Ultrasonography Evaluation of Umbilical Structures in Clinically Healthy Donkey Foals during the First Week of Life
Abstract
Simple Summary
Abstract
1. Introduction
2. Materials and Methods
2.1. Animals
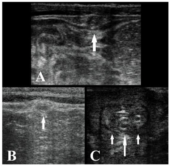
2.2. Ultrasonography Technique
2.3. Statistical Analysis
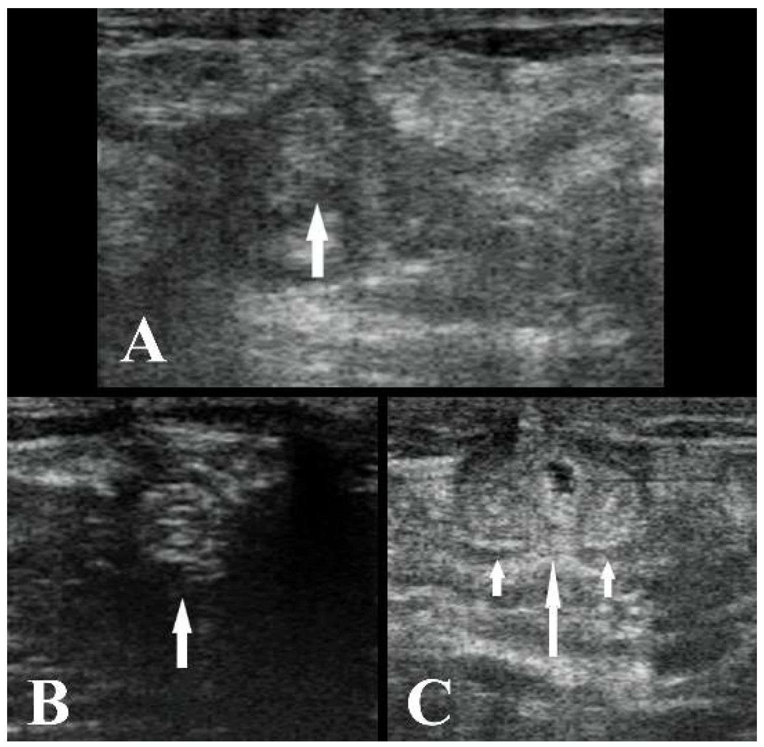
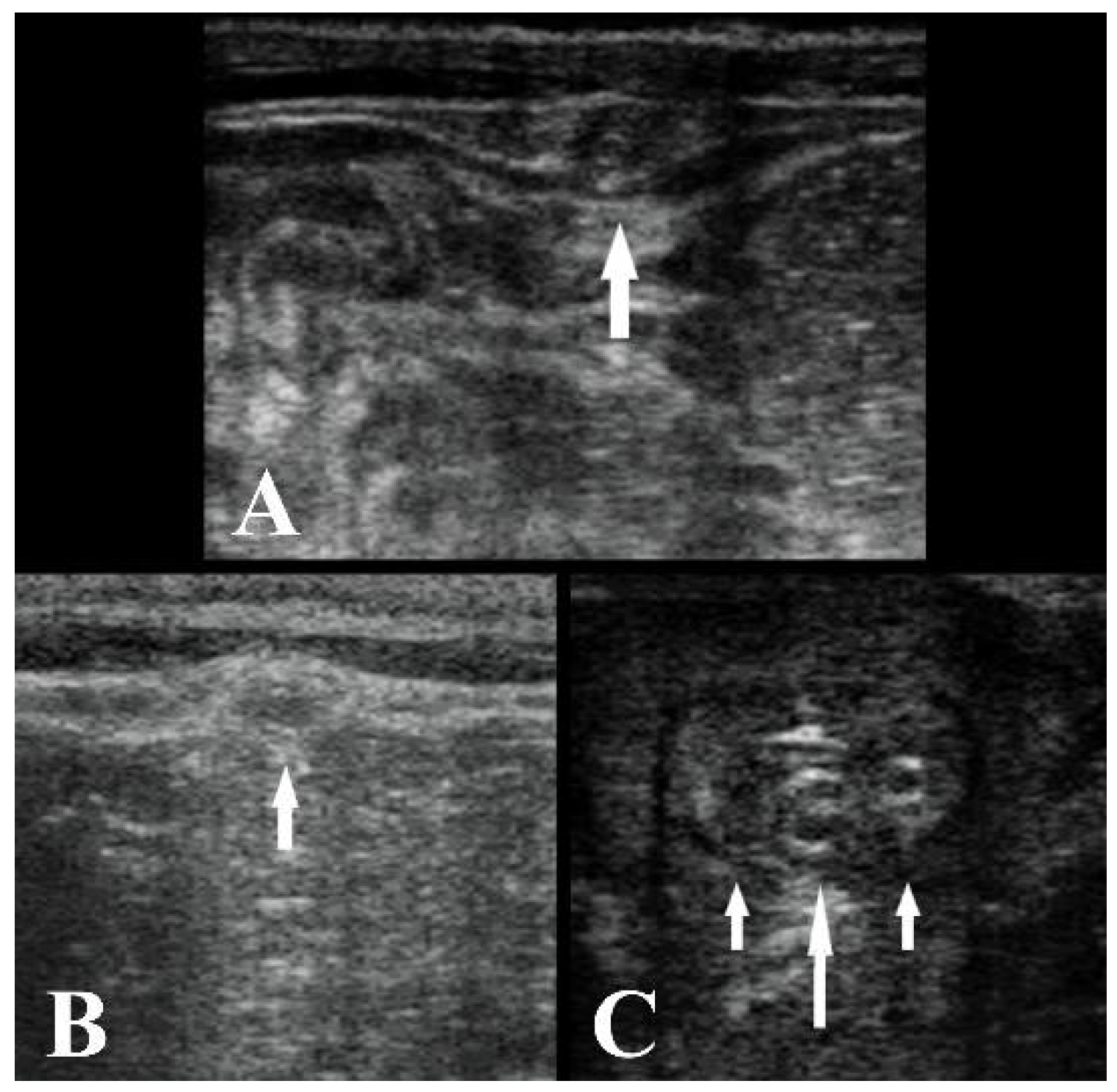
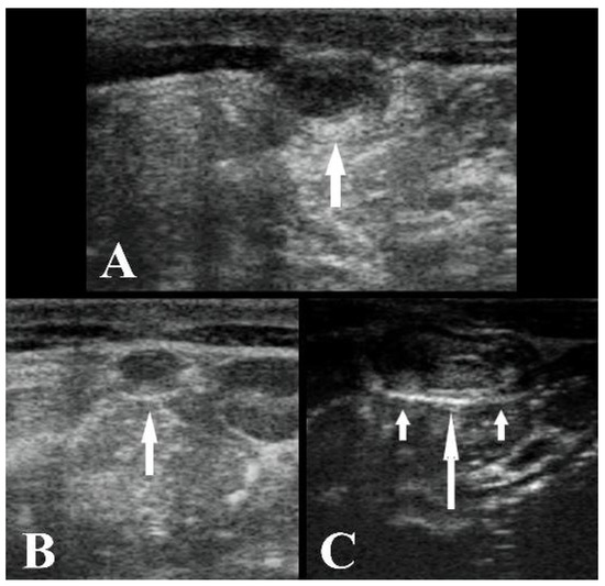
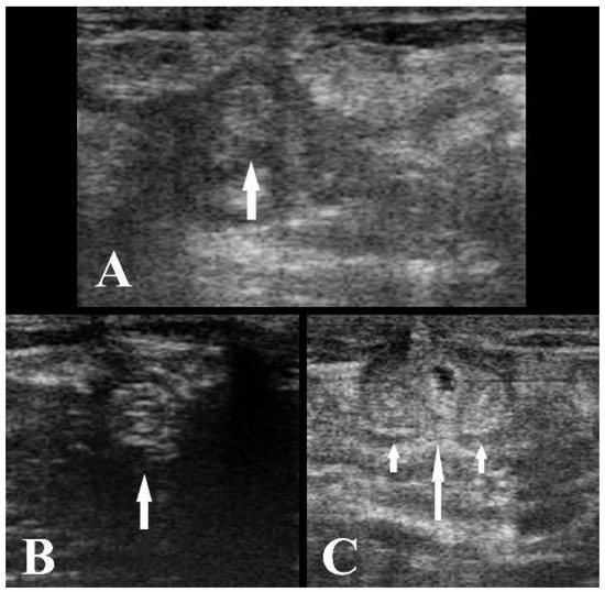
3. Results
4. Discussion
5. Conclusions
Author Contributions
Funding
Institutional Review Board Statement
Data Availability Statement
Conflicts of Interest
References
- Carluccio, A.; Panzani, S.; Tosi, U.; Riccaboni, P.; Contri, A.; Veronesi, M.C. Morphological features of the placenta at term in the Martina Franca donkey. Theriogenology 2008, 69, 918–924. [Google Scholar] [CrossRef]
- El-Shafaey, E.A.; Salem, M.G.; Mosbah, E.; Zaghloul, A.E. Morphometric evaluation of relevant radiographic parameters of the forefeet of clinically normal donkeys (Equus asinus). J. Hell. Vet. Med. Soc. 2017, 68, 467–478. [Google Scholar] [CrossRef][Green Version]
- Rota, A.; Sgorbini, M.; Panzani, D.; Bonelli, F.; Baragli, P.; Ille, N.; Gatta, D.; Sighieri, C.; Casini, L.; Maggiorelli, M.M.; et al. Effect of housing system on reproductive behaviour and on some endocrinological and seminal parameters of donkey stallion. Reprod. Dom. Anim. 2018, 53, 40–47. [Google Scholar] [CrossRef]
- Barrandeguy, M.E.; Carossino, M. Infectious diseases in donkeys and mules: An overview and update. J. Equine Vet. Sci. 2018, 65, 98–105. [Google Scholar] [CrossRef]
- Sgorbini, M.; Veronesi, F.; Fratini, M.; Laus, F. Tick-borne diseases and gastric ulcer in the donkey. J. Equine Vet. Sci. 2018, 65, 62–65. [Google Scholar] [CrossRef]
- Papini, R.A.; Orsetti, C.; Sgorbini, M. A controlled study on efficacy and egg reappearance period of Ivermectin in donkeys naturally infected with small strongyles. Helminthologia 2020, 52, 163–170. [Google Scholar] [CrossRef]
- Papini, R.A.; Orsetti, C.; Sgorbini, M. Evaluation of a marked polyherbal dewormer against intestinal strongyles in naturally infected donkeys. Helminthologia 2020, 57, 78–82. [Google Scholar] [CrossRef]
