The Use of Collagen Matrix in the Treatment of Gingival Recession—A Pilot Study
Abstract
1. Introduction
2. Materials and Methods
2.1. Design of the Study and Patients’ Qualification
2.1.1. Eligibility Criteria
- Presence of at least one localized or multiple gingival recessions, according to Miller’s classification—class I and II;
- Cementoenamel junction was visible in the teeth qualified for the root coverage procedure;
- All patients were at least 18 years old.
- Smoking;
- Pregnancy;
- Allergy to collagen;
- Diabetes or any systemic disease which may affect the healing process of the oral mucosa;
- Taking steroids.
2.1.2. Clinical Measurements
2.1.3. Treatment
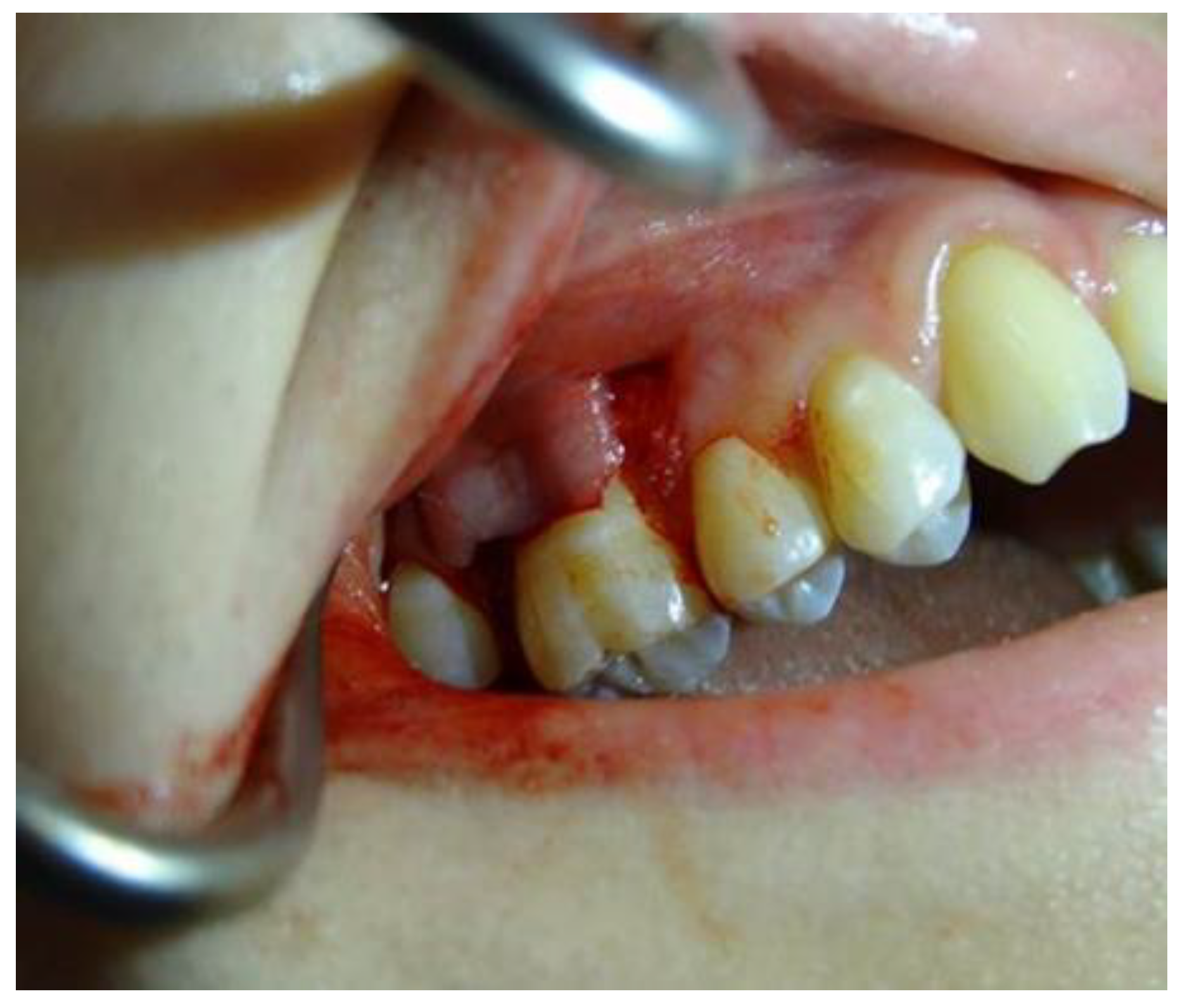
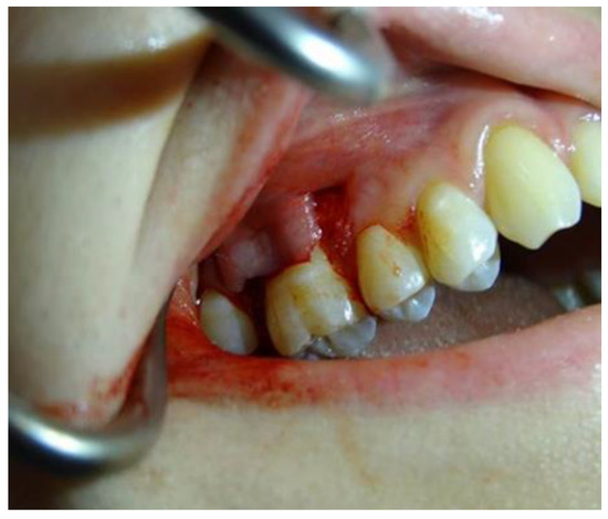
2.1.4. Surgical Procedures
2.2. Post-Surgical Protocol
2.2.1. Data Analysis
2.2.2. Statistical Analysis
3. Results
4. Discussion
5. Conclusions
Limitation of the Study
Author Contributions
Funding
Institutional Review Board Statement
Informed Consent Statement
Data Availability Statement
Conflicts of Interest
References
- Berlucchi, I.; Francetti, L.; Del Fabbro, M.; Basso, M.; Weinstein, R.L. The influence of anatomical features on the outcome of gingival recessions treated with coronally advanced flap and enamel matrix derivate: A 1-year postoperative study. J. Periodontol. 2005, 76, 899–907. [Google Scholar] [CrossRef] [PubMed]
- Cairo, F.; Pagliaro, U.; Nieri, M. Treatment of gingival recession with coronally advanced flap procedures. A systematic review. J. Periodontol. Suppl. 2008, 80, 136–162. [Google Scholar] [CrossRef] [PubMed]
- McGuire, M.K.; Scheyer, E.T. Xenogenic collagen matrix with coronally advanced flap compared to connective tissue with coronally advanced flap for the treatment of dehiscence-type recession defects. J. Periodontol. 2010, 81, 1108–1117. [Google Scholar] [CrossRef] [PubMed]
- Jati, A.S.; Furquim, L.Z.; Consolaro, A. Gingival recession: Its causes and types, and the importance of orthodontic treatment. Dent. Press J. Orthod. 2016, 21, 18–29. [Google Scholar] [CrossRef] [PubMed]
- Menceva, Z.; Dimitrovski, O.; Popovska, M.; Spasovski, S.; Spirov, V.; Petrushevska, G. Free Gingival Graft versus Mucograft: Histological Evaluation. Open Access Maced. J. Med. Sci. 2018, 6, 675–679. [Google Scholar] [CrossRef]
