Structural and Functional Analysis of Hemoglobin Binding to the Peritrophic Matrix During Blood Digestion in Aedes aegypti
Simple Summary
Abstract
1. Introduction
2. Material and Methods
2.1. Mosquitoes and Colony Maintenance
2.2. Feeding of Mosquitoes
2.3. Dissection of A. aegypti Midgut and Processing of the Peritrophic Matrix
2.4. Immunofluorescence Microscopy
2.5. Affinity Chromatography of Bovine Hemoglobin and Hemin with Chitin
2.6. Computational Approach for Structural Modeling and Blind Docking of Bovine Hemoglobin Subunits with the Oligosaccharide (NAG)4
2.7. Extraction and Quantification of Peritrophic Matrix Proteins from A. aegypti
2.8. Electrophoresis, Detection of Peroxidase Activity, and Protein Quantification by Densitometry
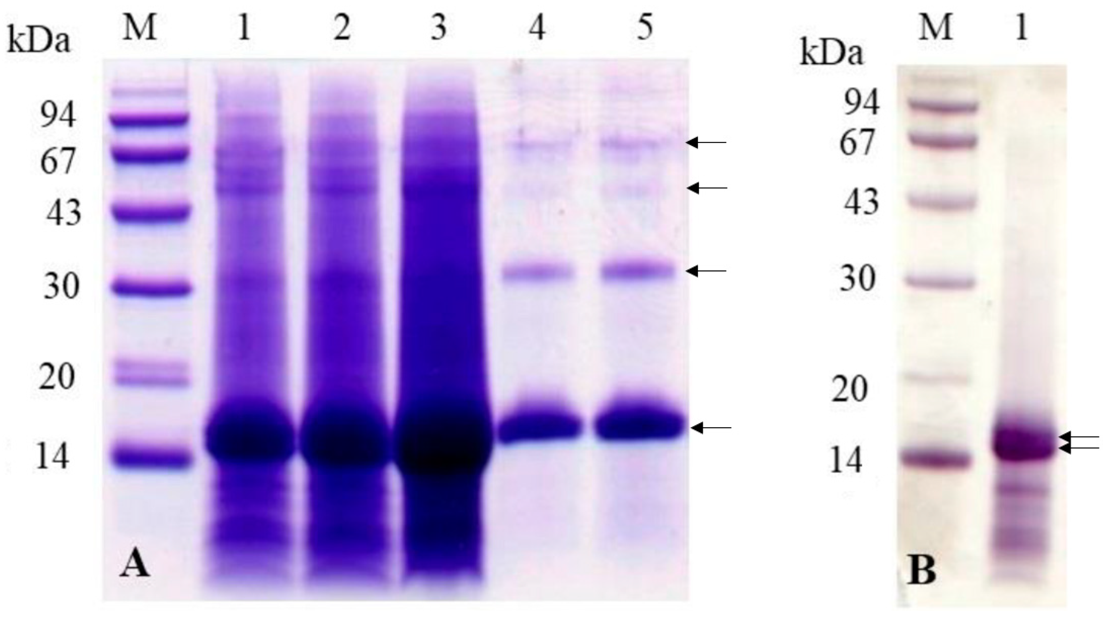
2.9. Amino-Terminal Sequencing of the Majority PM Proteins
3. Results
3.1. Dynamic Visualization of Midgut Morphology During Blood Digestion in A. aegypti
3.2. Protein Profiling of the Peritrophic Matrix in Blood-Fed Mosquitoes
