From Morphology to Gene Expression Profiling in Mycosis Fungoides: Is It Still a Diagnostic Challenge?
Abstract
1. Introduction
2. Clinical Appearance
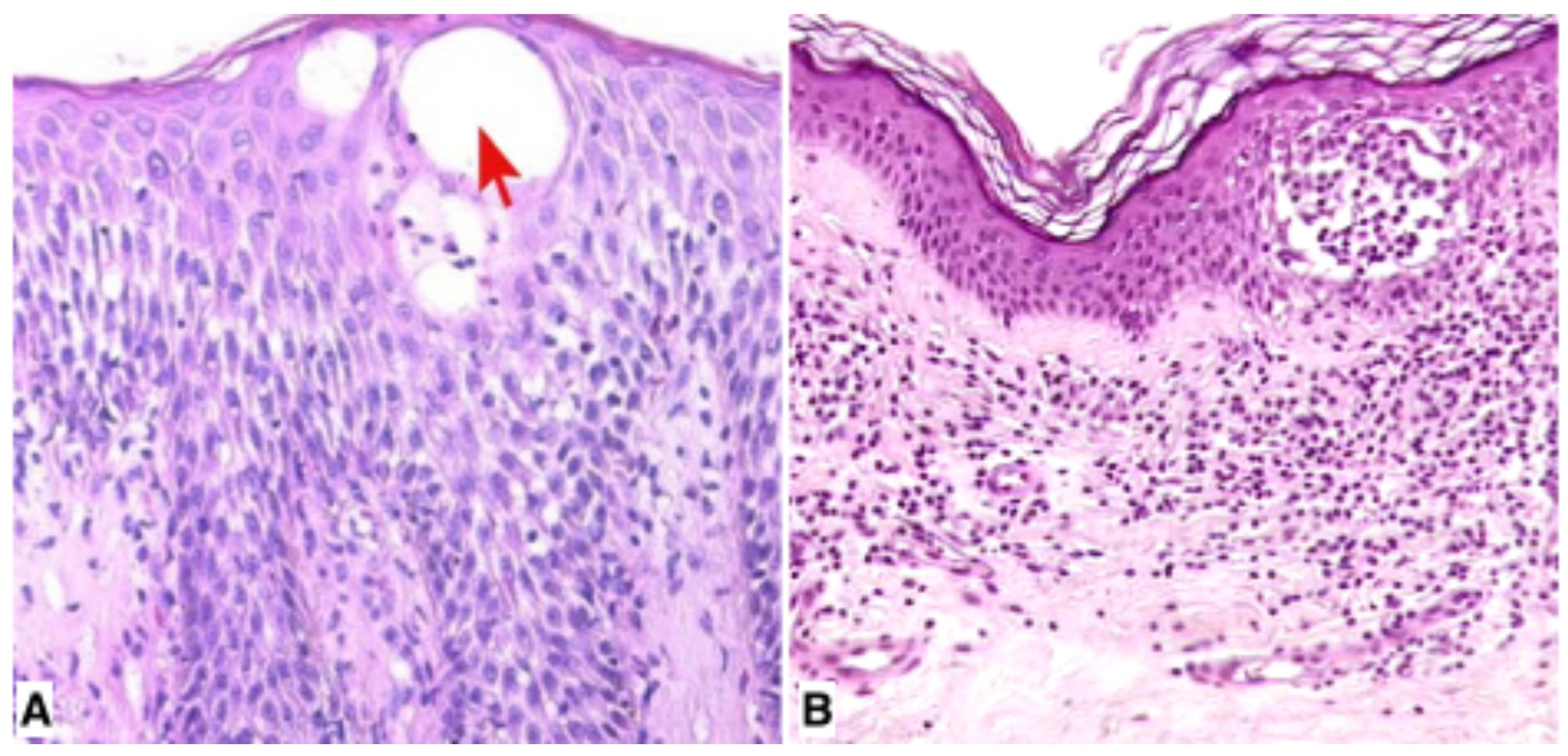
3. At Microscopic Glance
- Intraepidermal collections of lymphocytes.
