Leishmania major-Infected Phlebotomus duboscqi Sand Fly Bites Enhance Mast Cell Degranulation
Abstract
1. Introduction
2. Materials and Methods
2.1. Mice
2.2. Sand Flies
2.3. Leishmania major Culture
2.4. Sand Fly Infection
2.5. Infection of Mouse Ears by Sand Flies
2.6. Scoring of Sand Fly Infection Status Post-Transmission
2.7. Histology and Immunohistochemistry of Ears and Lymph Nodes after Bites of L. major-Infected and Non-Infected Sand Flies
2.8. Statistical Analysis
3. Results
3.1. Post-Exposure Status of L. major-Infected and Non-Infected Phlebotomus Duboscqi Sand Flies
3.2. Mast Cell Response to Sand Fly Bites
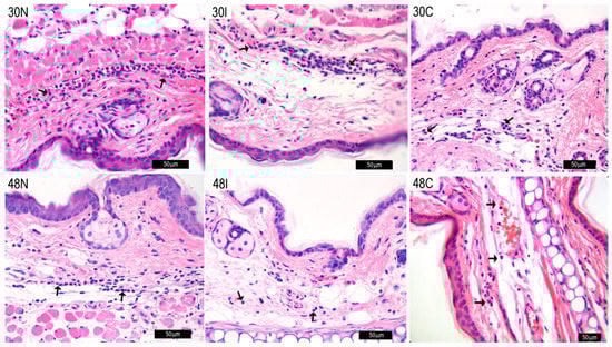
3.2.1. Skin Mast Cell Numbers after Infected and Non-Infected Sand Fly Bites
3.2.2. Skin MC Degranulation after Infected and Non-Infected Sand Fly Bites
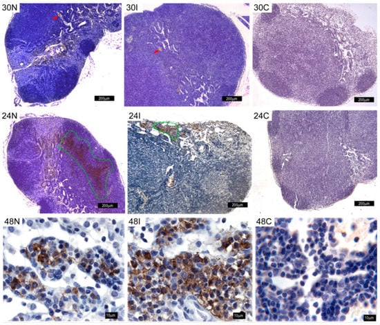
3.2.3. Skin MC Degranulation Leads to Neutrophil Infiltration
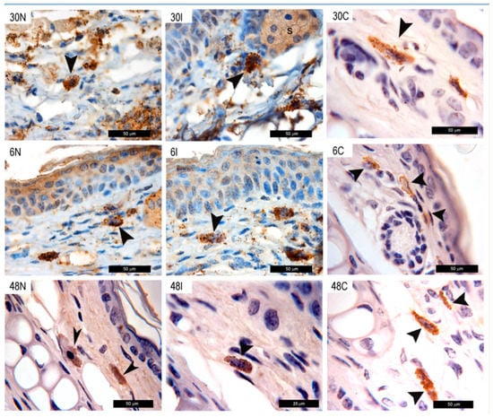
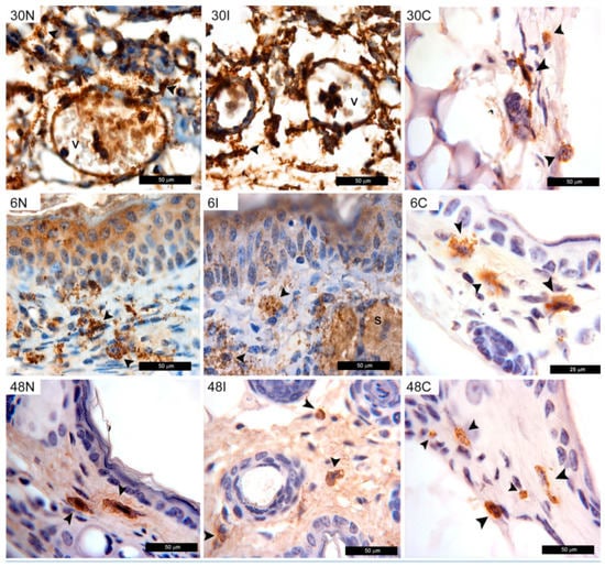
3.2.4. MC and Neutrophils Show TNF-α Staining after Ph. duboscqi Bites
3.2.5. MC Show Histamine Staining after Ph. duboscqi Bites
3.2.6. MC Show Tryptase Staining after Ph. duboscqi Bites
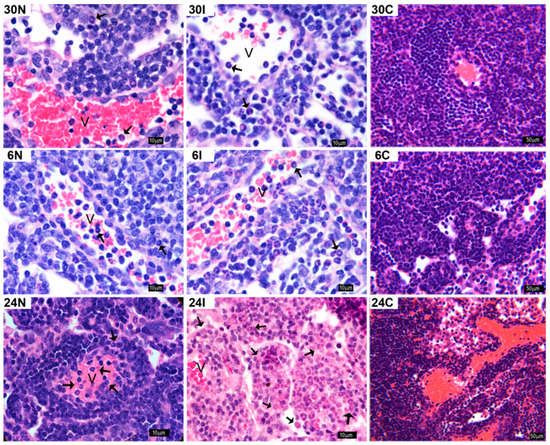
3.3. Neutrophil Count in Tissues of Non-Infected and L. major-Infected Ph. duboscqi Sand Flies
3.4. Neutrophil Infiltration into Tissues after Infected and Non-Infected Sand Fly Bites
3.5. Lymph Node Activation after Sand Fly Bites
3.5.1. Neutrophil Influx into Lymph Nodes after Sand Fly Bites
3.5.2. Lymph Node Activation Shows TNF-α Release after Sand Fly Bite
4. Discussion
5. Conclusions
Supplementary Materials
Author Contributions
Funding
Institutional Review Board Statement
Informed Consent Statement
Data Availability Statement
Acknowledgments
Conflicts of Interest
References
- Compton, J.S.; Cairns, J.A.; Holgate, S.T.; Walls, F.A. The Role of Mast Cell Tryptase in Regulating Endothelial Cell Proliferation, Cytokine Release, and Adhesion Molecule Expression: Tryptase Induces Expression of mRNA for IL-1β and IL-8 and Stimulates the Selective Release of IL-8 from Human Umbilical Vein Endothelial Cells. J. Immunol. 1998, 161, 1939–1946. [Google Scholar] [PubMed]
- Galli, S.J.; Kalesnikoff, J.; Grimbaldeston, M.A.; Piliponsky, A.M.; Williams, C.M.; Tsai, M. Mast cells as “tunable” effector and immunoregulatory cells: Recent advances. Ann. Rev. Immunol. 2005, 23, 749–786. [Google Scholar] [CrossRef] [PubMed]
