Subclinical Ovine Gammaherpesvirus 2-Related Infections in Free-Ranging Wild Boars (Sus scrofa) from Southern Brazil
Abstract
1. Introduction
2. Materials and Methods
2.1. Study Area and Sample Collection
2.2. Histopathological and Immunohistochemical Evaluations
2.3. DNA Extraction from Organs and Biological Samples of Wild Boars
2.4. Molecular Detection of OvGHV2 and Specific Viral Pathogens Associated with Porcine Respiratory Disease
2.5. Sequencing the Partial Fragment of the OvGHV2 Tegument Protein Gene
2.6. Types of Macavirus Infections Diagnosed in Free-Ranging Wild Boars from Southern Brazil
3. Results
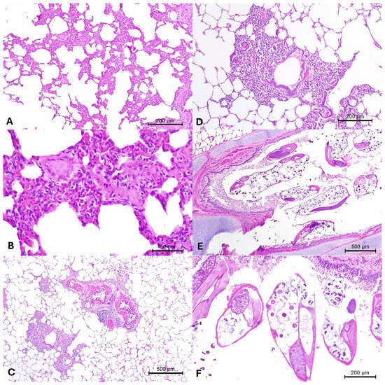
3.1. Principal Histopathological Findings Observed in Free-Ranging Wild Boars
3.2. Immunohistochemical Detection of MCFV Antigens in Pulmonary Tissues of Wild Boars
3.3. Molecular Detection of OvGHV2 in Free-Ranging Wild Boars and Phylogenetic Analysis of the Tegument Protein Gene
3.4. Geographical Location of the Collection Sites within the Vila Velha State Park, Paraná State, Southern Brazil
4. Discussion
4.1. Free-Ranging Wild Boars Were Probably Infected Due to Incidental Contact with Extensively Reared Asymptomatic Sheep
4.2. Subclinical OvGHV2-Induced Infections May Produce Pulmonary Disease in Wild Boars
4.3. Oral Lesions Are Not Manifestations Frequently Associated with OvGHV2-Related Infections in Pigs
4.4. Free-Ranging Wild Boars May Be Potential Candidates for the Dissemination of OvGHV2
4.5. The Identification of Bronchointerstitial Pneumonia, Parasitic Bronchopneumonia, and Necrotizing Hepatitis in These Wild Boars Is Not Related to OvGHV2 Infections
4.6. Study Restrictions and Future Perspectives
5. Conclusions
Author Contributions
Funding
Institutional Review Board Statement
Informed Consent Statement
Data Availability Statement
Acknowledgments
Conflicts of Interest
References
- Li, H.; Cunha, C.W.; Taus, N.S. Malignant catarrhal fever: Understanding molecular diagnostics in context of epidemiology. Int. J. Mol. Sci. 2011, 12, 6881–6893. [Google Scholar] [CrossRef] [PubMed]
- Li, H.; Cunha, C.W.; Taus, N.S.; Knowles, D.P. Malignant catarrhal fever: Inching toward understanding. Annul. Rev. Anim. Biosci. 2014, 2, 209–233. [Google Scholar] [CrossRef] [PubMed]
- O’Toole, D.; Li, H. The pathology of malignant catarrhal fever, with an emphasis on ovine herpesvirus 2. Vet. Pathol. 2014, 51, 437–452. [Google Scholar] [CrossRef] [PubMed]
- Headley, S.A.; Oliveira, T.E.S.; Cunha, C.W. A review of the epidemiological, clinical, and pathological aspects of sheep-associated malignant catarrhal fever with emphasis on Brazil. Braz. J. Microbiol. 2020, 51, 1405–1432. [Google Scholar] [CrossRef] [PubMed]
- ICTV. International Committee on Taxonomy of Viruses. Subfamily: Gammaherpesvirinae, Genus: Macavirus. Available online: https://ictv.global/report/chapter/herpesviridae/herpesviridae/macavirus (accessed on 3 March 2024).