3.3. Comparative Analysis of Peritrophic Matrix Proteins and Bovine Hemoglobin: Structural and Sequence Insights
3.4. Visualization of Hemoglobin–Chitin Interaction in the Peritrophic Matrix via Immunofluorescence Microscopy
3.5. Affinity Chromatography Profiles of Chitin with Bovine Hemoglobin and Hemin
3.6. Computational Insights into the Binding of Bovine Hemoglobin Subunits with (NAG)4 Oligosaccharide: Structural Modeling and Docking Analysis
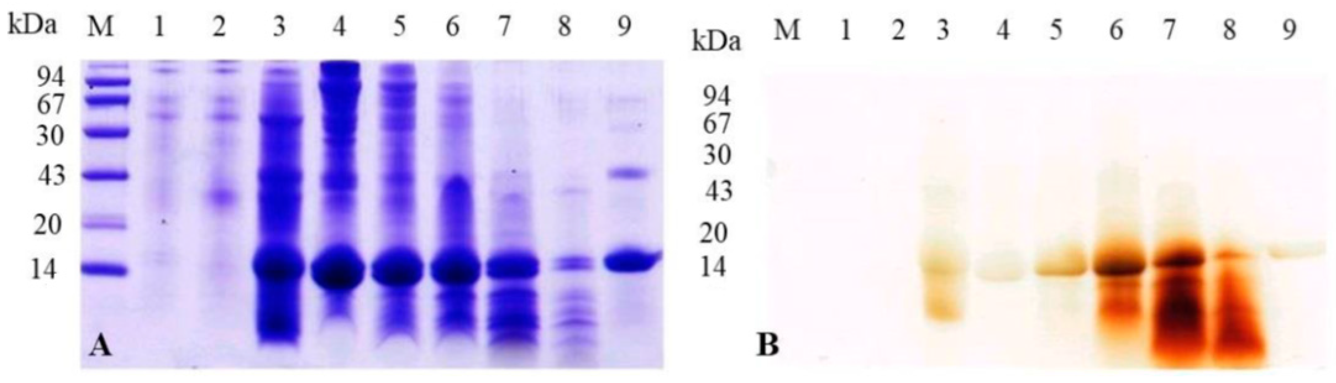
3.7. Temporal Dynamics of Hemoglobin Association and Peroxidase Activity in the Peritrophic Matrix of A. aegypti During Blood Digestion