- Von Stebut, E.; Metz, M.; Milon, G.; Knop, J.; Maurer, M. Early macrophage influx to sites of cutaneous granuloma formation is dependent on MIP-1alpha /beta released from neutrophils recruited by mast cell-derived TNFalpha. Blood 2003, 101, 210–215. [Google Scholar] [CrossRef] [PubMed]
- Galli, S.J.; Tsai, M. Mast cells in allergy and infection: Versatile effector and regulatory cells in innate and adaptive immunity. Eur. J. Immunol. 2010, 40, 1843–1851. [Google Scholar] [CrossRef]
- Shelburne, C.P.; Abraham, S.N. The mast cell in innate and adaptive immunity. Adv. Exp. Med. Biol. 2011, 716, 162–185. [Google Scholar] [PubMed]
- Newton, K.; Dixit, V.M. Signaling in innate immunity and inflammation. Cold Spring Harb Perspect. Biol. 2012, 4, a006049. [Google Scholar] [CrossRef]
- Marshall, J.S.; Jawdat, D.M. Mast cells in innate immunity. J. Allergy Clin. Immunol. 2004, 114, 21–27. [Google Scholar] [CrossRef]
- Amin, K. The role of mast cells in allergic inflammation. Respir. Med. 2012, 106, 9–14. [Google Scholar] [CrossRef]
- Molinari, J.F.; Moore, W.R.; Clark, J.; Tanaka, R.; Butterfield, J.H.; Abraham, W.M. Role of tryptase in immediate cutaneous responses in allergic sheep. J. Appl. Physiol. (1985) 1995, 79, 1966–1970. [Google Scholar] [CrossRef]
- Molinari, J.F.; Scuri, M.; Moore, W.R.; Clark, J.; Tanaka, R.; Abraham, W.M. Inhaled tryptase causes bronchoconstriction in sheep via histamine release. Am. J. Respir. Crit. Care Med. 1996, 154, 649–653. [Google Scholar] [CrossRef]
- Abraham, S.N.; St John, A.L. Mast cell-orchestrated immunity to pathogens. Nat. Rev. Immunol. 2010, 10, 440–452. [Google Scholar] [CrossRef] [PubMed]
- Dudeck, A.; Suender, C.A.; Kostka, S.L.; von Stebut, E.; Maurer, M. Mast cells promote Th1 and Th17 responses by modulating dendritic cell maturation and function. Eur. J. Immunol. 2011, 41, 1883–1893. [Google Scholar] [CrossRef] [PubMed]
- Kautz-Neu, K.; Schwonberg, K.; Fischer, M.R.; Schermann, A.I.; von Stebut, E. Dendritic cells in Leishmania major infections: Mechanisms of parasite uptake, cell activation and evidence for physiological relevance. Med. Microbiol. Immunol. 2012, 201, 581–592. [Google Scholar] [CrossRef]
- Maurer, M.; Lopez Kostka, S.; Siebenhaar, F.; Moelle, K.; Metz, M.; Knop, J.; von Stebut, E. Skin mast cells control T cell-dependent host defense in Leishmania major infections. FASEB J. 2006, 20, 2460–2467. [Google Scholar] [CrossRef] [PubMed]
- Bidri, M.; Vouldoukis, I.; Mossalayi, M.D.; Debré, P.; Guillosson, J.J.; Mazier, D.; Arock, M. Evidence for direct interaction between mast cells and Leishmania parasites. Parasite Immunol. 1997, 19, 475–483. [Google Scholar] [CrossRef]