- Li, H.; Shen, D.T.; O’Toole, D.; Knowles, D.P.; Gorham, J.R.; Crawford, T.B. Investigation of sheep-associated malignant catarrhal fever virus infection in ruminants by PCR and competitive inhibition enzyme-linked immunosorbent assay. J. Clin. Microbiol. 1995, 33, 2048–2053. [Google Scholar] [CrossRef] [PubMed]
- Li, H.; Shen, D.T.; Davis, W.C.; Knowles, D.P.; Gorham, J.R.; Crawford, T.B. Identification and characterization of the major proteins of malignant catarrhal fever virus. J. Gen. Virol. 1995, 76, 123–129. [Google Scholar] [CrossRef] [PubMed]
- Crawford, T.B.; Li, H.; Rosenburg, S.R.; Norhausen, R.W.; Garner, M.M. Mural folliculitis and alopecia caused by infection with goat-associated malignant catarrhal fever virus in two sika deer. J. Am. Vet. Med. Assoc. 2002, 221, 843–847. [Google Scholar] [CrossRef] [PubMed]
- Li, H.; Keller, J.; Knowles, D.P.; Crawford, T.B. Recognition of another member of the malignant catarrhal fever virus group: An endemic gammaherpesvirus in domestic goats. J. Gen. Virol. 2001, 82, 227–232. [Google Scholar] [CrossRef]
- Russell, G.C.; Stewart, J.P.; Haig, D.M. Malignant catarrhal fever: A review. Vet. J. 2009, 179, 324–335. [Google Scholar] [CrossRef]
- Headley, S.A.; Oliveira, T.E.S.; Li, H.; Lisbôa, J.A.N.; Queiroz, G.R.; Fritzen, J.T.T.; Flores, E.F.; Alfieri, A.A.; Cunha, C.W. Immunohistochemical detection of intralesional antigens of Ovine Gamaherpesvirus-2 in cattle with Sheep-Associated Malignant Catarrhal Fever. J. Comp. Path 2020, 174, 86–98. [Google Scholar] [CrossRef]
- Taus, N.S.; Oaks, J.L.; Gailbreath, K.; Traul, D.L.; O’Toole, D.; Li, H. Experimental aerosol infection of cattle (Bos taurus) with ovine herpesvirus 2 using nasal secretions from infected sheep. Vet. Microbiol. 2006, 116, 29–36. [Google Scholar] [CrossRef] [PubMed]
- Li, H.; Taus, N.S.; Lewis, G.S.; Kim, O.; Traul, D.L.; Crawford, T.B. Shedding of ovine herpesvirus 2 in sheep nasal secretions: The predominant mode for transmission. J. Clin. Microbiol. 2004, 42, 5558–5564. [Google Scholar] [CrossRef] [PubMed]
- Li, H.; Hua, Y.; Snowder, G.; Crawford, T.B. Levels of ovine herpesvirus 2 DNA in nasal secretions and blood of sheep: Implications for transmission. Vet. Microbiol. 2001, 79, 301–310. [Google Scholar] [CrossRef] [PubMed]
- Headley, S.A.; Pimentel, L.A.; Oliveira, V.H.; Toma, H.S.; Alfieri, A.F.; Carvalho, A.M.; dos Santos, M.D.; Alfieri, A.A. Transplacental transmission of ovine herpesvirus 2 in cattle with sheep-associated malignant catarrhal fever. J. Comp. Path 2015, 153, 206–211. [Google Scholar] [CrossRef] [PubMed]
- Costa, E.A.; Viott, A.M.; Machado, G.S.; Bomfim, M.R.Q.; Coelho, F.M.; Lobato, Z.I.P.; Resende, M.; Guedes, R.M.C. Transmission of ovine herpesvirus 2 from asymptomatic boars to sows. Emerg. Infect. Dis. 2010, 16, 2011–2012. [Google Scholar] [CrossRef] [PubMed]
- Rosato, G.; Ruiz Subira, A.; Al-Saadi, M.; Michalopoulou, E.; Verin, R.; Dettwiler, M.; Nordgren, H.; Chiers, K.; Groβmann, E.; Köhler, K.; et al. Gammaherpesvirus infections in cattle in Europe. Viruses 2021, 13, 2337. [Google Scholar] [CrossRef] [PubMed]
- Stahel, A.B.; Baggenstos, R.; Engels, M.; Friess, M.; Ackermann, M. Two different Macaviruses, ovine herpesvirus-2 and caprine herpesvirus-2, behave differently in water buffaloes than in cattle or in their respective reservoir species. PLoS ONE 2013, 8, e83695. [Google Scholar] [CrossRef] [PubMed]
