Ultraprotective Ventilation via ECCO2R in Three Patients Presenting an Air Leak: Is ECCO2R Effective?
Abstract
1. Introduction
2. Materials and Methods
3. Results
3.1. Baseline Results
3.2. ECCO2R Therapy and Ventilatory and Laboratory Parameters
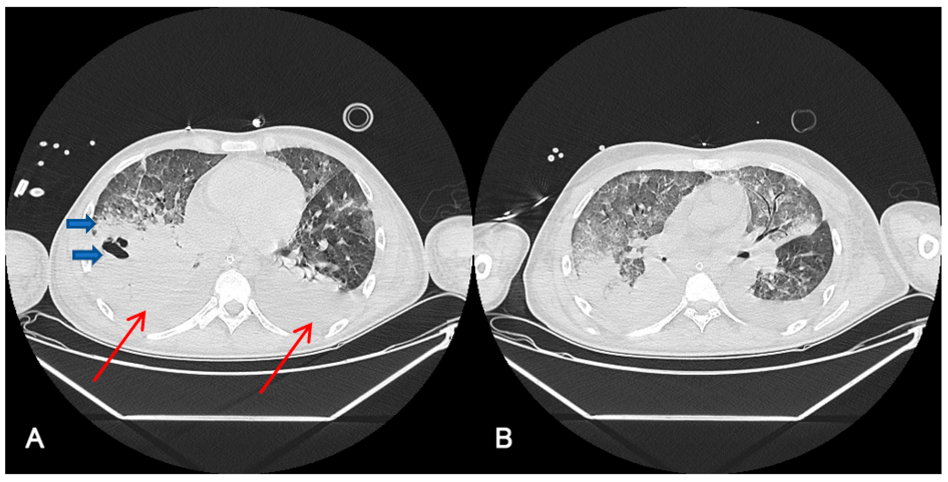
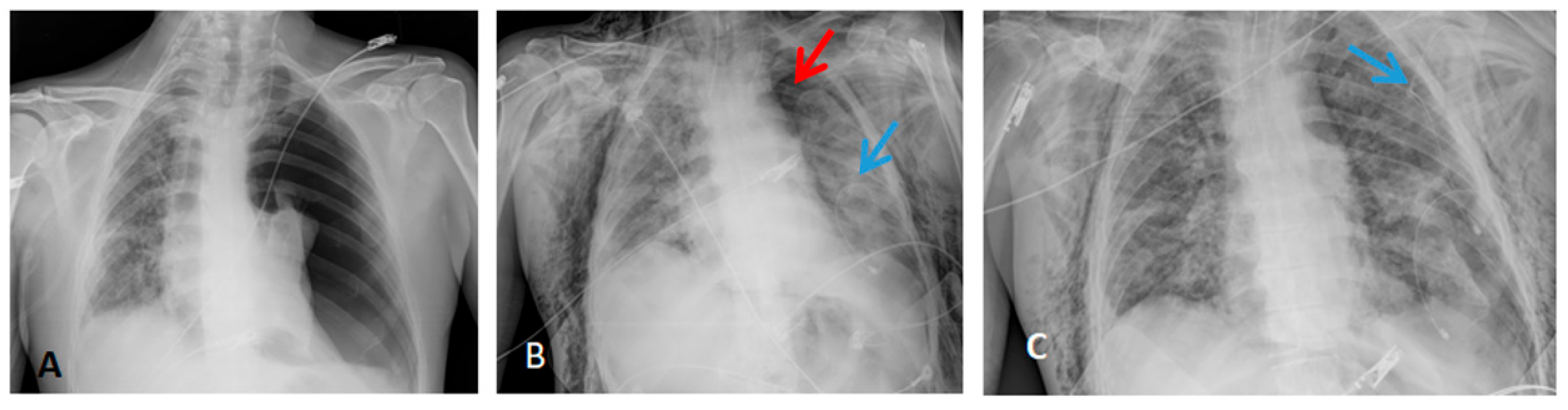
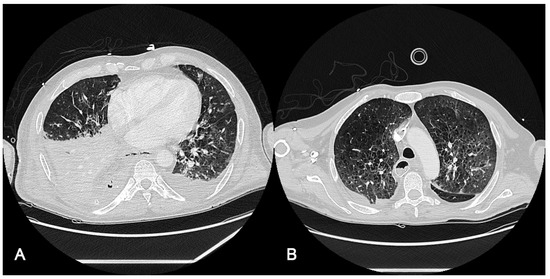
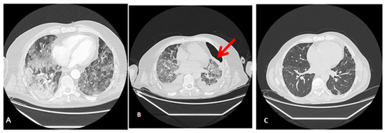
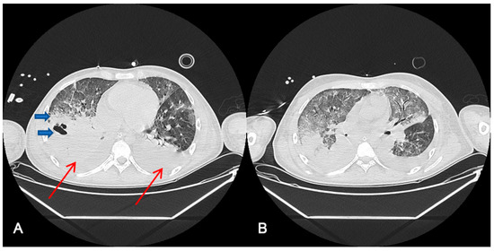
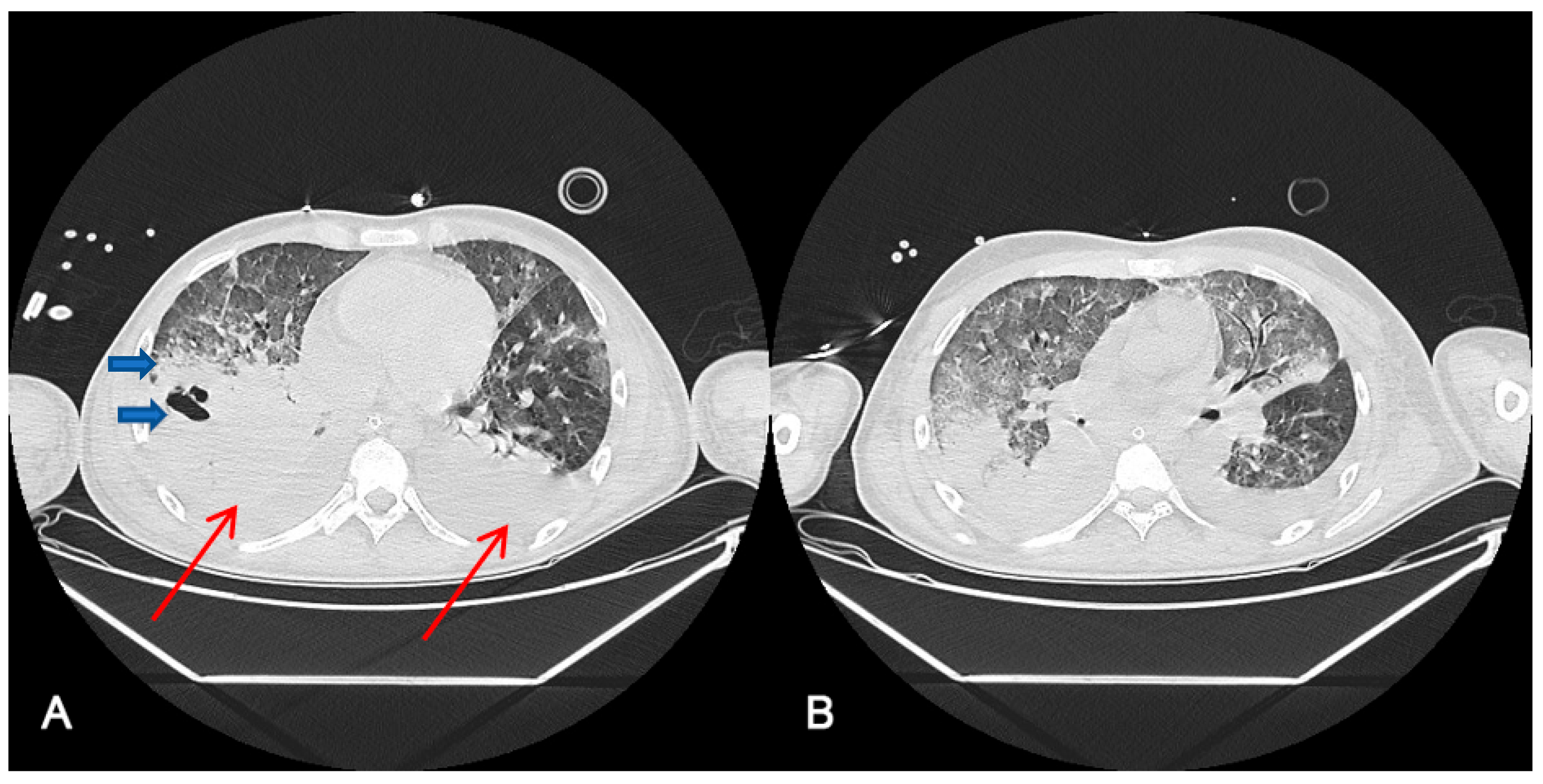
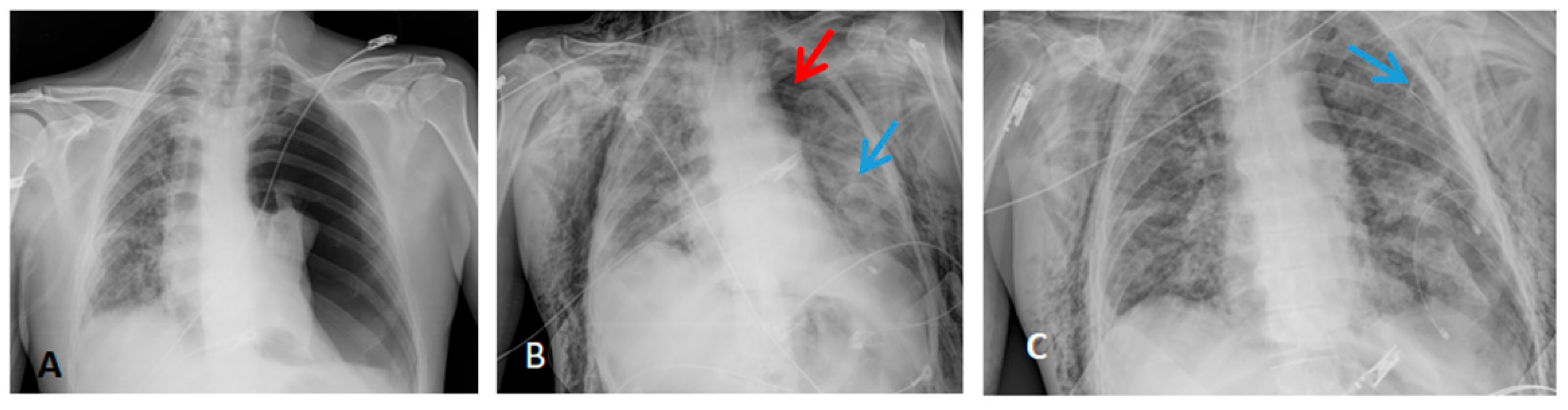
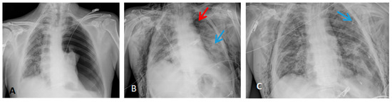
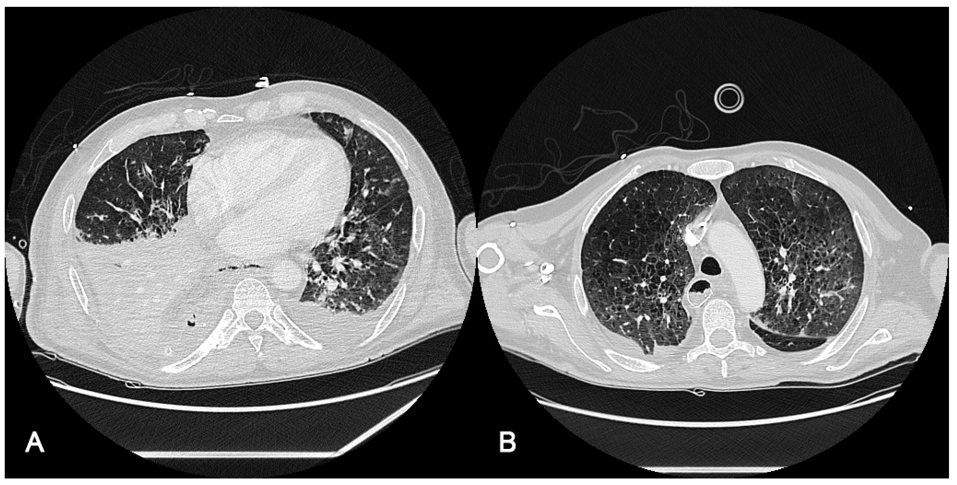
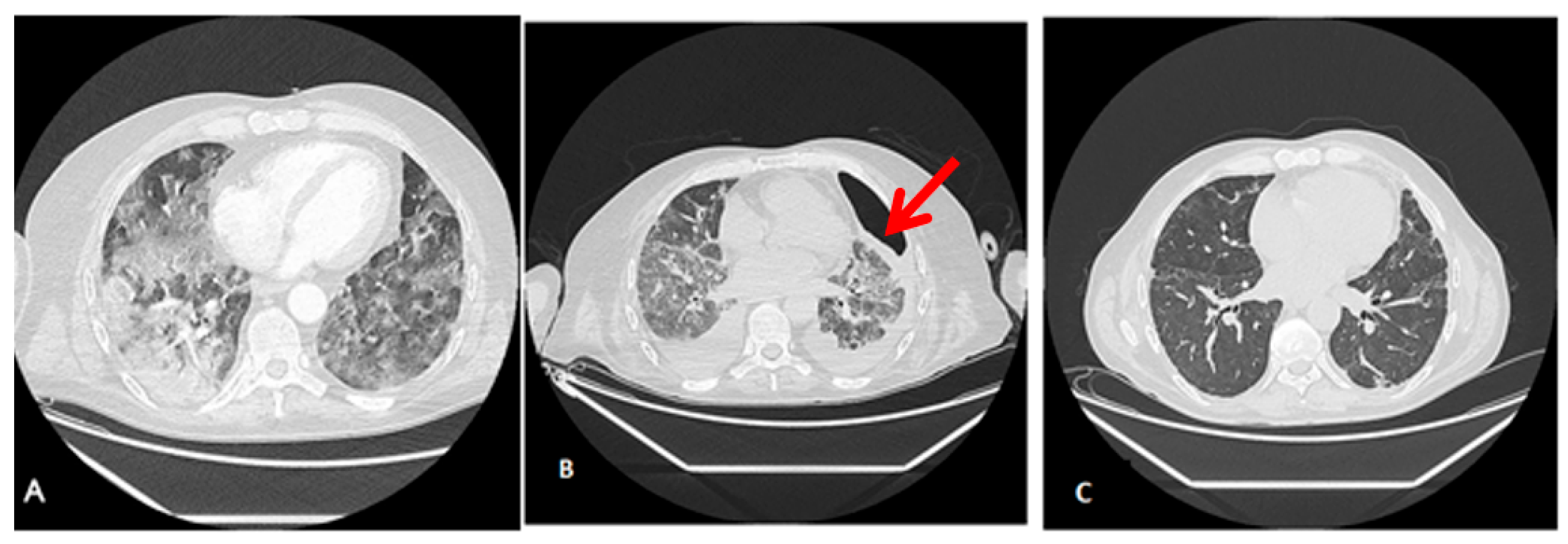
3.3. Radiological Findings
4. Discussion
5. Conclusions
Author Contributions
Funding
Institutional Review Board Statement
Informed Consent Statement
Data Availability Statement
Acknowledgments
Conflicts of Interest
References
- Terzi, E.; Zarogoulidis, K.; Kougioumtzi, I.; Dryllis, G.; Kioumis, I.; Pitsiou, G.; Machairiotis, N.; Katsikogiannis, N.; Lampaki, S.; Papaiwannou, A.; et al. Acute respiratory distress syndrome and pneumothorax. J. Thorac. Dis. 2014, 6 (Suppl. S4), S435–S442. [Google Scholar] [CrossRef]
- Dugan, K.C.; Laxmanan, B.; Murgu, S.; Hogarth, D.K. Management of Persistent Air Leaks. Chest 2017, 152, 417–423. [Google Scholar] [CrossRef]
- Acute Respiratory Distress Syndrome Network; Brower, R.G.; Matthay, M.A.; Morris, A.; Schoenfeld, D.; Thompson, B.T.; Wheeler, A.; Brower, R. Ventilation with lower tidal volumes as compared with traditional tidal volumes for acute lung injury and the acute respiratory distress syndrome. N. Engl. J. Med. 2000, 342, 1301–1308. [Google Scholar]
