Expanded HPV Genotyping by Single-Tube Nested-Multiplex PCR May Explain HPV-Related Disease Recurrence
Abstract
1. Introduction
2. Materials and Methods
2.1. Patient Accrual and Sample Collection
2.2. DNA Extraction from Cervical Samples
2.3. Outer Multiplex PCR Conditions
2.4. Nested-Multiplex PCR (NMPCR) Conditions
2.5. Capillary Electrophoresis (CE)
2.6. Hybrid Capture 2 Assay (CH2)
2.7. Statistical Analysis
3. Results
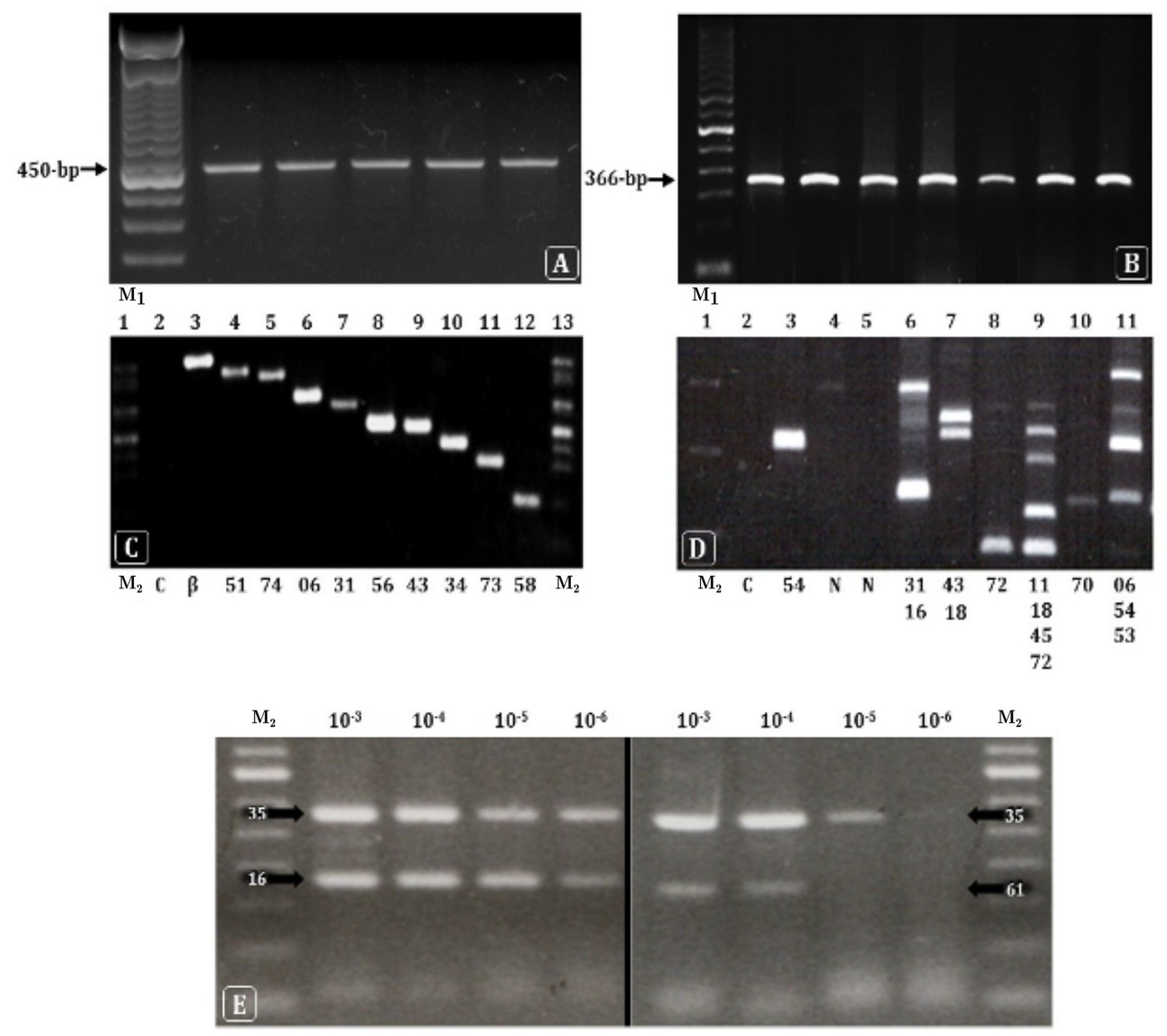
3.1. The Nested-Multiplex PCR and Diagnostic Parameters
3.2. Epidemiological Data
4. Discussion
5. Conclusions
6. Patents
Supplementary Materials
Author Contributions
Funding
Data Availability Statement
Conflicts of Interest
References
- Cohen, P.A.; Jhingran, A.; Oaknin, A.; Denny, L. Cervical cancer. Lancet 2019, 393, 169–182. [Google Scholar] [CrossRef] [PubMed]
- Macedo, J.; Silva, E.; Nogueira, L.; Coelho, R.; da Silva, J.; dos Santos, A.; Teixeira-Júnior, A.A.; Belfort, M.; Silva, G.; Khayat, A.; et al. Genomic profiling reveals the pivotal role of hrHPV driving copy number and gene expression alterations, including mRNA downregulation of TP53 and RB1 in penile cancer. Mol. Carcinog. 2020, 59, 604–617. [Google Scholar] [CrossRef] [PubMed]
- Serrano, B.; Brotons, M.; Bosch, F.X.; Bruni, L. Epidemiology and burden of HPV-related disease. Best. Pract. Res. Clin. Obstet. Gynaecol. 2018, 47, 14–26. [Google Scholar] [CrossRef] [PubMed]
- Allison, D.B.; Maleki, Z. HPV-related head and neck squamous cell carcinoma: An update and review. J. Am. Soc. Cytopathol. 2016, 5, 203–215. [Google Scholar] [CrossRef] [PubMed]
- WHO. Cervix Uteri—The Global Cancer Observatory—Globocan 2022, World Health Organization. International Agency for Research on Cancer. Available online: https://gco.iarc.who.int/media/globocan/factsheets/populations/900-world-fact-sheet.pdf (accessed on 1 February 2024).
- Forman, D.; de Martel, C.; Lacey, C.J.; Soerjomataram, I.; Lortet-Tieulent, J.; Bruni, L.; Vignat, J.; Ferlay, J.; Bray, F.; Plummer, M.; et al. Global burden of human papillomavirus and related diseases. Vaccine 2012, 30 (Suppl. S5), F12–F23. [Google Scholar] [CrossRef]
- Canfell, K. Towards the global elimination of cervical cancer. Papillomavirus Res. 2019, 8, 100170. [Google Scholar] [CrossRef]
- Denny, L. Control of cancer of the cervix in low- and middle-income countries. Ann. Surg. Oncol. 2015, 22, 728–733. [Google Scholar] [CrossRef]
- Graham, S.V. The human papillomavirus replication cycle, and its links to cancer progression: A comprehensive review. Clin. Sci. 2017, 131, 2201–2221. [Google Scholar] [CrossRef]
- Sanchez-Vargas, L.O.; Diaz-Hernandez, C.; Martinez-Martinez, A. Detection of Human Papilloma Virus (HPV) in oral mucosa of women with cervical lesions and their relation to oral sex practices. Infect. Agent. Cancer 2010, 5, 25. [Google Scholar] [CrossRef]
