Pulmonary Large-Cell Neuroendocrine Carcinoma, a Multifaceted Disease—Case Report and Literature Review
Abstract
1. Introduction
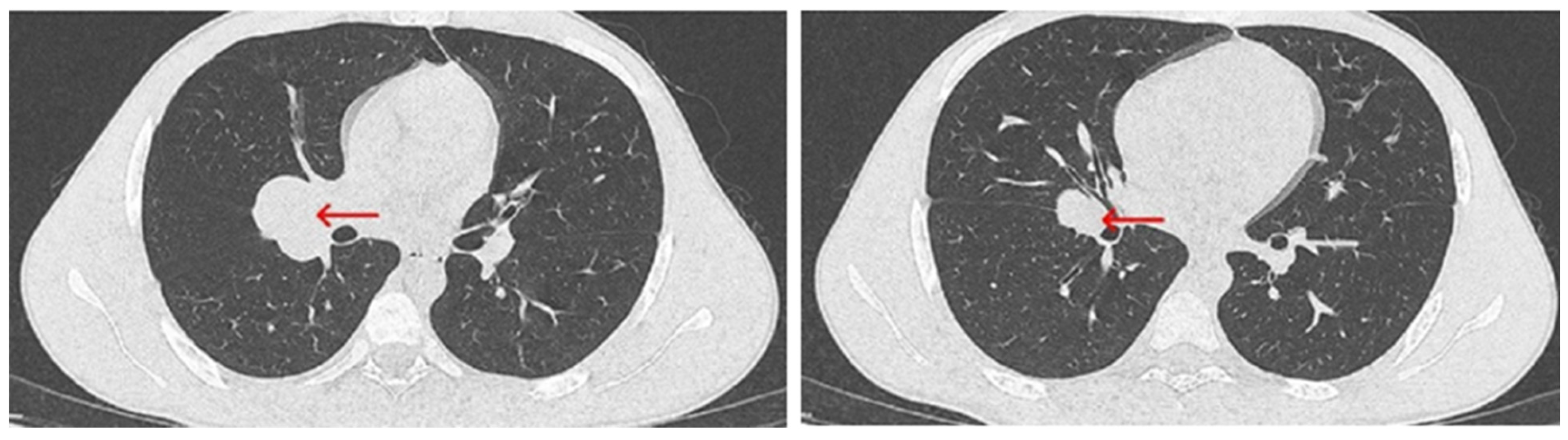
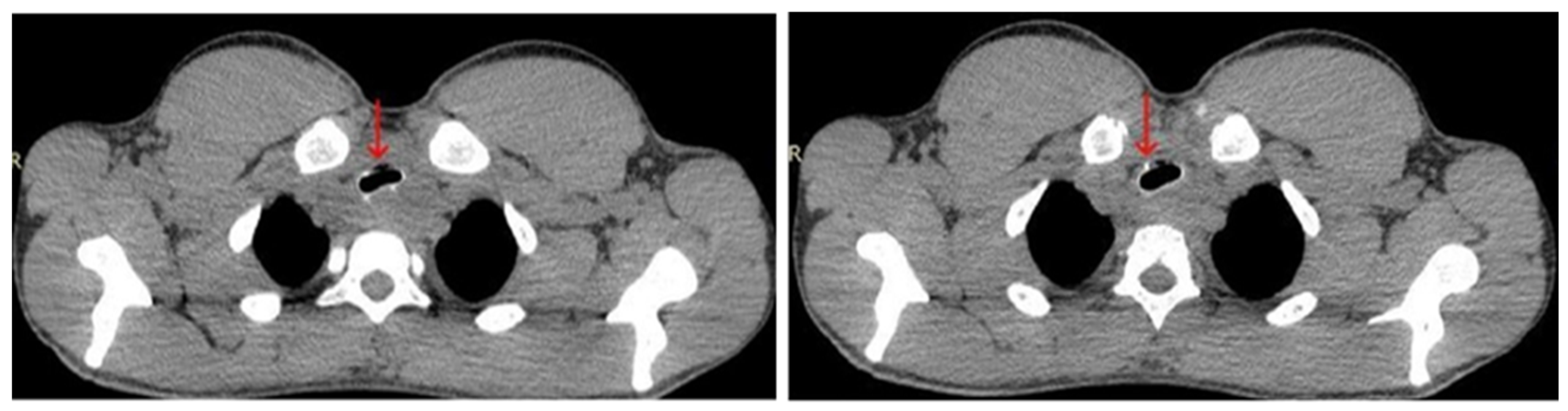
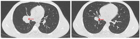
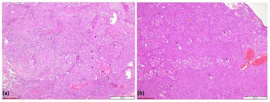
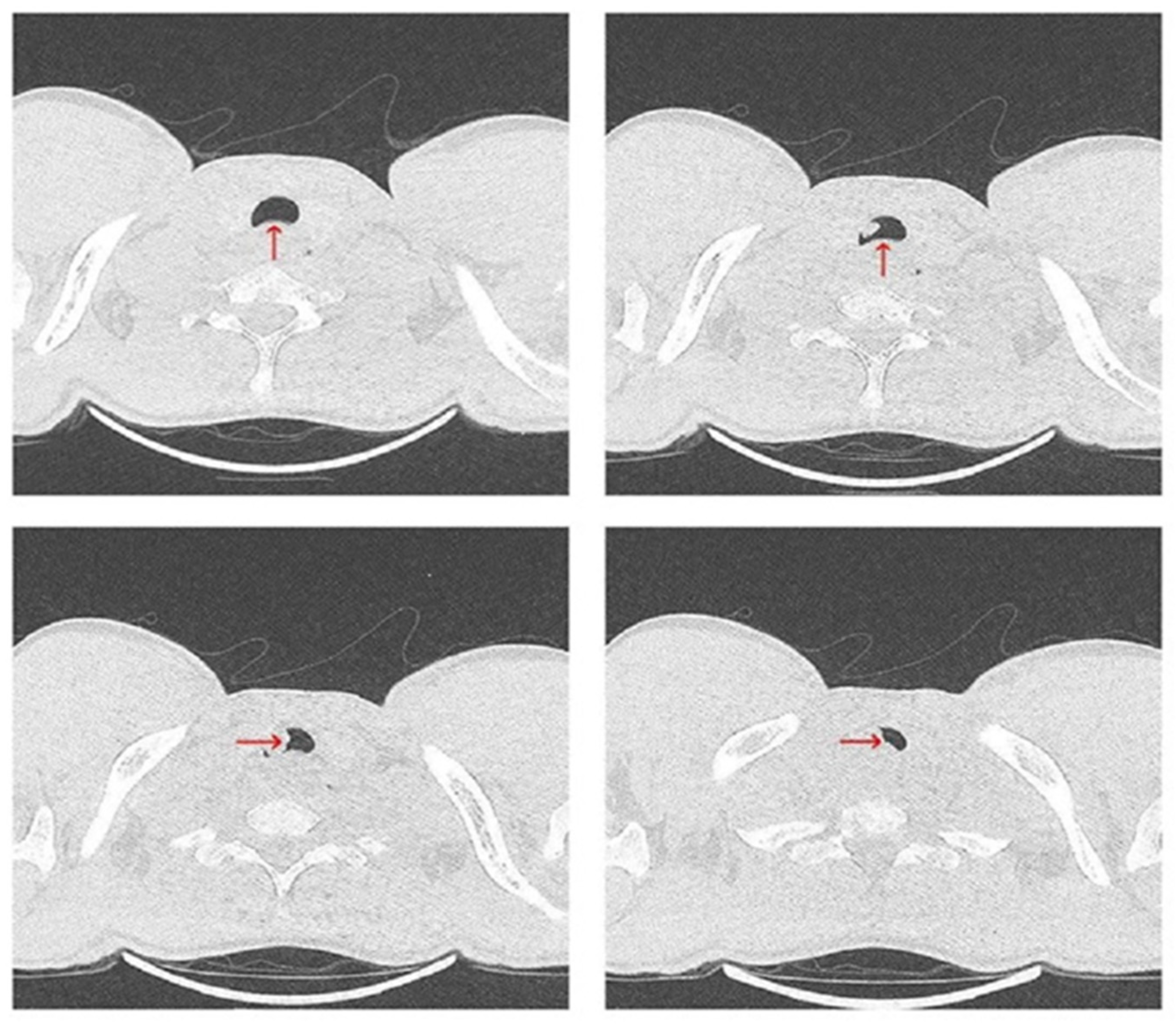
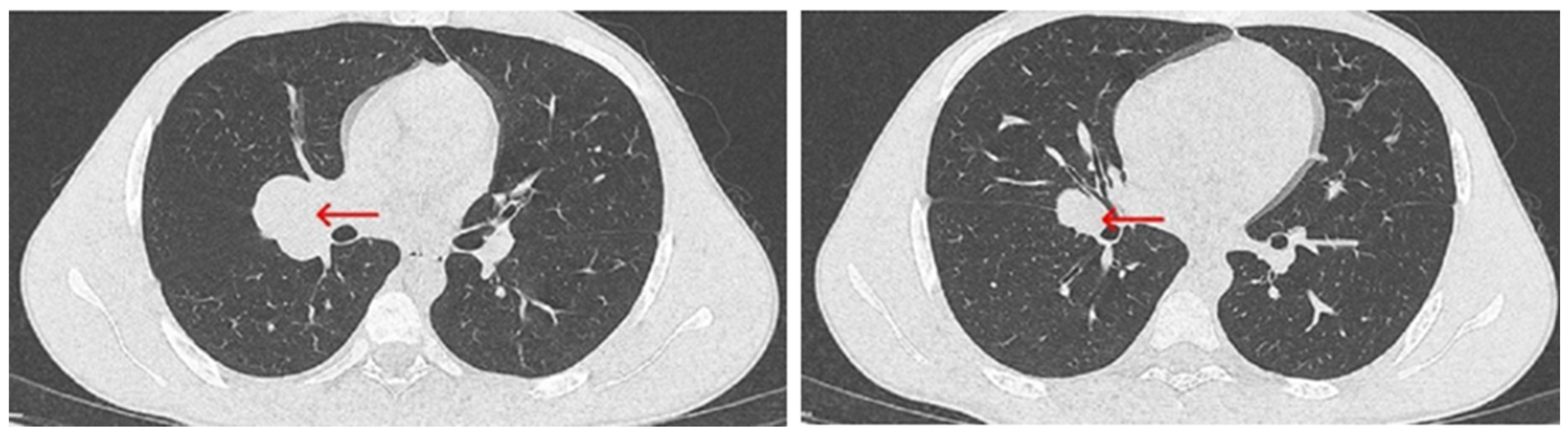
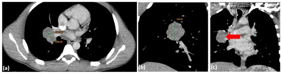
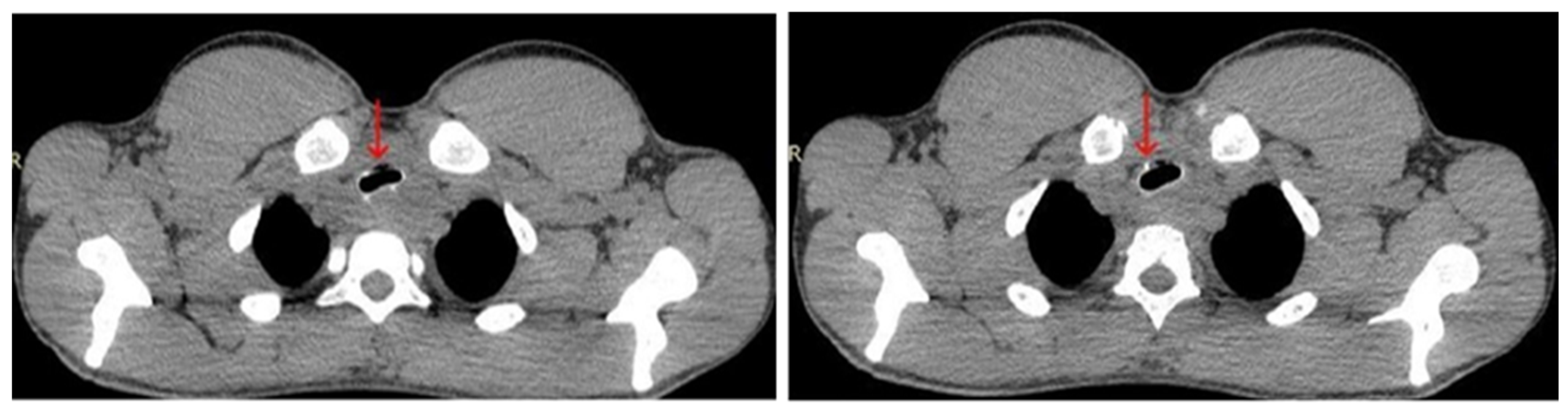
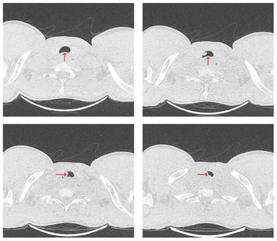
2. Case Report
3. Literature Review
3.1. Pathological Diagnosis and Molecular Features
3.2. Prognostic Factors
3.3. Treatment
3.3.1. Early-Stage Disease
3.3.2. Locally-Advanced Disease
3.3.3. Advanced Disease
4. Discussion
Author Contributions
Funding
Institutional Review Board Statement
Informed Consent Statement
Data Availability Statement
Acknowledgments
Conflicts of Interest
References
- Naidoo, J.; Santos-Zabala, M.L.; Iyriboz, T.; Woo, K.M.; Sima, C.S.; Fiore, J.J.; Kris, M.G.; Riely, G.J.; Lito, P.; Iqbal, A.; et al. Large Cell Neuroendocrine Carcinoma of the Lung: Clinico-Pathologic Features, Treatment, and Outcomes. Clin. Lung Cancer 2016, 17, e121–e129. [Google Scholar] [CrossRef] [PubMed]
- Oshiro, Y.; Kusumoto, M.; Matsuno, Y.; Asamura, H.; Tsuchiya, R.; Terasaki, H.; Takei, H.; Maeshima, A.; Murayama, S.; Moriyama, N. CT findings of surgically resected large cell neuroendocrine carcinoma of the lung in 38 patients. Am. J. Roentgenol. 2004, 182, 87–91. [Google Scholar] [CrossRef] [PubMed]
- Fasano, M.; Della Corte, C.M.; Papaccio, F.; Ciardiello, F.; Morgillo, F. Pulmonary Large-Cell Neuroendocrine Carcinoma: From Epidemiology to Therapy. J. Thorac. Oncol. 2015, 10, 1133–1141. [Google Scholar] [CrossRef] [PubMed]
- Hautzel, H.; Alnajdawi, Y.; Fendler, W.P.; Rischpler, C.; Darwiche, K.; Eberhardt, W.E.; Umutlu, L.; Theegarten, D.; Stuschke, M.; Schuler, M.; et al. N-staging in large cell neuroendocrine carcinoma of the lung: Diagnostic value of [18F]FDG PET/CT compared to the histopathology reference standard. EJNMMI Res. 2021, 11, 68. [Google Scholar] [CrossRef]
- Derks, J.L.; Hendriks, L.E.; Buikhuisen, W.A.; Groen, H.J.; Thunnissen, E.; van Suylen, R.-J.; Houben, R.; Damhuis, R.A.; Speel, E.J.; Dingemans, A.-M.C. Clinical features of large cell neuroendocrine carcinoma: A population-based overview. Eur. Respir. J. 2016, 47, 615–624. [Google Scholar] [CrossRef]
