Quantitative MRI Assessment of Supraspinatus Tendon Remodeling Following a Single Platelet-Rich Plasma Injection Using T2 Mapping and Relaxation Time Profiling
Abstract
1. Introduction
2. Materials and Methods
2.1. Study Population and Study Design
2.2. MRI Protocol
2.3. Patient Evaluation
2.4. PRP Preparation
2.5. PRP Injection
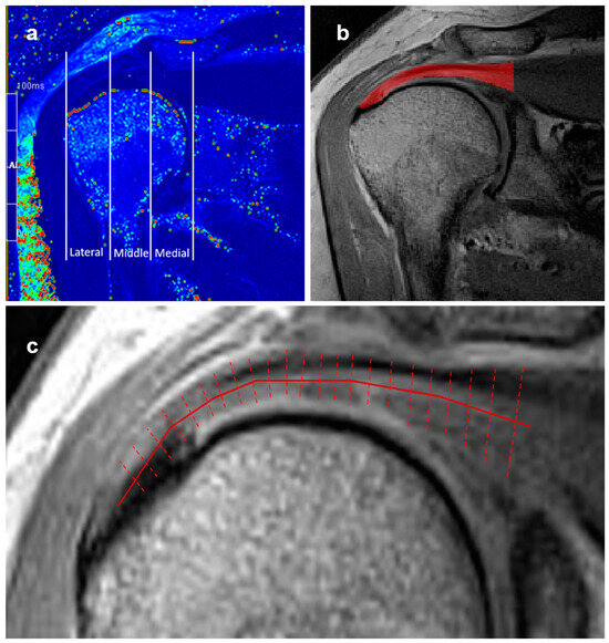
2.6. Image Analysis
2.7. Statistical Analysis
3. Results
3.1. Clinical Evaluation
3.2. Adverse Events After PRP Injection Therapy
3.3. Analysis of T2 Maps
4. Discussion
5. Conclusions
Author Contributions
Funding
Institutional Review Board Statement
Informed Consent Statement
Data Availability Statement
Conflicts of Interest
References
- Chakravarty, K.; Webley, M. Shoulder joint movement and its relationship to disability in the elderly. J. Rheumatol 1993, 20, 1359–1361. [Google Scholar]
- Cong, G.T.; Lebaschi, A.H.; Camp, C.L.; Carballo, C.B.; Nakagawa, Y.; Wada, S.; Deng, X.H.; Rodeo, S.A. Evaluating the Role of Subacromial Impingement in Rotator Cuff Tendinopathy: Development and Analysis of a Novel Murine Model. J. Orthop. Res. 2018, 36, 2780–2788. [Google Scholar] [CrossRef]
- Castro, B.K.C.; Corrêa, F.G.; Maia, L.B.; Oliveira, V.C. Effectiveness of conservative therapy in tendinopathy-related shoulder pain: A systematic review of randomized controlled trials. Phys. Ther. Sport 2021, 48, 15–20. [Google Scholar] [CrossRef] [PubMed]
- Marx, R.E.; Carlson, E.R.; Eichstaedt, R.M.; Schimmele, S.R.; Strauss, J.E.; Georgeff, K.R. Platelet-Rich Plasma: Growth Factor Enhancement for Bone Grafts. Oral Surg. Oral Med. Oral Pathol. Oral Radiol. Endod. 1998, 85, 638–646. [Google Scholar] [CrossRef] [PubMed]
- Foster, T.E.; Puskas, B.L.; Mandelbaum, B.R.; Gerhardt, M.B.; Rodeo, S.A. Platelet-Rich Plasma: From Basic Science to Clinical Applications. Am. J. Sports Med. 2009, 37, 2259–2272. [Google Scholar] [CrossRef] [PubMed]
- Lin, M.-T.; Wei, K.-C.; Wu, C.-H. Effectiveness of Platelet-Rich Plasma Injection in Rotator Cuff Tendinopathy: A Systematic Review and Meta-Analysis of Randomized Controlled Trials. Diagnostics 2020, 10, 189. [Google Scholar] [CrossRef]
- Sconfienza, L.M.; Adriaensen, M.; Albano, D.; Allen, G.; Aparisi Gómez, M.P.; Bazzocchi, A.; Beggs, I.; Bignotti, B.; Chianca, V.; Corazza, A.; et al. Clinical indications for image-guided interventional procedures in the musculoskeletal system: A Delphi-based consensus paper from the European Society of Musculoskeletal Radiology (ESSR)-part I, shoulder. Eur. Radiol. 2020, 30, 903–913. [Google Scholar] [CrossRef] [PubMed]