- Bellani, G.; Laffey, J.G.; Pham, T.; Fan, E.; Brochard, L.; Esteban, A.; Gattinoni, L.; van Haren, F.; Larsson, A.; LUNG SAFE Investigators; et al. Epidemiology, Patterns of Care, and Mortality for Patients With Acute Respiratory Distress Syndrome in Intensive Care Units in 50 Countries. JAMA 2016, 315, 788–800. [Google Scholar] [CrossRef]
- Gattinoni, L. Ultra-protective ventilation and hypoxemia. Crit. Care 2016, 20, 130. [Google Scholar] [CrossRef] [PubMed]
- Abrams, D.; Agerstrand, C.; Beitler, J.R.; Karagiannidis, C.; Madahar, P.; Yip, N.H.; Pesenti, A.; Slutsky, A.S.; Brochard, L.; Brodie, D. Risks and Benefits of Ultra-Lung- Protective Invasive Mechanical Ventilation Strategies with a Focus on Extracorporeal Support. Am. J. Respir. Crit. Care Med. 2022, 205, 873–882. [Google Scholar] [CrossRef] [PubMed]
- Fan, E.; Del Sorbo, L.; Goligher, E.C.; Hodgson, C.L.; Munshi, L.; Walkey, A.J.; Adhikari, N.K.J.; Amato, M.B.P.; Branson, R.; Brower, R.G.; et al. An official American Thoracic Society/European Society of Intensive Care Medicine/Society of Critical Care Medicine Clinical Practice Guideline: Mechanical ventilation in adult patients with acute respiratory distress syndrome. Am. J. Respir. Crit. Care Med. 2017, 195, 1253–1263. [Google Scholar] [CrossRef]
- Romagnoli, S.; Ricci, Z.; Ronco, C. Novel Extracorporeal Therapies for Combined Renal-Pulmonary Dysfunction. Semin. Nephrol. 2016, 36, 71–77. [Google Scholar] [CrossRef] [PubMed]
- Terragni, P.P.; Birocco, A.; Faggiano, C.; Ranieri, V.M. Extracorporeal CO2 removal. Contrib. Nephrol. 2010, 165, 185–196. [Google Scholar]