- Bonelli, F.; Rota, A.; Aurich, C.; Ille, N.; Camillo, F.; Panzani, D.; Sgorbini, M. Determination of salivary cortisol in donkey stallions. J. Equine Vet. Sci. 2019, 77, 68–71. [Google Scholar] [CrossRef]
- Bonelli, F.; Nocera, I.; Conte, G.; Panzani, D.; Sgorbini, M. Relation between APGAR scoring and physical parameters in 44 newborn Amiata foals at birth. Theriogenology 2019, 142, 310–314. [Google Scholar] [CrossRef]
- Bazzano, M.; McLean, A.; Tesei, B.; Gallina, E.; Laus, F. Selenium and Vitamin E Concentrations in a Healthy Donkey Population in Central Italy. J. Equine Vet. Sci. 2019, 78, 112–116. [Google Scholar] [CrossRef]
- Nocera, I.; Aliboni, B.; Puccinelli, C.; Pietrini, G.; Sgorbini, M.; Citi, S.; Ricardi, G. Radiographic parameters of the digit in a cohort population of Amiata donkeys. Open Vet. J. 2020, 10, 354–362. [Google Scholar] [CrossRef] [PubMed]
- Nocera, I.; Aliboni, B.; Sgorbini, M.; Gracia-Calvo, L.A.; Conte, G.; Ben David, L.; Citi, S. Ultrasonographic appearance of elbow joints in a population of Amiata donkeys. J. Equine Vet. Sci. 2020, 94, 103242. [Google Scholar] [CrossRef] [PubMed]
- Turini, L.; Bonelli, F.; Nocera, I.; Meucci, V.; Conte, G.; Sgorbini, M. Evaluation of different methods to estimate the transfer of immunity in donkey foals fed with colostrum of good IgG quality: A preliminary study. Animals 2021, 11, 507. [Google Scholar] [CrossRef]
- Turini, L.; Nocera, I.; Bonelli, F.; Mele, M.; Sgorbini, M. Evaluation of Brix refractometry for the estimation of colostrum quality in Jennies. J. Equine Vet. Sci. 2020, 92, 103172. [Google Scholar] [CrossRef]
- Crisci, A.; Rota, A.; Panzani, D.; Sgorbini, M.; Ousey, J.C.; Camillo, F. Clinical, ultrasonographic, and endocrinological studies on donkey pregnancy. Theriogenology 2014, 81, 275–283. [Google Scholar] [CrossRef] [PubMed]
- Bonelli, F.; Busechian, S.; Meucci, V.; Caporrino, G.; Briganti, A.; Rueca, F.; Zappulla, F.; Ferini, E.; Ghiandai, L.; Sgorbini, M. pHyloGASTRO in the treatment of Equine Gastric Ulcer lesions. J. Equine Vet. Sci. 2016, 46, 69–72. [Google Scholar] [CrossRef][Green Version]
