Immune Checkpoint Inhibitor-Induced Insidiously Progressive, Fatal Interstitial Lung Disease
Abstract
1. Personalized Medicine
2. Introduction
3. Materials and Methods
3.1. Patients
3.2. Evaluation of ILDs
3.3. Statistical Analysis
4. Results
4.1. Clinical Characteristics and ICI Responsiveness
4.2. Immune-Related Adverse Events and ICI Responsiveness
4.3. Characteristics Associated with Death Due to ICI-ILD
4.4. The Three Patients Who Died of Insidiously Progressive ICI-ILD
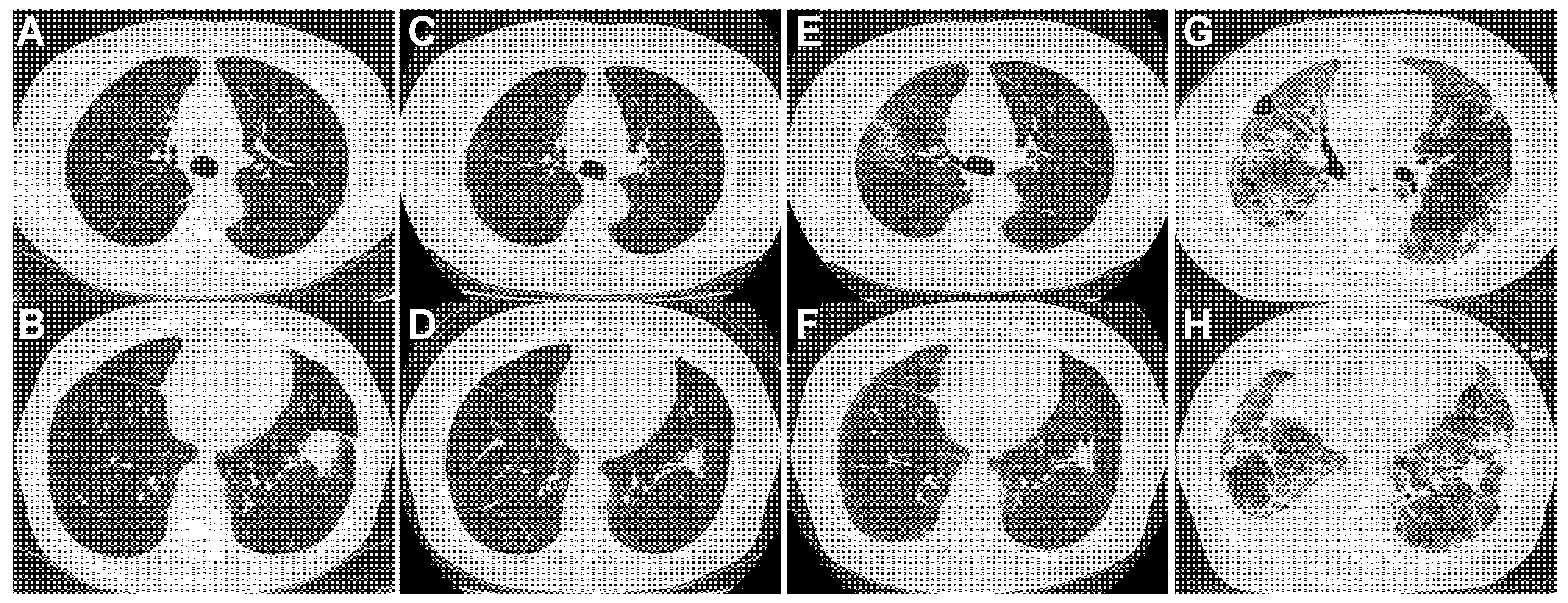
4.4.1. Patient 1 (Figure 2, Table 4)
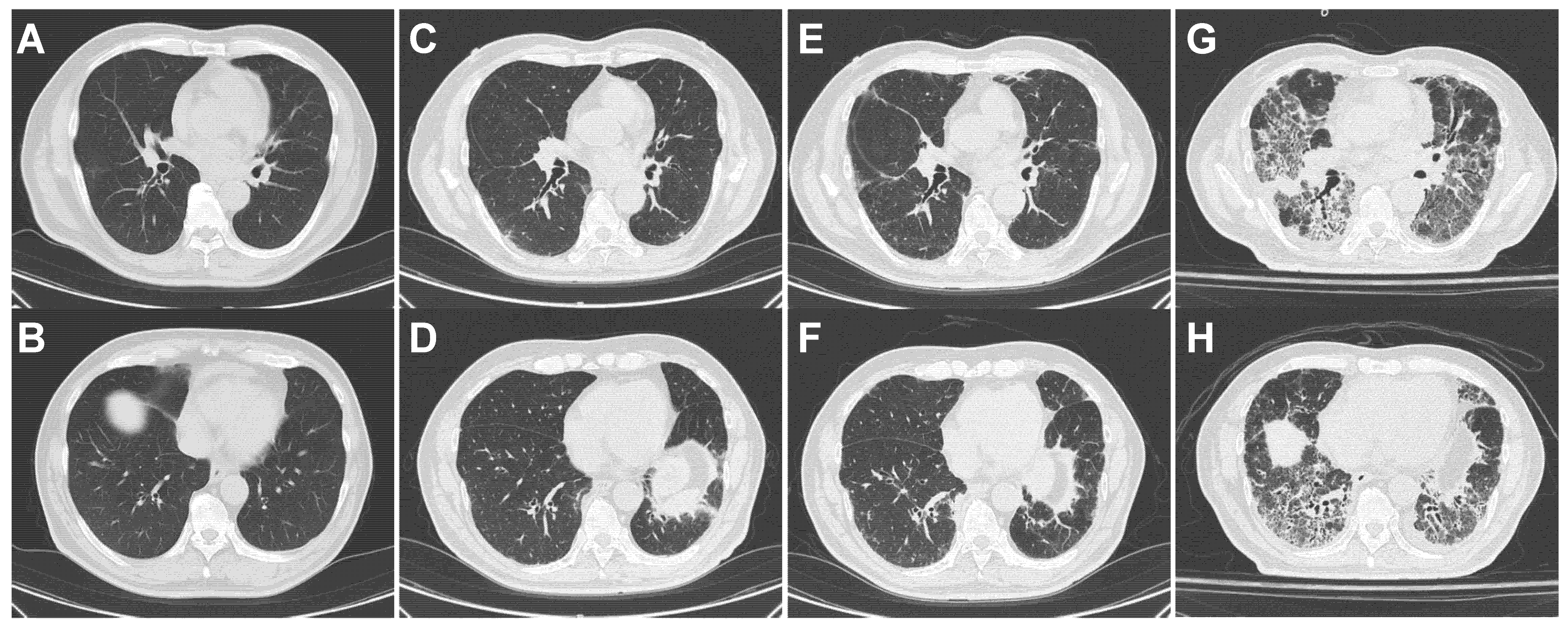
4.4.2. Patient 2 (Figure 3, Table 4)
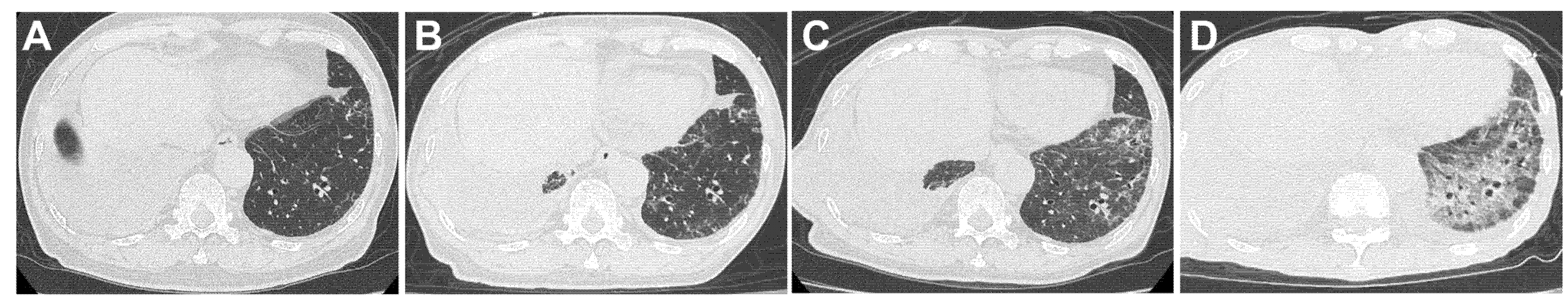
4.4.3. Patient 3 (Figure 4, Table 4)
5. Discussion
6. Conclusions
Author Contributions
Funding
Institutional Review Board Statement
Informed Consent Statement
Data Availability Statement
Conflicts of Interest
Abbreviations
| CRP | C-reactive protein |
| DAD | diffuse alveolar damage |
| EGFR | epidermal growth factor receptor |
| HP | hypersensitivity pneumonitis |
| ICI | immune checkpoint inhibitor |
| ILD | interstitial lung disease |
| irAE | immune-related adverse event |
| KL-6 | Krebs von den Lungen-6 |
| LDH | lactate dehydrogenase |
References
- Gandhi, L.; Rodríguez-Abreu, D.; Gadgeel, S.; Esteban, E.; Felip, E.; De Angelis, F.; Domine, M.; Clingan, P.; Hochmair, M.J.; Powell, S.F.; et al. KEYNOTE-189 Investigators. Pembrolizumab plus chemotherapy in metastatic non-small-cell lung cancer. N. Engl. J. Med. 2018, 378, 2078–2092. [Google Scholar] [CrossRef] [PubMed]
- Reck, M.; Rodríguez-Abreu, D.; Robinson, A.G.; Hui, R.; Csőszi, T.; Fülöp, A.; Gottfried, M.; Peled, N.; Tafreshi, A.; Cuffe, S.; et al. Updated Analysis of KEYNOTE-024, Pembrolizumab versus platinum-based chemotherapy for advanced non-small-cell lung cancer with PD-L1 tumor proportion score of 50% or greater. J. Clin. Oncol. 2019, 37, 537–546. [Google Scholar] [CrossRef]
- Fujimoto, D.; Miura, S.; Yoshimura, K.; Wakuda, K.; Oya, Y.; Yokoyama, T.; Yokoi, T.; Asao, T.; Tamiya, M.; Nakamura, A.; et al. Pembrolizumab plus chemotherapy-induced pneumonitis in chemo-naïve patients with non-squamous non-small cell lung cancer: A multicentre, retrospective cohort study. Eur. J. Cancer. 2021, 150, 63–72. [Google Scholar] [CrossRef] [PubMed]