- Hüssy, D.; Janett, F.; Albini, S.; Stäuber, N.; Thun, R.; Ackermann, M. Analysis of the pathogenetic basis for shedding and transmission of ovine gamma herpesvirus 2. J. Clin. Microbiol. 2002, 40, 4700–4704. [Google Scholar] [CrossRef]
- Headley, S.A.; Lemos, G.A.A.; Dall Agnol, A.M.; Xavier, A.A.C.; Depes, V.C.A.; Yasumitsu, C.Y.; Oliveira, T.E.S.; Silva, L.E.; Faccin, T.C.; Alfieri, A.A.; et al. Ovine gammaherpesvirus 2 infections in cattle without typical manifestations of sheep-associated malignant catarrhal fever and concomitantly infected with bovine coronavirus. Braz. J. Microbiol. 2022, 53, 433–446. [Google Scholar] [CrossRef] [PubMed]
- Li, H.; McGuire, T.C.; Muller-Doblies, U.U.; Crawford, T.B. A simpler, more sensitive competitive inhibition enzyme-linked immunosorbent assay for detection of antibody to malignant catarrhal fever viruses. J. Vet. Diagn. Investig. 2001, 13, 361–364. [Google Scholar] [CrossRef]
- O’Toole, D.; Li, H.; Sourk, C.; Montgomery, D.L.; Crawford, T.B. Malignant catarrhal fever in a bison (Bison bison) feedlot, 1993–2000. J. Vet. Diagn. Investig. 2002, 14, 183–193. [Google Scholar] [CrossRef] [PubMed]
- Sausker, E.A.; Dyer, N.W. Polymerase chain reaction and DNA sequencing for detection of Ovine Herpesvirus 2 in American Bison (Bison bison). J. Vet. Diagn. Investig. 2002, 14, 40–46. [Google Scholar] [CrossRef] [PubMed]
- Gauger, P.C.; Patterson, A.R.; Kim, W.I.; Stecker, K.A.; Madson, D.M.; Loynachan, A.T. An outbreak of porcine malignant catarrhal fever in a farrow-to-finish swine farm in the United States. J. Swine Health Prod. 2010, 18, 244–248. [Google Scholar]
- Løken, T.; Aleksandersen, M.; Reid, H.; Pow, I. Malignant catarrhal fever caused by ovine herpesvirus-2 in pigs in Norway. Vet. Rec. 1998, 143, 464–467. [Google Scholar] [CrossRef] [PubMed]
- Lapp, S.; Forster, C.; Kummrow, M.; Wohlsein, P.; Haist, V. Malignant catarrhal fever in a Vietnamese pot-bellied pig. A potential threat to pigs in mixed-species exhibits? Tierärztliche Prax. Ausg. G Großtiere/Nutztiere 2015, 43, 165–168. [Google Scholar] [CrossRef] [PubMed]
- Wessels, M.; Harwood, D.; Maley, M.; Willoughby, K.; Balfour, C. Malignant catarrhal fever in kune kune pigs in the UK. Vet. Rec. 2011, 169, 156. [Google Scholar] [CrossRef] [PubMed]
- Syrjala, P.; Saarinen, H.; Laine, T.; Kokkonen, T.; Veijalainen, P. Malignant catarrhal fever in pigs and a genetic comparison of porcine and ruminant virus isolates in Finland. Vet. Rec. 2006, 159, 406–409. [Google Scholar] [CrossRef]
- Alcaraz, A.; Warren, A.; Jackson, C.; Gold, J.; McCoy, M.; Cheong, S.H.; Kimball, S.; Sells, S.; Taus, N.S.; Divers, T.; et al. Naturally occurring sheep-associated malignant catarrhal fever in North American pigs. J. Vet. Diagn. Investig. 2009, 21, 250–253. [Google Scholar] [CrossRef] [PubMed]
- Albini, S.; Zimmermann, W.; Neff, F.; Ehlers, B.; Häni, H.; Li, H.; Hüssy, D.; Engels, M.; Ackermann, M. Identification and quantification of ovine gammaherpesvirus 2 DNA in fresh and stored tissues of pigs with symptoms of porcine malignant catarrhal fever. J. Clin. Microbiol. 2003, 41, 900–904. [Google Scholar] [CrossRef]
- WOAH. Malignnat Catarrhal Fever. Available online: https://www.woah.org/app/uploads/2021/03/malignant-catharral-fever.pdf (accessed on 19 March 2024).
