Stereotactic Radiotherapy for Brain Metastases: Imaging Tools and Dosimetric Predictive Factors for Radionecrosis
Abstract
1. Introduction
2. Materials and Methods
3. Results
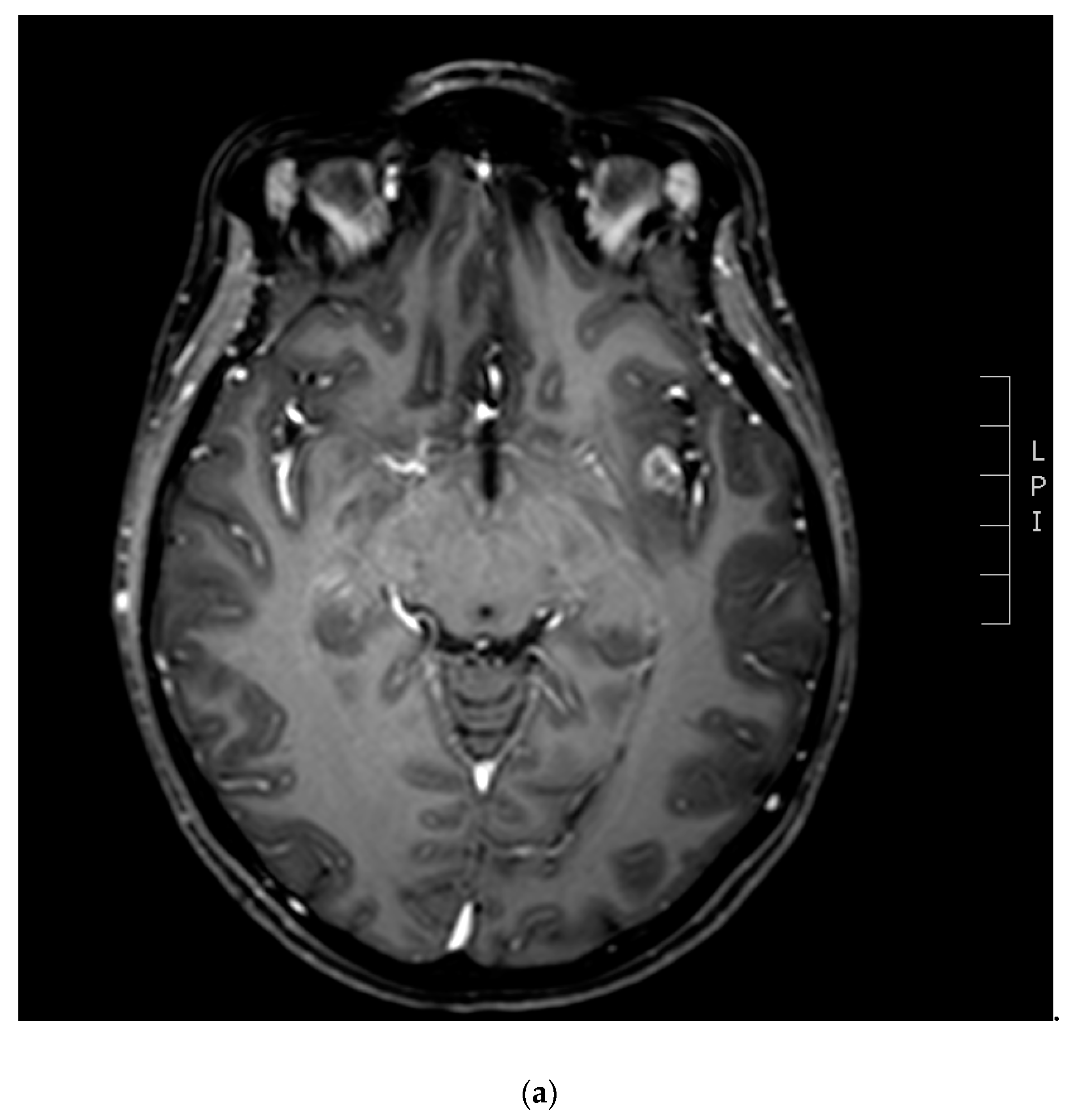
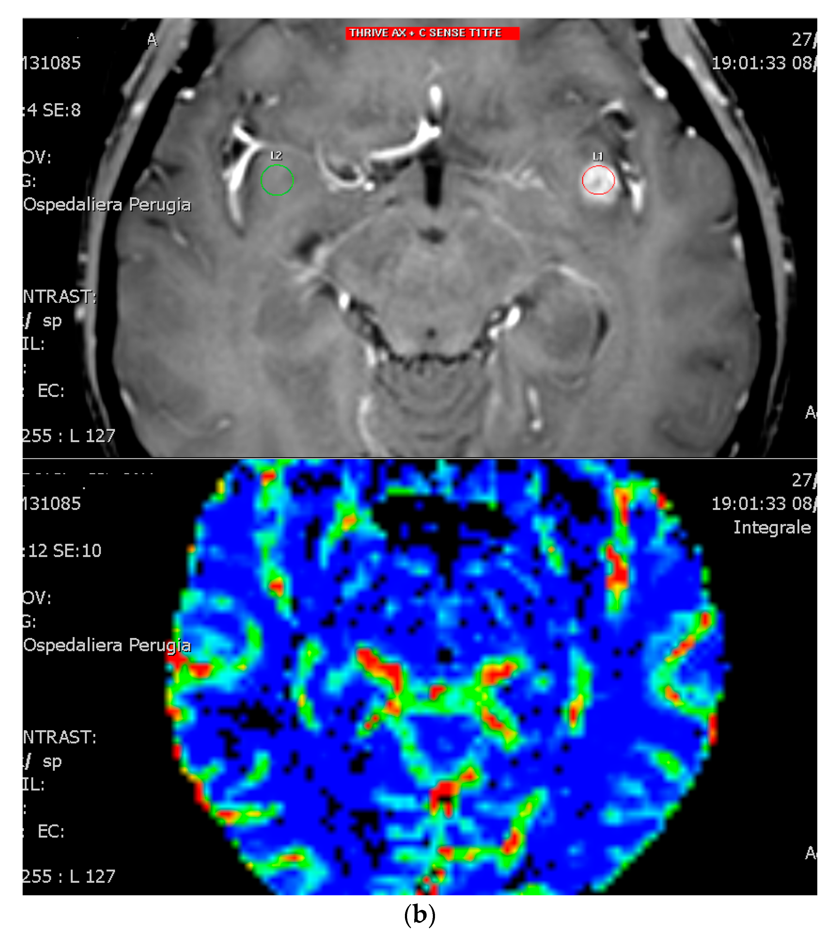
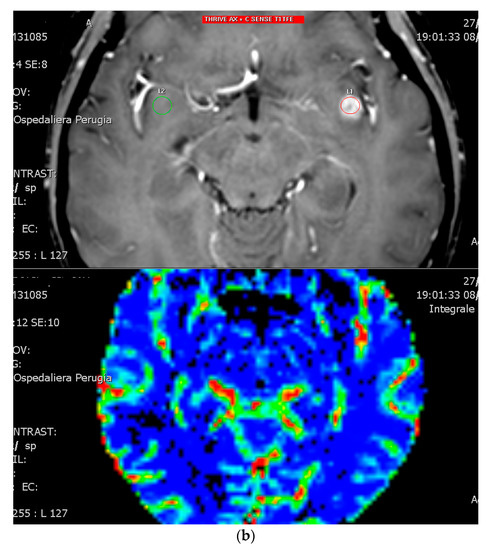
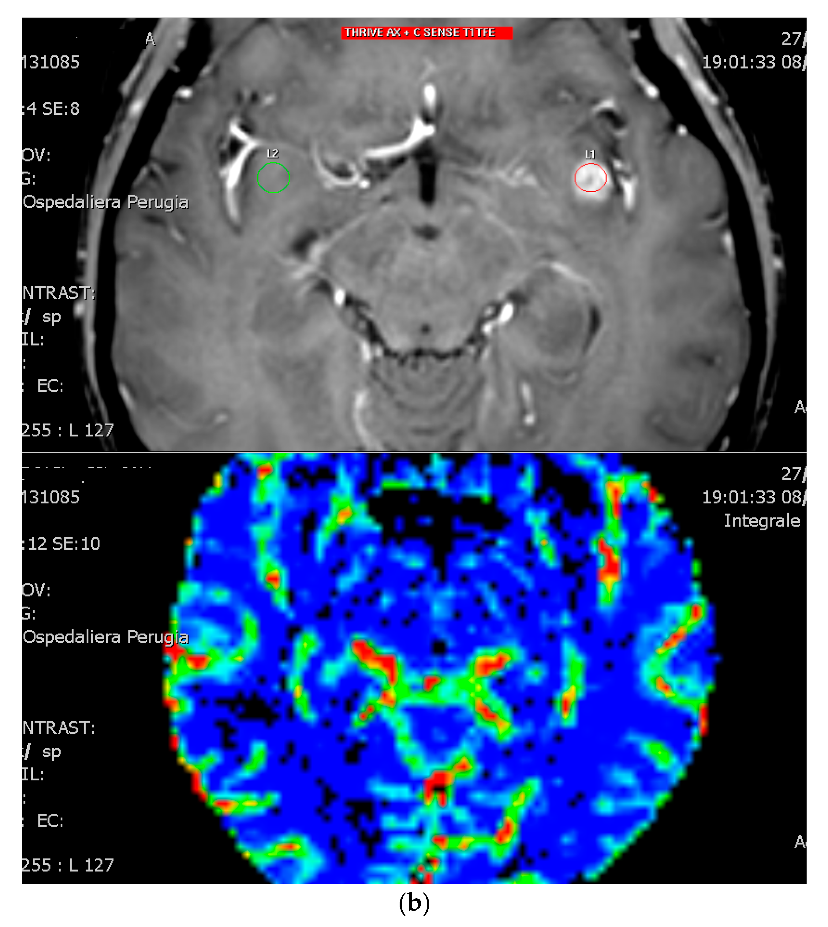
3.1. Diagnostic Imaging Tools in Radionecrosis
3.2. Diffusion and Perfusion MRI
3.3. Nuclear Medicine Imaging
3.4. SRS Dosimetric Parameters Related with RN
3.5. HSRT Dosimetric Parameters Related with RN
4. Conclusions
Author Contributions
Funding
Conflicts of Interest
References
- Rockhill, J.K.; Halasz, L.M. Stereotactic radiosurgery and stereotactic radiotherapy for brain metastases. Surg. Neurol. Int. 2013, 4, S185–S191. [Google Scholar] [CrossRef] [PubMed]
- Brown, P.D.; Ahluwalia, M.S.; Khan, O.H.; Asher, A.L.; Wefel, J.S.; Gondi, V. Whole-brain radiotherapy for brain metastases: Evolution or revolution? J. Clin. Oncol. 2018, 36, 483–491. [Google Scholar] [CrossRef] [PubMed]
- Le Rhun, E.; Dhermain, F.; Vogin, G.; Reyns, N.; Metellus, P. Radionecrosis after stereotactic radiotherapy for brain metastases. Expert Rev. Neurother. 2016, 16, 903–914. [Google Scholar] [CrossRef] [PubMed]
- Kocher, M.; Soffietti, R.; Abacioglu, U.; Villà, S.; Fauchon, F.; Baumert, B.G.; Fariselli, L.; Tzuk-Shina, T.; Kortmann, R.-D.; Carrie, C.; et al. Adjuvant whole-brain radiotherapy versus observation after radiosurgery or surgical resection of one to three cerebral metastases: Results of the EORTC 22952-26001 study. J. Clin. Oncol. 2011, 29, 134–141. [Google Scholar] [CrossRef]
- Aoyama, H.; Shirato, H.; Tago, M.; Nakagawa, K.; Toyoda, T.; Hatano, K.; Kenjyo, M.; Oya, N.; Hirota, S.; Shioura, H.; et al. Stereotactic radiosurgery plus whole-brain radiation therapy vs. stereotactic radiosurgery alone for treatment of brain metastases: A randomized controlled trial. JAMA 2006, 295, 2483–2491. [Google Scholar] [CrossRef]
- Moravan, M.J.; Fecci, P.E.; Anders, C.K.; Clarke, J.M.; Salama, A.K.S.; Adamson, J.D.; Floyd, S.R.; Torok, J.A.; Salama, J.K.; Sampson, J.H.; et al. Current multidisciplinary management of brain metastases. Cancer 2020, 126, 1390–1406. [Google Scholar] [CrossRef]
- Flickinger, J.C.; Lunsford, L.D.; Kondziolka, D. Dose-volume considerations in radiosurgery. Stereotact. Funct. Neurosurg. 1991, 57, 99–105. [Google Scholar] [CrossRef]