- de Villiers, E.M. Human pathogenic papillomavirus types: An update. Curr. Topics Microbiol. Immunol. 1994, 186, 1–12. [Google Scholar] [CrossRef]
- Burd, E.M. Human papillomavirus and cervical cancer. Clin. Microbiol. Rev. 2003, 16, 1–17. [Google Scholar] [CrossRef] [PubMed]
- Ho, C.M.; Yang, S.S.; Chien, T.Y.; Huang, S.H.; Jeng, C.J.; Chang, S.F. Detection and quantitation of human papillomavirus type 16, 18 and 52 DNA in the peripheral blood of cervical cancer patients. Gynecol. Oncol. 2005, 99, 615–621. [Google Scholar] [CrossRef] [PubMed]
- Harden, M.E.; Munger, K. Human papillomavirus molecular biology. Mutat. Res./Rev. Mutat. Res. 2017, 772, 3–12. [Google Scholar] [CrossRef] [PubMed]
- Pastrana, D.V.; Peretti, A.; Welch, N.L.; Borgogna, C.; Olivero, C.; Badolato, R.; Notarangelo, L.D.; Gariglio, M.; FitzGerald, P.C.; McIntosh, C.E.; et al. Metagenomic discovery of 83 new human papillomavirus types in patients with immunodeficiency. mSphere 2018, 3, e00645-18. [Google Scholar] [CrossRef] [PubMed]
- Manos, M.M.; Ting, Y.; Wright, D.K.; Lewis, A.J.; Broker, T.R.; Wolinski, S.M. The use of polymerase chain reaction amplification for the detection of genital human papillomaviruses. Cancer Cells 1989, 7, 209–214. [Google Scholar]
- Manos, M.M.; Gluzman, Y. Genetic and biochemical analysis of transformation-competent, replication-defective simian virus 40 large T antigen mutants. J. Virol. 1985, 53, 120–127. [Google Scholar] [CrossRef]
- Snijders, P.J.; van den Brule, A.J.; Schrijnemakers, H.F.; Snow, G.; Meijer, C.J.; Walboomers, J.M. The use of general primers in the polymerase chain reaction permits the detection of a broad spectrum of human papillomavirus genotypes. J. Gen. Virol. 1990, 71 Pt 1, 173–181. [Google Scholar] [CrossRef]
- Chouhy, D.; Gorosito, M.; Sanchez, A.; Sánchez, A.; Serra, E.C.; Bergero, A.; Fernandez Bussy, R.; Giri, A.A. New generic primer system targeting mucosal/genital and cutaneous human papillomaviruses leads to the characterization of HPV 115, a novel Beta-papillomavirus species 3. Virology 2010, 397, 205–216. [Google Scholar] [CrossRef]
- Gravitt, P.E.; Peyton, C.L.; Alessi, T.Q.; Wheeler, C.M.; Coutlée, F.; Hildesheim, A.; Schiffman, M.H.; Scott, D.R.; Apple, R.J. Improved amplification of genital human papillomaviruses. J. Clin. Microbiol. 2000, 38, 357–361. [Google Scholar] [CrossRef]
- Soderlund-Strand, A.; Dillner, J.; Carlson, J. High-throughput genotyping of oncogenic human papilloma viruses with MALDI-TOF mass spectrometry. Clin. Chem. 2008, 54, 86–92. [Google Scholar] [CrossRef]
- Cassani, B.; Soldano, G.; Finocchiaro, D.; Conti, S.; Bulfamante, A.; Lemorini, G.; Bulfamante, G. Detection and genotyping of HPV-DNA through different types of diagnostic platforms in liquid-based cervical-cytology samples. Pathologica 2018, 110, 294–301. [Google Scholar] [PubMed]
- Leal, S.M., Jr.; Gulley, M.L. Current and Emerging Molecular Tests for Human Papillomavirus-Related Neoplasia in the Genomic Era. J. Mol. Diagn. 2017, 19, 366–377. [Google Scholar] [CrossRef] [PubMed]
