Sudden Cardiac Death in Pregnant Women—Literature Review and Autopsy Findings
Abstract
1. Introduction
2. Relevant Sections
2.1. Causes of SCD in Pregnant Women
2.2. Etiology and Risk Factors of Sudden Maternal Death
2.3. New Perspectives on Sudden Cardiac Death in Pregnancy
2.4. Applications of Molecular Biology in Sudden Cardiac Death in Pregnancy
2.5. Prevention of SCD and Detection of Incipient Ischemia
2.6. Sudden Maternal Death—Autopsy Findings in Our Forensic Service
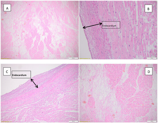
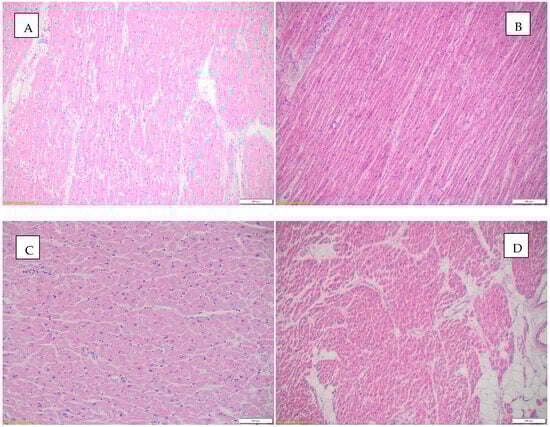
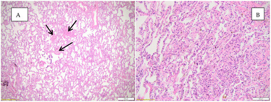
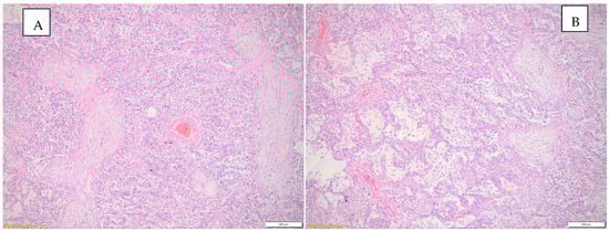
2.6.1. Case Presentation No. 1
2.6.2. Case Presentation No. 2
3. Discussion
4. Conclusions and Future Directions
Author Contributions
Funding
Institutional Review Board Statement
Informed Consent Statement
Data Availability Statement
Acknowledgments
Conflicts of Interest
References
- Ramlakhan, K.P.; Johnson, M.R.; Roos-Hesselink, J.W. Pregnancy and cardiovascular disease. Nat. Rev. Cardiol. 2020, 17, 718–731. [Google Scholar] [CrossRef] [PubMed]
- Regitz-Zagrosek, V.; Roos-Hesselink, J.W.; Bauersachs, J.; Blomström-Lundqvist, C.; Cífková, R.; De Bonis, M.; Iung, B.; Johnson, M.R.; Kintscher, U.; Kranke, P.; et al. 2018 ESC Guidelines for the management of cardiovascular diseases during pregnancy. Eur. Heart J. 2018, 39, 3165–3241. [Google Scholar] [CrossRef] [PubMed]
- Risgaard, B. Sudden cardiac death: A nationwide cohort study among the young. Dan. Med. J. 2016, 63, B5321. [Google Scholar] [PubMed]
- Radu, I.; Farcas, A.O.; Nyulas, V.; Radu, C.C.; Brinzaniuc, K. Sudden Cardiac Death-Etiology, Risk Factors and Demographic Characteristics: An Extensive Study of 1618 Forensic Autopsies. Diseases 2024, 12, 168. [Google Scholar] [CrossRef] [PubMed] [PubMed Central]
- Empana, J.P.; Lerner, I.; Valentin, E.; Folke, F.; Böttiger, B.; Gislason, G.; Jonsson, M.; Ringh, M.; Beganton, F.; Bougouin, W.; et al. Incidence of Sudden Cardiac Death in the European Union. J. Am. Coll. Cardiol. 2022, 79, 1818–1827. [Google Scholar] [CrossRef] [PubMed]
- Tfelt-Hansen, J.; Garcia, R.; Albert, C.; Merino, J.; Krahn, A.; Marijon, E.; Basso, C.; Wilde, A.A.M.; Haugaa, K.H. Risk stratification of sudden cardiac death: A review. Europace 2023, 25, euad203. [Google Scholar] [CrossRef] [PubMed] [PubMed Central]
- Writing Group Members; Mozaffarian, D.; Benjamin, E.J.; Go, A.S.; Arnett, D.K.; Blaha, M.J.; Cushman, M.; Das, S.R.; de Ferranti, S.; Després, J.P.; et al. Executive Summary: Heart Disease and Stroke Statistics—2016 Update: A Report from the American Heart Association. Circulation 2016, 133, 447–454. [Google Scholar] [CrossRef] [PubMed]
- Tomaselli, G.F. Introduction to a compendium on sudden cardiac death: Epidemiology, mechanisms, and management. Circ. Res. 2015, 116, 1883–1886. [Google Scholar] [CrossRef] [PubMed] [PubMed Central]
- Creanga, A.A.; Syverson, C.; Seed, K.; Callaghan, W.M. Pregnancy-Related Mortality in the United States, 2011–2013. Obstet. Gynecol. 2017, 130, 366–373. [Google Scholar] [CrossRef] [PubMed] [PubMed Central]
- Martin, J.A.; Hamilton, B.E.; Osterman, M.J.K.; Driscoll, A.K. Births: Final Data for 2018. Natl. Vital Stat. Rep. 2019, 68, 1–47. [Google Scholar] [PubMed]
- World Population Review. Maternal Mortality Rate by Country. Available online: https://worldpopulationreview.com/country-rankings/maternal-mortality-rate-by-country (accessed on 18 December 2023).