- Kleinberg, L.; Peng, L.; Grimm, J.; Gui, C.; Shen, C.J.; Redmond, K.J.; Sloan, L.; Hazell, S.; Moore, J.; Huang, E.; et al. Updated risk models demonstrate low risk of symptomatic radionecrosis following stereotactic radiosurgery for brain metastases. Surg Neurol Int. 2019, 10, 32. [Google Scholar] [CrossRef]
- Chin, L.S.; Ma, L.; DiBiase, S. Radiation necrosis following gamma knife surgery: A case-controlled comparison of treatment parameters and long-term clinical follow up. J. Neurosurg. 2001, 94, 899–904. [Google Scholar] [CrossRef]
- Nakamura, J.L.; Verhey, L.J.; Smith, V.; Petti, P.L.; Lamborn, K.R.; A Larson, D.; Wara, W.M.; McDermott, M.W.; Sneed, P.K. Dose conformity of gamma knife radiosurgery and risk factors for complications. Int. J. Radiat. Oncol. 2001, 51, 1313–1319. [Google Scholar] [CrossRef]
- Moher, D.; Liberati, A.; Tetzlaff, J.; Altman, D.G.; PRISMA Group. Preferred reporting items for systematic reviews and meta-analyses: The PRISMA statement. Ann. Intern. Med. 2009, 151, 264–269. [Google Scholar] [CrossRef] [PubMed]
- Verma, N.; Cowperthwaite, M.C.; Burnett, M.G.; Markey, M.K. Differentiating tumor recurrence from treatment necrosis: A review of neuro-oncologic imaging strategies. Neuro-Oncol. 2013, 15, 515–534. [Google Scholar] [CrossRef] [PubMed]
- Vellayappan, B.A.; Tan, C.L.; Yong, C.; Khor, L.K.; Koh, W.Y.; Yeo, T.T.; Detsky, J.; Lo, S.; Sahgal, A. Diagnosis and management of radiation necrosis in patients with brain metastases. Front. Oncol. 2018, 8, 395. [Google Scholar] [CrossRef] [PubMed]
- Shah, R.; Vattoth, S.; Jacob, R.; Manzil, F.F.P.; O’Malley, J.P.; Borghei, P.; Patel, B.N.; Cure, J.K. Radiation necrosis in the brain: Imaging features and differentiation from tumor recurrence. RadioGraphics 2012, 32, 1343–1359. [Google Scholar] [CrossRef]
- Dequesada, I.M.; Quisling, R.G.; Yachnis, A.; Friedman, W.A. Can standard magnetic resonance imaging reliably distinguish recurrent tumor from radiation necrosis after radiosurgery for brain metastases? A radiographic-pathological study. Neurosurgery 2008, 63, 898–904. [Google Scholar] [CrossRef]
- Stockham, A.L.; Tievsky, A.L.; Koyfman, S.A.; Reddy, C.A.; Suh, J.H.; Vogelbaum, M.A.; Barnett, G.H.; Chao, S.T. Conventional MRI does not reliably distinguish radiation necrosis from tumor recurrence after stereotactic radiosurgery. J. Neuro-Oncol. 2012, 109, 149–158. [Google Scholar] [CrossRef]