- Chamberlain, J.S.; Gibbs, R.A.; Ranier, J.E.; Nguyen, P.N.; Caskey, C.T. Deletion screening of the Duchenne muscular dystrophy locus via multiplex DNA amplification. Nucleic Acids Res. 1988, 16, 11141–11156. [Google Scholar] [CrossRef] [PubMed]
- Kuo, Y.B.; Li, Y.S.; Chan, E.C. Rapid identification of HPV 16 and 18 by multiplex nested PCR-immunochromatographic test. J. Virol. Methods 2015, 212, 8–11. [Google Scholar] [CrossRef] [PubMed]
- Mudhigeti, N.; Kalawat, U.; Hulikal, N.; Racherla, R.G. E6-E7 based nested multiplex PCR assay for genital HPV detection and simultaneous typing of 15 high and low-risk HPV types. Indian. J. Med. Microbiol. 2022, 40, 18–23. [Google Scholar] [CrossRef]
- US Preventive Services Task Force; Curry, S.J.; Krist, A.H.; Owens, D.K.; Barry, M.J.; Caughey, A.B.; Davidson, K.W.; Doubeni, C.A.; Epling, J.W., Jr.; Kemper, A.R.; et al. Screening for Cervical Cancer US Preventive Services Task Force Recommendation Statement. JAMA 2018, 320, 674–686. [Google Scholar] [CrossRef]
- Miller, S.A.; Dykes, D.D.; Polesky, H.F. A simple salting out procedure for extracting DNA from human nucleated cells. Nucleic Acids Res. 1988, 16, 1215. [Google Scholar] [CrossRef]
- de Roda Husman, A.M.; Walboomers, J.M.; van den Brule, A.J.; Meijer, C.J.; Snijders, P.J. The use of general primers GP5 and GP6 elongated at their 3′ ends with adjacent highly conserved sequences improves human papillomavirus detection by PCR. J. Gen. Virol. 1995, 76 Pt 4, 1057–1062. [Google Scholar] [CrossRef]
- van Muyden, R.C.; ter Harmsel, B.W.; Smedts, F.M.; Hermans, J.; Kuijpers, J.C.; Raikhlin, N.T.; Petrov, S.; Lebedev, A.; Ramaekers, F.C.; Trimbos, J.B.; et al. Detection and typing of human papillomavirus in cervical carcinomas in Russian women: A prognostic study. Cancer 1999, 85, 2011–2016. [Google Scholar] [CrossRef]
- Wendland, E.M.; Villa, L.L.; Unger, E.R.; Domingues, C.M.; Benzaken, A.S.; POP-Brazil Study Group. Prevalence of HPV infection among sexually active adolescents and young adults in Brazil: The POP-Brazil Study. Sci. Rep. 2020, 10, 4920. [Google Scholar] [CrossRef]
- Fernandes, J.V.; de Vasconcellos Meissner, R.; de Carvalho, M.G.; Fernandes, T.A.; de Azevedo, P.R.; Villa, L.L. Prevalence of HPV infection by cervical cytologic status in Brazil. Int. J. Gynaecol. Obstet. 2009, 105, 21–24. [Google Scholar] [CrossRef]
- Carestiato, F.N.; Silva, K.C.; Dimetz, T.; Oliveira, L.H.; Cavalcanti, S.M. Prevalence of human papillomavirus infection in the genital tract determined by hybrid capture assay. Braz. J. Infec Dis. 2006, 10, 331–336. [Google Scholar] [CrossRef] [PubMed]
- Basiletti, J.A.; Valls, J.; Poklépovich, T.; Fellner, M.D.; Rol, M.; Alonso, R.; Correa, R.M.; Colucci, M.C.; Rodríguez de la Peña, M.; Falabella, P.G.; et al. Human papillomavirus genotyping using next generation sequencing (NGS) in cervical lesions: Genotypes by histologic grade and their relative proportion in multiple infections. PLoS ONE 2022, 17, e0278117. [Google Scholar] [CrossRef] [PubMed]