- Vadysinghe, A.N.; Jayasooriya, R.P.; Gunatilake, G.K.K.; Sivasubramanium, M. Unexpected sudden death in pregnancy-arrhythmogenic right ventricular cardiomyopathy/dysplasia: A case report. Forensic Sci. Res. 2017, 2, 161–163. [Google Scholar] [CrossRef] [PubMed] [PubMed Central]
- Sheppard, M.N.; Westaby, J.; Zullo, E.; Fernandez, B.V.E.; Cox, S.; Cox, A. Sudden arrhythmic death and cardiomyopathy are important causes of sudden cardiac death in the UK: Results from a national coronial autopsy database. Histopathology 2023, 82, 1056–1066. [Google Scholar] [CrossRef] [PubMed]
- Hayashi, M.; Shimizu, W.; Albert, C.M. The spectrum of epidemiology underlying sudden cardiac death. Circ. Res. 2015, 116, 1887–1906. [Google Scholar] [CrossRef] [PubMed] [PubMed Central]
- Semsarian, C.; Ingles, J. Molecular autopsy in victims of inherited arrhythmias. J. Arrhythm. 2016, 32, 359–365. [Google Scholar] [CrossRef] [PubMed] [PubMed Central]
- Markwerth, P.; Bajanowski, T.; Tzimas, I.; Dettmeyer, R. Sudden cardiac death-update. Int. J. Leg. Med. 2021, 135, 483–495. [Google Scholar] [CrossRef] [PubMed] [PubMed Central]
- Radu, I.; Farcas, A.O.; Voidazan, S.; Radu, C.C.; Brinzaniuc, K. Is Lung Disease a Risk Factor for Sudden Cardiac Death? A Comparative Case-Control Histopathological Study. Diseases 2025, 13, 8. [Google Scholar] [CrossRef] [PubMed] [PubMed Central]
- Braund, S.; Leviel, J.; Morau, E.; Deneux-Tharaux, C.; Verspyck, E.; ENCMM Study Group. Maternal sudden death: A nationwide retrospective study. BJOG 2023, 130, 257–263. [Google Scholar] [CrossRef] [PubMed] [PubMed Central]
- Krexi, D.; Sheppard, M.N. Cardiovascular causes of maternal sudden death. Sudden arrhythmic death syndrome is leading cause in UK. Eur. J. Obstet. Gynecol. Reprod. Biol. 2017, 212, 155–159. [Google Scholar] [CrossRef] [PubMed]
- McKenna, W.J.; Maron, B.J.; Thiene, G. Classification, Epidemiology, and Global Burden of Cardiomyopathies. Circ. Res. 2017, 121, 722–730. [Google Scholar] [CrossRef] [PubMed]
- Iorgoveanu, C.; Zaghloul, A.; Ashwath, M. Peripartum cardiomyopathy: A review. Heart Fail. Rev. 2021, 26, 1287–1296. [Google Scholar] [CrossRef] [PubMed] [PubMed Central]
- Schaufelberger, M. Cardiomyopathy and pregnancy. Heart 2019, 105, 1543–1551. [Google Scholar] [CrossRef] [PubMed] [PubMed Central]
- Farrell, A.S.; Kuller, J.A.; Goldstein, S.A.; Dotters-Katz, S.K. Peripartum Cardiomyopathy. Obstet. Gynecol. Surv. 2021, 76, 485–492. [Google Scholar] [CrossRef] [PubMed]
- Magnusson, P.; Kihlström, G.; Wallhagen, M.; Rambaree, K. Life-threatening peripartum cardiomyopathy-Not expected when expecting. Clin. Case Rep. 2019, 7, 1127–1132. [Google Scholar] [CrossRef] [PubMed] [PubMed Central]
- Hoevelmann, J.; Hähnle, L.; Hähnle, J.; Sliwa, K.; Viljoen, C. Detection and management of arrhythmias in peripartum cardiomyopathy. Cardiovasc. Diagn. Ther. 2020, 10, 325–335. [Google Scholar] [CrossRef] [PubMed] [PubMed Central]
- Karaye, K.M.; Yahaya, I.A.; Lindmark, K.; Henein, M.Y. Serum selenium and ceruloplasmin in nigerians with peripartum cardiomyopathy. Int. J. Mol. Sci. 2015, 16, 7644–7654. [Google Scholar] [CrossRef] [PubMed] [PubMed Central]
- Bültmann, B.D.; Klingel, K.; Näbauer, M.; Wallwiener, D.; Kandolf, R. High prevalence of viral genomes and inflammation in peripartum cardiomyopathy. Am. J. Obstet. Gynecol. 2005, 193, 363–365. [Google Scholar] [CrossRef] [PubMed]
- Davis, M.B.; Arany, Z.; McNamara, D.M.; Goland, S.; Elkayam, U. Peripartum Cardiomyopathy: JACC State-of-the-Art Review. J. Am. Coll. Cardiol. 2020, 75, 207–221. [Google Scholar] [CrossRef] [PubMed]
- Troiano, N.H. Cardiomyopathy During Pregnancy. J. Perinat. Neonatal Nurs. 2015, 29, 222–228. [Google Scholar] [CrossRef] [PubMed]
- Bala, R.; Mehta, S.; Roy, V.C.; Kaur, G.; de Marvao, A. Peripartum cardiomyopathy: A review. Rev. Port. Cardiol. 2023, 42, 917–924. [Google Scholar] [CrossRef] [PubMed]