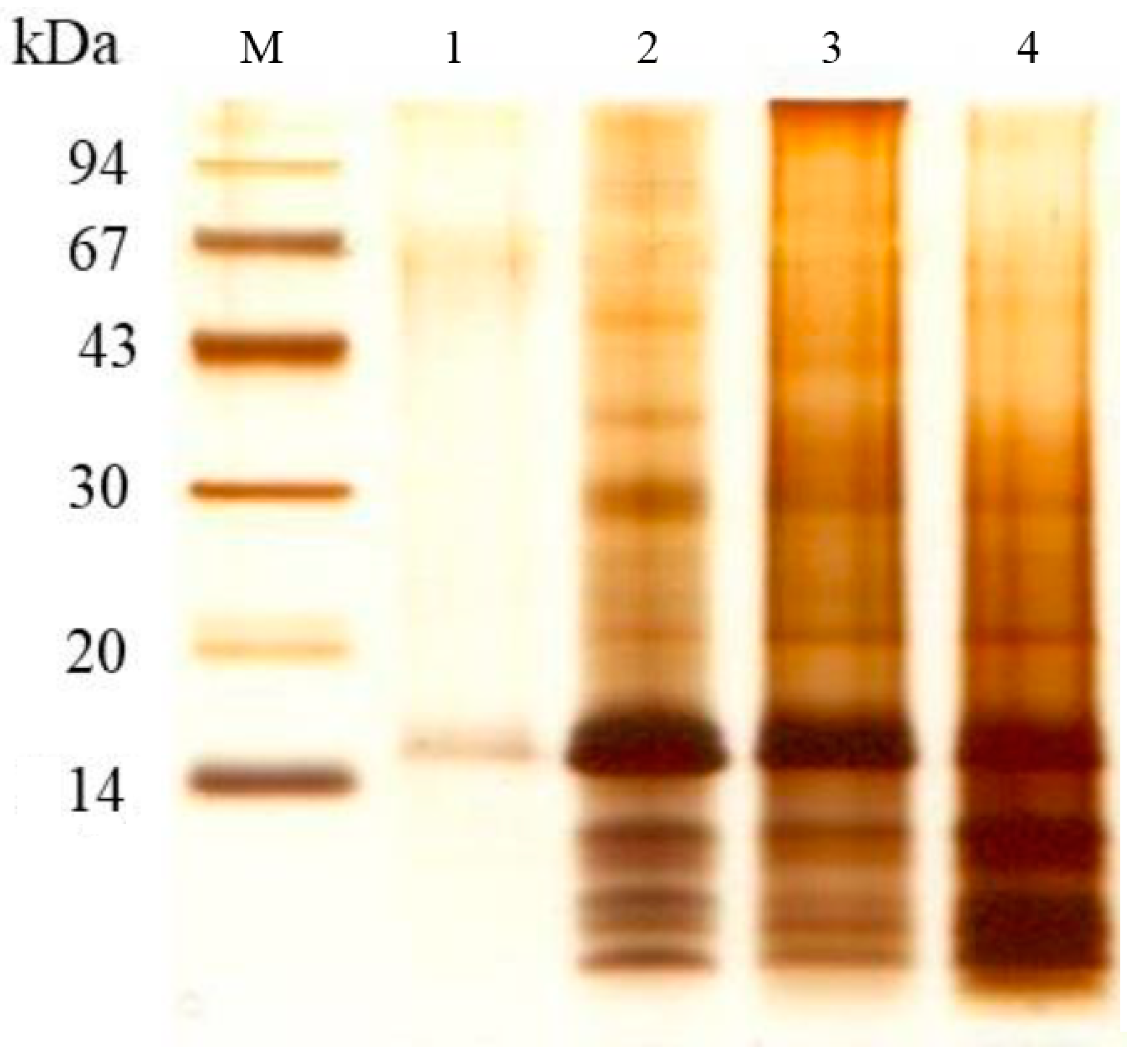
3.8. Comparative Analysis of Luminal and Peritrophic Matrix-Associated Hemoglobin Degradation During Blood Digestion in A. aegypti
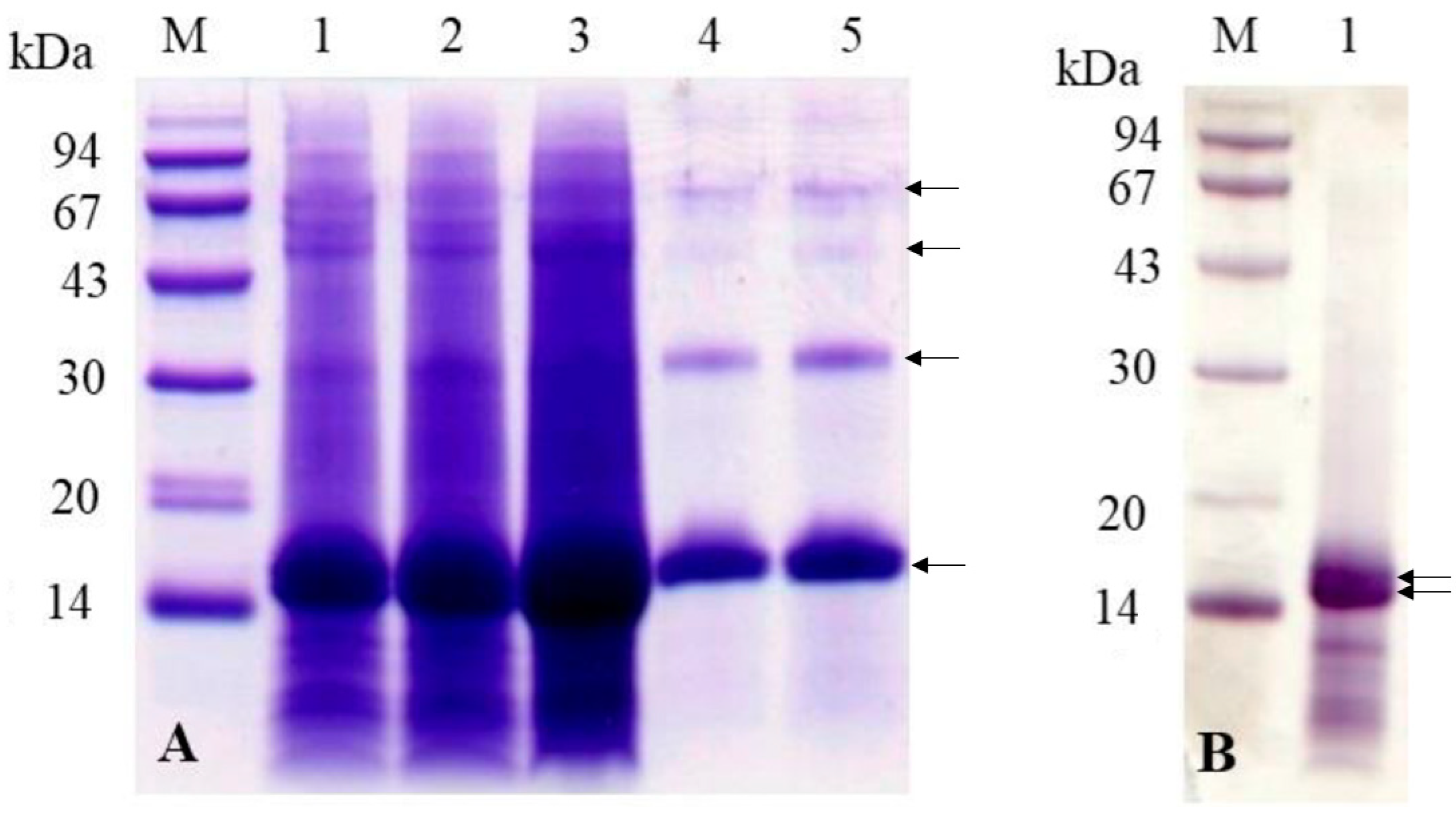
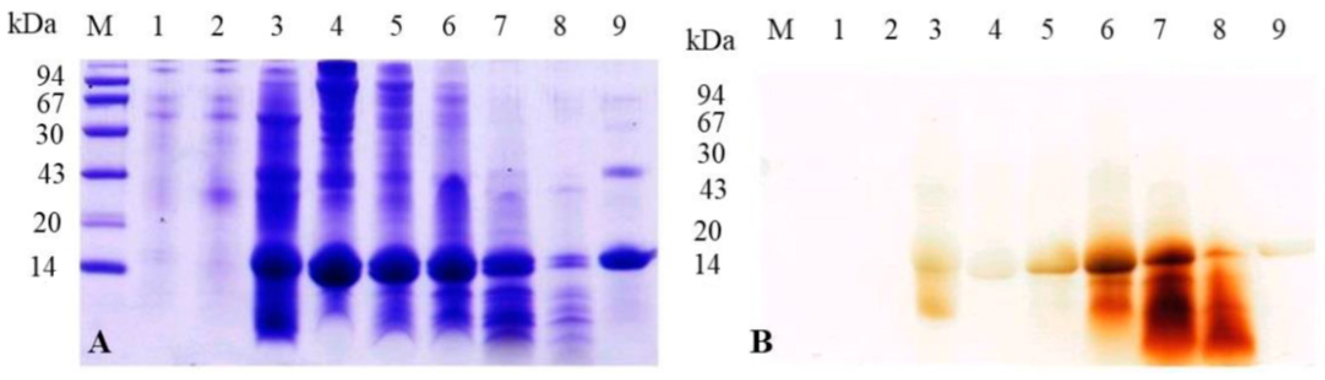
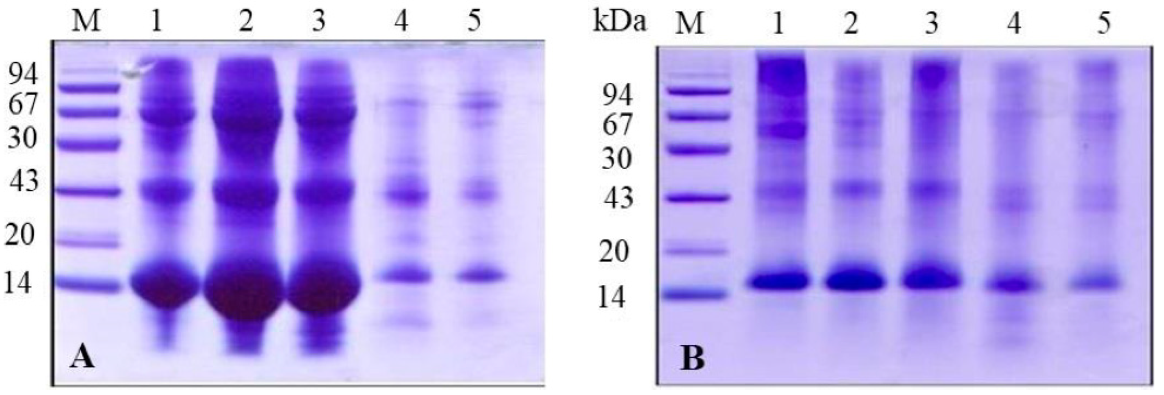
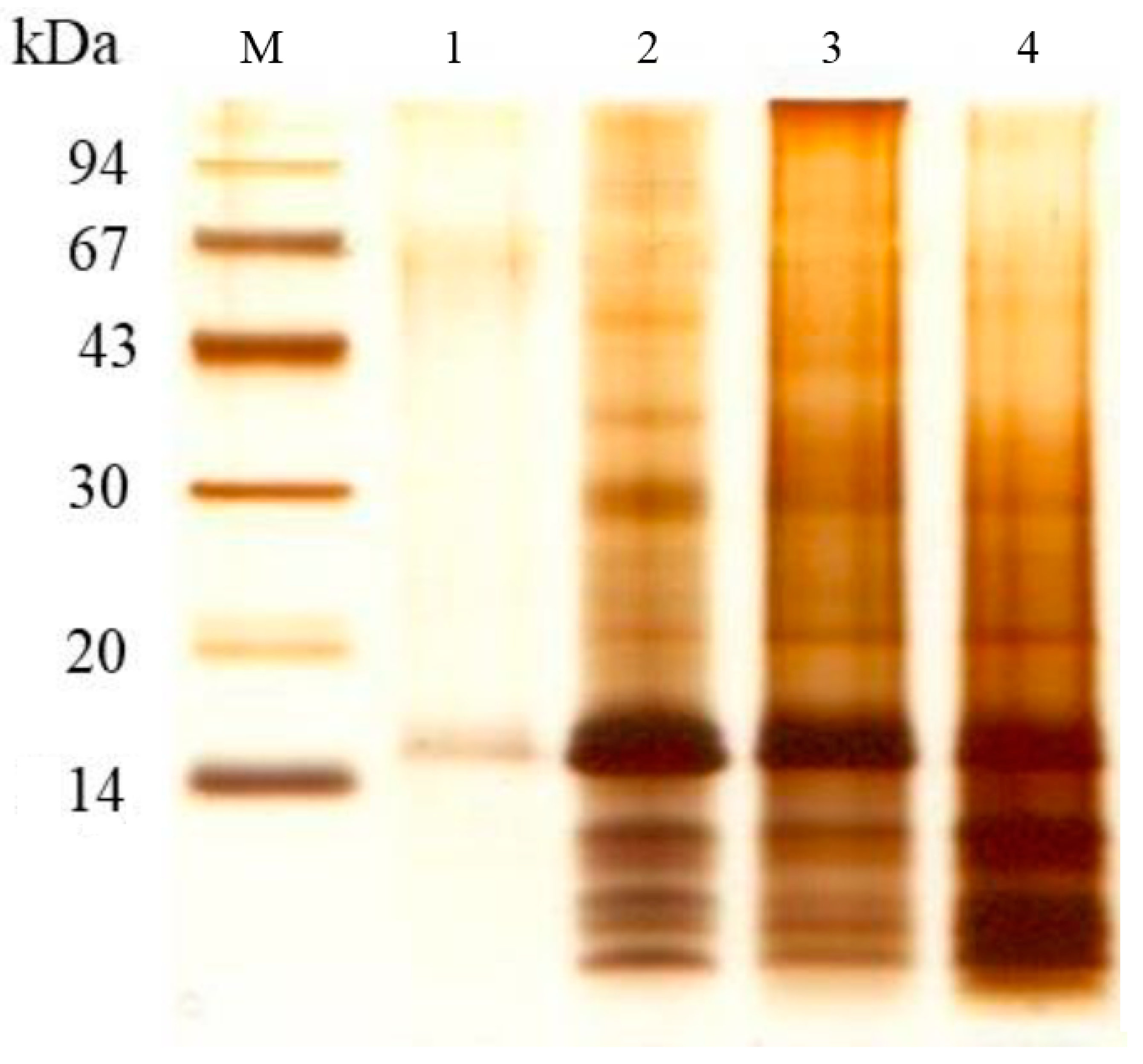
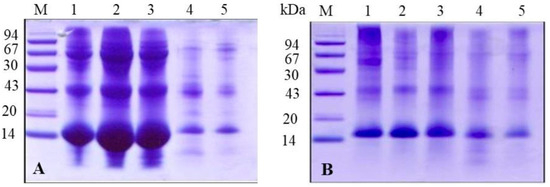
3.9. Proteolytic Regulation of Heme Protein Association with A. aegypti Peritrophic Matrix: A Comparative SDS-PAGE Analysis