- Russo, G.L.; Pusceddu, S.; Proto, C.; Macerelli, M.; Signorelli, D.; Vitali, M.; Ganzinelli, M.; Gallucci, R.; Zilembo, N.; Platania, M.; et al. Treatment of lung large cell neuroendocrine carcinoma. Tumor Biol. 2016, 37, 7047–7057. [Google Scholar] [CrossRef]
- Andrini, E.; Marchese, P.V.; De Biase, D.; Mosconi, C.; Siepe, G.; Panzuto, F.; Ardizzoni, A.; Campana, D.; Lamberti, G. Large Cell Neuroendocrine Carcinoma of the Lung: Current Understanding and Challenges. J. Clin. Med. 2022, 11, 1461. [Google Scholar] [CrossRef]
- Lowczak, A.; Kolasinska-Cwikla, A.; Osowiecka, K.; Glinka, L.; Palucki, J.; Rzepko, R.; Doboszynska, A.; Cwikla, J.B. Outcomes of Patients with Pulmonary Large Cell Neuroendocrine Carcinoma in I-IV Stage. Medicina 2021, 57, 118. [Google Scholar] [CrossRef]
- Baine, M.K.; Rekhtman, N. Multiple faces of pulmonary large cell neuroendocrine carcinoma: Update with a focus on practical approach to diagnosis. Transl. Lung Cancer Res. 2020, 9, 860–878. [Google Scholar] [CrossRef]
- Gustafsson, B.I.; Kidd, M.; Chan, A.; Malfertheiner, M.V.; Modlin, I.M. Bronchopulmonary neuroendocrine tumors. Cancer 2008, 113, 5–21. [Google Scholar] [CrossRef]
- Takei, H.; Asamura, H.; Maeshima, A.; Suzuki, K.; Kondo, H.; Niki, T.; Yamada, T.; Tsuchiya, R.; Matsuno, Y. Large cell neuroendocrine carcinoma of the lung: A clinicopathologic study of eighty-seven cases. J. Thorac. Cardiovasc. Surg. 2002, 124, 285–292. [Google Scholar] [CrossRef] [PubMed]
- Travis, W.D.; Brambilla, E.; Nicholson, A.G.; Yatabe, Y.; Austin, J.H.M.; Beasley, M.B.; Chirieac, L.R.; Dacic, S.; Duhig, E.; Flieder, D.B.; et al. The 2015 World Health Organization Classification of Lung Tumors: Impact of Genetic, Clinical and Radiologic Advances Since the 2004 Classification. J. Thorac. Oncol. 2015, 10, 1243–1260. [Google Scholar] [CrossRef] [PubMed]
- Iyoda, A.; Hiroshima, K.; Toyozaki, T.; Haga, Y.; Fujisawa, T.; Ohwada, H. Clinical characterization of pulmonary large cell neuroendocrine carcinoma and large cell carcinoma with neuroendocrine morphology. Cancer 2001, 91, 1992–2000. [Google Scholar] [CrossRef]
