GOBP1 from the Variegated Cutworm Peridroma saucia (Hübner) (Lepidoptera: Noctuidae) Displays High Binding Affinities to the Behavioral Attractant (Z)-3-Hexenyl acetate
Abstract
Simple Summary
Abstract
1. Introduction
2. Materials and Methods
2.1. Insect Rearing and Tissue Collection
2.2. RNA Extraction and cDNA Synthesis
2.3. PsauGOBP1 Cloning and Sequencing
2.4. Sequence Analysis and Phylogenetic Tree Construction
2.5. RT-qPCR
2.6. Expression and Purification of Recombinant PsauGOBP1
2.7. Native Protein Extraction and Western Blot Analysis
2.8. Fluorescence Competitive Binding Assay
2.9. Electroantennogram (EAG) Recording
2.10. Behavioral Responses of Peridroma saucia to (Z)-3-Hexenyl acetate
3. Results
3.1. Sequence Analysis of PsauGOBP1 and Alignment to Orthologs from Other Species
3.2. Phylogenetic Analyses
3.3. Expression Patterns of PsauGOBP1 in Different Tissues of Peridroma saucia
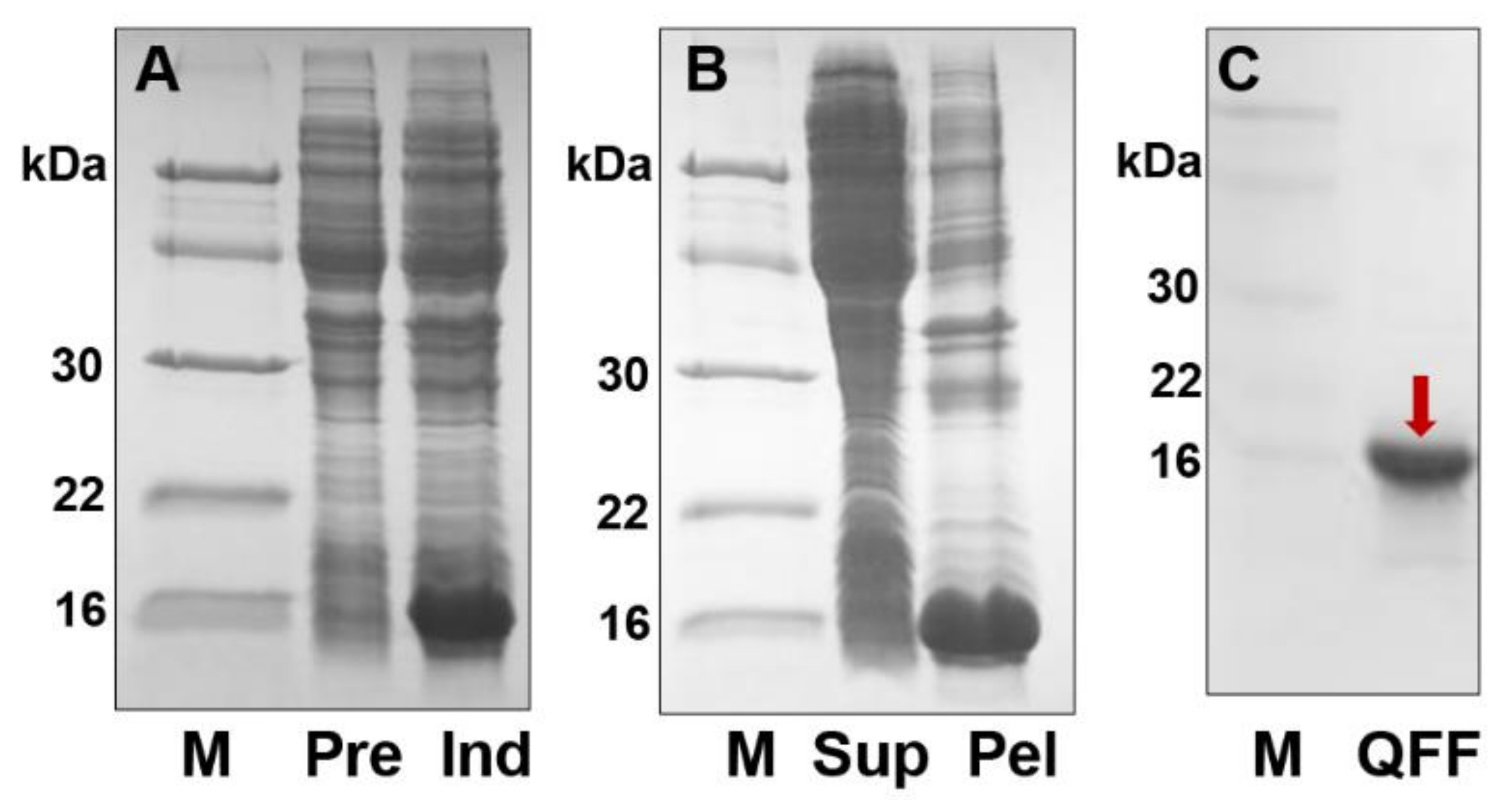
3.4. Bacterial Expression and Purification of Recombinant PsauGOBP1
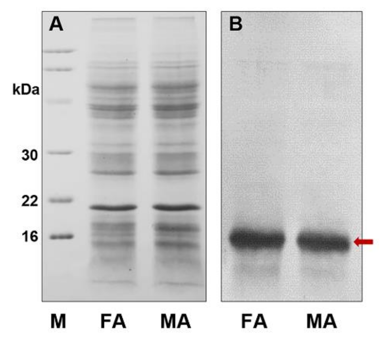
3.5. Western Blot Analysis of PsauGOBP1 in P. saucia Antennae
3.6. Fluorescence Binding Assay
3.7. Electroantennogram (EAG) Recording
3.8. Behavioral Trials
4. Discussion
5. Conclusions
Supplementary Materials
Author Contributions
Funding
Institutional Review Board Statement
Informed Consent Statement
Data Availability Statement
Acknowledgments
Conflicts of Interest
References
- Hansson, B.S.; Stensmyr, M.C. Evolution of insect olfaction. Neuron 2011, 72, 698–711. [Google Scholar] [CrossRef] [PubMed]
- Pelosi, P.; Zhou, J.J.; Ban, L.P.; Calvello, M. Soluble proteins in insect chemical communication. Cell Mol. Life Sci. 2006, 63, 1658–1676. [Google Scholar] [CrossRef] [PubMed]
- Leal, W.S. Odorant reception in insects: Roles of receptors, binding proteins, and degrading enzymes. Annu. Rev. Entomol. 2013, 58, 371–391. [Google Scholar] [CrossRef] [PubMed]
- Paoli, M.; Galizia, G.C. Olfactory coding in honeybees. Cell Tissue Res. 2021, 383, 35–58. [Google Scholar] [CrossRef]
- Wojtasek, H.; Leal, W.S. Conformational change in the pheromone-binding protein from Bombyx mori induced by pH and by interaction with membranes. J. Biol. Chem. 1999, 274, 30950–30956. [Google Scholar] [CrossRef] [PubMed]
- Xu, P.X.; Atkinson, R.; Jones, D.N.; Smith, D.P. Drosophila OBP LUSH is required for activity of pheromone-sensitive neurons. Neuron 2005, 45, 193–200. [Google Scholar] [CrossRef]
- Larter, N.K.; Sun, J.S.; Carlson, J.R. Organization and function of Drosophila odorant binding proteins. eLife 2016, 5, e20242. [Google Scholar] [CrossRef]
- Gonzalez, D.; Rihani, K.; Neiers, F.; Poirier, N.; Fraichard, S.; Gotthard, G.; Chertemps, T.; Maïbèche, M.; Ferveur, J.F.; Briand, L. The Drosophila odorant-binding protein 28a is involved in the detection of the floral odor β-ionone. Cell Mol. Life Sci. 2020, 13, 2565–2577. [Google Scholar] [CrossRef]
- Rihani, K.; Ferveur, J.F.; Briand, L. The 40-Year mystery of insect odorant-binding proteins. Biomolecules 2021, 11, 509. [Google Scholar] [CrossRef]
- Vogt, R.G.; Riddiford, L.M. Pheromone binding and inactivation by moth antennae. Nature 1981, 293, 161–163. [Google Scholar] [CrossRef]
- Zhou, J.J. Odorant-binding proteins in insects. In Vitamins and Hormones, 1st ed.; Elsevier Inc.: Burlington, NJ, USA, 2010; Volume 83, pp. 241–272. [Google Scholar]
- Venthur, H.; Zhou, J.J. Odorant receptors and odorant-binding proteins as insect pest control targets: A comparative analysis. Front. Physiol. 2018, 9, 1163. [Google Scholar] [CrossRef]
