Computed Tomographic Analysis of Mandibular Tori and Their Relationship to Remaining Teeth
Abstract
1. Introduction
2. Materials and Methods
2.1. Participants
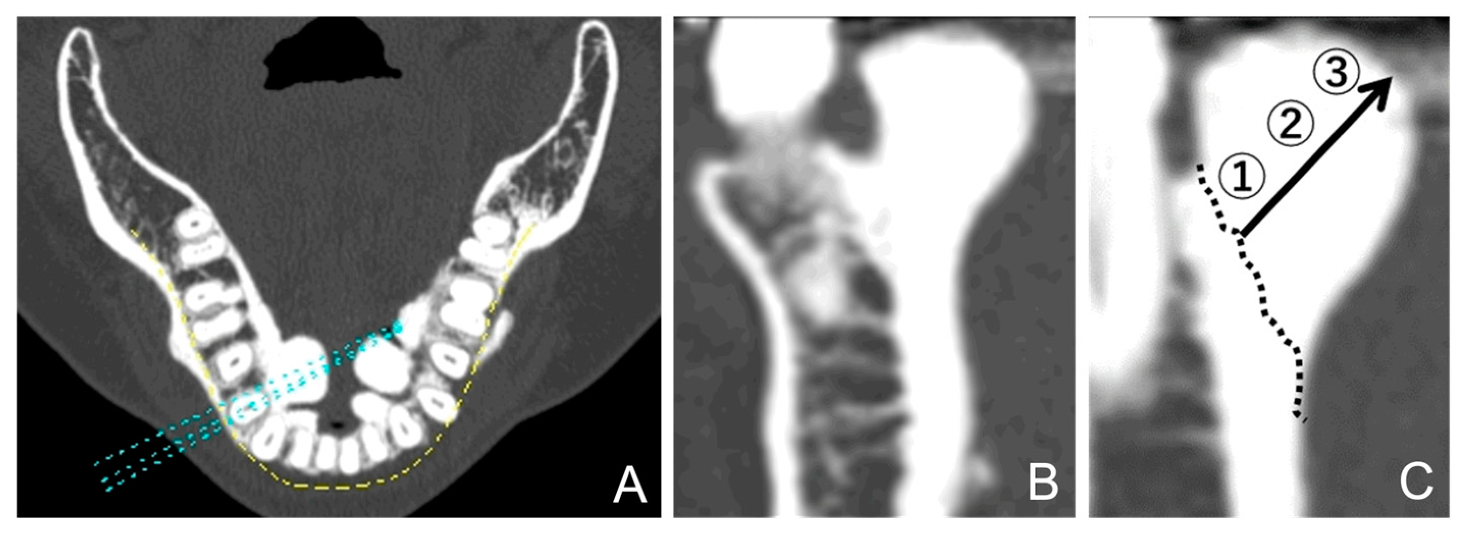
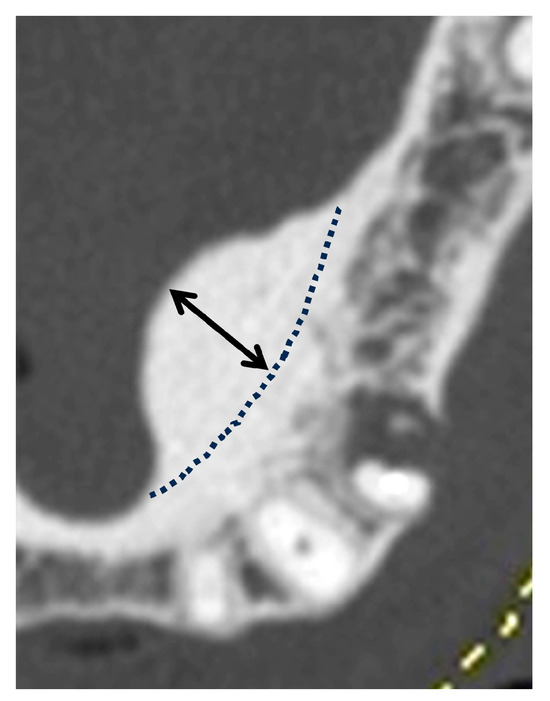
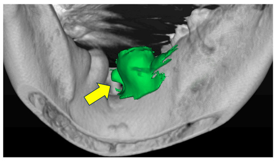
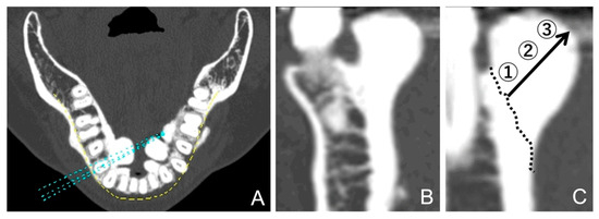
2.2. Classification of Morphology and Size
2.3. Bone Density Assessment
2.4. Definition of Remaining Teeth and Occlusal Support
2.5. Statistical Methods
3. Results
3.1. Prevalence of Mandibular Tori
3.2. Frequently Occurring Site of Mandibular Tori
3.3. Appearance Rate of Mandibular Tori by Morphological Type
3.4. Bone Density of Mandibular Tori and Healthy Cortical Bone
3.5. Comparison of Mandibular Tori and Tooth Loss Rate
3.6. Comparison of Mandibular Tori and Occlusal Support
4. Discussion
5. Conclusions
Author Contributions
Funding
Institutional Review Board Statement
Informed Consent Statement
Data Availability Statement
Acknowledgments
Conflicts of Interest
References
- García-García, A.S.; Martínez-González, J.-M.; Gómez-Font, R.; Soto-Rivadeneira, A.; Oviedo-Roldán, L. Current status of the torus palatinus and torus mandibularis. Med. Oral Patol. Oral Cir. Bucal 2010, 15, e353–e360. [Google Scholar] [CrossRef] [PubMed]
- Hiremath, V.K.; Husein, A.; Mishra, N. Prevalence of torus palatinus and torus mandibularis among Malay population. J. Int. Soc. Prev. Community Dent. 2011, 1, 60–64. [Google Scholar] [CrossRef]
- Chaubal, T.V.; Bapat, R.; Poonja, K. Torus mandibularis. Am. J. Med. 2017, 130, e451. [Google Scholar] [CrossRef] [PubMed][Green Version]
- Mermod, M.; Hoarau, R. Mandibular tori. Can. Med. Assoc. J. 2015, 187, 826. [Google Scholar] [CrossRef]
- Reichart, P.A.; Neuhaus, F.; Sookasem, M. Prevalence of torus palatinus and torus mandibularis in German and Thai. Community Dent. Oral Epidemiol. 1988, 16, 61–64. [Google Scholar] [CrossRef] [PubMed]
- Eggen, S.; Natvig, B. Relationship between torus mandibularis and number of present teeth. Scand. J. Dent. Res. 1986, 94, 233–240. [Google Scholar] [CrossRef]
- Bruce, I.; Ndanu, T.A.; Addo, M.E. Epidemiological aspects of oral tori in a Ghanaian community. Int. Dent. J. 2004, 54, 78–82. [Google Scholar] [CrossRef]
- Kerdpon, D.; Sirirungrojying, S. A clinical study of oral tori in southern Thailand: Prevalence and the relation to parafunctional activity. Eur. J. Oral Sci. 1999, 107, 9–13. [Google Scholar] [CrossRef] [PubMed]
- Morita, K.; Tsuka, H.; Shintani, T.; Yoshida, M.; Kurihara, H.; Tsuga, K. Prevalence of torus mandibularis in young healthy dentate adults. J. Oral Maxillofac. Surg. 2017, 75, 2593–2598. [Google Scholar] [CrossRef]
- Yoshinaka, M.; Ikebe, K.; Furuya-Yoshinaka, M.; Maeda, Y. Prevalence of torus mandibularis among a group of elderly Japanese and its relationship with occlusal force. Gerodontology 2014, 31, 117–122. [Google Scholar] [CrossRef]