- Beaulieu, C. The basis of anisotropic water diffusion in the nervous system—A technical review. NMR Biomed. 2002, 15, 435–455. [Google Scholar] [CrossRef]
- Kashimura, H.; Inoue, T.; Beppu, T.; Ogasawara, K.; Ogawa, A. Diffusion tensor imaging for differentiation of recurrent brain tumor and radiation necrosis after radiotherapy—Three case reports. Clin. Neurol. Neurosurg. 2007, 109, 106–110. [Google Scholar] [CrossRef]
- Xu, J.-L.; Li, Y.-L.; Lian, J.-M.; Dou, S.-W.; Yan, F.-S.; Wu, H.; Shi, D.-P. Distinction between postoperative recurrent glioma and radiation injury using MR diffusion tensor imaging. Neuroradiology 2010, 52, 1193–1199. [Google Scholar] [CrossRef]
- Sundgren, P.; Fan, X.; Weybright, P.; Welsh, R.C.; Carlos, R.C.; Petrou, M.; McKeever, P.E.; Chenevert, T.L. Differentiation of recurrent brain tumor versus radiation injury using diffusion tensor imaging in patients with new contrast-enhancing lesions. Magn. Reson. Imaging 2006, 24, 1131–1142. [Google Scholar] [CrossRef]
- Chao, S.T.; Ahluwalia, M.S.; Barnett, G.H.; Stevens, G.H.; Murphy, E.S.; Stockham, A.L.; Shiue, K.; Suh, J.H. Challenges with the diagnosis and treatment of cerebral radiation necrosis. Int. J. Radiat. Oncol. Biol. Phys. 2013, 87, 449–457. [Google Scholar] [CrossRef]
- Mitsuya, K.; Nakasu, Y.; Horiguchi, S.; Harada, H.; Nishimura, T.; Bando, E.; Okawa, H.; Furukawa, Y.; Hirai, T.; Endo, M. Perfusion weighted magnetic resonance imaging to distinguish the recurrence of metastatic brain tumors from radiation necrosis after stereotactic radiosurgery. J. Neuro-Oncol. 2010, 99, 81–88. [Google Scholar] [CrossRef] [PubMed]
- Barajas, R.F.; Chang, J.S.; Sneed, P.K.; Segal, M.; McDermott, M.; Cha, S. Distinguishing recurrent intra-axial metastatic tumor from radiation necrosis following gamma knife radiosurgery using dynamic susceptibility-weighted contrast-enhanced perfusion MR imaging. Am. J. Neuroradiol. 2009, 30, 367–372. [Google Scholar] [CrossRef] [PubMed]
- Weybright, P.; Sundgren, P.C.; Malý, P.; Hassan, D.G.; Nan, B.; Rohrer, S.; Junck, L. Differentiation between brain tumor recurrence and radiation injury using MR spectroscopy. Am. J. Roentgenol. 2005, 185, 1471–1476. [Google Scholar] [CrossRef] [PubMed]
