Shear Wave Elastography for Carotid Artery Stiffness: Ready for Prime Time?
Abstract
1. Introduction
2. Pathophysiology of Vascular Stiffness
2.1. Factors Associated with Carotid Stiffness
2.2. From Carotid Stiffness to Cerebral Small Vessel Disease and Plaques
3. Technical Guidelines
- Measurements on the posterior or anterior carotid wall: One study recommends the anterior wall [34], while another finds it favorable that the posterior part adheres stably to the muscles [32]; however, the distance of the posterior wall from the probe causes the reduced repeatability of the results [34]. On the other hand, it has been suggested that the anterior wall may have errors due to the direct contact with the jugular vein, resulting in mobility causing artefacts [32,34].
- Possible differences in CS between the right and left side: Research suggests that side-related differences may exist, potentially due to anatomical or hemodynamic factors [32]. On the other hand, a pilot study assessing the SWE imaging of CCAs found no significant difference in the YM between the left and right sides [62]. It is essential to consider that individual characteristics can influence results.
- Internal variability of measurements (intra-/inter-observer variability): To evaluate the intra-observer reproducibility of the YM, it is proposed that the same measurements should be repeated at different time points within a time frame of one week minimum to several months. Also, a second independent examiner should repeat the measurements twice to assess the inter-observer reproducibility of the results. Both observers must be blinded to each other’s findings [32,61]. These measurements will also assist with the possible differences related to the carotids’ depth and location.
- Measurements during systolic and diastolic cardiac phases: A published case reports a difference of almost 60% between the two phases, with the systolic YM to be up to 130 kPa [65]. It seems that the shear wave speed in the carotid artery increases with blood pressure throughout the cardiac cycle, resulting in a higher stiffness during the systole compared to diastole.
3.1. Technical Recommendations
- Dual Mode, with a B-Mode image on the left and an elastography image on the right [63]. Shang et al. also suggests split screen, with a real-time gray-scale and concurrent SWE image [58]. Dual mode provides simultaneous data in anatomy and elastography, allowing for the precise placement of the region of interest (ROI), while ensuring the proper alignment of SWE. Without dual-mode imaging, the ROI placement may be less accurate.
- The scanner SWE settings should be standardized to optimize acquisitions based on the initial clinical experience and technician advice, minimizing the variability due to operator or equipment differences. More specifically, a depth of image at 3 cm; acoustic power (maximum); smoothing (mid-range setting of 6); persistence (off); gain (65–70%); SWE option (penetration) [58,60].
- The shear waves should be created using three successive pushes of 10 s at three depths, 5 mm apart along the centerline, of a manually positioned ROI [66]. This ensures the sufficient propagation of the shear waves and allows for the assessment of tissue elasticity at varying depths.
- A 2D color map of the shear wave velocities (SWVs) should be acquired, as it aids with the identification of homogeneous areas where the measurements are the most reliable. ROIs should be placed where the map shows a homogenous SWE distribution [56].
- Images should be magnified for better ROI acquisition (suggested at 200%), as poor visibility without magnification may lead to errors in the stiffness measurements due to imprecise ROI placement [66].
- Breath-holding minimizes motion artifacts caused by respiratory movement; therefore, participants should hold their breath for 3 s to ensure image stability [66].
- A frame rate of 1 Hz with 10 frames is suggested, as it ensures accurate elastography data during a stable acquisition phase. The initial frames should be discarded to ensure equipment stabilization. The selection of specific frames minimizes the transient noise [60].
- From the acquired cine-loops, the first two SWE frames should be discarded to allow the SWE acquisition to stabilize [60,62]. Another suggestion is that, from the 10 frames, the 3 first frames and 3 last frames should be discarded, and 4 frames should be acquired for the measurements [58]. Shorter loops or insufficient frame analysis may lead to errors.
- The cine-loops should last for 10 s in a longitudinal view of the vessel (common carotid artery), approximately 2 cm from the carotid bulb, and four to five consecutive frames should be analyzed to calculate the average Young’s modulus from these frames. This approach should yield 40 Young’s modulus values per participant, that is, four ROIs times five frames times two sides [58,60,62,63].
- ○
- ○
- In case of a one-sided selection, the number of ROIs should be recalculated accordingly [32].
- ○
- Regarding the study position of the Intima–Media Complex, other studies measured three ROIs, with one ROI in each area of interest, e.g., one ROI in the common carotid artery, one ROI in the internal carotid artery, and one ROI in the carotid bulb (totaling six ROIs for both the left and right sides) [43,67].
- For the ROI size, it is suggested that, for a CIMT on the CCA of 0.6 mm, an ROI of 2 mm should be used. The idea behind this is that large ROIs create heterogeneity in the measurement, while very small ROIs may introduce operator error [34,60]. Researchers may also explore in the future the use of 1 mm ROI sizes [67].
