Best Practices for the Use of High-Frequency Ultrasound to Guide Esthetic Filler Injections—Part 3: Lower Third of the Face
Abstract
1. Introduction
2. Materials and Methods
- -
- Scan before injecting: The treatment area is scanned immediately prior to the injection to identify the location of vascular structures. The paths of the main arteries can be marked on the patient’s skin to guide the procedure.
- -
- Scan while injecting: In this method, the cannula is tracked in real time using ultrasound as it is guided to the target anatomical layer, ensuring that vascular structures are avoided.
3. Results
3.1. Mandibular Region (Posterior and Anterior)
3.1.1. Sonographic Anatomy
3.1.2. Ultrasound-Guided Filling Techniques for the Posterior Mandibular Region (Jawline)
- Technique 1: Deep injections of the mandibular angle using a needle
- Technique 2: Injection of the jawline with a blunt cannula
3.1.3. Ultrasound-Guided Filling Techniques of the Anterior Mandibular Region (Pre-Jowl)
- Technique 1: Deep injections with a needle
- Technique 2: Injection with a blunt cannula
3.2. Labiomandibular Folds or Marionette Lines
Ultrasound-Guided Filling Techniques of the Marionette Line
- Subcutaneous filler placement with a blunt cannula
- Submuscular filler placement with a blunt cannula
3.3. Lips
3.3.1. Sonographic Anatomy
3.3.2. Ultrasound-Guided Filling Techniques of the Lips
- Filling of the Cutaneous Lip
- Filling the vermilion of the lip
- In general, lip filler techniques can be categorized based on the following:
- Injection method: cannula or needle;
- Injection depth: superficial (below the dry mucosa) or deep (submuscular);
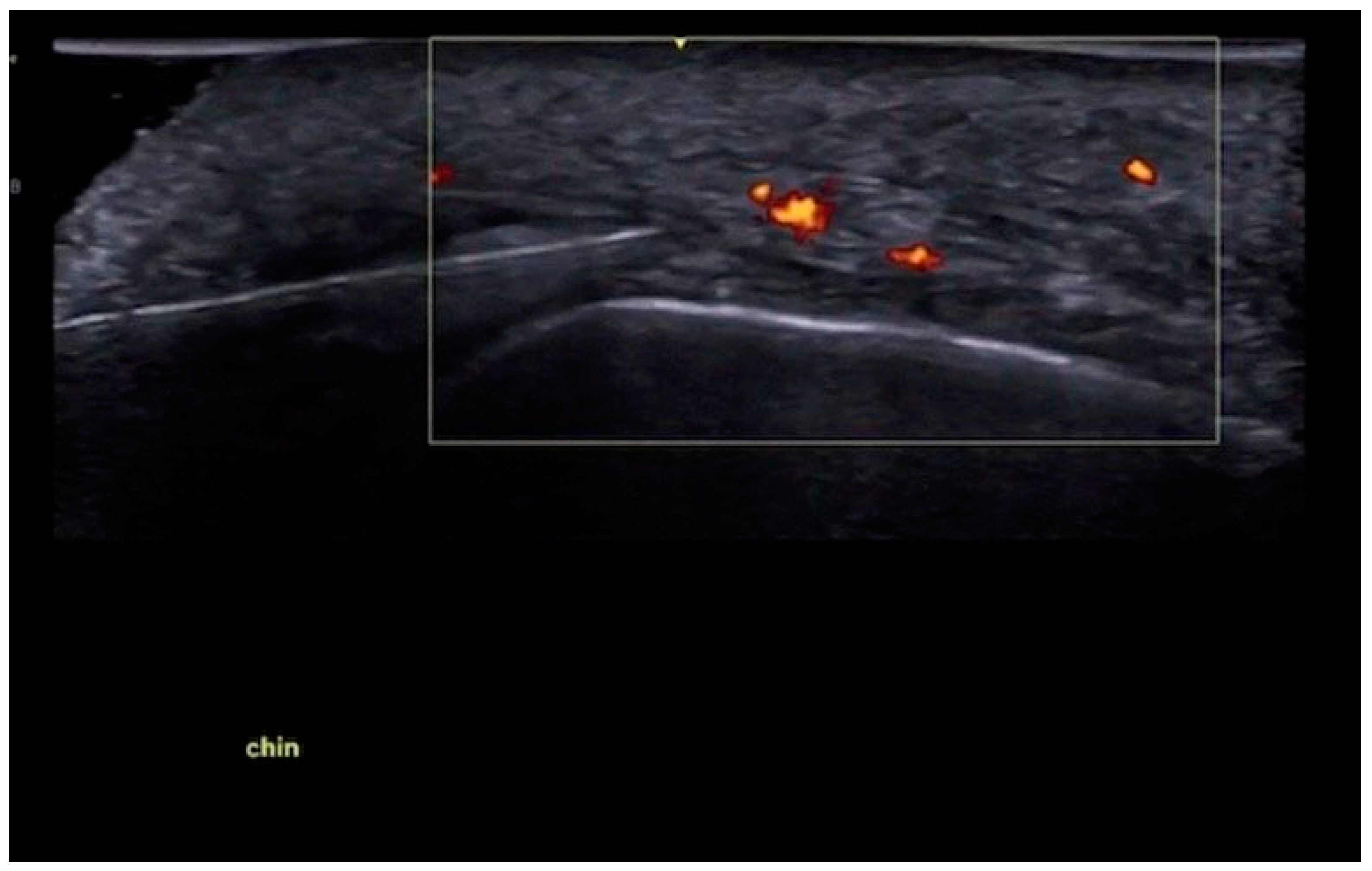
3.4. Chin
3.4.1. Sonographic Anatomy of the Chin
3.4.2. Ultrasound-Guided Filling Techniques of the Chin
4. Discussion
5. Conclusions
Author Contributions
Funding
Informed Consent Statement
Data Availability Statement
Conflicts of Interest
References
- Salinas, C.A.; Liu, A.; Sharaf, B.A. Analysis of Sexual Dimorphic Features of the Jawline and Chin in White Celebrity Faces. J. Craniofac. Surg. 2024, 35, 446–451. [Google Scholar] [CrossRef]
- de Maio, M. Ethnic and Gender Considerations in the Use of Facial Injectables: Male Patients. Plast. Reconstr. Surg. 2015, 136 (Suppl. S5), 40S–43S. [Google Scholar] [CrossRef]
- Toledo Avelar, L.E.; Cardoso, M.A.; Santos Bordoni, L.; de Miranda Avelar, L.; de Miranda Avelar, J.V. Aging and Sexual Differences of the Human Skull. Plast. Reconstr. Surg.—Glob. Open 2017, 5, e1297. [Google Scholar]
- Keaney, T.C.; Anolik, R.; Braz, A.; Eidelman, M.; Eviatar, J.A.; Green, J.B.; Jones, D.H.; Narurkar, V.A.; Rossi, A.M.; Gallagher, C.J. The Male Aesthetic Patient: Facial Anatomy, Concepts of Attractiveness, and Treatment Patterns. J. Drugs Dermatol. 2018, 17, 19–28. [Google Scholar] [PubMed]
- Braz, A.; Eduardo, C.C.P. Reshaping the Lower Face Using Injectable Fillers. Indian J. Plast. Surg. 2020, 53, 207–218. [Google Scholar] [PubMed]
