A Loop-Mediated Isothermal Amplification Assay Utilizing Hydroxy Naphthol Blue (LAMP-HNB) for the Detection of Treponema pallidum Subspp. pallidum
Abstract
1. Introduction
2. Materials and Methods
2.1. Sample Collection
2.2. DNA Extraction
2.3. LAMP Primer Design
2.4. The Optimization of PCR Conditions
2.5. The Optimization of LAMP Reaction Conditions
2.6. The Optimization of LAMP-HNB
2.7. Analytical Sensitivity and Specificity Tests
2.8. Diagnostic Accuracy Analysis
3. Results
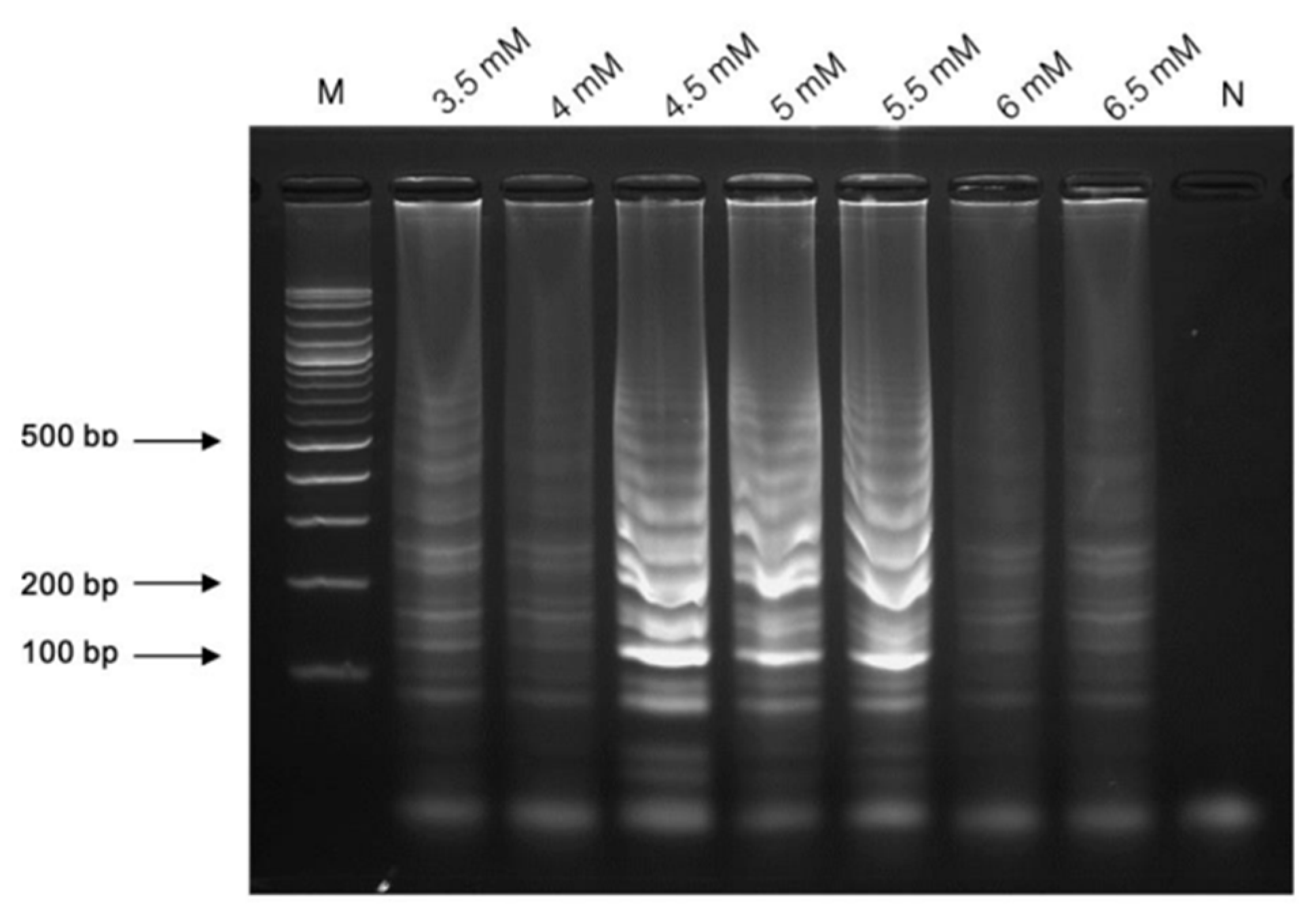
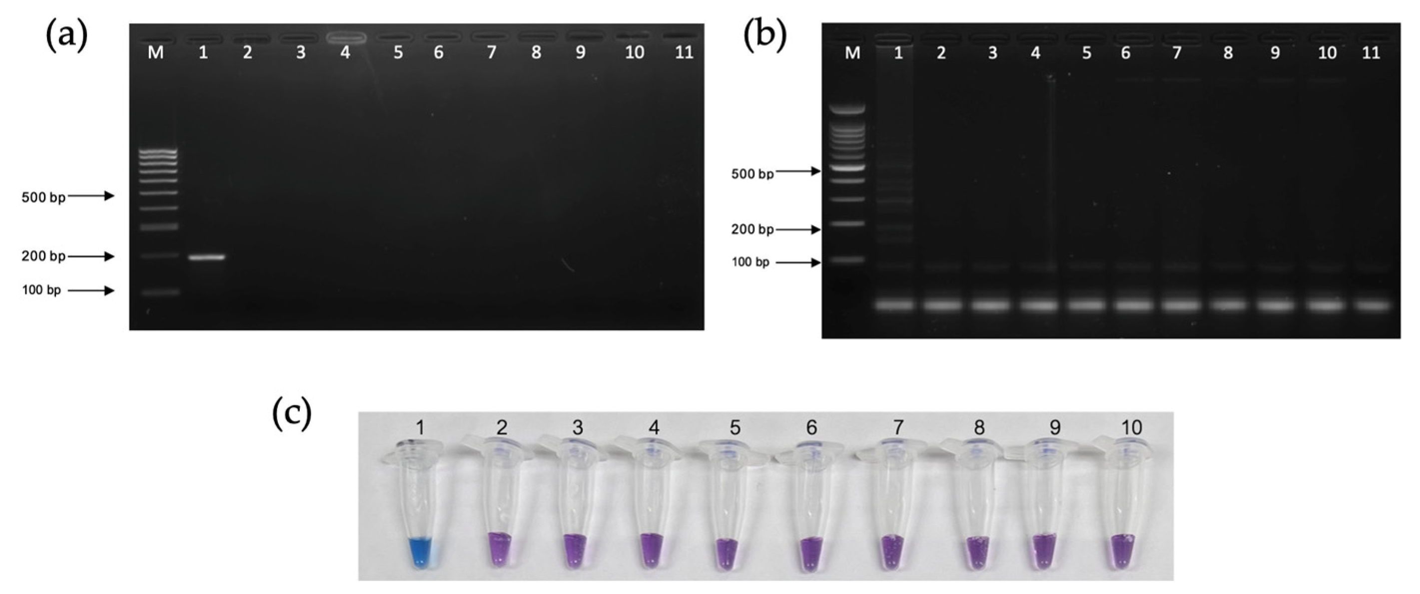
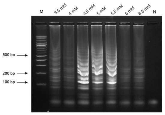
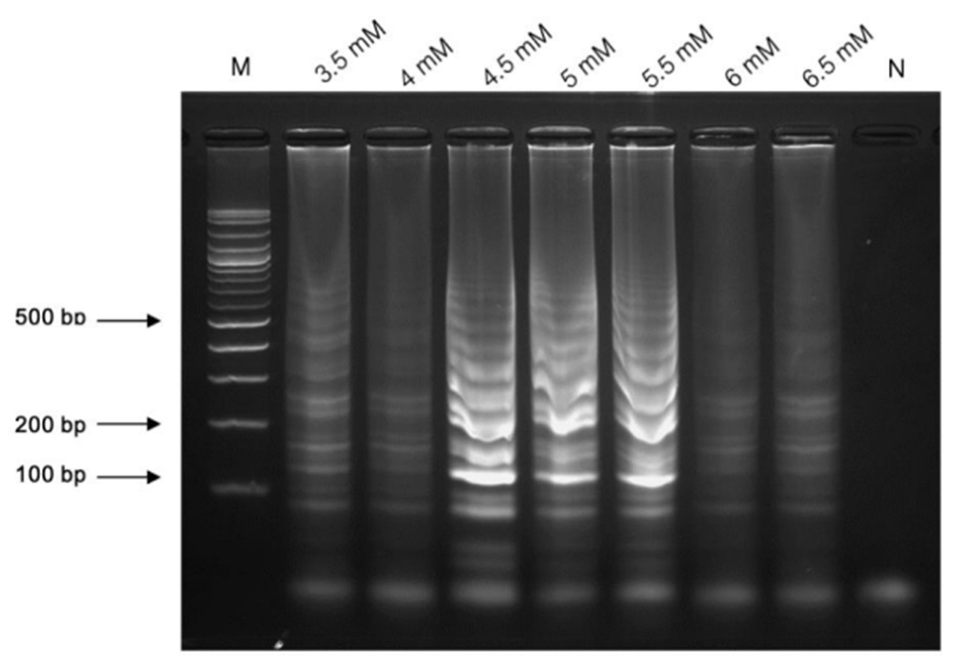
3.1. The Optimization of the LAMP Assay
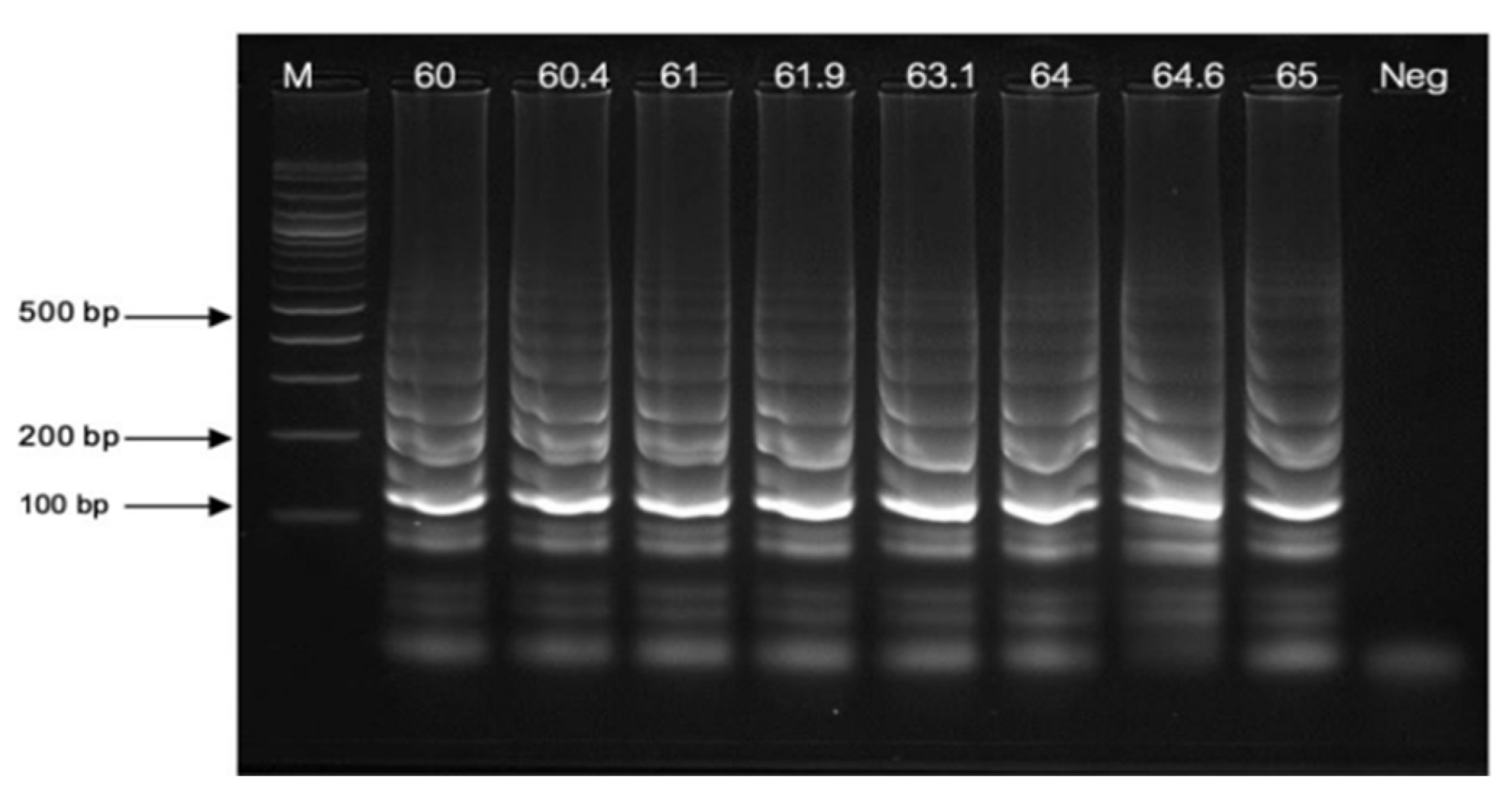
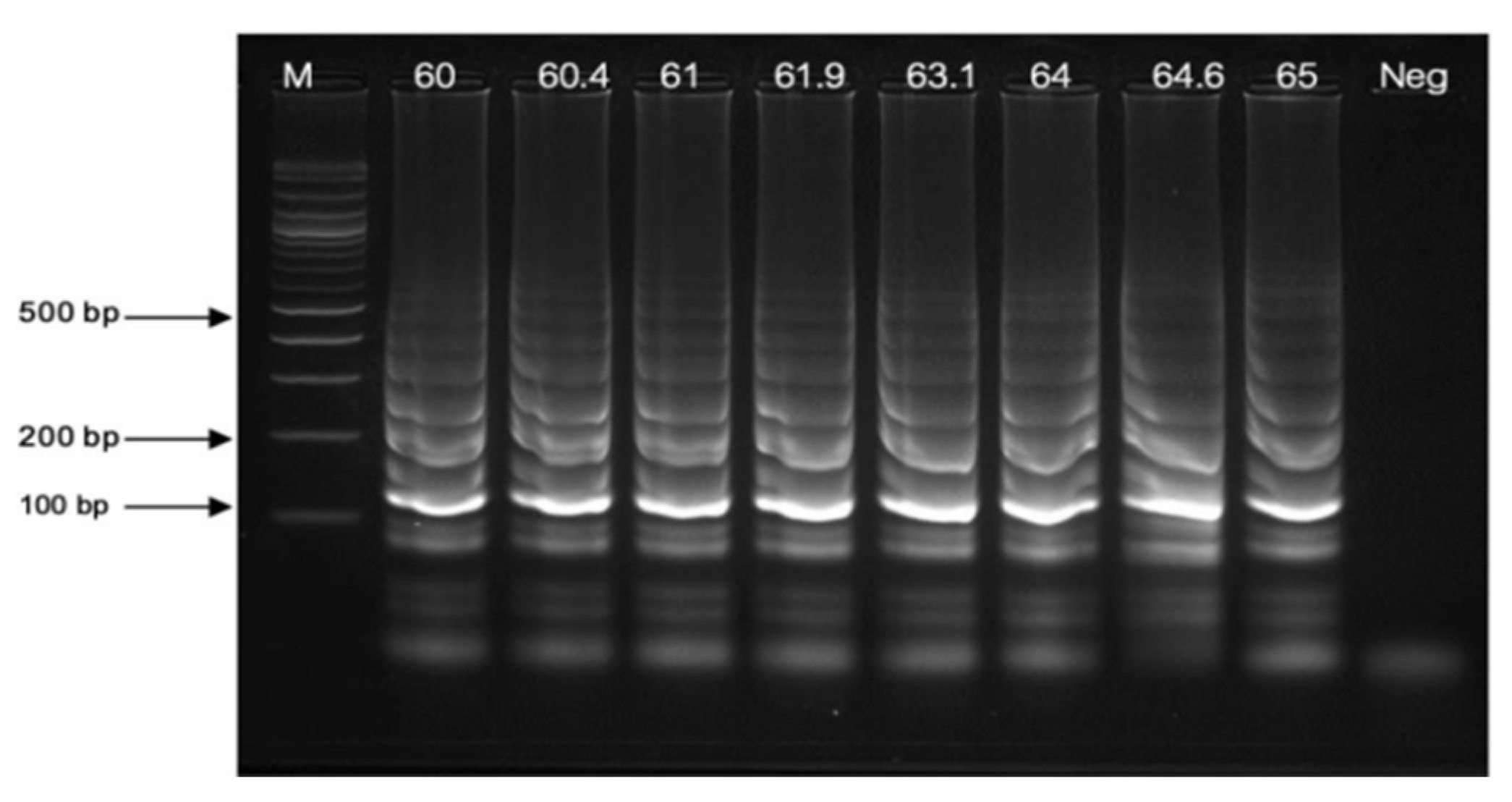
3.2. The Optimization of Thermal Conditions
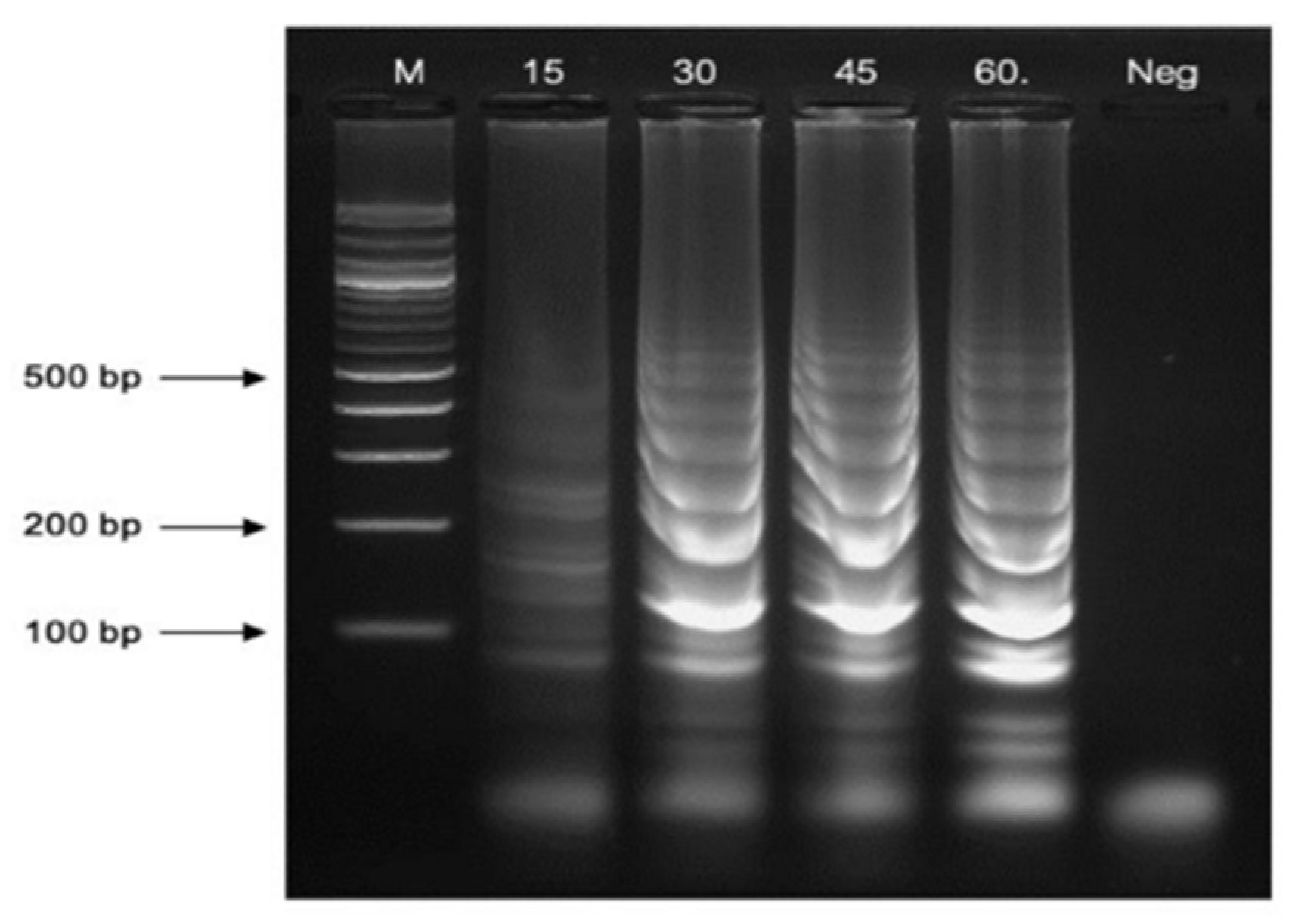
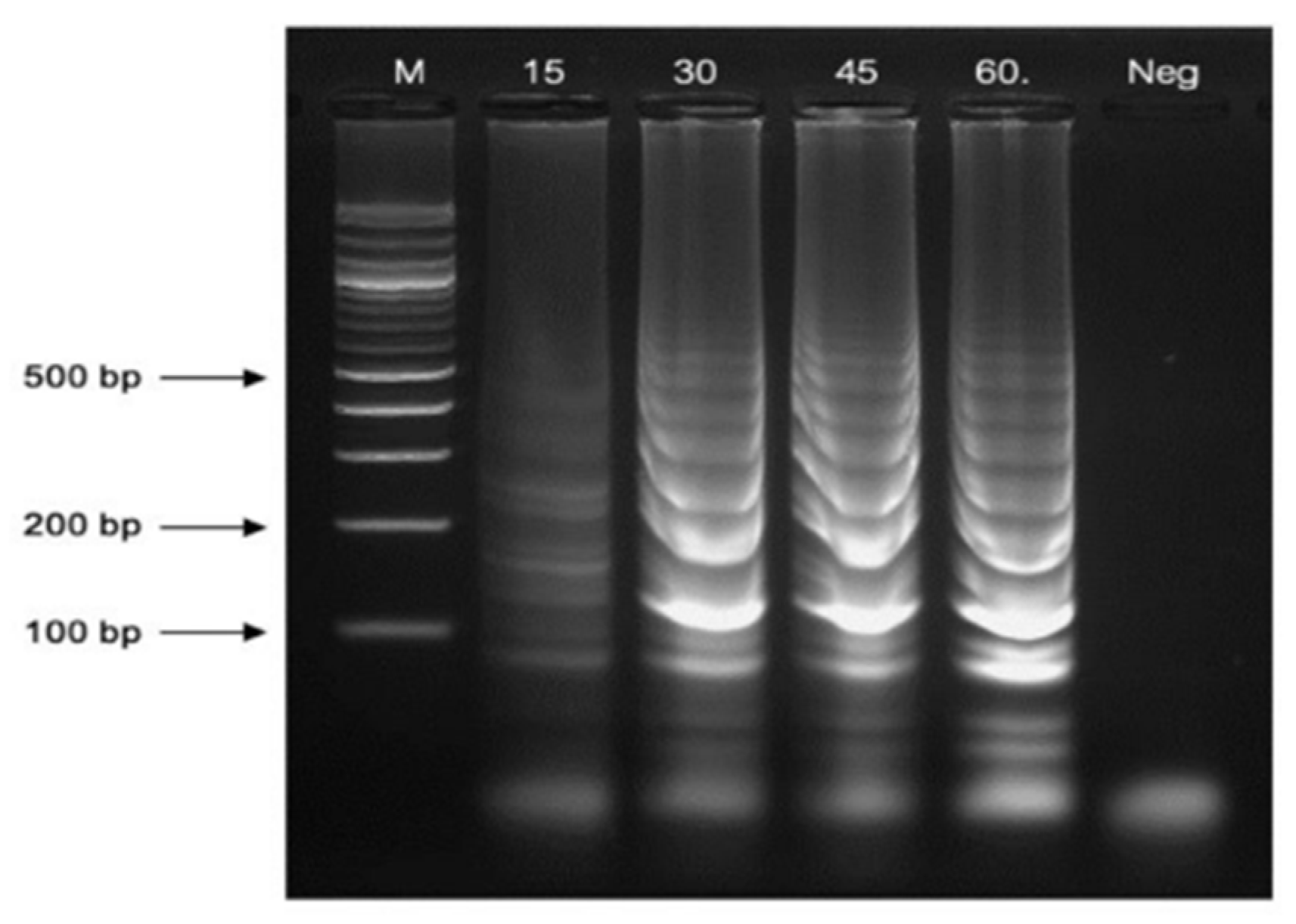
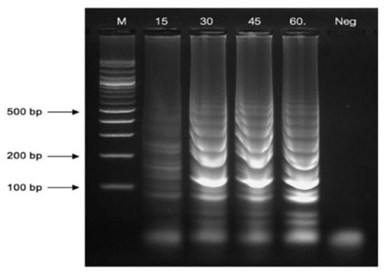
3.3. The Optimization of Reaction Durations
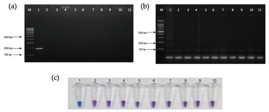
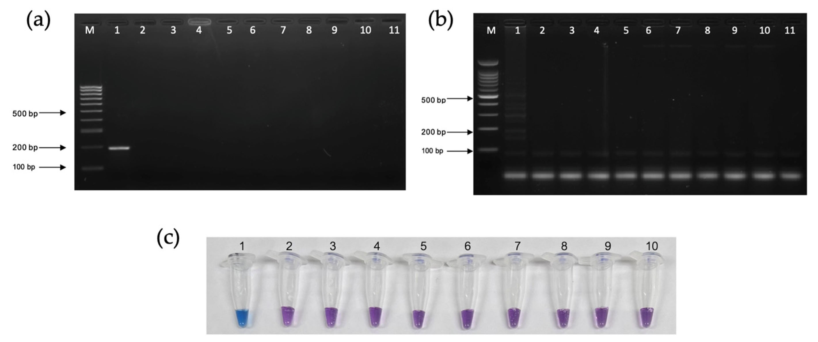
3.4. The Optimization of LAMP-HNB
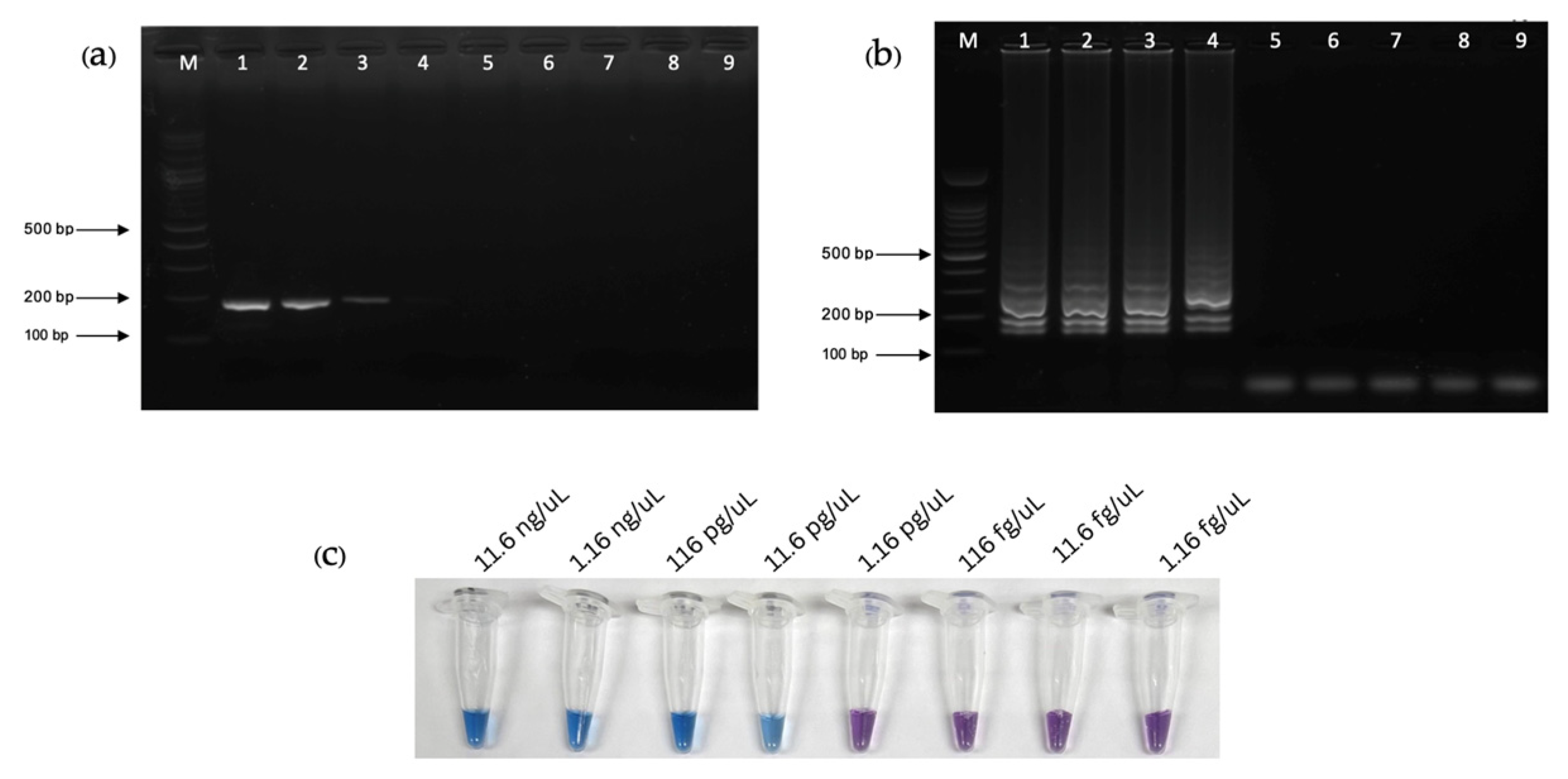
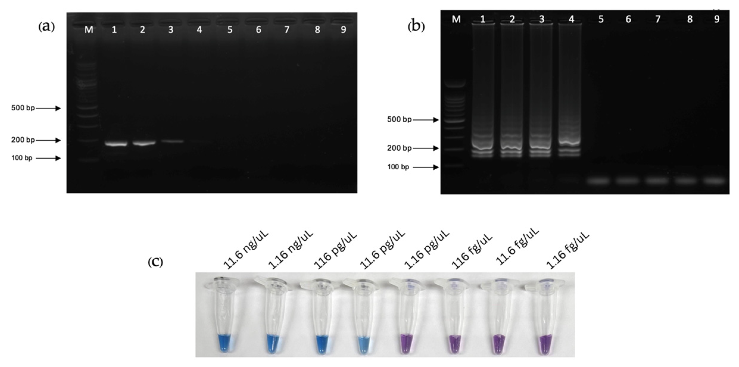
3.5. Analytical Sensitivity and Specificity Tests
3.6. Diagnostic Accuracy Analysis
4. Discussion
5. Conclusions
Author Contributions
Funding
Institutional Review Board Statement
Informed Consent Statement
Data Availability Statement
Acknowledgments
Conflicts of Interest
References
- Stamm, L.V. Syphilis: Re-emergence of an old foe. Microb. Cell 2016, 3, 363–370. [Google Scholar] [CrossRef]
- Aguero-Seña, A.C.; Pillay, A.; Cox, D.L.; Radolf, J.D. Treponema and Brachyspira, Human Host-Associated Spirochetes. In Manual of Clinical Microbiology, 12th ed.; ASM Press: Washington, DC, USA, 2019; pp. 1083–1108. [Google Scholar]