- Glaudemans, A.W.; Enting, R.H.; Heesters, M.A.; Dierckx, R.A.J.O.; Van Rheenen, R.W.J.; Walenkamp, A.M.E.; Slart, R.H.J.A. Value of 11C-methionine PET in imaging brain tumours and metastases. Eur. J. Nucl. Med. Mol. Imaging 2013, 40, 615–635. [Google Scholar] [CrossRef] [PubMed]
- Garcia, J.R.; Cozar, M.; Baquero, M.; Fernández Barrionuevo, J.M.; Jaramillo, A.; Rubio, J.; Maida, G.; Soler, M.; Riera, E. The value of 11C-methionine PET in the early differentiation between tumour recurrence and radionecrosis in patients treated for a high-grade glioma and indeterminate MRI. Rev. Esp. Med. Nucl. Imagen Mol. 2017, 36, 85–90. [Google Scholar]
- Furuse, M.; Nonoguchi, N.; Yamada, K.; Shiga, T.; Combes, J.-D.; Ikeda, N.; Kawabata, S.; Kuroiwa, T.; Miyatake, S.-I. Radiological diagnosis of brain radiation necrosis after cranial irradiation for brain tumor: A systematic review. Radiat. Oncol. 2019, 14, 28. [Google Scholar] [CrossRef]
- Minniti, G.; Clarke, E.; Lanzetta, G.; Osti, M.F.; Trasimeni, G.; Bozzao, A.; Romano, A.; Enrici, R.M. Stereotactic radiosurgery for brain metastases: Analysis of outcome and risk of brain radionecrosis. Radiat. Oncol. 2011, 6, 48. [Google Scholar] [CrossRef]
- Donovan, E.K.; Parpia, S.; Greenspoon, J.N. Incidence of radionecrosis in single-fraction radiosurgery compared with fractionated radiotherapy in the treatment of brain metastasis. Curr. Oncol. 2019, 26, e328–e333. [Google Scholar] [CrossRef]
- Williams, B.J.; Suki, D.; Fox, B.D.; Pelloski, C.E.; Maldaun, M.V.C.; Sawaya, R.E.; Lang, F.F.; Rao, G. Stereotactic radiosurgery for metastatic brain tumors: A comprehensive review of complications. J. Neurosurg. 2009, 111, 439–448. [Google Scholar] [CrossRef]
- Voges, J.; Treuer, H.; Sturm, V.; Büchner, C.; Lehrke, R.; Kocher, M.; Staar, S.; Kuchta, J.; Müller, R.-P. Risk analysis of linear accelerator radiosurgery. Int. J. Radiat. Oncol. Biol. Phys. 1996, 36, 1055–1063. [Google Scholar] [CrossRef]
- Korytko, T.; Radivoyevitch, T.; Colussi, V.; Wessels, B.W.; Pillai, K.; Maciunas, R.J.; Einstein, D.B. 12 Gy gamma knife radiosurgical volume is a predictor for radiation necrosis in non-AVM intracranial tumors. Int. J. Radiat. Oncol. Biol. Phys. 2006, 64, 419–424. [Google Scholar] [CrossRef] [PubMed]
