Alteration in Tracheal Morphology and Transcriptomic Features in Calves After Infection with Mycoplasma bovis
Abstract
1. Introduction
2. Materials and Methods
2.1. Establishment of the Animal Model
2.2. Sample Collection
2.3. Histopathological Examination
2.4. Transcriptome Sequencing and Quality Control
2.5. RT-qPCR Validation of the DEGs Results
3. Results
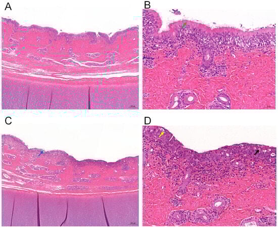
3.1. Abnormal Tracheal Tissue in Calves Due to M. bovis Infection
3.2. Sequencing Data Quality Results
3.3. Transcriptome Sequencing Analysis
3.4. qRT-PCR Verification
3.5. DEGs Functional Annotations
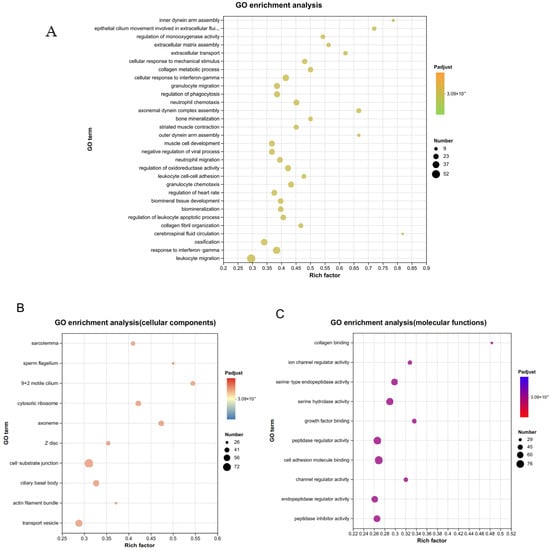
3.6. Functional Enrichment of DEGs
4. Discussion
4.1. M. bovis Infection Causes an Inflammatory Tissue Injury Response
4.2. M. bovis Infection Causes Crosstalk Expression of Multiple Pathways Associated with Inflammation
4.3. Widespread Effects of M. bovis Infection on Gene Expression
5. Conclusions
Supplementary Materials
Author Contributions
Funding
Institutional Review Board Statement
Informed Consent Statement
Data Availability Statement
Acknowledgments
Conflicts of Interest
References
- Hale, H.H.; Helmboldt, C.F.; Plastridge, W.N.; Stula, E.F. Bovine mastitis caused by a Mycoplasma species. Cornell Vet. 1962, 52, 582–591. [Google Scholar] [PubMed]
- Maeda, T.; Shibahara, T.; Kimura, K.; Wada, Y.; Sato, K.; Imada, Y.; Ishikawa, Y.; Kadota, K. Mycoplasma bovis-associated suppurative otitis media and pneumonia in bull calves. J. Comp. Pathol. 2003, 129, 100–110. [Google Scholar] [CrossRef] [PubMed]
- Register, K.B.; Woodbury, M.R.; Davies, J.L.; Trujillo, J.D.; Perez-Casal, J.; Burrage, P.H.; Clark, E.G.; Windeyer, M.C. Systemic mycoplasmosis with dystocia and abortion in a North American bison (Bison bison) herd. J. Vet. Diagn. Investig. 2013, 25, 541–545. [Google Scholar] [CrossRef]
- Dudek, K.; Nicholas, R.A.J.; Szacawa, E.; Bednarek, D. Mycoplasma bovis Infections-Occurrence, Diagnosis and Control. Pathogens 2020, 9, 640. [Google Scholar] [CrossRef]
- Lysnyansky, I.; Ayling, R.D. Mycoplasma bovis: Mechanisms of Resistance and Trends in Antimicrobial Susceptibility. Front. Microbiol. 2016, 7, 595. [Google Scholar] [CrossRef]
- Schleimer, R.P.; Berdnikovs, S. Etiology of epithelial barrier dysfunction in patients with type 2 inflammatory diseases. J. Allergy Clin. Immunol. 2017, 139, 1752–1761. [Google Scholar] [CrossRef]
- Loi, F.; Córdova, L.A.; Pajarinen, J.; Lin, T.H.; Yao, Z.; Goodman, S.B. Inflammation, fracture and bone repair. Bone 2016, 86, 119–130. [Google Scholar] [CrossRef]
- Mulongo, M.; Prysliak, T.; Scruten, E.; Napper, S.; Perez-Casal, J. In vitro infection of bovine monocytes with Mycoplasma bovis delays apoptosis and suppresses production of gamma interferon and tumor necrosis factor alpha but not interleukin-10. Infect. Immun. 2014, 82, 62–71. [Google Scholar] [CrossRef]