- Jha, N.; Jha, A.K. Peripartum cardiomyopathy. Heart Fail. Rev. 2021, 26, 781–797. [Google Scholar] [CrossRef] [PubMed]
- Moolla, M.; Mathew, A.; John, K.; Yogasundaram, H.; Alhumaid, W.; Campbell, S.; Windram, J. Outcomes of pregnancy in women with hypertrophic cardiomyopathy: A systematic review. Int. J. Cardiol. 2022, 359, 54–60. [Google Scholar] [CrossRef] [PubMed]
- Shrikhande, L.; Shrikhande, A.; Shrikhande, B. Peripartum Cardiomyopathy. J. Obstet. Gynaecol. India 2022, 72, 377–381. [Google Scholar] [CrossRef] [PubMed] [PubMed Central]
- Banmala, S.; Awal, S.; Bata, L.; Adhikari, P.; Basnet, S.; Chaudhary, B. Heart failure due to peripartum cardiomyopathy presenting in the first week of puerperium-A case series from Nepal. Clin. Case Rep. 2024, 12, e9043. [Google Scholar] [CrossRef] [PubMed] [PubMed Central]
- Bauersachs, J.; Arrigo, M.; Hilfiker-Kleiner, D.; Veltmann, C.; Coats, A.J.; Crespo-Leiro, M.G.; De Boer, R.A.; van der Meer, P.; Maack, C.; Mouquet, F.; et al. Current management of patients with severe acute peripartum cardiomyopathy: Practical guidance from the Heart Failure Association of the European Society of Cardiology Study Group on peripartum cardiomyopathy. Eur. J. Heart Fail. 2016, 18, 1096–1105. [Google Scholar] [CrossRef] [PubMed]
- Agir, A.; Bozyel, S.; Celikyurt, U.; Argan, O.; Yilmaz, I.; Karauzum, K.; Vural, A. Arrhythmogenic right ventricular cardiomyopathy in pregnancy. Int. Heart J. 2014, 55, 372–376. [Google Scholar] [CrossRef] [PubMed][Green Version]
- Basso, C.; Corrado, D.; Marcus, F.I.; Nava, A.; Thiene, G. Arrhythmogenic right ventricular cardiomyopathy. Lancet 2009, 373, 1289–1300. [Google Scholar] [CrossRef] [PubMed]
- Yin, K.; Ding, L.; Li, Y.; Hua, W. Long-term follow-up of arrhythmogenic right ventricular cardiomyopathy patients with an implantable cardioverter-defibrillator for prevention of sudden cardiac death. Clin. Cardiol. 2017, 40, 216–221. [Google Scholar] [CrossRef] [PubMed] [PubMed Central]
- Silvestri, V.; Mazzesi, G.; Mele, R. Postpartum aortic dissection. A case report and review of literature. Int. J. Surg. Case Rep. 2019, 56, 101–106. [Google Scholar] [CrossRef] [PubMed] [PubMed Central]
- Srettabunjong, S. Spontaneous rupture of acute ascending aortic dissection in a young pregnant woman: A sudden unexpected death. Forensic Sci. Int. 2013, 232, e5–e8. [Google Scholar] [CrossRef] [PubMed]
- Coulon, C. Thoracic aortic aneurysms and pregnancy. Presse Med. 2015, 44, 1126–1135. [Google Scholar] [CrossRef] [PubMed]
- Byard, R.W. Pregnancy-associated aortopathy and sudden postpartum death. Forensic Sci. Med. Pathol. 2023, 19, 266–268. [Google Scholar] [CrossRef] [PubMed] [PubMed Central]
- Bush, N.; Nelson-Piercy, C.; Spark, P.; Kurinczuk, J.J.; Brocklehurst, P.; Knight, M.; UKOSS. Myocardial infarction in pregnancy and postpartum in the UK. Eur. J. Prev. Cardiol. 2013, 20, 12–20. [Google Scholar] [CrossRef] [PubMed]
- James, A.H.; Jamison, M.G.; Biswas, M.S.; Brancazio, L.R.; Swamy, G.K.; Myers, E.R. Acute myocardial infarction in pregnancy: A United States population-based study. Circulation 2006, 113, 1564–1571. [Google Scholar] [CrossRef] [PubMed]
- Michaelis, T.; Gunaga, S.; McKechnie, T.; Shafiq, Q. Acute Myocardial Infarction in a Patient with Twin Pregnancy: A Case Report. Clin. Pract. Cases Emerg. Med. 2021, 5, 507–510. [Google Scholar] [CrossRef] [PubMed] [PubMed Central]
- Balgobin, C.A.; Zhang, X.; Lima, F.V.; Avila, C.; Parikh, P.B.; Yang, J.; Stergiopoulos, K. Risk Factors and Timing of Acute Myocardial Infarction Associated With Pregnancy: Insights from the National Inpatient Sample. J. Am. Heart Assoc. 2020, 9, e016623. [Google Scholar] [CrossRef] [PubMed] [PubMed Central]
- Lameijer, H.; Lont, M.C.; Buter, H.; van Boven, A.J.; Boonstra, P.W.; Pieper, P.G. Pregnancy-related myocardial infarction. Neth. Heart J. 2017, 25, 365–369. [Google Scholar] [CrossRef] [PubMed] [PubMed Central]