- Carluccio, A.; Noto, F.; Parrillo, S.; Contri, A.; De Amicis, I.; Gloria, A.; Robbea, D.; Veronesi, M.C. Transrectal ultrasonographic evaluation of combined utero-placental thickness during the last half of pregnancy in Martina Franca donkeys. Theriogenology 2016, 86, 2296–2301. [Google Scholar] [CrossRef] [PubMed]
- Sgorbini, M.; Bonelli, F.; Rota, A.; Baragli, P.; Marchetti, V.; Corazza, M. Hematology and clinical chemistry in Amiata donkey foals from birth to 2 months of age. J. Equine Vet. Sci. 2013, 33, 35–39. [Google Scholar] [CrossRef]
- Veronesi, M.C.; Gloria, A.; Panzani, S.; Sfirro, M.P.; Carluccio, A.; Contri, A. Blood analysis in newborn donkeys: Hematology, biochemistry, and blood gases analysis. Theriogenology 2014, 82, 294–303. [Google Scholar] [CrossRef]
- Carluccio, A.; Contri, A.; Gloria, A.; Veronesi, M.C.; Sfirro, M.P.; Parrillo, S.; Robbe, D. Correlation between some arterial and venous blood gas parameters in healthy newborn Martina Franca donkey foals from birth to 96 hours of age. Theriogenology 2017, 87, 173–178. [Google Scholar] [CrossRef]
- Lavan, R.P.; Craychee, T.; Madigan, J.E. Pratical method of umbilical ultrasonographic examination of one-week old foals: The procedure and the interpretation of age-correlated size range of umbilical structures. J. Equine Vet. Sci. 1997, 17, 96–101. [Google Scholar] [CrossRef]
- Magata, F.; Ishii, M.; Oikawa, E.; Furuoka, H.; Yamada, K.; Sasaki, N.; Shimizu, S.; Inokuma, H. Purulent necrotic dislocation of the hip joint associated with umbilical infection in a foal. J. Equine Sci. 2010, 21, 17–20. [Google Scholar] [CrossRef]
- Magri, M. Ultrasonography of umbilical structures. In Atlas of Equine Ultrasonography, 1st ed.; Kidd, J.A., Lu, K.G., Frazer, M.L., Eds.; John Wiley & Sons: Oxford, UK, 2014; pp. 483–493. [Google Scholar]
- Magri, M. Ultrasonography of the umbilical remnant in foals. Practice 2018, 40, 301–305. [Google Scholar] [CrossRef]