- Zhao, X.; Wu, Q.; Wang, X.; Fu, Y.; Zhang, X.; Tian, X.; Cheng, B.; Lu, B.; Yu, X.; Lan, S.; et al. The performance of human papillomavirus DNA detection with type 16/18 genotyping by hybrid capture in primary test of cervical cancer screening: A cross-sectional study in 10,669 Chinese women. Clin. Microbiol. Infect. 2018, 24, 1322–1327. [Google Scholar] [CrossRef]
- Ramas, V.; Mirazo, S.; Bonilla, S.; Mendoza, L.; Lago, O.; Basiletti, J.; González, J.; Picconi, M.A.; Arbiza, J. Human papillomavirus genotypes distribution in cervical samples from Uruguayan women. J. Med. Virol. 2013, 85, 845–851. [Google Scholar] [CrossRef] [PubMed]
- Amaro-Filho, S.M.; Golub, J.E.; Nuovo, G.J.; Cunha, C.B.; Levi, J.E.; Villa, L.L.; Andrade, C.V.; Russomano, F.B.; Tristão, A.; Pires, A.; et al. A comparative analysis of clinical and molecular factors with the stage of cervical cancer in a Brazilian cohort. PloS ONE 2013, 8, e57810. [Google Scholar] [CrossRef]
- Aruhuri, B.; Tarivonda, L.; Tenet, V.; Sinha, R.; Snijders, P.J.; Clifford, G.; Pang, J.; McAdam, M.; Meijer, C.J.; Frazer, I.H.; et al. Prevalence of cervical human papillomavirus (HPV) infection in Vanuatu. Cancer Prev. Res. 2012, 5, 746–753. [Google Scholar] [CrossRef]
- Kondo, K.; Uenoyama, A.; Kitagawa, R.; Tsunoda, H.; Kusumoto-Matsuo, R.; Mori, S.; Ishii, Y.; Takeuchi, T.; Kanda, T.; Kukimoto, I. Genotype distribution of human papillomaviruses in Japanese women with abnormal cervical cytology. Open Virol. J. 2012, 6, 277–283. [Google Scholar] [CrossRef]
- Martin, P.; Kilany, L.; Garcia, D.; López-Garcia, A.M.; Martín-Azaña, M.J.; Abraira, V.; Bellas, C. Human papillomavirus genotype distribution in Madrid and correlation with cytological data. BMC Infect. Dis. 2011, 11, 316. [Google Scholar] [CrossRef]
- Dunne, E.F.; Unger, E.R.; Sternberg, M.; McQuillan, G.; Swan, D.C.; Patel, S.S.; Markowitz, L.E. Prevalence of HPV infection among females in the United States. JAMA 2007, 297, 813–819. [Google Scholar] [CrossRef]
- Sotlar, K.; Diemer, D.; Dethleffs, A.; Hack, Y.; Stubner, A.; Vollmer, N.; Menton, S.; Menton, M.; Dietz, K.; Wallwiener, D.; et al. Detection and typing of human papillomavirus by E6 nested multiplex PCR. J. Clin. Microbiol. 2004, 42, 3176–3184. [Google Scholar] [CrossRef] [PubMed]
- Munagala, R.; Donà, M.G.; Rai, S.N.; Jenson, A.B.; Bala, N.; Ghim, S.J.; Gupta, R.C. Significance of multiple HPV infection in cervical cancer patients and its impact on treatment response. Int. J. Oncol. 2009, 34, 263–271. [Google Scholar] [PubMed]
- Sana, D.E.; Mayrink de Miranda, P.; Pitol, B.C.; Moran, M.S.; Silva, N.N.; Guerreiro da Silva, I.D.; de Cássia Stocco, R.; Beçak, W.; Lima, A.A.; Carneiro, C.M. Morphometric evaluation and nonclassical criteria for the diagnosis of HPV infection and cytological atypia in cervical samples. Diagn. Cytopathol. 2013, 41, 785–792. [Google Scholar] [CrossRef]
