Using X-ray Micro-Computed Tomography to Three-Dimensionally Visualize the Foregut of the Glassy-Winged Sharpshooter (Homalodisca vitripennis)
Abstract
:Simple Summary
Abstract
1. Introduction
2. Materials and Methods
2.1. Insects
2.2. High-Resolution X-ray Micro-Computed Tomography Imaging (MicroCT)
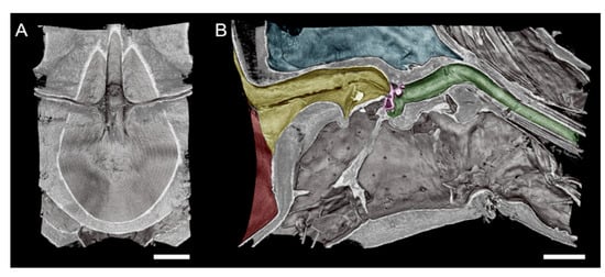
3. Results and Discussion
Supplementary Materials
Author Contributions
Funding
Data Availability Statement
Acknowledgments
Conflicts of Interest
References
- Redak, R.A.; Purcell, A.H.; Lopes, J.R.S.; Blua, M.J.; Mizell Iii, R.F.; Andersen, P.C. The biology of xylem-fluid-feeding insect vectors of Xylella fastidiosa and their relation to disease epidemiology. Annu. Rev. Entomol. 2003, 49, 243–270. [Google Scholar] [CrossRef] [PubMed]
- Almeida, R.P.P.; Purcell, A.H. Patterns of Xylella fastidiosa colonization on the precibarium of sharpshooter vectors relative to transmission to plants. Ann. Entomol. Soc. Am. 2006, 99, 884–890. [Google Scholar] [CrossRef]
- Killiny, N.; Almeida, R. In vitro attachment of Xylella fastidiosa to polysaccharides. Phytopathology 2007, 97, S57. [Google Scholar]
- Alves, E.; Leite, B.; Marucci, R.C.; Pascholati, S.F.; Lopes, J.R.S.; Andersen, P.C. Retention sites for Xylella fastidiosa in four sharpshooter vectors (Hemiptera: Cicadellidae) analyzed by scanning electron microscopy. Curr. Microbiol. 2008, 56, 531–538. [Google Scholar] [CrossRef]
- Weintraub, P.G.; Hoch, H.; Mühlethaler, R.; Zchori-Fein, E. Synchrotron X-ray micro-computed tomography as a tool for in situ elucidation of insect bacteriomes. Arthropod Struct. Dev. 2014, 43, 183–186. [Google Scholar] [CrossRef]
- Brodersen, C.R.; Roddy, A.B. New frontiers in the three-dimensional visualization of plant structure and function. Am. J. Bot. 2016, 103, 184–188. [Google Scholar] [CrossRef]
- Hörnschemeyer, T.; Beutel, R.G.; Pasop, F. Head structures of Priacma serrata Leconte (Coleptera, Archostemata) inferred from X-ray tomography. J. Morphol. 2002, 252, 298–314. [Google Scholar] [CrossRef]
- Betz, O.; Wegst, U.; Weide, D.; Heethoff, M.; Helfen, L.; Lee, W.K.; Cloetens, P. Imaging applications of synchrotron X-ray phase-contrast microtomography in biological morphology and biomaterials science. 1. General aspects of the technique and its advantages in the analysis of millimetre-sized arthropod structure. J. Microsc. 2007, 227, 51–71. [Google Scholar] [CrossRef]
- Greco, M.; Jones, A.; Spooner-Hart, R.; Holford, P. X-ray computerised microtomography (MicroCT): A new technique for assessing external and internal morphology of bees. J. Apic. Res. 2008, 47, 286–291. [Google Scholar] [CrossRef]
- Greco, M.K.; Tong, J.; Soleimani, M.; Bell, D.; Schafer, M.O. Imaging live bee brains using minimally-invasive diagnostic radioentomology. J. Insect Sci. 2012, 12, 89. [Google Scholar] [CrossRef]
- Blanke, A.; Rühr, P.T.; Mokso, R.; Villanueva, P.; Wilde, F.; Stampanoni, M.; Uesugi, K.; Machida, R.; Misof, B. Structural mouthpart interaction evolved already in the earliest lineages of insects. Proc. R. Soc. B Biol. Sci. 2015, 282, 20151033. [Google Scholar] [CrossRef] [PubMed]
- Fischer, G.; Sarnat, E.M.; Economo, E.P. Revision and cicrotomography of the Pheidole knowlesi group, an endemic ant radiation in Fiji (Hymenoptera, Formicidae, Myrmicinae). PLoS ONE 2016, 11, e0158544. [Google Scholar] [CrossRef] [PubMed]