- Suzuki, Y.; Karayama, M.; Uto, T.; Fujii, M.; Matsui, T.; Asada, K.; Kusagaya, H.; Kato, M.; Matsuda, H.; Matsuura, S.; et al. Assessment of immune-related interstitial lung disease in patients with NSCLC treated with immune checkpoint inhibitors: A multicenter prospective study. J. Thorac. Oncol. 2020, 15, 1317–1327. [Google Scholar] [CrossRef] [PubMed]
- Okada, N.; Matsuoka, R.; Sakurada, T.; Goda, M.; Chuma, M.; Yagi, K.; Zamami, Y.; Nishioka, Y.; Ishizawa, K. Risk factors of immune checkpoint inhibitor-related interstitial lung disease in patients with lung cancer: A single-institution retrospective study. Sci. Rep. 2020, 10, 13773. [Google Scholar] [CrossRef]
- Nakanishi, Y.; Masuda, T.; Yamaguchi, K.; Sakamoto, S.; Horimasu, Y.; Nakashima, T.; Miyamoto, S.; Tsutani, Y.; Iwamoto, H.; Fujitaka, K.; et al. Pre-existing interstitial lung abnormalities are risk factors for immune checkpoint inhibitor-induced interstitial lung disease in non-small cell lung cancer. Respir. Investig. 2019, 57, 451–459. [Google Scholar] [CrossRef]
- Baba, T.; Sakai, F.; Kato, T.; Kusumoto, M.; Kenmotsu, H.; Sugiura, H.; Tominaga, J.; Oikado, K.; Sata, M.; Endo, M.; et al. Radiologic features of pneumonitis associated with nivolumab in non-small-cell lung cancer and malignant melanoma. Future Oncol. 2019, 15, 1911–1920. [Google Scholar] [CrossRef]
- Johkoh, T.; Lee, K.S.; Nishino, M.; Travis, W.D.; Ryu, J.H.; Lee, H.Y.; Ryerson, C.J.; Franquet, T.; Bankier, A.A.; Brown, K.K.; et al. Chest CT diagnosis and clinical management of drug-related pneumonitis in patients receiving molecular targeting agents and immune checkpoint inhibitors: A Position Paper from the Fleischner Society. Radiology 2021, 298, 550–566. [Google Scholar] [CrossRef]
- Yokoi, M.; Yonezawa, A.; Hira, D.; Handa, T.; Tanizawa, K.; Nakagawa, S.; Tsuda, M.; Ikemi, Y.; Itotani, R.; Yoshida, H.; et al. Subjective symptoms are triggers for the detection of immune checkpoint inhibitor-induced interstitial lung disease and associate with disease severity: A single-center retrospective study. J. Pharm. Health Care Sci. 2024, 10, 52. [Google Scholar] [CrossRef]
- Raghu, G.; Remy-Jardin, M.; Myers, J.L.; Richeldi, L.; Ryerson, C.J.; Lederer, D.J.; Behr, J.; Cottin, V.; Danoff, S.K.; Morell, F.; et al. American Thoracic Society, European Respiratory Society, Japanese Respiratory Society, and Latin American Thoracic Society. Diagnosis of Idiopathic Pulmonary Fibrosis. An Official ATS/ERS/JRS/ALAT Clinical Practice Guideline. Am. J. Respir. Crit. Care Med. 2018, 198, e44–e68. [Google Scholar] [CrossRef]