- Romay, E.; Ferrer, R. Extracorporeal CO2 removal: Technical and physiological fundaments and principal indications. Med. Intensiv. 2016, 40, 33–38. [Google Scholar] [CrossRef]
- Duscio, E.; Cipulli, F.; Vasques, F.; Collino, F.; Rapetti, F.; Romitti, F.; Behnemann, T.; Niewenhuys, J.; Tonetti, T.; Pasticci, I.; et al. Extracorporeal CO2 Removal: The Minimally Invasive Approach, Theory, and Practice. Crit. Care Med. 2019, 47, 33–40. [Google Scholar] [CrossRef] [PubMed]
- Fanelli, V.; Ranieri, M.V.; Mancebo, J.; Moerer, O.; Quintel, M.; Morley, S.; Moran, I.; Parrilla, F.; Costamagna, A.; Gaudiosi, M.; et al. Feasibility and safety of low-flow extracorporeal carbon dioxide removal to facilitate ultra-protective ventilation in patients with moderate acute respiratory distress sindrome. Crit. Care 2016, 20, 36. [Google Scholar] [CrossRef] [PubMed]
- Schmidt, M.; Jaber, S.; Zogheib, E.; Godet, T.; Capellier, G.; Combes, A. Feasibility and safety of low-flow extracorporeal CO2 removal managed with a renal replacement platform to enhance lung-protective ventilation of patients with mild-to-moderate ARDS. Crit. Care 2018, 22, 122. [Google Scholar] [CrossRef] [PubMed]
- Combes, A.; Fanelli, V.; Pham, T.; Ranieri, V.M. European Society of Intensive Care Medicine Trials Group and the “Strategy of Ultra-Protective lung ventilation with Extracorporeal CO2 Removal for New-Onset moderate to severe ARDS” (SUPERNOVA) investigators. Feasibility and safety of extracorporeal CO2 removal to enhance protective ventilation in acute respiratory distress syndrome: The SUPERNOVA study. Intensive Care Med. 2019, 45, 592–600. [Google Scholar]