- de Maio, M. Myomodulation with Injectable Fillers: An Innovative Approach to Addressing Facial Muscle Movement. Aesthet. Plast. Surg. 2018, 42, 798–814. [Google Scholar] [CrossRef] [PubMed]
- Coimbra, D.D.; Stefanello, B. Myomodulation with Facial Fillers: A Comprehensive Technical Guide and Retrospective Case Series. Aesthet. Plast. Surg. 2023, 47, 1162–1174. [Google Scholar]
- Sigrist, R.; Desyatnikova, S.; Chammas, M.C.; Vasconcelos-Berg, R. Best Practices for the Use of High-Frequency Ultrasound to Guide Aesthetic Filler Injections—Part 1: Upper Third of the Face. Diagnostics 2024, 14, 1718. [Google Scholar] [CrossRef]
- Vasconcelos-Berg, R.; Desyatnikova, S.; Bonavia, P.; Chammas, M.C.; Navarini, A.; Sigrist, R. Best Practices for the Use of High-Frequency Ultrasound to Guide Aesthetic Filler Injections—Part 2: Middle Third of the Face, Nose, and Tear Troughs. Diagnostics 2024, 14, 2544. [Google Scholar] [CrossRef]
- Vasconcelos-Berg, R.; Izidoro, J.F.; Wenz, F.; Müller, A.; Navarini, A.A.; Sigrist, R.M.S. Doppler Ultrasound-Guided Filler Injections: Useful Tips to Integrate Ultrasound in Daily Practice. Aesthet. Surg. J. 2023, 43, 773–783. [Google Scholar]
- Kochhar, A.; Larian, B.; Azizzadeh, B. Facial Nerve and Parotid Gland Anatomy. Otolaryngol. Clin. N. Am. 2016, 49, 273–284. [Google Scholar]
- Schelke, L.; Schoonen, T.; Velthuis, P.J. Filler Injections in the Pre-Auricular Space: Be Aware of the Parotid Gland. J. Cosmet. Dermatol. 2023, 22, 173–176. [Google Scholar]
- Hong, G.W.; Kim, S.B.; Park, S.Y.; Wan, J.; Yi, K.H. Why Do Marionette Lines Appear? Exploring the Anatomical Perspectives and Role of Thread-Based Interventions. Ski. Res. Technol. 2024, 30, e13676. [Google Scholar] [CrossRef]
- Cotofana, S.; Alfertshofer, M.; Schenck, T.L.; Bertucci, V.; Beleznay, K.; Ascher, B.; Lachmann, N.; Green, J.B.; Swift, A.; Frank, K. Anatomy of the Superior and Inferior Labial Arteries Revised: An Ultrasound Investigation and Implication for Lip Volumization. Aesthet. Surg. J. 2020, 40, 1327–1335. [Google Scholar] [PubMed]
- Kim, J.S. 9-Point Injection Technique for Lip Augmentation and Lip Corner Lifting Using Sonographic Imaging of the Labial Artery Pathway. Aesthet. Surg. J. 2024, 44, 1080–1090. [Google Scholar]
- Rohrich, R.J.; Pessa, J.E. The Anatomy and Clinical Implications of Perioral Submuscular Fat. Plast. Reconstr. Surg. 2009, 124, 266–271. [Google Scholar] [PubMed]
- Baudoin, J.; Meuli, J.N.; di Summa, P.G.; Watfa, W.; Raffoul, W. A Comprehensive Guide to Upper Lip Aesthetic Rejuvenation. J. Cosmet. Dermatol. 2019, 18, 444–450. [Google Scholar] [CrossRef]
- Cooper, H.; Gray, T.; Fronek, L.; Witfill, K. Lip Augmentation with Hyaluronic Acid Fillers: A Review of Considerations and Techniques. J. Drugs Dermatol. 2023, 22, 23–29. [Google Scholar] [CrossRef]
- Stojanovič, L.; Majdič, N. Effectiveness and Safety of Hyaluronic Acid Fillers Used to Enhance Overall Lip Fullness: A Systematic Review of Clinical Studies. J. Cosmet. Dermatol. 2019, 18, 436–443. [Google Scholar]
