Zoom-in Dermoscopy for Facial Tumors
Abstract
1. Introduction
2. Materials and Methods
3. Results
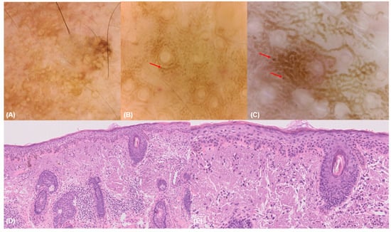
3.1. Dermoscopy at 30× Magnification
3.2. Dermoscopy at 150× Magnification
3.3. Dermoscopy at 30× Compared with 150× Magnification
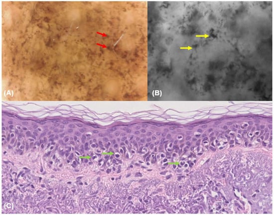
3.4. Fluorescence-Advanced Videodermatoscopy Imaging
4. Discussion
5. Conclusions
Author Contributions
Funding
Institutional Review Board Statement
Informed Consent Statement
Data Availability Statement
Conflicts of Interest
References
- Akay, B.N.; Kocyigit, P.; Heper, A.O.; Erdem, C. Dermatoscopy of flat pigmented facial lesions: Diagnostic challenge between pigmented actinic keratosis and lentigo maligna. Br. J. Dermatol. 2010, 163, 1212–1217. [Google Scholar] [CrossRef] [PubMed]
- Star, P.; Guitera, P. Lentigo Maligna, Macules of the Face, and Lesions on Sun-Damaged Skin: Confocal Makes the Difference. Dermatol. Clin. 2016, 34, 421–429. [Google Scholar] [CrossRef]
- DeWane, M.E.; Kelsey, A.; Oliviero, M.; Rabinovitz, H.; Grant-Kels, J.M. Melanoma on chronically sun-damaged skin: Lentigo maligna and desmoplastic melanoma. J. Am. Acad. Dermatol. 2019, 81, 823–833. [Google Scholar] [CrossRef]
- Tschandl, P.; Rosendahl, C.; Kittler, H. Dermatoscopy of flat pigmented facial lesions. J. Eur. Acad. Dermatol. Venereol. 2015, 29, 120–127. [Google Scholar] [CrossRef]
- Ozbagcivan, O.; Akarsu, S.; Ikiz, N.; Semiz, F.; Fetil, E. Dermoscopic Differentiation of Facial Lentigo Maligna from Pigmented Actinic Keratosis and Solar Lentigines. Acta Dermatovenerol. Croat. 2019, 27, 146–152. [Google Scholar]
- Lallas, A.; Paschou, E.; Manoli, S.M.; Papageorgiou, C.; Spyridis, I.; Liopyris, K.; Bobos, M.; Moutsoudis, A.; Lazaridou, E.; Apalla, Z. Dermatoscopy of melanoma according to type, anatomic site and stage. Ital. J. Dermatol. Venerol. 2021, 156, 274–288. [Google Scholar] [CrossRef] [PubMed]
- Pogorzelska-Dyrbus, J.; Szepietowski, J.C. Melanoma cells in optical super-high magnification dermoscopy. Br. J. Dermatol. 2023, 189, e55. [Google Scholar] [CrossRef] [PubMed]
- Daviti, M.; Papadimitriou, I.; Cinotti, E.; Lallas, A. Atypical melanocytes of an atypical Spitz tumour observed with optical super-high magnification dermoscopy. Br. J. Dermatol. 2024, 191, 853. [Google Scholar] [CrossRef] [PubMed]
- Sanlorenzo, M.; Vujic, I.; De Giorgi, V.; Tomasini, C.; Deboli, T.; Quaglino, P.; Fierro, M.T.; Broganelli, P. Fluorescence-advanced videodermatoscopy: A new method for in vivo skin evaluation. Br. J. Dermatol. 2017, 177, e209–e210. [Google Scholar] [CrossRef] [PubMed]
- Scarfi, F.; Trane, L.; Maio, V.; Silvestri, F.; Venturi, F.; Zuccaro, B.; Massi, D.; De Giorgi, V. Fluorescence-advanced videodermatoscopy (FAV) for the differential diagnosis of suspicious facial lesions: A single-centre experience with pattern analysis and histopathological correlation. Photodermatol. Photoimmunol. Photomed. 2022, 38, 266–276. [Google Scholar] [CrossRef] [PubMed]
- Argenziano, G.; Catricala, C.; Ardigo, M.; Buccini, P.; De Simone, P.; Eibenschutz, L.; Ferrari, A.; Mariani, G.; Silipo, V.; Sperduti, I.; et al. Seven-point checklist of dermoscopy revisited. Br. J. Dermatol. 2011, 164, 785–790. [Google Scholar] [CrossRef] [PubMed]