- Costa, E.A.; Bomfim, M.R.; Fonseca, F.G.; Drumond, B.P.; Coelho, F.M.; Vasconcelos, A.C.; Furtini, R.; Paixao, T.A.; Tsolis, R.M.; Santos, R.L.; et al. Ovine herpesvirus 2 infection in Foal, Brazil. Emerg. Infect. Dis. 2009, 15, 844–845. [Google Scholar] [CrossRef]
- Corrêa, W.M.; Gottschalk, A.F.; Corrêa, C.N.M.; Zezza Neta, L. Febre catarral maligna em bovinos no estado de São Paulo. O Biológico 1972, 38, 67–72. [Google Scholar]
- Headley, S.A.; Lisbôa, J.A.N.; Fritzen, J.T.T.; Queiroz, G.R.; Alfieri, A.F.; Oliveira, R.A.M.; Bracarense, A.P.F.R.L.; Flaiban, K.K.M.C.; Alfieri, A.A. Ovine herpesvirus type 2-induced malignant catarrhal fever in a heifer. Semin. Cenc.-Agrar. 2013, 34, 3903–3908. [Google Scholar] [CrossRef]
- Lemos, R.A.A.; Rech, R.R.; Guimarães, E.B.; Kadri, A.; Dutra, I.S. Febre catarral maligna em bovinos do Mato Grosso do Sul e de São Paulo. Cienc. Rural. 2005, 35, 932–934. [Google Scholar] [CrossRef][Green Version]
- Headley, S.A.; Fritzen, J.T.T.; Maturana, É.F.L.; Alvarenga, N.A.C.A.; Rodrigues, R.V.; Gomes, A.L.P.L.; Rodriguez, M.C.; Sogari, M.I.P.; Xavier, A.A.C.; Silva, F.H.P.; et al. Clinical, epidemiological, and pathological findings of ovine gammaherpesvirus 2 infections in cattle from Southern Brazil. J. Infect. Dev. Ctries. 2024, accepted. [Google Scholar]
- Li, H.; Karney, G.; O’Toole, D.; Crawford, T.B. Long distance spread of malignant catarrhal fever virus from feedlot lambs to ranch bison. Can. Vet. J. 2008, 49, 183–185. [Google Scholar]
- Kmetiuk, L.B.; Biondo, L.M.; Pedrosa, F.; Favero, G.M.; Biondo, A.W. One Health at gunpoint: Impact of wild boars as exotic species in Brazil—A review. One Health 2023, 17, 100577. [Google Scholar] [CrossRef] [PubMed]
- Headley, S.A.; Yasumitsu, C.Y.; Dall Agnol, A.M.; Souza, T.C.G.D.; Porto, G.d.S.; Leme, R.A.; Alfieri, A.F.; Alfieri, A.A. Molecular detection of ovine gammaherpesvirus 2 in free ranging wild boars (Sus scrofa) from Southern Brazil. Braz. J. Microbiol. 2024, 55, 1923–1929. [Google Scholar] [CrossRef]
- Ruiz-Fons, F.; Segalés, J.; Gortázar, C. A review of viral diseases of the European wild boar: Effects of population dynamics and reservoir role. Vet. J. 2008, 176, 158–169. [Google Scholar] [CrossRef]
- Meng, X.J.; Lindsay, D.S.; Sriranganathan, N. Wild boars as sources for infectious diseases in livestock and humans. Philos. Trans. R. Soc. Lond. B Biol. Sci. 2009, 364, 2697–2707. [Google Scholar] [CrossRef]
- Abrantes, A.C.; Vieira-Pinto, M. 15 years overview of European zoonotic surveys in wild boar and red deer: A systematic review. One Health 2023, 16, 100519. [Google Scholar] [CrossRef]
- Headley, S.A.; Dall Agnol, A.M.; Bessegato, J.A.; Frucchi, A.P.S.; Maturana, É.F.L.; Rodrigues, R.V.; Xavier, A.A.C.; Alfieri, A.F.; Alfieri, A.A. Association of ovine gammaherpesvirus 2 with an outbreak of acute respiratory disease in dairy cattle. Sci. Rep. 2023, 13, 5623. [Google Scholar] [CrossRef] [PubMed]