- Krieger, J.; von Nickisch-Rosenegk, E.; Mameli, M.; Pelosi, P.; Breer, H. Binding proteins from the antennae of Bombyx mori. Insect Biochem. Mol. Biol. 1996, 26, 297–307. [Google Scholar] [CrossRef]
- Gong, D.P.; Zhang, H.J.; Ping, Z.; Xia, Q.Y.; Xiang, Z.H. The odorant binding protein gene family from the genome of silkworm, Bombyx mori. BMC Genom. 2009, 10, 332. [Google Scholar] [CrossRef]
- Galindo, K.; Smith, D.P. A large family of divergent Drosophila odorant-binding proteins expressed in gustatory and olfactory sensilla. Genetics 2001, 159, 1059–1072. [Google Scholar] [CrossRef] [PubMed]
- Graham, L.A.; Davies, P.L. The odorant-binding proteins of Drosophila melanogaster: Annotation and characterization of a divergent gene family. Gene 2002, 292, 43–55. [Google Scholar] [CrossRef]
- Xu, P.X.; Zwiebel, L.J.; Smith, D.P. Identification of a distinct family of genes encoding atypical odorant-binding proteins in the malaria vector mosquito, Anopheles gambiae. Insect Mol. Biol. 2003, 12, 549–560. [Google Scholar] [CrossRef] [PubMed]
- Rinker, D.C.; Zhou, X.; Pitts, R.J.; Rokas, A.; Zwiebel, L.J. Antennal transcriptome profiles of Anopheline mosquitoes reveal human host olfactory specialization in Anopheles gambiae. BMC Genom. 2013, 14, 749. [Google Scholar] [CrossRef] [PubMed]
- Forêt, S.; Maleszka, R. Function and evolution of a gene family encoding odorant binding-like proteins in a social insect, the honey bee (Apis mellifera). Genome Res. 2006, 16, 1404–1413. [Google Scholar] [CrossRef] [PubMed]
- Liu, Y.; Gu, S.H.; Zhang, Y.J.; Guo, Y.Y.; Wang, G.R. Candidate olfaction genes identified within the Helicoverpa armigera antennal transcriptome. PLoS ONE 2012, 7, e48260. [Google Scholar] [CrossRef] [PubMed]
- Zhang, J.; Wang, B.; Dong, S.L.; Cao, D.P.; Dong, J.F.; Walker, W.B.; Liu, Y.; Wang, G.R. Antennal transcriptome analysis and comparison of chemosensory gene families in two closely related Noctuidae moths, Helicoverpa armigera and H. assulta. PLoS ONE 2015, 10, e0117054. [Google Scholar] [CrossRef] [PubMed]
- Pearce, S.L.; Clarke, D.F.; East, P.D.; Elfekih, S.; Gordon, K.H.J.; Jermiin, L.S.; McGaughran, A.; Oakeshott, J.G.; Papanicolaou, A.; Perera, O.P.; et al. Genomic innovations, transcriptional plasticity and gene loss underlying the evolution and divergence of two highly polyphagous and invasive Helicoverpa pest species. BMC Biol. 2017, 15, 69. [Google Scholar] [CrossRef]
- Dippel, S.; Oberhofer, G.; Kahnt, J.; Gerischer, L.; Opitz, L.; Schachtner, J.; Stanke, M.; Schütz, S.; Wimmer, E.A.; Angeli, S. Tissue-specific transcriptomics, chromosomal localization, and phylogeny of chemosensory and odorant binding proteins from the red flour beetle Tribolium castaneum reveal subgroup specificities for olfaction or more general functions. BMC Genom. 2014, 15, 1141. [Google Scholar] [CrossRef]
- Raming, K.; Krieger, J.; Breer, H. Primary structure of a pheromone-binding protein from Antheraea pernyi: Homologies with other ligand-carrying proteins. J. Comp. Physiol. B Biochem. Syst. Environ. Physiol. 1990, 160, 503–509. [Google Scholar] [CrossRef]
- Tegoni, M.; Campanacci, V.; Cambillau, C. Structural aspects of sexual attraction and chemical communication in insects. Trends Biochem. Sci. 2004, 29, 257–264. [Google Scholar] [CrossRef]
- Schultze, A.; Schymura, D.; Forstner, M.; Krieger, J. Expression pattern of a ‘Plus-C’ class odorant binding protein in the antenna of the malaria vector Anopheles gambiae. Insect Mol. Biol. 2011, 21, 187–195. [Google Scholar] [CrossRef]
- Spinelli, S.; Lagarde, A.; Iovinella, I.; Legrand, P.; Tegoni, M.; Pelosi, P.; Cambillau, C. Crystal structure of Apis mellifera OBP14, a C-minus odorant-binding protein, and its complexes with odorant molecules. Insect Biochem. Mol. Biol. 2012, 42, 41–50. [Google Scholar] [CrossRef]
