Chemical Treatments for Insect Cell Differentiation: The Effects of 20-Hydroxyecdysone and Veratridine on Cultured Spodoptera frugiperda (Sf21) Insect Cell Ultrastructure
Abstract
Simple Summary
Abstract
1. Introduction
2. Materials and Methods
2.1. Chemicals and Cell Culture
2.2. Differentiation of Cells
2.3. Tissue Preparation and Electron Microscopy
2.4. Statistical Analyses
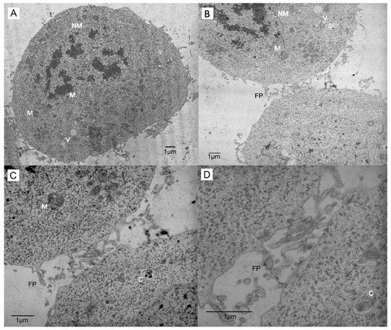
3. Results
4. Discussion
5. Conclusions
Author Contributions
Funding
Data Availability Statement
Conflicts of Interest
References
- Grunewald, B.; Levine, R.B. Ecdysteroid control of ionic current development in Manduca sexta motoneurons. J. Neurobiol. 1998, 37, 211–223. [Google Scholar] [CrossRef]
- Cherbas, L.; Yonge, C.D.; Cherbas, P.; Williams, C.M. The morphological response of Kc-H cells to ecdysteroids: Hormonal specificity. Wilehm Roux Arch. Dev. Biol. 1980, 189, 1–15. [Google Scholar] [CrossRef]
- Lynn, D.; Oberlander, H. The effect of cytoskeletal disrupting agents on the morphological response of a cloned Manduca sexta cell line to 20-hydroxyecdysone. Wilehm Roux Arch. Dev. Biol. 1981, 190, 150–155. [Google Scholar] [CrossRef]
- Lynn, D.; Oberlander, H. The establishment of cell lines from imaginal wing disks of Spodoptera frugiperda and Plodia interpunctella. J. Insect Physiol. 1983, 29, 591–596. [Google Scholar] [CrossRef]
- Kislev, N.; Segal, I.; Edelman, M. Ecdysteroids induce morphological changes in continuous cell lines of Lepidoptera. Wilehm Roux Arch. Dev. Biol. 1984, 193, 252–256. [Google Scholar] [CrossRef] [PubMed]
- Cassier, P.; Serrant, P.; Garcia, R.; Coudouel, N.; Andre, M.; Guillaumin, D.; Porcheron, P.; Oberlander, H. Morphological and cytochemical studies of the effects of ecdysteroids in a lepidopteran cell line (IAL-PID2). Cell Tissue Res. 1991, 265, 361–369. [Google Scholar] [CrossRef]
- Jenson, L.J.; Paulson, S.L.; Bloomquist, J.R. Induction and inhibition of an apparent neuronal phenotype in Spodoptera frugiperda insect cells (Sf21) by chemical agents. Invert. Neurosci. 2012, 12, 119–127. [Google Scholar] [CrossRef] [PubMed]
- Giraudo, M.; Califano, J.; Hilliou, F.; Tran, T.; Taquet, N.; Feyereisen, R.; Le Goff, G. Effects of Hormone Agonists on Sf9 Cells, Proliferation and Cell Cycle Arrest. PLoS ONE 2011, 6, e25708. [Google Scholar] [CrossRef] [PubMed]
- Bloomquist, J.B.; Tong, F.; Jenson, L.J. Induced Expression of Proteins in Insect Cells. World Intellectual Property Organization (WIPO) Patent. 2015. Available online: https://patentscope.wipo.int/search/en/detail.jsf?docId=WO2015035265&recNum=1&maxRec=&office=&prevFilter=&sortOption=&queryString=&tab=PCT+Biblio (accessed on 27 December 2021).