- Radolf, J.D. Treponema. In Medical Microbiology; Baron, S., Ed.; University of Texas Medical Branch at Galveston: Galveston, TX, USA, 1996. [Google Scholar]
- Procop, G.W.; Church, D.L.; Hall, G.S.; Janda, W.M. Koneman’s Color Atlas and Textbook of Diagnostic Microbiology; Lippincott Williams & Wilkins: Philadelphia, PA, USA, 2017. [Google Scholar]
- Soreng, K.; Levy, R.; Fakile, Y. Serologic testing for syphilis: Benefits and challenges of a reverse algorithm. Clin. Microbiol. Newsl. 2014, 36, 195–202. [Google Scholar] [CrossRef] [PubMed]
- Luo, Y.; Xie, Y.; Xiao, Y. Laboratory Diagnostic Tools for Syphilis: Current Status and Future Prospects. Front. Cell. Infect. Microbiol. 2021, 10, 574806. [Google Scholar] [CrossRef]
- Ciccarese, G.; Facciorusso, A.; Mastrolonardo, M.; Herzum, A.; Parodi, A.; Drago, F. Atypical Manifestations of Syphilis: A 10-Year Retrospective Study. J. Clin. Med. 2024, 13, 1603. [Google Scholar] [CrossRef]
- Trovato, E.; Tognetti, L.; Campoli, M.; Cinotti, E.; Rubegni, P. Syphilis Diagnosis and Treatment: State of The Art. Dermatology 2021. [Google Scholar] [CrossRef]
- Chaudhry, S.; Akinlusi, I.; Shi, T.; Cervantes, J. Secondary Syphilis: Pathophysiology, Clinical Manifestations, and Diagnostic Testing. Venereology 2023, 2, 65–75. [Google Scholar] [CrossRef]
- Buffet, M.; Grange, P.A.; Gerhardt, P.; Carlotti, A.; Calvez, V.; Bianchi, A.; Dupin, N. Diagnosing Treponema pallidum in Secondary Syphilis by PCR and Immunohistochemistry. J. Investig. Dermatol. 2007, 127, 2345–2349. [Google Scholar] [CrossRef]
- Amerson, E.H.; Valladares, H.B.C.; Leslie, K.S. Resurgence of Syphilis in the US—USPSTF Reaffirms Screening Guidelines. JAMA Dermatol. 2022, 158, 1241–1243. [Google Scholar] [CrossRef]