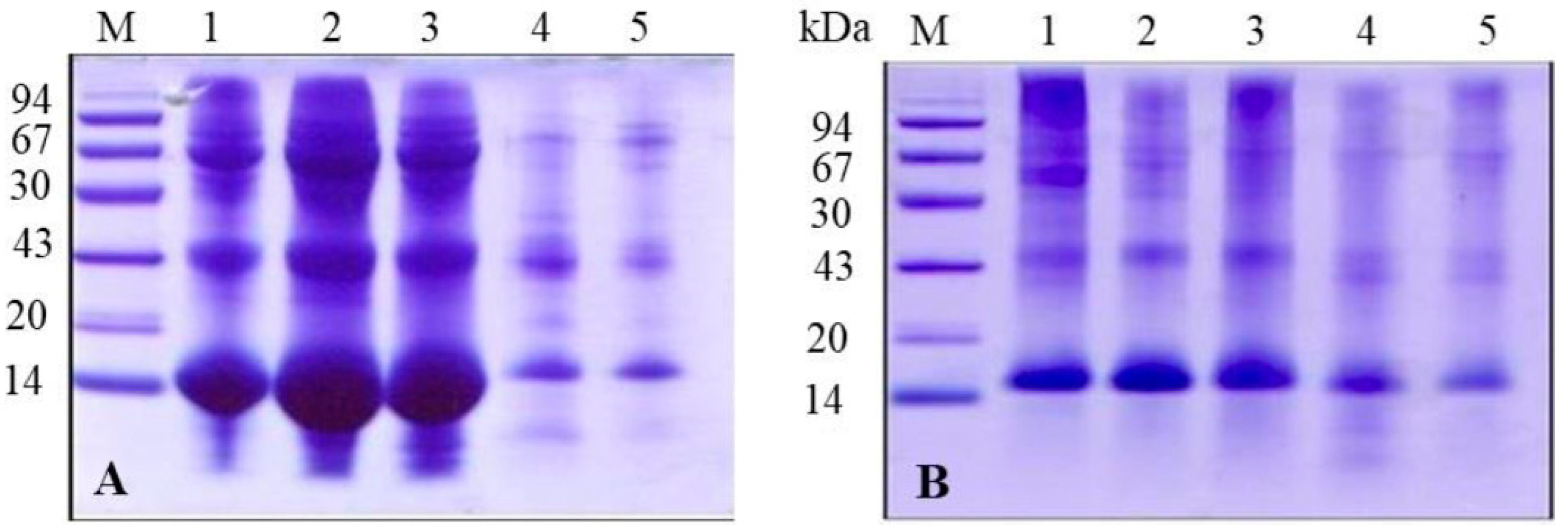
3.10. Analysis of Heme Protein Binding to Aedes aegypti Peritrophic Matrix by SDS-PAGE
4. Discussion
5. Conclusions
Supplementary Materials
Author Contributions
Funding
Data Availability Statement
Acknowledgments
Conflicts of Interest
References
- WHO—World Health Organization. Mosquito-Borne Diseases; WHO: Geneva, Switzerland, 2021; Available online: https://www.who.int/news-room/fact-sheets/detail/vector-borne-diseases (accessed on 5 December 2023).
