Duodenal Biopsies for Coeliac Disease: Does Size Matter?
Abstract
1. Introduction
2. Materials and Methods
2.1. Study Design and Participants
2.2. Sample Size
2.3. Endoscopy and Biopsy Protocol
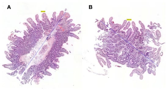
2.4. Histopathological Assessment
2.5. Ethical Approval
2.6. Statistical Analysis
3. Results
3.1. Participant Characteristics
3.2. Endoscopy and Biopsies
3.3. Histopathological Assessment and Comparison of Biopsy Forceps Samples
4. Discussion
5. Conclusions
Author Contributions
Funding
Institutional Review Board Statement
Informed Consent Statement
Data Availability Statement
Conflicts of Interest
Abbreviations
| TNE | Transnasal endoscopy; |
| D1 | Duodenal bulb; |
| D2 | Second part of the duodenum; |
| H&E | Hematoxylin and eosin; |
| K | Cohen’s kappa. |
References
- Lebwohl, B.; Sanders, D.S.; Green, P.H.R. Coeliac Disease. Lancet 2018, 391, 70–81. [Google Scholar] [CrossRef] [PubMed]
- Singh, P.; Arora, A.; Strand, T.A.; Leffler, D.A.; Catassi, C.; Green, P.H.; Kelly, C.P.; Ahuja, V.; Makharia, G.K. Global Prevalence of Celiac Disease: Systematic Review and Meta-Analysis. Clin. Gastroenterol. Hepatol. 2018, 16, 823–836.e2. [Google Scholar] [CrossRef] [PubMed]
- King, J.A.; Jeong, J.; Underwood, F.E.; Quan, J.; Panaccione, N.; Windsor, J.W.; Coward, S.; Debruyn, J.; Ronksley, P.E.; Shaheen, A.A.; et al. Incidence of Celiac Disease Is Increasing over Time: A Systematic Review and Meta-Analysis. Am. J. Gastroenterol. 2020, 115, 507–525. [Google Scholar] [CrossRef] [PubMed]
- Anderson, R.P. Review Article: Diagnosis of Coeliac Disease: A Perspective on Current and Future Approaches. Aliment. Pharmacol. Ther. 2022, 56, S18–S37. [Google Scholar] [CrossRef]
- Fjorback, S.S.O.; Eskildsen, F.R.; Kårhus, L.L.; Linneberg, A.; Lund, A.F.; Schiøtz, M.L.; Grew, J. ‘It Was Hell on Earth’: Perspectives of People Living with Celiac Disease on Diagnostic Delay. J. Hum. Nutr. Diet. 2024, 37, 1486–1495. [Google Scholar] [CrossRef]
- Shiha, M.G.; Chetcuti Zammit, S.; Elli, L.; Sanders, D.S.; Sidhu, R. Updates in the Diagnosis and Management of Coeliac Disease. Best Pract. Res. Clin. Gastroenterol. 2023, 64–65, 101843. [Google Scholar] [CrossRef]
- Oberhuber, G.; Granditsch, G.; Vogelsang, H. The Histopathology of Coeliac Disease. Eur. J. Gastroenterol. Hepatol. 1999, 11, 1185. [Google Scholar] [CrossRef]
- Al-Toma, A.; Volta, U.; Auricchio, R.; Castillejo, G.; Sanders, D.S.; Cellier, C.; Mulder, C.J.; Lundin, K.E.A. European Society for the Study of Coeliac Disease (ESsCD) Guideline for Coeliac Disease and Other Gluten-Related Disorders. United Eur. Gastroenterol. J. 2019, 7, 583–613. [Google Scholar] [CrossRef]
- Shiha, M.G.; Nandi, N.; Raju, S.A.; Wild, G.; Cross, S.S.; Singh, P.; Elli, L.; Makharia, G.K.; Sanders, D.S.; Penny, H.A. Accuracy of the No-Biopsy Approach for the Diagnosis of Celiac Disease in Adults: A Systematic Review and Meta-Analysis. Gastroenterology 2024, 166, 620–630. [Google Scholar] [CrossRef]
- Husby, S.; Koletzko, S.; Korponay-Szabó, I.; Kurppa, K.; Mearin, M.L.; Ribes-Koninckx, C.; Shamir, R.; Troncone, R.; Auricchio, R.; Castillejo, G.; et al. European Society Paediatric Gastroenterology, Hepatology and Nutrition Guidelines for Diagnosing Coeliac Disease 2020. J. Pediatr. Gastroenterol. Nutr. 2020, 70, 141–156. [Google Scholar] [CrossRef]
- Ludvigsson, J.F.; Bai, J.C.; Biagi, F.; Card, T.R.; Ciacci, C.; Ciclitira, P.J.; Green, P.H.R.; Hadjivassiliou, M.; Holdoway, A.; Van Heel, D.A.; et al. Diagnosis and Management of Adult Coeliac Disease: Guidelines from the British Society of Gastroenterology. Gut 2014, 63, 1210–1228. [Google Scholar] [CrossRef] [PubMed]