- Zhou, Y.; Shao, Z.; Dai, G.; Li, X.; Xiang, Y.; Jiang, S.; Zhang, Z.; Ren, Y.; Zhu, Z.; Fan, C.; et al. Pathogenic infection characteristics and risk factors for bovine respiratory disease complex based on the detection of lung pathogens in dead cattle in Northeast China. J. Dairy Sci. 2023, 106, 589–606. [Google Scholar] [CrossRef]
- van Engelen, E.; Mars, J.; Dijkman, R. Molecular characterisation of Mycoplasma bovis isolates from consecutive episodes of respiratory disease on Dutch veal farms. Vet. Microbiol. 2024, 298, 110221. [Google Scholar] [CrossRef]
- Gelgie, A.E.; Desai, S.E.; Gelalcha, B.D.; Kerro Dego, O. Mycoplasma bovis mastitis in dairy cattle. Front. Vet. Sci. 2024, 11, 1322267. [Google Scholar] [CrossRef]
- Gelgie, A.E.; Korsa, M.G.; Kerro Dego, O. Mycoplasma bovis Mastitis. Curr. Res. Microb. Sci. 2022, 3, 100123. [Google Scholar] [CrossRef] [PubMed]
- de Jong, E.; Bosco, A. Unlocking immune-mediated disease mechanisms with transcriptomics. Biochem. Soc. Trans. 2021, 49, 705–714. [Google Scholar] [CrossRef] [PubMed]
- Li, C.; Wang, F.; Ma, Y.; Wang, W.; Guo, Y. Investigation of the regulatory mechanisms of Guiqi Yimu Powder on dairy cow fatty liver cells using a multi-omics approach. Front. Vet. Sci. 2024, 11, 1475564. [Google Scholar] [CrossRef] [PubMed]
- Zou, M.; Wang, T.; Wang, Y.; Luo, R.; Sun, Y.; Peng, X. Comparative Transcriptome Analysis Reveals the Innate Immune Response to Mycoplasma gallisepticum Infection in Chicken Embryos and Newly Hatched Chicks. Animals 2023, 13, 1667. [Google Scholar] [CrossRef] [PubMed]
- Diddeniya, G.; Hosseini Ghaffari, M.; Hernandez-Sanabria, E.; Guan, L.L.; Malmuthuge, N. Invited review: Impact of maternal health and nutrition on the microbiome and immune development of neonatal calves. J. Dairy Sci. 2024, 107, 7504–7519. [Google Scholar] [CrossRef]
- MacArthur Clark, J.A.; Sun, D. Guidelines for the ethical review of laboratory animal welfare People’s Republic of China National Standard GB/T 35892-2018 [Issued 6 February 2018 Effective from 1 September 2018]. Animal Models Exp. Med. 2020, 3, 103–113. [Google Scholar] [CrossRef]
- Kim, D.; Langmead, B.; Salzberg, S.L. HISAT: A fast spliced aligner with low memory requirements. Nat. Methods 2015, 12, 357–360. [Google Scholar] [CrossRef]
- Spalenza, V.; Girolami, F.; Bevilacqua, C.; Riondato, F.; Rasero, R.; Nebbia, C.; Sacchi, P.; Martin, P. Identification of internal control genes for quantitative expression analysis by real-time PCR in bovine peripheral lymphocytes. Vet. J. 2011, 189, 278–283. [Google Scholar] [CrossRef]
- Dalen, G.; Rachah, A.; Nørstebø, H.; Schukken, Y.H.; Reksen, O. The detection of intramammary infections using online somatic cell counts. J. Dairy Sci. 2019, 102, 5419–5429. [Google Scholar] [CrossRef]
- Gondaira, S.; Nishi, K.; Iwano, H.; Fujiki, J.; Watanabe, R.; Eguchi, A.; Hirano, Y.; Higuchi, H.; Nagahata, H. Transcriptome analysis of Mycoplasma bovis stimulated bovine peripheral blood mononuclear cells. Vet. Immunol. Immunopathol. 2021, 232, 110166. [Google Scholar] [CrossRef] [PubMed]