- Filosso, P.L.; Ruffini, E.; Di Gangi, S.; Guerrera, F.; Bora, G.; Ciccone, G.; Galassi, C.; Solidoro, P.; Lyberis, P.; Oliaro, A.; et al. Prognostic factors in neuroendocrine tumours of the lung: A single-centre experience. Eur. J. Cardio-Thorac. Surg. 2014, 45, 521–526. [Google Scholar] [CrossRef]
- Travis, W.D.; Linnoila, R.I.; Tsokos, M.G.; Hitchcock, C.L.; Cutler, G.B.; Nieman, L.; Chrousos, G.; Pass, H.; Doppman, J. Neuroendocrine tumors of the lung with proposed criteria for large-cell neuroen-docrine carcinoma. An ultrastructural, immunohistochemical, and flow cytometric study of 35 cases. Am. J. Surg. Pathol. 1991, 15, 529–553. [Google Scholar] [CrossRef]
- Lantuejoul, S.; Fernandez-Cuesta, L.; Damiola, F.; Girard, N.; McLeer, A. New molecular classification of large cell neuroendocrine carcinoma and small cell lung carcinoma with potential therapeutic impacts. Transl. Lung Cancer Res. 2020, 9, 2233–2244. [Google Scholar] [CrossRef]
- Derks, J.L.; Rijnsburger, N.; Hermans, B.C.M.; Moonen, L.; Hillen, L.M.; von der Thüsen, J.H.; den Bakker, M.A.; van Suylen, R.J.; Speel, E.-J.M.; Dingemans, A.-M.C. Clinical-Pathologic Challenges in the Classification of Pulmonary Neuroendocrine Neoplasms and Targets on the Horizon for Future Clinical Practice. J. Thorac. Oncol. 2021, 16, 1632–1646. [Google Scholar] [CrossRef]
- Noonan, K.; Derks, J.; Laskin, J.; Dingemans, A.M.C. 55—Neuroendocrine Tumors of the Lung Other Than Small Cell Lung Cancer. In IASLC Thoracic Oncology, 2nd ed.; Pass, H.I., Ball, D., Scagliotti, G.V., Eds.; Elsevier: Amsterdam, The Netherlands, 2018; pp. 555–568. [Google Scholar]
- Ionescu, D.N.; Treaba, D.; Gilks, C.B.; Leung, S.B.; Renouf, D.; Laskin, J.; Wood-Baker, R.; Gown, A.M. Nonsmall cell lung carcinoma with neuroendocrine differentiation—An entity of no clinical or prognostic significance. Am. J. Surg. Pathol. 2007, 31, 26–32. [Google Scholar] [CrossRef]
- Lee, K.W.; Lee, Y.; Oh, S.W.; Jin, K.N.; Goo, J.M. Large cell neuroendocrine carcinoma of the lung: CT and FDG PET findings. Eur. J. Radiol. 2015, 84, 2332–2338. [Google Scholar] [CrossRef]
- He, Y.; Liu, H.; Wang, S.; Chen, Y. Prognostic nomogram predicts overall survival in pulmonary large cell neuroendocrine carci-noma. PLoS ONE 2019, 14, e0223275. [Google Scholar] [CrossRef]