- WHO—World Health Organization. Dengue—Global Situation; WHO: Geneva, Switzerland, 2023; Available online: https://www.who.int/emergencies/disease-outbreak-news/item/2023-DON498 (accessed on 8 January 2023).
- Soni, S.; Gill, V.J.S.; Anusheel Singh, J.; Chhabra, J.; Gill, G.J.S.; Bakshi, R. Dengue, chikungunya, and zika: The causes and threats of emerging and re-emerging arboviral diseases. Cureus 2023, 15, e30633. [Google Scholar] [CrossRef]
- Clements, A.N. The Biology of Mosquitoes: Development, Nutrition, and Reproduction; Springer Science & Business Media: Berlin/Heidelberg, Germany, 1992; Volume 1, p. 509. [Google Scholar]
- Hegedus, D.; Erlandson, M.; Gillott, C.; Toprak, U. New insights into peritrophic matrix synthesis, architecture, and function. Annu. Rev. Entomol. 2009, 54, 285–302. [Google Scholar] [CrossRef] [PubMed]
- Cui, Y.; Niu, G.; Li, V.L.; Wang, X.; Li, J. Analysis of blood-induced Anopheles gambiae midgut proteins and sexual stage Plasmodium falciparum interaction reveals mosquito genes important for malaria transmission. Sci. Rep. 2020, 10, 14316. [Google Scholar] [CrossRef] [PubMed]
- Lehane, M.J. Peritrophic matrix structure and function. Annu. Rev. Entomol. 1997, 42, 525–550. [Google Scholar] [CrossRef] [PubMed]
- Zha, X.L.; Wang, H.; Sun, W.; Zhang, H.Y.; Wen, J.; Huang, X.Z.; Lu, C.; Shenm, Y.H. Characteristics of the peritrophic matrix of the silkworm, Bombyx mori and factors influencing its formation. Insects 2021, 12, 516. [Google Scholar] [CrossRef]
- Gabrieli, P.; Caccia, S.; Varotto-Boccazzi, I.; Arnoldi, I.; Barbieri, G.; Comandatore, F.; Epis, S. Mosquito trilogy: Microbiota, immunity and pathogens, and their implications for the control of disease transmission. Front. Microbiol. 2021, 12, 630438. [Google Scholar] [CrossRef]
- Song, X.; Zhou, H.; Wang, J. Cell wall components of gut commensal bacteria stimulate peritrophic matrix formation in malaria vector mosquitoes through activation of the IMD pathway. PLoS Biol. 2025, 23, e3002967. [Google Scholar] [CrossRef]
- Bolognesi, R.; Terra, W.R.; Ferreira, C. Peritrophic membrane role in enhancing digestive efficiency. Theoretical and experimental models. J. Insect Physiol. 2008, 54, 1413–1422. [Google Scholar] [CrossRef]
- Talyuli, O.A.C.; Oliveira, J.H.M.; Bottino-Rojas, V.; Silveira, G.O.; Alvarenga, P.H.; Kantor, A.M.; Paiva-Silva, G.O.; Barillas-Mury, C.; Oliveira, P.L. The Aedes aegypti peritrophic matrix controls arbovirus vector competence through HPx1, a heme-induced peroxidase. PLoS Pathog. 2023, 19, e1011121. [Google Scholar] [CrossRef]
- Abraham, E.G.; Jacobs-Lorena, M. Mosquito midgut barriers to malaria parasite development. Insect Biochem. Mol. Biol. 2004, 34, 667–671. [Google Scholar] [CrossRef]
- Rodgers, F.H.; Gendrin, M.; Wyer, C.A.S.; Christophides, G.K. Microbiota-induced peritrophic matrix regulates midgut homeostasis and prevents systemic infection of malaria vector mosquitoes. PLoS Pathog. 2017, 13, e1006391. [Google Scholar] [CrossRef] [PubMed]
- Wang, Y.; Cheng, J.; Luo, M.; Wu, J.; Guo, G. Identifying and characterizing a novel peritrophic matrix protein (MdPM-17) associated with antibacterial response from the housefly, Musca domestica(Diptera: Muscidae). J. Insect Sci. 2020, 20, 53. [Google Scholar] [CrossRef] [PubMed]
- Peters, W. Peritrophic membrane. In Zoophysiology; Bradshaw, S.D., Burggren, W., Heller, H.C., Ishii, S., Langer, H., Neuweiler, G., Randall, D.J., Eds.; Springer: Berlin/Heidelberg, Germany, 1992; Volume 30, pp. 87–101. [Google Scholar]
- Tellam, R.L. The peritrophic matrix. In Biology of the Insect Midgut, 1st ed.; Lehane, M.J., Billingsley, P.F., Eds.; Chapman & Hall: London, UK, 1996; pp. 86–114. [Google Scholar]