- Romão, P.R.; Da Costa Santiago, H.; Ramos, C.D.; De Oliveira, C.F.; Monteiro, M.C.; De Queiroz Cunha, F.; Vieira, L.Q. Mast cell degranulation contributes to susceptibility to Leishmania major. Parasite Immunol. 2009, 31, 140–146. [Google Scholar] [CrossRef]
- Villaseñor-Cardoso, M.I.; Salaiza, N.; Delgado, J.; Gutiérrez-Kobeh, L.; Pérez-Torres, A.; Becker, I. Mast cells are activated by Leishmania mexicana LPG and regulate the disease outcome depending on the genetic background of the host. Parasite Immunol. 2008, 30, 425–434. [Google Scholar] [CrossRef]
- Dey, R.; Joshi, A.B.; Oliveira, F.; Pereira, L.; Guimarães-Costa, A.B.; Serafim, T.D.; de Castro, W.; Coutinho-Abreu, I.V.; Bhattacharya, P.; Townsend, S.; et al. Gut Microbes Egested during Bites of Infected Sand Flies Augment Severity of Leishmaniasis via Inflammasome-Derived IL-1β. Cell Host Microbe 2018, 23, 134–143. [Google Scholar] [CrossRef]
- Atayde, V.D.; Aslan, H.; Townsend, S.; Hassani, K.; Kamhawi, S.; Olivier, M. Exosome Secretion by the Parasitic Protozoan Leishmania within the Sand Fly Midgut. Cell Rep. 2015, 13, 957–967. [Google Scholar] [CrossRef]
- Rogers, M.E. The role of leishmania proteophosphoglycans in sand fly transmission and infection of the Mammalian host. Front. Microbiol. 2012, 3, 223. [Google Scholar] [CrossRef]
- Abdeladhim, M.; Kamhawi, S.; Valenzuela, J.G. What’s behind a sand fly bite? The profound effect of sand fly saliva on host hemostasis, inflammation and immunity. Infect. Genet. Evol. 2014, 28, 691–703. [Google Scholar] [CrossRef] [PubMed]
- Peters, N.C.; Egen, J.G.; Secundino, N.; Debrabant, A.; Kimblin, N.; Kamhawi, S.; Lawyer, P.; Fay, M.P.; Germain, R.N.; Sacks, D. In vivo imaging reveals an essential role for neutrophils in leishmaniasis transmitted by sand flies. Science 2008, 321, 970–974. [Google Scholar] [CrossRef] [PubMed]
- Ribeiro-Gomes, F.L.; Otero, A.C.; Gomes, N.A.; Moniz-De-Souza, M.C.; Cysne-Finkelstein, L.; Arnholdt, A.C.; Calich, V.L.; Coutinho, S.G.; Lopes, M.F.; DosReis, G.A. Macrophage interactions with neutrophils regulate Leishmania major infection. J. Immunol. 2004, 172, 4454–4462. [Google Scholar] [CrossRef] [PubMed]
- Teixeira, C.; Gomes, R.; Oliveira, F.; Meneses, C.; Gilmore, D.C.; Elnaiem, D.E.; Valenzuela, J.G.; Kamhawi, S. Characterization of the early inflammatory infiltrate at the feeding site of infected sand flies in mice protected from vector-transmitted Leishmania major by exposure to uninfected bites. PLoS Negl. Trop. Dis. 2014, 8, e2781. [Google Scholar] [CrossRef]
