Genotypic and Phenotypic Characterization of Highly Alkaline-Resistant Carnobacterium maltaromaticum V-Type ATPase from the Dairy Product Based on Comparative Genomics
Abstract
1. Introduction
2. Materials and Methods
2.1. Comparative Genomic Analysis
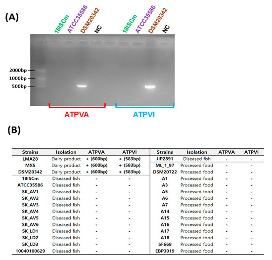
2.2. Existence of V-Type ATPase Subunit A (ATPVA) and V-type ATPase Subunit I (ATPVI) Genes in C. maltaromaticum
2.3. Determination of Alkaline Resistance of C. maltaromaticum
2.4. Expression of V-Type ATPase Gene of C. maltaromaticum under Alkaline Environment
2.5. Statistical Analysis
3. Results and Discussion
4. Conclusions
Supplementary Materials
Author Contributions
Funding
Institutional Review Board Statement
Informed Consent Statement
Data Availability Statement
Acknowledgments
Conflicts of Interest
References
- Cailliez-Grimal, C.; Edima, H.; Revol-Junelles, A.; Millière, J. Carnobacterium maltaromaticum: The only Carnobacterium species in French ripened soft cheeses as revealed by polymerase chain reaction detection. J. Dairy Sci. 2007, 90, 1133–1138. [Google Scholar] [CrossRef]
- Gómez, N.C.; Ramiro, J.M.; Quecan, B.X.; de Melo Franco, B.D. Use of potential probiotic lactic acid bacteria (LAB) biofilms for the control of Listeria monocytogenes, Salmonella typhimurium, and Escherichia coli O157: H7 biofilms formation. Front. Microbiol. 2016, 7, 863. [Google Scholar] [CrossRef] [PubMed]
- Chang, J.; Shim, Y.; Cha, S.; Chee, K. Probiotic characteristics of lactic acid bacteria isolated from kimchi. J. Appl. Microbiol. 2010, 109, 220–230. [Google Scholar] [CrossRef] [PubMed]
- Giraffa, G. Studying the dynamics of microbial populations during food fermentation. FEMS Microbiol. Rev. 2004, 28, 251–260. [Google Scholar] [CrossRef]
- Leclercq-Perlat, M.; Sicard, M.; Trelea, I.; Picque, D.; Corrieu, G. Temperature and relative humidity influence the microbial and physicochemical characteristics of Camembert-type cheese ripening. J. Dairy Sci. 2012, 95, 4666–4682. [Google Scholar] [CrossRef] [PubMed]
- Leclercq-Perlat, M.; Sicard, M.; Perrot, N.; Trelea, I.; Picque, D.; Corrieu, G. Temperature and relative humidity influence the ripening descriptors of Camembert-type cheeses throughout ripening. J. Dairy Sci. 2015, 98, 1325–1335. [Google Scholar] [CrossRef] [PubMed]
- Ntougias, S. Alkaliphilic Lactic Acid Bacteria: Novel Sources for Genetic Engineering and Biotechnology. Gene Technol. 2012, 1, e102. [Google Scholar] [CrossRef]
- Karahadian, C.; Lindsay, R. Integrated roles of lactate, ammonia, and calcium in texture development of mold surface-ripened cheese. J. Dairy Sci. 1987, 70, 909–918. [Google Scholar] [CrossRef]
- Mei, J.; Guo, Q.; Wu, Y.; Li, Y.; Yu, H. Study of proteolysis, lipolysis, and volatile compounds of a Camembert-type cheese manufactured using a freeze-dried Tibetan kefir co-culture during ripening. Food Sci. Biotechnol. 2015, 24, 393–402. [Google Scholar] [CrossRef]