- Boom, R.; Sol, C.J.; Salimans, M.M.; Jansen, C.L.; Wertheim-van Dillen, P.M.; van der Noordaa, J. Rapid and simple method for purification of nucleic acids. J. Clin. Microbiol. 1990, 28, 495–503. [Google Scholar] [CrossRef]
- Alfieri, A.A.; Parazzi, M.E.; Takiuchi, E.; Médici, K.C.; Alfieri, A.F. Frequency of group A rotavirus in diarrhoeic calves in Brazilian cattle herds, 1998–2002. Trop. Anim. Health Prod. 2006, 38, 521–526. [Google Scholar] [CrossRef] [PubMed]
- Baxter, S.I.; Pow, I.; Bridgen, A.; Reid, H.W. PCR detection of the sheep-associated agent of malignant catarrhal fever. Arch. Virol. 1993, 132, 145–159. [Google Scholar] [CrossRef]
- Karlsson, M.; Wallensten, A.; Lundkvist, Å.; Olsen, B.; Brytting, M. A real-time PCR assay for the monitoring of influenza a virus in wild birds. J. Virol. Methods 2007, 144, 27–31. [Google Scholar] [CrossRef] [PubMed]
- McIntosh, K.A.; Tumber, A.; Harding, J.C.S.; Krakowka, S.; Ellis, J.A.; Hill, J.E. Development and validation of a SYBR green real-time PCR for the quantification of porcine circovirus type 2 in serum, buffy coat, feces, and multiple tissues. Vet. Microbiol. 2009, 133, 23–33. [Google Scholar] [CrossRef]
- Arenales, A.; Santana, C.H.; Rolim, A.C.R.; Pereira, E.M.M.S.; Nascimento, E.F.; Paixão, T.A.; Santos, R.L. Histopathologic patterns and etiologic diagnosis of porcine respiratory disease complex in Brazil. Arq. Bras. Med. Vet. Zoot. 2022, 74, 497–508. [Google Scholar] [CrossRef]
- Rech, R.R.; Gava, D.; Silva, M.C.; Fernandes, L.T.; Haach, V.; Ciacci-Zanella, J.R.; Schaefer, R. Porcine respiratory disease complex after the introduction of H1N1/2009 influenza virus in Brazil. Zoonoses Public Health 2018, 65, e155–e161. [Google Scholar] [CrossRef]
- Conti, E.R.; Takeuti, K.L.; Schwertz, C.I.; Bianchi, R.M.; Driemeier, D.; Barcellos, D.E.S.N. Agents of pneumonia in slaughtered pigs in southern Brazil. Pesq. Vet. Bras. 2021, 41, e06669. [Google Scholar] [CrossRef]
- Headley, S.A.; Sousa, I.K.F.; Minervino, A.H.H.; Barros, I.O.; Barrêto Júnior, R.A.; Alfieri, A.F.; Ortolani, E.L.; Alfieri, A.A. Molecular confirmation of ovine herpesvirus 2-induced malignant catarrhal fever lesions in cattle from Rio Grande do Norte, Brazil. Pesq. Vet. Bras. 2012, 32, 1213–1218. [Google Scholar] [CrossRef]
- Caswell, J.L.; Williams, K.J. Respiratory system. In Jubb, Kennedy, and Palmer’s Pathology of Domestic Animals, 5th ed.; Maxie, M.G., Ed.; Saunders/Elsevier: Philadelphia, PA, USA, 2016; Volume 2, pp. 465–591. [Google Scholar]
- López, A.; Martinson, S.A. Respiratory System, Mediastinum, and Pleurae. In Pathologic Basis of Veterinary Disease, 6th ed.; Zachary, J.F., Ed.; Elsevier: St. Louis, MO, USA, 2017; pp. 471–560. [Google Scholar]
