Neoehrlichia mikurensis Causing Thrombosis and Relapsing Fever in a Lymphoma Patient Receiving Rituximab
Abstract
1. Introduction
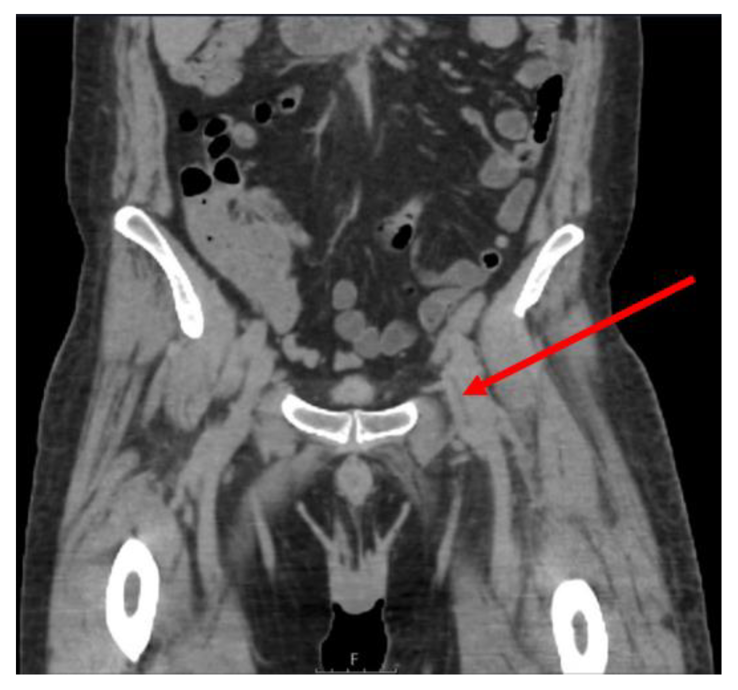
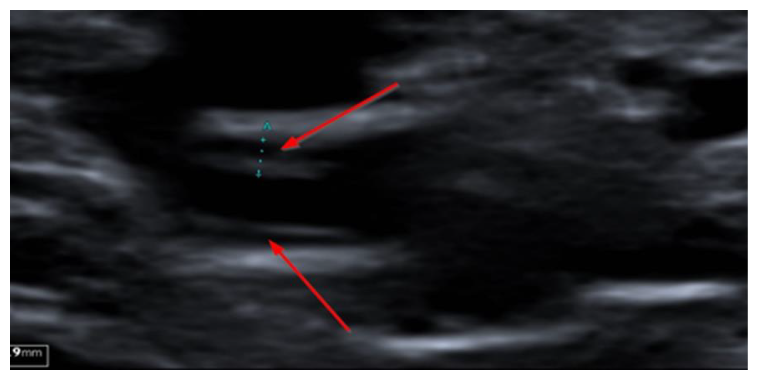
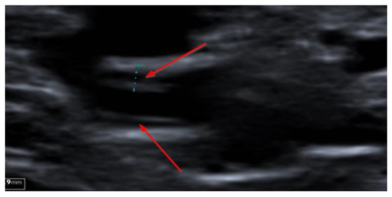
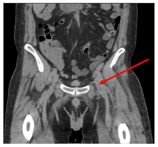
2. Case Presentation
3. Discussion
Author Contributions
Funding
Institutional Review Board Statement
Informed Consent Statement
Data Availability Statement
Acknowledgments
Conflicts of Interest
References
- Rochlin, I.; Toledo, A. Emerging tick-borne pathogens of public health importance: A mini-review. J. Med. Microbiol. 2020, 69, 781–791. [Google Scholar] [CrossRef]
- Wass, L.; Grankvist, A.; Bell-Sakyi, L.; Bergstrom, M.; Ulfhammer, E.; Lingblom, C.; Wennerås, C. Cultivation of the causative agent of human neoehrlichiosis from clinical isolates identifies vascular endothelium as a target of infection. Emerg. Microbes Infect. 2019, 8, 413–425. [Google Scholar] [CrossRef]
- Wennerås, C. Infections with the tick-borne bacterium Candidatus Neoehrlichia mikurensis. Clin. Microbiol. Infect. 2015, 21, 621–630. [Google Scholar] [CrossRef] [PubMed]
- Grankvist, A.; Andersson, P.O.; Mattsson, M.; Sender, M.; Vaht, K.; Hoper, L.; Sakiniene, E.; Trysberg, E.; Stenson, M.; Fehr, J.; et al. Infections with the tick-borne bacterium “Candidatus Neoehrlichia mikurensis” mimic noninfectious conditions in patients with B cell malignancies or autoimmune diseases. Clin. Infect. Dis. 2014, 58, 1716–1722. [Google Scholar] [CrossRef] [PubMed]
- Kjaer, L.J.; Klitgaard, K.; Soleng, A.; Edgar, K.S.; Lindstedt, H.E.H.; Paulsen, K.M.; Andreassen, Å.K.; Korslund, L.; Kjelland, V.; Slettan, A.; et al. Spatial patterns of pathogen prevalence in questing Ixodes ricinus nymphs in southern Scandinavia, 2016. Sci. Rep. 2020, 10, 19376. [Google Scholar] [CrossRef] [PubMed]
- Andersson, M.; Bartkova, S.; Lindestad, O.; Raberg, L. Co-infection with ’Candidatus Neoehrlichia Mikurensis’ and Borrelia afzelii in Ixodes ricinus ticks in southern Sweden. Vector Borne Zoonotic Dis. 2013, 13, 438–442. [Google Scholar] [CrossRef] [PubMed]
- Silaghi, C.; Beck, R.; Oteo, J.A.; Pfeffer, M.; Sprong, H. Neoehrlichiosis: An emerging tick-borne zoonosis caused by Candidatus Neoehrlichia mikurensis. Exp. Appl. Acarol. 2016, 68, 279–297. [Google Scholar] [CrossRef] [PubMed]
- Maurer, F.P.; Keller, P.M.; Beuret, C.; Joha, C.; Achermann, Y.; Gubler, J.; Bircher, D.; Karrer, U.; Fehr, J.; Zimmerli, L.; et al. Close geographic association of human neoehrlichiosis and tick populations carrying “Candidatus Neoehrlichia mikurensis” in eastern Switzerland. J. Clin. Microbiol. 2013, 51, 169–176. [Google Scholar] [CrossRef] [PubMed]
- Welinder-Olsson, C.; Kjellin, E.; Vaht, K.; Jacobsson, S.; Wennerås, C. First case of human “Candidatus Neoehrlichia mikurensis” infection in a febrile patient with chronic lymphocytic leukemia. J. Clin. Microbiol. 2010, 48, 1956–1959. [Google Scholar] [CrossRef] [PubMed]
- Portillo, A.; Santibanez, P.; Palomar, A.M.; Santibanez, S.; Oteo, J.A. ‘Candidatus Neoehrlichia mikurensis’ in Europe. New Microbes New Infect. 2018, 22, 30–36. [Google Scholar] [CrossRef] [PubMed]