- Yang, Q.; Xu, Z.; Chen, X.; Zheng, L.; Yu, Y.; Zhao, X.; Chen, M.; Luo, B.; Wang, J.; Sun, J. Clinicopathological characteristics and prognostic factors of pulmonary large cell neuroendocrine carcinoma: A large population-based analysis. Thorac. Cancer 2019, 10, 751–760. [Google Scholar] [CrossRef] [PubMed]
- Roesel, C.; Welter, S.; Kambartel, K.-O.; Weinreich, G.; Krbek, T.; Serke, M.; Ibrahim, M.; Alnajdawi, Y.; Plönes, T.; Aigner, C. Prognostic markers in resected large cell neuroendocrine carcinoma: A multicentre retrospective analysis. J. Thorac. Dis. 2020, 12, 466–476. [Google Scholar] [CrossRef] [PubMed]
- Eichhorn, F.; Dienemann, H.; Muley, T.; Warth, A.; Hoffmann, H. Predictors of survival after operation among patients with large cell neuroendocrine carcinoma of the lung. Ann. Thorac. Surg. 2015, 99, 983–989. [Google Scholar] [CrossRef]
- Ferrara, M.G.; Stefani, A.; Simbolo, M.; Pilotto, S.; Martini, M.; Lococo, F.; Vita, E.; Chiappetta, M.; Cancellieri, A.; D’argento, E.; et al. Large Cell Neuro-Endocrine Carcinoma of the Lung: Current Treatment Options and Potential Future Opportunities. Front. Oncol. 2021, 11, 650293. [Google Scholar] [CrossRef]
- Paci, M.; Cavazza, A.; Annessi, V.; Putrino, I.; Ferrari, G.; De Franco, S.; Sgarbi, G. Large cell neuroendocrine carcinoma of the lung: A 10-year clinicopathologic retrospective study. Ann. Thorac. Surg. 2004, 77, 1163–1167. [Google Scholar] [CrossRef]
- Iyoda, A.; Hiroshima, K.; Moriya, Y.; Iwadate, Y.; Takiguchi, Y.; Uno, T.; Nakatani, Y.; Yoshino, I. Postoperative recurrence and the role of adjuvant chemotherapy in patients with pulmonary large-cell neuroendocrine carcinoma. J. Thorac. Cardiovasc. Surg. 2009, 138, 446–453. [Google Scholar] [CrossRef]
- Iyoda, A.; Hiroshima, K.; Toyozaki, T.; Haga, Y.; Baba, M.; Fujisawa, T.; Ohwada, H. Adjuvant chemotherapy for large cell carcinoma with neuroendocrine features. Cancer 2001, 92, 1108–1112. [Google Scholar] [CrossRef]
- Gu, J.; Gong, D.; Wang, Y.; Chi, B.; Zhang, J.; Hu, S.; Min, L. The demographic and treatment options for patients with large cell neuroendocrine carcinoma of the lung. Cancer Med. 2019, 8, 2979–2993. [Google Scholar] [CrossRef]