- Edima, H.; Cailliez-Grimal, C.; Revol-Junelles, A.; Rondags, E.; Millière, J. Impact of pH and Temperature on the Acidifying Activity of Carnobacterium maltaromaticum. J. Dairy Sci. 2008, 91, 3806–3813. [Google Scholar] [CrossRef] [PubMed]
- Leisner, J.J.; Laursen, B.G.; Prévost, H.; Drider, D.; Dalgaard, P. Carnobacterium: Positive and negative effects in the environment and in foods. FEMS Microbiol. Rev. 2007, 31, 592–613. [Google Scholar] [CrossRef] [PubMed]
- Rahman, A.; Cailliez-Grimal, C.; Bontemps, C.; Payot, S.; Chaillou, S.; Revol-Junelles, A.M.; Borges, F. High genetic diversity among strains of the unindustrialized lactic acid bacterium Carnobacterium maltaromaticum in dairy products as revealed by multilocus sequence typing. Appl. Environ. Microbiol. 2014, 80, 3920–3929. [Google Scholar] [CrossRef] [PubMed]
- Robertson, P.; O’Dowd, C.; Burrells, C.; Williams, P.; Austin, B. Use of Carnobacterium sp. as a probiotic for Atlantic salmon (Salmo salar L.) and rainbow trout (Oncorhynchus mykiss, Walbaum). Aquaculture 2000, 185, 235–243. [Google Scholar] [CrossRef]
- Kim, D.; Austin, B. Innate immune responses in rainbow trout (Oncorhynchus mykiss, Walbaum) induced by probiotics. Fish. Shellfish. Immunol. 2006, 21, 513–524. [Google Scholar] [CrossRef]
- Roh, H.; Kim, B.S.; Lee, M.K.; Park, C.; Kim, D. Genome—wide comparison of Carnobacterium maltaromaticum derived from diseased fish harbouring important virulence—related genes. J. Fish. Dis. 2020, 43, 1029–1037. [Google Scholar] [CrossRef]
- Steele, L.M.; Lowe, C.G.; Okihiro, M.S.; Dillon, J.G.; Berlemont, R. Pseudogenization, genome streamlining and specific gene repertoire landmark the genomes of Carnobacterium maltaromaticum isolated from diseased sharks. BioRxiv 2019, 600684. [Google Scholar]
- Ramia, N.; El Kheir, S.; Taha, S.; Mangavel, C.; Revol-Junelles, A.; Borges, F. Multilocus sequence typing of Carnobacterium maltaromaticum strains associated with fish disease and dairy products. J. Appl. Microbiol. 2019, 126, 377–387. [Google Scholar] [CrossRef]
- Aziz, R.K.; Bartels, D.; Best, A.A.; DeJongh, M.; Disz, T.; Edwards, R.A.; Formsma, K.; Gerdes, S.; Glass, E.M.; Kubal, M. The RAST Server: Rapid annotations using subsystems technology. BMC Genom. 2008, 9, 1–15. [Google Scholar] [CrossRef] [PubMed]
- Brettin, T.; Davis, J.J.; Disz, T.; Edwards, R.A.; Gerdes, S.; Olsen, G.J.; Olson, R.; Overbeek, R.; Parrello, B.; Pusch, G.D. RASTtk: A modular and extensible implementation of the RAST algorithm for building custom annotation pipelines and annotating batches of genomes. Sci. Rep. 2015, 5, 8365. [Google Scholar] [CrossRef] [PubMed]
- Overbeek, R.; Olson, R.; Pusch, G.D.; Olsen, G.J.; Davis, J.J.; Disz, T.; Edwards, R.A.; Gerdes, S.; Parrello, B.; Shukla, M. The SEED and the Rapid Annotation of microbial genomes using Subsystems Technology (RAST). Nucleic Acids Res. 2014, 42, D206–D214. [Google Scholar] [CrossRef] [PubMed]
- Team, R.C.R. A Language and Environment for Statistical Computing; Version 3.5.2; R Foundation for Statistical Computing: Vienna, Austria, 2018. [Google Scholar]