- Wesner, M.; Defreitas, T.; Bredy, H.; Pothier, L.; Qin, Z.; McKillop, A.B.; Gross, D.P. A Pilot Study Evaluating the Effectiveness of Platelet-Rich Plasma Therapy for Treating Degenerative Tendinopathies: A Randomized Control Trial with Synchronous Observational Cohort. PLoS ONE 2016, 11, e0147842. [Google Scholar] [CrossRef] [PubMed] [PubMed Central]
- Lädermann, A.; Zumstein, M.A.; Kolo, F.C.; Grosclaude, M.; Koglin, L.; Schwitzguebel, A.J.P. In vivo clinical and radiological effects of platelet-rich plasma on interstitial supraspinatus lesion: Case series. Orthop. Traumatol. Surg. Res. 2016, 102, 977–982. [Google Scholar] [CrossRef]
- Khazzam, M.; Kuhn, J.E.; Mulligan, E.; Abboud, J.A.; Baumgarten, K.M.; Brophy, R.H.; Jones, G.L.; Miller, B.; Smith, M.; Wright, R.W. Magnetic Resonance Imaging Identification of Rotator Cuff Retears After Repair: Interobserver and Intraobserver Agreement. Am. J. Sports Med. 2012, 40, 1722–1727. [Google Scholar] [CrossRef]
- Brockmeyer, M.; Schmitt, C.; Haupert, A.; Kohn, D.; Lorbach, O. Limited diagnostic accuracy of magnetic resonance imaging and clinical tests for detecting partial-thickness tears of the rotator cuff. Arch. Orthop. Trauma Surg. 2017, 137, 1719–1724. [Google Scholar] [CrossRef] [PubMed]
- De Jesus, J.O.; Parker, L.; Frangos, A.J.; Nazarian, L.N. Accuracy of MRI, MR arthrography, and ultrasound in the diagnosis of rotator cuff tears: A meta-analysis. Am. J. Roentgenol. 2009, 192, 1701–1707. [Google Scholar] [CrossRef] [PubMed]
- Trudel, G.; Melkus, G.; Cron, G.O.; Louati, H.; Sheikh, A.; Larson, P.E.Z.; Schweitzer, M.; Lapner, P.; Uhthoff, H.K. Imaging of the Rabbit Supraspinatus Enthesis at 7 Tesla: A 4-Week Time Course after Repair Surgery and Effect of Channeling. J. Magn. Reson. Imaging 2017, 45, 1326–1336. [Google Scholar] [CrossRef]
- Fukawa, T.; Yamaguchi, S.; Watanabe, A.; Sasho, T.; Akagi, R.; Muramatsu, Y.; Akatsu, Y.; Katsuragi, J.; Endo, J.; Osone, F.; et al. Quantitative assessment of tendon healing by using MRI T2 mapping in a rabbit Achilles tendon transection model treated with platelet-rich plasma. Radiology 2015, 276, 748–755. [Google Scholar] [CrossRef]
- Breckenridge, J.; McAuley, J.H. Shoulder Pain and Disability Index (SPADI). J. Physiother. 2011, 57, 197. [Google Scholar] [CrossRef]
- Vrotsou, K. Constant-Murley Score: Systematic review and standardized evaluation in different shoulder pathologies. Qual. Life Res. 2018, 27, 2217–2226. [Google Scholar] [CrossRef] [PubMed]
- Sein, M.L.; Walton, J.; Linklater, J.; Harris, C.; Dugal, T.; Appleyard, R.; Kirkbride, B.; Kuah, D.; Murrell, G.A. Reliability of MRI assessment of supraspinatus tendinopathy. Br. J. Sports Med. 2007, 41, e9. [Google Scholar] [CrossRef]
- MDBiologix, Harvest PRP system. Available online: https://www.mdbiologix.com/harvest-prp (accessed on 1 April 2025).