- Pestaña, D.; Gomis, A.; de Pablo, R.; Tenorio, M.T. Extracorporeal carbon dioxide removal may prevent the need for extracorporeal membrane oxygenation in severe respiratory failure: A cohort study. Eur. J. Anaesthesiol. 2020, 37, 950–952. [Google Scholar] [CrossRef]
- Consales, G.; Zamidei, L.; Turani, F.; Atzeni, D.; Isoni, P.; Boscolo, G.; Saggioro, D.; Resta, M.V.; Ronco, C. Combined Renal-Pulmonary Extracorporeal Support with Low Blood Flow Techniques: A Retrospective Observational Study (CICERO Study). Blood Purif. 2022, 51, 299–308. [Google Scholar] [CrossRef]
- Leypoldt, J.K.; Kurz, J.; Echeverri, J.; Storr, M.; Harenski, K. Targeting arterial partial pressure of carbon dioxide in acute respiratory distress syndrome patients using extracorporeal carbon dioxide removal. Artif. Organs 2021, 46, 677–687. [Google Scholar] [CrossRef]
- Karagiannidis, C.; Strassmann, S.; Brodie, D.; Ritter, P.; Larsson, A.; Borchardt, R.; Windisch, W. Impact of membrane lung surface area and blood flow on extracorporeal CO2 removal during severe respiratory acidosis. Intensiv. Care Med. Exp. 2017, 5, 34. [Google Scholar] [CrossRef]
- Hospach, I.; Goldstein, J.; Harenski, K.; Laffey, J.G.; Pouchoulin, D.; Raible, M.; Votteler, S.; Storr, M. In vitro characterization of PrismaLung+: A novel ECCO2R device. Intensive Care Med. Exp. 2020, 8, 14. [Google Scholar] [CrossRef]
- King, C.S.; Sahjwani, D.; Brown, A.W.; Feroz, S.; Cameron, P.; Osborn, E.; Desai, M.; Djurkovic, S.; Kasarabada, A.; Hinerman, R.; et al. Outcomes of mechanically ventilated patients with COVID-19 associated respiratory failure. PLoS ONE 2020, 15, e0242651. [Google Scholar] [CrossRef]
