Histological and Immunohistochemical Features of Trichoblastoma in a Sarda Breed Sheep
Simple Summary
Abstract
1. Introduction
2. Materials and Methods
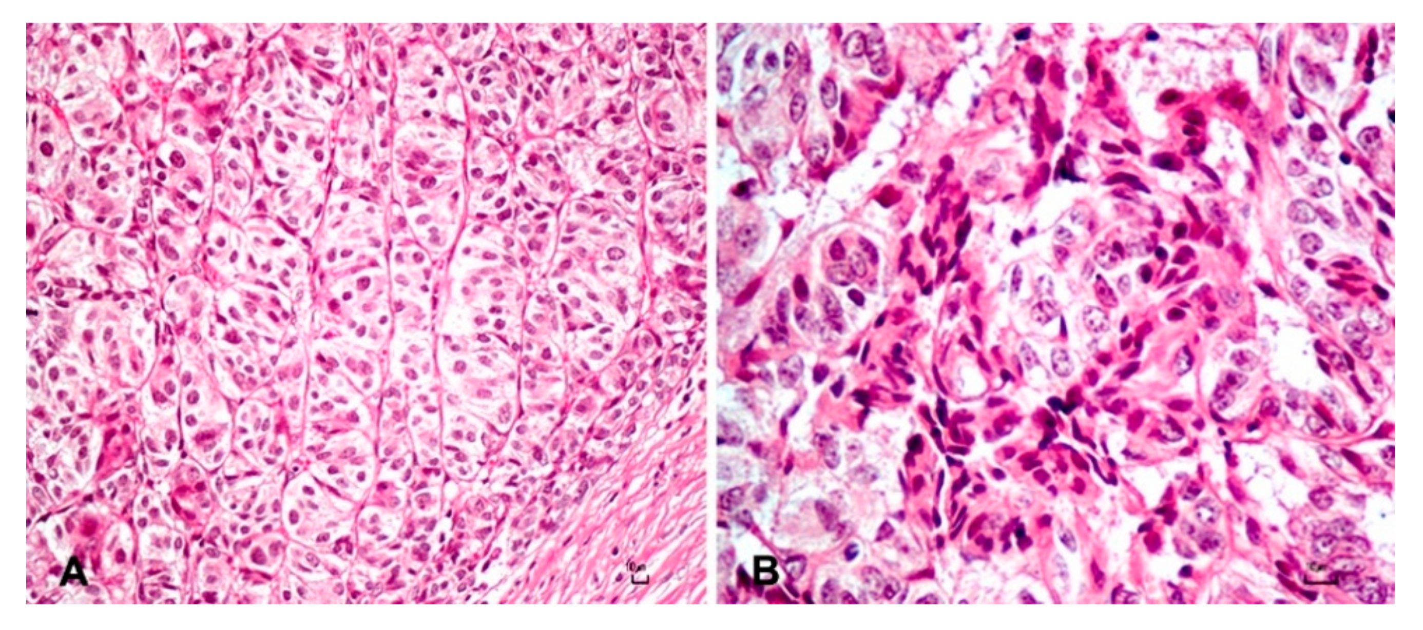
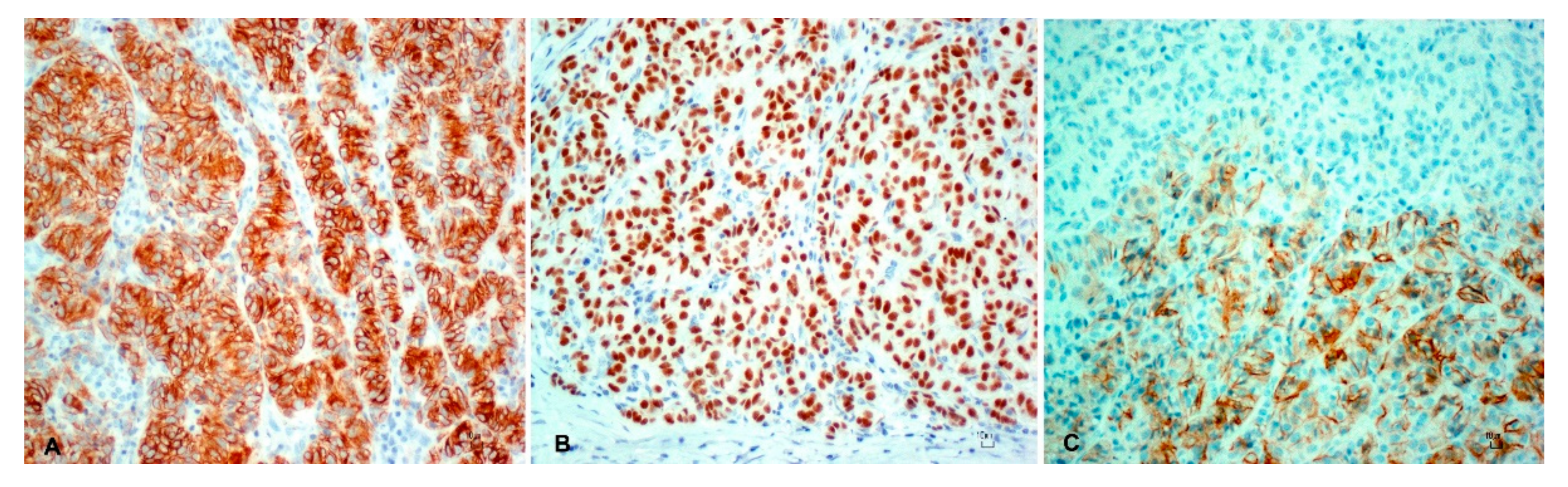
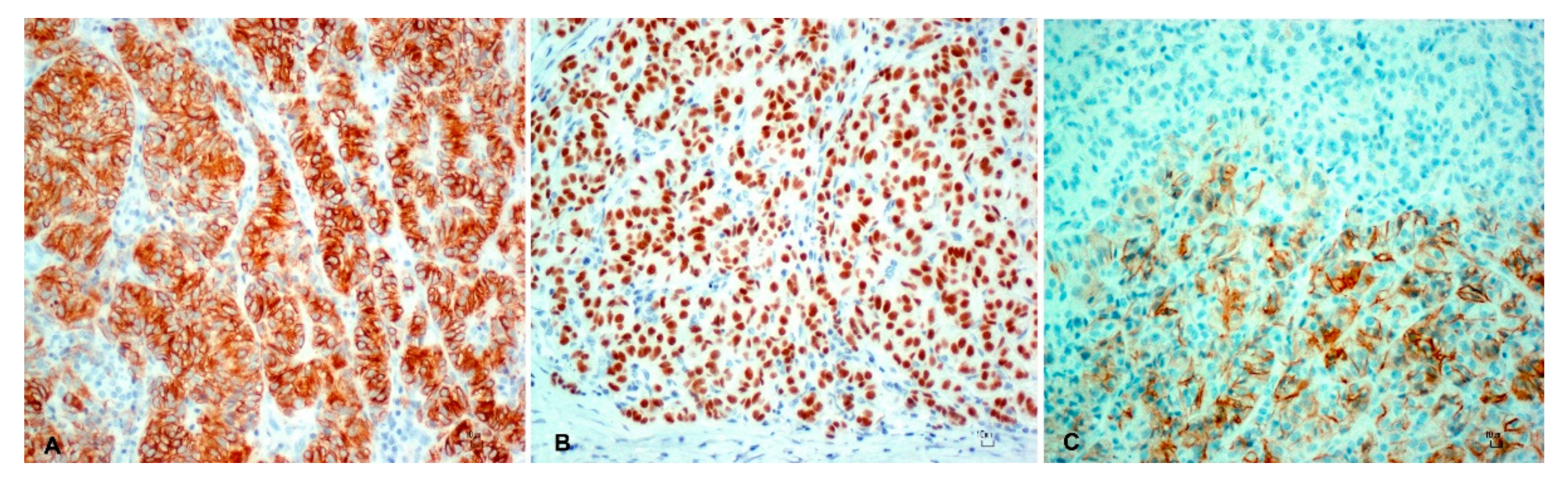
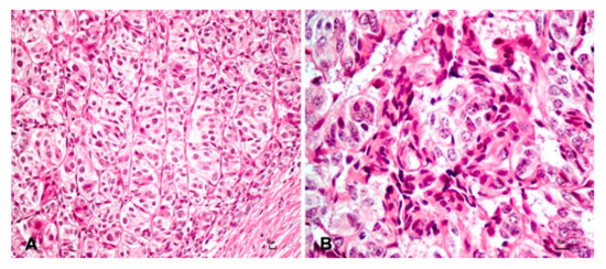
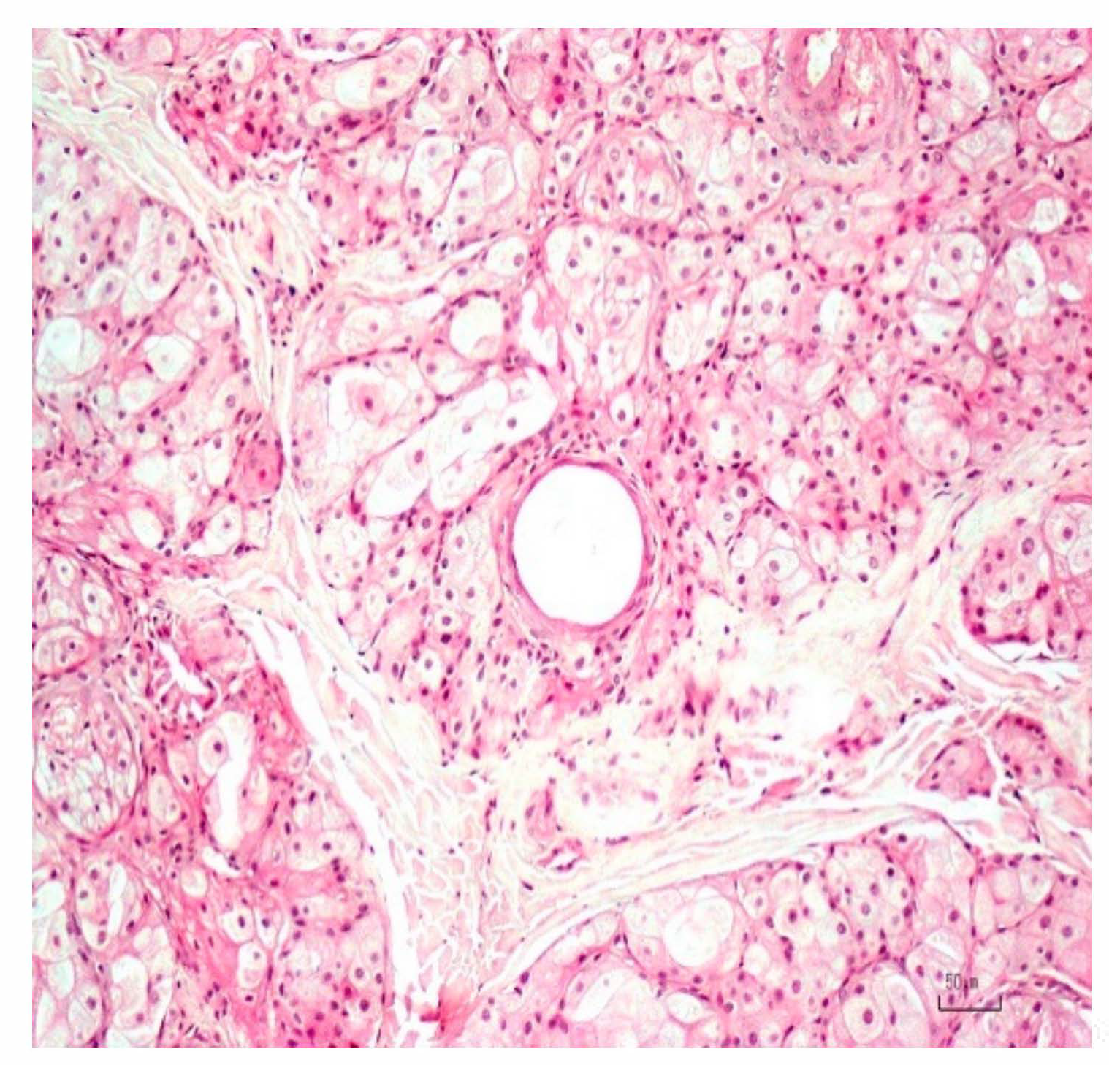
3. Results
4. Discussion
5. Conclusions
Author Contributions
Funding
Acknowledgments
Conflicts of Interest
References
- Ahmed, A.F.; Hassanein, K.M.A. Ovine and caprine cutaneous and ocular neoplasms. Small Rumin. Res. 2012, 106, 189–200. [Google Scholar] [CrossRef]
- Löhr, C.V. One hundred two tumors in 100 goats (1987–2011). Vet. Pathol. 2013, 50, 668–675. [Google Scholar] [CrossRef] [PubMed]
- Morandi, F.; Benazzi, C.; Simoni, P. Adenocarcinoma of apocrine sweat glands in a mouflon (Ovis musimon). J. Vet. Diagn. Invest. 2005, 17, 389–392. [Google Scholar] [CrossRef] [PubMed]
- Alberti, A.; Pirino, S.; Pintore, F.; Addis, M.F.; Chessa, B.; Cacciotto, C.; Cubeddu, T.; Anfossi, A.; Benenati, G.; Coradduzza, E.; et al. Ovis aries Papillomavirus 3: A prototype of a novel genus in the family Papillomaviridae associated with ovine squamous cell carcinoma. Virology 2010, 407, 352–359. [Google Scholar] [CrossRef] [PubMed]
