Atherosclerotic Abdominal Aortic Aneurysms on Computed Tomography Angiography: A Narrative Review on Spectrum of Findings, Structured Reporting, Treatment, Secondary Complications and Differential Diagnosis
Abstract
1. Introduction
2. Imaging Modalities
2.1. Ultrasonography
2.2. Computed Tomography
2.3. Magnetic Resonance
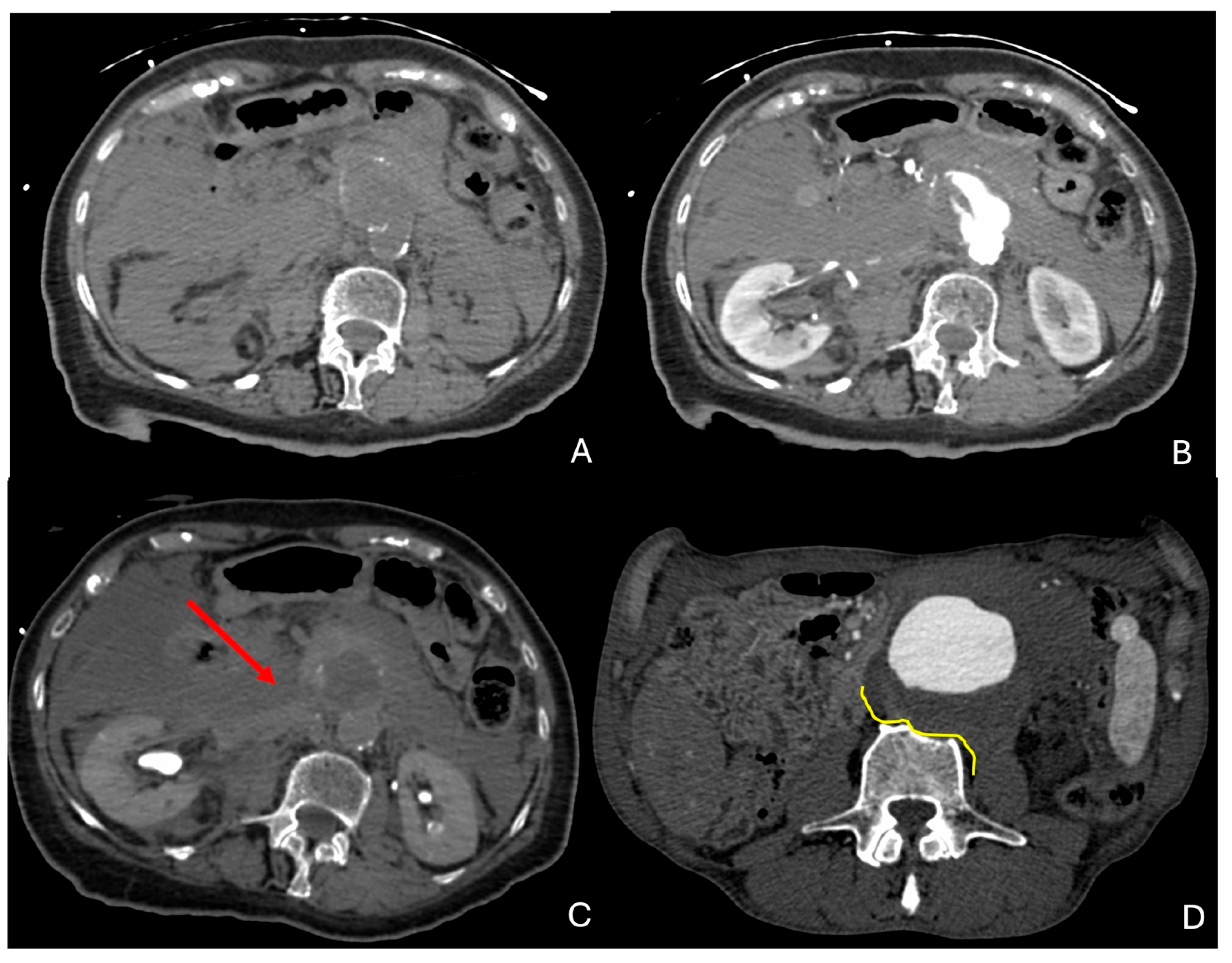
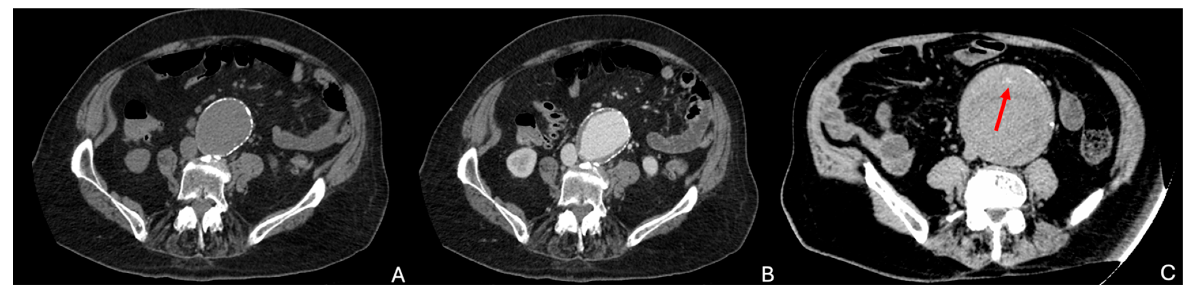
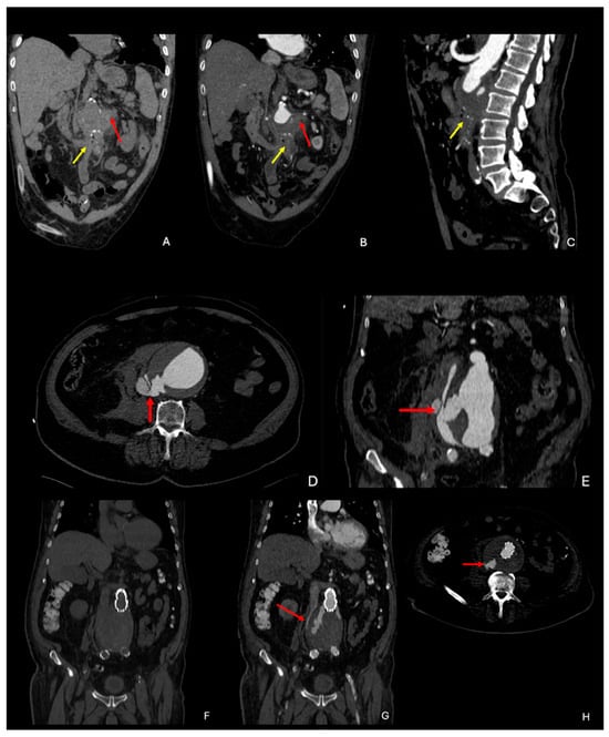
3. CTA Findings of Aneurysm Rupture
4. CTA Findings of Impending Aneurysm Rupture
4.1. Aneurysm Size
4.2. Expansion Rate
4.3. Thrombus-to-Lumen Ratio
4.4. Calcifications
4.5. Hyper-Attenuating Crescent Sign
4.6. Primary Complications
5. Treatment
5.1. Procedure Types
- Chimney EVAR (CHEVAR): A conventional endograft is overlapped over coated stents, which are placed in the visceral branches or renal arteries, in order to maintain their patency while achieving an optimal seal zone.