- Weg, J.G.; Anzueto, A.; Balk, R.A.; Wiedemann, H.P.; Pattishall, E.N.; Schork, M.A.; Wagner, L.A. The relation of pneumothorax and other air leaks to mortality in the acute respiratory distress syndrome. N. Engl. J. Med. 1998, 338, 341–346. [Google Scholar] [CrossRef] [PubMed]
- Martínez-Escobar, S.; Ruiz-Bailén, M.; Lorente-Acosta, M.J.; Vicente-Rull, J.R.; Martínez-Coronel, J.F.; Rodríguez-Cuartero, A. Pleurodesis using autologous blood: A new concept in the management of persistent air leak in acute respiratory distress syndrome. J. Crit. Care 2006, 21, 209–216. [Google Scholar] [CrossRef]
- Pierson, D.J.; Hordon, C.A.; Bates, P.W. Persistent Bronchopleural Air Leak during Mechanical Ventilation. A review of 39 cases. Chest 1986, 90, 321–323. [Google Scholar] [CrossRef]
- Cho, M.H.; Malhotra, A.; Donahue, D.M.; Wain, J.C.; Harris, R.S.; Karmpaliotis, D.; Patel, S.R. Mechanical Ventilation and Air Leaks After Lung Biopsy for Acute Respiratory Distress Syndrome. Ann. Thorac. Surg. 2006, 82, 261–266. [Google Scholar] [CrossRef] [PubMed]
- Tiruvoipati, R.; Gupta, S.; Pilcher, D.; Bailey, M. Management of hypercapnia in critically ill mechanically ventilated patients—A narrative review of literature. J. Intensiv. Care Soc. 2020, 21, 327–333. [Google Scholar] [CrossRef]
- Terragni, P.; Faggiano, C.; Ranieri, V.M. Extracorporeal membrane oxygenation in adult patients with acute respiratory distress syndrome. Curr. Opin. Crit. Care 2014, 20, 86–91. [Google Scholar] [CrossRef] [PubMed]
- Kurman, J.S. Persistent air leak management in critically ill patients. J. Thorac. Dis. 2021, 13, 5223–5231. [Google Scholar] [CrossRef]
- Yarmus, L.; Feller-Kopman, D. Pneumothorax in the Critically Ill Patient. Chest 2012, 141, 1098–1105. [Google Scholar] [CrossRef]