- Satyaputra, F.; Hendry, S.; Braddick, M.; Sivabalan, P.; Norton, R. The Laboratory Diagnosis of Syphilis. J. Clin. Microbiol. 2021, 59, e00100-21. [Google Scholar] [CrossRef]
- Henao-Martínez, A.F.; Johnson, S.C. Diagnostic tests for syphilis. Neurol. Clin. Pract. 2012, 4, 114–122. [Google Scholar] [CrossRef]
- Xiong, S.; Liu, Z.; Zhang, X.; Huang, S.; Ding, X.; Zhou, J.; Yao, J.; Li, W.; Liu, S.; Zhao, F. Resurgence of syphilis: Focusing on emerging clinical strategies and preclinical models. J. Transl. Med. 2023, 21, 917. [Google Scholar] [CrossRef] [PubMed]
- Ortiz, D.A.; Shukla, M.R.; Loeffelholz, M.J. The Traditional or Reverse Algorithm for Diagnosis of Syphilis: Pros and Cons. Clin. Infect. Dis. 2020, 71 (Suppl. S1), S43–S51. [Google Scholar] [CrossRef]
- Srivastava, P.; Prasad, D. Isothermal nucleic acid amplification and its uses in modern diagnostic technologies. 3 Biotech 2023, 13, 200. [Google Scholar] [CrossRef]
- Grange, P.A.; Gressier, L.; Dion, P.L.; Farhi, D.; Benhaddou, N.; Gerhardt, P.; Morini, J.P.; Deleuze, J.; Pantoja, C.; Bianchi, A.; et al. Evaluation of a PCR test for detection of Treponema pallidum in swabs and blood. J. Clin. Microbiol. 2012, 50, 546–552. [Google Scholar] [CrossRef] [PubMed]
- Zondag, H.C.; Cornelissen, A.R.; van Dam, A.P.; Bruisten, S.M. Molecular diversity of Treponema pallidum subspecies pallidum isolates in Amsterdam, the Netherlands. Sex. Transm. Infect. 2020, 96, 223–226. [Google Scholar] [CrossRef]
- Theel, E.S.; Katz, S.S.; Pillay, A. Molecular and direct detection tests for Treponema pallidum subspecies pallidum: A review of the literature. Clin. Infect. Dis. 2020, 71, S4–S12. [Google Scholar] [CrossRef] [PubMed]