- Muntianu, L.A.; Comes, C.A.; Rusu, M.C. Palatal and mandibular tori in a Romanian removable denture—Wearing population. Gerodontology 2011, 28, 209–212. [Google Scholar] [CrossRef] [PubMed]
- Sathya, K.; Kanneppady, S.K.; Arishiya, T. Prevalence and clinical characteristics of oral tori among outpatients in Northern Malaysia. J. Oral Biol. Craniofac. Res. 2012, 2, 15–19. [Google Scholar] [CrossRef] [PubMed]
- Kumar, D.R.; Malik, D.M.; Laller, D.S.; Priti, D. Bilateral torus mandibularis: A case report with mini review. Int. J. Clin. Diagn. Pathol. 2018, 1, 27–28. [Google Scholar] [CrossRef]
- AlZarea, B.K. Prevalence and pattern of torus palatinus and torus mandibularis among edentulous patients of Saudi Arabia. Clin. Interv. Aging 2016, 11, 209–213. [Google Scholar] [CrossRef]
- Saffran, A.J.; Clark, R.F. Torus mandibularis: An unusual cause of obstructive sleep apnea. Ear Nose Throat J. 2004, 83, 324. [Google Scholar] [CrossRef]
- Ahn, S.H.; Ha, J.-G.; Kim, J.W.; Lee, Y.W.; Yoon, J.-H.; Kim, C.-H.; Cho, H.-J. Torus mandibularis affects the severity and position-dependent sleep apnoea in non-obese patients. Clin. Otolaryngol. 2019, 44, 279–285. [Google Scholar] [CrossRef]
- Al-Bayaty, H.F.; Murti, P.R.; Matthews, R.; Gupta, P.C. An epidemiological study of tori among 667 dental outpatients in Trinidad and Tobago, West Indies. Int. Dent. J. 2001, 51, 300–304. [Google Scholar] [CrossRef]
- Haugen, L.K. Palatine and mandibular tori. A morphologic study in the current Norwegian population. Acta Odontol. Scand. 1992, 50, 65–77. [Google Scholar] [CrossRef]
- Jainkittivong, A.; Apinhasmit, W.; Swasdison, S. Prevalencce and clinical characteristics of oral tori in 1,520 Chulalongkorn University Dental School patients. Surg. Radiol. Anat. 2007, 29, 125–131. [Google Scholar] [CrossRef]
- Eggen, S.; Natvig, B. Variation in torus mandibularis prevalence in Norway. A statistical analysis using logistic regression. Community Dent. Oral Epidemiol. 1991, 19, 32–35. [Google Scholar] [CrossRef]
- Scrieciu, M.; MercuŢ, V.; MercuŢ, R.; Bîrjovanu, C.; Stan, M.C.; Marinescu, I.R.; Niculescu, M.; Iorgulescu, D.; Bătăiosu, M. Morphological and clinical characteristics of the torus palatinus and torus mandibularis in a sample of young and adult’s Romanian people. Rom. J. Morphol. Embryol. 2016, 57, 139–144. [Google Scholar]
- Goncalves, T.M.; de Oliveira, J.A.; Sanchez-Ayala, A.; Rodrigues Garcia, R.C. Surgical resection and prosthetic treatment of an extensive mandibular torus. Gen. Dent. 2013, 61, 65–68. [Google Scholar] [PubMed]
- Sonnier, K.E.; Horning, G.M.; Cohen, M.E. Palatal tubercles, palatal tori, and mandibular tori: Prevalence and anatomical features in a U.S. population. J. Periodontol. 1999, 70, 329–336. [Google Scholar] [CrossRef] [PubMed]