- Metscher, B.D. MicroCT for comparative morphology: Simple staining methods allow high-contrast 3D imaging of diverse non-mineralized animal tissues. BMC Physiol. 2009, 9, 11. [Google Scholar] [CrossRef] [PubMed]
- Westneat, M.W.; Socha, J.J.; Lee, W.K. Advances in biological structure, function, and physiology using synchrotron x-ray imaging. Annu. Rev. Physiol. 2008, 70, 119–142. [Google Scholar] [CrossRef]
- Martín-Vega, D.; Garbout, A.; Ahmed, F.; Ferrer, L.M.; Lucientes, J.; Colwell, D.D.; Hall, M.J.R. Micro-computed tomography visualization of the vestigial alimentary canal in adult oestrid flies. Med. Vet. Entomol. 2018, 32, 378–382. [Google Scholar] [CrossRef]
- Freitag, J.H. Host range of the Pierce’s disease virus of Grapes as determined by insect transmission. Phytopathology 1951, 41, 920–934. [Google Scholar]
- Brodersen, C.R.; Lee, E.F.; Choat, B.; Jansen, S.; Phillips, R.J.; Shackel, K.A.; McElrone, A.J.; Matthews, M.A. Automated analysis of three-dimensional xylem networks using high-resolution computed tomography. New Phytol. 2011, 191, 1168–1179. [Google Scholar] [CrossRef]
- Purcell, A.H.; Finlay, A. Evidence for non-circulative transmission of Pierce’s Disease bacterium by sharpshooter leafhoppers. Phytopathology 1979, 69, 393–395. [Google Scholar] [CrossRef]
- Backus, E.A.; McLean, D.L. The sensory systems and feeding behavior of leafhoppers. II. A Comparison of the Sensillar morphologies of several species (Homoptera: Cicadellidae). J. Morphol. 1983, 176, 3–14. [Google Scholar] [CrossRef]
- Ruschioni, S.; Ranieri, E.; Riolo, P.; Romani, R.; Almeida, R.P.P.; Isidoro, N. Functional anatomy of the preci-barial valve in Philaenus spumarius (L.). PLoS ONE 2019, 14, e0213318. [Google Scholar] [CrossRef]
- Ranieri, E.; Zitti, G.; Riolo, P.; Isidoro, N.; Ruschioni, S.; Brocchini, M.; Almeida, R.P.P. Fluid dynamics in the functional foregut of xylem-sap feeding insects: A comparative study of two Xylella fastidiosa vectors. J. Insect Physiol. 2020, 120, 103995. [Google Scholar] [CrossRef] [PubMed]




Publisher’s Note: MDPI stays neutral with regard to jurisdictional claims in published maps and institutional affiliations. |
© 2022 by the authors. Licensee MDPI, Basel, Switzerland. This article is an open access article distributed under the terms and conditions of the Creative Commons Attribution (CC BY) license (https://creativecommons.org/licenses/by/4.0/).
Share and Cite
Killiny, N.; Brodersen, C.R. Using X-ray Micro-Computed Tomography to Three-Dimensionally Visualize the Foregut of the Glassy-Winged Sharpshooter (Homalodisca vitripennis). Insects 2022, 13, 710. https://doi.org/10.3390/insects13080710
Killiny N, Brodersen CR. Using X-ray Micro-Computed Tomography to Three-Dimensionally Visualize the Foregut of the Glassy-Winged Sharpshooter (Homalodisca vitripennis). Insects. 2022; 13(8):710. https://doi.org/10.3390/insects13080710
Chicago/Turabian StyleKilliny, Nabil, and Craig R. Brodersen. 2022. "Using X-ray Micro-Computed Tomography to Three-Dimensionally Visualize the Foregut of the Glassy-Winged Sharpshooter (Homalodisca vitripennis)" Insects 13, no. 8: 710. https://doi.org/10.3390/insects13080710
APA StyleKilliny, N., & Brodersen, C. R. (2022). Using X-ray Micro-Computed Tomography to Three-Dimensionally Visualize the Foregut of the Glassy-Winged Sharpshooter (Homalodisca vitripennis). Insects, 13(8), 710. https://doi.org/10.3390/insects13080710