3.2. Assessing Carotid Plaques with Shear Wave Elastography
3.3. The Challenge with the Cardiac Cycle
3.4. Measurements’ Reproducibility
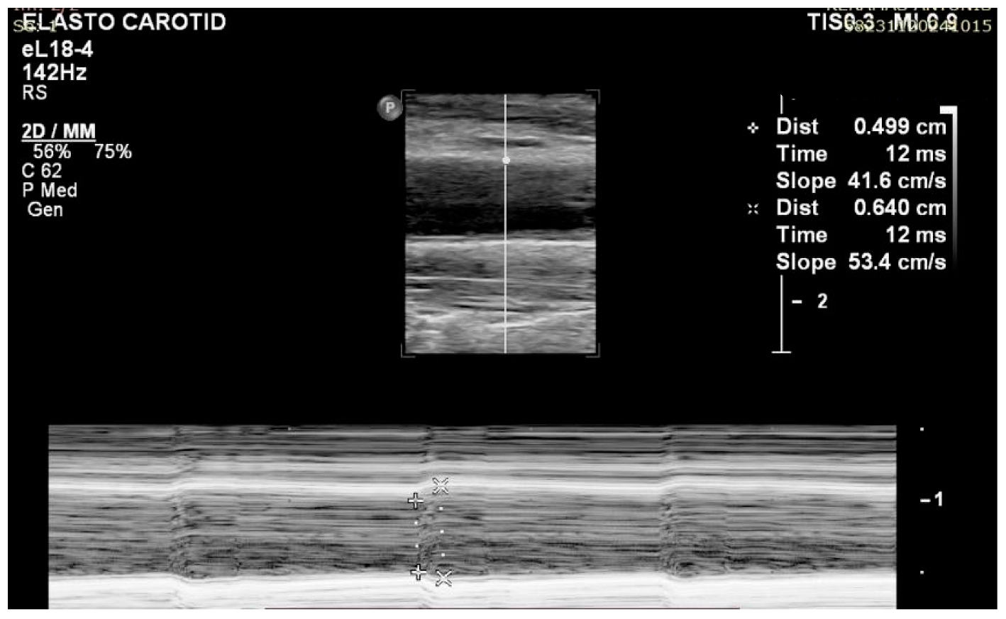
4. Small Pilot Study
5. Conclusions and Future Perspectives
Author Contributions
Funding
Institutional Review Board Statement
Informed Consent Statement
Data Availability Statement
Conflicts of Interest
Abbreviations
| SWE | Shear Wave Elastography |
| IMC | Intima–Media Complex |
| CS | Carotid Stiffness |
| CEUS | Contrast-Enhanced US |
| IMT | Carotid Intima–Media Thickness |
| CSVD | Cerebral Small Vessel Disease |
| YM | Young’s Modulus |
| BMI | Body Mass Index |
| ICAs | Internal Carotid Arteries |
| TIAs | Transient Ischemic Attacks |
| CCA | Common Carotid Arteries |
| SBP | Systolic Blood Pressure |
| DBP | Diastolic Blood Pressure |
References
- Saxena, A.; Ng, E.Y.K.; Lim, S.T. Imaging Modalities to Diagnose Carotid Artery Stenosis: Progress and Prospect. Biomed. Eng. OnLine 2019, 18, 66. [Google Scholar] [CrossRef] [PubMed]
- Alexandratou, M.; Papachristodoulou, A.; Li, X.; Partovi, S.; Davidhi, A.; Rafailidis, V.; Prassopoulos, P.; Kamperidis, V.; Koutroulou, I.; Tsivgoulis, G.; et al. Advances in Noninvasive Carotid Wall Imaging with Ultrasound: A Narrative Review. J. Clin. Med. 2022, 11, 6196. [Google Scholar] [CrossRef] [PubMed]
- Fresilli, D.; Di Leo, N.; Martinelli, O.; Di Marzo, L.; Pacini, P.; Dolcetti, V.; Del Gaudio, G.; Canni, F.; Ricci, L.I.; De Vito, C.; et al. 3D-Arterial Analysis Software and CEUS in the Assessment of Severity and Vulnerability of Carotid Atherosclerotic Plaque: A Comparison with CTA and Histopathology. Radiol. Med. 2022, 127, 1254–1269. [Google Scholar] [CrossRef] [PubMed]
- Yao, Y.; Zhang, P. Novel Ultrasound Techniques in the Identification of Vulnerable Plaques—An Updated Review of the Literature. Front. Cardiovasc. Med. 2023, 10, 1069745. [Google Scholar] [CrossRef]
- Schinkel, A.F.L.; Bosch, J.G.; Staub, D.; Adam, D.; Feinstein, S.B. Contrast-Enhanced Ultrasound to Assess Carotid Intraplaque Neovascularization. Ultrasound Med. Biol. 2020, 46, 466–478. [Google Scholar] [CrossRef]
- Cismaru, G.; Serban, T.; Tirpe, A. Ultrasound Methods in the Evaluation of Atherosclerosis: From Pathophysiology to Clinic. Biomedicines 2021, 9, 418. [Google Scholar] [CrossRef]
- Fernández-Alvarez, V.; Linares Sánchez, M.; López Alvarez, F.; Suárez Nieto, C.; Mäkitie, A.A.; Olsen, K.D.; Ferlito, A. Evaluation of Intima-Media Thickness and Arterial Stiffness as Early Ultrasound Biomarkers of Carotid Artery Atherosclerosis. Cardiol. Ther. 2022, 11, 231–247. [Google Scholar] [CrossRef]
- Sidhu, P.S. Multiparametric Ultrasound (MPUS) Imaging: Terminology Describing the Many Aspects of Ultrasonography. Ultraschall Med. Stuttg. Ger. 1980 2015, 36, 315–317. [Google Scholar] [CrossRef] [PubMed]
- Johri, A.M.; Nambi, V.; Naqvi, T.Z.; Feinstein, S.B.; Kim, E.S.H.; Park, M.M.; Becher, H.; Sillesen, H. Recommendations for the Assessment of Carotid Arterial Plaque by Ultrasound for the Characterization of Atherosclerosis and Evaluation of Cardiovascular Risk: From the American Society of Echocardiography. J. Am. Soc. Echocardiogr. 2020, 33, 917–933. [Google Scholar] [CrossRef] [PubMed]