- Blonigen, B.J.; Steinmetz, R.D.; Levin, L.; Lamba, M.A.; Warnick, R.E.; Breneman, J.C. Irradiated Volume as a Predictor of Brain Radionecrosis After Linear Accelerator Stereotactic Radiosurgery. Int. J. Radiat. Oncol. Biol. Phys. 2010, 77, 996–1001. [Google Scholar] [CrossRef] [PubMed]
- Shaw, E.; Scott, C.; Souhami, L.; DiNapoli, R.; Kline, R.; Loeffler, J.; Farnan, N. Single dose radiosurgical treatment of recurrent previously irradiated primary brain tumors and brain metastases: Final report of RTOG protocol 90-05. Int. J. Radiat. Oncol. Biol. Phys. 2000, 47, 291–298. [Google Scholar] [CrossRef]
- Sneed, P.K.; Mendez, J.; Hoek, J.G.M.V.-V.D.; Seymour, Z.A.; Ma, L.; Molinaro, A.M.; Fogh, S.E.; Nakamura, J.L.; McDermott, M.W. Adverse radiation effect after stereotactic radiosurgery for brain metastases: Incidence, time course, and risk factors. J. Neurosurg. 2015, 123, 373–386. [Google Scholar] [CrossRef]
- Ohtakara, K.; Hayashi, S.; Nakayama, N.; Ohe, N.; Yano, H.; Iwama, T.; Hoshi, H. Significance of target location relative to the depth from the brain surface and high-dose irradiated volume in the development of brain radionecrosis after micromultileaf collimator-based stereotactic radiosurgery for brain metastases. J. Neuro-Oncol. 2012, 108, 201–209. [Google Scholar] [CrossRef]
- Kohutek, Z.A.; Yamada, Y.; Chan, T.A.; Brennan, C.; Tabar, V.; Gutin, P.H.; Yang, T.J.; Rosenblum, M.K.; Ballangrud, Å.; Young, R.J.; et al. Long-term risk of radionecrosis and imaging changes after stereotactic radiosurgery for brain metastases. J. Neuro-Oncol. 2015, 125, 149–156. [Google Scholar] [CrossRef]
- Giubilei, C.; Ingrosso, G.; D’Andrea, M.; Benassi, M.; Santoni, R. Hypofractionated stereotactic radiotherapy in combination with whole brain radiotherapy for brain metastases. J. Neuro-Oncol. 2009, 91, 207–212. [Google Scholar] [CrossRef]
- Brenner, D.J.; Martel, M.K.; Hall, E.J. Fractionated regimens for stereotactic radiotherapy of recurrent tumors in the brain. Int. J. Radiat. Oncol. Biol. Phys. 1991, 21, 819–824. [Google Scholar] [CrossRef]
- Minniti, G.; Esposito, V.; Clarke, E.; Scaringi, C.; Bozzao, A.; Falco, T.; De Sanctis, V.; Enrici, M.M.; Valeriani, M.; Osti, M.F.; et al. Fractionated stereotactic radiosurgery for patients with skull base metastases from systemic cancer involving the anterior visual pathway. Radiat. Oncol. 2014, 9, 110. [Google Scholar] [CrossRef]