- Roth, A.; Elkayam, U. Acute myocardial infarction associated with pregnancy. J. Am. Coll. Cardiol. 2008, 52, 171–180. [Google Scholar] [CrossRef] [PubMed]
- Thornburg, K.L.; Jacobson, S.L.; Giraud, G.D.; Morton, M.J. Hemodynamic changes in pregnancy. Semin. Perinatol. 2000, 24, 11–14. [Google Scholar] [CrossRef] [PubMed]
- Khaing, P.H.; Buchanan, G.L.; Kunadian, V. Diagnostic Angiograms and Percutaneous Coronary Interventions in Pregnancy. Interv. Cardiol. 2020, 15, e04. [Google Scholar] [CrossRef] [PubMed] [PubMed Central]
- Merlo, A.C.; Rosa, G.M.; Porto, I. Pregnancy-related acute myocardial infarction: A review of the recent literature. Clin. Res. Cardiol. 2022, 111, 723–731. [Google Scholar] [CrossRef] [PubMed] [PubMed Central]
- Edupuganti, M.M.; Ganga, V. Acute myocardial infarction in pregnancy: Current diagnosis and management approaches. Indian. Heart J. 2019, 71, 367–374. [Google Scholar] [CrossRef] [PubMed] [PubMed Central]
- Smilowitz, N.R.; Gupta, N.; Guo, Y.; Zhong, J.; Weinberg, C.R.; Reynolds, H.R.; Bangalore, S. Acute Myocardial Infarction During Pregnancy and the Puerperium in the United States. Mayo Clin. Proc. 2018, 93, 1404–1414. [Google Scholar] [CrossRef] [PubMed] [PubMed Central]
- Alameh, A.; Jabri, A.; Aleyadeh, W.; Nasser, F.; Al Abdouh, A.; Kondapaneni, M.; Gulati, M.; Mattina, D.; Singh, K.; Hargrave, J.; et al. Pregnancy-Associated Myocardial Infarction: A Review of Current Practices and Guidelines. Curr. Cardiol. Rep. 2021, 23, 142. [Google Scholar] [CrossRef] [PubMed]
- Mehta, L.S.; Beckie, T.M.; DeVon, H.A.; Grines, C.L.; Krumholz, H.M.; Johnson, M.N.; Lindley, K.J.; Vaccarino, V.; Wang, T.Y.; Watson, K.E.; et al. American Heart Association Cardiovascular Disease in Women and Special Populations Committee of the Council on Clinical Cardiology, Council on Epidemiology and Prevention, Council on Cardiovascular and Stroke Nursing, and Council on Quality of Care and Outcomes Research. Acute Myocardial Infarction in Women: A Scientific Statement from the American Heart Association. Circulation 2016, 133, 916–947. [Google Scholar] [CrossRef] [PubMed]
- Cauldwell, M.; Baris, L.; Roos-Hesselink, J.W.; Johnson, M.R. Ischaemic heart disease and pregnancy. Heart 2019, 105, 189–195. [Google Scholar] [CrossRef] [PubMed]
- Bezgin, T.; Geçmen, Ç.; Erden, I.; Esen, A.M. Pregnancy-associated myocardial infarction: Case report and review of the literature. Herz 2014, 39, 530–533. [Google Scholar] [CrossRef] [PubMed]
- Elkayam, U.; Jalnapurkar, S.; Barakkat, M.N.; Khatri, N.; Kealey, A.J.; Mehra, A.; Roth, A. Pregnancy-associated acute myocardial infarction: A review of contemporary experience in 150 cases between 2006 and 2011. Circulation 2014, 129, 1695–1702. [Google Scholar] [CrossRef] [PubMed]
- EUGenMed Cardiovascular Clinical Study Group; Regitz-Zagrosek, V.; Oertelt-Prigione, S.; Prescott, E.; Franconi, F.; Gerdts, E.; Foryst-Ludwig, A.; Maas, A.H.; Kautzky-Willer, A.; Knappe-Wegner, D.; et al. Gender in cardiovascular diseases: Impact on clinical manifestations, management, and outcomes. Eur. Heart J. 2016, 37, 24–34. [Google Scholar] [CrossRef] [PubMed]
- Luciano, A.; Cerimele, C.; Mecchia, D.; Mozzani, M.; Steffani, S.; D’Errico, F.; Di Donna, C.; De Stasio, V.; Garaci, F.; Chiocchi, M. The role of cardiac computed tomography in diagnostic and prognostic assessment of pregnancy related spontaneous coronary artery dissection: A case report. Oxf. Med. Case Rep. 2024, 2024, omae030. [Google Scholar] [CrossRef] [PubMed] [PubMed Central]
- Ito, H.; Taylor, L.; Bowman, M.; Fry, E.T.; Hermiller, J.B.; Van Tassel, J.W. Presentation and therapy of spontaneous coronary artery dissection and comparisons of postpartum versus nonpostpartum cases. Am. J. Cardiol. 2011, 107, 1590–1596. [Google Scholar] [CrossRef] [PubMed]