- Finnoff, J.T.; Fowler, S.P.; Lai, J.K.; Santrach, P.J.; Willis, E.A.; Sayeed, Y.A. Treatment of chronic tendinopathy with ultrasound-guided needle tenotomy and platelet-rich plasma injection. PM R 2011, 3, 900–911. [Google Scholar] [CrossRef]
- Pruce, A.M.; Miller, J.A., Jr.; Berger, I.R. Anatomic landmarks in joint paracentesis. Clin. Symp. 1964, 16, 19–30. [Google Scholar]
- Open—Source Program ITK-SNAP (PICSL, University of Pennsylvania, USA). Available online: http://www.itksnap.org/pmwiki/pmwiki.php (accessed on 24 March 2025).
- Anz, A.W.; Lucas, E.P.; Fitzcharles, E.K.; Surowiec, R.K.; Millett, P.J.; Ho, C.P. MRI T2 mapping of the asymptomatic supraspinatus tendon by age and imaging plane using clinically relevant subregions. Eur. J. Radiol. 2014, 83, 801–805. [Google Scholar] [CrossRef]
- Ganal, E.; Ho, C.P.; Wilson, K.J.; Surowiec, R.K.; Smith, W.S.; Dornan, G.J.; Millett, P.J. Quantitative MRI characterization of arthroscopically verified supraspinatus pathology: Comparison of tendon tears, tendinosis and asymptomatic supraspinatus tendons with T2 mapping. Knee Surg. Sports Traumatol. Arthrosc. 2016, 24, 2216–2224. [Google Scholar] [CrossRef] [PubMed]
- R Core Team. R: A Language and Enviroment for Statistical Computing; R Foundation for Statistical Computing: Vienna, Austria, 2021; Available online: https://www.R-project.org/ (accessed on 24 February 2025).
- IBM Corp. IBM SPSS Statistics for Windows, Version 24.0; IBM Corp: Armonk, NY, USA, 2019. [Google Scholar]
- DeLong, J.M.; Russell, R.P.; Mazzocca, A.D. Platelet-Rich Plasma: The PAW Classification System. Arthrosc. J. Arthrosc. Relat. Surg. 2012, 28, 998–1009. [Google Scholar] [CrossRef]
- Desouza, C.; Shetty, V. Effectiveness of platelet-rich plasma in partial-thickness rotator cuff tears: A systematic review. J. ISAKOS 2024, 9, 699–708. [Google Scholar] [CrossRef] [PubMed]
- Hamid, M.S.; Sazlina, S.G. Platelet-rich plasma for rotator cuff tendinopathy: A systematic review and meta-analysis. PLoS ONE 2021, 16, e0251111. [Google Scholar] [CrossRef]
- Nadeau-Vallée, M.; Ellassraoui, S.; Brulotte, V. Platelet-rich plasma (PRP) injections as a second-line treatment in patients with tendinopathy-related chronic pain and failure of conservative treatment: A systematic review and meta-analysis. Pain Med. 2025. [Google Scholar] [CrossRef]
- Prodromos, C.C.; Finkle, S.; Prodromos, A.; Chen, J.L.; Schwartz, A.; Wathen, L. Treatment of rotator cuff tears with platelet rich plasma: A prospective study with 2 year follow-up. BMC Musculoskelet. Disord. 2021, 22, 499. [Google Scholar] [CrossRef] [PubMed]
- Abd Karim, S.; Hamid, M.S.; Choong, A.; Ooi, M.Y.; Usman, J. Effects of platelet-rich plasma and prolotherapy on supraspinatus tendinopathy: A double-blind randomized clinical trial. J. Sports Med. Phys. Fitness 2023, 63, 674–684. [Google Scholar] [CrossRef]
- Ece, B.; Yigit, H.; Ergun, E.; Koseoglu, E.N.; Karavas, E.; Aydin, S.; Kosar, P.N. Quantitative analysis of supraspinatus tendon pathologies via T2/T2* mapping techniques with 1.5 T MRI. Diagnostics 2023, 13, 2534. [Google Scholar] [CrossRef] [PubMed] [PubMed Central]
