Detection of Trypanosoma Infection in Dromedary Camels by Using Different Diagnostic Techniques in Northern Oman
Abstract
:Simple Summary
Abstract
1. Introduction
2. Materials and Methods
2.1. Study Area and Sampling Collection
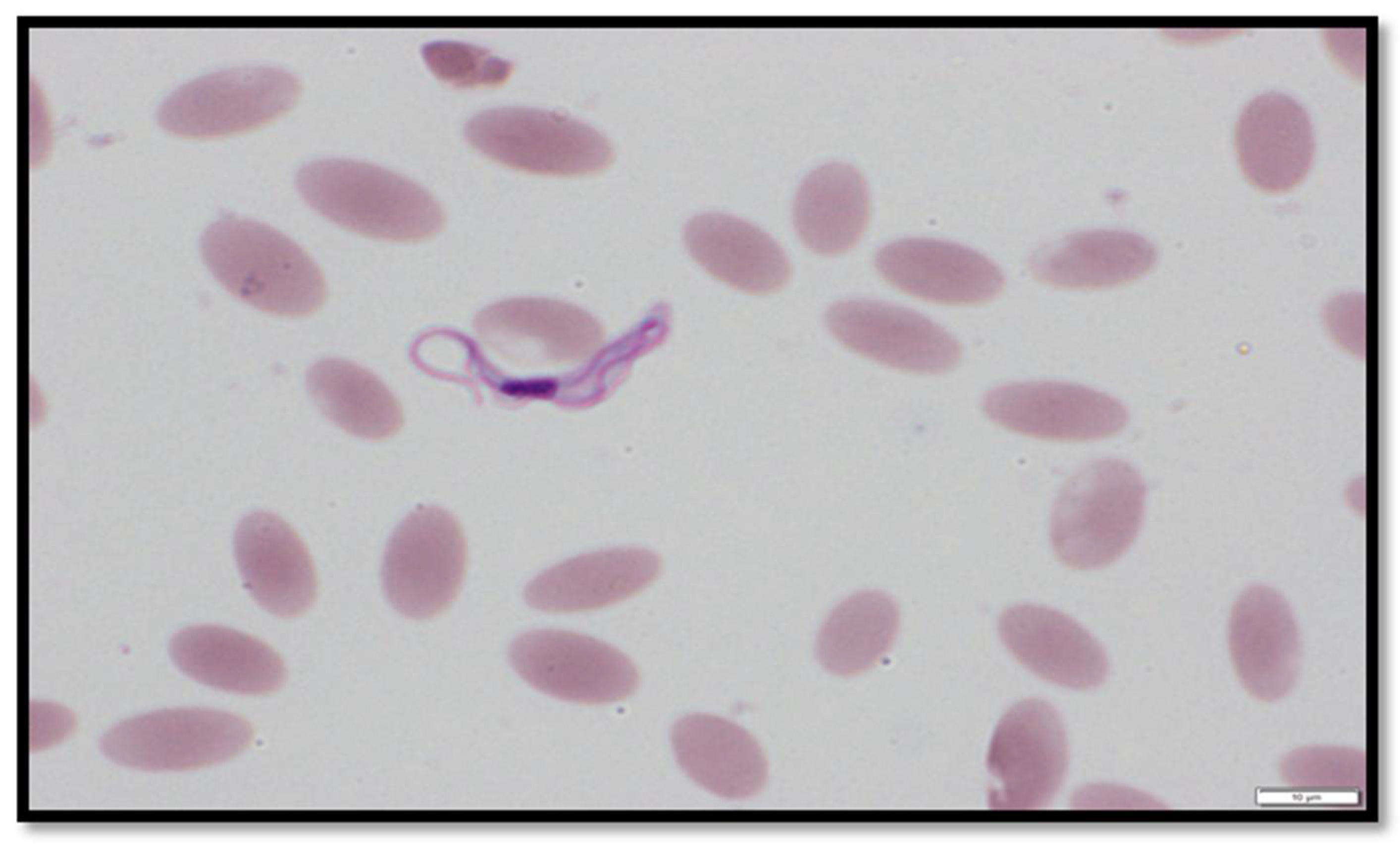
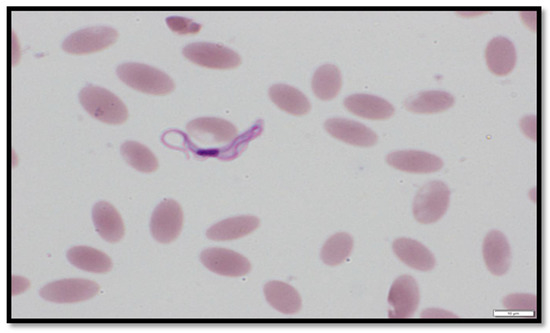
2.2. Examination of Trypanosome Using a Thin Peripheral Blood Smear
2.3. Molecular Analysis
2.4. Cleaning up the PCR Product
2.5. Sequence Reaction
2.6. Bioinformatics
2.7. Statistical Analysis
3. Results
4. Discussion
5. Conclusions
Author Contributions
Funding
Institutional Review Board Statement
Informed Consent Statement
Data Availability Statement
Acknowledgments
Conflicts of Interest
References
- Hoare, C.A. The Trypanosomes of Mammals. A Zoological Monograph; Blackwell Scientific Publications: Oxford, UK, 1972. [Google Scholar]
- Desquesnes, M.; Dargantes, A.; Lai, D.H.; Lun, Z.R.; Holzmuller, P.; Jittapalapong, S. Trypanosoma evansi and surra: A review and perspectives on transmission, epidemiology and control, impact, and zoonotic aspects. BioMed. Res. Int. 2013, 2013, 321237. [Google Scholar] [CrossRef] [PubMed] [Green Version]
- Gutierrez, C.; Corbera, J.A.; Juste, M.C.; Doreste, F.; Morales, I. An outbreak of abortions and high neonatal mortality associated with Trypanosoma evansi infection in dromedary camels in the Canary Islands. Vet. Parasitol. 2005, 130, 163–168. [Google Scholar] [CrossRef]
- Dakshinkar, N.P.; Powar, R.M.; Shegaokar, V.R.; Dani, V.S.; Kolte, S.W.; Khan, W.A. Aberrant trypansomiasis in human. R. Vet. J. India 2007, 3, 6–7. [Google Scholar]
- Joshi, P.P.; Shegokar, V.R.; Powar, R.M.; Herder, S.; Katti, R.; Salkar, H.R.; Dani, V.S.; Bhargava, A.; Jannin, J.; Truc, P. Human trypanosomiasis caused by Trypanosoma evansi in India: The first case report. Am. J. Trop. Med. Hyg. 2005, 73, 491–495. [Google Scholar] [CrossRef] [PubMed] [Green Version]
- Shegokar, V.R.; Powar, R.M.; Joshi, P.P.; Bhargava, A.; Dani, V.S.; Katti, R.; Zare, V.R.; Khanande, V.D.; Jannin, J.; Truc, P. Human trypanosomiasis caused by Trypanosoma evansi in a village in India: Preliminary serologic survey of the local population. Am. J. Trop. Med. Hyg. 2006, 75, 869–870. [Google Scholar] [CrossRef] [PubMed]
- Reid, S.A.; Husein, A.; Copeman, D.B. Evaluation and improvement of parasitological tests for Trypanosoma evansi infection. Vet. Parasitol. 2001, 102, 291–297. [Google Scholar] [CrossRef]
- Tehseen, S.; Jahan, N.; Qamar, M.F.; Desquesnes, M.; Shahzad, M.I.; Deborggraeve, S.; Büscher, P. Parasitological, serological and molecular survey of Trypanosoma evansi infection in dromedary camels from Cholistan Desert, Pakistan. Parasites Vectors 2015, 8, 415. [Google Scholar] [CrossRef] [Green Version]