- Ando, H.; Suzuki, K.; Yanagihara, T. Insights into potential pathogenesis and treatment options for immune-checkpoint inhibitor-related pneumonitis. Biomedicines 2021, 9, 1484. [Google Scholar] [CrossRef] [PubMed]
- Grangeon, M.; Tomasini, P.; Chaleat, S.; Jeanson, A.; Souquet-Bressand, M.; Khobta, N.; Bermudez, J.; Trigui, Y.; Greillier, L.; Blanchon, M.; et al. Association between immune-related adverse events and Efficacy of Immune Checkpoint Inhibitors in Non-small-cell Lung Cancer. Clin. Lung Cancer 2019, 20, 201–207. [Google Scholar] [CrossRef]
- Sato, K.; Akamatsu, H.; Murakami, E.; Sasaki, S.; Kanai, K.; Hayata, A.; Tokudome, N.; Akamatsu, K.; Koh, Y.; Ueda, H.; et al. Correlation between immune-related adverse events and efficacy in non-small cell lung cancer treated with nivolumab. Lung Cancer 2018, 115, 71–74. [Google Scholar] [CrossRef] [PubMed]
- Teraoka, S.; Fujimoto, D.; Morimoto, T.; Kawachi, H.; Ito, M.; Sato, Y.; Nagata, K.; Nakagawa, A.; Otsuka, K.; Uehara, K.; et al. Early immune-related adverse events and association with outcome in advanced non-small cell lung cancer patients treated with nivolumab: A prospective cohort study. J. Thorac. Oncol. 2017, 12, 1798–1805. [Google Scholar] [CrossRef]
- Shankar, B.; Zhang, J.; Naqash, A.R.; Forde, P.M.; Feliciano, J.L.; Marrone, K.A.; Ettinger, D.S.; Hann, C.L.; Brahmer, J.R.; Ricciuti, B.; et al. Multisystem immune-related adverse events associated with immune checkpoint inhibitors for treatment of non-small cell lung cancer. JAMA Oncol. 2020, 6, 1952–1956. [Google Scholar] [CrossRef] [PubMed]
- Sugano, T.; Seike, M.; Saito, Y.; Kashiwada, T.; Terasaki, Y.; Takano, N.; Hisakane, K.; Takahashi, S.; Tanaka, T.; Takeuchi, S.; et al. Immune checkpoint inhibitor-associated interstitial lung diseases correlate with better prognosis in patients with advanced non-small-cell lung cancer. Thorac. Cancer 2020, 11, 1052–1060. [Google Scholar] [CrossRef] [PubMed]
- Tone, M.; Izumo, T.; Awano, N.; Kuse, N.; Inomata, M.; Jo, T.; Yoshimura, H.; Minami, J.; Takada, K.; Miyamoto, S.; et al. High mortality and poor treatment efficacy of immune checkpoint inhibitors in patients with severe grade checkpoint inhibitor pneumonitis in non-small cell lung cancer. Thorac. Cancer. 2019, 10, 2006–2012. [Google Scholar] [CrossRef]