- Haydock, L.A.J.; Fenton, R.K.; Sergejewich, L.; Veldhuizen, R.A.W.; Smerek, D.; Ojkic, D.; Caswell, J.L. Bronchopneumonia with interstitial pneumonia in beef feedlot cattle: Characterization and laboratory investigation. Vet. Pathol. 2023, 60, 214–225. [Google Scholar] [CrossRef] [PubMed]
- Vulikh, K.; Burrows, D.; Perez-Casal, J.; Tabatabaei, S.; Caswell, J.L. Effects of inflammatory stimuli on the development of Mycoplasma bovis pneumonia in experimentally challenged calves. Vet. Microbiol. 2024, 297, 110203. [Google Scholar] [CrossRef] [PubMed]
- Radaelli, E.; Luini, M.; Loria, G.R.; Nicholas, R.A.; Scanziani, E. Bacteriological, serological, pathological and immunohistochemical studies of Mycoplasma bovis respiratory infection in veal calves and adult cattle at slaughter. Res. Vet. Sci. 2008, 85, 282–290. [Google Scholar] [CrossRef] [PubMed]
- Hewitt, R.J.; Lloyd, C.M. Regulation of immune responses by the airway epithelial cell landscape. Nat. Rev. Immunol. 2021, 21, 347–362. [Google Scholar] [CrossRef]
- O’Byrne, P.M. Airway inflammation and asthma. Aliment. Pharmacol. Ther. 1996, 10 (Suppl. 2), 18–24. [Google Scholar] [CrossRef]
- Zhang, H.; Zhang, Y.; Lu, D.; Chen, X.; Chen, Y.; Hu, C.; Guo, A. MbovP0725, a secreted serine/threonine phosphatase, inhibits the host inflammatory response and affects metabolism in Mycoplasma bovis. mSystems 2024, 9, e0089123. [Google Scholar] [CrossRef]
- Rao, X.; Luo, H.; Luo, K.; Hu, C. Silencing SMAD4 inhibits inflammation and ferroptosis in asthma by blocking the IL-17A signaling pathway. Respir. Res. 2024, 25, 429. [Google Scholar] [CrossRef]
- Yang, M.; Yang, F.; Guo, Y.; Liu, F.; Li, Y.; Qi, Y.; Guo, L.; He, S. Molecular mechanism of Dang-Shen-Yu-Xing decoction against Mycoplasma bovis pneumonia based on network pharmacology, molecular docking, molecular dynamics simulations and experimental verification. Front. Vet. Sci. 2024, 11, 1431233. [Google Scholar] [CrossRef]
- Luo, J.; Manning, B.D.; Cantley, L.C. Targeting the PI3K-Akt pathway in human cancer: Rationale and promise. Cancer Cell 2003, 4, 257–262. [Google Scholar] [CrossRef]
- Lee, Y.G.; Lee, J.; Byeon, S.E.; Yoo, D.S.; Kim, M.H.; Lee, S.Y.; Cho, J.Y. Functional role of Akt in macrophage-mediated innate immunity. Front. Biosci. (Landmark Ed.) 2011, 16, 517–530. [Google Scholar] [CrossRef]
- Li, J.; Diao, B.; Guo, S.; Huang, X.; Yang, C.; Feng, Z.; Yan, W.; Ning, Q.; Zheng, L.; Chen, Y.; et al. VSIG4 inhibits proinflammatory macrophage activation by reprogramming mitochondrial pyruvate metabolism. Nat. Commun. 2017, 8, 1322. [Google Scholar] [CrossRef]
- Zhong, Y.; Huang, T.; Huang, J.; Quan, J.; Su, G.; Xiong, Z.; Lv, Y.; Li, S.; Lai, X.; Xiang, Y.; et al. The HDAC10 instructs macrophage M2 program via deacetylation of STAT3 and promotes allergic airway inflammation. Theranostics 2023, 13, 3568–3581. [Google Scholar] [CrossRef]