- Fenestrated EVAR (FEVAR): These grafts have holes in the body, corresponding to the ostia of the visceral arteries and renal arteries involved in the aneurysm, in order to prevent them from becoming occluded. After placement of the fenestrated body, the covered stent is placed in the corresponding artery. These grafts are tailored to the patient’s anatomy, so they would not be available off-the-shelf in urgent cases.
- Branched EVAR (BEVAR): This is a main graft body to which secondary grafts are sewn to the main body.
5.2. OSR Versus EVAR: What the International Guidelines Say
6. Structured Reporting
6.1. Location
6.2. Neck
6.3. Sac Assessment
6.4. Arterial Access
6.5. Other Points to Evaluate
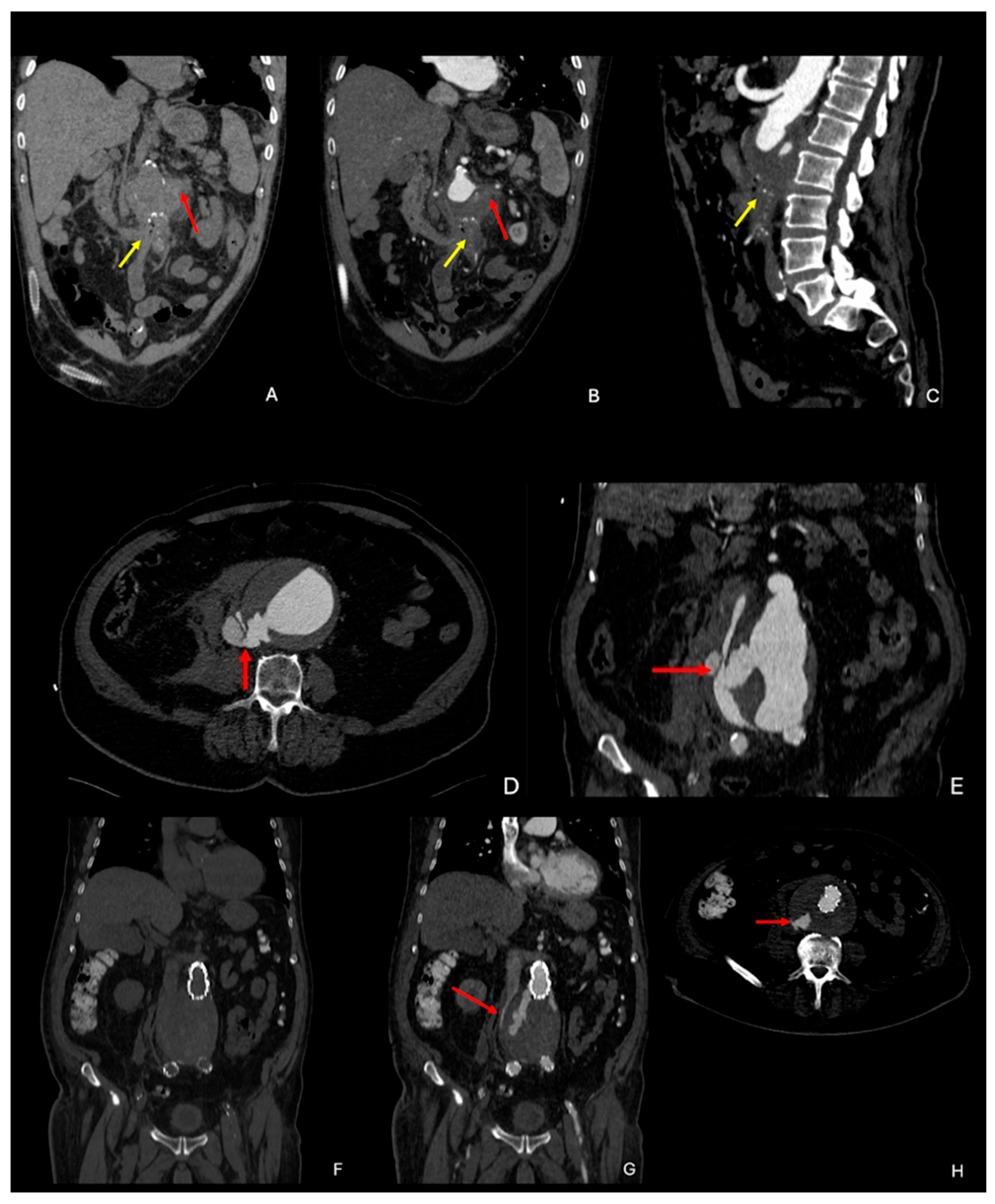
7. Secondary Complications
- Peri-operative complications: intra-abdominal hypertension (IAH) and intra-abdominal compartment syndrome (ACS), lower limb ischemia, and colonic ischemia;
- Late complications: while some complications are unique to one of the techniques (e.g., incisional hernias or para-anastomotic aneurysm formation after OSR or endoleak and stent migration after EVAR), others may occur irrespective of the technique used (e.g., graft infection, secondary aorto-enteric fistula, and graft occlusion). Patients treated by EVAR have a higher likelihood of experiencing aortic-related complications and requiring secondary interventions compared to those treated by OSR.