- Tansatit, T.; Apinuntrum, P.; Phetudom, T. A Typical Pattern of the Labial Arteries with Implication for Lip Augmentation with Injectable Fillers. Aesthet. Plast. Surg. 2014, 38, 1083–1089. [Google Scholar] [CrossRef]
- Trévidic, P.; Criollo-Lamilla, G. French Kiss Technique: An Anatomical Study and Description of a New Method for Safe Lip Eversion. Dermatol. Surg. 2020, 46, 1410–1417. [Google Scholar] [PubMed]
- Lee, H.J.; Won, S.Y.; O, J.; Hu, K.S.; Mun, S.Y.; Yang, H.M.; Kim, H.J. The Facial Artery: A Comprehensive Anatomical Review. Clin. Anat. 2018, 31, 99–108. [Google Scholar] [PubMed]
- Iwanaga, J.; Matsushita, Y.; Decater, T.; Ibaragi, S.; Tubbs, R.S. Mandibular Canal vs. Inferior Alveolar Canal: Evidence-Based Terminology Analysis. Clin. Anat. 2021, 34, 209–217. [Google Scholar] [PubMed]
- Quach, B.; Clevens, R.A. Complications of Injectables. Atlas Oral Maxillofac. Surg. Clin. N. Am. 2024, 32, 57–63. [Google Scholar]
- Kyriazidis, I.; Spyropoulou, G.-A.; Zambacos, G.; Tagka, A.; Rakhorst, H.A.; Gasteratos, K.; Berner, J.E.; Mandrekas, A. Adverse Events Associated with Hyaluronic Acid Filler Injection for Non-Surgical Facial Aesthetics: A Systematic Review of High Level of Evidence Studies. Aesthet. Plast. Surg. 2024, 48, 719–741. [Google Scholar]






















Disclaimer/Publisher’s Note: The statements, opinions and data contained in all publications are solely those of the individual author(s) and contributor(s) and not of MDPI and/or the editor(s). MDPI and/or the editor(s) disclaim responsibility for any injury to people or property resulting from any ideas, methods, instructions or products referred to in the content. |
© 2025 by the authors. Licensee MDPI, Basel, Switzerland. This article is an open access article distributed under the terms and conditions of the Creative Commons Attribution (CC BY) license (https://creativecommons.org/licenses/by/4.0/).
Share and Cite
Vasconcelos-Berg, R.; Desyatnikova, S.; Bonavia, P.; Navarini, A.; Chammas, M.C.; Sigrist, R. Best Practices for the Use of High-Frequency Ultrasound to Guide Esthetic Filler Injections—Part 3: Lower Third of the Face. Diagnostics 2025, 15, 921. https://doi.org/10.3390/diagnostics15070921
Vasconcelos-Berg R, Desyatnikova S, Bonavia P, Navarini A, Chammas MC, Sigrist R. Best Practices for the Use of High-Frequency Ultrasound to Guide Esthetic Filler Injections—Part 3: Lower Third of the Face. Diagnostics. 2025; 15(7):921. https://doi.org/10.3390/diagnostics15070921
Chicago/Turabian StyleVasconcelos-Berg, Roberta, Stella Desyatnikova, Paula Bonavia, Alexander Navarini, Maria Cristina Chammas, and Rosa Sigrist. 2025. "Best Practices for the Use of High-Frequency Ultrasound to Guide Esthetic Filler Injections—Part 3: Lower Third of the Face" Diagnostics 15, no. 7: 921. https://doi.org/10.3390/diagnostics15070921
APA StyleVasconcelos-Berg, R., Desyatnikova, S., Bonavia, P., Navarini, A., Chammas, M. C., & Sigrist, R. (2025). Best Practices for the Use of High-Frequency Ultrasound to Guide Esthetic Filler Injections—Part 3: Lower Third of the Face. Diagnostics, 15(7), 921. https://doi.org/10.3390/diagnostics15070921