- Grassi, V.M.T.; Ramos, M.C.; Grassi, L.T.; Silva, M.S.N.; Rossetti, M.L.R. Analysis of DNA extraction methods for detection of Treponema pallidum: A comparison of three methods. J. Microbiol. Methods 2022, 192, 106383. [Google Scholar] [CrossRef]
- Notomi, T.; Okayama, H.; Masubuchi, H.; Yonekawa, T.; Watanabe, K.; Amino, N.; Hase, T. Loop-mediated isothermal amplification of DNA. Nucleic Acids Res. 2000, 28, e63. [Google Scholar] [CrossRef]
- Thai, H.T.C.; Le, M.Q.; Vuong, C.D.; Parida, M.; Minekawa, H.; Notomi, T.; Hasebe, F.; Morita, K. Development and evaluation of a novel loop-mediated isothermal amplification method for rapid detection of severe acute respiratory syndrome coronavirus. J. Clin. Microbiol. 2004, 42, 1956–1961. [Google Scholar] [CrossRef]
- Goto, M.; Honda, E.; Ogura, A.; Nomoto, A.; Hanaki, K.I. Colorimetric Detection of Loop-Mediated Isothermal Amplification Reaction by Using Hydroxy Naphthol Blue. Biotechniques 2009, 46, 167–172. [Google Scholar] [CrossRef]
- Park, J.-W. Principles and Applications of Loop-Mediated Isothermal Amplification to Point-of-Care Tests. Biosensors 2022, 12, 857. [Google Scholar] [CrossRef] [PubMed]
- Tomita, N.; Mori, Y.; Kanda, H.; Notomi, T. Loop-mediated isothermal amplification (LAMP) of gene sequences and simple visual detection of products. Nat. Protoc. 2008, 3, 877–882. [Google Scholar] [CrossRef]
- Almasi, M.A.; Ojaghkandi, M.A.; Hemmatabadi, A.; Hamidi, F.; Aghaei, S. Development of Colorimetric Loop-Mediated Isothermal Amplification Assay for Rapid Detection of the Tomato Yellow Leaf Curl Virus. J. Plant Pathol. Microbiol. 2013, 4, 153. [Google Scholar] [CrossRef]
- Akin, M.; Prediger, A.; Yuksel, M.; Höpfner, T.; Demirkol, D.O.; Beutel, S.; Timur, S.; Scheper, T. A new set up for multi-analyte sensing: At-line bio-process monitoring. Biosens. Bioelectron. 2011, 26, 4532–4537. [Google Scholar] [CrossRef]