- Loftus, M.L.; Endo, Y.; Adler, R.S. Retrospective analysis of postinjection ultrasound imaging after platelet-rich plasma or autologous blood: Observational review of anatomic distribution of injected material. AJR Am. J. Roentgenol. 2012, 199, W501–W505. [Google Scholar] [CrossRef]
- Shim, J.W.; Lee, J.-S.; Park, Y.-B.; Cho, H.-C.; Jung, H.-S. The effect of leucocyte concentration of platelet-rich plasma on outcomes in patients with lateral epicondylitis: A systematic review and meta-analysis. J. Shoulder Elb. Surg. 2022, 31, 634–645. [Google Scholar] [CrossRef]
- Dragoo, J.L.; Braun, H.J.; Durham, J.L.; Ridley, B.A.; Odegaard, J.I.; Luong, R.; Arnoczky, S.P. Comparison of the acute inflammatory response of two commercial platelet-rich plasma systems in healthy rabbit tendons. Am. J. Sports Med. 2012, 40, 1274–1281. [Google Scholar] [CrossRef] [PubMed]




| Group | Number of Patients | Male (n) | Female (n) | Median Age (Years) | Age Range (Years) |
|---|---|---|---|---|---|
| Total patients | 26 | 12 | 14 | 49 | 34 (35–69) |
| Tendinosis | 9 | 1 | 8 | 50 | 21 (35–56) |
| Partial tear | 13 | 9 | 4 | 47 | 32 (37–69) |
| Asymptomatic controls | 4 | 2 | 2 | 32 | 2 (31–33) |
| Sequence | ||||||
|---|---|---|---|---|---|---|
| Parameter | Sagittal PD Fat Sat | Coronal PD Fat Sat | Axial PD Fat Sat | Coronal T1 | Sagittal T2 | Coronal T2 Map |
| Repetition time (TR) (ms) | 3570 | 3020 | 3370 | 785 | 6310 | 2000 |
| Echo time (TE) (ms) | 44 | 35 | 35 | 12 | 94 | 11.4 22.8 34.2 45.6 57.0 68.4 79.8 91.2 |
| Flip angle (°) | 120 | 120 | 120 | 120 | 120 | 180 |
| Field of view (mm2) | 150 | 150 | 150 | 150 | 150 | 140 |
| Slice Thickness (mm2) | 2.5 | 2.5 | 2.5 | 2 | 2.5 | 2 |
| Matrix | 207 × 320 | 256 × 320 | 240 × 320 | 250 × 320 | 250 × 320 | 256 × 256 |
| BEFORE | AFTER | |||||||
|---|---|---|---|---|---|---|---|---|
| Questionnaire | Group | Mean | Median | Q1–Q3 Range | Mean | Median | Q1–Q3 Range | p-Value |
| SPADI (1-month after PRP) | All (n = 26) | 52.0 ± 19.9 | 54.0 | 41.0–66.0 | 39.5 ± 25.1 | 35.0 | 17.0–59.0 | 0.007 |
| Tendinosis (n = 13) | 55.0 ± 19.3 | 56.0 | 40.0–72.0 | 39.6 ± 24.8 | 31.0 | 16.5–60.5 | 0.003 | |
| Partial tear (n = 13) | 48.9 ± 20.8 | 47.0 | 35.5–64.0 | 39.3 ± 26.3 | 35.0 | 16.5–60.0 | 0.229 | |
| SPADI (6-months after PRP) | All (n = 26) | 52.0 ± 19.9 | 54.0 | 41.0–66.0 | 17.0 ± 20.6 | 9.5 | 2.0–19.5 | <0.001 |
| Tendinosis (n = 13) | 55.0 ± 19.3 | 56.0 | 40.0–72.0 | 14.7 ± 21.9 | 8.0 | 1.0–16.5 | <0.001 | |
| Partial tear (n = 13) | 48.9 ± 20.8 | 47.0 | 35.5–64.0 | 19.3 ± 19.8 | 14.0 | 4.0–32.0 | 0.005 | |
| CONSTANT-MURLEY (6-months after PRP) | All (n = 26) | 40.1 ± 14.9 | 38.5 | 29.0–51.5 | 71.0 ± 22.0 | 73.0 | 59.5–89.0 | <0.001 |
| Tendinosis (n = 13) | 40.8 ± 12.5 | 39.0 | 30.5–54.0 | 76.5 ± 19.8 | 78.0 | 63.0–96.5 | <0.001 | |
| Partial tear (n = 13) | 39.6 ± 17.6 | 38.0 | 27.0–50.0 | 67.0 ± 23.8 | 69.0 | 41.0–88.0 | 0.008 |