- Tsitsanou, K.E.; Drakou, C.E.; Thireou, T.; Gruber, A.V.; Zographos, S.E. Crystal and solution studies of the “Plus-C” odorant-binding protein from Anopheles gambiae. J. Biol. Chem. 2013, 288, 33427–33438. [Google Scholar] [CrossRef] [PubMed]
- Zhang, F.M.; Merchant, A.; Zhao, Z.B.; Zhang, Y.H.; Zhang, J.; Zhang, Q.W.; Wang, Q.H.; Zhou, X.G.; Li, X.R. Characterization of MaltOBP1, a minus-c odorant-binding protein, from the Japanese pine sawyer beetle, Monochamus alternatus Hope (Coleoptera: Cerambycidae). Front. Physiol. 2020, 11, 212. [Google Scholar] [CrossRef]
- Picimbon, J.F.; Gadenne, C. Evolution of noctuid pheromone binding proteins: Identification of PBP in the black cutworm moth, Agrotis ipsilon. Insect Biochem. Mol. Biol. 2002, 32, 839–846. [Google Scholar] [CrossRef]
- Maida, R.; Ziegelberger, G.; Kaissling, K.E. Ligand binding to six recombinant pheromone binding proteins of Antheraea polyphemus and Antheraea pernyi. J. Comp. Physiol. B Biochem. Syst. Environ. Physiol. 2003, 173, 565–573. [Google Scholar] [CrossRef] [PubMed]
- Guo, H.; Huang, L.Q.; Pelosi, P.; Wang, C.Z. Three pheromone-binding proteins help segregation between two Helicoverpa species utilizing the same pheromone components. Insect Biochem. Mol. Biol. 2012, 42, 708–716. [Google Scholar] [CrossRef]
- Breer, H.; Krieger, J.; Raming, K. A novel class of binding proteins in the antennae of the silkmoth Antheraea pernyi. Insect Biochem. 1990, 20, 735–740. [Google Scholar] [CrossRef]
- Vogt, R.G.; Prestwich, G.D.; Lerner, M.R. Odorant-binding-protein subfamilies associate with distinct classes of olfactory receptor neurons in insects. J. Neurobiol. 1991, 22, 74–84. [Google Scholar] [CrossRef]
- Laue, M.; Steinbrecht, R.; Ziegelberger, G. Immunocytochemical localization of general odorant binding protein in olfactory sensilla of the silkmoth Antheraea polyphemus. Naturwissenschaften 1994, 81, 178–180. [Google Scholar] [CrossRef]
- Steinbrecht, R.; Laue, M.; Ziegelberger, G. Immunolocalization of pheromone-binding protein and general odorant-binding protein in olfactory sensilla of the silk moths Antheraea and Bombyx. Cell Tissue Res. 1995, 282, 203–217. [Google Scholar] [CrossRef]
- Vogt, R.G.; Rybczynski, R.; Lerner, M.R. Molecular cloning and sequencing of general odorant-binding proteins GOBP1 and GOBP2 from the tobacco hawk moth Manduca sexta: Comparisons with other insect OBPs and their signal peptides. J. Neurosci. 1991, 11, 2972–2984. [Google Scholar] [CrossRef] [PubMed]
- Jacquin-Joly, E.; Bohbot, J.; Francois, M.C.; Cain, A.H.; Nagnan-Le Meillour, P. Characterization of the general odorant-binding protein 2 in the molecular coding of odorants in Mamestra brassicae. Eur. J. Biochem. 2000, 267, 6708–6714. [Google Scholar] [CrossRef] [PubMed]
- Nardi, J.B.; Miller, L.A.; Walden, K.K.; Rovelstad, S.; Wang, L.P.; Frye, J.C.; Ramsdell, K.; Deem, L.S.; Robertson, H.M. Expression patterns of odorant-binding proteins in antennae of the moth Manduca sexta. Cell Tissue Res. 2003, 313, 321–333. [Google Scholar] [CrossRef] [PubMed]
- Huang, G.Z.; Liu, J.T.; Zhou, J.J.; Wang, Q.; Dong, J.Z.; Zhang, Y.J.; Li, X.C.; Li, J.; Gu, S.H. Expressional and functional comparisons of two general odorant binding proteins in Agrotis ipsilon. Insect Biochem. Mol. Biol. 2018, 98, 34–47. [Google Scholar] [CrossRef] [PubMed]
- Guo, H.; Guo, P.P.; Sun, Y.L.; Huang, L.Q.; Wang, C.Z. Contribution of odorant binding proteins to olfactory detection of (Z)-11-hexadecenal in Helicoverpa armigera. Insect Biochem. Mol. Biol. 2021, 131, 103554. [Google Scholar] [CrossRef] [PubMed]