- Aoyama, H.; Shirato, H.; Onimaru, R.; Kagei, K.; Ikeda, J.; Ishii, N.; Sawamura, Y.; Miyasaka, K. Hypofractionated stereotactic radiotherapy alone without whole-brain irradiation for patients with solitary and oligo brain metastasis using noninvasive fixation of the skull. Int. J. Radiat. Oncol. Biol. Phys. 2003, 56, 793–800. [Google Scholar] [CrossRef]
- Ernst-Stecken, A.; Ganslandt, O.; Lambrecht, U.; Sauer, R.; Grabenbauer, G. Phase II trial of hypofractionated stereotactic radiotherapy for brain metastases: Results and toxicity. Radiother. Oncol. 2006, 81, 18–24. [Google Scholar] [CrossRef] [PubMed]
- Fahrig, A.; Ganslandt, O.; Lambrecht, U.; Grabenbauer, G.; Kleinert, G.; Sauer, R.; Hamm, K. Hypofractionated stereotactic radiotherapy for brain metastases—Results from three different dose concepts. Strahlenther. Onkol. 2007, 183, 625–630. [Google Scholar] [CrossRef] [PubMed]
- Kim, Y.J.; Cho, K.H.; Kim, J.Y.; Lim, Y.; Min, H.; Kim, H.; Gwak, H.; Yoo, H.; Lee, S. Single dose vs. fractionated stereotactic radiotherapy for brain metastases. Int. J. Radiat. Oncol. Biol. Phys. 2011, 81, 483–489. [Google Scholar] [CrossRef]
- Fokas, E.; Henzel, M.; Surber, G.; Kleinert, G.; Hamm, K.; Engenhart-Cabillic, R. Stereotactic radiosurgery and fractionated stereotactic radiotherapy: Comparison of efficacy and toxicity in 260 patients with brain metastases. J. Neuro-Oncol. 2012, 109, 91–98. [Google Scholar] [CrossRef] [PubMed]
- Minniti, G.; D’Angelillo, R.M.; Scaringi, C.; Trodella, L.E.; Clarke, E.; Matteucci, P.; Osti, M.F.; Ramella, S.; Enrici, R.M.; Trodella, L. Fractionated stereotactic radiosurgery for patients with brain metastases. J. Neuro-Oncol. 2014, 117, 295–301. [Google Scholar] [CrossRef]
- Inoue, H.K.; Sato, H.; Seto, K.; Torikai, K.; Suzuki, Y.; Saitoh, J.-I.; Noda, S.-E.; Nakano, T. Five-fraction CyberKnife radiotherapy for large brain metastases in critical areas: Impact on the surrounding brain volumes circumscribed with a single dose equivalent of 14 Gy (V14) to avoid radiation necrosis. J. Radiat. Res. 2014, 55, 334–342. [Google Scholar] [CrossRef]
- Minniti, G.; Scaringi, C.; Paolini, S.; Lanzetta, G.; Romano, A.; Cicone, F.; Osti, M.F.; Enrici, R.M.; Esposito, V. Single-Fraction versus multifraction (3 × 9 Gy) stereotactic radiosurgery for large (>2 cm) brain metastases: A comparative analysis of local control and risk of radiation-induced brain necrosis. Int. J. Radiat. Oncol. Biol. Phys. 2016, 95, 1142–1148. [Google Scholar] [CrossRef]
