First Report of Bacterial Kidney Disease (BKD) Caused by Renibacterium salmoninarum in Chum Salmon (Oncorhynchus keta) Farmed in South Korea
Abstract
1. Introduction
2. Materials and Methods
2.1. Diseased Fish and Clinical Signs
2.2. Diagnostic Examinations for the Affected Fish
2.3. Polymerase Chain Reaction (PCR), Reverse Transcriptase (RT)-PCR, and Sequencing Analysis
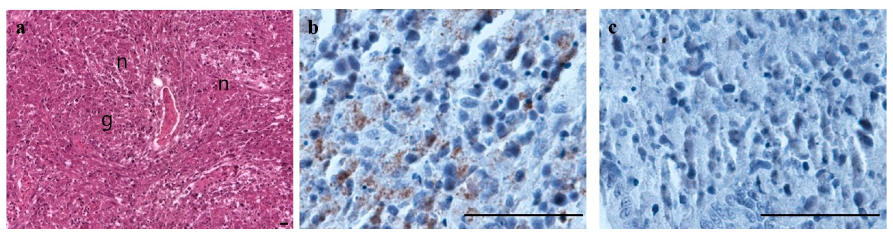
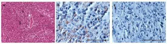
2.4. Histopathology and Immunohistochemistry (IHC)
3. Results and Discussion
4. Conclusions
Author Contributions
Funding
Data Availability Statement
Conflicts of Interest
References
- Kim, S.A.; Kang, S.K.; Kim, J.K.; Bang, M.K. Environmental variability and Chum salmon production at the Northwestern Pacific Ocean. Ocean Sci. J. 2017, 52, 549–562. [Google Scholar] [CrossRef]
- Lee, H.S.; Seong, K.B.; Lee, C.H. History and status of the Chum salmon enhancement program in Korea. Sea J. Kor. Soc. Oceangr. 2007, 12, 73–80. [Google Scholar] [CrossRef]
- NPAFC (North Pacific Anadromous Fish Commission). Pacific Salmonid Catch Statistics and Pacific Salmonid Hatchery Release Statistics; North Pacific Anadromous Fish Commission: Vancouver, BC, Canada, 2021. [Google Scholar]
- Kim, W.S.; Kim, J.O.; Oh, M.J. Appearance of infectious hematopoietic necrosis virus in Rainbow trout, Oncorhychus mykiss, during seawater adaptation. J. World Aquac. Soc. 2016, 47, 352–357. [Google Scholar] [CrossRef]
- Hwang, K.H.; Kim, J.H.; Park, E.Y.; Cha, S.K. An effective range of polydeoxyribonucleotides is critical for wound healing quality. Mol. Med. Rep. 2018, 18, 5166–5172. [Google Scholar] [CrossRef]
- Evelyn, T.P.T.; Hoskins, G.E.; Bell, G.R. First record of bacterial kidney disease in an apparently wild salmonid in British Columbia. Can. J. Fish. Aquat. Sci. 1973, 30, 1578–1580. [Google Scholar] [CrossRef]
- Mitchum, D.L.; Sherman, L.E.; Baxter, G.T. Bacterial kidney disease in feral populatios of Brook trout (Salvelinus fontinalis), Brown Trout (Salmo trutta), and Rainbow trout (Salmon fairdneri). Can. J. Fish Aquat. Sci. 1979, 36, 1370–1979. [Google Scholar] [CrossRef]
- Traxler, G.S. An epizootic of infectious haematopoietic necrosis in 2-year-old kokanee, Oncorhynchus nerka (Walbaum) at Lake Cowichan, British Columbia. J. Fish Dis. 1986, 9, 545–549. [Google Scholar] [CrossRef]
- Evenden, A.J.; Grayson, T.H.; Gilpin, M.L.; Munn, C.B. Renibacterium salmoninarum and bacterial kidney disease—The unfinished jigsaw. Annu. Rev. Fish Dis. 1993, 3, 87–104. [Google Scholar] [CrossRef]
- Raynard, R.S.; Murray, A.G.; Gregory, A. Infectious salmon anaemia virus in wild fish from Scotland. Dis. Aquat. Org. 2001, 46, 93–100. [Google Scholar] [CrossRef]
- Kelly, G.O.; Bendorf, C.M.; Yun, S.C.; Kurath, G.; Hedrick, R.P. Genotypes and phylogeographical relationships of infectious hematopoietic necrosis virus in California, USA, 2007. Dis. Aquat. Org. 2007, 77, 29–40. [Google Scholar] [CrossRef]
