Use of Injection of Hemostatic Gelfoam Mixture During Percutaneous Core Biopsy for Renal Tumors: A Comparative Retrospective Study of Outcomes Regarding Bleeding Complications, Hospital Stay, and Diagnostic Yield Accuracy
Abstract
1. Introduction
2. Materials and Methods
2.1. Study Design
- Group A (Gelfoam): Patients received an injection of a Gelfoam slurry into the biopsy tract immediately following tissue sampling.
- Group B (Control): Patients underwent standard PKB without Gelfoam injection.
2.2. Patient Selection
2.2.1. Inclusion Criteria
- Adult patients (≥18 years).
- Underwent PKB for the evaluation of suspected renal cancer.
- Procedures that included exactly 2 biopsy samples using 2 tissue passes with an 18-gauge biopsy pistol.
- Availability of complete clinical data (demographics, biopsy indications, procedural details, outcomes).
2.2.2. Exclusion Criteria
- Patients with known coagulopathies or those on anticoagulant therapy not managed per protocol.
- Incomplete or missing procedural data.
- Cases with more than 2 biopsy samples or multiple tissue passes.
- While most tumors measured 4.3–4.5 cm, no size-based exclusion was applied; patients on antiplatelet medications were managed per institutional guidelines.
2.2.3. Patient Allocation
2.3. Biopsy Procedure
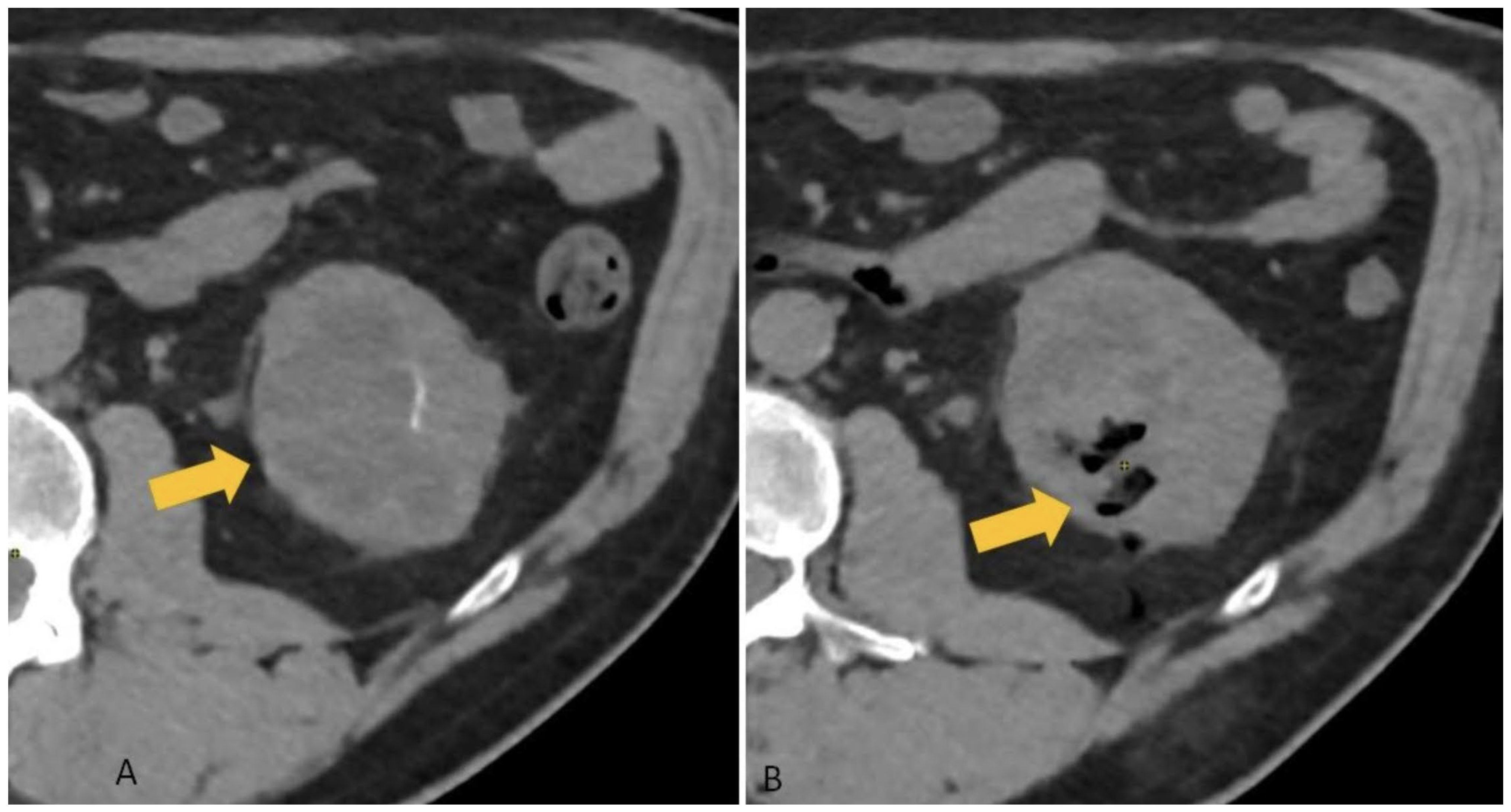
2.3.1. Gelfoam Preparation and Injection
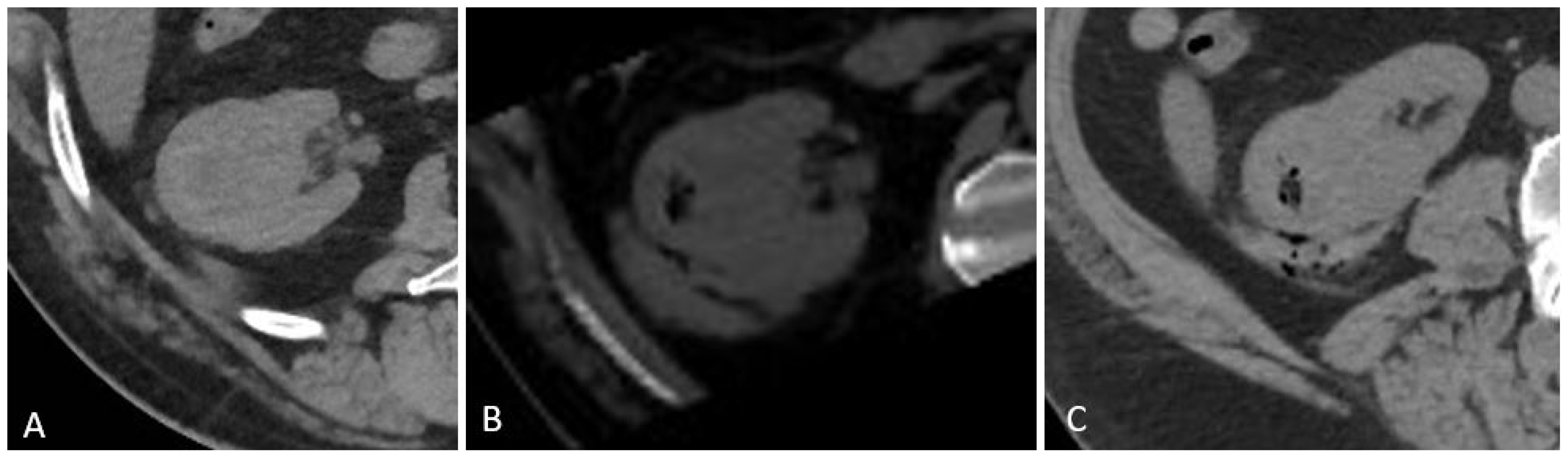
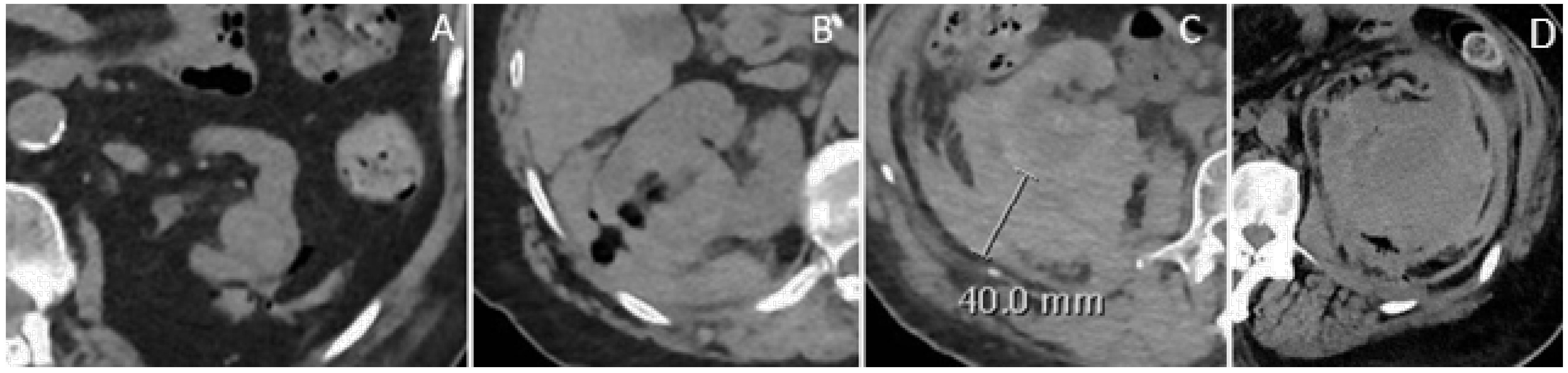
2.3.2. Imaging and Post-Procedure Monitoring
- Patients with mild hemorrhage (small perirenal fluid without an organized hematoma) were discharged with next-day clinical and laboratory evaluation.