- Grotberg, J.C.; Hyzy, R.C.; De Cardenas, J.; Co, I.N. Bronchopleural Fistula in the Mechanically Ventilated Patient: A Concise Review. Crit. Care Med. 2021, 49, 292–301. [Google Scholar] [CrossRef]
- Giraud, R.; Banfi, C.; Assouline, B.; De Charrière, A.; Cecconi, M.; Bendjelid, K. The use of extracorporeal CO2 removal in acute respiratory failure. Ann. Intensiv. Care 2021, 11, 43. [Google Scholar] [CrossRef]
- Munshi, L.; Brodie, D.; Fan, E. Extracorporeal Support for Acute Respiratory Distress Syndrome in Adults. NEJM Évid. 2022, 1. [Google Scholar] [CrossRef]
- Dianti, J.; McNamee, J.J.; Slutsky, A.S.; Fan, E.; Ferguson, N.D.; McAuley, D.F.; Goligher, E.C. Determinants of Effect of Extracorporeal CO2 Removal in Hypoxemic Respiratory Failure. NEJM Évid. 2023, 2. [Google Scholar] [CrossRef]




| Case 1 | Case 2 | Case 3 | Overall | |
|---|---|---|---|---|
| Reason for admission | Polytrauma | Esophagectomy | SARS-CoV-2 Delta | N.A. |
| Reason for ECCOR2 | ARDS+infection | Refractory hypercapnia | ARDS+infection | N.A. |
| Age, years Median (IqR) Range | 18 | 59 | 49 | 49 (25.8 to 56.5) 18 to 59 |
| Sex | Male | Male | Male | Male (100.0) |
| Weight (Kg) Median (IqR) Range | 60 | 80 | 80 | 80 (65 to 80) 60 to 80 |
| Comorbidities | No | ADC ** | No | N.A. |
| Inotropes | No | No | No | N.A. |
| Nitric Oxide | 6 ppm | No | 8 ppm | N.A. |
| Air leak | Yes * | >250 mL/min | 300 mL/min | N.A. |
| Air leak etiology | Secondary Spontaneous Pneumothorax | Iatrogenic pneumothorax due to surgery | Grade 3 persistent secondary spontaneous pneumothorax (coalesced bubbles) | N.A. |
| SOFA at Admission Median (IqR) Range | 5 | 3 | 3 | 3.0 (3.0 to 4.5) 3 to 5 |