- Suzuki, K.; Sakai, D.K. Real-time PCR for quantification of viable Renibacterium salmoninarum in chum salmon Oncohrynchus keta. Dis. Aquat. Org. 2007, 74, 209–223. [Google Scholar] [CrossRef] [PubMed]
- Kasai, H.; Iwawaki, S.; Yoshimizu, M. Surveillance of salmonid viruses especially targeting infectious salmon anemia virus in Japan. Fish Pathol. 2009, 44, 182–184. [Google Scholar] [CrossRef][Green Version]
- Morton, A.B.; Williams, R. First report of a sea louse, Lepeophtheirus salmonis, infestation on juvenile pink salmon, Oncorhynchus gorbuscha, in nearshore habitat. Can. Field Nat. 2003, 117, 634–641. [Google Scholar] [CrossRef]
- Morton, A.B.; Routledge, R.D.; Williams, R. Temporal patterns of sea louse infection on wild pacific salmon in relation to the fallowing of Atlantic salmon farms. N. Am. J. Fish Manag. 2005, 25, 811–821. [Google Scholar] [CrossRef]
- WOAH (World Organisation for Animal Health). Chapter 2.3.3. Infection with Gyrodactylus salaris. In Manual of Diagnostic Tests for Aquatic Animals; WOAH: Paris, France, 2021. [Google Scholar]
- Jeon, C.H.; Kim, S.R.; Kim, W.S.; Lee, C.H.; Seong, K.B.; Lee, C.S.; Oh, M.J.; Kim, J.H. Monitoring of viruses in Chum salmon (Oncorhynchus keta) migrating to Korea. Arch. Virol. 2011, 156, 1025–1030. [Google Scholar] [CrossRef] [PubMed]
- Fryer, J.L.; Sanders, J.E. Bacterial kidney disease of salmonid fish. Ann. Rev. Microbiol. 1981, 35, 273–298. [Google Scholar] [CrossRef]
- Elliott, D.G. Renibacterum salmoninarum, Fish Viruses and Bacteria: Pathobiology and Protection; Woo, P.T.K., Cipriano, R.C., Eds.; CAB International: Wallingford, UK, 2017; pp. 286–297. [Google Scholar] [CrossRef]
- WOAH (World Organisation for Animal Health). Chapter 2.1.11. Bacterial kidney disease (Renibacterium salmoninarum). In Manual of Diagnostic Tests for Aquatic Animals; WOAH: Paris, France, 2003. [Google Scholar]
- Evelyn, T.P.T. Bacterial Kidney Disease-BKD, Bacterial Diseases of Fish; Blackwell Scientific Publications: London, UK, 1993; pp. 177–195. [Google Scholar]
- Bruno, D.W. Histopathology of bacterial kidney disease in laboratory infected rainbow trout, Salmo gairdneri Richardson, and Atlantic salmon, Salmo salar L., with reference to naturally infected fish. J. Fish Dis. 1986, 9, 523–537. [Google Scholar] [CrossRef]
- Evelyn, T.P.T. An improved growth medium for the kidney disease bacterium and some notes on using the medium. Bull. Off. Int. Epiz. 1997, 87, 511–513. [Google Scholar]
- WOAH (World Organisation for Animal Health). Chapter 2.3.5. Infection with infectious haematopoietic necrosis virus. In Manual of Diagnostic Tests for Aquatic Animals; WOAH: Paris, France, 2021. [Google Scholar]
- Heppell, J.; Berthiaume, L.; Tarrab, E.; Lecomte, J.; Arella, M. Evidence of genomic variations between infectious pancreatic necrosis virus strains determined by restriction fragment profiles. J. Gen. Virol. 1992, 73, 2863–2870. [Google Scholar] [CrossRef]