- Basilar epidermotropism (lymphocytes aligned along the dermo-epidermal junction).
- Intraepidermal lymphocytes larger than lymphocytes in the dermis.
- Large numbers of epidermotropic lymphocytes in areas of scant spongiosis (so-called disproportionate epidermotropism).
- Intraepidermal lymphocytes with “haloed” nuclei (lymphocytes with slightly larger nuclei surrounded by a small halo).
- Band-like or patchy lichenoid infiltrates of lymphocytes.
- Expanded papillary dermis with slight fibrosis.
4. Immunohistochemistry: The First Ancilla
5. Molecular Genetics and MF
6. Ongoing Consideration: What About Artificial Intelligence?
7. Conclusions
Funding
Conflicts of Interest
References
- Willemze, R.; Cerroni, L.; Kempf, W.; Berti, E.; Facchetti, F.; Swerdlow, S.H.; Jaffe, E.S. The 2018 update of the WHO-EORTC classification for primary cutaneous lymphomas. Blood 2019, 133, 1703–1714. [Google Scholar] [CrossRef] [PubMed]
- Alaggio, R.; Amador, C.; Anagnostopoulos, I.; Attygalle, A.D.; Araujo, I.B.d.O.; Berti, E.; Bhagat, G.; Borges, A.M.; Boyer, D.; Calaminici, M.; et al. The 5th edition of the World Health Organization Classification of Haematolymphoid Tumours: Lymphoid Neoplasms. Leukemia 2022, 36, 1720–1748. [Google Scholar] [CrossRef] [PubMed]
- Cerroni, L.; Sander, C.A.; Smoller, B.R.; Willemze, R.; Siebert, R. Mycosis fungoides. In WHO Classification of Tumours of Haematopoietic and Lymphoid Tissues, 4th ed.; Swerdlow, S.H., Campo, E., Harris, N.L., Jaffe, E.S., Pileri, S.A., Stein, H., Thiele, J., Eds.; IARC: Lyon, France, 2017; pp. 385–389. [Google Scholar]
- Korgavkar, K.; Xiong, M.; Weinstock, M. Changing incidence trends of cutaneous T-cell lymphoma. JAMA Dermatol. 2013, 149, 1295–1299. [Google Scholar] [CrossRef] [PubMed]
- Su, C.; Nguyen, K.A.; Bai, H.X.; Cao, Y.; Tao, Y.; Xiao, R.; Karakousis, G.; Zhang, P.J.; Zhang, G. Racial disparity in mycosis fungoides: An analy- sis of 4495 cases from the US National Cancer Database. J. Am. Acad. Dermatol. 2017, 77, 497–502. [Google Scholar] [CrossRef]
- Hodak, E.; Amitay-Laish, I. Mycosis fungoides: A great imitator. Clin. Dermatol. 2019, 37, 255–267. [Google Scholar] [CrossRef]
- Pimpinelli, N.; Olsen, E.A.; Santucci, M.; Vonderheid, E.; Haeffner, A.C.; Stevens, S.; Burg, G.; Cerroni, L.; Dreno, B.; Glusac, E.; et al. Defining early mycosis fungoides. J. Am. Acad. Dermatol. 2005, 53, 1053–1063. [Google Scholar] [CrossRef]
- Vandergriff, T.; Nezafati, K.A.; Susa, J.; Karai, L.; Sanguinetti, A.; Hynan, L.; Ambruzs, J.M.; Oliver, D.H.; Pandya, A.G. Defining early mycosis fungoides: Validation of a diagnostic algorithm proposed by the International Society for Cutaneous Lymphomas. J. Cutan. Pathol. 2015, 42, 318–328. [Google Scholar] [CrossRef]
- Thurber, S.E.; Zhang, B.; Kim, Y.H.; Schrijver, I.; Zehnder, J.; Kohler, S. T-cell clonality analysis in biopsy specimens from two different skin sites shows high specificity in the diagnosis of patients with suggested mycosis fungoides. J. Am. Acad. Dermatol. 2007, 57, 782–790. [Google Scholar] [CrossRef]