- Tognetti, L.; Cartocci, A.; Cinotti, E.; D’Onghia, M.; Zychowska, M.; Moscarella, E.; Dika, E.; Farnetani, F.; Guida, S.; Paoli, J.; et al. Dermoscopy of atypical pigmented lesions of the face: Variation according to facial areas. Exp. Dermatol. 2023, 32, 2166–2172. [Google Scholar] [CrossRef]
- Cinotti, E.; Cioppa, V.; Tognetti, L.; Perrot, J.L.; Rossi, R.; Gnone, M.; Cartocci, A.; Rubegni, P.; Cortonesi, G. Super-High Magnification Dermoscopy in 190 Clinically Atypical Pigmented Lesions. Diagnostics 2023, 13, 2238. [Google Scholar] [CrossRef] [PubMed]
- Kaminska-Winciorek, G.; Spiewak, R. Tips and tricks in the dermoscopy of pigmented lesions. BMC Dermatol. 2012, 12, 14. [Google Scholar] [CrossRef] [PubMed]
- Radi, G.; Rossi, R.; Diotallevi, F.; Giannoni, M.; Molinelli, E.; Paolinelli, M.; Ferrara, G.; Offidani, A. The role of the optical super high magnification dermoscopy (O.S.H.M.D) in the management of melanocytic lesions. J. Eur. Acad. Dermatol. Venereol. 2023, 37, e122–e124. [Google Scholar] [CrossRef]
- Cinotti, E.; Cartocci, A.; Liso, F.G.; Cioppa, V.; Falcinelli, F.; Tognetti, L.; Rubegni, P.; Perrot, J.L. Super-High Magnification Dermoscopy Can Help for the Diagnosis of Lentigo Maligna: A Pilot Study on 61 Cases. Dermatol. Pract. Concept. 2023, 13, e2023101. [Google Scholar] [CrossRef] [PubMed]
- Cinotti, E.; Tognetti, L.; Campoli, M.; Liso, F.; Cicigoi, A.; Cartocci, A.; Rossi, R.; Rubegni, P.; Perrot, J.L. Super-high magnification dermoscopy can aid the differential diagnosis between melanoma and atypical naevi. Clin. Exp. Dermatol. 2021, 46, 1216–1222. [Google Scholar] [CrossRef] [PubMed]
- Altamura, D.; Menzies, S.W.; Argenziano, G.; Zalaudek, I.; Soyer, H.P.; Sera, F.; Avramidis, M.; DeAmbrosis, K.; Fargnoli, M.C.; Peris, K. Dermatoscopy of basal cell carcinoma: Morphologic variability of global and local features and accuracy of diagnosis. J. Am. Acad. Dermatol. 2010, 62, 67–75. [Google Scholar] [CrossRef] [PubMed]
- Dika, E.; Lambertini, M.; Patrizi, A.; Misciali, C.; Scarfi, F.; Pellacani, G.; Mandel, V.D.; Di Tullio, F.; Stanganelli, I.; Chester, J.; et al. Folliculotropism in head and neck lentigo maligna and lentigo maligna melanoma. J. Dtsch. Dermatol. Ges. 2021, 19, 223–229. [Google Scholar] [CrossRef] [PubMed]







| Overall | |
|---|---|
| n = 85 | |
| n (%) | |
| Female | 47 (55.3) |
| Age at diagnosis, mean (SD) | 64.24 (13.04) |
| Specific areas involved | |
| Cheeks | 30 (35.3) |
| Nose | 20 (23.6) |
| Forehead | 14 (16.5) |
| Scalp | 11 (13) |
| Eyelids | 5 (5.9) |
| Neck | 3 (3.5) |
| Ears | 1 (1.2) |
| Chin | 1(1.2) |
| Histological examination | 47 (55.3) |
| Lesion subtypes | |
| SL | 24 (28.2) |
| LM | 14 (16.5) |
| SK | 9 (10.6) |
| Naevus | 8 (9.4) |
| PAK | 8 (9.4) |
| AK | 7 (8.2) |
| BCC | 7 (8.2) |
| KL | 4 (4.7) |
| LMM | 4 (4.7) |
| Other * N = 60 n (%) | LM or LMM N = 18 n (%) | p | |
|---|---|---|---|
| White and wide follicular opening | 46 (76.7) | 5 (27.8) | <0.001 |
| Reticular or parallel brown lines | 23 (38.3) | 0 (0.0) | 0.005 |
| Sharply demarcated borders | 30 (50.0) | 5 (27.8) | 0.164 |
| Milia-like cysts or comedo-like openings | 4 (6.7) | 0 (0.0) | 0.606 |
| Blue–white veil | 1 (1.7) | 7 (38.9) | <0.001 |