- Özdemir, S.; Altun, S. Genome-wide analysis of mRNAs and lncRNAs in Mycoplasma bovis infected and non-infected bovine mammary gland tissues. Mol. Cell Probes 2020, 50, 101512. [Google Scholar] [CrossRef]
- Xu, M.; Liu, Y.; Mayinuer, T.; Lin, Y.; Wang, Y.; Gao, J.; Wang, D.; Kastelic, J.P.; Han, B. Mycoplasma bovis inhibits autophagy in bovine mammary epithelial cells via a PTEN/PI3K-Akt-mTOR-dependent pathway. Front. Microbiol. 2022, 13, 935547. [Google Scholar] [CrossRef]
- Price, A.E.; Shamardani, K.; Lugo, K.A.; Deguine, J.; Roberts, A.W.; Lee, B.L.; Barton, G.M. A Map of Toll-like Receptor Expression in the Intestinal Epithelium Reveals Distinct Spatial, Cell Type-Specific, and Temporal Patterns. Immunity 2018, 49, 560–575.e566. [Google Scholar] [CrossRef]
- Yang, J.; Liu, Y.; Lin, C.; Yan, R.; Li, Z.; Chen, Q.; Zhang, H.; Xu, H.; Chen, X.; Chen, Y.; et al. Regularity of Toll-Like Receptors in Bovine Mammary Epithelial Cells Induced by Mycoplasma bovis. Front. Vet. Sci. 2022, 9, 846700. [Google Scholar] [CrossRef]
- Tizioto, P.C.; Kim, J.; Seabury, C.M.; Schnabel, R.D.; Gershwin, L.J.; Van Eenennaam, A.L.; Toaff-Rosenstein, R.; Neibergs, H.L.; Taylor, J.F. Immunological Response to Single Pathogen Challenge with Agents of the Bovine Respiratory Disease Complex: An RNA-Sequence Analysis of the Bronchial Lymph Node Transcriptome. PLoS ONE 2015, 10, e0131459. [Google Scholar] [CrossRef]
- Neurath, M.F.; Finotto, S. IL-6 signaling in autoimmunity, chronic inflammation and inflammation-associated cancer. Cytokine Growth Factor. Rev. 2011, 22, 83–89. [Google Scholar] [CrossRef] [PubMed]
- Bechara, R.; Antonios, D.; Azouri, H.; Pallardy, M. Nickel Sulfate Promotes IL-17A Producing CD4+ T Cells by an IL-23-Dependent Mechanism Regulated by TLR4 and Jak-STAT Pathways. J. Investig. Dermatol. 2017, 137, 2140–2148. [Google Scholar] [CrossRef] [PubMed]
- Beaudet, J.; Tulman, E.R.; Pflaum, K.; Liao, X.; Kutish, G.F.; Szczepanek, S.M.; Silbart, L.K.; Geary, S.J. Transcriptional Profiling of the Chicken Tracheal Response to Virulent Mycoplasma gallisepticum Strain Rlow. Infect. Immun. 2017, 85, e00343-17. [Google Scholar] [CrossRef]
- Hunter, C.A.; Jones, S.A. IL-6 as a keystone cytokine in health and disease. Nat. Immunol. 2015, 16, 448–457. [Google Scholar] [CrossRef] [PubMed]
- Zhong, L.; Wu, C.; Zhao, Y.; Huang, B.; Luo, Z.; Wu, Y. Inflammatory responses and barrier disruption in the trachea of chicks following Mycoplasma gallisepticum infection: A focus on the TNF-α-NF-κB/MLCK pathway. Vet. Res. 2024, 55, 8. [Google Scholar] [CrossRef] [PubMed]
- Teper, A.; Colom, A.J.; Schubert, R.; Jerkic, P.S. Update in postinfectious bronchiolitis obliterans. Pediatr. Pulmonol. 2024, 59, 2338–2348. [Google Scholar] [CrossRef] [PubMed]