- Chen, L.Y.; Leening, M.J.G.; Norby, F.L.; Roetker, N.S.; Hofman, A.; Franco, O.H.; Pan, W.; Polak, J.F.; Witteman, J.C.M.; Kronmal, R.A.; et al. Carotid Intima-Media Thickness and Arterial Stiffness and the Risk of Atrial Fibrillation: The Atherosclerosis Risk in Communities (ARIC) Study, Multi-Ethnic Study of Atherosclerosis (MESA), and the Rotterdam Study. J. Am. Heart Assoc. Cardiovasc. Cerebrovasc. Dis. 2016, 5, e002907. [Google Scholar] [CrossRef] [PubMed]
- Salvi, P.; Valbusa, F.; Kearney-Schwartz, A.; Labat, C.; Grillo, A.; Parati, G.; Benetos, A. Non-Invasive Assessment of Arterial Stiffness: Pulse Wave Velocity, Pulse Wave Analysis and Carotid Cross-Sectional Distensibility: Comparison between Methods. J. Clin. Med. 2022, 11, 2225. [Google Scholar] [CrossRef]
- Heidari Pahlavian, S.; Cen, S.Y.; Bi, X.; Wang, D.J.J.; Chui, H.C.; Yan, L. Assessment of Carotid Stiffness by Measuring Carotid Pulse Wave Velocity Using a Single-Slice Oblique-Sagittal Phase-Contrast MRI. Magn. Reson. Med. 2021, 86, 442–455. [Google Scholar] [CrossRef] [PubMed]
- DuBose, L.E.; Voss, M.W.; Weng, T.B.; Kent, J.D.; Dubishar, K.M.; Lane-Cordova, A.; Sigurdsson, G.; Schmid, P.; Barlow, P.B.; Pierce, G.L. Carotid β-Stiffness Index Is Associated with Slower Processing Speed but Not Working Memory or White Matter Integrity in Healthy Middle-Aged/Older Adults. J. Appl. Physiol. 2017, 122, 868–876. [Google Scholar] [CrossRef]
- Morioka, T.; Mori, K.; Emoto, M. Is Stiffness Parameter β Useful for the Evaluation of Atherosclerosis?~ Its Clinical Implications, Limitations, and Future Perspectives. J. Atheroscler. Thromb. 2021, 28, 435–453. [Google Scholar] [CrossRef]
- Davis, L.C.; Baumer, T.G.; Bey, M.J.; van Holsbeeck, M. Clinical Utilization of Shear Wave Elastography in the Musculoskeletal System. Ultrasonography 2019, 38, 2–12. [Google Scholar] [CrossRef]
- Taljanovic, M.S.; Gimber, L.H.; Becker, G.W.; Latt, L.D.; Klauser, A.S.; Melville, D.M.; Gao, L.; Witte, R.S. Shear-Wave Elastography: Basic Physics and Musculoskeletal Applications. Radiographics 2017, 37, 855–870. [Google Scholar] [CrossRef] [PubMed]
- Couade, M.; Pernot, M.; Prada, C.; Messas, E.; Emmerich, J.; Bruneval, P.; Criton, A.; Fink, M.; Tanter, M. Quantitative Assessment of Arterial Wall Biomechanical Properties Using Shear Wave Imaging. Ultrasound Med. Biol. 2010, 36, 1662–1676. [Google Scholar] [CrossRef]
- Khamdaeng, T.; Luo, J.; Vappou, J.; Terdtoon, P.; Konofagou, E.E. Arterial Stiffness Identification of the Human Carotid Artery Using the Stress-Strain Relationship in Vivo. Ultrasonics 2012, 52, 402–411. [Google Scholar] [CrossRef]
- Bulum, A.; Ivanac, G.; Mandurić, F.; Pfeifer, L.; Bulum, M.; Divjak, E.; Radoš, S.; Brkljačić, B. Contribution of UltraFastTM Ultrasound and Shear Wave Elastography in the Imaging of Carotid Artery Disease. Diagn. Basel Switz. 2022, 12, 1168. [Google Scholar] [CrossRef]
- DeWall, R.J. Ultrasound Elastography: Principles, Techniques, and Clinical Applications. Crit. Rev. Biomed. Eng. 2013, 41, 1–19. [Google Scholar] [CrossRef]