- Choi, Y.; Park, H.; Lee, J.-S.; Park, J.-C.; Kim, C.-S.; Choi, S.-H.; Cho, K.-S.; Chai, J.-K.; Jung, U.-W. Prevalence and anatomic tomography of mandibular tori: Computed tomographic analysis. J. Oral Maxillofac. Surg. 2012, 70, 1286–1291. [Google Scholar] [CrossRef] [PubMed]
- Kün-Darbois, J.D.; Guillaume, B.; Chappard, D. Asymmetric bone remodeling in mandibular and maxillary tori. Clin. Oral Investig. 2017, 21, 2781–2788. [Google Scholar] [CrossRef] [PubMed]
- Eggen, S.; Natvig, B. Concurrence of torus mandibularis and torus palatinus. Scand. J. Dent. Res. 1994, 102, 60–63. [Google Scholar] [CrossRef] [PubMed]
- Sirirungrojying, S.; Kerdpon, D. Relationship between oral tori and temporomandibular disorders. Int. Dent. J. 1999, 49, 101–104. [Google Scholar] [CrossRef]
- Auškalnis, A.; Rutkūnas, V.; Bernhardt, O.; Šidlauskas, M.; Šalomskienė, L.; Basevičienė, N. Multifactorial etiology of torus mandibularis: Study of twins. Stomatologija 2015, 17, 35–40. [Google Scholar] [PubMed]
- Eggen, S. Correlated characteristics of the jaws: Association between torus mandibularis and marginal alveolar bone height. Acta Odontol. Scand. 1992, 50, 1–6. [Google Scholar] [CrossRef] [PubMed]
- Misch, C.E. Density of bone: Effect on treatment plans, surgical approach, healing, and progressive bone loading. Int. Oral Implantol. 1990, 6, 23–31. [Google Scholar]
- Loren, R.L. Correlations between dental wear and oral cavity characteristics: Mandibular torus, palatine torus, and oral exostoses. Am. J. Hum. Biol. 2021, 33, e23446. [Google Scholar]
- Eduardo, B.-S.; Juliana, S.-B.; André, L.P.; Bruce, D.; Carlos, F.-M.; Daniele, M.; Graziela, D.L.C. Association between signs and symptoms of bruxism and presence of tori: A systematic review. Clin. Oral Investig. 2017, 21, 2789–2799. [Google Scholar]
- Hansson, S.; Halldin, A. Alveolar ridge resorption after tooth extraction: A consequence of a fundamental principle of bone physiology. J. Dent. Biomech. 2012, 3, 1758736012456543. [Google Scholar] [CrossRef] [PubMed]
- Atieh, M.A.; Alsabeeha, N.H.; Payne, A.G.; Ali, S.; Faggion, C.M.J.; Esposito, M. Interventions for replacing missing teeth: Alveolar ridge preservation techniques for dental implant site development. Cochrane Database Syst. Rev. 2021, 4, CD010176. [Google Scholar] [CrossRef]
- Alshenaiber, R.; Cowan, C.; Barclay, C.; Silikas, N. Analysis of residual ridge morphology in a group of edentulous patients seeking NHS dental implant provision—A retrospective observational lateral cephalometric study. Diagnostics 2021, 11, 2348. [Google Scholar] [CrossRef]
- Ganz, S.D. Mandibular tori as a source for onlay bone graft augmentation: A surgical procedure. Pract. Periodontics Aesthet. Dent. 1997, 9, 973–982. [Google Scholar] [PubMed]