7.1. Graft Occlusion
7.2. Graft Infection and Secondary Aorto-Enteric Fistulas
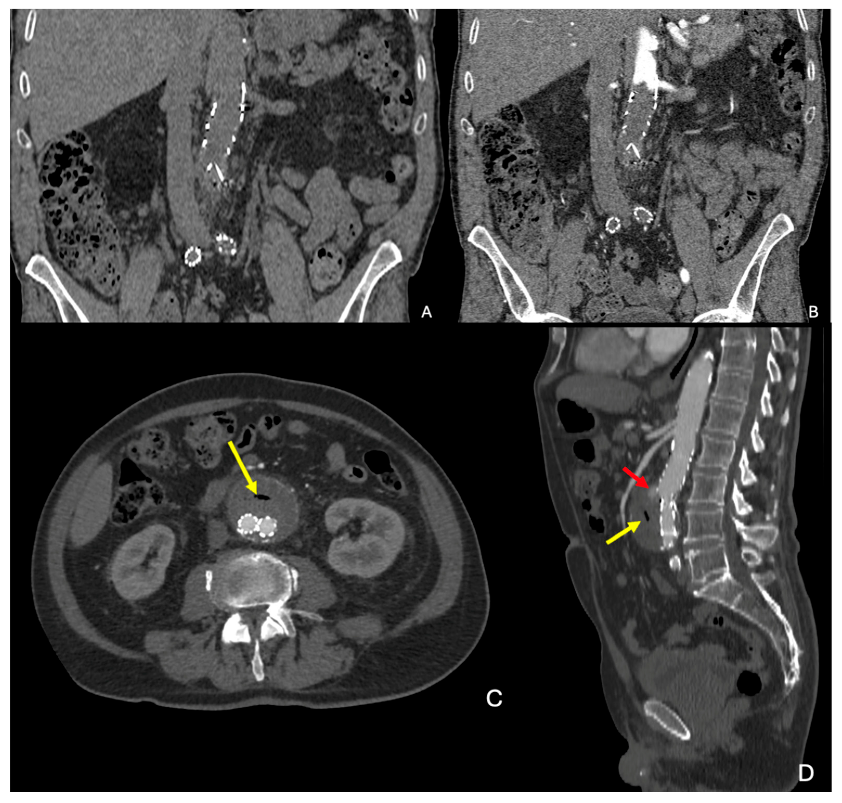
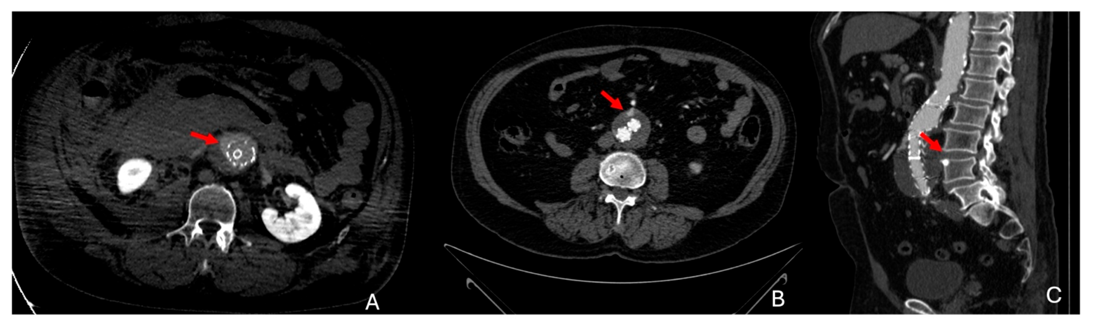
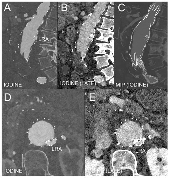
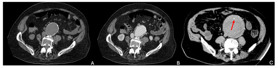
7.3. Endoleak
- Type 1 endoleaks involve direct blood flow into the aneurysm sac due to insufficient seal at the stent graft’s proximal or distal attachment zones. It poses a high risk of rupture and occurs at three possible locations: type 1a, due to inadequate seal at the proximal end; type 1b, due to distal end inadequacy; and type 1c, which occurs at an iliac occluder following aorto-uni-iliac (AUI) repair with femorofemoral crossover graft.
- Type 2 endoleaks: the most common form, arising from collateral vessel backflow, especially from lumbar arteries or the inferior mesenteric artery (IMA). Risk factors include the presence of patent aortic side branches, IMA diameter over 3 mm, patent lumbar arteries (more than three, or over 2 mm in diameter), and anticoagulant use. Embolization of these vessels or non-selective sac embolization can reduce the occurrence of type 2 endoleaks.
- Type 3 endoleaks: these result from stent graft component separation or a tear in the graft fabric. Causes include stent graft migration, inadequate overlap between components (Type 3a), or material fatigue (Type 3b). Component separation can precede the development of an endoleak.
- Type 4 endoleaks: rarely observed with modern graft materials, type 4 endoleaks involve blood leakage through the stent graft due to graft porosity. These leaks usually appear shortly post-operatively and are generally benign and transient.
7.4. Stent Migration
7.5. Para-Anastomotic Aneurysm
8. Differential Diagnosis
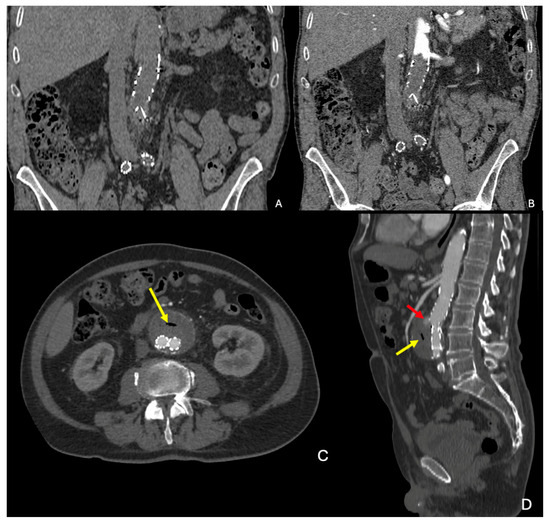
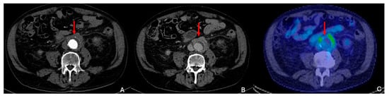
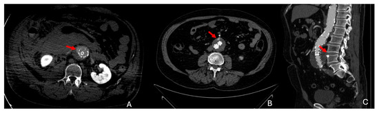
8.1. Infected Aneurysm
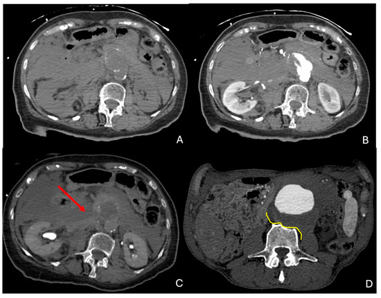
8.2. Inflammatory Aneurysm
8.3. Genetic Syndromes
8.4. Traumatic Aneurysms
9. Future Directions
10. Conclusions
Author Contributions
Funding
Data Availability Statement
Conflicts of Interest
Abbreviations
| AAA | Abdominal aortic aneurysm |
| US | Ultrasound |
| DUS | Duplex ultrasound |
| CTA | Computed tomography angiography |
| AI | Artificial intelligence |
References
- Kumar, Y.; Hooda, K.; Li, S.; Goyal, P.; Gupta, N.; Adeb, M. Abdominal aortic aneurysm: Pictorial review of common appearances and complications. Ann. Transl. Med. 2017, 5, 256. [Google Scholar] [CrossRef] [PubMed]
- Jahangir, E.; Lipworth, L.; Edwards, T.L.; Kabagambe, E.K.; Mumma, M.T.; Mensah, G.A.; Fazio, S.; Blot, W.J.; Sampson, U.K.A. Smoking, sex, risk factors and abdominal aortic aneurysms: A prospective study of 18782 persons aged above 65 years in the Southern Community Cohort Study. J. Epidemiol. Community Health 2015, 69, 481–488. [Google Scholar] [CrossRef] [PubMed]
- van de Luijtgaarden, K.M.; Rouwet, E.V.; Hoeks, S.E.; Stolker, R.J.; Verhagen, H.J.; Majoor-Krakauer, D. Risk of abdominal aortic aneurysm (AAA) among male and female relatives of AAA patients. Vasc. Med. 2017, 22, 112–118. [Google Scholar] [CrossRef] [PubMed]
- Svensjö, S.; Björck, M.; Gürtelschmid, M.; Djavani Gidlund, K.; Hellberg, A.; Wanhainen, A. Low prevalence of abdominal aortic aneurysm among 65-year-old swedish men indicates a change in the epidemiology of the disease. Circulation 2011, 124, 1118–1123. [Google Scholar] [CrossRef]
- Bahia, S.S.; Vidal-Diez, A.; Seshasai, S.R.K.; Shpitser, I.; Brownrigg, J.R.; Patterson, B.O.; Ray, K.K.; Holt, P.J.; Thompson, M.M.; Karthikesalingam, A. Cardiovascular risk prevention and all-cause mortality in primary care patients with an abdominal aortic aneurysm. Br. J. Surg. 2016, 103, 1626–1633. [Google Scholar] [CrossRef]