- Partovi, S.; Loebe, M.; Aschwanden, M.; Baldi, T.; Jäger, K.A.; Feinstein, S.B.; Staub, D. Contrast-Enhanced Ultrasound for Assessing Carotid Atherosclerotic Plaque Lesions. AJR Am. J. Roentgenol. 2012, 198, W13–W19. [Google Scholar] [CrossRef]
- Lee, H.-Y.; Oh, B.-H. Aging and Arterial Stiffness. Circ. J. Off. J. Jpn. Circ. Soc. 2010, 74, 2257–2262. [Google Scholar] [CrossRef] [PubMed]
- Fhayli, W.; Boëté, Q.; Harki, O.; Briançon-Marjollet, A.; Jacob, M.-P.; Faury, G. Rise and Fall of Elastic Fibers from Development to Aging. Consequences on Arterial Structure-Function and Therapeutical Perspectives. Matrix Biol. 2019, 84, 41–56. [Google Scholar] [CrossRef]
- Kohn, J.C.; Lampi, M.C.; Reinhart-King, C.A. Age-Related Vascular Stiffening: Causes and Consequences. Front. Genet. 2015, 6, 112. [Google Scholar] [CrossRef] [PubMed]
- Castelli, R.; Gidaro, A.; Casu, G.; Merella, P.; Profili, N.I.; Donadoni, M.; Maioli, M.; Delitala, A.P. Aging of the Arterial System. Int. J. Mol. Sci. 2023, 24, 6910. [Google Scholar] [CrossRef] [PubMed]
- Vlachopoulos, C.; Aznaouridis, K.; Stefanadis, C. Prediction of Cardiovascular Events and All-Cause Mortality With Arterial Stiffness. J. Am. Coll. Cardiol. 2010, 55, 1318–1327. [Google Scholar] [CrossRef]
- Lyle, A.N.; Raaz, U. Killing Me Unsoftly: Causes and Mechanisms of Arterial Stiffness. Arterioscler. Thromb. Vasc. Biol. 2017, 37, 2. [Google Scholar] [CrossRef] [PubMed]
- Prakash, A.; Adlakha, H.; Rabideau, N.; Hass, C.J.; Morris, S.A.; Geva, T.; Gauvreau, K.; Singh, M.N.; Lacro, R.V. Segmental Aortic Stiffness in Children and Young Adults With Connective Tissue Disorders: Relationships With Age, Aortic Size, Rate of Dilation, and Surgical Root Replacement. Circulation 2015, 132, 595–602. [Google Scholar] [CrossRef] [PubMed]
- Zhang, M.; Tang, L.; Cui, X.; Yu, T.; Li, Z.; Li, X.; LI, G. Shear Wave Elastography in Evaluation of Carotid Elasticity in the Type 2 Diabetes Mellitus Patients with Nonalcoholic Fatty Liver Disease. Int. J. Diabetes Dev. Ctries. 2022, 43, 191–198. [Google Scholar] [CrossRef]
- Goksu, K.; Vural, A.; Kahraman, A.N.; Aslan, I.K. Evaluation of Common Carotid Artery Wall Stiffness by Shear Wave Elastography in Smokers and Non-Smokers. Tob. Induc. Dis. 2024, 22, 49. [Google Scholar] [CrossRef]
- Mahmud, A.; Feely, J. Effect of Smoking on Arterial Stiffness and Pulse Pressure Amplification. Hypertension 2003, 41, 183–187. [Google Scholar] [CrossRef] [PubMed]
- Wang, Y.-H.; Kang, Y.-Q.; Jin, X.-Y.; Meng, P.-P.; Guan, Z.-Y.; Jia, D.-L.; Gao, M.-Y.; Ma, C.-Y. Reference Values of the Carotid Elastic Modulus Using Shear Wave Elastography and Arterial Stiffness Change in Coronary Slow Flow. Eur. J. Radiol. 2022, 157, 110582. [Google Scholar] [CrossRef] [PubMed]
- Alyami, J.; Almutairi, F. Arterial Stiffness Assessment in Healthy Participants Using Shear Wave Elastography. Curr. Med. Imaging Rev. 2022, 18, 1086–1092. [Google Scholar] [CrossRef]
- Almutairi, F.F. Measurement Variability in Two-Dimensional Shear Wave Elastography (SWE) of Common Carotid Artery (CCA). Egypt J. Radiol. Nucl. Med. 2022, 53, 216. [Google Scholar] [CrossRef]