- Dominiak, M.; Mierzwa, D.; Puzio, M.; Gedrange, T. Clinical evaluation of the effectiveness of using a collagen matrix in gingival recession coverage-pilot study. J. Stoma 2012, 65, 184–197. [Google Scholar] [CrossRef]
- Stein, J.M.; Lintel-Höping, N.; Hammächer, C.; Kasaj, A.; Tamm, M.; Hanisch, O. The gingival biotype: Measurement of soft and hard tissue dimensions—A radiographic morphometric study. J. Clin. Periodontol. 2013, 40, 1132–1139. [Google Scholar] [CrossRef]
- Ainamo, J.; Bay, I. Problems and proposals for recording gingivitis and plaque. Int. Dent. J. 1975, 25, 229–235. [Google Scholar]
- Lange, D.E.; Plagmann, H.C.; Eenboom, A.; Promesberger, A. Klinische Bewertungsverahren zur Objektivierung der Mundhygiene [Clinical methods for the objective evaluation of oral hygiene]. Dtsch. Zahnarztl. Z. 1977, 32, 44–47. (In German) [Google Scholar]
- Bogut, A.; Magryś, A. Analysis of the bacterial biofilm formation in different models of the in vitro culture. Eur. J. Clin. Exp. Med. 2021, 19, 40–45. [Google Scholar] [CrossRef]
- McGuire, M.K.; Scheyer, E.T.; Nunn, M.E.; Lavin, P.T. A pilot study to evaluate a tissue-engineered bilayered cell theraphy as an alternative to tissue from the palate. J. Periodontol. 2008, 79, 1847–1856. [Google Scholar] [CrossRef] [PubMed]
- Cardaropoli, D.; Tamagnone, L.; Roffredo, A.; Gaveglio, L. Treatment of gingival recessions defects using coronally advanced flap with a porcine collagen matrix compared to coronally advanced flap with connective tissue graft: A randomized controlled clinical. J. Periodontol. 2012, 83, 321–328. [Google Scholar] [CrossRef] [PubMed]
- Dominiak, M.; Saczko, J.; Gerber, H.; Rybak, Z.; Gredes, T. Use of primary culture of human fibroblasts in gingiva augmentation procedure. Biomed. Tech. 2010, 55, 331–334. [Google Scholar] [CrossRef] [PubMed]
- Wolff, J.; Farré-Guasch, E.; Sándor, G.K.; Gibbs, S.; Jager, D.J.; Forouzanfar, T. Soft Tissue Augmentation Techniques and Materials Used in the Oral Cavity: An Overview. Implant. Dent. 2016, 25, 427–434. [Google Scholar] [CrossRef] [PubMed]
- de Resende, D.R.B.; Greghi, S.L.A.; Siqueira, A.F.; Benfatti, C.A.M.; Damante, C.A.; Ragghianti Zangrando, M.S. Acellular dermal matrixallograft versus free gingival graft: A histological evaluation and split-mouth randomized clinical trial. Clin. Oral Investig. 2019, 23, 539–550. [Google Scholar] [CrossRef] [PubMed]