- Vitiello, V.; Burrai, G.P.; Agus, M.; Anfossi, A.G.; Alberti, A.; Antuofermo, E.; Rocca, S.; Cubeddu, T.; Pirino, S. Ovis aries Papillomavirus 3 in Ovine Cutaneous Squamous Cell Carcinoma. Vet. Pathol. 2017, 54, 775–782. [Google Scholar] [CrossRef] [PubMed]
- Matovelo, J.A.; Malago, J.J.; Maselle, R.M.; Gwamaka, M. Gross and microscopic pathological findings in a sebaceous gland carcinoma of the perineum and vulva in a Friesian cow. Vet. Rec. 2005, 156, 612–613. [Google Scholar] [CrossRef] [PubMed]
- Abramo, F.; Pratesi, F.; Cantile, C.; Sozzi, S.; Poli, A. Survey of canine and feline follicular tumours and tumour-like lesions in central Italy. J. Small Anim. Pract. 1999, 40, 479–481. [Google Scholar] [CrossRef] [PubMed]
- Kok, M.K.; Chambers, J.K.; Tsuboi, M.; Nishimura, R.; Tsujimoto, H.; Uchida, K.; Nakayama, H. Retrospective study of canine cutaneous tumors in Japan, 2008–2017. J. Vet. Med. Sci. 2019, 81, 1133–1143. [Google Scholar] [CrossRef] [PubMed]
- Kok, M.K.; Chambers, J.K.; Ushio, N.; Watamori, A.; Miwa, Y.; Nakayama, H.; Uchida, K. Histopathological and Immunohistochemical Study of Trichoblastoma in the Rabbit. J. Comp. Pathol. 2017, 157, 126–135. [Google Scholar] [CrossRef] [PubMed]
- Marušić, Z.; Calonje, E. An overview of hair follicle tumours. Diagn. Histopathol. 2020, 26, 128–134. [Google Scholar] [CrossRef]