- Jin, X.W.; Sikon, A.; Yen-Lieberman, B. Cervical cancer screening: Less testing, smarter testing. Clevel. Clin. J. Med. 2011, 78, 737–747. [Google Scholar] [CrossRef]
- Chin, P.S.; Chia, Y.N.; Lim, Y.K.; Yam, K.L. Diagnosis and management of Mullerian adenosarcoma of the uterine cervix. Int. J. Gynaecol. Obstet. 2013, 121, 229–232. [Google Scholar] [CrossRef]
- Long, M.E.; Dwarica, D.S.; Kastner, T.M.; Gallenberg, M.M.; Chantigian, P.D.; Marnach, M.L.; Weaver, A.L.; Casey, P.M. Comparison of dysplastic and benign endocervical polyps. J. Low. Genit. Tract. Dis. 2013, 17, 142–146. [Google Scholar] [CrossRef]
- Sawaya, G.F.; Grady, D.; Kerlikowske, K.; Valleur, J.L.; Barnabei, V.M.; Bass, K.; Snyder, T.E.; Pickar, J.H.; Agarwal, S.K.; Mandelblatt, J. The positive predictive value of cervical smears in previously screened postmenopausal women: The Heart and Estrogen/progestin Replacement Study (HERS). Ann. Intern. Med. 2000, 133, 942–950. [Google Scholar] [CrossRef] [PubMed]
- Rositch, A.F.; Silver, M.I.; Burke, A.; Viscidi, R.; Chang, K.; Duke, C.M.; Shen, W.; Gravitt, P.E. The correlation between human papillomavirus positivity and abnormal cervical cytology result differs by age among perimenopausal women. J. Low. Genit. tract Dis. 2013, 17, 38–47. [Google Scholar] [CrossRef] [PubMed]
- Aissam, E.A.; Jaddi, H.; Ennaji, M.M.; Mzibri, M.E.L. Recent Advances in Human Papillomavirus Detection and Genotyping. Br. Microbiol. Res. J. 2016, 11, 1–22. [Google Scholar] [CrossRef]
- Ekeowa-Anderson, A.L.; Purdie, K.J.; Gibbon, K.; Byrne, C.R.; Arbeit, J.M.; Harwood, C.A.; O’Shaughnessy, R.F. AKT1 loss correlates with episomal HPV16 in vulval intraepithelial neoplasia. PLoS ONE 2012, 7, e38608. [Google Scholar] [CrossRef]
- Almonte, M.; Murillo, R.; Sánchez, G.I.; González, P.; Ferrera, A.; Picconi, M.A.; Wiesner, C.; Cruz-Valdez, A.; Lazcano-Ponce, E.; Jerónimo, J.; et al. Multicentric study of cervical cancer screening with human papillomavirus testing and assessment of triage methods in Latin America: The ESTAMPA screening study protocol. BMJ Open 2020, 10, e035796. [Google Scholar] [CrossRef] [PubMed]




| Type | ID | Sequences * | Source | Amplicon Size (bp) |
|---|---|---|---|---|
| Consensus | MY09 | CGT CCM AAR GGA HAC TGA TC | [11] | 450 |
| Degenerated | MY09-A | CGT CCM ARR GGA TAC TGA TC | Present Study | 450 |
| MY09-B | CKN CCH ARD GGA AAC TGA TC | |||
| MY09-C | CKM CCH ARK GGA WTA TGA TC | |||
| MY09-D | CKD CCY ARD GGR AAT TGG TC | |||
| MY11-1 | GCN GAG GGH CAC AAT AAT GG | |||
| MY11-2 | GCN CAG GGH CAB AAC AAT GG | |||
| MY11-3 | CCH CAR GGH CAT AAT AAT GG | |||
| MY11-4 | GCN CAG GGH CAT AAC AAT GG | |||
| MY11-5 | GCY CAG GGH YWM AAC AAT GG | |||
| Constitutive gene | BG1 | CAC CTT TGC CAC ACT GAG TGA G | Present Study | 366 |