- Untergasser, A.; Nijveen, H.; Rao, X.; Bisseling, T.; Geurts, R.; Leunissen, J.A. Primer3Plus, an enhanced web interface to Primer3. Nucleic Acids Res. 2007, 35, W71–W74. [Google Scholar] [CrossRef]
- Roh, H.J.; Kim, A.; Kang, G.S.; Kim, D. Photoinactivation of major bacterial pathogens in aquaculture. Fish. Aquat. Sci. 2016, 19, 28. [Google Scholar] [CrossRef]
- Roh, H.J.; Kang, G.S.; Kim, A.; Kim, N.E.; Nguyen, T.L.; Kim, D. Blue light-emitting diode photoinactivation inhibits edwardsiellosis in fancy carp (Cyprinus carpio). Aquaculture 2018, 483, 1–7. [Google Scholar] [CrossRef]
- De Gregoris, T.B.; Aldred, N.; Clare, A.S.; Burgess, J.G. Improvement of phylum-and class-specific primers for real-time PCR quantification of bacterial taxa. J. Microbiol. Methods 2011, 86, 351–356. [Google Scholar] [CrossRef] [PubMed]
- Livak, K.J.; Schmittgen, T.D. Analysis of relative gene expression data using real-time quantitative PCR and the 2− ΔΔCT method. Methods 2001, 25, 402–408. [Google Scholar] [CrossRef] [PubMed]
- Forgac, M. Vacuolar ATPases: Rotary proton pumps in physiology and pathophysiology. Nat. Rev. Mol. Cell Biol. 2007, 8, 917–929. [Google Scholar] [CrossRef] [PubMed]
- Numoto, N.; Hasegawa, Y.; Takeda, K.; Miki, K. Inter—subunit interaction and quaternary rearrangement defined by the central stalk of prokaryotic V1-ATPase. EMBO Rep. 2009, 10, 1228–1234. [Google Scholar] [CrossRef]
- Kawano-Kawada, M.; Iwaki, T.; Hosaka, T.; Murata, T.; Yamato, I.; Homma, M.; Kakinuma, Y. Mutagenesis of the residues forming an ion binding pocket of the NtpK subunit of Enterococcus hirae V-ATPase. J. Bacteriol. 2012, 194, 4546–4549. [Google Scholar] [CrossRef] [PubMed]
- Arokiyaraj, S.; Islam, V.I.H.; Bharanidharan, R.; Raveendar, S.; Lee, J.; Kim, D.H.; Oh, Y.K.; Kim, E.; Kim, K.H. Antibacterial, anti-inflammatory and probiotic potential of Enterococcus hirae isolated from the rumen of Bos primigenius. World J. Microbiol. Biotechnol. 2014, 30, 2111–2118. [Google Scholar] [CrossRef]
- Krulwich, T.A.; Sachs, G.; Padan, E. Molecular aspects of bacterial pH sensing and homeostasis. Nat. Rev. Microbiol. 2011, 9, 330–343. [Google Scholar] [CrossRef]
- Sorokin, D.Y.; Gumerov, V.M.; Rakitin, A.L.; Beletsky, A.V.; Damsté, J.S.; Muyzer, G.; Mardanov, A.V.; Ravin, N.V. Genome analysis of C hitinivibrio alkaliphilus gen. nov., sp. nov., a novel extremely haloalkaliphilic anaerobic chitinolytic bacterium from the candidate phylum T ermite G roup 3. Environ. Microbiol. 2014, 16, 1549–1565. [Google Scholar] [CrossRef]
- Zhang, X.; Bierschenk, D.; Top, J.; Anastasiou, I.; Bonten, M.J.; Willems, R.J.; van Schaik, W. Functional genomic analysis of bile salt resistance in Enterococcus faecium. BMC Genom. 2013, 14, 299. [Google Scholar] [CrossRef]
- Senior, A. The proton-translocating ATPase of Escherichia coli. Annu. Rev. Biophys. Biophys. Chem. 1990, 19, 7–41. [Google Scholar] [CrossRef]
- Bron, P.A.; Molenaar, D.; de Vos, W.M.; Kleerebezem, M. DNA micro—array—based identification of bile—responsive genes in Lactobacillus plantarum. J. Appl. Microbiol. 2006, 100, 728–738. [Google Scholar] [CrossRef]