- Massone, C.; Crisman, G.; Kerl, H.; Cerroni, L. The prognosis of early mycosis fungoides is not influenced by phenotype and T-cell clonality. Br. J. Dermatol. 2008, 159, 881–886. [Google Scholar] [CrossRef]
- Torres-Cabala, C.A. Diagnosis of T-cell lymphoid proliferations of the skin: Putting all the pieces together. Mod. Pathol. 2020, 33, 83–95. [Google Scholar] [CrossRef]
- Yuki, A.; Shinkuma, S.; Hayashi, R.; Fujikawa, H.; Kato, T.; Homma, E.; Hamade, Y.; Onodera, O.; Matsuoka, M.; Shimizu, H.; et al. CADM1 is a diagnostic marker in early-stage mycosis fungoides: Multicenter study of 58 cases. J. Am. Acad. Dermatol. 2018, 79, 1039–1104. [Google Scholar] [CrossRef]
- Sherman, S.; Rabizadeh, E.; Myal, L.; Livnat, T.; Ziv, E.; Cherny, L.; Inbal, A.; Hodak, E. Fibrinogen-like Protein 2 Activity as a Potential Biomarker for Diagnosis of Early Mycosis Fungoides. Acta Derm.-Venereol. 2017, 97, 370–372. [Google Scholar] [CrossRef] [PubMed]
- Schachter, O.; Tabibian-Keissar, H.; Debby, A.; Segal, O.; Baum, S.; Barzilai, A. Evaluation of the polymerase chain reaction–based T-cell receptor β clonality test in the diagnosis of early mycosis fungoides. J. Am. Acad. Dermatol. 2020, 83, 1400–1405. [Google Scholar] [CrossRef]
- Curcó, N.; Servitje, O.; Llucià, M.; Bertran, J.; Limón, A.; Carmona, M.; Romagosa, V.; Peyrí, J. Genotypic analysis of cutaneous T-cell lymphoma: A comparative study of Southern blot analysis with polymerase chain reaction amplification of the T-cell receptor-gamma gene. Br. J. Dermatol. 1997, 137, 673–679. [Google Scholar] [CrossRef]
- Kuraitis, D.; McBurney, E.; Boh, E. Utility of clonal T-cell rearrangement study in the diagnosis of early mycosis fungoides. J. Am. Acad. Dermatol. 2021, 85, 1040–1042. [Google Scholar] [CrossRef]
- Motamedi, M.; Xiao, M.; Iyer, A.; Gniadecki, R. Patterns of Gene Expression in Cutaneous T-Cell Lymphoma: Systematic Review of Transcriptomic Studies in Mycosis Fungoides. Cells 2021, 10, 1409. [Google Scholar] [CrossRef] [PubMed]
- Rea, B.; Han, P.; Emerson, R.; Vignali, M.; Farooqi, M.; Samimi, S.; Elenitsas, R.; Kirsch, I.; Bagg, A. Role of high-throughput sequencing in the diagnosis of cutaneous T-cell lymphoma. J. Clin. Pathol. 2018, 71, 814–820. [Google Scholar] [CrossRef]
- Sufficool, K.E.; Lockwood, C.M.; Abel, H.J.; Hagemann, I.S.; Schumacher, J.A.; Kelley, T.W.; Duncavage, E.J. T-cell clonality assessment by next-generation sequencing improves detection sensitivity in mycosis fungoides. J. Am. Acad. Dermatol. 2015, 73, 228–236. [Google Scholar] [CrossRef]
- Ralfkiaer, U.; Lindahl, L.M.; Lindal, L.; Litman, T.; Gjerdrum, L.M.R.; Ahler, C.B.; Gniadecki, R.; Marstrand, T.; Fredholm, S.; Iversen, L.; et al. MicroRNA expression in early mycosis fungoides is distinctly different from atopic dermatitis and advanced cutaneous T-cell lymphoma. Anticancer Res. 2014, 34, 7207–7217. [Google Scholar]
- Amorim, G.M.; Quintella, D.C.; Niemeyer-Corbellini, J.P.; Ferreira, L.C.; Ramos-E-Silva, M.; Cuzzi, T. Validation of an algorithm based on clinical, histopathological and immunohistochemical data for the diagnosis of early-stage mycosis fungoides. An. Bras. Dermatol. 2020, 95, 326–331. [Google Scholar] [CrossRef]