- Iyoda, A.; Makino, T.; Koezuka, S.; Otsuka, H.; Hata, Y. Treatment options for patients with large cell neuroendocrine carcinoma of the lung. Gen. Thorac. Cardiovasc. Surg. 2014, 62, 351–356. [Google Scholar] [CrossRef]
- Kujtan, L.; Muthukumar, V.; Kennedy, K.F.; Davis, J.R.; Masood, A.; Subramanian, J. The Role of Systemic Therapy in the Management of Stage I Large Cell Neuroendocrine Carcinoma of the Lung. J. Thorac. Oncol. 2018, 13, 707–714. [Google Scholar] [CrossRef]
- Du, L.; Samson, P.P.; Waqar, S.N.; Carpenter, D.; Masood, A.; Devarakonda, S.; Robinson, C.G.; Govindan, R.; Puri, V.; Morgensztern, D. Stage III pulmonary large cell neuroendocrine carcinoma (LNEC). J. Clin. Oncol. 2016, 34, 8536. [Google Scholar] [CrossRef]
- Yamazaki, S.; Sekine, I.; Matsuno, Y.; Takei, H.; Yamamoto, N.; Kunitoh, H.; Ohe, Y.; Tamura, T.; Kodama, T.; Asamura, H.; et al. Clinical responses of large cell neuroendocrine carcinoma of the lung to cisplatin-based chemotherapy. Lung Cancer 2005, 49, 217–223. [Google Scholar] [CrossRef] [PubMed]
- Shimada, Y.; Niho, S.; Ishii, G.; Hishida, T.; Yoshida, J.; Nishimura, M.; Yoh, K.; Goto, K.; Ohmatsu, H.; Ohe, Y.; et al. Clinical features of unresectable high-grade lung neuroendocrine carcinoma diagnosed using biopsy specimens. Lung Cancer 2012, 75, 368–373. [Google Scholar] [CrossRef] [PubMed]
- Limonnik, V.; Abel, S.; Finley, G.G.; Long, G.S.; Wegner, R.E. Factors associated with treatment receipt and overall survival for patients with locally advanced large cell neuroendocrine carcinoma of the lung: A National Cancer Database analysis. Lung Cancer 2020, 150, 107–113. [Google Scholar] [CrossRef]
- Aupérin, A.; Arriagada, R.; Pignon, J.-P.; Le Péchoux, C.; Gregor, A.; Stephens, R.J.; Kristjansen, P.E.; Johnson, B.E.; Ueoka, H.; Wagner, H.; et al. Prophylactic Cranial Irradiation for Patients with Small-Cell Lung Cancer in Complete Remission. N. Engl. J. Med. 1999, 341, 476–484. [Google Scholar] [CrossRef]
- Sun, A.; Hu, C.; Wong, S.J.; Gore, E.; Videtic, G.; Dutta, S.; Suntharalingam, M.; Chen, Y.; Gaspar, L.E.; Choy, H. Prophylactic Cranial Irradiation vs Observation in Patients with Locally Advanced Non-Small Cell Lung Cancer: A Long-term Update of the NRG Oncology/RTOG 0214 Phase 3 Randomized Clinical Trial. JAMA Oncol. 2019, 5, 847–855. [Google Scholar] [CrossRef]