- Rogers, M.E.; Chance, M.L.; Bates, P.A. The role of promastigote secretory gel in the origin and transmission of the infective stage of Leishmania mexicana by the sandfly Lutzommyia longipalpis. Parasitology 2002, 124, 495–507. [Google Scholar] [CrossRef]
- Serafim, T.D.; Coutinho-Abreu, I.V.; Oliveira, F.; Meneses, C.; Kamhawi, S.; Valenzuela, J.G. Sequential blood meals promote Leishmania replication and reverse metacyclogenesis augmenting vector infectivity. Nat. Microbiol. 2018, 3, 548–555. [Google Scholar] [CrossRef]
- Aslan, H.; Dey, R.; Meneses, C.; Castrovinci, P.; Bezerra-Jeronimo, S.M.; Oliva, G.; Fisher, L.; Duncan, R.C.; Nakhasi, H.L.; Valenzuela, J.G.; et al. A new model of progressive visceral leishmaniasis in hamsters by natural transmission via bites of vector sand flies. J. Infect. Dis. 2013, 15, 1328–1338. [Google Scholar] [CrossRef]
- Sridharan, G.; Shankar, A.A. Toluidine blue: A review of its chemistry and clinical utility. J. Oral Maxillofac. Pathol. 2012, 16, 251–255. [Google Scholar] [CrossRef]
- Fischer, M.; Harvima, I.T.; Carvalho, R.F.; Möller, C.; Naukkarinen, A.; Enblad, G.; Nilsson, G. Mast cell CD30 ligand is unregulated in cutaneous inflammation and mediates degranulation-independent chemokine secretion. J. Clin. Invest. 2006, 116, 2748–2756. [Google Scholar] [CrossRef]
- Zhang, J.; Alcaide, P.; Liu, L.; Sun, J.; He, A.; Luscinskas, F.W.; Shi, G.P. Regulation of endothelial cell adhesion molecule expression by mast cells, macrophages, and neutrophils. PLoS ONE 2011, 6, e14525. [Google Scholar] [CrossRef]
- Słodka, A.; Wiktorska, M.; Brzezińska-Błaszczyk, E. IgE by itself affects mature rat mast cell preformed and de novo-synthesized mediator release and amplifies mast cell migratory response. PLoS ONE 2013, 8, e79286. [Google Scholar] [CrossRef]
- Chen, C.; Khismatullin, D.B. Synergistic effect of histamine and TNF-α on monocyte adhesion to vascular endothelial cells. Inflammation 2013, 36, 309–319. [Google Scholar] [CrossRef] [PubMed]
- Caughey, G.H. Mast cell tryptases and chymases in inflammation and host defense. Immunol. Rev. 2007, 217, 141–154. [Google Scholar] [CrossRef] [PubMed]
- Cairns, J.A.; Walls, A.F. Mast cell tryptase is a mitogen for epithelial cells. Stimulation of IL-8 production and intercellular adhesion molecule-1 expression. J. Immunol. 1996, 156, 275–283. [Google Scholar] [CrossRef] [PubMed]
- Caron, G.; Delneste, Y.; Roelandts, E.; Duez, C.; Herbault, N.; Magistrelli, G.; Bonnefoy, J.Y.; Pestel, J.; Jeannin, P. Histamine induces CD86 expression and chemokine production by human immature dendritic cells. J. Immunol. 2001, 166, 6000–6006. [Google Scholar] [CrossRef]