| BEFORE | AFTER | |||||
|---|---|---|---|---|---|---|
| Slope | Intercept | Slope | Intercept | p-Value | ||
| TENDINOSIS (n = 9) | Lateral | −0.268 | 39.5 | −0.195 | 34.6 | 0.0056 |
| Middle | 0.151 | 28.4 | 0.572 | 6.15 | 0.0014 | |
| Medial | −0.347 | 70.1 | −0.359 | 72.4 | 0.1849 | |
| PARTIAL TEAR (n = 13) | Lateral | −0.458 | 43.8 | −0.187 | 40.6 | 0.0021 |
| Middle | 0.264 | 20.9 | 0.402 | 16.0 | 0.0078 | |
| Medial | −0.135 | 52.0 | −0.284 | 64.2 | 0.1285 | |
| ASYMPTOMATIC CONTROLS (n = 4) | Lateral | 0.217 | 24.5 | |||
| Midlle | 0.430 | 12.4 | ||||
| Medial | −0.174 | 51.4 |
| Group | Segment | BEFORE (Mean T2 [ms] ± SD) | AFTER (Mean T2 [ms] ± SD) | p-Value |
|---|---|---|---|---|
| TENDINOSIS (n = 9) | Lateral | 34.9 ± 11.6 | 31.3 ± 8.9 | 0.2500 |
| Middle | 35.9 ± 11.8 | 34.7 ± 13.5 | 0.4961 | |
| Medial | 41.2 ± 9.5 | 42.4 ± 7.9 | 0.4258 | |
| PARTIAL TEAR (n = 13) | Lateral | 36.1 ± 13.0 | 37.4 ± 11.9 | 0.5417 |
| Middle | 34.1 ± 7.6 | 36.0 ± 11.1 | 0.1677 | |
| Medial | 40.8 ± 11.6 | 40.5 ± 10.8 | 0.6848 | |
| ASYMPTOMATIC CONTROLS (n = 4) | Lateral | 28.1 ± 6.1 | ||
| Middle | 33.9 ± 6.4 | |||
| Medial | 36.9 ± 3.3 |
Disclaimer/Publisher’s Note: The statements, opinions and data contained in all publications are solely those of the individual author(s) and contributor(s) and not of MDPI and/or the editor(s). MDPI and/or the editor(s) disclaim responsibility for any injury to people or property resulting from any ideas, methods, instructions or products referred to in the content. |
© 2025 by the authors. Licensee MDPI, Basel, Switzerland. This article is an open access article distributed under the terms and conditions of the Creative Commons Attribution (CC BY) license (https://creativecommons.org/licenses/by/4.0/).
Share and Cite
Pintarić, K.; Vovk, A.; Salapura, V.; Snoj, Ž.; Vidmar, J. Quantitative MRI Assessment of Supraspinatus Tendon Remodeling Following a Single Platelet-Rich Plasma Injection Using T2 Mapping and Relaxation Time Profiling. Diagnostics 2025, 15, 1049. https://doi.org/10.3390/diagnostics15081049
Pintarić K, Vovk A, Salapura V, Snoj Ž, Vidmar J. Quantitative MRI Assessment of Supraspinatus Tendon Remodeling Following a Single Platelet-Rich Plasma Injection Using T2 Mapping and Relaxation Time Profiling. Diagnostics. 2025; 15(8):1049. https://doi.org/10.3390/diagnostics15081049
Chicago/Turabian StylePintarić, Karlo, Andrej Vovk, Vladka Salapura, Žiga Snoj, and Jernej Vidmar. 2025. "Quantitative MRI Assessment of Supraspinatus Tendon Remodeling Following a Single Platelet-Rich Plasma Injection Using T2 Mapping and Relaxation Time Profiling" Diagnostics 15, no. 8: 1049. https://doi.org/10.3390/diagnostics15081049
APA StylePintarić, K., Vovk, A., Salapura, V., Snoj, Ž., & Vidmar, J. (2025). Quantitative MRI Assessment of Supraspinatus Tendon Remodeling Following a Single Platelet-Rich Plasma Injection Using T2 Mapping and Relaxation Time Profiling. Diagnostics, 15(8), 1049. https://doi.org/10.3390/diagnostics15081049