- Antuofermo, E.; Cocco, R.; Borzacchiello, G.; Burrai, G.P.; Meloni, F.; Bonelli, P.; Pirino, S.; Cossu-Rocca, P.; Bosincu, L. Bilateral ovarian malignant mixed Mullerian tumor in a dog. Vet. Pathol. 2009, 46, 453–456. [Google Scholar] [CrossRef] [PubMed]
- Tore, G.; Dore, G.M.; Cacciotto, C.; Accardi, R.; Anfossi, A.G.; Bogliolo, L.; Pittau, M.; Pirino, S.; Cubeddu, T.; Tommasino, M.; et al. Transforming properties of ovine papillomaviruses E6 and E7 oncogenes. Vet. Microbiol. 2019, 230, 14–22. [Google Scholar] [CrossRef] [PubMed]
- Goldschmidt, M.; Munday, J.S.; Scruggs, J.L.; Klopfleisch, R.; Kiupel, M. Surgical Pathology of Tumors of Domestic Animals: Volume 1. Epithelial Tumors of the Skin, 3rd ed.; Davis-Thompson DVM Foundation: Gurnee, IL, USA, 2018; pp. 25–29. [Google Scholar]
- Goldschmidt, M.H.; Goldschmidt, K.H. Epithelial and Melanocytic Tumors of the Skin. In Tumors in Domestic Animals; John Wiley & Sons, Ltd.: Hoboken, NJ, USA, 2016; pp. 88–141. ISBN 978-1-119-18120-0. [Google Scholar]
- Gross, T.L.; Ihrke, P.J.; Walder, E.J.; Affolter, V.K. Follicular tumors. In Skin Diseases of the Dog and Cat: Clinical and Histopathologic Diagnosis; Blackwell Science Ltd.: Hoboken, NJ, USA, 2005; pp. 604–640. ISBN 978-0-470-75247-0. [Google Scholar]
- Mineshige, T.; Yasuno, K.; Sugahara, G.; Tomishita, Y.; Shimokawa, N.; Kamiie, J.; Nishifuji, K.; Shirota, K. Trichoblastoma with abundant plump stromal cells in a dog. J. Vet. Med. Sci. 2014, 76, 735–739. [Google Scholar] [CrossRef] [PubMed]