- Liu, N.Y.; Yang, F.; Yang, K.; Xu, W.; Anderson, A.; Dong, S.L. Two general-odorant binding proteins in Spodoptera litura are differentially tuned to sex pheromones and plant odorants. Comp. Biochem. Physiol. A Mol. Integr. Physiol. 2015, 180, 23–31. [Google Scholar] [CrossRef]
- Zhou, J.; Zhang, N.; Wang, P.; Zhang, S.C.; Li, D.Q.; Liu, K.Y.; Wang, G.X.; Wang, X.P.; Ai, H. Identification of host-plant volatiles and characterization of two novel general odorant-binding proteins from the legume pod borer, Maruca vitrata Fabricius (Lepidoptera: Crambidae). PLoS ONE 2015, 10, e0141208. [Google Scholar] [CrossRef]
- Liu, N.Y.; Yang, F.; Yang, K.; He, P.; Dong, S.L. Two subclasses of odorant-binding proteins in Spodoptera exigua display structural conservation and functional divergence. Insect Mol. Biol. 2014, 24, 167–182. [Google Scholar] [CrossRef]
- Khuhro, S.A.; Liao, H.; Dong, X.T.; Yu, Q.; Yuan, Q.; Dong, S.L. Two general odorant binding proteins display high bindings to both host plant volatiles and sex pheromones in a pyralid moth Chilo suppressalis (Lepidoptera: Pyralidae). J. Asia-Pac. Entomol. 2017, 20, 521–528. [Google Scholar] [CrossRef]
- Tian, Z.Q.; Qiu, G.S.; Li, Y.Y.; Zhang, H.J.; Yan, W.T.; Yue, Q.; Sun, L.N. Molecular characterization and functional analysis of pheromone binding proteins and general odorant binding proteins from Carposina sasakii Matsumura (Lepidoptera: Carposinidae). Pest Manag. Sci. 2019, 75, 234–245. [Google Scholar] [CrossRef] [PubMed]
- Cai, L.; Cheng, X.; Qin, J.; Xu, W.; You, M. Expression, purification and characterization of three odorant binding proteins from the diamondback moth, Plutella xylostella. Insect Mol. Biol. 2020, 29, 531–544. [Google Scholar] [CrossRef] [PubMed]
- Zhang, X.Q.; Yan, Q.; Li, L.L.; Xu, J.W.; Mang, D.Z.; Wang, X.L.; Hoh, H.H.; Ye, J.; Ju, Q.; Ma, Y.; et al. Different binding properties of two general-odorant binding proteins in Athetis lepigone with sex pheromones, host plant volatiles and insecticides. Pestic. Biochem. Phys. 2020, 164, 173–182. [Google Scholar] [CrossRef] [PubMed]
- Rings, R.W.; Johnson, B.A.; Arnold, F.J. Host range of the variegated cutworm on vegetables: A bibliography. Bull. Entomol. Soc. Am. 1976, 22, 409–415. [Google Scholar] [CrossRef]
- Capinera, J.L.; Pelissier, D.; Menout, G.S.; Epsky, N.D. Control of black cutworm, Agrotis ipsilon (Lepidoptera: Noctuidae), with entomogenous nematodes (Nematoda: Steinernematidae, Heterorhabditidae). J. Invertebr. Pathol. 1988, 52, 427–435. [Google Scholar] [CrossRef]
- Inomata, S.I.; Tsuchiya, S.; Ikeda, K.; Saito, O.; Ando, T. Identification of the sex pheromone components secreted by female moths of Peridroma saucia (Noctuidae: Noctuinae). Biosci. Biotech. Bioch. 2002, 66, 2461–2464. [Google Scholar] [CrossRef][Green Version]
- Choi, K.S.; Cho, J.R.; Song, J.H.; Kim, D.S.; Boo, K.S. Sex pheromone composition of the variegated cutworm, Peridroma saucia (Lepidoptera: Noctuidae), in Korea. J. Asia-Pac. Entomol. 2009, 12, 71–77. [Google Scholar] [CrossRef]
- Struble, D.L.; Swailes, G.E.; Steck, W.F.; Underhill, E.W.; Chisholm, M.D. A sex attractant for adult males of variegated cutworm, Peridroma saucia. Environ. Entomol. 1976, 5, 988–990. [Google Scholar] [CrossRef]
- Simonet, D.E.; Clemet, S.L.; Rubik, W.L.; Rings, R.W. Temperature requirements for development and oviposition of Peridroma saucia (Lepidoptera: Noctuidae). Can. Entomol. 1981, 113, 891–897. [Google Scholar] [CrossRef]