- Oh, S.J.; Park, B.H.; Jung, J.H.; Choi, G.; Lee, D.C.; Kim, D.H.; Seo, T.S. Centrifugal loop-mediated isothermal amplification microdevice for rapid, multiplex and colorimetric foodborne pathogen detection. Biosens. Bioelectron. 2016, 75, 293–300. [Google Scholar] [CrossRef]
- Papp, J.R.; Park, I.U.; Fakile, Y.; Pereira, L.; Pillay, A.; Bolan, G.A. CDC Laboratory Recommendations for Syphilis Testing, United States, 2024. MMWR. Recomm. Rep. 2024, 73, 1–32. [Google Scholar] [CrossRef]
- World Health Organization. Syphilis. Available online: https://www.who.int/news-room/fact-sheets/detail/syphilis (accessed on 21 May 2024).
- Chaisongkram, N. Epidemiological characteristics among patients with syphilis in Thailand. Dis. Control J. 2023, 49, 51–56. [Google Scholar]
- Tao, Y.-T. Global, regional, and national trends of syphilis from 1990 to 2019: The 2019 global burden of disease study. BMC Public Health 2023, 23, 754. [Google Scholar] [CrossRef]
- Ratnam, S. The laboratory diagnosis of syphilis. Can. J. Infect. Dis. Med. Microbiol. 2005, 16, 45–61. [Google Scholar] [CrossRef]
- Nayak, S.; Acharjya, B. VDRL Test and its Interpretation. Indian J. Dermatol. 2012, 57, 3–8. [Google Scholar] [CrossRef]
- Center, B.S. National Guideline for Syphilis Testing: Laboratory Manual for Diagnosis and Monitoring; Aksorn Graphic And Design Publishing House LP: Department of Disease Control, Ministry of Public Health: Bangkok, Thailand, 2021. [Google Scholar]
- Srisrattakarn, A.; Lulitanond, A.; Wilailuckana, C.; Charoensri, N.; Wonglakorn, L.; Saenjamla, P.; Chaimanee, P.; Daduang, J.; Chanawong, A. Rapid and simple identification of carbapenemase genes, blaNDM, blaOXA-48, blaVIM, blaIMP-14 and blaKPC groups, in Gram-negative bacilli by in-house loop-mediated isothermal amplification with hydroxynaphthol blue dye. World J. Microbiol. Biotechnol. 2017, 33, 130. [Google Scholar] [CrossRef] [PubMed]