- Zha, X.L.; Yu, X.B.; Zhang, H.Y.; Wang, H.; Huang, X.Z.; Shen, Y.H.; Lu, C. Identification of peritrophins and antiviral effect of Bm01504 against BmNPV in the silkworm, Bombyx mori. Int. J. Mol. Sci. 2020, 21, 7973. [Google Scholar] [CrossRef]
- Ahmed, M.H.; Ghatge, M.S.; Safo, M.K. Hemoglobin: Structure, function and allostery. Subcell. Biochem. 2020, 94, 345–382. [Google Scholar]
- Mozzarelli, A.; Ronda, L.; Faggiano, S.; Bettati, S.; Bruno, S. Haemoglobin-based oxygen carriers: Research and reality towards an alternative to blood transfusions. Blood Transfus. 2010, 8 (Suppl. S3), s59–s68. [Google Scholar]
- Lukin, J.A.; Ho, C. The structure–function relationship of hemoglobin in solution at atomic resolution. Chem. Rev. 2004, 104, 1219–1230. [Google Scholar] [CrossRef] [PubMed]
- Devenport, M.; Alvarenga, H.P.; Shao, L.; Fujioka, H.; Bianconi, L.M.; Oliveira, L.P.; Jacobs-Lorena, M. Identification of the Aedes aegypti peritrophic matrix protein AeIMUCI as a heme-binding protein. Biochemistry 2006, 45, 9540–9549. [Google Scholar] [CrossRef]
- Páscoa, V.L.; Oliveira, P.L.; Dansa-Petretski, M.; Silva, J.R.; Alvarenga, P.H.; Jacobs-Lorena, M.; Lemos, F.J.A. Aedes aegypti peritrophic matrix and its interaction with heme during blood digestion. Insect Biochem. Mol. Biol. 2002, 32, 517–523. [Google Scholar] [CrossRef]
- Ponka, P. Cell biology of heme. Am. J. Med. Sci. 1999, 318, 241–256. [Google Scholar] [CrossRef]
- Halliwell, B.; Gutteridge, J.M.C. The antioxidants of human extracellular fluids. Arch. Biochem. Biophys. 1990, 280, 1–8. [Google Scholar] [CrossRef]
- Ryter, S.W.; Tyrrell, R.M. The heme synthesis and degradation pathways: Role in oxidant sensitivity—Heme oxygenase has both pro- and antioxidant properties. Free Radic. Biol. Med. 2000, 28, 289–309. [Google Scholar] [CrossRef] [PubMed]
- Romoser, W.S. The vector alimentary system. In The Biology of Disease Vectors, 1st ed.; Beaty, B.J., Marquardt, W.C., Eds.; University Press of Colorado: Louisville, CO, USA, 1996. [Google Scholar]
- Noriega, F.G.; Wells, M.A. A molecular view of trypsin synthesis in the midgut of Aedes aegypti. J. Insect Physiol. 1999, 45, 613–620. [Google Scholar] [CrossRef] [PubMed]
- Lowry, O.H.; Rosebrough, N.J.; Randall, R.J. Protein measurement with Folin phenol reagent. J. Biol. Chem. 1951, 193, 265–275. [Google Scholar] [CrossRef]
- Laemmli, U.K. Cleavage of structural proteins during the assembly of the head of bacteriophage T4. Nature 1970, 227, 680–685. [Google Scholar] [CrossRef]
- Schagger, H.; Von Jagow, G. Tricine-sodium dodecylsulfate polyacrylamide gel electrophoresis for the separation of proteins in the range from 1 to 100 kDa. Anal. Biochem. 1987, 166, 368–379. [Google Scholar] [CrossRef]
- Francis, R.T., Jr.; Becker, R.R. Specific indication of hemoproteins in polyacrylamide gels using a double-staining process. Anal. Biochem. 1984, 136, 509–514. [Google Scholar] [CrossRef] [PubMed]
- Okuda, K.; Souza Caroci, P.E.M.; Ribolla, A.G.; Bianchi, A.T.; Bijovsky, A.T. Functional morphology of adult female Culex quinquefasciatus midgut during blood digestion. Tissue Cell 2002, 34, 210–219. [Google Scholar] [CrossRef]
- Baker, E.N.; Hubbard, R.E. Hydrogen bonding in globular proteins. Prog. Biophys. Mol. Biol. 1984, 44, 97–179. [Google Scholar] [CrossRef]
- Steiner, T. The Hydrogen Bond in the Solid State. Angew. Chem. Int. Ed. 2002, 41, 48–76. [Google Scholar] [CrossRef]
- Nagatomo, S.; Nagai, Y.; Aki, Y.; Sakurai, H.; Imai, K.; Mizusawa, N.; Ogura, T.; Kitagawa, T.; Nagai, M. An Origin of Cooperative Oxygen Binding of Human Adult Hemoglobin: Different Roles of the α and β Subunits in the α2β2 Tetramer. PLoS ONE 2015, 10, e0135080. [Google Scholar] [CrossRef]