- Socinski, M.A.; Jotte, R.M.; Cappuzzo, F.; Nishio, M.; Mok, T.S.K.; Reck, M.; Finley, G.G.; Kaul, M.D.; Yu, W.; Paranthaman, N.; et al. Association of Immune-Related Adverse Events With Efficacy of Atezolizumab in Patients With Non-Small Cell Lung Cancer: Pooled Analyses of the Phase 3 IMpower130, IMpower132, and IMpower150 Randomized Clinical Trials. JAMA Oncol. 2023, 9, 527–535. [Google Scholar] [CrossRef]
- Nakahama, K.; Izumi, M.; Yoshimoto, N.; Fukui, M.; Sugimoto, A.; Nagamine, H.; Ogawa, K.; Sawa, K.; Tani, Y.; Kaneda, H.; et al. Clinical significance of KL-6 in immune-checkpoint inhibitor treatment for non-small cell lung cancer. Cancer Chemother. Pharmacol. 2023, 92, 381–390. [Google Scholar] [CrossRef]
- Murata, D.; Azuma, K.; Murotani, K.; Matsuo, N.; Matama, G.; Tokito, T.; Sasada, T.; Hoshino, T. Survival and soluble immune mediators of immune checkpoint inhibitor-induced interstitial lung disease in patients with non-small cell lung cancer. Lung Cancer 2023, 184, 107351. [Google Scholar] [CrossRef]
- Flaherty, K.R.; Wells, A.U.; Cottin, V.; Devaraj, A.; Walsh, S.L.F.; Inoue, Y.; Richeldi, L.; Kolb, M.; Tetzlaff, K.; Stowasser, S.; et al. INBUILD Trial Investigators. Nintedanib in progressive fibrosing interstitial lung diseases. N. Engl. J. Med. 2019, 381, 1718–1727. [Google Scholar] [CrossRef]
- Borghaei, H.; Paz-Ares, L.; Horn, L.; Spigel, D.R.; Steins, M.; Ready, N.E.; Chow, L.Q.; Vokes, E.E.; Felip, E.; Holgado, E.; et al. Nivolumab versus Docetaxel in Advanced Nonsquamous Non-Small-Cell Lung Cancer. N. Engl. J. Med. 2015, 373, 1627–1639. [Google Scholar] [CrossRef] [PubMed]
- Herbst, R.S.; Baas, P.; Kim, D.W.; Felip, E.; Pérez-Gracia, J.L.; Han, J.Y.; Molina, J.; Kim, J.H.; Arvis, C.D.; Ahn, M.J.; et al. Pembrolizumab versus docetaxel for previously treated, PD-L1-positive, advanced non-small-cell lung cancer (KEYNOTE-010): A randomised controlled trial. Lancet 2016, 387, 1540–1550. [Google Scholar] [CrossRef]
- Garassino, M.C.; Cho, B.C.; Kim, J.H.; Mazières, J.; Vansteenkiste, J.; Lena, H.; Corral Jaime, J.; Gray, J.E.; Powderly, J.; Chouaid, C.; et al. ATLANTIC Investigators. Durvalumab as third-line or later treatment for advanced non-small-cell lung cancer (ATLANTIC): An open-label, single-arm, phase 2 study. Lancet Oncol. 2018, 19, 521–536. [Google Scholar] [CrossRef]
- Li, D.; Cheng, C.; Song, W.P.; Ni, P.Z.; Zhang, W.Z.; Wu, X. Dramatic response to immunotherapy in an epidermal growth factor receptor-mutant non-small cell lung cancer: A case report. World J. Clin. Cases 2021, 9, 11419–11424. [Google Scholar] [CrossRef]