- Glisson, B.S.; Moran, C.A. Large-cell neuroendocrine carcinoma: Controversies in diagnosis and treatment. J. Natl. Compr. Cancer Netw. 2011, 9, 1122–1129. [Google Scholar] [CrossRef]
- Igawa, S.; Watanabe, R.; Ito, I.; Murakami, H.; Takahashi, T.; Nakamura, Y.; Tsuya, A.; Kaira, K.; Naito, T.; Endo, M.; et al. Comparison of chemotherapy for unresectable pulmonary high-grade non-small cell neu-roendocrine carcinoma and small-cell lung cancer. Lung Cancer 2010, 68, 438–445. [Google Scholar] [CrossRef]
- Derks, J.L.; jan van Suylen, R.; Thunnissen, E.; den Bakker, M.A.; Groen, H.J.; Smit, E.F.; Damhuis, R.A.; van den Broek, E.C.; Speel, E.M.; Dingemans, A.C. Chemotherapy for pulmonary large cell neuroendocrine carcinomas: Does the regimen matter? Eur. Respir. J. 2017, 49, 1601838. [Google Scholar] [CrossRef]
- Derks, J.; Leblay, N.; Thunnissen, E.; van Suylen, R.J.; den Bakker, M.; Groen, H.J.; Smit, E.F.; Damhuis, R.; van den Broek, E.C.; Charbrier, A.; et al. Molecular Subtypes of Pulmonary Large-cell Neuroendocrine Carcinoma Predict Chemotherapy Treatment Outcome. Clin. Cancer Res. 2018, 24, 33–42. [Google Scholar] [CrossRef]
- Rossi, G.; Cavazza, A.; Marchioni, A.; Longo, L.; Migaldi, M.; Sartori, G.; Bigiani, N.; Schirosi, L.; Casali, C.; Morandi, U.; et al. Role of chemotherapy and the receptor tyrosine kinases KIT, PDGFRalpha, PDGFRbeta, and Met in large-cell neuroendocrine carcinoma of the lung. J. Clin. Oncol. 2005, 23, 8774–8785. [Google Scholar] [CrossRef] [PubMed]
- Fujiwara, Y.; Sekine, I.; Tsuta, K.; Ohe, Y.; Kunitoh, H.; Yamamoto, N.; Nokihara, H.; Yamada, K.; Tamura, T. Effect of Platinum Combined with Irinotecan or Paclitaxel against Large Cell Neuro-endocrine Carcinoma of the Lung. Jpn. J. Clin. Oncol. 2007, 37, 482–486. [Google Scholar] [CrossRef] [PubMed]
- Niho, S.; Kenmotsu, H.; Sekine, I.; Ishii, G.; Ishikawa, Y.; Noguchi, M.; Oshita, F.; Watanabe, S.-I.; Nakajima, R.; Tada, H.; et al. Combination Chemotherapy with Irinotecan and Cisplatin for Large-Cell Neuroendocrine Carcinoma of the Lung: A Multicenter Phase II Study. J. Thorac. Oncol. 2013, 8, 980–984. [Google Scholar] [CrossRef] [PubMed]










| Test Name | Result | Reference Range |
|---|---|---|
| Serum Chloride | 97.70 | 101–109 mmol/L (Serum) |