- Fuertes, L.; Santonja, C.; Kutzner, H.; Requena, L. Immunohistochemistry in dermatopathology: A review of the most commonly used antibodies (part I). Actas Dermo Sifiliográficas 2013, 104, 99–127. [Google Scholar] [CrossRef]
- Kok, M.K.; Chambers, J.K.; Ong, S.M.; Nakayama, H.; Uchida, K. Hierarchical Cluster Analysis of Cytokeratins and Stem Cell Expression Profiles of Canine Cutaneous Epithelial Tumors. Vet. Pathol. 2018, 55, 821–837. [Google Scholar] [CrossRef] [PubMed]
- Vega Memije, M.E.; Luna, E.M.; de Almeida, O.P.; Taylor, A.M.; Cuevas González, J.C. Immunohistochemistry panel for differential diagnosis of Basal cell carcinoma and trichoblastoma. Int. J. Trichology 2014, 6, 40–44. [Google Scholar] [CrossRef] [PubMed]
- Panse, G.; McNiff, J.M.; Ko, C.J. Basal cell carcinoma: CD56 and cytokeratin 5/6 staining patterns in the differential diagnosis with Merkel cell carcinoma. J. Cutan. Pathol. 2017, 44, 553–556. [Google Scholar] [CrossRef] [PubMed]
- Bagnasco, G.; Properzi, R.; Porto, R.; Nardini, V.; Poli, A.; Abramo, F. Feline cutaneous neuroendocrine carcinoma (Merkel cell tumour): Clinical and pathological findings. Vet. Dermatol. 2003, 14, 111–115. [Google Scholar] [CrossRef] [PubMed]