- Song, P.; Fang, Z.; Wang, H.; Cai, Y.; Rahimi, K.; Zhu, Y.; Fowkes, F.G.R.; Fowkes, F.J.I.; Rudan, I. Global and Regional Prevalence, Burden, and Risk Factors for Carotid Atherosclerosis: A Systematic Review, Meta-Analysis, and Modelling Study. Lancet Glob. Health 2020, 8, e721–e729. [Google Scholar] [CrossRef] [PubMed]
- Hashimoto, J.; Westerhof, B.E.; Ito, S. Carotid Flow Augmentation, Arterial Aging, and Cerebral White Matter Hyperintensities. Arterioscler. Thromb. Vasc. Biol. 2018, 38, 2843–2853. [Google Scholar] [CrossRef] [PubMed]
- Lefferts, W.K.; Reed, K.S.; Rosonke, R.E.; Augustine, J.A.; Moreau, K.L. Age-Associated Increases in Middle Cerebral Artery Pulsatility Differ between Men and Women. Am. J. Physiol. Heart Circ. Physiol. 2023, 325, H1118–H1125. [Google Scholar] [CrossRef]
- Li, Z.; Du, L.; Wang, F.; Luo, X. Assessment of the Arterial Stiffness in Patients with Acute Ischemic Stroke Using Longitudinal Elasticity Modulus Measurements Obtained with Shear Wave Elastography. Med. Ultrason. 2016, 18, 182. [Google Scholar] [CrossRef] [PubMed]
- Kashiwazaki, D.; Yamamoto, S.; Akioka, N.; Hori, E.; Noguchi, K.; Kuroda, S. Association between Pericarotid Fat Density and Positive Remodeling in Patients with Carotid Artery Stenosis. J. Clin. Med. 2024, 13, 3892. [Google Scholar] [CrossRef] [PubMed]
- Ferreira, J.; Longatto-Filho, A.; Dionísio, A.; Correia-Neves, M.; Cunha, P.; Mansilha, A. Peri-Carotid Adipose Tissue and Atherosclerosis at Carotid Bifurcation. J. Cardiovasc. Dev. Dis. 2024, 11, 58. [Google Scholar] [CrossRef] [PubMed]
- Zhang, D.-H.; Jin, J.-L.; Zhu, C.-F.; Chen, Q.-Y.; He, X.-W. Association between Carotid Artery Perivascular Fat Density and Cerebral Small Vessel Disease. Aging 2021, 13, 18839–18851. [Google Scholar] [CrossRef] [PubMed]
- Baradaran, H.; Myneni, P.K.; Patel, P.; Askin, G.; Gialdini, G.; Al-Dasuqi, K.; Kamel, H.; Gupta, A. Association Between Carotid Artery Perivascular Fat Density and Cerebrovascular Ischemic Events. J. Am. Heart Assoc. Cardiovasc. Cerebrovasc. Dis. 2018, 7, e010383. [Google Scholar] [CrossRef] [PubMed]
- Tjan, A.; Widiana, I.G.R.; Martadiani, E.D.; Ayusta, I.M.D.; Asih, M.W.; Sitanggang, F.P. Carotid Artery Stiffness Measured by Strain Elastography Ultrasound Is a Stroke Risk Factor. Clin. Epidemiol. Glob. Health 2021, 12, 100850. [Google Scholar] [CrossRef]
- Wang, Y.; Jiang, C.; Huang, H.; Liu, N.; Wang, Y.; Chen, Z.; Liang, S.; Wu, M.; Jiang, Y.; Wang, X.; et al. Correlation of Cerebral White Matter Lesions with Carotid Intraplaque Neovascularization Assessed by Contrast-Enhanced Ultrasound. J. Stroke Cerebrovasc. Dis. 2020, 29, 104928. [Google Scholar] [CrossRef] [PubMed]
- Zhang, K.; Jiang, Y.; Wang, Y.; Suo, C.; Xu, K.; Zhu, Z.; Zhu, C.; Zhao, G.; Jin, L.; Ye, W.; et al. Associations of Arterial Stiffness and Carotid Atherosclerosis with Cerebral Small Vessel Disease in a Rural Community-Based Population. J. Atheroscler. Thromb. 2020, 27, 922–933. [Google Scholar] [CrossRef] [PubMed]
- Association Between Carotid Wall Shear Stress-Based Vascular Vector Flow Mapping and Cerebral Small Vessel Disease–PMC. Available online: https://www.ncbi.nlm.nih.gov/pmc/articles/PMC10499442/ (accessed on 9 October 2024).