- Patients with mild–moderate hemorrhage (hematoma < 3 cm in diameter) were admitted for at least 24 h of observation, with further clinical and laboratory evaluations at 12-h intervals.
- Patients with moderate to severe hemorrhage (hematoma > 3 cm or with extension/contrast extravasation) were promptly evaluated by both a surgeon and the interventional radiologist for further management.
2.3.3. Pre-Biopsy Assessment
2.4. Data Collection
2.5. Statistical Analysis
2.6. Classification of Hemorrhagic Complications
- Mild: Minimal perirenal fluid, no organized hematoma.
- Mild–moderate: Hematoma with a maximum transverse diameter < 3 cm.
- Moderate: Hematoma > 3 cm or extension into the retroperitoneum.
- Severe: Extensive hematoma with potential renal capsule rupture and contrast extravasation.
3. Results
3.1. Patient Demographics and Clinical Characteristics
3.2. Incidence of Hemorrhagic Complications
- Group A (Gelfoam):
- ⭘
- Mild hemorrhage: 40% (100/250)
- ⭘
- Mild–moderate hemorrhage: 14.8% (37/250)
- ⭘
- Moderate hemorrhage: 1.3% (3/250)
- ⭘
- Severe hemorrhage: 0%
- Group B (No Gelfoam):
- ⭘
- Mild hemorrhage: 48% (120/250)
- ⭘
- Mild–moderate hemorrhage: 56% (140/250)
- ⭘
- Moderate hemorrhage: 3.6% (9/250)
- ⭘
- Severe hemorrhage: 0.4% (1/250; required embolization)
3.3. Diagnostic Yield
3.4. Subgroup Analysis
3.5. Hospital Stay and Cost Analysis
4. Discussion
4.1. Overview of Findings and Clinical Significance
4.2. Comparing Gelfoam Tract Embolization in Other Procedures
4.3. Comparing Gelfoam to Other Hemostatic Agents
4.4. Implications for Observation Strategies and Cost Reduction
4.5. Diagnostic Yield Considerations
4.6. Potential Limitations
4.7. Future Directions
4.8. Summary
5. Conclusions
Author Contributions
Funding
Institutional Review Board Statement
Informed Consent Statement
Data Availability Statement
Conflicts of Interest
References
- Smith, E.H. Complications of percutaneous abdominal fine-needle biopsy. Radiology 1991, 178, 253–258. [Google Scholar] [CrossRef] [PubMed]
- Tsang, W.; Luk, W.; Lo, A.X. Ultrasound-guided plugged percutaneous biopsy of solid organs in patients with bleeding tendencies. Hong Kong Med. J. 2014, 20, 107–112. [Google Scholar] [CrossRef] [PubMed]
- Eiro, M.; Katoh, T.; Watanabe, T. Risk factors for bleeding complications in percutaneous renal biopsy. Clin. Exp. Nephrol. 2005, 9, 40–45. [Google Scholar] [CrossRef] [PubMed]
- Hopper, K.D.; Grenko, R.T.; TenHave, T.R.; Hartzel, J.; Sturtz, K.W.; A Savage, C.; Hopper, R.T.G.K.D.; Hatfield, M.K.; Beres, R.A.; Sane, S.S.; et al. Percutaneous biopsy of the liver and kidney by using coaxial technique: Adequacy of the specimen obtained with three different needles in vitro. Am. J. Roentgenol. 1995, 164, 221–224. [Google Scholar] [CrossRef]
- Tran, A.A.; Brown, S.B.; Rosenberg, J.; Hovsepian, D.M. Tract embolization with gelatin sponge slurry for prevention of pneumothorax after percutaneous computed tomography-guided lung biopsy. Cardiovasc. Interv. Radiol. 2014, 37, 1546–1553. [Google Scholar] [CrossRef]