- WOAH (World Organisation for Animal Health). Chapter 2.3.4. Infection with HRP-deleted or HRP0 infectious salmon anaemia virus. In Manual of Diagnostic Tests for Aquatic Animals; WOAH: Paris, France, 2021. [Google Scholar]
- WOAH (World Organisation for Animal Health). Chapter 2.3.8. Infection with salmonid alphavirus. In Manual of Diagnostic Tests for Aquatic Animals; WOAH: Paris, France, 2021. [Google Scholar]
- WOAH (World Organisation for Animal Health). Chapter 2.3.10. Infection with viral haemorrhagic septicemia virus. In Manual of Diagnostic Tests for Aquatic Animals; WOAH: Paris, France, 2021. [Google Scholar]
- Kim, H.J.; Cuenca, A.; Olesen, N.J. Validation of a novel one-step reverse transcription polymerase chain reaction method for detecting viral haemorrhagic septicaemia virus. Aquaculture 2018, 492, 170–183. [Google Scholar] [CrossRef]
- Borzym, E.; Matras, M.; Maj-Paluch, J.; Baud, M.; Boisseson, C.D.; Talbi, C.; Olesen, N.; Bigarre, L. First isolation of hirame rhabdovirus from freshwater fish in Europe. J. Fish Dis. 2014, 37, 423–430. [Google Scholar] [CrossRef] [PubMed]
- Mauel, M.J.; Giovannoni, S.J.; Fryer, J.L. Development of polymerase chain reaction assays for detection, identification, and differentiation of Piscrickettsia salmonis. Dis. Aquat. Org. 1996, 26, 189–195. [Google Scholar] [CrossRef]
- Pascho, R.J.; Chasw, D.; McKibben, C.L. Comparison of the membrane-filtration fluorescent antibody test, the enzyme-linked immunosorbent assay, and the polymerase chain reaction to detect Renibacterium salmoninarum in salmonid overian fluid. J. Vet. Diagn. Investig. 1998, 10, 60–66. [Google Scholar] [CrossRef] [PubMed]
- Weisburg, W.G.; Barns, S.M.; Pellerier, D.A.; Lane, D.J. 16S ribosomal DNA amplification for phylogenetic study. J. Bacteriol. 1991, 173, 697–703. [Google Scholar] [CrossRef]
- Tamura, K.; Stecher, G.; Kumar, S. MEGA11: Molecular evolutionary genetics analysis version 11. Mol. Biol. 2021, 38, 2022–3027. [Google Scholar] [CrossRef]
- Jansson, E.; Hongslo, T.; Lindberg, R.; Ljungberd, O.; Svensson, B.M. Detection of Renibacterium salmoninarum and Yersinia ruckeri by the peroxidase-antiperoxidase immunohistochemical technique in melanin-containing cells of fish tissues. J. Fish Dis. 1991, 14, 689–692. [Google Scholar] [CrossRef]
- Eissa, A.E.; Faisal, M. Clinical outbreaks of bacterial kidney disease (BKD) in hatchery-raised Brook trout (Salvelinus fontinalis) (Mitchill, 1814): Lessons learned. J. Aquac. Res. Dev. 2014, 5, 4. [Google Scholar] [CrossRef]
- Kim, J.O.; Kim, W.S.; Oh, M.J. Investigation of nervous necrosis virus (NNV) replication in vitro using RNA in situ hybridization. Virus Res. 2019, 260, 78–85. [Google Scholar] [CrossRef]
- O’Farrell, C.L.; Elliott, D.G.; Landolt, M.L. Mortality and kidney histopathology of chinook salmon Oncorhynchus tshawyscha exposed to virulent and attenuated Renibacterium salmoninarum strains. Dis. Aquat. Org. 2000, 43, 199–209. [Google Scholar] [CrossRef]