- Zhang, H.; Lu, S.; Chao, J.; Lu, D.; Zhao, G.; Chen, Y.; Chen, H.; Faisal, M.; Yang, L.; Hu, C.; et al. The attenuated Mycoplasma bovis strain promotes apoptosis of bovine macrophages by upregulation of CHOP expression. Front. Microbiol. 2022, 13, 925209. [Google Scholar] [CrossRef]
- Gondaira, S.; Higuchi, H.; Iwano, H.; Nakajima, K.; Kawai, K.; Hashiguchi, S.; Konnai, S.; Nagahata, H. Cytokine mRNA profiling and the proliferative response of bovine peripheral blood mononuclear cells to Mycoplasma bovis. Vet. Immunol. Immunopathol. 2015, 165, 45–53. [Google Scholar] [CrossRef]
- Gondaira, S.; Nishi, K.; Fujiki, J.; Iwano, H.; Watanabe, R.; Eguchi, A.; Hirano, Y.; Higuchi, H.; Nagahata, H. Innate immune response in bovine neutrophils stimulated with Mycoplasma bovis. Vet. Res. 2021, 52, 58. [Google Scholar] [CrossRef]
- Zou, J.; Xia, H.; Zhang, C.; Xu, H.; Tang, Q.; Zhu, G.; Li, J.; Bi, F. Casp8 acts through A20 to inhibit PD-L1 expression: The mechanism and its implication in immunotherapy. Cancer Sci. 2021, 112, 2664–2678. [Google Scholar] [CrossRef]
- Bader, S.M.; Preston, S.P.; Saliba, K.; Lipszyc, A.; Grant, Z.L.; Mackiewicz, L.; Baldi, A.; Hempel, A.; Clark, M.P.; Peiris, T.; et al. Endothelial Caspase-8 prevents fatal necroptotic hemorrhage caused by commensal bacteria. Cell Death Differ. 2023, 30, 27–36. [Google Scholar] [CrossRef]
- Mehta, A.; Shapiro, M.D. Apolipoproteins in vascular biology and atherosclerotic disease. Nat. Rev. Cardiol. 2022, 19, 168–179. [Google Scholar] [CrossRef]
- Georgila, K.; Vyrla, D.; Drakos, E. Apolipoprotein A-I (ApoA-I), Immunity, Inflammation and Cancer. Cancers 2019, 11, 1097. [Google Scholar] [CrossRef] [PubMed]
- Rodriguez Reguero, J.J.; Iglesias Cubero, G.; Vazquez, M.; Folgueras, I.; Braga, S.; Bustillo, E.; Mosquera, J.A. Variation in plasma lipid and lipoprotein concentrations in community-acquired pneumonia a six-month prospective study. Eur. J. Clin. Chem. Clin. Biochem. 1996, 34, 245–249. [Google Scholar] [CrossRef] [PubMed][Green Version]
- Chen, L.; Deng, H.; Cui, H.; Fang, J.; Zuo, Z.; Deng, J.; Li, Y.; Wang, X.; Zhao, L. Inflammatory responses and inflammation-associated diseases in organs. Oncotarget 2018, 9, 7204–7218. [Google Scholar] [CrossRef] [PubMed]










| Name | Forward Primer (5′-3′) | Reverse Primer (5′-3′) | Gene ID |
|---|---|---|---|
| APOA1 | GCTGACCTTGGCTGTGCTCTTC | TTCACCCGATCCCAGGATGACTG | Gene ID:281631 |
| BAD | TTGAGCAGAGTGAGCAGGAAGAC | TTAGCCAGTGCTTGCTGAGACC | Gene ID:615013 |
| BLA-DQB | CTGGACAGCAGTTGTGATGGTG | CGAAATCCTTTGGCGAGTCTCTG | Gene ID:539241 |
| BOLA-DQA5 | TGTTTTCCAAGTCTCCCGTGATGC | TGTGACCGAGTGCCCGTTCC | Gene ID:282494 |
| CXCL8 | AGCTGGCTGTTGCTCTCTTGG | TGGGGTGGAAAGGTGTGGAATG | Gene ID:280828 |
| F2 | AGGTACAACTGGAAGGAGAATCTGG | CTTGGCTGCTGTCTGCTTGTC | Gene ID:280685 |
| HSP90B1 | AAGATCGAGAAGGCTGTGGTGTC | ATGTCCTTGCCTGTCTGGTATGC | Gene ID:282646 |
| IL-6 | TGATGAGTGTGAAAGCAGCAAGG | GCAGTGGTTCTAATCAAGCAAATC | Gene ID:280826 |
| IL-17B | TCCTTCTCACCATCTCCATCTTCC | ACACCAGGTCCAGTGGCAAC | Gene ID:504992 |