- Faden, M.S.; Bottega, N.; Benjamin, A.; Brown, R.N. A nationwide evaluation of spontaneous coronary artery dissection in pregnancy and the puerperium. Heart 2016, 102, 1974–1979. [Google Scholar] [CrossRef] [PubMed]
- Vongbunyong, K.; Chua, F.; Ghashghaei, R. Pregnancy-related spontaneous coronary artery dissection: A rare cause of acute coronary syndrome in the third trimester. BMC Cardiovasc. Disord. 2023, 23, 292. [Google Scholar] [CrossRef] [PubMed] [PubMed Central]
- Yip, A.; Saw, J. Spontaneous coronary artery dissection-A review. Cardiovasc. Diagn. Ther. 2015, 5, 37–48. [Google Scholar] [CrossRef] [PubMed] [PubMed Central]
- Saw, J.; Mancini, G.B.J.; Humphries, K.H. Contemporary Review on Spontaneous Coronary Artery Dissection. J. Am. Coll. Cardiol. 2016, 68, 297–312, Erratum in J. Am. Coll. Cardiol. 2016, 68, 1606. [Google Scholar] [CrossRef] [PubMed]
- Tweet, M.S.; Hayes, S.N.; Codsi, E.; Gulati, R.; Rose, C.H.; Best, P.J.M. Spontaneous Coronary Artery Dissection Associated with Pregnancy. J. Am. Coll. Cardiol. 2017, 70, 426–435. [Google Scholar] [CrossRef] [PubMed]
- Macaya, F.; Salinas, P.; Gonzalo, N.; Fernández-Ortiz, A.; Macaya, C.; Escaned, J. Spontaneous coronary artery dissection: Contemporary aspects of diagnosis and patient management. Open Heart 2018, 5, e000884. [Google Scholar] [CrossRef] [PubMed] [PubMed Central]
- Haftel, A.; Carlson, K.; Chowdhury, Y.S. Amniotic Fluid Embolism; StatPearls Publishing: Treasure Island, FL, USA, 2025. [Google Scholar] [PubMed]
- Coggins, A.S.; Gomez, E.; Sheffield, J.S. Pulmonary Embolism and Amniotic Fluid Embolism. Obstet. Gynecol. Clin. N. Am. 2022, 49, 439–460. [Google Scholar] [CrossRef] [PubMed]
- Mazza, G.R.; Youssefzadeh, A.C.; Klar, M.; Kunze, M.; Matsuzaki, S.; Mandelbaum, R.S.; Ouzounian, J.G.; Matsuo, K. Association of Pregnancy Characteristics and Maternal Mortality with Amniotic Fluid Embolism. JAMA Netw. Open 2022, 5, e2242842. [Google Scholar] [CrossRef] [PubMed] [PubMed Central]
- Hameed, A.B.; Lawton, E.S.; McCain, C.L.; Morton, C.H.; Mitchell, C.; Main, E.K.; Foster, E. Pregnancy-related cardiovascular deaths in California: Beyond peripartum cardiomyopathy. Am. J. Obstet. Gynecol. 2015, 213, e1–e10. [Google Scholar] [CrossRef] [PubMed]
- MacDorman, M.F.; Thoma, M.; Declcerq, E.; Howell, E.A. Racial and Ethnic Disparities in Maternal Mortality in the United States Using Enhanced Vital Records, 2016–2017. Am. J. Public Health 2021, 111, 1673–1681. [Google Scholar] [CrossRef] [PubMed] [PubMed Central]
- Keepanasseril, A.; Pfaller, B.; Metcalfe, A.; Siu, S.C.; Davis, M.B.; Silversides, C.K. Cardiovascular Deaths in Pregnancy: Growing Concerns and Preventive Strategies. Can. J. Cardiol. 2021, 37, 1969–1978. [Google Scholar] [CrossRef] [PubMed]
- Rana, S.; Lemoine, E.; Granger, J.P.; Karumanchi, S.A. Preeclampsia: Pathophysiology, Challenges, and Perspectives. Circ. Res. 2019, 124, 1094–1112, Erratum in Circ. Res. 2020, 126, e8. [Google Scholar] [CrossRef] [PubMed]
- Fishel Bartal, M.; Sibai, B.M. Eclampsia in the 21st century. Am. J. Obstet. Gynecol. 2022, 226, S1237–S1253. [Google Scholar] [CrossRef] [PubMed]
- Saccone, G.; Gragnano, E.; Ilardi, B.; Marrone, V.; Strina, I.; Venturella, R.; Berghella, V.; Zullo, F. Maternal and perinatal complications according to maternal age: A systematic review and meta-analysis. Int. J. Gynecol. Obstet. 2022, 159, 43–55. [Google Scholar] [CrossRef] [PubMed] [PubMed Central]
- Ahmed, S.M.A.; Cresswell, J.A.; Say, L. Incompleteness and misclassification of maternal death recording: A systematic review and meta-analysis. BMC Pregnancy Childbirth 2023, 23, 794. [Google Scholar] [CrossRef] [PubMed] [PubMed Central]
- Collier, A.Y.; Molina, R.L. Maternal Mortality in the United States: Updates on Trends, Causes, and Solutions. NeoReviews 2019, 20, e561–e574. [Google Scholar] [CrossRef] [PubMed] [PubMed Central]
- Available online: https://www.cdc.gov/maternal-mortality/preventing-pregnancy-related-deaths/ (accessed on 9 February 2025).