- Andreasson, K.; Jonsson, G.; Lindell, P.; Gulfe, A.; Ingvarsson, R.; Lindqvist, E.; Saxne, T.; Grankvist, A.; Wennerås, C.; Marsal, J.; et al. Recurrent fever caused by Candidatus Neoehrlichia mikurensis in a rheumatoid arthritis patient treated with rituximab. Rheumatology 2015, 54, 369–371. [Google Scholar] [CrossRef] [PubMed][Green Version]
- Quarsten, H.; Salte, T.; Lorentzen, A.R.; Hansen, I.J.W.; Hamre, R.; Forselv, K.J.N.; Øines, Ø.; Wennerås, C.; Noraas, S. Tick-Borne Pathogens Detected in the Blood of Immunosuppressed Norwegian Patients Living in a Tick-Endemic Area. Clin. Infect. Dis. 2021, 73, e2364–e2371. [Google Scholar] [CrossRef] [PubMed]
- Wennerås, C.; Goldblatt, D.; Zancolli, M.; Mattsson, M.; Wass, L.; Hörkkö, S.; Rosén, A. Natural IgM antibodies in the immune defence against neoehrlichiosis. Infect. Dis. 2017, 49, 809–816. [Google Scholar] [CrossRef] [PubMed]
- Hoper, L.; Skoog, E.; Stenson, M.; Grankvist, A.; Wass, L.; Olsen, B.; Nilsson, K.; Mårtensson, A.; Söderlind, J.; Sakinis, A.; et al. Vasculitis due to Candidatus Neoehrlichia mikurensis: A cohort study of 40 Swedish patients. Clin. Infect. Dis. 2021, 73, e2372–e2378. [Google Scholar] [CrossRef] [PubMed]
- Schmidt, W.A. Role of ultrasound in the understanding and management of vasculitis. Ther. Adv. Musculoskelet. Dis. 2014, 6, 39–47. [Google Scholar] [CrossRef] [PubMed]
- Zachrisson, H.; Svensson, C.; Dremetsika, A.; Eriksson, P. An extended high-frequency ultrasound protocol for detection of vessel wall inflammation. Clin. Physiol. Funct. Imaging. 2018, 38, 586–594. [Google Scholar] [CrossRef] [PubMed]
- Svensson, C.; Eriksson, P.; Zachrisson, H. Vascular ultrasound for monitoring of inflammatory activity in Takayasu arteritis. Clin. Physiol. Funct. Imaging. 2020, 40, 37–45. [Google Scholar] [CrossRef] [PubMed]




Publisher’s Note: MDPI stays neutral with regard to jurisdictional claims in published maps and institutional affiliations. |
© 2021 by the authors. Licensee MDPI, Basel, Switzerland. This article is an open access article distributed under the terms and conditions of the Creative Commons Attribution (CC BY) license (https://creativecommons.org/licenses/by/4.0/).
Share and Cite
Sjöwall, J.; Kling, K.; Ochoa-Figueroa, M.; Zachrisson, H.; Wennerås, C. Neoehrlichia mikurensis Causing Thrombosis and Relapsing Fever in a Lymphoma Patient Receiving Rituximab. Microorganisms 2021, 9, 2138. https://doi.org/10.3390/microorganisms9102138
Sjöwall J, Kling K, Ochoa-Figueroa M, Zachrisson H, Wennerås C. Neoehrlichia mikurensis Causing Thrombosis and Relapsing Fever in a Lymphoma Patient Receiving Rituximab. Microorganisms. 2021; 9(10):2138. https://doi.org/10.3390/microorganisms9102138
Chicago/Turabian StyleSjöwall, Johanna, Kristian Kling, Miguel Ochoa-Figueroa, Helene Zachrisson, and Christine Wennerås. 2021. "Neoehrlichia mikurensis Causing Thrombosis and Relapsing Fever in a Lymphoma Patient Receiving Rituximab" Microorganisms 9, no. 10: 2138. https://doi.org/10.3390/microorganisms9102138
APA StyleSjöwall, J., Kling, K., Ochoa-Figueroa, M., Zachrisson, H., & Wennerås, C. (2021). Neoehrlichia mikurensis Causing Thrombosis and Relapsing Fever in a Lymphoma Patient Receiving Rituximab. Microorganisms, 9(10), 2138. https://doi.org/10.3390/microorganisms9102138