- Wastling, S.L.; Picozzi, K.; Kakembo, A.S.; Welburn, S.C. LAMP for human African trypanosomiasis: A comparative study of detection formats. PLoS Negl. Trop. Dis. 2010, 4, e865. [Google Scholar] [CrossRef] [PubMed]
- Xiao, Y.; Liu, S.; Liu, Z.; Xie, Y.B.; Jiang, C.; Xu, M.B.; Zhao, F.; Zeng, T.; Yu, J.; Wu, Y. Molecular Subtyping and Surveillance of Resistance Genes in Treponema pallidum DNA From Patients with Secondary and Latent Syphilis in Hunan, China. Sex. Transm. Dis. 2016, 43, 310–316. [Google Scholar] [CrossRef] [PubMed]
- Xiao, Y.; Xie, Y.; Xu, M.; Liu, S.; Jiang, C.; Zhao, F.; Zeng, T.; Liu, Z.; Yu, J.; Wu, Y. Development and Evaluation of a Loop-Mediated Isothermal Amplification Assay for the Detection of Treponema pallidum DNA in the Peripheral Blood of Secondary Syphilis Patients. Am. J. Trop. Med. Hyg. 2017, 97, 1673–1678. [Google Scholar] [CrossRef]
- Leeyaphan, C.; Punyaratabandhu, P.; Jiamton, S.; Junsuwan, N.; Chirachanakul, P.; Chanyachailert, P.; Omcharoen, V. Predictors of serological cure after treatment in patients with early syphilis: A retrospective observational study in Thailand. Indian J. Dermatol. Venereol. Leprol. 2019, 85, 235. [Google Scholar] [CrossRef]







| Primer Name | Sequence (5′ -> 3′) | 
|---|---|
| F3 | 5′-CAGGGCCGG GATACTACA-3′ | 
| B3 | 5′-TCG GCAAACACGTCAACT G-3′ | 
| FIP | 5′-TTGGGAAGGAAGCGCACATCA-TTTTT-GGCTGACTTTGATTGCGA AC-3′ | 
| BIP | 5′-ATTGGGTTGAAGGGGAAGGTGC-TTTTT-AGCATCCATCAGAGT CTCCG-3′ | 
| Physician-Assessed Samples Classification | RPR Test | TPHA Test | Number of Clinical Serum Samples (n) | 
|---|---|---|---|
| Disease | Reactive, ≥1:16 | Reactive | 200 | 
| Non-disease | Non-reactive | Non-reactive | 200 | 