- Filippiadis, D.K.; Pereira, P.L.; Hausegger, K.A.; Binkert, C.A. CIRSE Classification System for Complications’ Reporting: A Project Evaluation Process. Cardiovasc. Interv. Radiol. 2024, 47, 1160–1162. [Google Scholar] [CrossRef] [PubMed]
- Carvalho, M.V.H.D.; Marchi, E.; Pantoroto, M.; Rossini, M.; Silva, D.M.S.D.; Teodoro, L.F.F.; Pantaroto, A. Topical haemostatic agents and tissue adhesives. Rev. Col. Bras. Cir. 2013, 40, 66–71. [Google Scholar]
- Wong, P.; Johnson, K.J.; Warner, R.L.; Merz, S.I.; Kruger, G.H.; Weitzel, W.F. Performance of biopsy needle with therapeutic injection system to prevent bleeding complications. J. Med. Devices 2013, 7, 110021–110027. [Google Scholar] [CrossRef]
- Korbet, S.M. Percutaneous renal biopsy. Semin Nephrol. 2002, 22, 254–267. [Google Scholar]
- Guralnick, W.C.; Berg, L. Gelfoam in oral surgery: A report of 250 cases. Oral Surg. Oral Med. Oral Pathol. 1948, 1, 632–639. [Google Scholar]
- Lindstrom, P.A. Complications from the use of absorbable hemostatic sponges. Arch. Surg. 1956, 73, 133–141. [Google Scholar] [CrossRef]
- Atwell, T.D.; Spanbauer, J.C.; McMenomy, B.P.; Stockland, A.H.; Hesley, G.K.; Schleck, C.D.; Harmsen, W.S.; Welch, T.J. The timing and presentation of major hemorrhage after image-guided percutaneous biopsies. Am. J. Roentgenol. 2015, 205, 190–195. [Google Scholar] [CrossRef]
- Schonauer, C.; Tessitore, E.; Moraci, A.; Barbagallo, G.; Albanese, V. The use of local agents: Bone wax, gelatin, collagen, oxidized cellulose. Eur. Spine J. 2004, 13 (Suppl. S1), 96. [Google Scholar]
- Bakdash, K.; Schramm, K.M.; Annam, A.; Brown, M.; Kondo, K.; Lindquist, J.D. Complications of Percutaneous Renal Biopsy. Semin. Interv. Radiol. 2019, 36, 097–103. [Google Scholar] [CrossRef] [PubMed] [PubMed Central]
- Grange, R.; Di Bisceglie, M.; Habert, P.; Resseguier, N.; Sarkissian, R.; Ferre, M.; Dassa, M.; Grange, S.; Izaaryene, J.; Piana, G. Evaluation of preventive tract embolization with standardized gelatin sponge slurry on chest tube placement rate after CT-guided lung biopsy: A propensity score analysis. Insights Imaging 2023, 14, 212. [Google Scholar] [CrossRef] [PubMed] [PubMed Central]
- Yang, X.; Cheng, H.T.; Huang, Y.; Guo, Y.; Yuan, H.; Chen, Y.Q.; Li, H.L. Safety and efficacy of tract embolization using gelatin sponge particles in reducing pneumothorax after CT-guided percutaneous lung biopsy in patients with emphysema. BMC Pulm Med. 2024, 24, 329. [Google Scholar] [CrossRef] [PubMed] [PubMed Central]
- Bawazeer, N.; Zaouche, S.; Tringali, S.; Fieux, M. Is gelfoam sealing necessary in stapes surgery? Acta Oto-Laryngol. 2021, 141, 231–236. [Google Scholar] [CrossRef] [PubMed]
- Sum, R.; Lau, T.; Paul, E.; Lau, K. Gelfoam slurry tract occlusion after computed tomography-guided percutaneous lung biopsy: Does it prevent major pneumothorax? J. Med. Imaging Radiat. Oncol. 2021, 65, 678–685. [Google Scholar] [CrossRef] [PubMed]
- Singh, P.; Nayak, M.K.; Singhal, T.; Parida, G.K.; Agrawal, K.; Sahoo, B.; Deep Bag, N. Efficacy of needle tract embolization using gelfoam in reducing incidence of pneumothorax in CT-guided transthoracic lung biopsies: A systematic review and meta-analysis. Br. J. Radiol. 2025, 98, 194–200. [Google Scholar] [CrossRef] [PubMed]
