Primary Axillary Actinomycosis: A Case Report on the Integration of Culture and Molecular Diagnostics for Accurate Diagnosis of Polymicrobial Infections
Abstract
1. Introduction
1.1. Actinomyces and Polymicrobial Infections
1.2. Case Significance
1.3. Recognizing Polymicrobial Infections in Actinomycosis
2. Materials and Methods
2.1. Dermoscopy
2.2. Ultrasound Imaging
2.3. Skin Biopsy
2.4. Microbial Culture Examination
- Aerobic cultures: Blood agar plates, incubated at 35 °C for 48 h.
- Anaerobic cultures: Brucella HK agar plates, incubated at 35 °C for 48 h.
2.5. Mass Spectrometry Analysis
- Score ≥ 2.0: Species-level identification.
- Score 1.7–2.0: Genus-level identification [12].
2.6. Histopathological Examination
2.7. Molecular Biological Analysis
2.7.1. PCR for 16S rRNA Gene
- Master Mix: 10 µL of GoTaq® Master Mix (Promega, Madison, WI, USA; catalog no. M7122), which includes Taq DNA polymerase, dNTPs, and reaction buffers.
- Primers: 0.5 µM each of universal bacterial primers:
- Forward (8UA primer): 5′-AGAGTTTGATCMTGGCTCAG-3′
- Reverse (1485B primer): 5′-TACGGYTACCTTGTTACGACTT-3′
- Template DNA: 2 µL of extracted bacterial DNA.
- Initial denaturation: 94 °C for 7 min to denature the DNA strands.
- Amplification cycles (35 cycles):
- ○
- Denaturation: 95 °C for 20 s.
- ○
- Annealing: 60 °C for 20 s to allow primer binding.
- ○
- Extension: 72 °C for 40 s for DNA strand elongation.
- ○
- Final extension: 72 °C for 7 min to ensure complete extension of all PCR products.
2.7.2. PCR for Actinomyces-Specific Identification
DNA Extraction
PCR Reaction Mixture (Total Volume of 20 µL)
- Master Mix: 10 µL of GoTaq® Master Mix (Promega; catalog no. M7122), which includes Taq DNA polymerase, dNTPs, and reaction buffers.
- Primers: 0.5 µM each of Actinomyces-specific primers:
- Forward: 5′-GGCTTGCGGTGGTACGGGC-3′
- Reverse: 5’-GGCTTTAAGGGATTGCGTCCACCTCAC-3′
- Template DNA: 2 µL of extracted bacterial DNA.
PCR Cycling Conditions
- Initial denaturation: 94 °C for 7 min to denature the DNA strands.
- Amplification cycles (35 cycles):
- ○
- Denaturation: 95 °C for 20 s.
- ○
- Annealing: 60 °C for 20 s to allow primer binding.
- ○
- Extension: 72 °C for 40 s for DNA strand elongation.
- Final extension: 72 °C for 7 min to ensure complete extension of all PCR products.
Post-Amplification Analysis
- ○
- A 675 bp PCR product was obtained, indicative of Actinomyces presence. The specificity of the amplification was confirmed through electrophoresis and subsequent sequencing [20].