- Doeleman, T.; Hondelink, L.M.; Vermeer, M.H.; van Dijk, M.R.; Schrader, A.M.R. Artificial intelligence in digital pathology of cutaneous lymphomas: A review of the current state and future perspectives. Semin. Cancer Biol. 2023, 94, 81–88. [Google Scholar] [CrossRef] [PubMed]
- Miyoshi, H.; Sato, K.; Kabeya, Y.; Yonezawa, S.; Nakano, H.; Takeuchi, Y.; Ozawa, I.; Higo, S.; Yanagida, E.; Yamada, K.; et al. Deep learning shows the capability of high-level computer-aided diagnosis in malignant lymphoma. Lab. Investig. 2020, 100, 1300–1310. [Google Scholar] [CrossRef] [PubMed]
- Doeleman, T.; Westerbeek, D.; Jansen, P.; Hondelink, L.; He, J.; Kers, J.; Vermeer, M.; Quint, K.; Dijk, V.; Verbeek, F.; et al. Artificial intelligence-assisted probability scoring for differentiation of early mycosis fungoides and benign inflammatory dermatoses on H&E stained pathology slides of skin biopsies. Eur. J. Cancer 2022, 173, S11. [Google Scholar]
- Zheng, T.; Zheng, S.; Wang, K.; Quan, H.; Bai, Q.; Li, S.; Qi, R.; Zhao, Y.; Cui, X.; Gao, X. Automatic CD30 scoring method for whole slide images of primary cutaneous CD30+ lymphoproliferative diseases. J. Clin. Pathol. 2022, 76, 705–711. [Google Scholar] [CrossRef]


Disclaimer/Publisher’s Note: The statements, opinions and data contained in all publications are solely those of the individual author(s) and contributor(s) and not of MDPI and/or the editor(s). MDPI and/or the editor(s) disclaim responsibility for any injury to people or property resulting from any ideas, methods, instructions or products referred to in the content. |
© 2025 by the authors. Licensee MDPI, Basel, Switzerland. This article is an open access article distributed under the terms and conditions of the Creative Commons Attribution (CC BY) license (https://creativecommons.org/licenses/by/4.0/).
Share and Cite
Filosa, A.; Cazzato, G.; Bartoli, E.; Antaldi, E.; Giantomassi, F.; Santoni, M.; Goteri, G. From Morphology to Gene Expression Profiling in Mycosis Fungoides: Is It Still a Diagnostic Challenge? Diagnostics 2025, 15, 1089. https://doi.org/10.3390/diagnostics15091089
Filosa A, Cazzato G, Bartoli E, Antaldi E, Giantomassi F, Santoni M, Goteri G. From Morphology to Gene Expression Profiling in Mycosis Fungoides: Is It Still a Diagnostic Challenge? Diagnostics. 2025; 15(9):1089. https://doi.org/10.3390/diagnostics15091089
Chicago/Turabian StyleFilosa, Alessandra, Gerardo Cazzato, Elisa Bartoli, Elena Antaldi, Federica Giantomassi, Matteo Santoni, and Gaia Goteri. 2025. "From Morphology to Gene Expression Profiling in Mycosis Fungoides: Is It Still a Diagnostic Challenge?" Diagnostics 15, no. 9: 1089. https://doi.org/10.3390/diagnostics15091089
APA StyleFilosa, A., Cazzato, G., Bartoli, E., Antaldi, E., Giantomassi, F., Santoni, M., & Goteri, G. (2025). From Morphology to Gene Expression Profiling in Mycosis Fungoides: Is It Still a Diagnostic Challenge? Diagnostics, 15(9), 1089. https://doi.org/10.3390/diagnostics15091089