- Collins, N.E.; Allsopp, B.A. Theileria parva ribosomal internal transcribed spacer sequences exhibit extensive polymorphism and mosaic evolution: Application to the characterization of parasites from cattle and buffalo. Parasitology 1999, 118, 541–551. [Google Scholar] [CrossRef]
- Fazaeli, A.; Carter, P.E.; Pennington, T.H. Intergenic spacer (IGS) polymorphism: A new genetic marker for differentiation of Toxoplasma gondii strains and Neospora caninum. J. Parasitol. 2000, 86, 716–723. [Google Scholar] [CrossRef]
- Verloo, D.; Magnus, E.; Büscher, P. General expression of RoTat 1.2 variable antigen type in Trypanosoma evansi isolates from different origin. Vet. Parasitol. 2001, 97, 185–191. [Google Scholar] [CrossRef]
- Pruvot, M.; Kamyingkird, K.; Desquesnes, M.; Sarataphan, N.; Jittapalapong, S. A comparison of six primer sets for detection of Trypanosoma evansi by polymerase chain reaction in rodents and Thai livestock. Vet. Parasitol. 2010, 171, 185–193. [Google Scholar] [CrossRef] [PubMed]
- Claes, F.; Radwanska, M.; Urakawa, T.; Majiwa, P.A.O.; Goddeeris, B.; Büscher, P. Variable Surface Glycoprotein RoTat 1.2 PCR as a specific diagnostic tool for the detection of Trypanosoma evansi infections. Kinetoplastid Biol. Dis. 2004, 3. [Google Scholar] [CrossRef] [PubMed] [Green Version]
- Konnai, S.; Mekata, H.; Mingala, C.N.; Abes, N.S.; Gutierrez, C.A.; Herrera, J.R.V.; Dargantes, A.P.; Witola, W.H.; Cruz, L.C.; Inoue, N. Development and application of a quantitative real-time PCR for the diagnosis of Surra in water buffaloes. Infect. Genet. Evol. 2009, 9, 449–452. [Google Scholar] [CrossRef] [PubMed]
- Njiru, Z.K.; Constantine, C.C.; Ndung’u, J.M.; Robertson, I.; Okaye, S.; Thompson, R.C.A.; Reid, S.A. Detection of Trypanosoma evansi in camels using PCR and CATT/T. evansi tests in Kenya. Vet. Parasitol. 2004, 124, 187–199. [Google Scholar] [CrossRef]
- Fikru, R.; Goddeeris, B.M.; Delespaux, V.; Moti, Y.; Tadesse, A.; Bekana, M.; Claes, F.; De Deken, R.; Buscher, P. Widespread occurrence of trypanosoma vivax in bovines of tsetse- as well as non-tsetse- infested regions of Ethiopia: A reason for concern. Vet. Parasitol. 2012, 190, 355–361. [Google Scholar] [CrossRef]
- Masiga, D.K.; Smyth, A.J.; Ayes, P.; Bromidge, T.G.; Gibson, W.C. Sensitive detection of trypanosomes in tsetse flies by DNA amplification. Int. J. Parasitol. 1992, 22, 909–918. [Google Scholar] [CrossRef]