2.7.3. DNA Sequencing and Analysis
3. Case Report
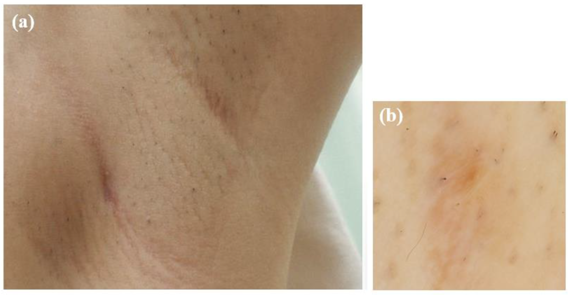
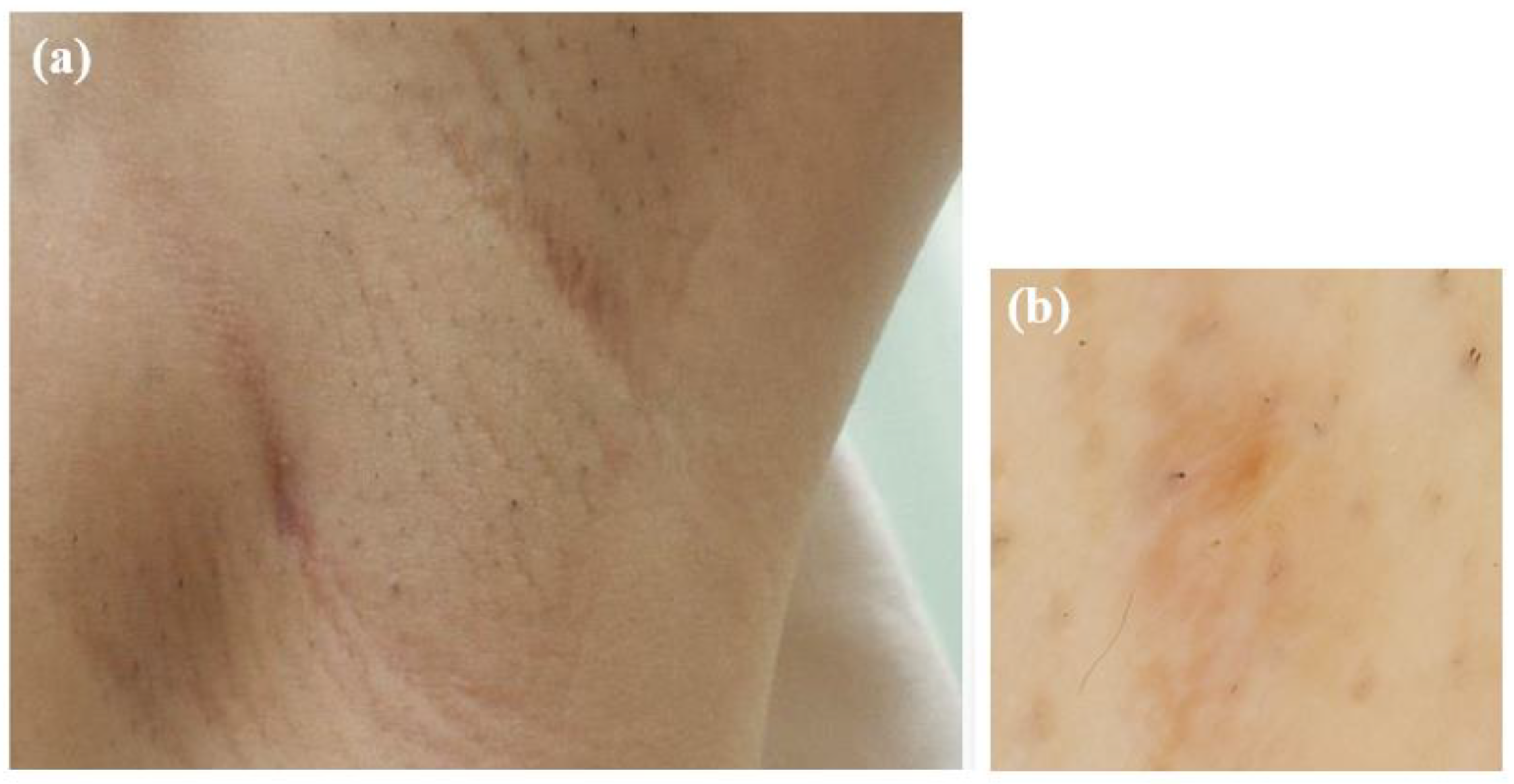
3.1. Clinical Presentation
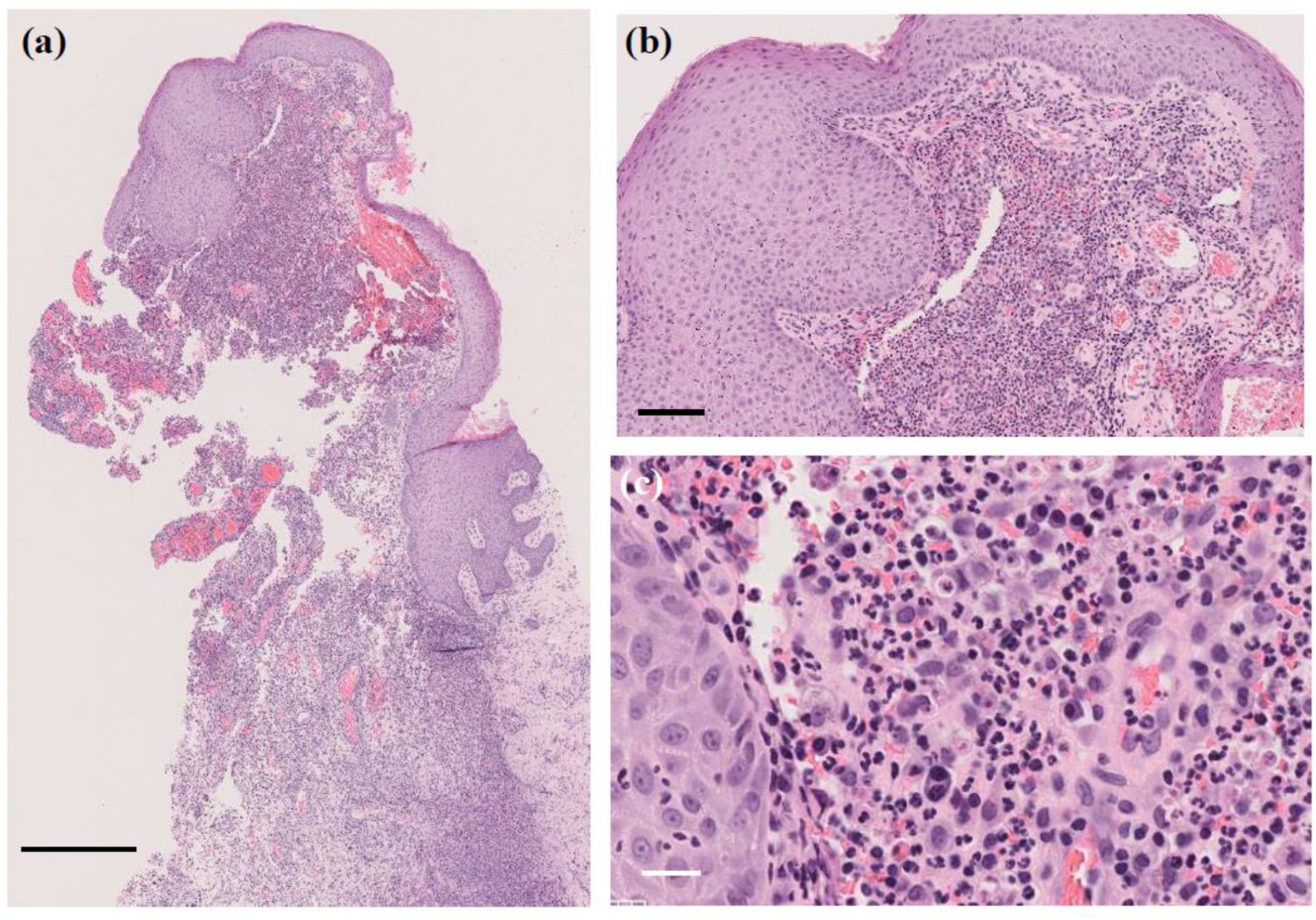
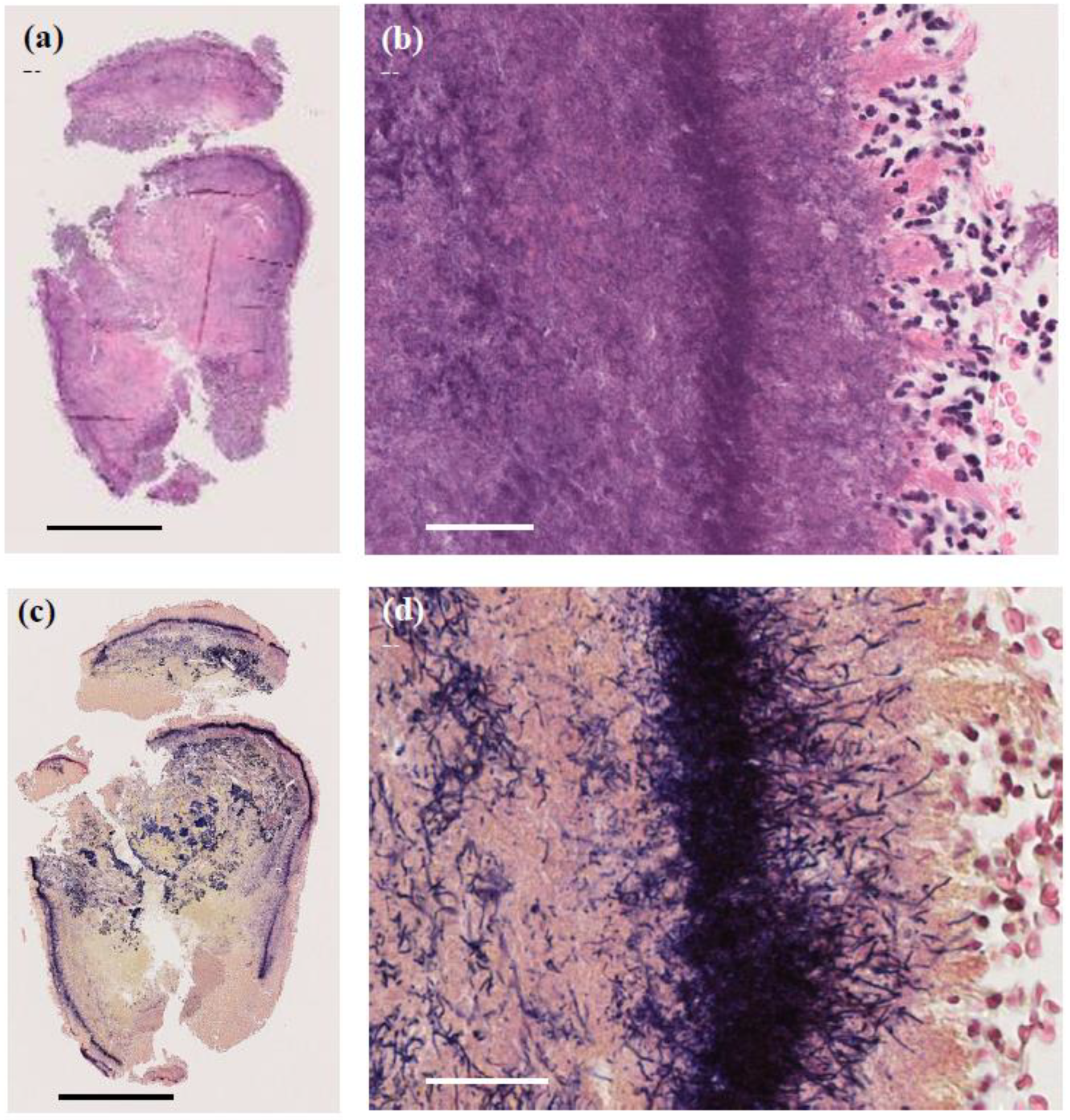