- Fulton, R.W.; Confer, A.W. Laboratory test descriptions for bovine respiratory disease diagnosis and their strengths and weaknesses: Gold standards for diagnosis, do they exist? Can. Vet. J. 2012, 53, 754–761. [Google Scholar] [PubMed]
- Caswell, J.L.; Hewson, J.; Slavić, Ð.; DeLay, J.; Bateman, K. Laboratory and postmortem diagnosis of bovine respiratory disease. Vet. Clin. N. Am. Food Anim. Pract. 2012, 28, 419–441. [Google Scholar] [CrossRef] [PubMed]
- Popczyk, B.; Klich, D.; Nasiadka, P.; Nieszała, A.; Gadkowski, K.; Sobczuk, M.; Balcerak, M.; Kociuba, P.; Olech, W.; Purski, L. Over 300 km dispersion of wild boar during hot summer, from Central Poland to Ukraine. Animals 2024, 14, 170. [Google Scholar] [CrossRef] [PubMed]
- Cavazza, S.; Brogi, R.; Apollonio, M. Sex-specific seasonal variations of wild boar distance traveled and home range size. Curr. Zool. 2023, zoad021. [Google Scholar] [CrossRef]
- IPARDES. Perfil dos Municípios. Available online: https://www.ipardes.pr.gov.br/Pagina/Perfil-dos-municipios-0 (accessed on 12 April 2024).
- Taus, N.S.; Schneider, D.A.; Oaks, J.L.; Yan, H.; Gailbreath, K.L.; Knowles, D.P.; Li, H. Sheep (Ovis aries) airway epithelial cells support ovine herpesvirus 2 lytic replication in vivo. Vet. Microbiol. 2010, 145, 47–53. [Google Scholar] [CrossRef] [PubMed]
- Cunha, C.W.; Gailbreath, K.L.; O’Toole, D.; Knowles, D.P.; Schneider, D.A.; White, S.N.; Taus, N.S.; Davies, C.J.; Davis, W.C.; Li, H. Ovine herpesvirus 2 infection in American bison: Virus and host dynamics in the development of sheep-associated malignant catarrhal fever. Vet. Microbiol. 2012, 159, 307–319. [Google Scholar] [CrossRef] [PubMed]
- Headley, S.A.; Fritzen, J.T.T.; Rodriguez, M.C.; Alfieri, A.A. Quantification of ovine gammaherpesvirus 2 in clinical cases of cattle with sheep-associated malignant catarrhal fever. Braz. J. Microbiol. 2024, 55, 1949–1959. [Google Scholar] [CrossRef] [PubMed]
- Balestrin, E.; Wolf, J.M.; Wolf, L.M.; Fonseca, A.S.K.; Ikuta, N.; Siqueira, F.M.; Lunge, V.R. Molecular detection of respiratory coinfections in pig herds with enzootic pneumonia: A survey in Brazil. J. Vet. Diagn. Investig. 2022, 34, 310–313. [Google Scholar] [CrossRef] [PubMed]
- Grinde, B.; Olsen, I. The role of viruses in oral disease. J. Oral. Microbiol. 2010, 2. [Google Scholar] [CrossRef]
- Caron, A.; Cappelle, J.; Cumming, G.S.; de Garine-Wichatitsky, M.; Gaidet, N. Bridge hosts, a missing link for disease ecology in multi-host systems. Vet. Res. 2015, 46, 83. [Google Scholar] [CrossRef]
- Henao-Diaz, A.; Giménez-Lirola, L.; Baum, D.H.; Zimmerman, J. Guidelines for oral fluid-based surveillance of viral pathogens in swine. Porc. Health Manag. 2020, 6, 28. [Google Scholar] [CrossRef] [PubMed]
- Silva Andrade, J.; Loiko, M.R.; Schmidt, C.; Vidaletti, M.R.; Lopes, B.C.; Cerva, C.; Varela, A.P.M.; Tochetto, C.; Maciel, A.L.G.; Bertagnolli, A.C.; et al. Molecular survey of porcine respiratory disease complex pathogens in Brazilian wild boars. Prev. Vet. Med. 2022, 206, 105698. [Google Scholar] [CrossRef] [PubMed]