- Hall, T.A. BioEdit: A user-friendly biological sequence alignment editor and analysis program for windos 95/98NT. Nucl. Acids. Ser. 1999, 41, 95–98. [Google Scholar]
- Kumar, S.; Stecher, G.; Li, M.; Knyaz, C.; Tamura, K. MEGA X: Molecular Evolutionary Genetics Analysis across computing platforms. Mol. Biol. Evol. 2018, 35, 1547–1549. [Google Scholar] [CrossRef]
- Tian, Z.; Liu, G.; Xie, J.; Shen, H.; Zhang, L.; Zhang, P.; Luo, J. The internal transcribed spacer 1 (ITS-1), a controversial marker for the genetic diversity of Trypanosoma evansi. Exp. Parasitol. 2011, 129, 303–306. [Google Scholar] [CrossRef]
- Getahun, M.N.; Villinger, J.; Bargul, J.L.; Orone, A.; Ngiela, J.; Ahuya, P.O.; Muema, J.M.; Saini, R.K.; Torto, B.; Masiga, D.K. Molecular characterization of pathogenic African trypanosomes in biting flies and camels in surra-endemic areas outside the tsetse fly belt in Kenya. BioRxiv 2020. [Google Scholar] [CrossRef]
- Pourjafar, M.; Badiei, K.; Sharifiyazdi, H.; Chalmeh, A.; Naghib, M.; Babazadeh, M.; Alavi, A.M.; Joshani-Zadeh, N.H. Genetic characterization and phylogenictic analysis of Trypanosoma Evansi in Iranian dromedary camels. Parasitol. Res. 2013, 112, 899–903. [Google Scholar] [CrossRef] [PubMed]
- Wen, Y.-Z.; Lun, Z.-R.; Zhu, X.-Q.; Hide, G.; Lai, D.-H. Further evidence from SSCP and ITS DNA sequencing support Trypanosoma evansi and Trypanosoma equiperdum as subspecies or even strains of Trypanosoma brucei. Infect. Genet. Evol. 2016, 41, 56–62. [Google Scholar] [CrossRef] [PubMed] [Green Version]
- Khalafalla, R.E.; Al Mawly, J.H. Biometrical and morphological description of Trypanosoma evansi among one-humped camel (Camelus dromedarius) in Oman. J. Saudi Soc. Agric. Sci. 2020, 19, 326–331. [Google Scholar] [CrossRef]
- Srivastava, V.K.; Obeid, H.M.; El Bosaidi, S.M. Trypanosomiasis in camels in the sultanate of Oman. Trop. Anim. Health Prod. 1984, 16, 148. [Google Scholar] [CrossRef] [PubMed]
- Al-Afaleq, A.I.; Elamin, E.A.; Fatani, A.; Homeida, A.G.M. Epidemiological aspects of camel trypanosomosis in Saudi Arabia. J. Camel Pract. Res. 2015, 22, 231–234. [Google Scholar] [CrossRef]
- Alarabi, M.E.M.; Mohamed, Y.O.; Elshafie, E.I.; Alharbi, Y.J.A.; Al-Mekhlafi, H.M. Molecular detection of Trypanosoma evansi in camels (Camelus dromedarius) in southwestern Saudi Arabia. Thai J. Vet. Med. 2019, 49, 93–100. [Google Scholar]
- Al-Taqi, M.M. Characterization of Trypanosoma (Trypanozoon) evansi from dromedary camels in Kuwait by isoenzyme electrophoresis. Vet. Parasitol. 1989, 32, 247–253. [Google Scholar] [CrossRef]