- Reef, V.B.; Collatos, C. Ultrasonography of umbilical structures in clinically normal foals. Am. J. Vet. Res. 1998, 49, 2143–2146. [Google Scholar]
- Franklin, R.P.; Ferrell, E.A. How to perform umbilical sonograms in the neonate. In Proceedings of the Annual Convention of the AAEP, Orlando, FL, USA, 8 December 2002; Volume 48, pp. 261–265. [Google Scholar]
- Elce, Y.A. Infections in the Equine abdomen and pelvis: Perirectal abscesses, umbilical infections and peritonitis. Vet. Clin. Equine 2006, 22, 419–436. [Google Scholar] [CrossRef]
- Ortega, J.; Daft, B.; Assis, R.A.; Kinde, H.; Anthenill, L.; Odani, J.; Uzal, F.A. Infection of internal umbilical remnant in foals by Clostridium sordelli. Vet. Pathol. 2007, 44, 269–275. [Google Scholar] [CrossRef]
- Corley, K. Procedures in the neonatal foal. In The Equine Hospital Manual; Corley, K., Stephen, J., Eds.; Blackwell Publishing: Chichester, UK, 2008; pp. 120–146. [Google Scholar]
- McCoy, A.M.; Lopp, C.T.; Kooy, S.; Migliorisi, A.C.; Austin, S.M.; Wilkins, P.A. Normal regression of the internal umbilical remnant structures in Standardbred foals. Equine Vet. J. 2020, 52, 876–883. [Google Scholar] [CrossRef]
- Watson, E.; Mahaffey, M.B.; Crowell, W.; Selcer, B.A.; Morris, D.D.; Seginak, L. Ultrasonography of the umbilical structures in clinically normal calves. Am. J. Vet. Res. 1994, 55, 773–780. [Google Scholar] [PubMed]
- Guerri, G.; Vignoli, M.; Palombi, C.; Monaci, M.; Petrizzi, L. Ultrasonographic evaluation of umbilical structures in Holstein calves: A comparison between healthy calves and calves affected by umbilical disorders. J. Dairy Sci. 2020, 103, 2578–2590. [Google Scholar] [CrossRef]
- Wilkins, P.A. Disorders of foals. In Equine Internal Medicine, 4th ed.; Reed, S.M., Bayly, W.M., Sellon, D.C., Eds.; Elsevier Health Sciences: St. Luis, MO, USA, 2017; pp. 1365–1459. [Google Scholar]
- Sprayberry, K.A. Ultrasonographic examination of the equine neonate: Thorax and abdomen. Vet. Clin. Equine 2015, 31, 515–543. [Google Scholar] [CrossRef] [PubMed]
- Lischer, C.J.; Steiner, A. Ultrasonography of the umbilicus in calves. Part 1: Ultrasonographic description of umbilical involution in clinically healthy calves. Schweiz Arch. Tierheilkd. 1993, 135, 221–230. [Google Scholar] [PubMed]