| SOFA at ECCO2R start Median (IqR) Range | 6 | 12 | 9 | 9.0 (6.8 to 11.3) 6 to 12 |
| ECCO2R treatment, days Median (IqR) Range | 10 | 4 | 7 | 7.0 (4.8 to 9.3) 4 to 10 |
| Anticoagulation Heparin LMWH (bemiparine) | 10–13 UI/Kg/h 2500 UI (prophylaxis) | 7 UI/Kg/h 3500 UI (prophylaxis) | 5–10 UI/Kg/h *** After 48 h, 5000 UI/24 h | N.A. |
| CRRT | No | CVVHDF—Oxiris | No | N.A. |
| Main infection | Candiduria, Pseudomona | No infection detected | Staphylococcus, Klebsiella, Pseudomona, C. auris, Elizabethkingia meningoseptica | N.A. |
| Before | After 6 h ECCO2R | p a | |||||||
|---|---|---|---|---|---|---|---|---|---|
| Case 1 | Case 2 | Case 3 | Geometric Mean (95% CI) | Case 1 | Case 2 | Case 3 | Geometric Mean (95% CI) | ||
| pH | 7.2 | 7.14 | 7.33 | 7.22 (6.99 to 7.47) | 7.46 | 7.32 | 7.45 | 7.41 (7.22 to 7.61) | 0.0443 |
| pCO2, mmHg | 112 | 90 | 79 | 92.7 (59.8 to 143.7) | 49 | 52 | 49 | 50.0 (45.9 to 54.4) | 0.0285 |
| pO2, mmHg | 73 | 94 | 94 | 86.4 (60.1 to 124.2) | 161 | 83 | 118 | 116.4 (51.1 to 265.2) | 0.3800 |
| TV (mL) | 460 | 550 | 380 | 458.1 (289.4 to 725.2) | 380 | 380 | 300 | 351.2 (250.2 to 493.0) | 0.0384 |
| TV/weight(mL/kg) | 7.67 | 6.88 | 4.75 | 6.31 (3.38 to 11.77) | 6.3 | 4.75 | 3.75 | 4.82 (2.53 to 9.20) | 0.0364 |
| RF, pm | 20 | 17 | 18 | 18.3 (14.9 to 22.5) | 12 | 15 | 18 | 14.8 (8.9 to 24.5) | 0.3018 |
| PEEP, mmHg | 8 | 8 | 7 | 7.7 (6.3 to 9.3) | 10 | 6 | 7 | 7.5 (3.9 to 14.4) | 0.8977 |
| Leak, mL | N.A. | 250 | 300 | N.A. | N.A. | 180 | 100 | N.A. | N.A. |
| DP, mmHg | 24 | 15 | 10 | 15.3 (5.2 to 45.5) | 8 | 15 | 7 | 9.4 (3.4 to 25.9) | 0.2726 |
| FiO2, % | 80 | 70 | 80 | 76.5 (63.2 to 92.7) | 50 | 35 | 50 | 44.4 (26.6 to 70.1) | 0.0182 |