- Derakhshanfar, A.; Mozaffari, A.A.; Zadeh, A.M. An Outbreak of Trypanosomiasis (Surra) in Camels in the Southern Fars Province of Iran: Clinical, Hematological and Pathological Findings. Res. J. Parasitol. 2010, 5, 23–26. [Google Scholar]
- Bennoune, O.; Adili, N.; Amri, K.; Bennecib, L.; Ayachi, A. Trypanosomiasis of camels (Camelus dromedarius) in Algeria: First report. Vet. Res. Forum Int. Q. J. 2013, 4, 273. [Google Scholar]
- Zayed, A.A.; Habeeb, S.M.; Allam, N.A.T.; Ashry, H.M.Z.; Mohamed, A.H.H.; Ashour, A.A.; Taha, H.A. A critical comparative study of parasitological and serological differential diagnostic methods of Trypanosoma evansi infections in some farm animals in Egypt. Am.-Eur. J. Agr. Environ. Sci. 2010, 8, 633–642. [Google Scholar]
- Kassa, T.; Eguale, T.; Chaka, H. Prevalence of camel trypanosomosis and its vectors in Fentale district, South East Shoa Zone, Ethiopia. Vet. Arh. 2011, 81, 611–621. [Google Scholar]
- Al-Rawashdeh, O.F.; Al-Ani, F.K.; Sharrif, L.A.; Al-Qudah, K.M.; Al-Hami, Y.; Frank, N. A survey of camel (Camelus dromedarius) diseases in Jordan. J. Zoo Wildl. Med. 2000, 31, 335–338. [Google Scholar]
- Babeker, E.A.; Elrasoul, Y.M.H. Incidence and treatment of camel trypanosomosis (Guffar) in west Omdurman in Sudan. J. Anim. Feed Res. 2014, 4, 74–82. [Google Scholar]
- Croof, H.I.; Abdalla, H.S.; Ali, N. Assessment of Trypanosoma evansi infection in camels herd from gedariff and kordofan states. J. Vet. Med. Anim. Prod. 2013, 3, 3–27. [Google Scholar]
- Shah, S.R.; Phulan, M.S.; Memon, M.A.; Rind, R.; Bhatti, W.M. Trypanosomes infection in camels. Pak. Vet. J. 2004, 24, 209–210. [Google Scholar]
- Sobia, M.; Mirza, I.S.; Nuzhat, S.; Sonia, T.; Abul, H.; Hafiz, M.A.; Muhammad, D.; Muhammad, F.Q. Prevalence and characterization of Trypanosoma species from livestock of Cholistan desert of Pakistan. Trop. Biomed. 2018, 35, 140–148. [Google Scholar] [PubMed]
- Ereqat, S.; Nasereddin, A.; Al-Jawabreh, A.; Al-Jawabreh, H.; Al-Laham, N.; Abdeen, Z. Prevalence of Trypanosoma evansi in livestock in Palestine. Parasite Vectors 2020, 13, 21. [Google Scholar] [CrossRef]
- Hassan-Kadle, A.A.; Ibrahim, A.M.; Nyingilili, H.S.; Yusuf, A.A.; Vieira, T.S.W.J.; Vieira, R.F.C. Parasitological, serological and molecular survey of camel trypanosomiasis in Somalia. Parasites Vectors 2019, 12, 598. [Google Scholar] [CrossRef] [Green Version]
- Diall, O.; Touré, O.B.; Diarra, B.; Sanogo, Y. Trypanosomiasis and trypanocidal treatments in Ndama calves in a glossina infected area (the ranch of Madina-Diassa in Mali). Rev. D’elevage Med. Vet. Pays Trop. 1992, 45, 155–161. [Google Scholar] [CrossRef]