| Parameters | T0 cm | T1 cm | T2 cm |
|---|---|---|---|
| Right Artery | 0.63 (0.44–1.58) | 0.68 (0.44–1.77) | 0.73 (0.34–1.72) |
| Left Artery | 0.71 (0.43–1.96) | 0.72 (0.53–1.70) | 0.73 (0.46–1.90) |
| Urachus | 0.61 (0.46–1.12) | 0.87 (0.58–2.46) | 0.78 (0.55–3.30) |
| Urachus–Arteries Complex | 2.21 (1.86–3.46) | 2.16 (0.90–3.01) | 2.24 (0.54–3.01) |
| UV cranial umbilicus | 0.89 (0.47–1.83) | 0.73 (0.30–2.01) | 0.79 (0.34–1.87) |
| UV xiphoid cartilage | 0.88 (0.52–1.72) | 0.67 (0.42–2.11) | 0.62 (0.31–1.87) |
Publisher’s Note: MDPI stays neutral with regard to jurisdictional claims in published maps and institutional affiliations. |
© 2021 by the authors. Licensee MDPI, Basel, Switzerland. This article is an open access article distributed under the terms and conditions of the Creative Commons Attribution (CC BY) license (https://creativecommons.org/licenses/by/4.0/).
Share and Cite
Vitale, V.; Nocera, I.; Sgorbini, M.; Aliboni, B.; Laus, F.; Mannini, A.; Bazzano, M. Ultrasonography Evaluation of Umbilical Structures in Clinically Healthy Donkey Foals during the First Week of Life. Animals 2021, 11, 1650. https://doi.org/10.3390/ani11061650
Vitale V, Nocera I, Sgorbini M, Aliboni B, Laus F, Mannini A, Bazzano M. Ultrasonography Evaluation of Umbilical Structures in Clinically Healthy Donkey Foals during the First Week of Life. Animals. 2021; 11(6):1650. https://doi.org/10.3390/ani11061650
Chicago/Turabian StyleVitale, Valentina, Irene Nocera, Micaela Sgorbini, Benedetta Aliboni, Fulvio Laus, Aurora Mannini, and Marilena Bazzano. 2021. "Ultrasonography Evaluation of Umbilical Structures in Clinically Healthy Donkey Foals during the First Week of Life" Animals 11, no. 6: 1650. https://doi.org/10.3390/ani11061650
APA StyleVitale, V., Nocera, I., Sgorbini, M., Aliboni, B., Laus, F., Mannini, A., & Bazzano, M. (2021). Ultrasonography Evaluation of Umbilical Structures in Clinically Healthy Donkey Foals during the First Week of Life. Animals, 11(6), 1650. https://doi.org/10.3390/ani11061650