- Suárez-López Del Amo, F.; Rodriguez, J.C.; Asa’ad, F.; Wang, H.L. Comparison of two soft tissue substitutes for the treatment of gingival recession defects: An animal histological study. J. Appl. Oral Sci. 2019, 27, e20180584. [Google Scholar] [CrossRef]
- Chambrone, L.; Tatakis, D.N. Long-term outcomes of untreated buccal gingival recessions: A systematic review and meta-analysis. J. Periodontol. 2016, 87, 796–808. [Google Scholar] [CrossRef]
- Dominiak, M.; Konopka, T.; Lompart, H.; Kubasiewicz, P.; Całka, K. Connective tissue graft and guided tis-sue regeneration in treatment of periodontium recession- long-term observation. Dent. Med. Probl. 2006, 43, 379–389. [Google Scholar]
- Górski, B.; Górska, R.; Wysokińska-Miszczuk, J.; Kaczyński, T. Tunnel technique with enamel matrix derivative in addition to subepithelial connective tissue graft compared with connective tissue graft alone for the treatment of multiple gingival recessions: A randomized clinical trial. Clin. Oral Investig. 2020, 24, 4475–4486. [Google Scholar] [CrossRef]
- Schmitt, C.M.; Moest, T.; Lutz, R.; Wehrhan, F.; Neukam, F.W.; Schlegel, K.A. Long-term outcomes after vestibuloplasty with a porcine collagen matrix (Mucograft®) versus the free gingival graft: A comparative prospective clinical trial. Clin. Oral Implant. Res. 2016, 27, e125–e133. [Google Scholar] [CrossRef]
- Rokn, A.; Zare, H.; Haddadi, P. Use of Mucograft Collagen Matrix® versus Free Gingival Graft to Augment Keratinized Tissue around Teeth: A Randomized Controlled Clinical Trial. Front. Dent. 2020, 17, 1–8. [Google Scholar] [CrossRef]
- Keceli, H.G.; Aylikci, B.U.; Koseoglu, S.; Dolgun, A. Evaluation of palatal donor site haemostasis and wound healing after free gingival graft surgery. J. Clin. Periodontol. 2015, 42, 582–589. [Google Scholar] [CrossRef] [PubMed]
- Shah, R.; Thomas, R.; Mehta, D.S. Recent modifications of free gingival graft: A case series. Contemp. Clin. Dent. 2015, 6, 425–427. [Google Scholar] [CrossRef]
- Caton, J.G.; Armitage, G.; Berglundh, T.; Chapple, I.L.C.; Jepsen, S.; Kornman, K.S.; Mealey, B.L.; Papapanou, P.N.; Sanz, M.; Tonetti, M.S. A new classification scheme for periodontal and peri-implant diseases and conditions—Introduction and key changes from the 1999 classification. J. Clin. Periodontol. 2018, 45, S1–S8. [Google Scholar] [CrossRef] [PubMed]