- Willson, H.R.; Semel, M.; Tebcherany, M.; Prostak, D.J.; Hill, A.S. Evaluation of sex attractant and black light traps for monitoring black cutworm and variegated cutworm. J. Econ. Entomol. 1981, 74, 517–519. [Google Scholar] [CrossRef]
- Kuang, C.C. Studies on the biology and control of the Peridroma saucia. Chi. Bull. Entomol. 1985, 2, 16–19. [Google Scholar]
- Li, M.; Tan, J.C.; Gu, Z.R.; Song, B.D.; Liu, J.; Teng, K. Record of moths in Badagongshan National nature reserve. J. Biosaf. 2007, 16, 290–298. [Google Scholar]
- Guo, M.; Sui, H.; Han, H.L. Two new record species of Noctuinae (Lepidoptera, Noctuidae) from Northeast China. J. Northeast. For. Univ. 2010, 38, 129–130. [Google Scholar]
- Xuan, S.B.; Zhang, Q.; Wang, H.; Shi, B.M.; Yue, J.Y.; Wang, J.P. Report II on Noctuidae (Lepidoptera) in the headstreams of Fenhe River, Shanxi Province. J. Shanxi Agric. Sci. 2012, 39, 1092–1095. [Google Scholar]
- Sun, Y.L.; Dong, J.F.; Gu, N.; Wang, S.L. Identification of candidate chemosensory receptors in the antennae of the variegated cutworm, Peridroma saucia Hübner, based on a transcriptomic analysis. Front. Physiol. 2020, 11, 39. [Google Scholar] [CrossRef] [PubMed]
- Pickett, J.A.; Ardottir, G.I.; Birkett, M.A.; Bruce, T.J.A.; Chamberlain, K.; Khan, Z.R.; Midega, C.A.O.; Smart, L.E.; Woodcock, C.M. Aspects of insect chemical ecology: Exploitation of reception and detection as tools for deception of pests and beneficial insects. Physiol. Entomol. 2012, 37, 2–9. [Google Scholar] [CrossRef]
- Piesik, D.; Bocianowski, J.; Sendel, S.; Krawczyk, K.; Kotwica, K. Beetle orientation responses of Gastrophysa viridula and Gastrophysa polygoni (Coleoptera: Chrysomelidae) to a blend of synthetic volatile organic compounds. Environ. Entomol. 2020, 49, 1071–1076. [Google Scholar] [CrossRef]
- Thompson, J.D.; Higgins, D.G.; Gibson, T.J. CLUSTALW: Improving the sensitivity of progressive multiple sequence alignment through sequence weighting, position-specific gap penalties and weight matrix choice. Nucleic Acids Res. 1994, 22, 4673–4680. [Google Scholar] [CrossRef]
- Kumar, S.; Stecher, G.; Tamura, K. MEGA7: Molecular evolutionary genetics analysis version 7.0 for bigger datasets. Mol. Biol. Evol. 2016, 33, 1870–1874. [Google Scholar] [CrossRef]
- Jones, D.T.; Taylor, W.R.; Thornton, J.M. The rapid generation of mutation data matrices from protein sequences. Comput. Appl. Biosci. 1992, 8, 275–282. [Google Scholar] [CrossRef] [PubMed]
- Schmittgen, T.D.; Livak, K.J. Analyzing real-time PCR data by the comparative CT method. Nat. Protoc. 2008, 3, 1101–1108. [Google Scholar] [CrossRef] [PubMed]
- Sun, Y.L.; Huang, L.Q.; Pelosi, P.; Wang, C.Z. Expression in antennae and reproductive organs suggests a dual role of an odorant-binding protein in two sibling Helicoverpa species. PLoS ONE 2012, 7, e30040. [Google Scholar] [CrossRef] [PubMed]
- Sun, Y.L.; Huang, L.Q.; Pelosi, P.; Wang, C.Z. A lysine at the C-terminus of an odorant-binding protein is involved in binding aldehyde pheromone components in two Helicoverpa species. PLoS ONE 2013, 8, e55132. [Google Scholar] [CrossRef]
- Kyhse-Andersen, J. Electroblotting of multiple gels: A simple apparatus without buffer tank for rapid transfer of proteins from polyacrylamide to nitrocellulose. J. Biochem. Biophys. Methods 1984, 10, 203–209. [Google Scholar] [CrossRef]
- Sun, Y.L.; Dong, J.F.; Huang, L.Q.; Wang, C.Z. The cotton bollworm endoparasitoid Campoletis chlorideae is attracted by cis-jasmone or cis-3-hexenyl acetate but not by their mixtures. Arthropod-Plant Inte. 2020, 14, 169–179. [Google Scholar] [CrossRef]
- Yan, Z.G.; Wang, C.Z. Similar attractiveness of maize volatiles induced by Helicoverpa armigera and Pseudaletia separata to the generalist parasitoid Campoletis chlorideae. Entomol. Exp. Appl. 2006, 118, 87–96. [Google Scholar] [CrossRef]