| BG2 | AGT AAT GTA CTA GGC AGA CTG TG |
| Oncogenic Risk | HPV | Amplicon Size (bp) | Oligonucleotide Sequences (5′ -> 3′) 1,2 | GenBank Identifier | Nucleotide Position |
|---|---|---|---|---|---|
| Low | 06 | 319 | (D4-PA) 3 ACA TGA CAT TAT GTG CAT CCG | AF092932 | 6799-6819 |
| CCT CCC AAA AAC TAA GGT TC | 7119-7100 | ||||
| Low | 11 | 290 | (D4-PA) 3 CAT CTG TGT CTA AAT CTG CT | AF335603.1 | 1028-1047 |
| TAT CCT TAT AGG GAT CCT GT | 1318-1299 | ||||
| High | 16 | 175 | (D4-PA) 3 CTA ACT TTA AGG AGT ACC TAC | AY177679 | 1073-1093 |
| TCT TCT AGT GTG CCT CCT | 1247-1230 | ||||
| High | 18 | 239 | (D4-PA) 3 TCT CCT GTA CCT GGG CA | U45891 | 103-119 |
| GGT AAT AGC AAC AGA TTG TG | 340-320 | ||||
| High | 26 | 286 | CTG ACA GGT AGT AGC AGA GT | X74472 | 6877-6858 |
| (D3-PA) 3 ACC ACC CGC AGT ACT AAC CTT | 6592-6613 | ||||
| High | 30 | 171 | GGT GAC AAT CCA ATA TTC CAG C | X74474 | 6871-6850 |
| (D4-PA) 3 CGT TAT CCA CAT ATA ATT CAA GCC | 6700-6723 | ||||
| High | 31 | 313 | (D3-PA) 3 CAA TTG CAA ACA GTG ATA CT | U37410 | 2737-2717 |
| AAA TTA ACC TCC CAA AAT AC | 2424-2444 | ||||
| High | 33 | 315 | (D3-PA) 3 TTT ATG CAC ACA AGT CAC TAG | U45897-M12732 | 84-104 |
| CAC TTC CCA AAA TGT ATA TTT ACC | 399-376 | ||||
| High | 34 | 170 | (D3-PA) 3 ACA ATC CAC AAG TAC AAC TGC | X74476 | 6542-6562 |
| TCC ACT GTT CCA ATA TAC TAG AA | 6711-6689 | ||||
| High | 35 | 277 | (D3-PA) 3 TG TTC TGC TGT GTC TWC TAG | M74117-X74477 | 6609-6628 |
| GGT TTT GGT GCA CTG GGT | 6885-6866 | ||||
| High | 39 | 237 | (D2-PA) 3 TAC CTC TAT AGA GTC TTC CA | U45905-U45904 | 90-109 |
| AGA CTG TAA GTA TCT GTA AGT G | 327-306 | ||||
| Low | 42 | 285 | (D4-PA) 3 TGT GCC ACT GCA ACA TCT GG | M73236 | 6869-6888 |
| GGA TCC TTT TTT TCT GGC GTT GT | 7152-7130 | ||||
| Low | 43 | 246 | CAT GCA ATG GCC TTG TTA GAC | U12504 | 341-321 |
| (D4-PA) 3 CTG ACC CTA CTG TGC CCA G | 98-116 | ||||
| Low | 44 | 205 | TAA GGT ACC ATT TGG GGG CG | U12493 | 300-281 |
| (D4-PA) CCA CTA CAC AGT CCC CTC CG | 95-114 | ||||
| High | 45 | 193 | GAA ATC CTG TGC CAA GTA C | X74479-U45915 | 6662-6680 |
| (D3-PA) 3 TGT AGT AGG TGG TGG AGG G | 6855-6837 | ||||
| High | 51 | 337 | (D4-PA) 3 ACT ATT AGC ACT GCC ACT G | M62877-U45917 | 6547-6565 |
| AAT CGT TCC TTT AAA TCA ACA TC | 6884-6862 | ||||
| High | 52 | 191 | (D4-PA) 3 CTG AGG TKA AAA AGG AAA GC | X74481 | 6694-6715 |
| ACG GTG GTG GGG TAA GG | 6885-6869 | ||||
| High | 53 | 127 | (D4-PA) 3 TTC CGC AAC CAC ACA GTC | X74482 | 6807-6790 |
| TAA CCT CAG CAG ACA GG G | 6680-6698 | ||||
| Medium | 54 | 213 | GTG TGC TAC AGC ATC CAC GC | U37488 | 6627-6646 |
| (D4-PA) 3 TCC TCC AAA CTA CTT GTA GC | 6839-6820 | ||||
| Medium | 55 | 278 | (D4-PA) 3 CTT TGC CTT TTC AGG GGG A | U12494 | 369-351 |
| GCT GCT ACA ACT CAG TCT CC | 91-110 | ||||
| High | 56 | 267 | (D4-PA) 3 TAG TAC TGC TAC AGA ACA G | X74483 | 6625-6645 |
| TTT GGT GGC TGT TCC CG | 6892-6878 | ||||
| Low | 57 | 235 | (D4-PA)3 AAT ACC TGT AGG TGT CCT GC | X55965 | 6784-6762 |