- Baglivo, S.; Mandarano, M.; Bellezza, G.; Minotti, V.; Bonaiti, A.; Fischer, M.J.; Birocchi, I.; Roila, F.; Metelli, N.; Ludovini, V.; et al. Inflamed Tumor Phenotype as Predictor of Long-Term Response to Pembrolizumab in an EGFR-Mutated Non-Small Cell Lung Cancer (NSCLC) Patient with Acquired Resistance to Afatinib: A Case Report and Review of the Literature. Oncol. Ther. 2022, 10, 291–300. [Google Scholar] [CrossRef] [PubMed]
- Ichihara, E.; Harada, D.; Inoue, K.; Shibayama, T.; Hosokawa, S.; Kishino, D.; Harita, S.; Ochi, N.; Oda, N.; Hara, N.; et al. Characteristics of patients with EGFR-mutant non-small-cell lung cancer who benefited from immune checkpoint inhibitors. Cancer Immunol. Immunother. 2021, 70, 101–106. [Google Scholar] [CrossRef] [PubMed]
- Reck, M.; Mok, T.S.K.; Nishio, M.; Jotte, R.M.; Cappuzzo, F.; Orlandi, F.; Stroyakovskiy, D.; Nogami, N.; Rodríguez-Abreu, D.; Moro-Sibilot, D.; et al. IMpower150 Study Group. Atezolizumab plus bevacizumab and chemotherapy in non-small-cell lung cancer (IMpower150): Key subgroup analyses of patients with EGFR mutations or baseline liver metastases in a randomised, open-label phase 3 trial. Lancet Respir. Med. 2019, 7, 387–401. [Google Scholar] [CrossRef]
- Park, S.; Kim, T.M.; Han, J.Y.; Lee, G.W.; Shim, B.Y.; Lee, Y.G.; Kim, S.W.; Kim, I.H.; Lee, S.; Kim, Y.J.; et al. Phase III, Randomized Study of Atezolizumab Plus Bevacizumab and Chemotherapy in Patients With EGFR- or ALK-Mutated Non-Small-Cell Lung Cancer (ATTLAS, KCSG-LU19-04). J. Clin. Oncol. 2024, 42, 1241–1251. [Google Scholar] [CrossRef]
- Yamamoto, N.; Horiike, A.; Fujisaka, Y.; Murakami, H.; Shimoyama, T.; Yamada, Y.; Tamura, T. Phase I dose-finding and pharmacokinetic study of the oral epidermal growth factor receptor tyrosine kinase inhibitor Ro50-8231 (erlotinib) in Japanese patients with solid tumors. Cancer Chemother. Pharmacol. 2008, 61, 489–496. [Google Scholar] [CrossRef]
- Kanaji, N.; Ichihara, E.; Tanaka, T.; Ninomiya, T.; Kozuki, T.; Ishikawa, N.; Nishii, K.; Shoda, H.; Yamaguchi, K.; Kawakado, K.; et al. Efficacy and Safety of Re-administration of Epidermal Growth Factor Receptor-Tyrosine Kinase Inhibitor (EGFR-TKI) After EGFR-TKI-Induced Interstitial Lung Disease (CS-Lung-005). Lung 2024, 202, 63–72. [Google Scholar] [CrossRef] [PubMed]