- Moffitt, C.M. Survival of juvenile chinook salmon challenged with Renibacterium salmoninarum and administred oral doses of erythromycin thiocyanate for different durations. J. Aquatic. Anim. Health 1992, 4, 119–125. [Google Scholar] [CrossRef]
- Hsu, H.M.; Wooster, G.A.; Bowser, P.R. Efficacy of enrofloxacin for the treatment of salmonids with bacterial kidney disease, caused by Renibacterium salmoninarum. J. Aquatic. Anim. Health. 1994, 6, 220–223. [Google Scholar] [CrossRef]
- Fairgrieve, W.; Masada, C.L.; McAuley, W.C.; Peterwon, M.E.; Myers, M.S.; Strom, M.S. Accumulation and clearance of orally administered erythromycin and its derivative, azithromycin, in juvenile fall Chinnok salmon Oncorhynchus tshawytscha. Dis. Aquat. Org. 2005, 64, 99–106. [Google Scholar] [CrossRef] [PubMed]
- Suzuki, K.; Misaka, N.; Mizuno, S.; Sasaki, Y. PCR-based detection and quantification of Renibacterium salmoninarum in overian fluid of returning Chum salmon Oncorhynchus keta and masu salmon O. masou in Hokkaido, Japan. Fish Pathol. 2017, 52, 100–103. [Google Scholar] [CrossRef][Green Version]
- Lee, E.G.H.; Evelyn, T.P.T. Effect of Renibacterium salmoninarum levels in the ovarian fluid of spawning chinook salmon on the prevalence of the pathogen in their eggs and progeny. Dis. Aquat. Org. 1989, 7, 179–184. [Google Scholar] [CrossRef]
- Balfry, S.K.; Albright, L.J.; Evelyn, T.P.T. Horizontal transfer of Renibacterium salmoninarum among farmed salmonids via the fecal-oral route. Dis. Aquat. Org. 1996, 25, 63–69. [Google Scholar] [CrossRef]
- Wiens, G.D. Bacterial Kidney Disease, Fish Diseases and Disorders Vol 3: Viral Bacterial and Fungal Infections, 2nd ed.; Woo, P.T.K., Bruno, D.W., Eds.; CAB International: Wallingford, UK, 2011; pp. 338–374. [Google Scholar] [CrossRef]







| a Target Pathogen | Primer Name | Primer Sequence (5′–3′) | Product Length (bp) | Reference | |
|---|---|---|---|---|---|
| Virus | IHNV | mid-G 1F | AGAGATCCCTACACCAGAGAC | 693 | [24] |
| mid-G 1R | GGTGGTGTTGTTTCCGTGCAA | ||||
| IPNV | P1 | AGAGATCACTGACTTCACAAGTGAC | 359 | [25] | |
| P2 | TGTGCACCACAGGAAAGATGACTC | ||||
| ISAV (segment 7) | Forward | CAGGGTTGTATCCATGGTTGAAATG- | 155 | [26] | |
| Reverse | GTCCAGCCCTAAGCTCAACTC | ||||
| ISAV (segment 8) | Forward | CTACACAGCAGGATGCAGATGT | 104 | ||
| Reverse | CAGGATGCCGGAAGTCGAT | ||||
| ISAV [segment 6 (HPR)] | Forward | GACCAGACAAGCTTAGGTAACACAGA | 304 | ||
| Reverse | GATGGTGGAATTCTACCTCTAGACTTGTA | ||||
| SAV | E2F | CCGTTGCGGCCACACTGGATG | 516 | [27] | |
| E2R | CCTCATAGGTGATCGACGGCAG | ||||
| VHSV | 3F | GGGACAGGAATGACCATGAT | 319 | [28] [29] | |
| 2R | TCTGTCACCTTGATCCCCTCCAG | ||||
| HIRRV | oPVP278 | ACTACAATCAACAAATCGCA | 730 | [30] | |
| oPVP279 | GTTGGCGAGTGGGATGTTG | ||||
| Bacteria | Piscirickettsia salmonis | EubB (27F) | AGAGTTTGATCMTGGCTCAG | 1540 | [31] |
| EuBA (1518R) | AAGGAGGTGATCCANCCRCA | ||||
| PS2S (223F) | CTAGGAGATGAGCCCGCGTTG | 467 | |||
| PS2AS (690R) | GCTACACCTGAAATTCCACTT | ||||