- Sanchez, B.; Champomier-Verges, M.C.; Anglade, P.; Baraige, F.; de Los Reyes-Gavilan, C.G.; Margolles, A.; Zagorec, M. Proteomic analysis of global changes in protein expression during bile salt exposure of Bifidobacterium longum NCIMB 8809. J. Bacteriol. 2005, 187, 5799–5808. [Google Scholar] [CrossRef] [PubMed]
- Edima, H.C.; Cailliez-Grimal, C.; Revol-Junelles, A.; Tonti, L.; Linder, M.; Millière, J. A selective enumeration medium for Carnobacterium maltaromaticum. J. Microbiol. Methods 2007, 68, 516–521. [Google Scholar] [CrossRef] [PubMed]
- Afzal, M.I.; Jacquet, T.; Delaunay, S.; Borges, F.; Millière, J.; Revol-Junelles, A.; Cailliez-Grimal, C. Carnobacterium maltaromaticum: Identification, isolation tools, ecology and technological aspects in dairy products. Food Microbiol. 2010, 27, 573–579. [Google Scholar] [CrossRef]
- Bubelová, Z.; Tremlová, B.; Buňková, L.; Pospiech, M.; Vítová, E.; Buňka, F. The effect of long-term storage on the quality of sterilized processed cheese. J. Food Sci. Technol. 2015, 52, 4985–4993. [Google Scholar] [CrossRef] [PubMed]
- Koonin, E.V.; Makarova, K.S.; Aravind, L. Horizontal gene transfer in prokaryotes: Quantification and classification. Annu. Rev. Microbiol. 2001, 55, 709–742. [Google Scholar] [CrossRef]
- Isambert, H.; Stein, R.R. On the need for widespread horizontal gene transfers under genome size constraint. Biol. Direct 2009, 4, 1–10. [Google Scholar] [CrossRef] [PubMed]





Publisher’s Note: MDPI stays neutral with regard to jurisdictional claims in published maps and institutional affiliations. |
© 2021 by the authors. Licensee MDPI, Basel, Switzerland. This article is an open access article distributed under the terms and conditions of the Creative Commons Attribution (CC BY) license (https://creativecommons.org/licenses/by/4.0/).
Share and Cite
Roh, H.; Kim, D.-H. Genotypic and Phenotypic Characterization of Highly Alkaline-Resistant Carnobacterium maltaromaticum V-Type ATPase from the Dairy Product Based on Comparative Genomics. Microorganisms 2021, 9, 1233. https://doi.org/10.3390/microorganisms9061233
Roh H, Kim D-H. Genotypic and Phenotypic Characterization of Highly Alkaline-Resistant Carnobacterium maltaromaticum V-Type ATPase from the Dairy Product Based on Comparative Genomics. Microorganisms. 2021; 9(6):1233. https://doi.org/10.3390/microorganisms9061233
Chicago/Turabian StyleRoh, HyeongJin, and Do-Hyung Kim. 2021. "Genotypic and Phenotypic Characterization of Highly Alkaline-Resistant Carnobacterium maltaromaticum V-Type ATPase from the Dairy Product Based on Comparative Genomics" Microorganisms 9, no. 6: 1233. https://doi.org/10.3390/microorganisms9061233
APA StyleRoh, H., & Kim, D.-H. (2021). Genotypic and Phenotypic Characterization of Highly Alkaline-Resistant Carnobacterium maltaromaticum V-Type ATPase from the Dairy Product Based on Comparative Genomics. Microorganisms, 9(6), 1233. https://doi.org/10.3390/microorganisms9061233