- Sandler, B.H.; Nikonova, L.; Leal, W.S.; Clardy, J. Sexual attraction in the silkworm moth: Structure of the pheromone-binding-protein-bombykol complex. Chem. Biol. 2000, 7, 143–151. [Google Scholar] [CrossRef]
- Zhou, J.J.; Robertson, G.; He, X.L.; Dufour, S.; Hooper, A.M.; Pickett, J.A.; Keep, N.H.; Field, L.M. Characterization of Bombyx mori odorant-binding proteins reveals that a general odorant-binding protein discriminates between sex pheromone components. J. Mol. Biol. 2009, 389, 529–545. [Google Scholar] [CrossRef] [PubMed]
- Calvello, M.; Guerra, N.; Brandazza, A.; D’Ambrosio, C.; Scaloni, A.; Dani, F.R.; Pelosi, P. Soluble proteins of chemical communication in the social wasp Polistes dominulus. Cell Mol. Life Sci. 2003, 60, 1933–1943. [Google Scholar] [CrossRef]
- Matsuo, T.; Sugaya, S.; Yasukawa, J.; Aigaki, T.; Fuyama, Y. Odorant-binding proteins OBP57d and OBP57e affect taste perception and host-plant preference in Drosophila sechellia. PLoS Biol. 2007, 5, e118. [Google Scholar] [CrossRef] [PubMed]
- Laughlin, J.D.; Ha, T.S.; Jones, D.N.M.; Smith, D.P. Activation of pheromone sensitive neurons is mediated by conformational activation of pheromone binding protein. Cell 2008, 133, 1255–1265. [Google Scholar] [CrossRef]
- Brito, N.F.; Moreira, M.F.; Melo, A.C. A look inside odorant-binding proteins in insect chemoreception. J. Insect Physiol. 2016, 95, 51–65. [Google Scholar] [CrossRef]
- Konstantopoulou, M.A.; Pratsinis, H.; Kletsas, D.; Mazomenos, B.E. Pheromone-binding protein and general odorant-binding protein of Sesamia nonagrioides: Sex- and diel-dependent expression. Entomol. Exp. Appl. 2006, 119, 129–136. [Google Scholar] [CrossRef]
- Zhang, T.T.; Gu, S.H.; Wu, K.M.; Zhang, Y.J.; Guo, Y.Y. Construction and analysis of cDNA libraries from the antennae of male and female cotton bollworms Helicoverpa armigera (Hübner) and expression analysis of putative odorant-binding protein genes. Biochem. Biophys. Res. Commun. 2011, 407, 393–399. [Google Scholar] [CrossRef]
- Liu, N.Y.; He, P.; Dong, S.L. Binding properties of pheromone-binding protein 1 from the common cutworm Spodoptera litura. Comp. Biochem. Physiol. B Biochem. Mol. Biol. 2012, 161, 295–302. [Google Scholar] [CrossRef]
- Acín, P.; Carrascal, M.; Abian, J.; Guerrero, A.; Quero, C. Expression of differential antennal proteins in males and females of an important crop pest, Sesamia nonagrioides. Insect Biochem. Mol. Biol. 2009, 39, 11–19. [Google Scholar] [CrossRef] [PubMed]
- Zhang, G.H.; Li, Y.P.; Xu, X.L.; Chen, H.; Wu, J. Identification and characterization of two general odorant binding protein genes from the oriental fruit moth, Grapholita molesta (Busck). J. Chem. Ecol. 2012, 38, 427–436. [Google Scholar] [CrossRef] [PubMed]
- Pelosi, P.; Iovinella, I.; Zhu, J.; Wang, G.R.; Dani, F.R. Beyond chemoreception: Diverse tasks of soluble olfactory proteins in insects. Biol. Rev. 2018, 93, 184–200. [Google Scholar] [CrossRef]
- Knudsen, J.T.; Tollsten, L.; Bergstrom, L.G. Floral scents-A checklist of volatile compounds by head-space techniques. Phytochemistry 1993, 33, 253–280. [Google Scholar] [CrossRef]
- Loughrin, J.H.; Manukian, A.; Heath, R.R.; Turlings, T.C.J.; Tumlinson, J.H. Diuenal cycle of emission of induced volatile terpenoids herbivore-injured cotton plants. Proc. Natl. Acad. Sci. USA 1994, 91, 11836–11840. [Google Scholar] [CrossRef]
- Boué, S.M.; Shih, B.Y.; Carter-Wientjes, C.H.; Cleveland, T.E. Identification of volatile compounds in soybean at various developmental stages using solid phase micro extraction. J. Agr. Food Chem. 2003, 51, 4873–4876. [Google Scholar] [CrossRef]