- Okada, N.; Hamano, H.; Yagi, K.; Niimura, T.; Aizawa, F.; Goda, M.; Zamami, Y.; Kitahara, T.; Ishizawa, K. Effect of pre-treatment with EGFR-TKIs on immune checkpoint inhibitor-associated interstitial lung disease in lung cancer patients: Analysis using a Japanese claims database. Int. J. Clin. Pharmacol. Ther. 2024, 62, 69–76. [Google Scholar] [CrossRef] [PubMed]
- Tamiya, A.; Naito, T.; Miura, S.; Morii, S.; Tsuya, A.; Nakamura, Y.; Kaira, K.; Murakami, H.; Takahashi, T.; Yamamoto, N.; et al. Interstitial lung disease associated with docetaxel in patients with advanced non-small cell lung cancer. Anticancer Res. 2012, 32, 1103–1106. [Google Scholar] [PubMed]
- Wang, Y.; Miao, L.; Hu, Y.; Zhou, Y. The efficacy and safety of first-line chemotherapy in patients with non-small cell lung cancer and interstitial lung disease: A systematic review and meta-analysis. Front. Oncol. 2020, 10, 1636. [Google Scholar] [CrossRef]




| Characteristic | Patients (n = 232) |
|---|---|
| Age, median (range) | 70 (41–94) |
| Male/female | 182/50 |
| Smoking history | |
| Smoker/never smoker | 195/37 |
| Pack-years in smokers, average (range) | 54.5 (0.75–171) |
| ECOG Performance Status | |
| 0/1/2/3/4 | 67/109/35/17/4 |
| Histology | |
| Adenocarcinoma | 132 |
| Squamous cell carcinoma | 45 |
| Non-small cell carcinoma, NOS | 12 |
| Others | 16 |
| Small cell carcinoma | 27 |
| Driver mutations | |
| EGFR/ALK/others/no mutations | 30/3/12/84 |
| Clinical stage (8th edition of TNM classification) | |
| III/IV | 27/205 |
| PD-L1 TPS (%) | |
| <1/1–49/50≤/not evaluated | 42/55/71/64 |
| ICI Regimens | |
| ICI monotherapy | |
| nivolumab | 39 |
| pembrolizumab | 51 |
| atezolizumab | 18 |
| ICI + chemotherapy | |
| pembrolizumab + carboplatin + PEM | 28 |
| pembrolizumab + carboplatin + nab-PAC | 22 |
| atezolizumab + carboplatin + etoposide | 16 |
| atezolizumab + carboplatin + PEM | 12 |
| atezolizumab + carboplatin + nab-PAC | 11 |
| durvalumab + carboplatin + etoposide | 10 |
| ipilimumab + nivolumab | 9 |
| ipilimumab + nivolumab + carboplatin + PEM | 6 |
| tremelimumab + durvalumab + carboplatin + nab-PAC | 6 |
| others | 4 |
| Therapeutic line of ICI | |
| 1/2/3/4/5 or later | 148/47/16/10/11 |
| Characteristic | n | Median PFS, Days | Univariate Analysis p-Value | Multivariate Analysis | |
|---|---|---|---|---|---|
| HR (95%CI) | p-Value | ||||
| Age | |||||
| Older, ≥75 | 57 | 202 | 0.69 | ||
| Younger, <75 | 135 | 154 | |||
| Gender | |||||
| Male | 151 | 172 | 0.56 | ||
| Female | 41 | 140 | |||