| Disease Status | |||
|---|---|---|---|
| Disease | Non-Disease | ||
| Diagnostic Test | Positive | True positive (TP) | False positive (FP) | 
| Negative | False negative (FN) | True negative (TN) | |
| Physician-Assessed Samples Classification | RPR Test | TPHA Test | Samples (n) | PCR-AGE | LAMP-AGE | LAMP-HNB | 
|---|---|---|---|---|---|---|
| Disease | Reactive, ≥1:16 | Reactive | 200 | Positive 200 (100%) | Positive 200 (100%) | Positive 200 (100%) | 
| Non-disease | Non-reactive | N/A | 200 | Negative 189 (94.5%) | Negative 182 (91%) | Negative 182 (91%) | 
| Method | Results | Disease Status | |
|---|---|---|---|
| Disease | No Disease | ||
| PCR-AGE | Positive | 200 | 11 | 
| Negative | 0 | 189 | |
| LAMP-AGE | Positive | 200 | 18 | 
| Negative | 0 | 182 | |
| LAMP-HNB | Positive | 200 | 18 | 
| Negative | 0 | 182 | |
| Validity and Predictive Evaluation | PCR-AGE (95% CI) | LAMP-AGE (95% CI) | LAMP-HNB (95% CI) | 
|---|---|---|---|
| Sensitivity | 100.00% (100.00)% | 100.00% (100.00)% | 100.00% (100.00)% | 
| Specificity | 94.50% (94.40–94.60)% | 91.00% (90.87–91.13)% | 91.00% (90.87–91.13)% | 
| PPV | 94.79% (94.69–94.88)% | 91.74% (91.63–91.86)% | 91.74% (91.63–91.86)% | 
| NPV | 100.00% (100.00)% | 100.00% (100.00)% | 100.00% (100.00)% | 
| Disclaimer/Publisher’s Note: The statements, opinions and data contained in all publications are solely those of the individual author(s) and contributor(s) and not of MDPI and/or the editor(s). MDPI and/or the editor(s) disclaim responsibility for any injury to people or property resulting from any ideas, methods, instructions or products referred to in the content. | 
© 2024 by the authors. Licensee MDPI, Basel, Switzerland. This article is an open access article distributed under the terms and conditions of the Creative Commons Attribution (CC BY) license (https://creativecommons.org/licenses/by/4.0/).