- Yan, Z.G.; Yan, Y.H.; Wang, C.Z. Attractiveness of tobacco volatiles induced by Helicoverpa armigera and Helicoverpa assulta to Campoletis chlorideae. Chin. Sci. Bull. 2005, 50, 1334–1341. [Google Scholar] [CrossRef]
- Hill, A.S.; Rings, R.W.; Swier, S.R.; Roelofs, W.L. Sex pheromone of the black cutworm moth, Agrotis ipsilon. J. Chem. Ecol. 1979, 5, 439–457. [Google Scholar] [CrossRef]
- Wang, H.L.; Zhao, C.H.; Wang, C.Z. Comparative study of sex pheromone composition and biosynthesis in Helicoverpa armigera, H. assulta and their hybrid. Insect Biochem. Mol. Biol. 2005, 35, 575–583. [Google Scholar] [CrossRef] [PubMed]
- Groot, A.T.; Marr, M.; Schöfl, G.; Lorenz, S.; Svatos, A.; Heckel, D.G. Host strain specific sex pheromone variation in Spodoptera frugiperda. Front. Zool. 2008, 5, 20. [Google Scholar] [CrossRef]
- Xiang, Y.Y.; Yang, M.F.; Li, Z.Z. Sex pheromone components of the female black cutworm moth in China: Identification and field trials. Zool. Res. 2009, 30, 59–64. [Google Scholar] [CrossRef]
- Jiang, N.J.; Tang, R.; Wu, H.; Xu, M.; Wang, C.Z. Dissecting sex pheromone communication of Mythimna separata (walker) in north China from receptor molecules and antennal lobes to behavior. Insect Biochem. Mol. Biol. 2019, 111, 103176. [Google Scholar] [CrossRef]
- Sun, H.Y.; Yin, J.; Feng, H.L.; Li, K.B.; Xi, J.H.; Cao, Y.Z. Expression, purification and binding characteristic analysis of general odorant binding protein I (GOBP1) from the meadow moth, Loxostege sticticalis (Linnaeus). Acta Entomol. Sinica 2011, 54, 381–389. [Google Scholar]
- De Moraes, C.M.; Lewis, W.J.; Pare, P.W.; Alborn, H.T.; Tumlinson, J.H. Herbivore-infested plants selectively attract parasitoids. Nature 1998, 393, 570–573. [Google Scholar] [CrossRef]
- McCormick, A.C.; Unsicker, S.B.; Gershenzon, J. The specificity of herbivore-induced plant volatiles in attracting herbivore enemies. Trends Plant Sci. 2012, 17, 303–310. [Google Scholar] [CrossRef] [PubMed]
- Skoczek, A.; Piesik, D.; Wenda-Piesik, A.; Buszewski, B.; Bocianowski, J.; Wawrzyniak, M. Volatile organic compounds released by maize following herbivory or insect extract application and communication between plants. J. Appl. Entomol. 2017, 141, 630–643. [Google Scholar] [CrossRef]
- Piesik, D.; Rochat, D.; Bocianowski, J.; Marion-Poll, F. Repellent activity of plants from the genus Chenopodium to Ostrinia nubilalis. Plant Protect. Sci. 2018, 54, 265–271. [Google Scholar]
- Engelberth, J.; Alborn, H.T.; Schmelz, E.A.; Tumlinson, J.H. Airborne signals prime plants against insect herbivore attack. Proc. Natl. Acad. Sci. USA 2004, 101, 1781–1785. [Google Scholar] [CrossRef]
- Sun, J.G.; Huang, L.Q.; Wang, C.Z. Electrophysiological and behavioral responses of Helicoverpa assulta (lepidoptera: Noctuidae) to tobacco volatiles. Arthropod-Plant Inte. 2012, 6, 375–384. [Google Scholar] [CrossRef]
- Piesik, D.; Weaver, D.K.; Runyon, J.B.; Buteler, M.; Peck, G.E.; Morrill, W.L. Behavioural responses of wheat stem sawflies to wheat volatiles. Agric. For. Entomol. 2008, 10, 245–253. [Google Scholar] [CrossRef]
- Light, D.M.; Flath, R.A.; Buttery, R.G.; Zalom, F.G.; Rice, R.E.; Dickens, J.C.; Jang, E.B. Host-plant green-leaf volatiles synergize the synthetic sex pheromones of the corn earworm and codling moth (Lepidoptera). Chemoecology 1993, 4, 145–152. [Google Scholar] [CrossRef]
- Reddy, G.V.; Guerrero, A. Behavioral responses of the diamondback moth, Plutella xylostella, to green leaf volatiles of Brassica oleracea subsp. capitata. J Agric. Food Chem. 2000, 48, 6025–6029. [Google Scholar] [CrossRef] [PubMed]