- Oliveira, W.J.; Perin, P.P.; Arias Pacheco, C.A.; Mendonça, T.O.; Souza Pollo, A.; Amaral, R.B.; Oliveira Zolla, N.; Oliveira Andrade, L.; Gomes, J.S.; Santos, V.M.S.; et al. Integrative taxonomy of Metastrongylus spp. in wild boars from Brazil. Parasit. Vectors 2023, 16, 449. [Google Scholar] [CrossRef] [PubMed]
- Panayotova-Pencheva, M.; Todorova, K.; Dakova, V. Pathomorphological studies on wild boarsiInfected with Metastrongylus spp., Ascarops strongylina, and Macracanthorhynchus hirudinaceus. J. Vet. Res. 2019, 63, 191–195. [Google Scholar] [CrossRef] [PubMed]
- Spieler, N.; Schnyder, M. Lungworms (Metastrongylus spp.) and intestinal parasitic stages of two separated Swiss wild boar populations north and south of the Alps: Similar parasite spectrum with regional idiosyncrasies. Int. J. Parasitol. Parasites Wildl. 2021, 14, 202–210. [Google Scholar] [CrossRef]
- Morelle, K.; Barasona, J.A.; Bosch, J.; Heine, G.; Daim, A.; Arnold, J.; Bauch, T.; Kosowska, A.; Cadenas-Fernández, E.; Aviles, M.M.; et al. Accelerometer-based detection of African swine fever infection in wild boar. Proc. R. Soc. B Biol. Sci. 2023, 290, 20231396. [Google Scholar] [CrossRef]



| Wild Boars # | Collection Sites | Principal Histopathological Disease Pattern a | MCFV IHC b | OvGHV2 snPCR | Type of Infection | ||||||
|---|---|---|---|---|---|---|---|---|---|---|---|
| Lung | Liver | Spleen | Kidney | Nasal Swab | Oral Swab | OvGHV2 | MCFV | ||||
| 1 | Ponta Grossa A | -ve | -ve | -ve | -ve | -ve | -ve | 0 | 0 | ||
| 2 | Normal lung | +ve | +ve | +ve | -ve | -ve | -ve | -ve | 1 | 0 | |
| 4 | NC | NC | NC | NC | -ve | -ve | 0 | 0 | |||
| 5 | NC | NC | NC | NC | -ve | -ve | 0 | 0 | |||
| 6 | -ve | -ve | -ve | -ve | -ve | -ve | 0 | 0 | |||
| 9 | Normal lung | +ve | NC | -ve | -ve | -ve | -ve | -ve | 0 | 1 | |
| 10 | Bronchointerstitial pneumonia; necrohemorrhagic hepatitis | +ve | NC | NC | NC | NC | -ve | -ve | 0 | 1 | |
| 11 | Necrohemorrhagic hepatitis; interstitial pneumonia; lungworm | NC | NC | NC | NC | -ve | -ve | 0 | 0 | ||
| 15 | -ve | -ve | -ve | +ve | NC | NC | 1 | 0 | |||
| 17 | NC | NC | NC | NC | -ve | -ve | 0 | 0 | |||
| 18 | -ve | +ve | -ve | -ve | -ve | -ve | 1 | 0 | |||
| 19 | -ve | -ve | -ve | +ve | NC | NC | 1 | 0 | |||
| `20 | -ve | +ve | -ve | +ve | -ve | -ve | 1 | 0 | |||
| 21 | +ve | +ve | +ve | +ve | NC | NC | 1 | 0 | |||
| 24 | +ve | -ve | -ve | -ve | -ve | -ve | 1 | 0 | |||
| 3 | Ponta Grossa B | NC | NC | NC | NC | -ve | -ve | 0 | 0 | ||
| 7 | NC | NC | NC | NC | -ve | -ve | 0 | 0 | |||
| 12 | NC | NC | NC | NC | -ve | -ve | 0 | 0 | |||
| 13 | Bronchointerstitial pneumonia; lungworm | +ve | NC | NC | NC | NC | -ve | -ve | 0 | 1 | |
| 16 | +ve | -ve | -ve | -ve | NC | NC | 1 | 0 | |||