- Meine, T.C.; Kretschmann, N.; Yerdelen, S.S.; Wacker, F.K.; Meyer, B.C.; Hinrichs, J.B. Transsplenic tract closure after transsplenic portalvenous access using gelfoam-based tract plugging. CVIR Endovasc. 2023, 6, 37. [Google Scholar] [CrossRef] [PubMed] [PubMed Central]
- Clements, W.; Lukies, M.; Zia, A.; Fitzgerald, M.; Kavnoudias, H. Let us settle the controversy—Gelfoam is a safe intravascular embolic agent. Br. J. Radiol. 2024, 97, 933–937. [Google Scholar] [CrossRef] [PubMed] [PubMed Central]
- Zou, X.; Cui, N.; Ma, Q.; Lin, Z.; Zhang, J.; Li, X. Conventional versus cone-beam computed tomography in lung biopsy: Diagnostic performance, risks, and the advantages of tract embolization with gelfoam particle suspension. Quant. Imaging Med. Surg. 2024, 14, 6479–6492. [Google Scholar] [CrossRef] [PubMed] [PubMed Central]
- Irfan, N.I.; Zubir, A.Z.M.; Suwandi, A.; Haris, M.S.; Jaswir, I.; Lestari, W. Gelatin-based hemostatic agents for medical and dental application at a glance: A narrative literature review. Saudi Dent. J. 2022, 34, 699–707. [Google Scholar] [CrossRef] [PubMed] [PubMed Central]
- Junior, A.R.; Falsarella, P.M.; Ferreira, V.T.R.; Mariotti, G.C.; de Queiroz, M.R.G.; Garcia, R.G. Injecting hemostatic matrix in the path of biopsies: Efficacy, potential complications, and management. Radiol. Bras. 2018, 51, 102–105. [Google Scholar] [CrossRef][Green Version]





| Modified CIRSE-Based Severity | Description | Approximate Standard CIRSE Grades and Descriptions |
|---|---|---|
| Mild | Minimal perirenal fluid; no organized hematoma. | Grade 1a: Complication during the procedure solved within the same session with the intended procedure completed. |
| Grade 1b: Complication resolved during the session, but the intended procedure was abandoned. | ||
| Mild–Moderate | Hematoma with maximum transverse diameter < 3 cm. | Grade 2: Prolonged observation including an overnight stay (<48 h) without additional therapy or post-procedure sequelae. |
| Moderate | Hematoma > 3 cm or extension into the retroperitoneum. | Grade 3a: Additional post-procedure therapy or prolonged hospital stay (>48 h but <2 weeks) required; no permanent sequelae. |
| Severe | Extensive hematoma with potential renal capsule rupture and contrast extravasation. | Grades 3b–6: Complications requiring extended therapy or hospital stay (>2 weeks) (Grade 3b), potentially leading to permanent mild (Grade 4) or severe sequelae (Grade 5), or even death (Grade 6). |
| Characteristic | Group A (Gelfoam, n = 250) | Group B (No Gelfoam, n = 250) | p-Value |
|---|---|---|---|
| Mean Age (years) | 52.4 ± 15.6 | 51.8 ± 16.2 | 0.67 |
| Gender (% Male) | 140 (56%) | 145 (58%) | 0.54 |
| Hypertension | 140 (56%) | 130 (52%) | 0.21 |
| Diabetes | 50 (20%) | 45 (18%) | 0.48 |
| Smoking | 60 (24%) | 62 (25%) | 0.81 |
| Mean Tumor Size (cm) | 4.3 ± 1.1 | 4.5 ± 1.3 | 0.34 |
| Renal Score (PADUA) | 8.2 ± 2.1 | 8.0 ± 1.9 | 0.52 |
| Biopsy Indications | 250 (100%) suspected RCC | 250 (100%) suspected RCC | - |