- Joiner, K.S.; Smith, A.N.; Henderson, R.A.; Brawner, W.R.; Spangler, E.A.; Sartin, E.A. Multicentric cutaneous neuroendocrine (Merkel cell) carcinoma in a dog. Vet. Pathol. 2010, 47, 1090–1094. [Google Scholar] [CrossRef] [PubMed]
- Hasche, D.; Vinzón, S.E.; Rösl, F. Cutaneous Papillomaviruses and Non-melanoma Skin Cancer: Causal Agents or Innocent Bystanders? Front. Microbiol. 2018, 9, 874. [Google Scholar] [CrossRef] [PubMed]





| Antigen | Dilution | Clone and Source |
|---|---|---|
| CK AE1/AE3 1 | 1:200 | Mouse Monoclonal Anti-Cytokeratin Clone AE1/AE3, Dako |
| CK 34 beta E12 1 | 1:200 | Mouse Monoclonal Anti-Cytokeratin (clone 34ßE12), Ventana |
| CK 5/6 1 | 1:200 | Mouse Monoclonal Anti-Cytokeratin 5/6 (D5/16B4), Ventana |
| p63 | 1:100 | Mouse Monoclonal anti-p63 (4A4), Ventana |
| Ki67 | 1:200 | Mouse Monoclonal Anti-Human Ki-67 Clone MIB-1, Dako |
| CD56 2 | 1:100 | Rabbit Monoclonal Antibody (clone MRQ-42), Cell Marque |
| Melan-A | 1:100 | Mouse Monoclonal Anti-Human Melan-A (Clone A103), Dako |
| Tumor | CK AE1/AE3 | CK 34BE12 | CK 5/6 | p63 | KI-67 | CD56 | Melan-A |
|---|---|---|---|---|---|---|---|
| Trichoblastoma | ++ | ++ | ++ | ++ | + | + | − |
Publisher’s Note: MDPI stays neutral with regard to jurisdictional claims in published maps and institutional affiliations. |