| Atypical vascular pattern | 1 (1.7) | 1 (5.6) | 0.948 |
| Regression structures | 13 (21.7) | 10 (55.6) | 0.013 |
| Blotches irregularly distributed | 2 (3.3) | 1 (5.6) | 1.000 |
| Irregular dots or globules | 6 (10.0) | 9 (50.0) | 0.001 |
| Erythematous pseudonetwork pattern | 8 (13.3) | 4 (22.2) | 0.586 |
| Pseudonetwork pattern | 34 (56.7) | 0 (0.0) | <0.001 |
| Angulated lines | 4 (6.7) | 13 (72.2) | <0.001 |
| Annular granular pattern or gray circles | 12 (20.0) | 11 (61.1) | 0.002 |
| Asymmetrical pigmented follicular openings | 13 (21.7) | 18 (100.0) | <0.001 |
| Follicular obliteration | 2 (3.3) | 5 (27.8) | 0.007 |
| BCC N = 7 n (%) | Other * N = 55 n (%) | LM or LMM N = 16 n (%) | p | |
|---|---|---|---|---|
| Cell presence | 6 (85.7) | 55 (100.0) | 16 (100.0) | 0.090 |
| Cell type | ||||
| Keratinocytes | 5 (71.4) | 55 (100.0) | 15 (93.8) | 0.005 a |
| Roundish melanocytes | 1 (14.3) | 10 (18.2) | 14 (87.5) | <0.001 b,c |
| Dendritic melanocytes | - | 8 (14.5) | 7 (43.8) | 0.019 |
| Melanophages | - | 8 (14.5) | 7 (43.8) | 0.019 |
| Cell irregularity in shape and size | 3 (42.9) | 12 (21.8) | 13 (81.2) | <0.001 c |
| Cell distribution | ||||
| Regular cell distribution | 1 (14.3) | 36 (65.5) | 9 (56.2) | 0.038 a |
| Roundish nests | 1 (14.3) | 5 (9.1) | 0 (0.0) | 0.362 |
| Dots | 3 (42.9) | 12 (21.8) | 7 (43.8) | 0.132 |
| Structureless area that do not follow DEJ architecture | 1 (14.3) | 7 (12.7) | 4 (25.0) | 0.458 |
| Vessels | 5 (71.4) | 15 (27.3) | 4 (25.0) | 0.065 |
| Vessel shape | <0.001 | |||
| No vessels | 1 (14.3) | 41 (74.5) | 12 (75.0) | |
| Linear | - | 9 (16.4) | 4 (25.0) | |
| Arborizing | 6 (85.7) | 3 (5.5) | - | |
| Polymorphous | - | 2 (3.6) | - | |
| Out of focus purple-bluish, structureless areas | 3 (42.9) | 3 (5.5) | 6 (37.5) | 0.001 a,c |
| Multiple shades of brown | 2 (28.6) | 13 (23.6) | 13 (81.2) | <0.001 b,c |
| Hyperkeratotic roundish concentric areas | - | 8 (14.5) | 1 (6.2) | 0.608 |
| Pigmentation with edged papillae | - | 28 (50.9) | 3 (18.8) | 0.005 c |
| Pigmentation without edged papillae | 5 (71.4) | 22 (40.0) | 15 (93.8) | <0.001 c |
| Keratin plugs inside hair follicles | 1 (14.3) | 10 (18.2) | - | 0.172 |
| Agreement | Accuracy | Prevalence | |||||
|---|---|---|---|---|---|---|---|
| 150× | 30× | Gwet AC1 | p | Prevalence 150× | Prevalence 30× | p | |
| Roundish or dendritic melanocytes | Angulated lines | 0.579 | <0.001 | 75.6 | 41.0% | 20.0 | 0.006 |
| Annular granular pattern or gray circles | 0.531 | <0.001 | 74.4% | 41.0 | 27.1 | 0.085 | |
| Asymmetrical pigmented follicular openings | 0.481 | <0.001 | 73.1 | 41.0 | 38.8 | 0.899 | |
| Follicular obliteration | 0.432 | <0.001 | 64.1 | 41.0 | 8.2 | <0.001 | |
| Melanophages | Angulated lines | 0.591 | <0.001 | 71.8 | 19.2 | 20.0 | 1.000 |
| Annular granular pattern or gray circles | 0.658 | <0.001 | 78.2 | 19.2 | 27.1 | 0.319 | |
| Asymmetrical pigmented follicular openings | 0.385 | <0.001 | 64.1 | 19.2 | 38.8 | 0.010 | |
| Follicular obliteration | 0.749 | <0.001 | 80.7 | 19.2 | 8.2 | 0.068 | |
| Cell irregularity in shape and size | Angulated lines | 0.552 | <0.001 | 73.1 | 35.9 | 20.0 | 0.036 |
| Annular granular pattern/gray circles | 0.591 | <0.001 | 76.9 | 35.9 | 27.1 | 0.295 | |