- Wang, C.W.; Haung, C.H.; Grossman, S.H.; Pourati, J. Vertical ridge augmentation with mandibular lingual torus block graft. J. Oral Implantol. 2016, 4, 369–372. [Google Scholar] [CrossRef] [PubMed]
- Santhanakrishnan, M.; Rangarao, S. Mandibular Tori: A source of autogenous bone graft. J. Indian Soc. Periodontol. 2014, 18, 767–771. [Google Scholar] [CrossRef] [PubMed]
- Karaca, I.R.; Ozturk, D.N.; Akinci, H.O. Mandibular torus harvesting for sinus augmentation: Two-year follow-up. J. Maxillofac. Oral Surg. 2019, 18, 61–64. [Google Scholar] [CrossRef]
- Hassan, K.S.; Al-Agal, A.; Abdel-Hady, A.I.; Swelam, W.M.; Elgazzar, R.F. Mandibular tori as bone grafts: An alternative treatment for periodontal osseous defects—Clinical, radiographic and histologic morphology evaluation. J. Contemp. Dent. Pract. 2015, 16, 192–200. [Google Scholar] [CrossRef] [PubMed]
- Proussaefs, P. Clinical and histologic evaluation of the use of mandibular tori as donor site for mandibular block autografts: Report of three cases. Int. Periodontics Restor. Dent. 2006, 26, 43–51. [Google Scholar]











| Age Group | Prevalence (%) | Number of Subjects |
|---|---|---|
| 10s | 8.2 | 147 |
| 20s | 18.4 | 147 |
| 30s | 39.5 | 147 |
| 40s | 49.7 | 147 |
| 50s | 40.1 | 147 |
| 60s | 33.3 | 147 |
| 70s | 18.4 | 147 |
| 80s and above | 19.7 | 147 |
Disclaimer/Publisher’s Note: The statements, opinions and data contained in all publications are solely those of the individual author(s) and contributor(s) and not of MDPI and/or the editor(s). MDPI and/or the editor(s) disclaim responsibility for any injury to people or property resulting from any ideas, methods, instructions or products referred to in the content. |
© 2025 by the authors. Licensee MDPI, Basel, Switzerland. This article is an open access article distributed under the terms and conditions of the Creative Commons Attribution (CC BY) license (https://creativecommons.org/licenses/by/4.0/).
Share and Cite
Shibaguchi, K.; Morinaga, K.; Magori, Y.; Kagawa, T.; Matsuura, T. Computed Tomographic Analysis of Mandibular Tori and Their Relationship to Remaining Teeth. Diagnostics 2025, 15, 414. https://doi.org/10.3390/diagnostics15040414
Shibaguchi K, Morinaga K, Magori Y, Kagawa T, Matsuura T. Computed Tomographic Analysis of Mandibular Tori and Their Relationship to Remaining Teeth. Diagnostics. 2025; 15(4):414. https://doi.org/10.3390/diagnostics15040414
Chicago/Turabian StyleShibaguchi, Kai, Kenzo Morinaga, Yuki Magori, Toyohiro Kagawa, and Takashi Matsuura. 2025. "Computed Tomographic Analysis of Mandibular Tori and Their Relationship to Remaining Teeth" Diagnostics 15, no. 4: 414. https://doi.org/10.3390/diagnostics15040414
APA StyleShibaguchi, K., Morinaga, K., Magori, Y., Kagawa, T., & Matsuura, T. (2025). Computed Tomographic Analysis of Mandibular Tori and Their Relationship to Remaining Teeth. Diagnostics, 15(4), 414. https://doi.org/10.3390/diagnostics15040414