| Number of Biopsy Passes | 2 | 2 | - |
| Pre-biopsy INR | 1.17 ± 0.12 | 1.22 ± 0.09 | 0.48 |
| Outcome | Group A (Gelfoam, n = 250) | Group B (No Gelfoam, n = 250) | p-Value |
|---|---|---|---|
| Significant (moderate–severe) hemorrhage (%) | 3 (1.3%) | 10 (4.3%) | 0.034 |
| Mild hemorrhage (%) | 120 (48%) | 100 (40%) | <0.05 |
| Mild–Moderate hemorrhage (%) | 37 (14.8%) | 140 (56%) | <0.01 |
| Moderate hemorrhage (%) | 3 (1.3%) | 9 (3.6%) | 0.02 |
| Severe hemorrhage (%) | 0 (0%) | 1 (0.4%) | 0.12 |
| Hospital Stay (Days, Mean ± SD) | 0 ± 1 | 1 ± 1 | <0.01 |
| Total Hospitalization Days | 43 | 167 | - |
| Discharged Same Day (%) | 210 (84%) | 101 (40.4%) | <0.05 |
Disclaimer/Publisher’s Note: The statements, opinions and data contained in all publications are solely those of the individual author(s) and contributor(s) and not of MDPI and/or the editor(s). MDPI and/or the editor(s) disclaim responsibility for any injury to people or property resulting from any ideas, methods, instructions or products referred to in the content. |
© 2025 by the authors. Licensee MDPI, Basel, Switzerland. This article is an open access article distributed under the terms and conditions of the Creative Commons Attribution (CC BY) license (https://creativecommons.org/licenses/by/4.0/).
Share and Cite
Michailidis, A.; Mingou, G.; Tsakirmpaloglou, E.; Kosmoliaptsis, P.; Makri, D.; Papadimitriou, I.; Dimou, G.; Giankoulof, C.; Petsatodis, E. Use of Injection of Hemostatic Gelfoam Mixture During Percutaneous Core Biopsy for Renal Tumors: A Comparative Retrospective Study of Outcomes Regarding Bleeding Complications, Hospital Stay, and Diagnostic Yield Accuracy. Diagnostics 2025, 15, 836. https://doi.org/10.3390/diagnostics15070836
Michailidis A, Mingou G, Tsakirmpaloglou E, Kosmoliaptsis P, Makri D, Papadimitriou I, Dimou G, Giankoulof C, Petsatodis E. Use of Injection of Hemostatic Gelfoam Mixture During Percutaneous Core Biopsy for Renal Tumors: A Comparative Retrospective Study of Outcomes Regarding Bleeding Complications, Hospital Stay, and Diagnostic Yield Accuracy. Diagnostics. 2025; 15(7):836. https://doi.org/10.3390/diagnostics15070836
Chicago/Turabian StyleMichailidis, Antonios, Georgia Mingou, Eleni Tsakirmpaloglou, Panagiotis Kosmoliaptsis, Danae Makri, Ioannis Papadimitriou, George Dimou, Christos Giankoulof, and Evangelos Petsatodis. 2025. "Use of Injection of Hemostatic Gelfoam Mixture During Percutaneous Core Biopsy for Renal Tumors: A Comparative Retrospective Study of Outcomes Regarding Bleeding Complications, Hospital Stay, and Diagnostic Yield Accuracy" Diagnostics 15, no. 7: 836. https://doi.org/10.3390/diagnostics15070836
APA StyleMichailidis, A., Mingou, G., Tsakirmpaloglou, E., Kosmoliaptsis, P., Makri, D., Papadimitriou, I., Dimou, G., Giankoulof, C., & Petsatodis, E. (2025). Use of Injection of Hemostatic Gelfoam Mixture During Percutaneous Core Biopsy for Renal Tumors: A Comparative Retrospective Study of Outcomes Regarding Bleeding Complications, Hospital Stay, and Diagnostic Yield Accuracy. Diagnostics, 15(7), 836. https://doi.org/10.3390/diagnostics15070836