Share and Cite
Phurijaruyangkun, S.; Tangjitrungrot, P.; Jaratsing, P.; Augkarawaritsawong, S.; Kumkrong, K.; Pongparit, S.; Suwanvattana, P.; Areekit, S.; Chansiri, K.; Santiwatanakul, S. A Loop-Mediated Isothermal Amplification Assay Utilizing Hydroxy Naphthol Blue (LAMP-HNB) for the Detection of Treponema pallidum Subspp. pallidum. Pathogens 2024, 13, 949. https://doi.org/10.3390/pathogens13110949
Phurijaruyangkun S, Tangjitrungrot P, Jaratsing P, Augkarawaritsawong S, Kumkrong K, Pongparit S, Suwanvattana P, Areekit S, Chansiri K, Santiwatanakul S. A Loop-Mediated Isothermal Amplification Assay Utilizing Hydroxy Naphthol Blue (LAMP-HNB) for the Detection of Treponema pallidum Subspp. pallidum. Pathogens. 2024; 13(11):949. https://doi.org/10.3390/pathogens13110949
Chicago/Turabian StylePhurijaruyangkun, Saranthum, Pongbun Tangjitrungrot, Pornpun Jaratsing, Suphitcha Augkarawaritsawong, Khurawan Kumkrong, Sawanya Pongparit, Pawita Suwanvattana, Supatra Areekit, Kosum Chansiri, and Somchai Santiwatanakul. 2024. "A Loop-Mediated Isothermal Amplification Assay Utilizing Hydroxy Naphthol Blue (LAMP-HNB) for the Detection of Treponema pallidum Subspp. pallidum" Pathogens 13, no. 11: 949. https://doi.org/10.3390/pathogens13110949
APA StylePhurijaruyangkun, S., Tangjitrungrot, P., Jaratsing, P., Augkarawaritsawong, S., Kumkrong, K., Pongparit, S., Suwanvattana, P., Areekit, S., Chansiri, K., & Santiwatanakul, S. (2024). A Loop-Mediated Isothermal Amplification Assay Utilizing Hydroxy Naphthol Blue (LAMP-HNB) for the Detection of Treponema pallidum Subspp. pallidum. Pathogens, 13(11), 949. https://doi.org/10.3390/pathogens13110949
 
        


 
       