- Beghdadi, W.; Porcherie, A.; Schneider, B.S.; Dubayle, D.; Peronet, R.; Huerre, M.; Watanabe, T.; Ohtsu, H.; Louis, J.; Mécheri, S. Inhibition of histamine-mediated signaling confers significant protection against severe malaria in mouse models of disease. J. Exp. Med. 2008, 205, 395–408. [Google Scholar] [CrossRef] [PubMed]
- Fromm, P.D.; Kling, J.C.; Remke, A.; Bogdan, C.; Körner, H. Fatal Leishmaniasis in the Absence of TNF Despite a Strong Th1 Response. Front. Microbiol. 2016, 6, 1520. [Google Scholar] [CrossRef]
- Oliveira, F.; Bafica, A.; Rosato, A.B.; Favali, C.B.; Costa, J.M.; Cafe, V.; Barral-Netto, M.; Barral, A. Lesion size correlates with Leishmania antigen-stimulated TNF-levels in human cutaneous leishmaniasis. Am. J. Trop. Med. Hyg. 2011, 85, 70–73. [Google Scholar] [CrossRef]
- Castes, M.; Trujillo, D.; Rojas, M.E.; Fernandez, C.T.; Araya, L.; Cabrera, M.; Blackwell, J.; Convit, J. Serum levels of tumor necrosis factor in patients with American cutaneous leishmaniasis. Biol. Res. 1993, 26, 233–238. [Google Scholar]
- Da-Cruz, A.M.; de Oliveira, M.P.; De Luca, P.M.; Mendonça, S.C.; Coutinho, S.G. Tumor necrosis factor-alpha in human american tegumentary leishmaniasis. Mem. Inst. Oswaldo Cruz 1996, 91, 225–229. [Google Scholar] [CrossRef]
- Guimaraes-Costa, A.B.; Shannon, J.P.; Waclawiak, I.; Oliveira, J.; Meneses, C.; de Castro, W.; Wen, X.; Brzostowski, J.; Serafim, T.D.; Andersen, J.F.; et al. A sand fly salivary protein acts as a neutrophil chemoattractant. Nat. Commun. 2021, 12, 3213. [Google Scholar] [CrossRef] [PubMed]
- Tacchini-Cottier, F.; Zweifel, C.; Belkaid, Y.; Mukankundiye, C.; Vasei, M.; Launois, P.; Milon, G.; Louis, J.A. An immunomodulatory function for neutrophils during the induction of a CD4+ Th2 response in BALB/c mice infected with Leishmania major. J. Immunol. 2000, 165, 2628–2636. [Google Scholar] [CrossRef] [PubMed]
- Abadie, V.; Badell, E.; Douillard, P.; Ensergueix, D.; Leenen, P.J.; Tanguy, M.; Fiette, L.; Saeland, S.; Gicquel, B.; Winter, N. Neutrophils rapidly migrate via lymphatics after Mycobacterium bovis BCG intradermal vaccination and shuttle live bacilli to the draining lymph nodes. Blood 2005, 106, 1843–1850. [Google Scholar] [CrossRef] [PubMed]
- Chtanova, T.; Schaeffer, M.; Han, S.J.; van Dooren, G.G.; Nollmann, M.; Herzmark, P.; Chan, S.W.; Satija, H.; Camfield, K.; Aaron, H.; et al. Dynamics of neutrophil migration in lymph nodes during infection. Immunity 2008, 29, 487–496. [Google Scholar] [CrossRef]