| 23 | -ve | -ve | -ve | -ve | -ve | -ve | 0 | 0 | |||
| 8 | Palmeira | Lungworm | NC | NC | NC | NC | -ve | -ve | 0 | 0 | |
| 14 | Interstitial pneumonia | +ve | NC | NC | NC | NC | -ve | +ve | 1 | 0 | |
| 22 | -ve | -ve | -ve | -ve | -ve | -ve | 0 | ||||
| n | 4 | 4 | 1 | 4 | 0 | 1 | 9 | 3 | |||
| Mesoregions of Paraná State | Municipalities | OvGHV2 in Free-Ranging Wild Boars | Source | ||
|---|---|---|---|---|---|
| No Evaluated | No Detected | Infected (%) | |||
| Central-eastern | Carambeí | 3 | 0 | 0 | [39] |
| Central-eastern | Castro | 17 | 2 | 11.8 | [39] |
| Central-northern | Londrina | 14 | 0 | 0 | [39] |
| Central-northern | Maringá | 2 | 0 | 0 | [39] |
| Central-eastern | Palmeira | 3 | 1 | 33.3 | This study |
| Central-eastern | Ponta Grossa | 21 | 8 | 38.1 | This study |
| Central-southern | Teixeira Soares | 6 | 0 | 0 | [39] |
Disclaimer/Publisher’s Note: The statements, opinions and data contained in all publications are solely those of the individual author(s) and contributor(s) and not of MDPI and/or the editor(s). MDPI and/or the editor(s) disclaim responsibility for any injury to people or property resulting from any ideas, methods, instructions or products referred to in the content. |
© 2024 by the authors. Licensee MDPI, Basel, Switzerland. This article is an open access article distributed under the terms and conditions of the Creative Commons Attribution (CC BY) license (https://creativecommons.org/licenses/by/4.0/).
Share and Cite
Headley, S.A.; Fritzen, J.T.T.; Silva, F.H.P.; Minarelli, S.L.M.; Biondo, L.M.; Kmetiuk, L.B.; Biondo, A.W.; Alfieri, A.A. Subclinical Ovine Gammaherpesvirus 2-Related Infections in Free-Ranging Wild Boars (Sus scrofa) from Southern Brazil. Pathogens 2024, 13, 515. https://doi.org/10.3390/pathogens13060515
Headley SA, Fritzen JTT, Silva FHP, Minarelli SLM, Biondo LM, Kmetiuk LB, Biondo AW, Alfieri AA. Subclinical Ovine Gammaherpesvirus 2-Related Infections in Free-Ranging Wild Boars (Sus scrofa) from Southern Brazil. Pathogens. 2024; 13(6):515. https://doi.org/10.3390/pathogens13060515
Chicago/Turabian StyleHeadley, Selwyn Arlington, Juliana Torres Tomazi Fritzen, Flavia Helena Pereira Silva, Silvio Luis Marsiglio Minarelli, Leandro Meneguelli Biondo, Louise Bach Kmetiuk, Alexander Welker Biondo, and Amauri Alcindo Alfieri. 2024. "Subclinical Ovine Gammaherpesvirus 2-Related Infections in Free-Ranging Wild Boars (Sus scrofa) from Southern Brazil" Pathogens 13, no. 6: 515. https://doi.org/10.3390/pathogens13060515
APA StyleHeadley, S. A., Fritzen, J. T. T., Silva, F. H. P., Minarelli, S. L. M., Biondo, L. M., Kmetiuk, L. B., Biondo, A. W., & Alfieri, A. A. (2024). Subclinical Ovine Gammaherpesvirus 2-Related Infections in Free-Ranging Wild Boars (Sus scrofa) from Southern Brazil. Pathogens, 13(6), 515. https://doi.org/10.3390/pathogens13060515