- Saba, L.; Raz, E.; Grassi, R.; Di Paolo, P.L.; Iacomino, A.; Montisci, R.; Piga, M. Association Between the Volume of Carotid Artery Plaque and Its Subcomponents and the Volume of White Matter Lesions in Patients Selected for Endarterectomy. Am. J. Roentgenol. 2013, 201, W747–W752. [Google Scholar] [CrossRef] [PubMed]
- Ellström, K.; Abul-Kasim, K.; Siennicki-Lantz, A.; Elmståhl, S. Associations of Carotid Artery Flow Parameters with MRI Markers of Cerebral Small Vessel Disease and Patterns of Brain Atrophy. J. Stroke Cerebrovasc. Dis. 2023, 32, 106981. [Google Scholar] [CrossRef]
- Kuo, H.-K.; Chen, C.-Y.; Liu, H.-M.; Yen, C.-J.; Chang, K.-J.; Chang, C.-C.; Yu, Y.-H.; Lin, L.-Y.; Hwang, J.-J. Metabolic Risks, White Matter Hyperintensities, and Arterial Stiffness in High-Functioning Healthy Adults. Int. J. Cardiol. 2010, 143, 184–191. [Google Scholar] [CrossRef]
- Rundek, T.; Della-Morte, D.; Gardener, H.; Dong, C.; Markert, M.S.; Gutierrez, J.; Roberts, E.; Elkind, M.S.V.; DeCarli, C.; Sacco, R.L.; et al. Relationship between Carotid Arterial Properties and Cerebral White Matter Hyperintensities. Neurology 2017, 88, 2036–2042. [Google Scholar] [CrossRef] [PubMed]
- Wang, X.; Jackson, D.C.; Varghese, T.; Mitchell, C.C.; Hermann, B.P.; Kliewer, M.A.; Dempsey, R.J. Correlation of Cognitive Function with Ultrasound Strain Indices in Carotid Plaque. Ultrasound Med. Biol. 2014, 40, 78–89. [Google Scholar] [CrossRef] [PubMed]
- Lin, F.; Pa, J.; Karim, R.; Hodis, H.N.; Han, S.D.; Henderson, V.W.; St. John, J.A.; Mack, W.J. Subclinical Carotid Artery Atherosclerosis and Cognitive Function in Older Adults. Alzheimers Res. Ther. 2022, 14, 63. [Google Scholar] [CrossRef] [PubMed]
- Garrard, J.W.; Ummur, P.; Nduwayo, S.; Kanber, B.; Hartshorne, T.C.; West, K.P.; Moore, D.; Robinson, T.G.; Ramnarine, K.V. Shear Wave Elastography May Be Superior to Greyscale Median for the Identification of Carotid Plaque Vulnerability: A Comparison with Histology. Ultraschall Med. Stuttg. Ger. 1980 2015, 36, 386–390. [Google Scholar] [CrossRef]
- Lou, Z.; Yang, J.; Tang, L.; Jin, Y.; Zhang, J.; Liu, C.; Li, Q. Shear Wave Elastography Imaging for the Features of Symptomatic Carotid Plaques: A Feasibility Study. J. Ultrasound Med. 2017, 36, 1213–1223. [Google Scholar] [CrossRef] [PubMed]
- Cloutier, G.; Cardinal, M.-H.R.; Ju, Y.; Giroux, M.-F.; Lanthier, S.; Soulez, G. Carotid Plaque Vulnerability Assessment Using Ultrasound Elastography and Echogenicity Analysis. AJR Am. J. Roentgenol. 2018, 211, 847–855. [Google Scholar] [CrossRef] [PubMed]
- Zhang, Y.; Cao, J.; Zhou, J.; Zhang, C.; Li, Q.; Chen, S.; Feinstein, S.; Grayburn, P.A.; Huang, P. Plaque Elasticity and Intraplaque Neovascularisation on Carotid Artery Ultrasound: A Comparative Histological Study. Eur. J. Vasc. Endovasc. Surg. Off. J. Eur. Soc. Vasc. Surg. 2021, 62, 358–366. [Google Scholar] [CrossRef]