- Elamin, E.A.; El Bashir, M.O.A.; Saeed, E.M.A. Prevalence and infection pattern of Trypanosoma evansi in camels in mid-eastern Sudan. Trop. Anim. Health Prod. 1998, 30, 107–114. [Google Scholar] [CrossRef]
- Salim, B.; Bakheit, M.A.; Kamau, J.; Nakamura, I.; Sugimoto, C. Molecular epidemiology of camel trypanosomiasis based on ITS1 rDNA and RoTat 1.2 VSG gene in the Sudan. Parasites Vectors 2011, 4, 31. [Google Scholar] [CrossRef] [PubMed]
- Barghash, S.M.; Abou El-Naga, T.R.; El-Sherbeny, E.A.; Darwish, A.M. Prevalence of Trypanosoma Evansi in Maghrabi camels (Camelus dromedarius) in Northern West Coast, Egypt using molecular and parasitological methods. Acta Parasitol. Glob. 2014, 5, 125–132. [Google Scholar]
- Birhanu, H.; Fikru, R.; Said, M.; Kidane, W.; Gebrehiwot, T.; Hagos, A.; Alemu, T.; Dawit, T.; Berkvens, D.; Goddeeris, B.M. Epidemiology of Trypanosoma evansi and Trypanosoma vivax in domestic animals from selected districts of Tigray and Afar regions, Northern Ethiopia. Parasites Vectors 2015, 8, 212. [Google Scholar] [CrossRef] [PubMed] [Green Version]
- Boid, R. Isoenzyme characterization of 15 stocks of Trypanosoma evansi isolated from camels in the Sudan. Trop. Med. Parasitol. 1988, 39, 45–50. [Google Scholar] [PubMed]
- Borst, P.; Fase-Fowler, F.; Gibson, W.C. Kinetoplast DNA of Trypanosoma evansi. Mol. Biochem. Parasitol. 1987, 23, 31–38. [Google Scholar] [CrossRef]
- Ngaira, J.M.; Olembo, N.K.; Njagi, E.N.M.; Ngeranwa, J.J.N. The detection of non-RoTat 1.2 Trypanosoma evansi. Exp. Parasitol. 2005, 110, 30–38. [Google Scholar] [CrossRef]





| Governorate | Primer | Number of Samples | Prevalence (%) | 95% Cl for Prevalence | |
|---|---|---|---|---|---|
| Lower | Upper | ||||
| Al Batinah | ITS-1 | 17 | 4/17 (23.5) | 6.8 | 49.9 |
| Ad Dakhiliyah | 8 | 0/8 (0) | 47.4 | 36.9 * | |
| Ash Sharqiyah | 53 | 19/53 (35.8) | 23.1 | 50.2 | |
| Al Buraimi | 2 | 1/2 (50.0) | 1.7 | 98.8 | |
| Al Dhahirah | 15 | 6/15 (40) | 16.3 | 67.7 | |
| Total | 95 | 30/95 (31.6) | 22.4 | 41.9 | |
| Al Batinah | TBR | 17 | 14/17 (82.4) | 57.0 | 92.2 |
| Ad Dakhiliyah | 8 | 6/8 (75.0) | 35.0 | 97.0 | |
| Ash Sharqiyah | 53 | 42/53 (79.2) | 66.0 | 89.2 | |
| Al Buraimi | 2 | 2/2 (100.0) | 16.0 * | 100.0 | |
| Al Dhahirah | 15 | 14/15 (93.3) | 68.1 | 99.8 | |
| Total | 95 | 78/95 (77.0) | 73.0 | 89.2 | |
| Al Batinah | RoTat 1.2 | 17 | 4/17 (23.6) | 7.0 | 50.0 |
| Ad Dakhiliyah | 8 | 1/8 (12.5) | 0.3 | 52.7 | |
| Ash Sharqiyah | 53 | 2/53 (4.0) | 0.5 | 13.1 | |
| Al Buraimi | 2 | 1/2 (50.0) | 2.0 | 99.0 | |
| Al Dhahirah | 15 | 0/15 (0) | 0 | 22.0 * | |
| Total | 95 | 8/95 (8.4) | 4.0 | 16.0 | |