| Serum Creatinine | 0.92 | 0.70–1.20 mg/dL (Serum) |
| Serum Glucose | 108.00 | 60–100 mg/dL (Serum) |
| Serum Potassium | 4.31 | 3.5–5.1 mmol/L (Serum) |
| C-Reactive Protein (CRP) | <0.0366 | 0–5 mg/L (Serum) |
| Serum Sodium | 139.30 | 136–146 mmol/L (Serum) |
| Total Serum Calcium | 9.80 | 8.4–10.2 mg/dL (Serum) |
| Aspartate Aminotransferase (AST) | 12.00 | 0–50 U/L (Serum) |
| Alkaline Phosphatase (ALP) | 52.20 | 55–149 U/L (Serum) |
| Lactate Dehydrogenase (LDH) | 215.00 | 135–225 U/L (Serum) |
| Serum Urea | 32.00 | 10.8–38.4 mg/dL (Serum) |
| Quick Time (PT) | 11.60 | 9.4–12.5 s (Plasma) |
| International Normalized Ratio (INR) | 1.05 | 0.8–1.20 (Plasma) |
| Prothrombin Activity | 93.00 | 70–140% (Plasma) |
| Activated Partial Thromboplastin Clotting Time ↘ | 24.20 | 25.1–36.5 s (Plasma) |
| Fibrinogen ↘ | 214.00 | 238–498 mg/dL (Plasma) |
| White Blood Cells (WBC) ↗ | 10.93 | 3.84–9.84 × 103/μL (Blood) |
| Neutrophils ↗ | 9.20 | 1.54–7.04 × 103/μL (Blood) |
| Lymphocytes | 1.16 | 0.97–3.26 × 103/μL (Blood) |
| Monocytes | 0.56 | 0.18–0.78 × 103/μL (Blood) |
| Eosinophils ↘ | 0.00 | 0.04–0.38 × 103/μL (Blood) |
| Basophils | 0.01 | 0.01–0.05 × 103/μL (Blood) |
| Neutrophils % ↗ | 84.20 | 32.5–74.7% (Blood) |
| Lymphocytes % ↘ | 10.60 | 16.4–52.7% (Blood) |
| Monocytes % | 5.10 | 4.4–12.3% (Blood) |
| Eosinophils % | 0.00 | 0.0–4.0% (Blood) |
| Basophils % | 0.10 | 0.1–1.2% (Blood) |
| Red Blood Cell Count (RBC) ↘ | 5.79 | 4.03–5.29 × 106/μL (Blood) |
| Hemoglobin (HGB) ↗ | 15.70 | 11.0–14.5 g/dL (Blood) |
| Hematocrit (HCT) ↗ | 46.00 | 33.9–43.5% (Blood) |
| Mean Corpuscular Volume (MCV) | 79.40 | 76.7–89.2 fL (Blood) |
| Mean Corpuscular Hemoglobin (MCH) | 27.10 | 25.2–30.2 pg (Blood) |
| MCH Concentration (MCHC) ↗ | 34.10 | 31.8–34.8 g/dL (Blood) |
| Red Blood Cell Distribution Width—Standard Deviation (RDW-SD) ↘ | 34.20 | 36.7–43.8 fL (Blood) |
| Red Blood Cell Distribution Width—Coefficient Variation (RDW-CV) | 12.10 | 12.4–14.5% (Blood) |
| Platelets (PLT) | 251.00 | 175–332 × 103/μL (Blood) |
| Mean Platelet Volume (MPV) | 10.30 | 9.6–11.8 fL (Blood) |
| Platelet–Large Cell Ratio (P-LCR) | 28.40 | 18.5–42.3% (Blood) |
| Platelet Distribution Width (PDW) | 12.40 | 10.1–16.1 fL (Blood) |
| Immunohistochemistry | Result |