- Jacomelli, J.; Summers, L.; Stevenson, A.; Lees, T.; Earnshaw, J.J. Impact of the first 5 years of a national abdominal aortic aneurysm screening programme. Br. J. Surg. 2016, 103, 1125–1131. [Google Scholar] [CrossRef]
- Robinson, W.P.; Schanzer, A.; Li, Y.; Goodney, P.P.; Nolan, B.W.; Eslami, M.H.; Cronenwett, J.L.; Messina, L.M. Derivation and validation of a practical risk score for prediction of mortality after open repair of ruptured abdominal aortic aneurysms in a U.S. regional cohort and comparison to existing scoring systems. J. Vasc. Surg. 2012, 57, 354. [Google Scholar] [CrossRef]
- Wanhainen, A.; Van Herzeele, I.; Bastos Goncalves, F.; Bellmunt Montoya, S.; Berard, X.; Boyle, J.R.; D’Oria, M.; Prendes, C.F.; Karkos, C.D.; Kazimierczak, A.; et al. Editor’s Choice -- European Society for Vascular Surgery (ESVS) 2024 Clinical Practice Guidelines on the Management of Abdominal Aorto-Iliac Artery Aneurysms. Eur. J. Vasc. Endovasc. Surg. 2024, 67, 192–331. [Google Scholar] [CrossRef]
- Ristow, I.; Riedel, C.; Lenz, A.; Well, L.; Adam, G.; Panuccio, G.; Kölbel, T.; Bannas, P. Current Imaging Strategies in Patients with Abdominal Aortic Aneurysms. Rofo 2024, 196, 52–61. [Google Scholar] [CrossRef]
- Rubano, E.; Mehta, N.; Caputo, W.; Paladino, L.; Sinert, R. Systematic Review: Emergency Department Bedside Ultrasonography for Diagnosing Suspected Abdominal Aortic Aneurysm. Acad. Emerg. Med. 2013, 20, 128–138. [Google Scholar] [CrossRef]
- Concannon, E.; McHugh, S.; Healy, D.A.; Kavanagh, E.; Burke, P.; Clarke Moloney, M.; Walsh, S.R. Diagnostic accuracy of non-radiologist performed ultrasound for abdominal aortic aneurysm: Systematic review and meta-analysis. Int. J. Clin. Pract. 2014, 68, 1122–1129. [Google Scholar] [CrossRef] [PubMed]
- Long, A.; Rouet, L.; Lindholt, J.S.; Allaire, E. Measuring the Maximum Diameter of Native Abdominal Aortic Aneurysms: Review and Critical Analysis. Eur. J. Vasc. Endovasc. Surg. 2012, 43, 515–524. [Google Scholar] [CrossRef] [PubMed]
- Beales, L.; Wolstenhulme, S.; Evans, J.A.; West, R.; Scott, D.J.A. Reproducibility of ultrasound measurement of the abdominal aorta. Br. J. Surg. 2011, 98, 1517–1525. [Google Scholar] [CrossRef] [PubMed]
- Grøndal, N.; Bramsen, M.B.; Thomsen, M.D.; Rasmussen, C.B.; Lindholt, J.S. The Cardiac Cycle is a Major Contributor to Variability in Size Measurements of Abdominal Aortic Aneurysms by Ultrasound. Eur. J. Vasc. Endovasc. Surg. 2012, 43, 30–33. [Google Scholar] [CrossRef]
- Bredahl, K.; Eldrup, N.; Meyer, C.; Eiberg, J.E.; Sillesen, H. Reproducibility of ECG-gated Ultrasound Diameter Assessment of Small Abdominal Aortic Aneurysms. Eur. J. Vasc. Endovasc. Surg. 2013, 45, 235–240. [Google Scholar] [CrossRef]
- Aggarwal, S.; Qamar, A.; Sharma, V.; Sharma, A. Abdominal aortic aneurysm: A comprehensive review. Exp. Clin. Cardiol. 2011, 16, 11. [Google Scholar]
- Manning, B.J.; Kristmundsson, T.; Sonesson, B.; Resch, T. Abdominal aortic aneurysm diameter: A comparison of ultrasound measurements with those from standard and three-dimensional computed tomography reconstruction. J. Vasc. Surg. 2009, 50, 263–268. [Google Scholar] [CrossRef]
- Foo, F.J.; Hammond, C.J.; Goldstone, A.R.; Abuhamdiah, M.; Rashid, S.T.; West, R.M.; Nicholson, A.A.; Scott, D.J.A. Agreement between Computed Tomography and Ultrasound on Abdominal Aortic Aneurysms and Implications on Clinical Decisions. Eur. J. Vasc. Endovasc. Surg. 2011, 42, 608–614. [Google Scholar] [CrossRef]
- Kazimierczak, W.; Kazimierczak, N.; Serafin, Z. Review of Clinical Applications of Dual-Energy CT in Patients after Endovascular Aortic Repair. J. Clin. Med. 2023, 12, 7766. [Google Scholar] [CrossRef]
- Lehti, L.; Söderberg, M.; Höglund, P.; Nyman, U.; Gottsäter, A.; Wassélius, J. Reliability of virtual non-contrast computed tomography angiography: Comparing it with the real deal. Acta Radiol. Open 2018, 7, 205846011879011. [Google Scholar] [CrossRef]