- Ouyang, P.; Sharma, G. The Potential for Pregnancy Heart Teams to Reduce Maternal Mortality in Women with Cardiovascular Disease. J. Am. Coll. Cardiol. 2020, 76, 2114–2116. [Google Scholar] [CrossRef] [PubMed]
- Ackerman, M.J. State of postmortem genetic testing known as the cardiac channel molecular autopsy in the forensic evaluation of unexplained sudden cardiac death in the young. Pacing Clin. Electrophysiol. 2009, 32 (Suppl. S2), S86–S89. [Google Scholar] [CrossRef] [PubMed] [PubMed Central]
- Tester, D.J.; Medeiros-Domingo, A.; Will, M.L.; Haglund, C.M.; Ackerman, M.J. Cardiac channel molecular autopsy: Insights from 173 consecutive cases of autopsy-negative sudden unexplained death referred for postmortem genetic testing. Mayo Clin. Proc. 2012, 87, 524–539. [Google Scholar] [CrossRef] [PubMed] [PubMed Central]
- Isbister, J.C.; Nowak, N.; Butters, A.; Yeates, L.; Gray, B.; Sy, R.W.; Ingles, J.; Bagnall, R.D.; Semsarian, C. “Concealed cardiomyopathy” as a cause of previously unexplained sudden cardiac arrest. Int. J. Cardiol. 2021, 324, 96–101. [Google Scholar] [CrossRef] [PubMed]
- Martínez-Barrios, E.; Grassi, S.; Brión, M.; Toro, R.; Cesar, S.; Cruzalegui, J.; Coll, M.; Alcalde, M.; Brugada, R.; Greco, A.; et al. Molecular autopsy: Twenty years of post-mortem diagnosis in sudden cardiac death. Front. Med. 2023, 10, 1118585. [Google Scholar] [CrossRef] [PubMed] [PubMed Central]
- Priori, S.G.; Blomström-Lundqvist, C.; Mazzanti, A.; Blom, N.; Borggrefe, M.; Camm, J.; Elliott, P.M.; Fitzsimons, D.; Hatala, R.; Hindricks, G.; et al. 2015 ESC Guidelines for the management of patients with ventricular arrhythmias and the prevention of sudden cardiac death: The Task Force for the Management of Patients with Ventricular Arrhythmias and the Prevention of Sudden Cardiac Death of the European Society of Cardiology (ESC). Endorsed by: Association for European Paediatric and Congenital Cardiology (AEPC). Eur. Heart J. 2015, 36, 2793–2867. [Google Scholar] [CrossRef] [PubMed]
- Wilde, A.A.M.; Semsarian, C.; Márquez, M.F.; Sepehri Shamloo, A.; Ackerman, M.J.; Ashley, E.A.; Sternick, E.B.; Barajas-Martinez, H.; Behr, E.R.; Bezzina, C.R.; et al. European Heart Rhythm Association (EHRA)/Heart Rhythm Society (HRS)/Asia Pacific Heart Rhythm Society (APHRS)/Latin American Heart Rhythm Society (LAHRS) Expert Consensus Statement on the State of Genetic Testing for Cardiac Diseases. Heart Rhythm 2022, 19, e1–e60. [Google Scholar] [CrossRef] [PubMed]
- Campobasso, C.P.; Dell’Erba, A.S.; Addante, A.; Zotti, F.; Marzullo, A.; Colonna, M.F. Sudden cardiac death and myocardial ischemia indicators: A comparative study of four immunohistochemical markers. Am. J. Forensic Med. Pathol. 2008, 29, 154–161. [Google Scholar] [CrossRef] [PubMed]
- Sabatasso, S.; Mangin, P.; Fracasso, T.; Moretti, M.; Docquier, M.; Djonov, V. Early markers for myocardial ischemia and sudden cardiac death. Int. J. Leg. Med. 2016, 130, 1265–1280. [Google Scholar] [CrossRef] [PubMed]
- Sabatasso, S.; Moretti, M.; Mangin, P.; Fracasso, T. Early markers of myocardial ischemia: From the experimental model to forensic pathology cases of sudden cardiac death. Int. J. Leg. Med. 2018, 132, 197–203. [Google Scholar] [CrossRef] [PubMed]
- Meng, H.; Ruan, J.; Yan, Z.; Chen, Y.; Liu, J.; Li, X.; Meng, F. New Progress in Early Diagnosis of Atherosclerosis. Int. J. Mol. Sci. 2022, 23, 8939. [Google Scholar] [CrossRef] [PubMed] [PubMed Central]
- Raj, R.; Bhatti, J.S.; Badada, S.K.; Ramteke, P.W. Genetic basis of dyslipidemia in disease precipitation of coronary artery disease (CAD) associated type 2 diabetes mellitus (T2DM). Diabetes Metab. Res. Rev. 2015, 31, 663–671. [Google Scholar] [CrossRef] [PubMed]