|---|---|
| Pan-cytokeratin (AE1/AE3) | Positive |
| Cytokeratin 7 (CK7) | Positive |
| Cytokeratin 5/6 (CK5/6) | Negative |
| Tumor Protein 63 (p63) | Negative |
| Synaptophysin | Positive |
| Chromogranin A | Negative |
| CD117 (c-Kit) | Positive |
| S-100 | Negative |
| CD30 | Negative |
| Placental Alkaline Phosphatase (PLAP) | Negative |
| Beta-Human Chorionic Gonadotropin (Beta-HCG) | Negative |
| Thyroid Transcription Factor-1 (TTF1) | Negative |
| Napsin A | Negative |
| Thyroglobulin | Negative |
| Calcitonin | Negative |
| Inhibin | Negative |
| Glypican-3 | Negative |
| Discovered on GIST-1 (DOG1) | Negative |
| Paired Box Gene 8 (PAX8) | Positive |
Disclaimer/Publisher’s Note: The statements, opinions and data contained in all publications are solely those of the individual author(s) and contributor(s) and not of MDPI and/or the editor(s). MDPI and/or the editor(s) disclaim responsibility for any injury to people or property resulting from any ideas, methods, instructions or products referred to in the content. |
© 2025 by the authors. Licensee MDPI, Basel, Switzerland. This article is an open access article distributed under the terms and conditions of the Creative Commons Attribution (CC BY) license (https://creativecommons.org/licenses/by/4.0/).
Share and Cite
Constantin, A.-A.; Cotea, A.A.; Mihălțan, F.-D. Pulmonary Large-Cell Neuroendocrine Carcinoma, a Multifaceted Disease—Case Report and Literature Review. Diagnostics 2025, 15, 1056. https://doi.org/10.3390/diagnostics15091056
Constantin A-A, Cotea AA, Mihălțan F-D. Pulmonary Large-Cell Neuroendocrine Carcinoma, a Multifaceted Disease—Case Report and Literature Review. Diagnostics. 2025; 15(9):1056. https://doi.org/10.3390/diagnostics15091056
Chicago/Turabian StyleConstantin, Ancuța-Alina, Antonio Andrei Cotea, and Florin-Dumitru Mihălțan. 2025. "Pulmonary Large-Cell Neuroendocrine Carcinoma, a Multifaceted Disease—Case Report and Literature Review" Diagnostics 15, no. 9: 1056. https://doi.org/10.3390/diagnostics15091056
APA StyleConstantin, A.-A., Cotea, A. A., & Mihălțan, F.-D. (2025). Pulmonary Large-Cell Neuroendocrine Carcinoma, a Multifaceted Disease—Case Report and Literature Review. Diagnostics, 15(9), 1056. https://doi.org/10.3390/diagnostics15091056