| R. salmoninarum | P3 | AGCTTCGCAAGGTGAAGGG | 383 | [20] [32] | |
| M21 | GCAACAGGTTTATTTGCCGGG | ||||
| P4 | ATTCTTCCACTTCAACAGTACAAGG | 320 | |||
| M38 | CATTATCGTTACACCCGAAACC |
| Group | Fish | Appearance of Cytopathic Effect in Cell Line (%) (No. Positive/No. Tested Samples) | Detection by RT-PCR Rate (%) (No. Positive/No. Tested Samples) | Detection by PCR Rate (%) (No. Positive/No. Tested Samples) | ||||||||||
| Tested Sample | Mean Weight (g) | CHSE-214 | EPC | FHM | HIRRV | IHNV | IPNV | ISAV | SAV | VHSV | R. salmoninarium | P. salmonis | ||
| Nested PCR | 16S rRNA | Nested PCR | ||||||||||||
| Subadult | 6 | 429 ± 108 | 0% (0/6) | 0% (0/6) | 0% (0/6) | 0% (0/6) | 0% (0/6) | 0% (0/6) | 0% (0/6) | 0% (0/6) | 0% (0/6) | 100% (6/6) | 100% (2/2) | 0% (0/6) |
| Juvenile | 6 | 40 ± 14 | 33% (2/6) | 0% (0/6) | 0% (0/6) | 0% (0/6) | 0% (0/6) | 0% (0/6) | 0% (0/6) | 0% (0/6) | 0% (0/6) | 100% (6/6) | 100% (3/3) | 0% (0/6) |
| 0% (0/2 a) | 0% (0/2 a) | 100% (2/2 a) | 0% (0/2 a) | 0% (0/2 a) | 0% (0/2 a) | NT | NT | 0% (0/2 a) | ||||||
Disclaimer/Publisher’s Note: The statements, opinions and data contained in all publications are solely those of the individual author(s) and contributor(s) and not of MDPI and/or the editor(s). MDPI and/or the editor(s) disclaim responsibility for any injury to people or property resulting from any ideas, methods, instructions or products referred to in the content. |
© 2024 by the authors. Licensee MDPI, Basel, Switzerland. This article is an open access article distributed under the terms and conditions of the Creative Commons Attribution (CC BY) license (https://creativecommons.org/licenses/by/4.0/).
Share and Cite
Kong, K.-H.; Gong, I.-H.; Jung, S.-J.; Oh, M.-J.; Jung, M.-H.; Han, H.-J.; Kim, H.J.; Kim, W.-S. First Report of Bacterial Kidney Disease (BKD) Caused by Renibacterium salmoninarum in Chum Salmon (Oncorhynchus keta) Farmed in South Korea. Microorganisms 2024, 12, 2329. https://doi.org/10.3390/microorganisms12112329
Kong K-H, Gong I-H, Jung S-J, Oh M-J, Jung M-H, Han H-J, Kim HJ, Kim W-S. First Report of Bacterial Kidney Disease (BKD) Caused by Renibacterium salmoninarum in Chum Salmon (Oncorhynchus keta) Farmed in South Korea. Microorganisms. 2024; 12(11):2329. https://doi.org/10.3390/microorganisms12112329
Chicago/Turabian StyleKong, Kyoung-Hui, In-Ha Gong, Sung-Ju Jung, Myung-Joo Oh, Myung-Hwa Jung, Hyun-Ja Han, Hyoung Jun Kim, and Wi-Sik Kim. 2024. "First Report of Bacterial Kidney Disease (BKD) Caused by Renibacterium salmoninarum in Chum Salmon (Oncorhynchus keta) Farmed in South Korea" Microorganisms 12, no. 11: 2329. https://doi.org/10.3390/microorganisms12112329
APA StyleKong, K.-H., Gong, I.-H., Jung, S.-J., Oh, M.-J., Jung, M.-H., Han, H.-J., Kim, H. J., & Kim, W.-S. (2024). First Report of Bacterial Kidney Disease (BKD) Caused by Renibacterium salmoninarum in Chum Salmon (Oncorhynchus keta) Farmed in South Korea. Microorganisms, 12(11), 2329. https://doi.org/10.3390/microorganisms12112329