- Moll, H.; Fuchs, H.; Blank, C.; Röllinghoff, M. Langerhans cells transport Leishmania major from the infected skin to the draining lymph node for presentation to antigen-specific T cells. Eur. J. Immunol. 1993, 23, 1595–1601. [Google Scholar] [CrossRef] [PubMed]
- Demeure, C.E.; Brahimi, K.; Hacini, F.; Marchand, F.; Péronet, R.; Huerre, M.; St-Mezard, P.; Nicolas, J.F.; Brey, P.; Delespesse, G.; et al. Anopheles mosquito bites activate cutaneous mast cells leading to a local inflammatory response and lymph node hyperplasia. J. Immunol. 2005, 174, 3932–3940. [Google Scholar] [CrossRef]











Disclaimer/Publisher’s Note: The statements, opinions and data contained in all publications are solely those of the individual author(s) and contributor(s) and not of MDPI and/or the editor(s). MDPI and/or the editor(s) disclaim responsibility for any injury to people or property resulting from any ideas, methods, instructions or products referred to in the content. |
© 2023 by the authors. Licensee MDPI, Basel, Switzerland. This article is an open access article distributed under the terms and conditions of the Creative Commons Attribution (CC BY) license (https://creativecommons.org/licenses/by/4.0/).
Share and Cite
Sánchez-García, L.; Pérez-Torres, A.; Gudiño-Zayas, M.E.; Zamora-Chimal, J.; Meneses, C.; Kamhawi, S.; Valenzuela, J.G.; Becker, I. Leishmania major-Infected Phlebotomus duboscqi Sand Fly Bites Enhance Mast Cell Degranulation. Pathogens 2023, 12, 207. https://doi.org/10.3390/pathogens12020207
Sánchez-García L, Pérez-Torres A, Gudiño-Zayas ME, Zamora-Chimal J, Meneses C, Kamhawi S, Valenzuela JG, Becker I. Leishmania major-Infected Phlebotomus duboscqi Sand Fly Bites Enhance Mast Cell Degranulation. Pathogens. 2023; 12(2):207. https://doi.org/10.3390/pathogens12020207
Chicago/Turabian StyleSánchez-García, Laura, Armando Pérez-Torres, Marco E. Gudiño-Zayas, Jaime Zamora-Chimal, Claudio Meneses, Shaden Kamhawi, Jesus G. Valenzuela, and Ingeborg Becker. 2023. "Leishmania major-Infected Phlebotomus duboscqi Sand Fly Bites Enhance Mast Cell Degranulation" Pathogens 12, no. 2: 207. https://doi.org/10.3390/pathogens12020207
APA StyleSánchez-García, L., Pérez-Torres, A., Gudiño-Zayas, M. E., Zamora-Chimal, J., Meneses, C., Kamhawi, S., Valenzuela, J. G., & Becker, I. (2023). Leishmania major-Infected Phlebotomus duboscqi Sand Fly Bites Enhance Mast Cell Degranulation. Pathogens, 12(2), 207. https://doi.org/10.3390/pathogens12020207