- Nishi, H.; Inagi, R.; Kato, H.; Tanemoto, M.; Kojima, I.; Son, D.; Fujita, T.; Nangaku, M. Hemoglobin is expressed by mesangial cells and reduces oxidant stress. J. Am. Soc. Nephrol. 2008, 19, 1500–1508. [Google Scholar] [CrossRef] [PubMed]
- Güney, G.; Cedden, D.; Hänniger, S.; Hegedus, D.D.; Heckel, D.G.; Toprak, U. Peritrophins are involved in the defense against Bacillus thuringiensis and nucleopolyhedrovirus formulations in Spodoptera littoralis (Lepidoptera: Noctuidae). Insect Biochem. Mol. Biol. 2024, 166, 105217. [Google Scholar] [CrossRef] [PubMed]
- Dinglasan, R.R.; Alaganan, A.; Ghosh, A.K.; Saito, A.; van Kuppevelt, T.H.; Jacobs-Lorena, M. Plasmodium falciparum ookinetes require mosquito midgut chondroitin sulfate proteoglycans for cell invasion. Proc. Natl. Acad. Sci. USA 2007, 104, 15882–15887. [Google Scholar] [CrossRef] [PubMed]
- Whiten, S.R.; Ray, W.K.; Helm, R.F.; Adelman, Z.N. Characterization of the adult Aedes aegypti early midgut peritrophic matrix proteome using LC-MS. PLoS ONE 2018, 13, e0194734. [Google Scholar] [CrossRef] [PubMed]
- Maines, M.D. Heme oxygenase: Function, multiplicity, regulatory mechanisms and clinical applications. FASEB J. 1988, 2, 2557–2568. [Google Scholar] [CrossRef]
- Ohashi, T.; Mizutani, A.; Murakami, A.; Kojo, S.; Ishii, T.; Taketani, S. Rapid oxidation of dichlorodihydrofluorescin with heme and hemoproteins: Formation of fluorescein is independent of the generation of reactive oxygen species. FEBS Lett. 2002, 511, 21–27. [Google Scholar] [CrossRef]











Disclaimer/Publisher’s Note: The statements, opinions and data contained in all publications are solely those of the individual author(s) and contributor(s) and not of MDPI and/or the editor(s). MDPI and/or the editor(s) disclaim responsibility for any injury to people or property resulting from any ideas, methods, instructions or products referred to in the content. |
© 2025 by the authors. Licensee MDPI, Basel, Switzerland. This article is an open access article distributed under the terms and conditions of the Creative Commons Attribution (CC BY) license (https://creativecommons.org/licenses/by/4.0/).
Share and Cite
Orozimbo, K.B.d.S.; Tauil, D.d.S.G.; Licurgo, A.M.; Moreira, F.F.; Araújo, J.d.S.; Bertonceli, M.A.A.; Seabra, S.H.; Machado, O.L.T.; Lemos, F.J.A. Structural and Functional Analysis of Hemoglobin Binding to the Peritrophic Matrix During Blood Digestion in Aedes aegypti. Insects 2025, 16, 116. https://doi.org/10.3390/insects16020116
Orozimbo KBdS, Tauil DdSG, Licurgo AM, Moreira FF, Araújo JdS, Bertonceli MAA, Seabra SH, Machado OLT, Lemos FJA. Structural and Functional Analysis of Hemoglobin Binding to the Peritrophic Matrix During Blood Digestion in Aedes aegypti. Insects. 2025; 16(2):116. https://doi.org/10.3390/insects16020116
Chicago/Turabian StyleOrozimbo, Karla Barreto da Silva, Desiely da Silva Gusmão Tauil, Aline Melila Licurgo, Felipe Figueirôa Moreira, Jucélia da Silva Araújo, Maria Aparecida Aride Bertonceli, Sérgio Henrique Seabra, Olga Lima Tavares Machado, and Francisco José Alves Lemos. 2025. "Structural and Functional Analysis of Hemoglobin Binding to the Peritrophic Matrix During Blood Digestion in Aedes aegypti" Insects 16, no. 2: 116. https://doi.org/10.3390/insects16020116
APA StyleOrozimbo, K. B. d. S., Tauil, D. d. S. G., Licurgo, A. M., Moreira, F. F., Araújo, J. d. S., Bertonceli, M. A. A., Seabra, S. H., Machado, O. L. T., & Lemos, F. J. A. (2025). Structural and Functional Analysis of Hemoglobin Binding to the Peritrophic Matrix During Blood Digestion in Aedes aegypti. Insects, 16(2), 116. https://doi.org/10.3390/insects16020116