- Rubio-Tapia, A.; Hill, I.D.; Semrad, C.; Kelly, C.P.; Lebwohl, B. American College of Gastroenterology Guidelines Update: Diagnosis and Management of Celiac Disease. Am. J. Gastroenterol. 2023, 118, 59–76. [Google Scholar] [CrossRef] [PubMed]
- Parker, C.; Alexandridis, E.; Plevris, J.; O’Hara, J.; Panter, S. Transnasal Endoscopy: No Gagging No Panic! Frontline Gastroenterol. 2016, 7, 246–256. [Google Scholar] [CrossRef] [PubMed]
- Alexandridis, E.; Inglis, S.; McAvoy, N.C.; Falconer, E.; Graham, C.; Hayes, P.C.; Plevris, J.N. Randomised Clinical Study: Comparison of Acceptability, Patient Tolerance, Cardiac Stress and Endoscopic Views in Transnasal and Transoral Endoscopy under Local Anaesthetic. Aliment. Pharmacol. Ther. 2014, 40, 467–476. [Google Scholar] [CrossRef]
- Tai, F.W.D.; Ching, H.L.; Sloan, M.; Sidhu, R.; McAlindon, M. Comparison of Patient Tolerance and Acceptability of Magnet-Controlled Capsule Endoscopy and Flexible Endoscopy in the Investigation of Dyspepsia. Endosc. Int. Open 2022, 10, E735–E744. [Google Scholar] [CrossRef]
- Grant, R.K.; Brindle, W.M.; Robertson, A.R.; Kalla, R.; Plevris, J.N. Unsedated Transnasal Endoscopy: A Safe, Well-Tolerated and Accurate Alternative to Standard Diagnostic Peroral Endoscopy. Dig. Dis. Sci. 2022, 67, 1937–1947. [Google Scholar] [CrossRef]
- Saeian, K.; Staff, D.M.; Vasilopoulos, S.; Townsend, W.F.; Almagro, U.A.; Komorowski, R.A.; Choi, H.; Shaker, R. Unsedated Transnasal Endoscopy Accurately Detects Barrett’s Metaplasia and Dysplasia. Gastrointest. Endosc. 2002, 56, 472–478. [Google Scholar] [CrossRef]
- Marsh, M.N. Gluten, Major Histocompatibility Complex, and the Small Intestine. A Molecular and Immunobiologic Approach to the Spectrum of Gluten Sensitivity (‘celiac Sprue’). Gastroenterology 1992, 102, 330–354. [Google Scholar] [CrossRef]
- Crosby, B.T.; Munglani, L.; Wright, K.; Charles, K.; Evans, W.; Mathias, M.; Davies, S.; Abdalla, B.; Turner, J.; Crosby, T.; et al. Impact of Introducing Transnasal Endoscopy on Expanding Diagnostic Endoscopy Services. BMJ Open Qual. 2025, 14, e002992. [Google Scholar] [CrossRef]
- Tai, F.W.D.; Healy, A.; Thokala, P.; Chetcuti Zammit, S.; Sidhu, R.; McAlindon, M. Cost Comparison of Oral, Transnasal and Magnet Assisted Capsule Endoscopy in the Examination of the Upper Gastrointestinal Tract in Patients with Dyspepsia. Frontline Gastroenterol. 2023, 14, 300–305. [Google Scholar] [CrossRef]
- Jeon, S.J.; Shin, S.J.; Lee, K.M.; Lim, S.K.; Lee, Y.C.; Lee, M.H.; Hwang, J.C.; Cheong, J.Y.; Yoo, B.M.; Kim, J.H. Can the 1.8 mm Transnasal Biopsy Forceps Instead of Standard 2.2mm Alter Rapid Urease Test and Histological Diagnosis? J. Gastroenterol. Hepatol. 2012, 27, 1384–1387. [Google Scholar] [CrossRef] [PubMed]
- Al-Karawi, M.A.; Sanai, F.M.; Al-Madani, A.; Kfoury, H.; Yasawy, M.I.; Sandokji, A. Comparison of Peroral versus Ultrathin Transnasal Endoscopy in the Diagnosis of Upper Gastrointestinal Pathology. Ann. Saudi Med. 2000, 20, 328–330. [Google Scholar] [CrossRef] [PubMed][Green Version]
- Walter, T.; Chesnay, A.L.; Dumortier, J.; Mège-Lechevallier, F.; Hervieu, V.; Guillaud, O.; Lapalus, M.G.; Lépilliez, V.; Fumex, F.; Ponchon, T.; et al. Biopsy Specimens Obtained with Small-Caliber Endoscopes Have Comparable Diagnostic Performances than Those Obtained with Conventional Endoscopes: A Prospective Study on 1335 Specimens. J. Clin. Gastroenterol. 2010, 44, 12–17. [Google Scholar] [CrossRef] [PubMed]