- Connolly, M.J.; McInnes, M.D.F.; El-Khodary, M.; McGrath, T.A.; Schieda, N. Diagnostic accuracy of virtual non-contrast enhanced dual-energy CT for diagnosis of adrenal adenoma: A systematic review and meta-analysis. Eur. Radiol. 2017, 27, 4324–4335. [Google Scholar] [CrossRef] [PubMed]
- Lehti, L.; Söderberg, M.; Höglund, P.; Wassélius, J. Comparing Arterial- and Venous-Phase Acquisition for Optimization of Virtual Noncontrast Images From Dual-Energy Computed Tomography Angiography. J. Comput. Assist. Tomogr. 2019, 43, 770–774. [Google Scholar] [CrossRef] [PubMed]
- Kazimierczak, W.; Kazimierczak, N.; Serafin, Z. Quality of virtual-non-contrast phases derived from arterial and delayed phases of fast-kVp switching dual-energy CT in patients after endovascular aortic repair. Int. J. Cardiovasc. Imaging 2023, 39, 1805–1813. [Google Scholar] [CrossRef]
- Ascenti, G.; Mazziotti, S.; Lamberto, S.; Bottari, A.; Caloggero, S.; Racchiusa, S.; Mileto, A.; Scribano, E. Dual-Energy CT for Detection of Endoleaks After Endovascular Abdominal Aneurysm Repair: Usefulness of Colored Iodine Overlay. Am. J. Roentgenol. 2011, 196, 1408–1414. [Google Scholar] [CrossRef]
- Mannil, M.; Ramachandran, J.; Vittoria De Martini, I.; Wegener, S.; Schmidt, B.; Flohr, T.; Krauss, B.; Valavanis, A.; Alkadhi, H.; Winklhofer, S. Modified Dual-Energy Algorithm for Calcified Plaque Removal: Evaluation in Carotid Computed Tomography Angiography and Comparison With Digital Subtraction Angiography. Investig. Radiol. 2017, 52, 680–685. [Google Scholar] [CrossRef]
- Baliyan, V.; Verdini, D.; Meyersohn, N.M. Noninvasive aortic imaging. Cardiovasc. Diagn. Ther. 2018, 8, S3. [Google Scholar] [CrossRef]
- Ridgway, J.P. Black Blood Versus Bright Blood Imaging. In Cardiovascular MR Manual; Plein, S., Greenwood, J., Ridgway, J.P., Eds.; Springer International Publishing: Cham, Switzerland, 2015; pp. 97–104. ISBN 978-3-319-20939-5. [Google Scholar]
- Rakita, D.; Newatia, A.; Hines, J.J.; Siegel, D.N.; Friedman, B. Spectrum of CT Findings in Rupture and Impending Rupture of Abdominal Aortic Aneurysms. RadioGraphics 2007, 27, 497–507. [Google Scholar] [CrossRef]
- Schwartz, S.A.; Taljanovic, M.S.; Smyth, S.; O’Brien, M.J.; Rogers, L.F. CT Findings of Rupture, Impending Rupture, and Contained Rupture of Abdominal Aortic Aneurysms. Am. J. Roentgenol. 2007, 188, W57–W62. [Google Scholar] [CrossRef]
- Lederle, F.A.; Wilson, S.E.; Johnson, G.R.; Reinke, D.B.; Littooy, F.N.; Acher, C.W.; Ballard, D.J.; Messina, L.M.; Gordon, I.L.; Chute, E.P.; et al. Immediate repair compared with surveillance of small abdominal aortic aneurysms. N. Engl. J. Med. 2002, 346, 1437–1444. [Google Scholar] [CrossRef]
- Earnshaw, J.J. The Indication for Elective Repair of Abdominal Aortic Aneurysm Should Be Reviewed. Eur. J. Vasc. Endovasc. Surg. 2021, 61, 7–8. [Google Scholar] [CrossRef]
- RESCAN Collaborators; Bown, M.J.; Sweeting, M.J.; Brown, L.C.; Powell, J.T.; Thompson, S.G. Surveillance intervals for small abdominal aortic aneurysms: A meta-analysis. JAMA 2013, 309, 806–813. [Google Scholar] [CrossRef] [PubMed][Green Version]
- Grootenboer, N.; van Sambeek, M.R.H.M.; Arends, L.R.; Hendriks, J.M.; Hunink, M.G.M.; Bosch, J.L. Systematic review and meta-analysis of sex differences in outcome after intervention for abdominal aortic aneurysm. Br. J. Surg. 2010, 97, 1169–1179. [Google Scholar] [CrossRef] [PubMed]
- Chaikof, E.L.; Dalman, R.L.; Eskandari, M.K.; Jackson, B.M.; Lee, W.A.; Mansour, M.A.; Mastracci, T.M.; Mell, M.; Murad, M.H.; Nguyen, L.L.; et al. The Society for Vascular Surgery practice guidelines on the care of patients with an abdominal aortic aneurysm. J. Vasc. Surg. 2018, 67, 2–77.e2. [Google Scholar] [CrossRef]
- NICE Guideline (NG156). 2020. Available online: www.nice.org.uk/guidance/ng156 (accessed on 1 January 2025).