| GTC TCT TTG TGT GCC ACT GTA AC | 6977-6996 | ||||
| High | 58 | 124 | (D3-PA) 3 CAC TGA AGT AAC TAA AGA AGA | AY098920 | 38-58 |
| CAT TAC CTC TGC AGT TAG TGT | 164-144 | ||||
| High | 59 | 213 | AAG TTA CAG CAG CAG ATT GA | AF374230 | 340-321 |
| (D3-PA) 3 CCT ACC AGT TTT AAA GAA TAT GC | 127-149 | ||||
| Medium | 61 | 174 | (D3-PA) 3 ATT TGT ACT GCT ACA TCC CC | U31793 | 6796-6815 |
| GAG TCA TCC AAC AAG GCC | 6970-6954 | ||||
| Medium | 62 | 249 | GAG ACT CGA AAT AGT GAT ATG TC | U12499 | 322-300 |
| (D4-PA) 3 CTA ATT TTA CTA TTT GTA CCG CC | 74-96 | ||||
| Medium | 64 | 110 | TCC ACT GTT CTA ATA TAC TAG A | U12495 | 268-247 |
| (D4-PA) 3 TGC AGA AGA GTA TGA CCT CG | 159-178 | ||||
| High | 66 | 283 | CCC AAA ACT TAT ATT TAG CCA GG | U01533 | 374-352 |
| (D3-PA) 3 CTA AAT ATG ATG CCC GTG AAA TC | 92-112 | ||||
| High | 67 | 141 | CAT AAC ATT TGC AGT AAG GGA | U12492 | 217-196 |
| (D4-PA) 3 AAC ATG ACT TTA TAT TCT GAG G | 76-97 | ||||
| High | 68 | 239 | (D3-PA) 3 TAC TAC TAC TGA ATC AGC TG | U45934 | 90-109 |
| CCG CTA TCT GCA ATC AGT | 312-329 | ||||
| Medium | 69 | 237 | (D3-PA) 3 CTA CCC GCA GTA CCA ACC TC | AB027020-U12497 | 6550-6570 |
| AAC TAG CAG TAG GAG GCA AG | 6786-6767 | ||||
| Medium | 70 | 209 | GCC ATA CCT GCT GTA TAT AG | U22461 | 1076-1097 |
| (D3-PA) 3 CCT ATA CGT GTC CAC TAAG | 1285-1267 | ||||
| Medium | 71 | 202 | (D3-PA) 3 CTG TGC TAC CAA AAC TGT TGA G | AY330623 | 6877-6898 |
| AGC AGT AGG AGG TGG TAA GG | 7078-7059 | ||||
| Medium | 72 | 74 | (D4-PA) 3 ACT ATT TGT ACT GCC ACA GCG | X94164 | 6819-6839 |
| GTG TGG CGA AGA TAC TCA CG | 6892-6873 | ||||
| High | 73 | 180 | GTA GGT ACA CAG GCT AGT AG | AF459425-X94165 | 71-90 |
| (D4-PA) 3 ATT CCA CTC TTC CAA TAT AGT AG | 250-228 | ||||
| Medium | 74 | 329 | (D4-PA) 3 ACA CGY AGT ACT AAC ATG ACW G | AF436130-U40822 | 6587-6606 |
| AAA TTK GCA TAG GGA TTR GGC | 6915-6895 | ||||
| Medium | 81 | 140 | (D3-PA) 3 CTA TTT GCA CAG CTA CAT CTG | EF626590-AJ620209 | 83-103 |
| GTA GGC CAT AAT TTC TGG TGT | 222-202 | ||||
| High | 82 | 261 | (D4-PA) 3 CAT TAG CAC TGC TGY TAC TCC | AB027021 | 6599-6619 |
| CCY KKT GAC AGG AKG TTG CTG | 6859-6844 | ||||
| Medium | 83 | 305 | GGA TCC TTT TTA GGG GCA GG | U12489 | 374-355 |
| (D4-PA) 3 AGT ACC AAT ATT ACT ATT TCA GC | 70-92 | ||||
| Medium | 84 | 83 | (D4-PA) 3 AGG AAT ACC TAA GAC ATG TG | U12490 | 134-153 |
| CA TGA CCT CTG GAG TCA G | 216-199 | ||||
| β-globin | BG2 | 366 | AGT AAT GTA CTA GGC AGA CTG TG | U01317 | 62945-62967 |
| BG3 | (D3-PA)-AAG CTG CAC GTG GAT CCT GAG | 62601-62622 |
| NMPCR × HC2 × Cytopatholgy | |||||
|---|---|---|---|---|---|
| NMPCR | Total | HC2 | Cytopathology | ||
| P | N | P * | N | ||
| P | 30 (75.0%) | 10 (25.0%) | 20 (50.0%) | 14 (35.0%) | 16 (40.0%) |
| N | 10 (25.0%) | 2 (5.0%) | 8 (20.0%) | 2 (5.0%) | 8 (20.0%) |
| Total | 40 (100%) | 12 (30%) | 28 (70.0%) | 16 (40.0%) | 24 (60.0%) |