Disclaimer/Publisher’s Note: The statements, opinions and data contained in all publications are solely those of the individual author(s) and contributor(s) and not of MDPI and/or the editor(s). MDPI and/or the editor(s) disclaim responsibility for any injury to people or property resulting from any ideas, methods, instructions or products referred to in the content. |
© 2023 by the authors. Licensee MDPI, Basel, Switzerland. This article is an open access article distributed under the terms and conditions of the Creative Commons Attribution (CC BY) license (https://creativecommons.org/licenses/by/4.0/).
Share and Cite
Ferrer Gómez, C.; Gabaldón, T.; Hernández Laforet, J. Ultraprotective Ventilation via ECCO2R in Three Patients Presenting an Air Leak: Is ECCO2R Effective? J. Pers. Med. 2023, 13, 1081. https://doi.org/10.3390/jpm13071081
Ferrer Gómez C, Gabaldón T, Hernández Laforet J. Ultraprotective Ventilation via ECCO2R in Three Patients Presenting an Air Leak: Is ECCO2R Effective? Journal of Personalized Medicine. 2023; 13(7):1081. https://doi.org/10.3390/jpm13071081
Chicago/Turabian StyleFerrer Gómez, Carolina, Tania Gabaldón, and Javier Hernández Laforet. 2023. "Ultraprotective Ventilation via ECCO2R in Three Patients Presenting an Air Leak: Is ECCO2R Effective?" Journal of Personalized Medicine 13, no. 7: 1081. https://doi.org/10.3390/jpm13071081
APA StyleFerrer Gómez, C., Gabaldón, T., & Hernández Laforet, J. (2023). Ultraprotective Ventilation via ECCO2R in Three Patients Presenting an Air Leak: Is ECCO2R Effective? Journal of Personalized Medicine, 13(7), 1081. https://doi.org/10.3390/jpm13071081