- Olson, S.L.; Wijesinha, M.A.; Panthofer, A.M.; Blackwelder, W.C.; Upchurch, G.R.; Terrin, M.L.; Curci, J.A.; Baxter, B.T.; Matsumura, J.S. Evaluating Growth Patterns of Abdominal Aortic Aneurysm Diameter With Serial Computed Tomography Surveillance. JAMA Surg. 2021, 156, 363–370. [Google Scholar] [CrossRef] [PubMed]
- Pillari, G.P. Crescent Sign Origin and the Thrombus-to-Lumen Ratio in Abdominal Aortic Aneurysm. Radiology 2000, 214, 604. [Google Scholar] [CrossRef]
- Pang, W.; Karol, A.; Minault, Q.; Veillon, F.; Venkatasamy, A. The hyperdense crescent sign. Abdom. Radiol. 2019, 44, 376–378. [Google Scholar] [CrossRef]
- Gulati, A.; Kapoor, H.; Donuru, A.; Gala, K.; Parekh, M. Aortic Fistulas: Pathophysiologic Features, Imaging Findings, and Diagnostic Pitfalls. RadioGraphics 2021, 41, 1335–1351. [Google Scholar] [CrossRef]
- Bryce, Y.; Rogoff, P.; Romanelli, D.; Reichle, R. Endovascular Repair of Abdominal Aortic Aneurysms: Vascular Anatomy, Device Selection, Procedure, and Procedure-specific Complications. RadioGraphics 2015, 35, 593–615. [Google Scholar] [CrossRef]
- Jackson, B.; Carpenter, J. Devices Used for Endovascular Aneurysm Repair: Past, Present, and Future. Semin. Interv. Radiol. 2009, 26, 039–043. [Google Scholar] [CrossRef]
- Atkins, A.D.; Atkins, M.D. Branched and Fenestrated Aortic Endovascular Grafts. Methodist. DeBakey Cardiovasc. J. 2023, 19, 15–23. [Google Scholar] [CrossRef]
- Lojo-Lendoiro, S.; Calvín Álvarez, P.; Sobral Viñas, P. Ruptured abdominal aortic aneurysm, what does the interventional radiologist and vascular surgeon need from our report? Radiología 2023, 65, S53–S62. [Google Scholar] [CrossRef] [PubMed]
- Picel, A.C.; Kansal, N. Essentials of Endovascular Abdominal Aortic Aneurysm Repair Imaging: Preprocedural Assessment. Am. J. Roentgenol. 2014, 203, W347–W357. [Google Scholar] [CrossRef]
- Mathlouthi, A.; Locham, S.; Dakour-Aridi, H.; Black, J.H.; Malas, M.B. Impact of suprarenal neck angulation on endovascular aneurysm repair outcomes. J. Vasc. Surg. 2020, 71, 1900–1906. [Google Scholar] [CrossRef] [PubMed]
- Antoniou, G.A.; Antoniou, S.A.; Torella, F. Editor’s Choice-Endovascular vs. Open Repair for Abdominal Aortic Aneurysm: Systematic Review and Meta-analysis of Updated Peri-operative and Long Term Data of Randomised Controlled Trials. Eur. J. Vasc. Endovasc. Surg. 2020, 59, 385–397. [Google Scholar] [CrossRef]
- Li, B.; Khan, S.; Salata, K.; Hussain, M.A.; de Mestral, C.; Greco, E.; Aljabri, B.A.; Forbes, T.L.; Verma, S.; Al-Omran, M. A systematic review and meta-analysis of the long-term outcomes of endovascular versus open repair of abdominal aortic aneurysm. J. Vasc. Surg. 2019, 70, 954–969.e30. [Google Scholar] [CrossRef] [PubMed]
- AlOthman, O.; Bobat, S. Comparison of the Short and Long-Term Outcomes of Endovascular Repair and Open Surgical Repair in the Treatment of Unruptured Abdominal Aortic Aneurysms: Meta-Analysis and Systematic Review. Cureus 2020, 12, e9683. [Google Scholar] [CrossRef]
- Biancari, F.; Ylönen, K.; Anttila, V.; Juvonen, J.; Romsi, P.; Satta, J.; Juvonen, T. Durability of open repair of infrarenal abdominal aortic aneurysm: A 15-year follow-up study. J. Vasc. Surg. 2002, 35, 87–93. [Google Scholar] [CrossRef]
- Conrad, M.F.; Crawford, R.S.; Pedraza, J.D.; Brewster, D.C.; Lamuraglia, G.M.; Corey, M.; Abbara, S.; Cambria, R.P. Long-term durability of open abdominal aortic aneurysm repair. J. Vasc. Surg. 2007, 46, 669–675. [Google Scholar] [CrossRef]
- Hammond, A.; Hansrani, V.; Lowe, C.; Asghar, I.; Antoniou, S.A.; Antoniou, G.A. Meta-analysis and meta-regression analysis of iliac limb occlusion after endovascular aneurysm repair. J. Vasc. Surg. 2018, 68, 1916–1924.e7. [Google Scholar] [CrossRef]
- Gozzo, C.; Caruana, G.; Cannella, R.; Farina, A.; Giambelluca, D.; Dinoto, E.; Vernuccio, F.; Basile, A.; Midiri, M. CT angiography for the assessment of EVAR complications: A pictorial review. Insights Imaging 2022, 13, 5. [Google Scholar] [CrossRef]
- Argyriou, C.; Georgiadis, G.S.; Lazarides, M.K.; Georgakarakos, E.; Antoniou, G.A. Endograft Infection After Endovascular Abdominal Aortic Aneurysm Repair: A Systematic Review and Meta-analysis. J. Endovasc. Ther. 2017, 24, 688–697. [Google Scholar] [CrossRef] [PubMed]
- Fatima, J.; Duncan, A.A.; De Grandis, E.; Oderich, G.S.; Kalra, M.; Gloviczki, P.; Bower, T.C. Treatment strategies and outcomes in patients with infected aortic endografts. J. Vasc. Surg. 2013, 58, 371–379. [Google Scholar] [CrossRef] [PubMed]
- Manta, R.; Lauri, C.; Taurino, M.; Signore, A. Imaging of Vascular Graft/Endograft Infection with Radiolabeled White Blood Cell Scan and [18F]FDG PET/CT. Hemato 2023, 4, 285–300. [Google Scholar] [CrossRef]
- Lal, B.K.; Zhou, W.; Li, Z.; Kyriakides, T.; Matsumura, J.; Lederle, F.A.; Freischlag, J.; OVER Veterans Affairs Cooperative Study Group. Predictors and outcomes of endoleaks in the Veterans Affairs Open Versus Endovascular Repair (OVER) Trial of Abdominal Aortic Aneurysms. J. Vasc. Surg. 2015, 62, 1394–1404. [Google Scholar] [CrossRef]
- Stavropoulos, S.W.; Charagundla, S.R. Imaging Techniques for Detection and Management of Endoleaks after Endovascular Aortic Aneurysm Repair. Radiology 2007, 243, 641–655. [Google Scholar] [CrossRef]
- Daye, D.; Walker, T.G. Complications of endovascular aneurysm repair of the thoracic and abdominal aorta: Evaluation and management. Cardiovasc. Diagn. Ther. 2018, 8, S138–S156. [Google Scholar] [CrossRef]