| HC2 × Cytopathology | P | 6 (15.0%) | 6 (15.0%) | ||
| N | 10 (25.0%) | 18 (45.0%) | |||
| Total | 16 (40.0%) | 24 (60.0%) | |||
| HPV Genotype/Risk | Single Infection (%) | Multiple Infection (%) |
|---|---|---|
| High-Risk (58.6%; 757 out of 1292) | 42.0% (1292 out of 3079) | 58.0% (1787 out of 3079) |
| 16 | 4.9 | 13.4 |
| 18 | 1.6 | 8.4 |
| 26 | 0.4 | 3.1 |
| 30 | 2.6 | 8.1 |
| 31 | 5.2 | 14.6 |
| 33 | 1.2 | 5.2 |
| 34 | 1.9 | 5.7 |
| 35 | 4.0 | 9.9 |
| 39 | 1.7 | 12.0 |
| 45 | 1.2 | 4.5 |
| 51 | 3.2 | 14.4 |
| 52 | 5.4 | 18.3 |
| 53 | 7.1 | 16.1 |
| 56 | 3.7 | 11.8 |
| 66 | 3.9 | 12.3 |
| 67 | 0.9 | 4.8 |
| 68 | 0.5 | 3.9 |
| 69 | 0.8 | 4.0 |
| 70 | 1.5 | 4.3 |
| 73 | 3.7 | 11.4 |
| 82 | 0.4 | 1.9 |
| Low- and Medium-Risk (41.4%; 535 out of 1292) | ||
| 6 | 15.1 | 27.5 |
| 11 | 0.9 | 3.3 |
| 42 | 4.5 | 16.1 |
| 43 | 0.3 | 1.5 |
| 44 | 2.4 | 8.8 |
| 54 | 4.0 | 16.5 |
| 61 | 4.6 | 15.1 |
| 62 | 3.1 | 10.6 |
| 71 | 1.6 | 4.6 |
| 72 | 0.1 | 0.4 |
| 74 | 0.2 | 0.8 |
| 81 | 1.2 | 7.9 |
| 83 | 1.2 | 4.0 |
| 84 | 1.5 | 3.8 |
Disclaimer/Publisher’s Note: The statements, opinions and data contained in all publications are solely those of the individual author(s) and contributor(s) and not of MDPI and/or the editor(s). MDPI and/or the editor(s) disclaim responsibility for any injury to people or property resulting from any ideas, methods, instructions or products referred to in the content. |
© 2024 by the authors. Licensee MDPI, Basel, Switzerland. This article is an open access article distributed under the terms and conditions of the Creative Commons Attribution (CC BY) license (https://creativecommons.org/licenses/by/4.0/).
Share and Cite
Goulart, L.R.; Colombo, B.F.M.; Lima, M.I.S.; de Andrade, M.S.A.; São Julião, J.; Neves, A.F.; Pereira, S.R. Expanded HPV Genotyping by Single-Tube Nested-Multiplex PCR May Explain HPV-Related Disease Recurrence. Microorganisms 2024, 12, 2326. https://doi.org/10.3390/microorganisms12112326
Goulart LR, Colombo BFM, Lima MIS, de Andrade MSA, São Julião J, Neves AF, Pereira SR. Expanded HPV Genotyping by Single-Tube Nested-Multiplex PCR May Explain HPV-Related Disease Recurrence. Microorganisms. 2024; 12(11):2326. https://doi.org/10.3390/microorganisms12112326
Chicago/Turabian StyleGoulart, Luiz Ricardo, Bruna França Matias Colombo, Mayara Ingrid Sousa Lima, Maria Socorro A. de Andrade, Juliana São Julião, Adriana Freitas Neves, and Silma Regina Pereira. 2024. "Expanded HPV Genotyping by Single-Tube Nested-Multiplex PCR May Explain HPV-Related Disease Recurrence" Microorganisms 12, no. 11: 2326. https://doi.org/10.3390/microorganisms12112326
APA StyleGoulart, L. R., Colombo, B. F. M., Lima, M. I. S., de Andrade, M. S. A., São Julião, J., Neves, A. F., & Pereira, S. R. (2024). Expanded HPV Genotyping by Single-Tube Nested-Multiplex PCR May Explain HPV-Related Disease Recurrence. Microorganisms, 12(11), 2326. https://doi.org/10.3390/microorganisms12112326