| Sample No. | Primer | Parasite Species | Host | Accession Number | Identity |
|---|---|---|---|---|---|
| L103 | ITS-1 | Trypanosoma evansi | Whole fly | MH247175 | 100% |
| L98 | ITS-1 | Trypanosoma evansi evansi | Camel | AB551920 | 100% |
| J1 | ITS-1 | Trypanosoma evansi evansi | Camel | FJ712716 | 100% |
| 3215 | ITS-1 | Trypanosoma evansi | Camel | JN896755 | 100% |
| L99 | |||||
| 150 | |||||
| 3215 | ITS-1 | Trypanosoma evansi | Camel | KU552351 | 100% |
| L99 | |||||
| 150 |
| Sample No. | Primer | Parasite Species | Accession Number | Host | Identity |
|---|---|---|---|---|---|
| 150 | RoTat 1.2 | Trypanosoma evansi | KY457409.1 | - | 100% |
| 3215 | Trypanosoma evansi | KY457408.1 | - | 100% | |
| Trypanosoma evansi | MT514514.1 | Cattle | 100% | ||
| Trypanosoma evansi | MT514513.1 | Cattle | 100% |
Publisher’s Note: MDPI stays neutral with regard to jurisdictional claims in published maps and institutional affiliations. |
© 2022 by the authors. Licensee MDPI, Basel, Switzerland. This article is an open access article distributed under the terms and conditions of the Creative Commons Attribution (CC BY) license (https://creativecommons.org/licenses/by/4.0/).
Share and Cite
Al-Kharusi, A.; Elshafie, E.I.; Baqir, S.; Faraz, A.; Al-Ansari, A.; Burger, P.; Mahgoub, O.; Al-Kharousi, K.; Al-Duhli, H.; Al-Sinani, M.; et al. Detection of Trypanosoma Infection in Dromedary Camels by Using Different Diagnostic Techniques in Northern Oman. Animals 2022, 12, 1348. https://doi.org/10.3390/ani12111348
Al-Kharusi A, Elshafie EI, Baqir S, Faraz A, Al-Ansari A, Burger P, Mahgoub O, Al-Kharousi K, Al-Duhli H, Al-Sinani M, et al. Detection of Trypanosoma Infection in Dromedary Camels by Using Different Diagnostic Techniques in Northern Oman. Animals. 2022; 12(11):1348. https://doi.org/10.3390/ani12111348
Chicago/Turabian StyleAl-Kharusi, Amal, Elshafie Ibrahim Elshafie, Senan Baqir, Asim Faraz, Aliya Al-Ansari, Pamela Burger, Osman Mahgoub, Kaadhia Al-Kharousi, Halima Al-Duhli, Mohammed Al-Sinani, and et al. 2022. "Detection of Trypanosoma Infection in Dromedary Camels by Using Different Diagnostic Techniques in Northern Oman" Animals 12, no. 11: 1348. https://doi.org/10.3390/ani12111348
APA StyleAl-Kharusi, A., Elshafie, E. I., Baqir, S., Faraz, A., Al-Ansari, A., Burger, P., Mahgoub, O., Al-Kharousi, K., Al-Duhli, H., Al-Sinani, M., Al-Hatali, R., & Roberts, D. (2022). Detection of Trypanosoma Infection in Dromedary Camels by Using Different Diagnostic Techniques in Northern Oman. Animals, 12(11), 1348. https://doi.org/10.3390/ani12111348