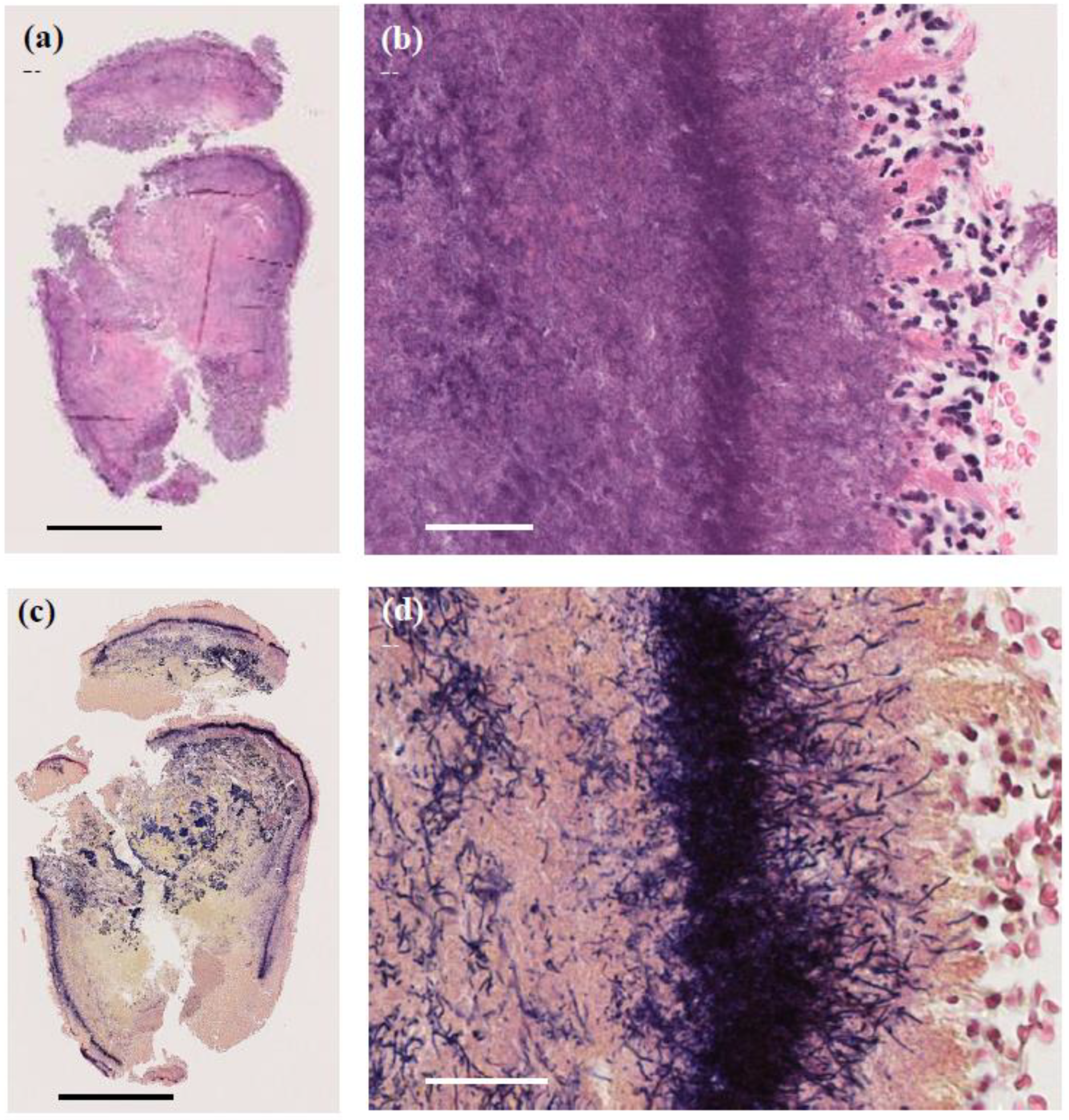
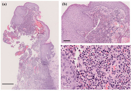
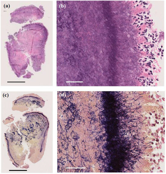
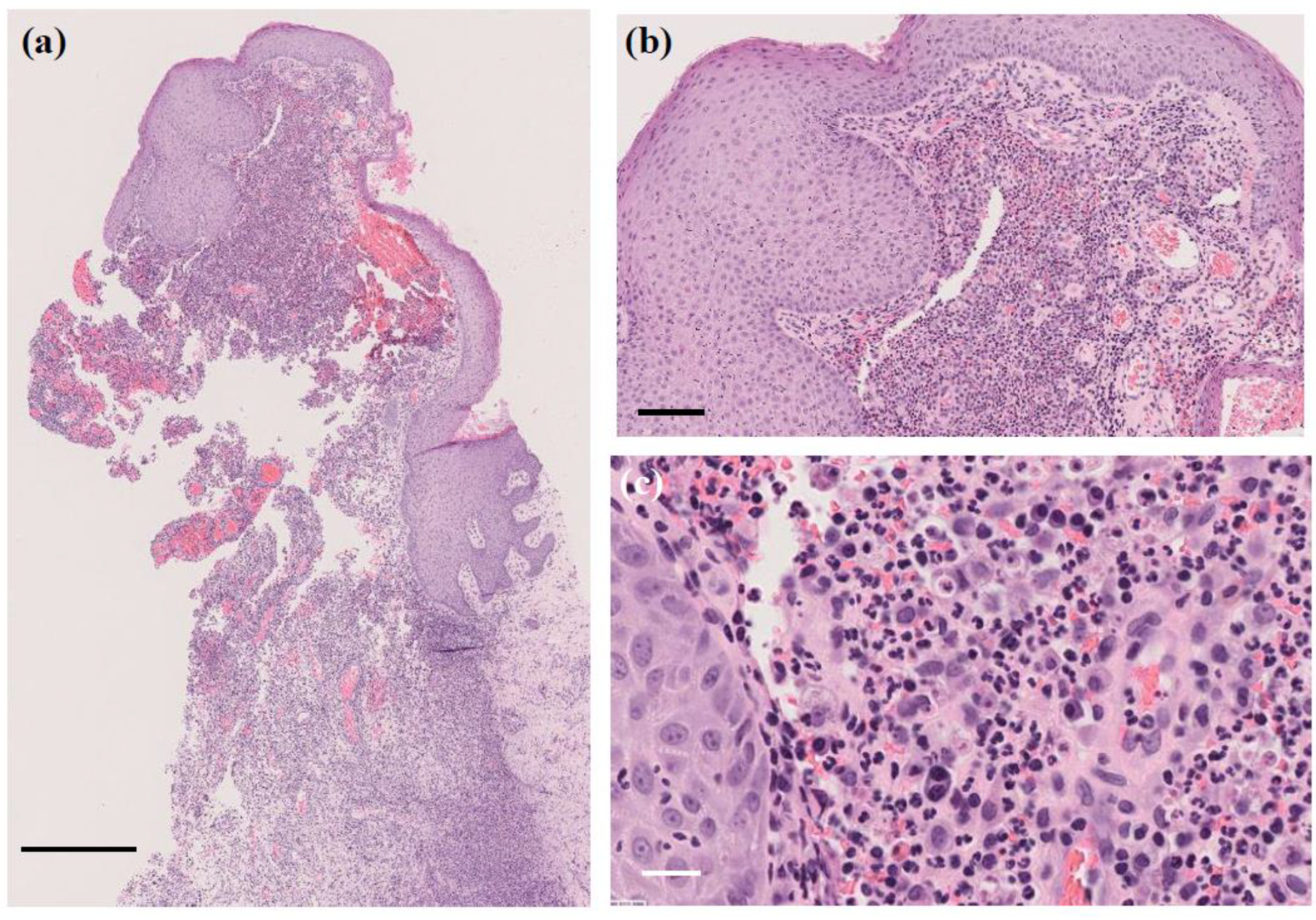
3.2. Histopathological Findings
3.3. Bacterial Culture and MALDI-TOF MS Identification
- S. epidermidis (coagulase-negative staphylococcus, CNS, 1+)
- S. aureus (methicillin-resistant S. aureus, MRSA, 1+)
- C. simulans (1+)
3.4. Molecular Identification of Actinomyces
3.5. Clinical Diagnosis
3.6. Treatment and Clinical Outcome
4. Discussion
4.1. Clinical Features and Diagnosis
4.2. Clinical Implications
- 1.
- Advanced Diagnostics
- 2.
- Polymicrobial Context
- 3.
- Recognition of Rare Presentations
4.3. Discrepancy Between Culture and Molecular Identification
- 1.
- Bacterial Abundance and Sampling Bias
- 2.
- Challenges in Culturing Actinomyces spp. [22]
- 3.
- PCR Amplification Bias [23]
- 4.