- Sörelius, K.; Wyss, T.R.; Academic Research Consortium of Infective Native Aortic Aneurysm (ARC of INAA); Adam, D.; Beck, A.W.; Berard, X.; Budtz-Lilly, J.; Chakfé, N.; Clough, R.; Czerny, M.; et al. Editor’s Choice-Infective Native Aortic Aneurysms: A Delphi Consensus Document on Terminology, Definition, Classification, Diagnosis, and Reporting Standards. Eur. J. Vasc. Endovasc. Surg. 2023, 65, 323–329. [Google Scholar] [CrossRef]
- Raavi, L.; Garg, P.; Hussain, M.W.A.; Wadiwala, I.J.; Mateen, N.T.; Elawady, M.S.; Alomari, M.; Alamouti-fard, E.; Pham, S.M.; Jacob, S. Mycotic Thoracic Aortic Aneurysm: Epidemiology, Pathophysiology, Diagnosis, and Management. Cureus 2022, 14, e31010. [Google Scholar] [CrossRef]
- Sörelius, K.; Wanhainen, A.; Furebring, M.; Mani, K.; Swedish Collaborator Group for Infective Native Aortic Aneurysms. The Microbiology of Infective Native Aortic Aneurysms in a Population-Based Setting. Ann. Vasc. Surg. 2022, 78, 112–122. [Google Scholar] [CrossRef]
- Macedo, T.A.; Stanson, A.W.; Oderich, G.S.; Johnson, C.M.; Panneton, J.M.; Tie, M.L. Infected Aortic Aneurysms: Imaging Findings. Radiology 2004, 231, 250–257. [Google Scholar] [CrossRef]
- Lee, W.-K.; Mossop, P.J.; Little, A.F.; Fitt, G.J.; Vrazas, J.I.; Hoang, J.K.; Hennessy, O.F. Infected (Mycotic) Aneurysms: Spectrum of Imaging Appearances and Management. RadioGraphics 2008, 28, 1853–1868. [Google Scholar] [CrossRef] [PubMed]
- Restrepo, C.S.; Ocazionez, D.; Suri, R.; Vargas, D. Aortitis: Imaging Spectrum of the Infectious and Inflammatory Conditions of the Aorta. RadioGraphics 2011, 31, 435–451. [Google Scholar] [CrossRef] [PubMed]
- Sörelius, K.; Budtz-Lilly, J.; Mani, K.; Wanhainen, A. Systematic Review of the Management of Mycotic Aortic Aneurysms. Eur. J. Vasc. Endovasc. Surg. 2019, 58, 426–435. [Google Scholar] [CrossRef] [PubMed]
- Sörelius, K.; Mani, K.; Björck, M.; Sedivy, P.; Wahlgren, C.-M.; Taylor, P.; Clough, R.E.; Lyons, O.; Thompson, M.; Brownrigg, J.; et al. Endovascular treatment of mycotic aortic aneurysms: A European multicenter study. Circulation 2014, 130, 2136–2142. [Google Scholar] [CrossRef]
- Ishizaka, N.; Sohmiya, K.; Miyamura, M.; Umeda, T.; Tsuji, M.; Katsumata, T.; Miyata, T. Infected aortic aneurysm and inflammatory aortic aneurysm—In search of an optimal differential diagnosis. J. Cardiol. 2012, 59, 123–131. [Google Scholar] [CrossRef]
- Tang, T.; Boyle, J.R.; Dixon, A.K.; Varty, K. Inflammatory Abdominal Aortic Aneurysms. Eur. J. Vasc. Endovasc. Surg. 2005, 29, 353–362. [Google Scholar] [CrossRef]
- Hellmann, D.B.; Grand, D.J.; Freischlag, J.A. Inflammatory Abdominal Aortic Aneurysm. JAMA 2007, 297, 395. [Google Scholar] [CrossRef]
- Nackenhorst, M.C.; Kapalla, M.; Weidle, S.; Kirchhoff, F.; Zschäpitz, D.; Sieber, S.; Reeps, C.; Eckstein, H.-H.; Schneider, H.; Thaler, M.; et al. The Incidence of IgG4-Related and Inflammatory Abdominal Aortic Aneurysm Is Rare in a 101 Patient Cohort. J. Clin. Med. 2023, 12, 4029. [Google Scholar] [CrossRef]
- Bois, J.P.; Anand, V.; Anavekar, N.S. Detection of Inflammatory Aortopathies Using Multimodality Imaging. Circ Cardiovasc. Imaging 2019, 12, e008471. [Google Scholar] [CrossRef]
- Caradu, C.; Ammollo, R.P.; Dari, L.; Wanhainen, A.; Van Herzeele, I.; Bellmunt-Montoya, S.; Ducasse, E.; Bérard, X. Management of Inflammatory Aortic Aneurysms—A Scoping Review. Eur. J. Vasc. Endovasc. Surg. 2023, 65, 493–502. [Google Scholar] [CrossRef]
- Cury, M.; Zeidan, F.; Lobato, A.C. Aortic Disease in the Young: Genetic Aneurysm Syndromes, Connective Tissue Disorders, and Familial Aortic Aneurysms and Dissections. Int. J. Vasc. Med. 2013, 2013, 267215. [Google Scholar] [CrossRef] [PubMed]
- Pinard, A.; Jones, G.T.; Milewicz, D.M. Genetics of Thoracic and Abdominal Aortic Diseases: Aneurysms, Dissections, and Ruptures. Circ. Res. 2019, 124, 588–606. [Google Scholar] [CrossRef] [PubMed]
- Zucker, E.J. Syndromes with aortic involvement: Pictorial review. Cardiovasc. Diagn. Ther. 2018, 8, S71–S81. [Google Scholar] [CrossRef] [PubMed]
- Gayer, G.; Bass, A. Delayed rupture of abdominal aortic false aneurysm following blunt trauma. Emerg. Radiol. 2003, 10, 64–66. [Google Scholar] [CrossRef]
- Hosny, A.; Parmar, C.; Quackenbush, J.; Schwartz, L.H.; Aerts, H.J.W.L. Artificial intelligence in radiology. Nat. Rev. Cancer 2018, 18, 500–510. [Google Scholar] [CrossRef]
- Pinto-Coelho, L. How Artificial Intelligence Is Shaping Medical Imaging Technology: A Survey of Innovations and Applications. Bioengineering 2023, 10, 1435. [Google Scholar] [CrossRef]
- Wang, D.; Zhang, R.; Teng, Z.; Huang, Y.; Spiga, F.; Du, M.H.-F.; Gillard, J.H.; Lu, Q.; Lio, P.; Zhu, J. Neural network fusion: A novel CT-MR aortic aneurysm image segmentation method. In Medical Imaging 2018: Image Processing; Angelini, E.D., Landman, B.A., Eds.; SPIE: Houston, TX, USA, 2018; p. 75. [Google Scholar]
- Dias-Neto, M.; Neves, E.; Sousa-Nunes, F.; Henriques-Coelho, T.; Sampaio, S. Abdominal aortic aneurysm calcification: Trying to identify a reliable semiquantitative method. J. Cardiovasc. Surg. 2021, 62, 51–58. [Google Scholar] [CrossRef]
- Filipovic, N.; Ivanovic, M.; Krstajic, D.; Kojic, M. Hemodynamic Flow Modeling Through an Abdominal Aorta Aneurysm Using Data Mining Tools. IEEE Trans. Inform. Technol. Biomed. 2011, 15, 189–194. [Google Scholar] [CrossRef]
- Jordanski, M.; Radovic, M.; Milosevic, Z.; Filipovic, N.; Obradovic, Z. Machine Learning Approach for Predicting Wall Shear Distribution for Abdominal Aortic Aneurysm and Carotid Bifurcation Models. IEEE J. Biomed. Health Inform. 2018, 22, 537–544. [Google Scholar] [CrossRef]