- Saveer, A.M.; Kromann, S.H.; Birgersson, G.; Bengtsson, M.; Lindblom, T.; Balkenius, A.; Hansson, B.S.; Witzgall, P.; Becher, P.G.; Ignell, R. Floral to green: Mating switches moth olfactory coding and preference. Proc. Biol. Sci. 2012, 279, 2314–2322. [Google Scholar] [CrossRef] [PubMed]









| Ligands | Maximum Concentration | Fluorescence (%) at Maximum Concentration | IC50 * (μM) | KD * (μM) |
|---|---|---|---|---|
| P. saucia sex pheromones | ||||
| Z11-16: Ac | 12 | 70 ± 2 | >20 | - |
| Z9-14: Ac | 12 | 78 ± 2 | >20 | - |
| Other moth sex pheromones | ||||
| Z11-16: Ald | 12 | 89 ± 1 | >20 | - |
| Z9-16: Ald | 12 | 82 ± 3 | >20 | - |
| Z7-12: Ac | 12 | 74 ± 4 | >20 | - |
| Z9-12: Ac | 12 | 72 ± 2 | >20 | - |
| Z11-16: OH | 12 | 70 ± 5 | >20 | - |
| Z9-16: OH | 12 | 76 ± 1 | >20 | - |
| Host plant volatiles | ||||
| (Z)-3-hexenyl acetate | 16 | 19 ± 2 | 8.2 ± 0.2 | 4.0 ± 0.1 |
| (E)-2-hexenyl acetate | 16 | 77 ± 7 | >20 | - |
| Methyl jasmonate | 16 | 80 ± 5 | >20 | - |
| Methyl salicylate | 16 | 73 ± 3 | >20 | - |
| Phenylethyl acetate | 16 | 64 ± 2 | >20 | - |
| Octanal | 16 | 61 ± 6 | >20 | - |
| Decanal | 16 | 85 ± 2 | >20 | - |
| Nonanal | 16 | 50 ± 2 | 13.9 ± 0.6 | 6.8 ± 0.3 |
| Citral | 16 | 40 ± 3 | 11.5 ± 1.0 | 5.6 ± 0.4 |
| (E)-2-hexenal | 16 | 64 ± 4 | >20 | - |
| Benzaldehyde | 16 | 62 ± 2 | 19.3 ± 1.1 | 9.4 ± 0.5 |
| Heptanol | 16 | 65 ± 4 | >20 | - |
| Farnesol | 16 | 47 ± 4 | 13.1 ± 1.2 | 6.4 ± 0.6 |
| (Z)-3-hexen-1-ol | 16 | 58 ± 3 | 17.4 ± 1.5 | 8.5 ± 0.6 |
| (E)-2-hexen-1-ol | 16 | 67 ± 2 | >20 | - |
| Dodecanol | 16 | 75 ± 8 | >20 | - |
| Linalool | 16 | 79 ± 2 | >20 | - |
| β-myrcene | 16 | 94 ± 1 | >20 | - |
| β-pinene | 16 | 100 ± 2 | >20 | - |
| D-limonene | 16 | 100 ± 5 | >20 | - |
| (E)-β-farnesene | 16 | 87 ± 4 | >20 | - |
| Ocimene | 16 | 74 ± 7 | >20 | - |
| (E)-caryophyllene | 16 | 75 ± 1 | >20 | - |
| Jasmonic acid | 16 | 68 ± 3 | >20 | - |
| (Z)-jasmone | 16 | 83 ± 5 | >20 | - |
| Indole | 16 | 70 ± 9 | >20 | - |
Publisher’s Note: MDPI stays neutral with regard to jurisdictional claims in published maps and institutional affiliations. |
© 2021 by the authors. Licensee MDPI, Basel, Switzerland. This article is an open access article distributed under the terms and conditions of the Creative Commons Attribution (CC BY) license (https://creativecommons.org/licenses/by/4.0/).
Share and Cite
Sun, Y.-L.; Dong, J.-F.; Song, Y.-Q.; Wang, S.-L. GOBP1 from the Variegated Cutworm Peridroma saucia (Hübner) (Lepidoptera: Noctuidae) Displays High Binding Affinities to the Behavioral Attractant (Z)-3-Hexenyl acetate. Insects 2021, 12, 939. https://doi.org/10.3390/insects12100939
Sun Y-L, Dong J-F, Song Y-Q, Wang S-L. GOBP1 from the Variegated Cutworm Peridroma saucia (Hübner) (Lepidoptera: Noctuidae) Displays High Binding Affinities to the Behavioral Attractant (Z)-3-Hexenyl acetate. Insects. 2021; 12(10):939. https://doi.org/10.3390/insects12100939
Chicago/Turabian StyleSun, Ya-Lan, Jun-Feng Dong, Yue-Qin Song, and Shao-Li Wang. 2021. "GOBP1 from the Variegated Cutworm Peridroma saucia (Hübner) (Lepidoptera: Noctuidae) Displays High Binding Affinities to the Behavioral Attractant (Z)-3-Hexenyl acetate" Insects 12, no. 10: 939. https://doi.org/10.3390/insects12100939
APA StyleSun, Y.-L., Dong, J.-F., Song, Y.-Q., & Wang, S.-L. (2021). GOBP1 from the Variegated Cutworm Peridroma saucia (Hübner) (Lepidoptera: Noctuidae) Displays High Binding Affinities to the Behavioral Attractant (Z)-3-Hexenyl acetate. Insects, 12(10), 939. https://doi.org/10.3390/insects12100939