- Tonetti, M.S.; Cortellini, P.; Bonaccini, D.; Deng, K.; Cairo, F.; Allegri, M.; Conforti, G.; Graziani, F.; Guerrero, A.; Halben, J.; et al. Autologous connective tissue graft or xenogenic collagen matrix with coronally advanced flaps for coverage of multiple adjacent gingival recession. 36-month follow-up of a randomized multicentre trial. J. Clin. Periodontol. 2021, 48, 962–969. [Google Scholar] [CrossRef] [PubMed]
- Huang, J.P.; Liu, J.M.; Wu, Y.M.; Chen, L.L.; Ding, P.H. Efficacy of xenogeneic collagen matrix in the treatment of gingival recessions: A systematic review and meta-analysis. Oral Dis. 2019, 25, 996–1008. [Google Scholar] [CrossRef] [PubMed]




| Patient | Tooth Number | RD Before | RD After | RW Before | RW After | HKT Before | HKT After | GT Before | GT After |
|---|---|---|---|---|---|---|---|---|---|
| 1 | 24 | 6 | 3 | 5 | 4 | 2 | 4 | 2 | 3 |
| 25 | 5 | 2 | 5 | 4 | 4 | 6 | 2 | 3 | |
| 2 | 24 | 4 | 0 | 5 | 0 | 4 | 5 | 2 | 3 |
| 3 | 21 | 4 | 0 | 5 | 0 | 4 | 4 | 2 | 3 |
| 22 | 4 | 0 | 4 | 0 | 5 | 5 | 2 | 3 | |
| 11 | 3 | 0 | 6 | 0 | 2 | 4 | 2 | 3 | |
| 12 | 3 | 0 | 4 | 0 | 3 | 4 | 2 | 3 | |
| 13 | 3 | 0 | 4 | 0 | 4 | 4 | 2 | 3 | |
| 4 | 16 | 4 | 0 | 8 | 0 | 4 | 4 | 1.5 | 3 |
| 26 | 4 | 0 | 4 | 0 | 3 | 4 | 1.5 | 3 | |
| 5 | 31 | 5 | 0 | 3 | 0 | 1 | 3 | 1.5 | 3 |
| 6 | 13 | 4 | 0 | 7 | 0 | 4 | 5 | 2 | 3 |
| 14 | 4 | 2 | 5 | 4 | 1 | 4 | 2 | 3 | |
| 7 | 23 | 6 | 0 | 10 | 0 | 3 | 4 | 2 | 3 |
| 8 | 23 | 4 | 1 | 4 | 3 | 6 | 6 | 2 | 3 |
| 11 | 5 | 2 | 9 | 4 | 3 | 4 | 2 | 3 | |
| 9 | 21 | 4 | 1 | 9 | 4 | 2 | 3 | 2 | 3 |
| 42 | 4 | 0 | 3 | 2 | 3 | 4 | 2 | 2 | |
| 10 | 43 | 4 | 1 | 5 | 2 | 3 | 4 | 2 | 2 |
| 11 | 13 | 3 | 0 | 4 | 0 | 6 | 7 | 2 | 3 |
| 12 | 23 | 3 | 0 | 4 | 0 | 6 | 7 | 2 | 3 |
| 13 | 12 | 4 | 2 | 3 | 3 | 2 | 3 | 2 | 3 |
| 14 | 13 | 3 | 1 | 6 | 3 | 1 | 4 | 2 | 3 |
| N | % | ||
|---|---|---|---|
| Location | I quadrant | 10 | 43.48 |
| II quadrant | 10 | 43.48 | |
| III quadrant | 1 | 4.35 | |
| IV quadrant | 2 | 8.69 | |
| Tooth number | 1 | 5 | 21.74 |
| 2 | 4 | 17.39 | |
| 3 | 8 | 34.78 | |
| 4 | 3 | 13.04 | |
| 5 | 1 | 4.35 | |
| 6 | 2 | 8.70 | |
| maxilla | 20 | 86.96 | |
| mandible | 3 | 13.04 | |
| anterior teeth | 17 | 73.91 | |
| posterior teeth | 6 | 26.09 | |
| incisors | 9 | 39.13 | |
| canines | 8 | 34.78 | |
| premolars | 4 | 17.39 | |
| molars | 2 | 8.70 |
| N | % | ||
|---|---|---|---|
| Root coverage | total | 13 | 56.52 |
| partial | 10 | 43.48 |
| Localization | Total Root Coverage | Partial Root Coverage | |
|---|---|---|---|
| anterior teeth | 10 | 7 | Chi2Yate’s = 0.011 p = 0.917 |
| 58.82% | 41.18% | ||