- Hsu, C.C.; Kanter, J.E.; Kothari, V.; Bornfeldt, K.E. Quartet of APOCs and the Different Roles They Play in Diabetes. Arterioscler. Thromb. Vasc. Biol. 2023, 43, 1124–1133. [Google Scholar] [CrossRef] [PubMed] [PubMed Central]
- Meng, H.; Ruan, J.; Chen, Y.; Yan, Z.; Shi, K.; Li, X.; Yang, P.; Meng, F. Investigation of Specific Proteins Related to Different Types of Coronary Atherosclerosis. Front. Cardiovasc. Med. 2021, 8, 758035. [Google Scholar] [CrossRef] [PubMed] [PubMed Central]
- Vidusa, L.; Kalejs, O.; Maca-Kaleja, A.; Strumfa, I. Role of Endomyocardial Biopsy in Diagnostics of Myocarditis. Diagnostics 2022, 12, 2104. [Google Scholar] [CrossRef] [PubMed] [PubMed Central]
- Caforio, A.L.; Pankuweit, S.; Arbustini, E.; Basso, C.; Gimeno-Blanes, J.; Felix, S.B.; Fu, M.; Heliö, T.; Heymans, S.; Jahns, R.; et al. Current state of knowledge on aetiology, diagnosis, management, and therapy of myocarditis: A position statement of the European Society of Cardiology Working Group on Myocardial and Pericardial Diseases. Eur. Heart J. 2013, 34, 2636–2648, 2648a–2648d. [Google Scholar] [CrossRef] [PubMed]
- Luca, A.C.; Lozneanu, L.; Miron, I.C.; Trandafir, L.M.; Cojocaru, E.; Pădureţ, I.A.; Mihăilă, D.; Leon-Constantin, M.M.; Chiriac, Ş.; Iordache, A.C.; et al. Endocardial fibroelastosis and dilated cardiomyopathy—The past and future of the interface between histology and genetics. Rom. J. Morphol. Embryol. 2020, 61, 999–1005. [Google Scholar] [CrossRef] [PubMed] [PubMed Central]
- Ponce, C.C.; Dinamarco, P.V. Primary endocardial fibroelastosis and nonimmune hydrops fetalis: Case report with autopsy. Fetal Pediatr. Pathol. 2015, 34, 136–139. [Google Scholar] [CrossRef] [PubMed]
- Zhang, H.; Huang, X.; Liu, K.; Tang, J.; He, L.; Pu, W.; Liu, Q.; Li, Y.; Tian, X.; Wang, Y.; et al. Fibroblasts in an endocardial fibroelastosis disease model mainly originate from mesenchymal derivatives of epicardium. Cell Res. 2017, 27, 1157–1177. [Google Scholar] [CrossRef] [PubMed] [PubMed Central]
- Aldawsari, K.A.; Alhuzaimi, A.N.; Alotaibi, M.T.; Albert-Brotons, D.C. Endocardial fibroelastosis in infants and young children: A state-of-the-art review. Heart Fail. Rev. 2023, 28, 1023–1031. [Google Scholar] [CrossRef] [PubMed]
- Arya, S.O.; Karpawich, P.P.; Gupta, P.; Buddhe, S.; Singh, H.R.; Hussein, Y.; Gowda, S.T. Primary endocardial fibroelastosis presenting in a young child as incessant ventricular tachycardia and dilated cardiomyopathy. Tex. Heart Inst. J. 2012, 39, 714–718. [Google Scholar] [PubMed] [PubMed Central]
- Lurie, P.R. Changing concepts of endocardial fibroelastosis. Cardiol. Young 2010, 20, 115–123. [Google Scholar] [CrossRef] [PubMed]
- Razuin, R.; Amirah, N.; Mardiana, A.A. Autopsy Findings of Endocardial Fibroelastosis in an Adult. Indian J. Forensic Med. Toxicol. 2022, 17, 66–69. [Google Scholar] [CrossRef]
- Chan, J.L.; Rosing, D.R.; Klion, A.D.; Horvath, K.A. Surgical management of adult endocardial fibroelastosis. J. Thorac. Cardiovasc. Surg. 2017, 154, e81–e84. [Google Scholar] [CrossRef] [PubMed] [PubMed Central]
- Pastor Quirante, F.A.; Pastor-Pérez, F.J.; Manzano-Fernández, S.; Rivas, N.L.; Pérez, P.P.; Hernández, J.P.; Gimeno-Blanes, J.R. Unexpected autopsy findings after sudden cardiac death: Cardiovascular myxoedema and endocardial fibroelastosis. Int. J. Cardiol. 2015, 182, 281–283. [Google Scholar] [CrossRef] [PubMed]
- De Salvia, A.; De Leo, D.; Carturan, E.; Basso, C. Sudden cardiac death, borderline myocarditis and molecular diagnosis: Evidence or assumption? Med. Sci. Law 2011, 51 (Suppl. S1), S27–S29. [Google Scholar] [CrossRef] [PubMed]
- Rouphael, N.G.; Stephens, D.S. Neisseria meningitidis: Biology, microbiology, and epidemiology. Methods Mol. Biol. 2012, 799, 1–20. [Google Scholar] [CrossRef] [PubMed] [PubMed Central]
