Tick Bite Granuloma After Incomplete Removal of Ixodes ricinus Tick
Simple Summary
Abstract
1. Introduction
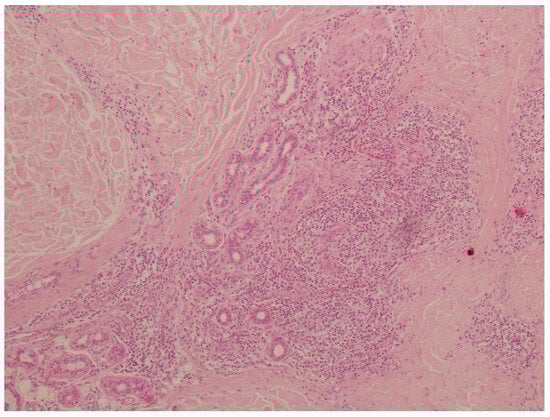
2. Case Presentation
3. Discussion
4. Conclusions
Author Contributions
Funding
Data Availability Statement
Conflicts of Interest
References
- Šimo, L.; Kazimirova, M.; Richardson, J.; Bonnet, S.I. The Essential Role of Tick Salivary Glands and Saliva in Tick Feeding and Pathogen Transmission. Front. Cell. Infect. Microbiol. 2017, 7, 281. [Google Scholar]
- Schön, M.P. The tick and I: Parasite-host interactions between ticks and humans. J. Dtsch. Dermatol. Ges. 2022, 20, 818–853. [Google Scholar] [PubMed]
- Balashov, Y.S. Blood sucking ticks (Ixodidae)—Vectors of diseases of man and animals. Misc. Publ. Entomol. Soc. Am. 1972, 8, 161–376. [Google Scholar]
- Nicholson, W.L.; Sonenshine, D.E.; Noden, B.H.; Brown, R.N. Ticks (ixodida). In Medical and Veterinary Entomology, 3rd ed.; Mullen, G.R., Durden, L.A., Eds.; Cambridge Academic Press: Cambridge, MA, USA, 2019; pp. 603–672. [Google Scholar]
- Richards, S.L.; Langley, R.; Apperson, C.S.; Watson, E. Do Tick Attachment Times Vary between Different Tick-Pathogen Systems? Environments 2017, 4, 37. [Google Scholar] [CrossRef]
- Gray, J.; Kahl, O.; Zintl, A. Pathogens transmitted by Ixodes ricinus. Ticks Tick Borne Dis. 2024, 15, 102402. [Google Scholar]
- Nowak-Chmura, M. Fauna of Ticks (Ixodida) of Central Europe; Scientific Publishing house of the Pedagogical University of Cracow: Cracow, Poland, 2013. (In Polish) [Google Scholar]
- Bartosik, K.; Buczek, A. Determination of the parameters of the parasitic stage in Ixodes ricinus females. Ann. Agric. Environ. Med. 2013, 20, 441–446. [Google Scholar]
- Akin Belli, A.; Dervis, E.; Kar, S.; Ergonul, O.; Gargili, A. Revisiting detachment techniques in human-biting ticks. J. Am. Acad. Dermatol. 2016, 75, 393–397. [Google Scholar]
- Cull, B.; Pietzsch, M.E.; Gillingham, E.L.; McGinley, L.; Medlock, J.M.; Hansford, K.M. Seasonality and anatomical location of human tick bites in the United Kingdom. Zoonoses Public Health 2020, 67, 112–121. [Google Scholar]
- Pawełczyk, A.; Bednarska, M.; Hamera, A.; Religa, E.; Poryszewska, M.; Mierzejewska, E.J.; Welc-Falęciak, R. Long-term study of Borrelia and Babesia prevalence and co-infection in Ixodes ricinus and Dermacentor recticulatus ticks removed from humans in Poland, 2016–2019. Parasit. Vectors 2021, 14, 348. [Google Scholar]
- Buczek, W.; Buczek, A.M.; Bartosik, K.; Buczek, A. Comparison of Skin Lesions Caused by Ixodes ricinus Ticks and Lipoptena cervi Deer Keds Infesting Humans in the Natural Environment. Int. J. Environ. Res. Public Health 2020, 17, 3316. [Google Scholar] [CrossRef]
- Castelli, E.; Caputo, V.; Morello, V.; Tomasino, R.M. Local reactions to tick bites. Am. J. Dermatopathol. 2008, 30, 241–248. [Google Scholar] [CrossRef] [PubMed]
- Wilhelmsson, P.; Lindblom, P.; Fryland, L.; Nyman, D.; Jaenson, T.G.; Forsberg, P.; Lindgren, P.E. Ixodes ricinus ticks removed from humans in Northern Europe: Seasonal pattern of infestation, attachment sites and duration of feeding. Parasites Vectors 2013, 6, 362. [Google Scholar] [CrossRef] [PubMed]
- Prasad, V.; Amrine, J.W., Jr. Histopathologic studies on bite of a female American dog tick, Dermacentor variabilis (Acari: Ixodidae), in a man: Changes in skin. Persian J. Acarol. 2015, 4, 71–82. [Google Scholar]
- Lynch, M.C.; Milchak, M.A.; Parnes, H.; Ioffreda, M.D. Tick bite alopecia: A report and review. Am. J. Dermatophatol. 2016, 38, e150–e153. [Google Scholar] [CrossRef]