| MMP3 | ACGGCATTCAGTTCCTGTACGG | GGGTTCGGGAGGCACAGATTC | Gene ID:281309 |
| NF-κB1 | TGACTACGCAGTGACAGGAGAC | TATGAAGGTGGATGATTGCCAAGTG | Gene ID: 616115 |
| RPL12 | TGATGACATCGCCAAGGCAACTG | TGGGCTTGTCTGTTCTGAATGGTC | Gene ID: 404133 |
| GAPDH | GTCTTCACTACCATGGAGAAGG | TACTGGATGACCTTGGCCAG | Gene ID:281181 |
| Sample | Raw Reads | Raw Bases | Clean Reads | Clean Bases | Q30(%) | GC Content(%) | Total Reads | Total Mapped |
|---|---|---|---|---|---|---|---|---|
| Control1 | 43,580,784 | 6,580,698,384 | 42,696,550 | 6,208,009,189 | 93.41 | 51.90 | 42,696,550 | 41,203,330 (96.5%) |
| Control2 | 67,488,566 | 10,190,773,466 | 66,820,766 | 9,701,663,897 | 94.20 | 52.08 | 66,820,766 | 64,238,447 (96.14%) |
| Control3 | 43,950,424 | 6,636,514,024 | 42,724,002 | 6,144,103,535 | 93.39 | 53.01 | 42,724,002 | 40,717,074 (95.3%) |
| Pathogenic1 | 52,807,056 | 7,973,865,456 | 52,214,386 | 7,706,211,884 | 93.92 | 51.69 | 52,214,386 | 50,067,909 (95.89%) |
| Pathogenic2 | 71,991,514 | 10,870,718,614 | 71,327,596 | 10,469,575,414 | 94.27 | 51.93 | 71,327,596 | 67,795,966 (95.05%) |
| Pathogenic3 | 58,290,528 | 8,801,869,728 | 57,533,278 | 8,466,256,638 | 94.23 | 51.14 | 57,533,278 | 55,061,299 (95.7%) |
Disclaimer/Publisher’s Note: The statements, opinions and data contained in all publications are solely those of the individual author(s) and contributor(s) and not of MDPI and/or the editor(s). MDPI and/or the editor(s) disclaim responsibility for any injury to people or property resulting from any ideas, methods, instructions or products referred to in the content. |
© 2025 by the authors. Licensee MDPI, Basel, Switzerland. This article is an open access article distributed under the terms and conditions of the Creative Commons Attribution (CC BY) license (https://creativecommons.org/licenses/by/4.0/).
Share and Cite
Liu, F.; Yang, F.; Guo, L.; Yang, M.; Li, Y.; Li, J.; Guo, Y.; He, S. Alteration in Tracheal Morphology and Transcriptomic Features in Calves After Infection with Mycoplasma bovis. Microorganisms 2025, 13, 442. https://doi.org/10.3390/microorganisms13020442
Liu F, Yang F, Guo L, Yang M, Li Y, Li J, Guo Y, He S. Alteration in Tracheal Morphology and Transcriptomic Features in Calves After Infection with Mycoplasma bovis. Microorganisms. 2025; 13(2):442. https://doi.org/10.3390/microorganisms13020442
Chicago/Turabian StyleLiu, Fan, Fei Yang, Lei Guo, Mengmeng Yang, Yong Li, Jidong Li, Yanan Guo, and Shenghu He. 2025. "Alteration in Tracheal Morphology and Transcriptomic Features in Calves After Infection with Mycoplasma bovis" Microorganisms 13, no. 2: 442. https://doi.org/10.3390/microorganisms13020442
APA StyleLiu, F., Yang, F., Guo, L., Yang, M., Li, Y., Li, J., Guo, Y., & He, S. (2025). Alteration in Tracheal Morphology and Transcriptomic Features in Calves After Infection with Mycoplasma bovis. Microorganisms, 13(2), 442. https://doi.org/10.3390/microorganisms13020442