- Jafri, R.Z.; Ali, A.; Messonnier, N.E.; Tevi-Benissan, C.; Durrheim, D.; Eskola, J.; Fermon, F.; Klugman, K.P.; Ramsay, M.; Sow, S.; et al. Global epidemiology of invasive meningococcal disease. Popul. Health Metr. 2013, 11, 17. [Google Scholar] [CrossRef] [PubMed] [PubMed Central]
- Feldman, C.; Anderson, R. Meningococcal pneumonia: A review. Pneumonia 2019, 11, 3. [Google Scholar] [CrossRef] [PubMed] [PubMed Central]
- Cartwright, K.; Noah, N.; Peltola, H.; Meningococcal Disease Advisory Board. Meningococcal disease in Europe: Epidemiology, mortality, and prevention with conjugate vaccines. Report of a European advisory board meeting Vienna, Austria, 6–8 October 2000. Vaccine 2001, 19, 4347–4356. [Google Scholar] [CrossRef] [PubMed]
- Vossen, M.; Mitteregger, D.; Steininger, C. Meningococcal pneumonia. Vaccine 2016, 34, 4364–4370. [Google Scholar] [CrossRef] [PubMed]
- Laver, J.R.; Hughes, S.E.; Read, R.C. Neisserial Molecular Adaptations to the Nasopharyngeal Niche. Adv. Microb. Physiol. 2015, 66, 323–355. [Google Scholar] [CrossRef] [PubMed]
- Stephens, D.S.; Greenwood, B.; Brandtzaeg, P. Epidemic meningitis, meningococcaemia, and Neisseria meningitidis. Lancet 2007, 369, 2196–2210. [Google Scholar] [CrossRef] [PubMed]
- Fernández-Pozuelo, C.; Sánchez-Castañón, J.; Aguadero-Acera, V.; Baena-Ferrer, I.M. Pneumonia by Neisseria meningitidis: A case report. Rev. Esp. Quimioter. 2014, 27, 132–133. [Google Scholar] [PubMed]







| Causes and Etiology | Risk Factors | |
|---|---|---|
| Hypertrophic cardiomyopathy | Amniotic fluid embolism | Obesity |
| Restrictive cardiomyopathy | Atherosclerosis | Advanced maternal age |
| Dilated cardiomyopathy | Valvular diseases | Multiparity |
| Arrhythmogenic right ventricular cardiomyopathy | Congenital heart diseases | Race |
| Aortic and coronary artery dissection | Endocarditis | Chronic arterial hypertension |
| Acute myocardial infarction | Intracoronary thrombus without atherosclerosis | Thrombophilia |
| Myocarditis | Coronary artery spasm | Preeclampsia |
| Myocardial fibrosis | Diabetes | |
Disclaimer/Publisher’s Note: The statements, opinions and data contained in all publications are solely those of the individual author(s) and contributor(s) and not of MDPI and/or the editor(s). MDPI and/or the editor(s) disclaim responsibility for any injury to people or property resulting from any ideas, methods, instructions or products referred to in the content. |
© 2025 by the authors. Licensee MDPI, Basel, Switzerland. This article is an open access article distributed under the terms and conditions of the Creative Commons Attribution (CC BY) license (https://creativecommons.org/licenses/by/4.0/).
Share and Cite
Radu, I.; Farcas, A.O.; Cimpan, L.; Platon, C.-L.; Nyulas, V.; Suciu, B.A.; Hălmaciu, I.; Radu, C.C.; Brînzaniuc, K. Sudden Cardiac Death in Pregnant Women—Literature Review and Autopsy Findings. Diagnostics 2025, 15, 1108. https://doi.org/10.3390/diagnostics15091108
Radu I, Farcas AO, Cimpan L, Platon C-L, Nyulas V, Suciu BA, Hălmaciu I, Radu CC, Brînzaniuc K. Sudden Cardiac Death in Pregnant Women—Literature Review and Autopsy Findings. Diagnostics. 2025; 15(9):1108. https://doi.org/10.3390/diagnostics15091108
Chicago/Turabian StyleRadu, Ioana, Anca Otilia Farcas, Laura Cimpan, Corina-Lacramioara Platon, Victoria Nyulas, Bogdan Andrei Suciu, Ioana Hălmaciu, Carmen Corina Radu, and Klara Brînzaniuc. 2025. "Sudden Cardiac Death in Pregnant Women—Literature Review and Autopsy Findings" Diagnostics 15, no. 9: 1108. https://doi.org/10.3390/diagnostics15091108
APA StyleRadu, I., Farcas, A. O., Cimpan, L., Platon, C.-L., Nyulas, V., Suciu, B. A., Hălmaciu, I., Radu, C. C., & Brînzaniuc, K. (2025). Sudden Cardiac Death in Pregnant Women—Literature Review and Autopsy Findings. Diagnostics, 15(9), 1108. https://doi.org/10.3390/diagnostics15091108