- Di Leo, N.; Venturini, L.; de Soccio, V.; Forte, V.; Lucchetti, P.; Cerone, G.; Alagna, G.; Caratozzolo, M.; Messineo, D.; Di Gioia, C.; et al. Multiparametric Ultrasound Evaluation with CEUS and Shear Wave Elastography for Carotid Plaque Risk Stratification. J. Ultrasound 2018, 21, 293–300. [Google Scholar] [CrossRef]
- Shang, J.; Wang, W.; Feng, J.; Luo, G.; Dang, Y.; Sun, J.; Yang, Y.; Ruan, L. Carotid Plaque Stiffness Measured with Supersonic Shear Imaging and Its Correlation with Serum Homocysteine Level in Ischemic Stroke Patients. Korean J. Radiol. 2018, 19, 15–22. [Google Scholar] [CrossRef] [PubMed]
- Sivasankar, R.; Singh, R.; Hashim, P.; Soni, B.; Patel, R.; Bajpai, A. Evaluation of Carotid Plaque Vulnerability Using Shear-Wave Elastography: An Observational Comparative Study. J. Mar. Med. Soc. 2019, 21, 134. [Google Scholar] [CrossRef]
- Ramnarine, K.V.; Garrard, J.W.; Kanber, B.; Nduwayo, S.; Hartshorne, T.C.; Robinson, T.G. Shear Wave Elastography Imaging of Carotid Plaques: Feasible, Reproducible and of Clinical Potential. Cardiovasc. Ultrasound 2014, 12, 49. [Google Scholar] [CrossRef]
- Školoudík, D.; Kešnerová, P.; Vomáčka, J.; Hrbáč, T.; Netuka, D.; Forostyak, S.; Roubec, M.; Herzig, R.; Belšan, T. Shear-Wave Elastography Enables Identification of Unstable Carotid Plaque. Ultrasound Med. Biol. 2021, 47, 1704–1710. [Google Scholar] [CrossRef] [PubMed]
- Al-mutairi, F.F.; Al-hussaini, A.; Marsh, A.-M.; Samani, N.; McCann, G.; Adlam, D.; Chung, E.M.L.; Ramnarine, K.V. Ultrasound Shear Wave Elastography Imaging of Common Carotid Arteries in Patients with Spontaneous Coronary Artery Dissection (SCAD). J. Ultrasound 2022, 25, 585–589. [Google Scholar] [CrossRef]
- Mellucci, P.L.; Bertanha, M.; Jaldin, R.G.; Yoshida, W.B.; Sobreira, M.L. Shear Wave Elastography for Extracranial Carotid Atherosclerotic Plaques: Technical Principles and How to Do It. J. Vasc. Bras. 22, e20220082. [CrossRef]
- Mbroh, J.; Tünnerhoff, J.; Poli, K.; Bender, B.; Schwarz, P.; Mengel, A.; Gomez-Exposito, A.; Kowarik, M.; Feil, K.; Wisslicen, M.; et al. Shear Wave Elastography for the Assessment of Carotid Plaque Vulnerability: A Systematic Review. Acta Neurol. Scand. 2023, 2023, 5084699. [Google Scholar] [CrossRef]
- Widman, E.; Maksuti, E.; Larsson, D.; Urban, M.W.; Bjällmark, A.; Larsson, M. Shear Wave Elastography Plaque Characterization with Mechanical Testing Validation: A Phantom Study. Phys. Med. Biol. 2015, 60, 3151–3174. [Google Scholar] [CrossRef]
- Evaluation of Carotid Stiffness in Metabolic Syndrome by Real-Time Shear Wave Elasticity Imaging and Ultrafast Pulse Wave Velocity–PubMed. Available online: https://pubmed.ncbi.nlm.nih.gov/38806338/ (accessed on 9 October 2024).