- Jenson, L.J.; Sun, B.; Bloomquist, J.R. Voltage-sensitive potassium channels expressed after 20-hydroxyecdysone treatment of a mosquito cell line. Insect Biochem. Mol. Biol. 2017, 87, 75–80. [Google Scholar] [CrossRef]
- Jenson, L.J.; Bloomquist, J.R. Role of serum and ion channel block on growth and hormonally-induced differentiation of Spodoptera frugiperda (Sf21) Insect Cells. Arch. Insect Physiol. Biochem. 2015, 90, 131–139. [Google Scholar] [CrossRef]
- Hagiwara, S.; Byerly, L. Calcium channel. Annu. Rev. Neurosci. 1981, 4, 69–125. [Google Scholar] [CrossRef]
- Bloomquist, J.R. Ion channels as targets for insecticides. Annu Rev. Entomol. 1996, 41, 163–190. [Google Scholar] [CrossRef] [PubMed]
- Gaburro, J.; Duchemin, J.-B.; Paradkar, P.N.; Nahavandi, S.; Bhatti, S. Electrophysiological evidence of RML12 mosquito cell line towards neuronal differentiation by 20-hydroxyecdysdone. Sci. Rep. 2018, 8, 10109. [Google Scholar] [CrossRef] [PubMed]
- Storms, M.M.H.; Kormelink, R.; Peters, D.; Van Lent, J.W.M.; Goldbach, R.W. The nonstructural NSm protein of tomato spotted virus induces tubular structures in plant and insect cells. Virology 1995, 214, 485–493. [Google Scholar] [CrossRef] [PubMed]
- Shapiro, A.M.; Becnel, J.J.; White, S.E. A nucleopolyhedrovirus from Uranotaenia sapphirina (Diptera: Culicidae). J. Invertebr. Pathol. 2004, 86, 96–103. [Google Scholar] [CrossRef]
- Marks, E.P.; Ward, G.P. Cell culture techniques for studying insect cuticle. Arch. Insect Biochem. Physiol. 1987, 6, 217–225. [Google Scholar] [CrossRef]
- Venable, J.H.; Coggeshall, R.A. Simplified lead citrate stain for use in electron microscopy. J. Cell Biol. 1965, 25, 407–408. [Google Scholar] [CrossRef]
- Zhan, H.; Bruckner, J.; Zhang, Z.; O’Conner-Giles, K. Three-dimensional imaging of Drosophila motor synapses reveals ultrastructural organizational patterns. J. Neurogenet. 2016, 30, 237–246. [Google Scholar] [CrossRef][Green Version]
- DeMali, K.A.; Burridge, K. Coupling membrane protrusion and cell adhesion. J Cell Sci. 2003, 116, 2389–2397. [Google Scholar] [CrossRef]
- Usherwood, P.N.R.; Giles, D.; Suter, C. Studies of the pharmacology of insect neurones in vitro. In Insect Neurobiology and Pesticide Action (Neurotox 79); Society of Chemical Industry: London, UK, 1980; pp. 115–128. [Google Scholar]
- Normann, T.C.; Samaranayaka-Ramasamy, M. Secretory hyperactivity and mitochondrial changes in neurosecretory cells of an insect cellular effects of the insecticide lindane. Cell Tissue Res. 1977, 183, 61–69. [Google Scholar] [CrossRef]
- Jacob, W.A.; Bakker, A.; Hertsens, R.C.; Biermans, W. Mitochondrial matrix granules: Their behavior during changing metabolic situations and their relationship to contact sites between inner and outer mitochondrial membranes. Microsc. Res. Techniq. 1994, 27, 307–318. [Google Scholar] [CrossRef] [PubMed]





Publisher’s Note: MDPI stays neutral with regard to jurisdictional claims in published maps and institutional affiliations. |
© 2021 by the authors. Licensee MDPI, Basel, Switzerland. This article is an open access article distributed under the terms and conditions of the Creative Commons Attribution (CC BY) license (https://creativecommons.org/licenses/by/4.0/).
Share and Cite
Jenson, L.J.; Becnel, J.J.; Bloomquist, J.R. Chemical Treatments for Insect Cell Differentiation: The Effects of 20-Hydroxyecdysone and Veratridine on Cultured Spodoptera frugiperda (Sf21) Insect Cell Ultrastructure. Insects 2022, 13, 32. https://doi.org/10.3390/insects13010032
Jenson LJ, Becnel JJ, Bloomquist JR. Chemical Treatments for Insect Cell Differentiation: The Effects of 20-Hydroxyecdysone and Veratridine on Cultured Spodoptera frugiperda (Sf21) Insect Cell Ultrastructure. Insects. 2022; 13(1):32. https://doi.org/10.3390/insects13010032
Chicago/Turabian StyleJenson, Lacey J., James J. Becnel, and Jeffrey R. Bloomquist. 2022. "Chemical Treatments for Insect Cell Differentiation: The Effects of 20-Hydroxyecdysone and Veratridine on Cultured Spodoptera frugiperda (Sf21) Insect Cell Ultrastructure" Insects 13, no. 1: 32. https://doi.org/10.3390/insects13010032
APA StyleJenson, L. J., Becnel, J. J., & Bloomquist, J. R. (2022). Chemical Treatments for Insect Cell Differentiation: The Effects of 20-Hydroxyecdysone and Veratridine on Cultured Spodoptera frugiperda (Sf21) Insect Cell Ultrastructure. Insects, 13(1), 32. https://doi.org/10.3390/insects13010032