| posterior teeth | 3 | 3 | |
| 50.00% | 50.00% | ||
| total | 13 | 10 |
| Value (mm) | M | Me | Min | Max | Q1 | Q3 | SD | |
|---|---|---|---|---|---|---|---|---|
| RD before | 4.04 | 4 | 3 | 6 | 3 | 4 | 0.88 | Z = 4.197 p < 0.001 |
| RD after | 0.65 | 0 | 0 | 3 | 0 | 1 | 0.93 | |
| RD difference before and after | 3.39 | 3 | 2 | 6 | 3 | 4 | 0.94 | – |
| RW before | 5.30 | 5 | 3 | 10 | 4 | 6 | 2.01 | Z = 4.107 p < 0.001 |
| RW after | 1.43 | 0 | 0 | 4 | 0 | 3 | 1.75 | |
| RW difference before and after | 3.87 | 4 | 0 | 10 | 1 | 5 | 2.46 | – |
| HKT before | 3.30 | 3 | 1 | 6 | 2 | 4 | 1.52 | Z = 3.724 p < 0.001 |
| HKT after | 4.43 | 4 | 3 | 7 | 4 | 5 | 1.12 | |
| HKT difference before and after | 1.13 | 1 | 0 | 3 | 1 | 2 | 0.87 | – |
| HKT % difference before and after | 62.32 | 33.33 | 0 | 300 | 16.67 | 50 | 87.03 | – |
| GT before | 1.93 | 2 | 1.5 | 2 | 2 | 2 | 0.17 | Z = 4.015 p < 0.001 |
| GT after | 2.91 | 3 | 2 | 3 | 3 | 3 | 0.29 | |
| GT difference before and after | 0.98 | 1 | 0 | 1.5 | 1 | 1 | 0.35 | – |
| GT % difference before and after | 52.17 | 50 | 0 | 100 | 50 | 50 | 23.73 | – |
Publisher’s Note: MDPI stays neutral with regard to jurisdictional claims in published maps and institutional affiliations. |
© 2022 by the authors. Licensee MDPI, Basel, Switzerland. This article is an open access article distributed under the terms and conditions of the Creative Commons Attribution (CC BY) license (https://creativecommons.org/licenses/by/4.0/).
Share and Cite
Pedowska, M.; Prokop, M.; Chałas, R.; Ptasiewicz, M. The Use of Collagen Matrix in the Treatment of Gingival Recession—A Pilot Study. J. Pers. Med. 2022, 12, 1902. https://doi.org/10.3390/jpm12111902
Pedowska M, Prokop M, Chałas R, Ptasiewicz M. The Use of Collagen Matrix in the Treatment of Gingival Recession—A Pilot Study. Journal of Personalized Medicine. 2022; 12(11):1902. https://doi.org/10.3390/jpm12111902
Chicago/Turabian StylePedowska, Marlena, Marta Prokop, Renata Chałas, and Maja Ptasiewicz. 2022. "The Use of Collagen Matrix in the Treatment of Gingival Recession—A Pilot Study" Journal of Personalized Medicine 12, no. 11: 1902. https://doi.org/10.3390/jpm12111902
APA StylePedowska, M., Prokop, M., Chałas, R., & Ptasiewicz, M. (2022). The Use of Collagen Matrix in the Treatment of Gingival Recession—A Pilot Study. Journal of Personalized Medicine, 12(11), 1902. https://doi.org/10.3390/jpm12111902

