed]





| Infiltration Degree | Cell Type | |||||
|---|---|---|---|---|---|---|
| Lymphocytes | Plasma Cells | Neutrophils | Eosinophils | Macrophages | Mott Cells | |
| mild | 9 (15%) | 11 (18.3%) | 28 (46.6%) | 33 (55%) | - | - |
| moderate | 40 (66.6%) | 40 (66.6%) | 5 (8.3%) | 1 (1.6%) | 2 (3.3%) | 3 (5%) |
| marked | 9 (15%) | 8 (13.3%) | 2 (3.3%) | 4 (6.6%) | - | - |
| SUM | 58 (96.6%) | 59 (98.2%) | 35 (58.2%) | 38 (62.3%) | 2 (3.3%) | 3 (5%) |
| Infiltration Degree | Lymphocytes | Plasma Cells | Neutrophils | Eosinophils |
|---|---|---|---|---|
| mild | 1 (1.6%) | - | 1 (1.6%) | 4 (6.6%) |
| moderate | 3 (5%) | 3 (5%) | 1 (1.6%) | 1 (1.6%) |
| marked | - | 1 (1.6%) | - | - |
| SUM | 4 (6.6%) | 4 (6.6%) | 2 (3.2%) | 5 (8.2%) |
| Infiltration Degree | Lymphocytes | Plasma Cells | Neutrophils | Eosinophils | Mott Cells |
|---|---|---|---|---|---|
| mild | - | - | 8 (47%) | 3 (17.6%) | - |
| moderate | 14 (82.3%) | 14 (82.3%) | - | 14 (82.3%) | 2 (11.8%) |
| marked | 3 (17.6%) | 3 (17.6%) | - | - | - |
| SUM | 17 (100%) | 17 (100%) | 8 (47%) | 17 (100%) | 2 (11.8%) |
| Infiltration Degree | Lymphocytes | Plasma Cells | Neutrophils | Eosinophils |
|---|---|---|---|---|
| mild | 2 (11.8%) * | - | 5 (29.4%) | 9 (52.9%) * |
| moderate | 10 (58.8%) | 10 (58.8%) | - | 3 (17.6%) |
| marked | 2 (11.8%) | 2 (11.8%) | - | 2 (11.8%) |
| SUM | 14 (82.4%) | 12 (70.6) | 5 (29.4%) | 14 (82.4%) |
| Duodenal Biopsy | Rectal Biopsy | p | |
|---|---|---|---|
| Albumin g/L (mean, SD) | 30.6 (4.42) | 22.7 (9.60) | p = 0.053 |
| Total protein g/L (mean, SD) | 63.6 (7.58) | 54.1 (12.87) | p = 0.044 |
| n | 22 | 7 | nd |
Publisher’s Note: MDPI stays neutral with regard to jurisdictional claims in published maps and institutional affiliations. |
© 2022 by the authors. Licensee MDPI, Basel, Switzerland. This article is an open access article distributed under the terms and conditions of the Creative Commons Attribution (CC BY) license (https://creativecommons.org/licenses/by/4.0/).
Share and Cite
Siwińska, N.; Żak-Bochenek, A.; Paszkowska, M.; Karczewski, M.; Długopolska, D.; Haider, W. Retrospective Evaluation of the Most Frequently Observed Histological Changes in Duodenal and Rectal Mucosal Biopsies in Horses with Recurrent Colic. Animals 2022, 12, 3527. https://doi.org/10.3390/ani12243527
Siwińska N, Żak-Bochenek A, Paszkowska M, Karczewski M, Długopolska D, Haider W. Retrospective Evaluation of the Most Frequently Observed Histological Changes in Duodenal and Rectal Mucosal Biopsies in Horses with Recurrent Colic. Animals. 2022; 12(24):3527. https://doi.org/10.3390/ani12243527
Chicago/Turabian StyleSiwińska, Natalia, Agnieszka Żak-Bochenek, Marzena Paszkowska, Maciej Karczewski, Dorota Długopolska, and Wolfram Haider. 2022. "Retrospective Evaluation of the Most Frequently Observed Histological Changes in Duodenal and Rectal Mucosal Biopsies in Horses with Recurrent Colic" Animals 12, no. 24: 3527. https://doi.org/10.3390/ani12243527
APA StyleSiwińska, N., Żak-Bochenek, A., Paszkowska, M., Karczewski, M., Długopolska, D., & Haider, W. (2022). Retrospective Evaluation of the Most Frequently Observed Histological Changes in Duodenal and Rectal Mucosal Biopsies in Horses with Recurrent Colic. Animals, 12(24), 3527. https://doi.org/10.3390/ani12243527