- Akanda, Z.Z.; Hong, W.; Nahavandi, S.; Haghighi, N.; Phillips, C.; Kok, D.L. Post-operative stereotactic radiosurgery following excision of brain metastases: A systematic review and meta-analysis. Radiother. Oncol. 2020, 142, 27–35. [Google Scholar] [CrossRef]
- Tanenbaum, D.G.; Buchwald, Z.S.; Jhaveri, J.; Schreibmann, E.; Switchenko, J.M.; Prabhu, R.S.; Chowdhary, M.; Abugideiri, M.; Pfister, N.T.; Eaton, B.; et al. Dosimetric factors related to radiation necrosis after 5-fraction radiosurgery for patients with resected brain metastases. Pract. Radiat. Oncol. 2020, 10, 36–43. [Google Scholar] [CrossRef]
- Doré, M.; Martin, S.; Delpon, G.; Clément, K.; Campion, L.; Thillays, F. Stereotactic radiotherapy following surgery for brain metastasis: Predictive factors for local control and radionecrosis. Cancer Radiother. 2017, 21, 4–9. [Google Scholar] [CrossRef] [PubMed]
- Hettal, L.; Stefani, A.; Salleron, J.; Courrech, F.; Behm-Ansmant, I.; Constans, J.M.; Gauchotte, G.; Vogin, G. Radiomics method for the differential diagnosis of radionecrosis versus progression after fractionated stereotactic body radiotherapy for brain oligometastasis. Radiat. Res. 2020, 193, 471–480. [Google Scholar] [CrossRef] [PubMed]


| No of pts/no of Lesions | Location | Median PTV (Range) [cm3] | Median Total Dose (Range) [Gy] | V12 Value/Risk of RN | V10 Value/Risk of RN | Isodose Line Prescription | Location Grade/Risk of RN | Median Follow-Up (mo) | RN | S-RN | |
|---|---|---|---|---|---|---|---|---|---|---|---|
| Minniti 2011 [28] | 206/310 | NA | 2.81 (0.2–23.7) | 18 (15–20) | >8.5 cc/>10% | >10.2 cc/24% | 80–90% | NA | 9.4 (2–42) | 24% | 10% |
| Ohtakara 2012 [36] | 57/131 | NA | 0.52 (0.03–8.73) | 22 (11–27) | >8.4 cc (ROC analysis) | NA | 80% | p < 0.001 | 18.2 (7–45.9) | 15.3% | 6.9% |
| Blonigen 2010 [33] | 63/173 | NA | Mean 0.52 | 18 (12–22) | >7.8 cc/34% | >10.4 cc/34% | 80% | NA | 13.7 (3.5–51) | 14% | 10% |
| Kohutek 2015 [37] | 160/271 | 0.5 (0.04–47) | 21 (15–22) | NA | NA | 80% | NA | 17.2 (1.7–67.9) | 25.8% | 17.3% | |
| Korytko 2006 [32] | 129/198 | NA | 17.3 (11–25) | 5–10 cc/20% | NA | 50% | NA | NA | NA | NA |