4.4. Role of Actinomyces spp. in Polymicrobial Infections
4.5. Treatment and Outcomes
5. Conclusions
Supplementary Materials
Author Contributions
Funding
Institutional Review Board Statement
Informed Consent Statement
Data Availability Statement
Acknowledgments
Conflicts of Interest
References
- Wong, V.K.; Turmezei, T.D.; Weston, V.C. Actinomycosis. BMJ 2011, 343, d6099. [Google Scholar] [CrossRef] [PubMed]
- Valour, F.; Sénéchal, A.; Dupieux, C.; Karsenty, J.; Lustig, S.; Breton, P.; Gleizal, A.; Boussel, L.; Laurent, F.; Braun, E.; et al. Actinomycosis: Etiology, clinical features, diagnosis, treatment, and management. Infect. Drug Resist. 2014, 7, 183–197. [Google Scholar] [PubMed]
- Könönen, E.; Wade, W.G. Actinomyces and related organisms in human infections. Clin. Microbiol. Rev. 2015, 28, 419–442. [Google Scholar] [CrossRef] [PubMed]
- Oostman, O.; Smego, R.A. Cervicofacial actinomycosis: Diagnosis and management. Curr. Infect. Dis. Rep. 2005, 7, 170–174. [Google Scholar] [CrossRef]
- Johnson, J.L.; Moore, L.V.; Kaneko, B.; Moore, W.E. Actinomyces georgiae sp. nov., Actinomyces gerencseriae sp. nov., designation of two genospecies of Actinomyces naeslundii, and inclusion of A. naeslundii serotypes II and III and Actinomyces viscosus serotype II in A. naeslundii genospecies 2. Int. J. Syst. Bacteriol. 1990, 40, 273–286. [Google Scholar] [CrossRef]
- Xia, T.; Baumgartner, J.C. Occurrence of Actinomyces in infections of endodontic origin. J. Endod. 2003, 29, 549–552. [Google Scholar] [CrossRef]
- Lynch, T.; Gregson, D.; Church, D.L. Matrix-assisted laser desorption ionization-time of flight mass spectrometry to partial sequencing of the 16S rRNA Gene. J. Clin. Microbiol. 2016, 54, 712–717. [Google Scholar] [CrossRef]
- Könönen, E.J. Polymicrobial infections with specific Actinomyces and related organisms, using the current taxonomy. Oral Microbiol. 2024, 16, 2354148. [Google Scholar] [CrossRef]
- Errichetti, E.; Stinco, G. Dermoscopy in general dermatology: A practical overview. Dermatol. Ther. (Heidelb) 2016, 6, 471–507. [Google Scholar] [CrossRef]
- Clinical and Laboratory Standards Institute (CLSI). Principles and Procedures for Specimen Collection: Approved Guideline, 6th ed; CLSI: Wayne, PA, USA, 2022. [Google Scholar]
- Croxatto, A.; Prod’hom, G.; Greub, G. Applications of MALDI-TOF mass spectrometry in clinical diagnostic microbiology. FEMS Microbiol. Rev. 2012, 36, 380–407. [Google Scholar] [CrossRef]
- Tsuchida, S.; Umemura, H.; Nakayama, T. Current status of matrix-assisted laser desorption/ionization-time-of-flight mass spectrometry (MALDI-TOF MS) in clinical diagnostic microbiology. Molecules 2020, 25, 4775. [Google Scholar] [CrossRef] [PubMed]
- Wick, M.R. The hematoxylin and eosin stain in anatomic pathology-An often-neglected focus of quality assurance in the laboratory. Semin. Diagn. Pathol. 2019, 36, 303–311. [Google Scholar] [CrossRef] [PubMed]
- Fischer, A.H.; Jacobson, K.A.; Rose, J.; Zeller, R. Hematoxylin and eosin staining of tissue and cell sections. Cold Spring Harb. Protoc. 2008, 2008, pdb.prot4986. [Google Scholar] [CrossRef]
- Beveridge, T.J. Use of the Gram stain in microbiology. Biotech. Histochem. 2001, 76, 111–118. [Google Scholar] [CrossRef]
- Kinyoun, J.J. A note on Uhlenhuth’s Ziehl-Neelsen stain for tubercle bacilli. Am. J. Clin. Pathol. 1915, 1, 129–133. [Google Scholar]
- Racsa, L.D.; DeLeon-Carnes, M.; Hiskey, M.; Guarner, J. Identification of bacterial pathogens from formalin-fixed, paraffin-embedded tissues by using 16S sequencing: Retrospective correlation of results to clinicians’ responses. Hum. Pathol. 2017, 59, 132–138. [Google Scholar] [CrossRef]
- Qiagen. DNeasy Blood & Tissue Kit Handbook; Qiagen: Hilden, Germany, 2023; Available online: https://www.qiagen.com (accessed on 28 February 2025).