- Villanacci, V.; Del Sordo, R.; Casella, G.; Becheanu, G.; Oberti, A.; Belfekih, B.; Bassotti, G.; Ravelli, A. The Correct Methodological Approach to the Diagnosis of Celiac Disease: The Point of View of the Pathologist. Gastroenterol. Hepatol. Bed Bench 2023, 16, 129–135. [Google Scholar] [CrossRef]
- Conrad, N.; Misra, S.; Verbakel, J.Y.; Verbeke, G.; Molenberghs, G.; Taylor, P.N.; Mason, J.; Sattar, N.; McMurray, J.J.V.V.; McInnes, I.B.; et al. Incidence, Prevalence, and Co-Occurrence of Autoimmune Disorders over Time and by Age, Sex, and Socioeconomic Status: A Population-Based Cohort Study of 22 Million Individuals in the UK. Lancet 2023, 401, 1878–1890. [Google Scholar] [CrossRef]

| Sex, n (%) | |
| Female | 5 (50) |
| Male | 5 (50) |
| Age in years, median (IQR) | 45 (28–60) |
| Presentation, n (%) | |
| Gastrointestinal symptoms | 5 (50) |
| Extra-intestinal symptoms | 2 (20) |
| Family history | 4 (40) |
| Autoimmune disease screening | 1 (10) |
| Serology | |
| tTG titre (U/mL), median (IQR) | 17 (12.5–64.0) |
| EMA positivity *, n (%) | 6/8 (75) |
| Blood results, n (%) | |
| Anaemia | 0 |
| B12 deficiency | 0 |
| Folate deficiency | 3 (30) |
| Vitamin D deficiency | 0 |
| Calcium deficiency | 1 (10) |
| Endoscopy and histology ⱡ, n (%) | |
| Macroscopic signs of atrophy | 3 (30) |
| Marsh 0 | 3 (30) |
| Marsh 1 | 0 |
| Marsh 2 | 0 |
| Marsh 3 | 7 (70) |
| Standard Biopsy Forceps | Small Biopsy Forceps | |||
|---|---|---|---|---|
| D2 Biopsies | D1 Biopsies | D2 Biopsies | D1 Biopsies | |
| Patient 1 | Marsh 0 | Marsh 0 | Marsh 0 | Marsh 0 |
| Patient 2 | Marsh 3 | Marsh 3 | Marsh 3 | Marsh 3 |
| Patient 3 | Marsh 1 | Marsh 3 | Marsh 1 | Marsh 3 |
| Patient 4 | Marsh 3 | Marsh 3 | Marsh 3 | Marsh 3 |
| Patient 5 | Marsh 3 | Marsh 3 | Marsh 3 | Marsh 3 |
| Patient 6 | Marsh 3 | Marsh 3 | Marsh 3 | Marsh 3 |
| Patient 7 | Marsh 0 | Marsh 0 | Marsh 0 | Marsh 0 |
| Patient 8 | Marsh 3 | Marsh 3 | Marsh 3 | Marsh 3 |
| Patient 9 | Marsh 3 | Marsh 3 | Marsh 3 | Marsh 3 |
| Patient 10 | Marsh 0 | Marsh 0 | Marsh 0 | Marsh 0 |
Disclaimer/Publisher’s Note: The statements, opinions and data contained in all publications are solely those of the individual author(s) and contributor(s) and not of MDPI and/or the editor(s). MDPI and/or the editor(s) disclaim responsibility for any injury to people or property resulting from any ideas, methods, instructions or products referred to in the content. |
© 2025 by the authors. Licensee MDPI, Basel, Switzerland. This article is an open access article distributed under the terms and conditions of the Creative Commons Attribution (CC BY) license (https://creativecommons.org/licenses/by/4.0/).
Share and Cite
Shiha, M.G.; Manza, F.; Raju, S.A.; Hopper, A.D.; Cross, S.S.; Sanders, D.S. Duodenal Biopsies for Coeliac Disease: Does Size Matter? Diagnostics 2025, 15, 1000. https://doi.org/10.3390/diagnostics15081000
Shiha MG, Manza F, Raju SA, Hopper AD, Cross SS, Sanders DS. Duodenal Biopsies for Coeliac Disease: Does Size Matter? Diagnostics. 2025; 15(8):1000. https://doi.org/10.3390/diagnostics15081000
Chicago/Turabian StyleShiha, Mohamed G., Francesca Manza, Suneil A. Raju, Andrew D. Hopper, Simon S. Cross, and David S. Sanders. 2025. "Duodenal Biopsies for Coeliac Disease: Does Size Matter?" Diagnostics 15, no. 8: 1000. https://doi.org/10.3390/diagnostics15081000
APA StyleShiha, M. G., Manza, F., Raju, S. A., Hopper, A. D., Cross, S. S., & Sanders, D. S. (2025). Duodenal Biopsies for Coeliac Disease: Does Size Matter? Diagnostics, 15(8), 1000. https://doi.org/10.3390/diagnostics15081000