- Lee, R.; Jarchi, D.; Perera, R.; Jones, A.; Cassimjee, I.; Handa, A.; Clifton, D.A.; Bellamkonda, K.; Woodgate, F.; Killough, N.; et al. Applied Machine Learning for the Prediction of Growth of Abdominal Aortic Aneurysm in Humans. EJVES Short. Rep. 2018, 39, 24–28. [Google Scholar] [CrossRef]
- Kleinstreuer, C.; Li, Z. Analysis and computer program for rupture-risk prediction of abdominal aortic aneurysms. BioMed. Eng. OnLine 2006, 5, 19. [Google Scholar] [CrossRef] [PubMed]
- Karthikesalingam, A.; Attallah, O.; Ma, X.; Bahia, S.S.; Thompson, L.; Vidal-Diez, A.; Choke, E.C.; Bown, M.J.; Sayers, R.D.; Thompson, M.M.; et al. An Artificial Neural Network Stratifies the Risks of Reintervention and Mortality after Endovascular Aneurysm Repair; a Retrospective Observational study. PLoS ONE 2015, 10, e0129024. [Google Scholar] [CrossRef] [PubMed]
- Raffort, J.; Adam, C.; Carrier, M.; Ballaith, A.; Coscas, R.; Jean-Baptiste, E.; Hassen-Khodja, R.; Chakfé, N.; Lareyre, F. Artificial intelligence in abdominal aortic aneurysm. J. Vasc. Surg. 2020, 72, 321–333.e1. [Google Scholar] [CrossRef] [PubMed]













| CTA Findings | |
|---|---|
| Rupture |
|
| Impending rupture |
|
| Aorto-enteric fistula |
|
| Aortocaval fistula | Early opacification of vena cava |
| AAA Subtype | Demographics | Pathogenesis | Key Features | Imaging Findings |
|---|---|---|---|---|
| Atherosclerotic | Typically affects older adults Male predominance | Caused by degeneration of the aortic wall, related to atherosclerosis | - Asymptomatic or symptomatic (with or without rupture) - Risk of rupture | - Dilated aorta - Mural thrombus - Wall calcifications - Crescent sign if hemorrhage in wall or thrombus - Discontinuity of the wall and contrast extravasation if ruptured - Draped aorta sign if rupture is contained or imminent rupture |
| Infected | In the context of systemic infection, more common in immunocompromised patients | Secondary to bacterial infection | - Fever - Abdominal pain - Elevated inflammatory markers - Risk of rapid expansion and rupture | Saccular aneurysm with periaortic gas, inflammatory signs 18FDG PET: Increased uptake in infected areas |
| Inflammatory | Affects younger males (50–65 years), often heavy smokers | Unknown etiology; suspected autoimmune response | - Abdominal, back, or flank pain, weight loss - Elevated inflammatory markers | - Periaortic soft tissue, retroperitoneal fibrosis - 18FDG PET: Identifies inflammatory activity |
| Genetic | - Younger patients < 60 years with connective tissue disorders - Positive family history | Caused by genetic mutations | - Higher rupture risk at smaller diameters - Features like joint hypermobility, skin elasticity | - CTA: Tortuous vessels, aneurysm with thin walls - MRA: Preferred in patients needing lifetime imaging to avoid radiation exposure |
| Traumatic | - Can occur at any age following blunt trauma or injury - No sex preference | Caused by direct vessel wall injury or pseudoaneurysm formation | - Acute abdominal/back pain following trauma - Potential for sudden rupture | - Saccular aneurysm with surrounding hematoma, irregular wall |
Disclaimer/Publisher’s Note: The statements, opinions and data contained in all publications are solely those of the individual author(s) and contributor(s) and not of MDPI and/or the editor(s). MDPI and/or the editor(s) disclaim responsibility for any injury to people or property resulting from any ideas, methods, instructions or products referred to in the content. |
© 2025 by the authors. Licensee MDPI, Basel, Switzerland. This article is an open access article distributed under the terms and conditions of the Creative Commons Attribution (CC BY) license (https://creativecommons.org/licenses/by/4.0/).
Share and Cite
Scicolone, R.; Paraskevas, K.I.; Argiolas, G.; Balestrieri, A.; Siotto, P.; Suri, J.S.; Porcu, M.; Mantini, C.; Caulo, M.; Masala, S.; et al. Atherosclerotic Abdominal Aortic Aneurysms on Computed Tomography Angiography: A Narrative Review on Spectrum of Findings, Structured Reporting, Treatment, Secondary Complications and Differential Diagnosis. Diagnostics 2025, 15, 706. https://doi.org/10.3390/diagnostics15060706
Scicolone R, Paraskevas KI, Argiolas G, Balestrieri A, Siotto P, Suri JS, Porcu M, Mantini C, Caulo M, Masala S, et al. Atherosclerotic Abdominal Aortic Aneurysms on Computed Tomography Angiography: A Narrative Review on Spectrum of Findings, Structured Reporting, Treatment, Secondary Complications and Differential Diagnosis. Diagnostics. 2025; 15(6):706. https://doi.org/10.3390/diagnostics15060706
Chicago/Turabian StyleScicolone, Roberta, Kosmas I. Paraskevas, Giovanni Argiolas, Antonella Balestrieri, Paolo Siotto, Jasjit S. Suri, Michele Porcu, Cesare Mantini, Massimo Caulo, Salvatore Masala, and et al. 2025. "Atherosclerotic Abdominal Aortic Aneurysms on Computed Tomography Angiography: A Narrative Review on Spectrum of Findings, Structured Reporting, Treatment, Secondary Complications and Differential Diagnosis" Diagnostics 15, no. 6: 706. https://doi.org/10.3390/diagnostics15060706
APA StyleScicolone, R., Paraskevas, K. I., Argiolas, G., Balestrieri, A., Siotto, P., Suri, J. S., Porcu, M., Mantini, C., Caulo, M., Masala, S., Cademartiri, F., Sanfilippo, R., & Saba, L. (2025). Atherosclerotic Abdominal Aortic Aneurysms on Computed Tomography Angiography: A Narrative Review on Spectrum of Findings, Structured Reporting, Treatment, Secondary Complications and Differential Diagnosis. Diagnostics, 15(6), 706. https://doi.org/10.3390/diagnostics15060706