- Song, Y.; Liu, C.; McTeague, M.; Finegold, S.M. 16S ribosomal DNA sequence-based analysis of clinically significant gram-positive anaerobic cocci. J. Clin. Microbiol. 2003, 41, 1363–1369. [Google Scholar] [CrossRef]
- Dilek Kaya, Ş.; Demirezen, S.; Hasçelik, G.; Kıvanç, D.G.; Beksaç, M.S. Comparison of PCR, culturing and Pap smear microscopy for accurate diagnosis of genital Actinomyces. J. Med. Microbiol. 2013, 62, 727–733. [Google Scholar] [CrossRef]
- Altschul, S.F.; Gish, W.; Miller, W.; Myers, E.W.; Lipman, D.J. Basic local alignment search tool. J. Mol. Biol. 1990, 215, 403–410. [Google Scholar] [CrossRef]
- Urbán, E.; Gajdács, M. Microbiological and Clinical Aspects of Actinomyces Infections: What Have We Learned? Antibiotics 2021, 10, 151. [Google Scholar] [CrossRef]
- Silverman, J.D.; Bloom, R.J.; Jiang, S.; Durand, H.K.; Dallow, E.; Mukherjee, S.; David, L.A. Measuring and mitigating PCR bias in microbiota datasets. PLoS Comput. Biol. 2021, 17, e1009113. [Google Scholar] [CrossRef] [PubMed]
- An, S.F.; Fleming, K.A. Removal of inhibitor(s) of the polymerase chain reaction from formalin-fixed, paraffin wax embedded tissues. J. Clin. Pathol. 1991, 44, 924–927. [Google Scholar] [CrossRef] [PubMed]
- Lenze, D.; Müller, H.M.; Hummel, M. Considerations for the use of formalin-fixed and paraffin-embedded tissue specimens for clonality analysis. J. Hematopathol 2012, 5, 27–34. [Google Scholar] [CrossRef]
- Doran, A.; Kneist, S.; Verran, J. Ecological control: In vitro inhibition of anaerobic bacteria by oral streptococci. Microb. Ecol. Health Dis. 2004, 16, 23–27. [Google Scholar]
- Brook, I. Synergistic aerobic and anaerobic infections. Clin. Ther. 1987, 10, 19. [Google Scholar]
- National Center for Biotechnology Information (NCBI). Basic Local Alignment Search Tool (BLAST). Available online: https://blast.ncbi.nlm.nih.gov/Blast.cgi (accessed on 13 March 2025).






Disclaimer/Publisher’s Note: The statements, opinions and data contained in all publications are solely those of the individual author(s) and contributor(s) and not of MDPI and/or the editor(s). MDPI and/or the editor(s) disclaim responsibility for any injury to people or property resulting from any ideas, methods, instructions or products referred to in the content. |
© 2025 by the authors. Licensee MDPI, Basel, Switzerland. This article is an open access article distributed under the terms and conditions of the Creative Commons Attribution (CC BY) license (https://creativecommons.org/licenses/by/4.0/).
Share and Cite
Tezuka, J.; Abe, N.; Tanabe, H. Primary Axillary Actinomycosis: A Case Report on the Integration of Culture and Molecular Diagnostics for Accurate Diagnosis of Polymicrobial Infections. Microorganisms 2025, 13, 671. https://doi.org/10.3390/microorganisms13030671
Tezuka J, Abe N, Tanabe H. Primary Axillary Actinomycosis: A Case Report on the Integration of Culture and Molecular Diagnostics for Accurate Diagnosis of Polymicrobial Infections. Microorganisms. 2025; 13(3):671. https://doi.org/10.3390/microorganisms13030671
Chicago/Turabian StyleTezuka, Junko, Noriyuki Abe, and Hiroshi Tanabe. 2025. "Primary Axillary Actinomycosis: A Case Report on the Integration of Culture and Molecular Diagnostics for Accurate Diagnosis of Polymicrobial Infections" Microorganisms 13, no. 3: 671. https://doi.org/10.3390/microorganisms13030671
APA StyleTezuka, J., Abe, N., & Tanabe, H. (2025). Primary Axillary Actinomycosis: A Case Report on the Integration of Culture and Molecular Diagnostics for Accurate Diagnosis of Polymicrobial Infections. Microorganisms, 13(3), 671. https://doi.org/10.3390/microorganisms13030671