| No of pts/no of Lesions | Median PTV (Range) [cc] | Median Total Dose (Range) [Gy] | V18 Value/Risk of RN | V21 Value/Risk of RN | V4 Value/Risk of RN | Isodose Line Prescription | Median Follow-Up (mo) | RN | S-RN | |
|---|---|---|---|---|---|---|---|---|---|---|
| Minniti 2016 [48] | 138/289 | 17.9 (5.6–54) | 27 (9 × 3) | ≤30.2/5%; >30.2/14% | NA | NA | 80–90% | 29 | 2.89% | 5% |
| Minniti 2014 [46] | 135/171 | 16.4 (3.4–62.7) | 27 (9 × 3) (≥2 cm); 36 (12 × 3) (<2 cm) | ≥26.2/14%; <26.2/4% | ≥20.9/14%; <20.9/4% | NA | 80–90% | 11.4 | 9% (1 yr); 18% (2 yr) | NA |
| Doré 2016 [51] | 95/97 | 12.9 (0.8–64.7) | 23.1 (7.7 × 3) | NA | Median 5 cc; p = 0.010 | NA | 70% | 17 (0.6–76) | 20.6% | NA |
| Ernst-Stecken 2006 [42] | 51/2 | 13 (1.70–95.97) | 30 (6 × 5); 35 (7 × 5) | NA | NA | >23 cc; p = 0.001 | 90% | 7 | NA | NA |
© 2020 by the authors. Licensee MDPI, Basel, Switzerland. This article is an open access article distributed under the terms and conditions of the Creative Commons Attribution (CC BY) license (http://creativecommons.org/licenses/by/4.0/).
Share and Cite
Lupattelli, M.; Alì, E.; Ingrosso, G.; Saldi, S.; Fulcheri, C.; Borghesi, S.; Tarducci, R.; Aristei, C. Stereotactic Radiotherapy for Brain Metastases: Imaging Tools and Dosimetric Predictive Factors for Radionecrosis. J. Pers. Med. 2020, 10, 59. https://doi.org/10.3390/jpm10030059
Lupattelli M, Alì E, Ingrosso G, Saldi S, Fulcheri C, Borghesi S, Tarducci R, Aristei C. Stereotactic Radiotherapy for Brain Metastases: Imaging Tools and Dosimetric Predictive Factors for Radionecrosis. Journal of Personalized Medicine. 2020; 10(3):59. https://doi.org/10.3390/jpm10030059
Chicago/Turabian StyleLupattelli, Marco, Emanuele Alì, Gianluca Ingrosso, Simonetta Saldi, Christian Fulcheri, Simona Borghesi, Roberto Tarducci, and Cynthia Aristei. 2020. "Stereotactic Radiotherapy for Brain Metastases: Imaging Tools and Dosimetric Predictive Factors for Radionecrosis" Journal of Personalized Medicine 10, no. 3: 59. https://doi.org/10.3390/jpm10030059
APA StyleLupattelli, M., Alì, E., Ingrosso, G., Saldi, S., Fulcheri, C., Borghesi, S., Tarducci, R., & Aristei, C. (2020). Stereotactic Radiotherapy for Brain Metastases: Imaging Tools and Dosimetric Predictive Factors for Radionecrosis. Journal of Personalized Medicine, 10(3), 59. https://doi.org/10.3390/jpm10030059