| Smoking history | |||||
| Never smoker | 32 | 83 | 0.17 | ||
| Smoker | 160 | 181 | |||
| ECOG Performance Status | |||||
| 2−4 | 66 | 74 | <0.01 | 2.22 (1.45–3.38) | <0.01 |
| 0−1 | 126 | 217 | |||
| Histology | |||||
| SCLC | 23 | 183 | 0.50 | ||
| NSCLC | 169 | 168 | |||
| Driver mutations | |||||
| Yes | 32 | 140 | 0.81 | ||
| No | 160 | 172 | |||
| PD-L1 TPS | |||||
| <50 | 80 | 171 | <0.01 | 1.68 (1.17–2.42) | <0.01 |
| 50≤ | 51 | 241 | |||
| Preexisting ILD | |||||
| Yes | 26 | 126 | 0.19 | ||
| No | 166 | 172 | |||
| Therapeutic line of ICI | |||||
| 2nd or later | 79 | 68 | <0.01 | 2.51 (1.66–3.81) | <0.01 |
| 1st | 113 | 225 | |||
| Therapeutic regimen | |||||
| IO only (one or two ICIs) | 103 | 88 | 0.12 | ||
| IO plus chemotherapy | 89 | 203 | |||
| CRP (mg/dL) | |||||
| 1≤ | 106 | 154 | 0.16 | ||
| <1 | 85 | 183 | |||
| LDH (U/L) | |||||
| 220≤ | 77 | 119 | 0.24 | ||
| <220 | 28 | 191 | |||
| NLR | |||||
| 5≤ | 72 | 94 | <0.01 | 0.65 (0.42–1.00) | 0.05 |
| <5 | 119 | 203 | |||
| PNI | |||||
| <40 | 79 | 119 | <0.01 | 0.82 (0.53–1.28) | 0.38 |
| 40≤ | 111 | 205 | |||
| Characteristic | Survival (n = 35) | Death (n = 6) | Univariate Analysis p-Value |
|---|---|---|---|
| At ICI discontinuation | |||
| ICI-ILD pattern, non-OP/OP (n) | 18/17 | 6/0 | 0.03 |
| ICI cycle number | 7 ± 6 | 9 ± 8 | 0.80 |
| CRP (mg/dL) | 4.6 ± 5.0 | 10.4 ± 5.0 | <0.05 |
| LDH (U/L) | 299 ± 214 | 394 ± 151 | 0.25 |
| WBC (/microL) | 7623 ± 2935 | 9772 ± 3402 | 0.23 |
| Number of lung lobes affected by ICI-ILD | 4 ± 1 | 5 ± 0 | <0.01 |
| ICI-ILD grade | 2 ± 1 | 4 ± 1 | <0.01 |
| Between ICI initiation and ICI-ILD development | |||
| Period (days) | 159 ± 133 | 106 ± 104 | 0.34 |
| Between ICI-ILD development and ICI discontinuation | |||
| Period (days) | 31 ± 67 | 89 ± 92 | 0.23 |
| Additional ICI cycle number | 1 ± 3 | 3 ± 3 | 0.27 |
| Change in CRP | 0.01 ± 1.06 | 4.51 ± 3.78 | 0.04 |
| Change in LDH | 3 ± 27 | 127 ± 160 | 0.14 |
| Change in WBC | 627 ± 2055 | 2588 ± 2432 | 0.14 |
| Change in lung lobes affected by ICI-ILD | 0 ± 1 | 2 ± 2 | 0.03 |
| Change in ICI-ILD grade | 0 ± 1 | 2 ± 1 | 0.08 |
| Patient No. | Patient 1 | Patient 2 | Patient 3 |
|---|---|---|---|
| Age | 65 | 68 | 81 |
| Gender | F | M | M |
| Smoking (pack-year) | 0 | 30 | 48 |
| Histology | adenocarcinoma | adenocarcinoma | adenocarcinoma |
| Clinical stage | cT1bN0M1b (OSS), IVA | cT3N2M1c (ADR, LYM), | cT3N0M1a (PLE), IVA |