© 2020 by the authors. Licensee MDPI, Basel, Switzerland. This article is an open access article distributed under the terms and conditions of the Creative Commons Attribution (CC BY) license (http://creativecommons.org/licenses/by/4.0/).
Share and Cite
Polinas, M.; Burrai, G.P.; Vitiello, V.; Falchi, L.; Zedda, M.T.; Masala, G.; Marras, V.; Satta, G.; Alberti, A.; Antuofermo, E. Histological and Immunohistochemical Features of Trichoblastoma in a Sarda Breed Sheep. Animals 2020, 10, 2039. https://doi.org/10.3390/ani10112039
Polinas M, Burrai GP, Vitiello V, Falchi L, Zedda MT, Masala G, Marras V, Satta G, Alberti A, Antuofermo E. Histological and Immunohistochemical Features of Trichoblastoma in a Sarda Breed Sheep. Animals. 2020; 10(11):2039. https://doi.org/10.3390/ani10112039
Chicago/Turabian StylePolinas, Marta, Giovanni P. Burrai, Veronica Vitiello, Laura Falchi, Maria T. Zedda, Gerolamo Masala, Vincenzo Marras, Giulia Satta, Alberto Alberti, and Elisabetta Antuofermo. 2020. "Histological and Immunohistochemical Features of Trichoblastoma in a Sarda Breed Sheep" Animals 10, no. 11: 2039. https://doi.org/10.3390/ani10112039
APA StylePolinas, M., Burrai, G. P., Vitiello, V., Falchi, L., Zedda, M. T., Masala, G., Marras, V., Satta, G., Alberti, A., & Antuofermo, E. (2020). Histological and Immunohistochemical Features of Trichoblastoma in a Sarda Breed Sheep. Animals, 10(11), 2039. https://doi.org/10.3390/ani10112039