- Mihara, M. A Histopathologic Study of the Human Skin in the Early Stage After a Tick Bite: A Special Reference to Cutaneous Tissue Reaction to the Cement Substance of Tick Saliva. Yonago Acta Med. 2017, 60, 186–199. [Google Scholar] [CrossRef]
- Haddad, V., Jr.; Haddad, M.R.; Santos, M.; Cardoso, J.L.C. Skin manifestations of tick bites in humans. An. Bras. Dermatol. 2018, 93, 251–255. [Google Scholar] [CrossRef]
- Takada, T. Diagnostic Histopathological Findings on a Tick-Bite Lesion without the Presence of an Insect Body. Case Rep. Dermatol. 2022, 14, 157–163. [Google Scholar] [CrossRef]
- Shasky, D.R. Tick bite granuloma with autoeczematization. Arch. Dermatol. 1972, 106, 916. [Google Scholar]
- Hirota, K.; Kurosawa, Y.; Goto, K.; Adachi, K.; Yoshida, Y.; Yamamoto, O. Tick Bite Granuloma: Recommendations for Surgical Treatment. Yonago Acta Med. 2015, 58, 51–52. [Google Scholar]
- Rai, R.; Yoon, M.K.; Stacy, R.C. Tick Infestation of the Eyelid With Histopathologic Characterization. Ophthalmic Plast. Reconstr. Surg. 2016, 32, e55–e58. [Google Scholar] [CrossRef]
- Kemp, D.H.; Stone, B.F.; Binnington, K.C. Tick attachment and feeding: Role of the mouthparts, feeding apparatus, salivary gland secretions and the host response. In Physiology of Ticks; Obenchain, F., Galun, R., Eds.; Pergamon Press: Oxford, UK, 1982; pp. 119–168. [Google Scholar]
- Shah, K.K.; Pritt, B.S.; Alexander, M.P. Histopathologic review of granulomatous inflammation. J. Clin. Tuberc. Other Mycobact. Dis. 2017, 7, 1–12. [Google Scholar] [PubMed]
- Alekseev, A.N.; Burenkova, L.A.; Vasilieva, I.S.; Dubinina, H.V.; Chunikhin, S.P. Preliminary studies on virus and spirochete accumulation in the cement plug of ixodid ticks. Exp. Appl. Acarol. 1996, 20, 713–723. [Google Scholar] [PubMed]
- Glatz, M.; Means, T.; Haas, J.; Steere, A.C.; Müllegger, R.R. Characterization of the early local immune response to Ixodes ricinus tick bites in human skin. Exp. Dermatol. 2017, 26, 263–269. [Google Scholar] [PubMed]





Disclaimer/Publisher’s Note: The statements, opinions and data contained in all publications are solely those of the individual author(s) and contributor(s) and not of MDPI and/or the editor(s). MDPI and/or the editor(s) disclaim responsibility for any injury to people or property resulting from any ideas, methods, instructions or products referred to in the content. |
© 2025 by the authors. Licensee MDPI, Basel, Switzerland. This article is an open access article distributed under the terms and conditions of the Creative Commons Attribution (CC BY) license (https://creativecommons.org/licenses/by/4.0/).
Share and Cite
Bartosik, K.; Szczecina, A.; Borzęcka-Sapko, A.; Raszewska-Famielec, M.; Buczek, A. Tick Bite Granuloma After Incomplete Removal of Ixodes ricinus Tick. Insects 2025, 16, 389. https://doi.org/10.3390/insects16040389
Bartosik K, Szczecina A, Borzęcka-Sapko A, Raszewska-Famielec M, Buczek A. Tick Bite Granuloma After Incomplete Removal of Ixodes ricinus Tick. Insects. 2025; 16(4):389. https://doi.org/10.3390/insects16040389
Chicago/Turabian StyleBartosik, Katarzyna, Agata Szczecina, Agnieszka Borzęcka-Sapko, Magdalena Raszewska-Famielec, and Alicja Buczek. 2025. "Tick Bite Granuloma After Incomplete Removal of Ixodes ricinus Tick" Insects 16, no. 4: 389. https://doi.org/10.3390/insects16040389
APA StyleBartosik, K., Szczecina, A., Borzęcka-Sapko, A., Raszewska-Famielec, M., & Buczek, A. (2025). Tick Bite Granuloma After Incomplete Removal of Ixodes ricinus Tick. Insects, 16(4), 389. https://doi.org/10.3390/insects16040389