| IVB | |||
| 1st line therapy | carboplatin + pemetrexed | carboplatin + pemetrexed+ | pembrolizumab |
| pembrolizumab | |||
| 2nd line therapy | erlotinib | ||
| 3rd line therapy | pembrolizumab | ||
| Days between ILD | 197 | 119 | 211 |
| Development and ICI | |||
| discontinuation | |||
| At ICI-ILD development and at ICI discontinuation | |||
| ICI cycle number | 13 and 22 | 4 and 8 | 11 and 17 |
| CRP (mg/dL) | 0.13 and 2.92 | 0.15 and 8.49 | 1.1 and 7.76 |
| LDH (U/L) | 188 and 215 | 210 and 543 | 214 and 586 |
| WBC (/microL) | 4510 and 7180 | 4900 and 10,850 | 4300 and 9910 |
| Lobes of ICI-ILD | 2 and 5 | 2 and 5 | 2 and 5 |
| ICI-ILD grade | 1 and 2 | 1 and 4 | 1 and 4 |
Disclaimer/Publisher’s Note: The statements, opinions and data contained in all publications are solely those of the individual author(s) and contributor(s) and not of MDPI and/or the editor(s). MDPI and/or the editor(s) disclaim responsibility for any injury to people or property resulting from any ideas, methods, instructions or products referred to in the content. |
© 2025 by the authors. Licensee MDPI, Basel, Switzerland. This article is an open access article distributed under the terms and conditions of the Creative Commons Attribution (CC BY) license (https://creativecommons.org/licenses/by/4.0/).
Share and Cite
Kanaji, N.; Watanabe, N.; Inoue, T.; Mizoguchi, H.; Komori, Y.; Ohara, Y.; Kadowaki, N. Immune Checkpoint Inhibitor-Induced Insidiously Progressive, Fatal Interstitial Lung Disease. J. Pers. Med. 2025, 15, 115. https://doi.org/10.3390/jpm15030115
Kanaji N, Watanabe N, Inoue T, Mizoguchi H, Komori Y, Ohara Y, Kadowaki N. Immune Checkpoint Inhibitor-Induced Insidiously Progressive, Fatal Interstitial Lung Disease. Journal of Personalized Medicine. 2025; 15(3):115. https://doi.org/10.3390/jpm15030115
Chicago/Turabian StyleKanaji, Nobuhiro, Naoki Watanabe, Takuya Inoue, Hitoshi Mizoguchi, Yuta Komori, Yasuhiro Ohara, and Norimitsu Kadowaki. 2025. "Immune Checkpoint Inhibitor-Induced Insidiously Progressive, Fatal Interstitial Lung Disease" Journal of Personalized Medicine 15, no. 3: 115. https://doi.org/10.3390/jpm15030115
APA StyleKanaji, N., Watanabe, N., Inoue, T., Mizoguchi, H., Komori, Y., Ohara, Y., & Kadowaki, N. (2025). Immune Checkpoint Inhibitor-Induced Insidiously Progressive, Fatal Interstitial Lung Disease. Journal of Personalized Medicine, 15(3), 115. https://doi.org/10.3390/jpm15030115