| Asymmetrical pigmented follicular openings | 0.492 | <0.001 | 73.0 | 35.9 | 38.8 | 0.823 | |
| Follicular obliteration | 0.533 | <0.001 | 69.2 | 35.9 | 8.2 | <0.001 | |
| Pigmentation with edged papillae | Pseudonetwork pattern | 0.603 | <0.001 | 79.5 | 39.7 | 40.0 | 1.00 |
| Polymorphus vessels | Atypical vascular pattern | 0.854 | <0.001 | 87.2 | 2.6 | 9.4 | 0.135 |
| Folliculotropism | Angulated lines | 0.802 | <0.001 | 85.9 | 15.4 | 20.0 | 0.572 |
| Annular granular pattern or gray circles | 0.650 | <0.001 | 76.9 | 15.4 | 27.1 | 0.104 | |
| Asymmetrical pigmented follicular openings | 0.552 | <0.001 | 73.1 | 15.4 | 38.8 | 0.001 | |
| Follicular obliteration | 0.871 | <0.001 | 89.7 | 15.4 | 8.2 | 0.239 | |
| Other * N = 42 n (%) | LM/LMM N = 16 n (%) | p | |
|---|---|---|---|
| Small pigmented cells with sharp borders | 38 (90.5) | 16 (100.0) | 0.484 |
| Large isolated cells with clearly visible sharp borders | 1 (2.4) | 15 (93.8) | <0.001 |
| Large isolated dendritic cells | 4 (9.5) | 11 (68.8) | <0.001 |
| Free melanin | 16 (8.1) | 15 (93.8) | <0.001 |
| Agreement | Accuracy | Prevalence | |||||
|---|---|---|---|---|---|---|---|
| 150× | FAV | Gwet AC1 | p | p | Prevalence 150× | Prevalence FAV | p |
| Keratinocytes | Small pigmented cells with sharp borders | 0.86 | <0.001 | 0.88 | 96.1% | 93.7% | 0.772 |
| Roundish melanocytes | Large isolated cells with clearly visible sharp borders | 0.70 | <0.001 | 0.82 | 32.1% | 25.4% | 0.497 |
| Dendritic melanocytes | Large isolated dendritic cells | 0.50 | 0.001 | 0.68 | 19.2% | 23.8% | 0.650 |
Disclaimer/Publisher’s Note: The statements, opinions and data contained in all publications are solely those of the individual author(s) and contributor(s) and not of MDPI and/or the editor(s). MDPI and/or the editor(s) disclaim responsibility for any injury to people or property resulting from any ideas, methods, instructions or products referred to in the content. |
© 2025 by the authors. Licensee MDPI, Basel, Switzerland. This article is an open access article distributed under the terms and conditions of the Creative Commons Attribution (CC BY) license (https://creativecommons.org/licenses/by/4.0/).
Share and Cite
D’Onghia, M.; Falcinelli, F.; Barbarossa, L.; Pinto, A.; Cartocci, A.; Tognetti, L.; Rubegni, G.; Batsikosta, A.; Rubegni, P.; Cinotti, E. Zoom-in Dermoscopy for Facial Tumors. Diagnostics 2025, 15, 324. https://doi.org/10.3390/diagnostics15030324
D’Onghia M, Falcinelli F, Barbarossa L, Pinto A, Cartocci A, Tognetti L, Rubegni G, Batsikosta A, Rubegni P, Cinotti E. Zoom-in Dermoscopy for Facial Tumors. Diagnostics. 2025; 15(3):324. https://doi.org/10.3390/diagnostics15030324
Chicago/Turabian StyleD’Onghia, Martina, Francesca Falcinelli, Lorenzo Barbarossa, Alberto Pinto, Alessandra Cartocci, Linda Tognetti, Giovanni Rubegni, Anastasia Batsikosta, Pietro Rubegni, and Elisa Cinotti. 2025. "Zoom-in Dermoscopy for Facial Tumors" Diagnostics 15, no. 3: 324. https://doi.org/10.3390/diagnostics15030324
APA StyleD’Onghia, M., Falcinelli, F., Barbarossa, L., Pinto, A., Cartocci, A., Tognetti, L., Rubegni, G., Batsikosta, A., Rubegni, P., & Cinotti, E. (2025). Zoom-in Dermoscopy for Facial Tumors. Diagnostics, 15(3), 324. https://doi.org/10.3390/diagnostics15030324