- Uysal, S.; Kalyoncu Ucar, A.; Ozdede, A.; Fırat Şentürk, E.; Adaletli, I.; Melikoğlu, M.; Fresko, I.; Gonen, M.S.; Seyahi, E. Carotid Artery Ultrasonography and Shear Wave Elastography in Takayasu’s Arteritis: A Comparative Analysis with Diabetes Mellitus. Clin. Exp. Rheumatol. [CrossRef]
- Fleg, J.L.; Stone, G.W.; Fayad, Z.A.; Granada, J.F.; Hatsukami, T.S.; Kolodgie, F.D.; Ohayon, J.; Pettigrew, R.; Sabatine, M.S.; Tearney, G.; et al. Detection of High-Risk Atherosclerotic Plaque: Report of the NHLBI Working Group on Current Status and Future Directions. JACC Cardiovasc. Imaging 2012, 5, 941. [Google Scholar] [CrossRef] [PubMed]
- Bombardini, T.; Gemignani, V.; Bianchini, E.; Venneri, L.; Petersen, C.; Pasanisi, E.; Pratali, L.; Alonso-Rodriguez, D.; Pianelli, M.; Faita, F.; et al. Diastolic Time-Frequency Relation in the Stress Echo Lab: Filling Timing and Flow at Different Heart Rates. Cardiovasc. Ultrasound 2008, 6, 15. [Google Scholar] [CrossRef] [PubMed]
- Wang, X.; Luo, P.; Du, H.; Li, S.; Wang, Y.; Guo, X.; Wan, L.; Zhao, B.; Ren, J. Ultrasound Radiomics Nomogram Integrating Three-Dimensional Features Based on Carotid Plaques to Evaluate Coronary Artery Disease. Diagnostics 2022, 12, 256. [Google Scholar] [CrossRef] [PubMed]
- Liu, Y.; Kong, Y.; Yan, Y.; Hui, P. Explore the Value of Carotid Ultrasound Radiomics Nomogram in Predicting Ischemic Stroke Risk in Patients with Type 2 Diabetes Mellitus. Front. Endocrinol. 2024, 15, 1357580. [Google Scholar] [CrossRef]
- Wang, K.; Lu, X.; Zhou, H.; Gao, Y.; Zheng, J.; Tong, M.; Wu, C.; Liu, C.; Huang, L.; Jiang, T.; et al. Deep Learning Radiomics of Shear Wave Elastography Significantly Improved Diagnostic Performance for Assessing Liver Fibrosis in Chronic Hepatitis B: A Prospective Multicentre Study. Gut 2019, 68, 729–741. [Google Scholar] [CrossRef] [PubMed]





| Smokers/Mean (SD) | β-Stiffness Index | IMT (mm) | SBP | DBP | Left_CCA1 (kPa) | Left_CCA2 (kPa) | Right_CCA1 (kPa) | Right_CCA2 (kPa) |
|---|---|---|---|---|---|---|---|---|
| NO (n = 7) | 2.56 (0.53) | 0.46 (0.03) | 118.1 (7.7) | 72.3 (7.7) | 33.5 (3.3) | 27.9 (4.0) | 32.1 (5.4) | 30.2 (3.6) |
| YES (n = 3) | 4.09 (1.41) | 0.73 (0.15) | 140.7 (8.1) | 84.7 (4.5) | 28.0 (4.8) | 37.0 (4.2) | 38.5 (2.5) | 35.2 (7.7) |
| p-Values | 0.029 1 | 0.001 1 | 0.003 1 | 0.034 1 | 0.048 1 | 0.012 1 | 0.092 | 0.182 |
Disclaimer/Publisher’s Note: The statements, opinions and data contained in all publications are solely those of the individual author(s) and contributor(s) and not of MDPI and/or the editor(s). MDPI and/or the editor(s) disclaim responsibility for any injury to people or property resulting from any ideas, methods, instructions or products referred to in the content. |
© 2025 by the authors. Licensee MDPI, Basel, Switzerland. This article is an open access article distributed under the terms and conditions of the Creative Commons Attribution (CC BY) license (https://creativecommons.org/licenses/by/4.0/).
Share and Cite
Kavvadas, D.; Rafailidis, V.; Partovi, S.; Tegos, T.; Kallia, Z.; Savvoulidis, P.; Papamitsou, T.; Prassopoulos, P. Shear Wave Elastography for Carotid Artery Stiffness: Ready for Prime Time? Diagnostics 2025, 15, 303. https://doi.org/10.3390/diagnostics15030303
Kavvadas D, Rafailidis V, Partovi S, Tegos T, Kallia Z, Savvoulidis P, Papamitsou T, Prassopoulos P. Shear Wave Elastography for Carotid Artery Stiffness: Ready for Prime Time? Diagnostics. 2025; 15(3):303. https://doi.org/10.3390/diagnostics15030303
Chicago/Turabian StyleKavvadas, Dimitrios, Vasileios Rafailidis, Sasan Partovi, Thomas Tegos, Zoi Kallia, Panagiotis Savvoulidis, Theodora Papamitsou, and Panos Prassopoulos. 2025. "Shear Wave Elastography for Carotid Artery Stiffness: Ready for Prime Time?" Diagnostics 15, no. 3: 303. https://doi.org/10.3390/diagnostics15030303
APA StyleKavvadas, D., Rafailidis, V., Partovi, S., Tegos, T., Kallia, Z., Savvoulidis, P., Papamitsou, T., & Prassopoulos, P. (2025). Shear Wave Elastography for Carotid Artery Stiffness: Ready for Prime Time? Diagnostics, 15(3), 303. https://doi.org/10.3390/diagnostics15030303

