Previous Issue
Volume 15, November-2
 
 

Diagnostics, Volume 15, Issue 23 (December-1 2025) – 17 articles

  • Issues are regarded as officially published after their release is announced to the table of contents alert mailing list.
  • You may sign up for e-mail alerts to receive table of contents of newly released issues.
  • PDF is the official format for papers published in both, html and pdf forms. To view the papers in pdf format, click on the "PDF Full-text" link, and use the free Adobe Reader to open them.
Order results
Result details
Section
Select all
Export citation of selected articles as:
14 pages, 1021 KB  
Article
Preoperative Predictors of Subsequent Breast Cancer Events Detected on Abbreviated MRI in Patients with Early-Stage Breast Cancer
by Na Lae Eun, Ji Hyun Youk, Jeong-Ah Kim, Yoon Jin Cha, Soong June Bae, Sung Gwe Ahn, Joon Jeong, Hyejin Yang, Hye Sun Lee and Eun Ju Son
Diagnostics 2025, 15(23), 2953; https://doi.org/10.3390/diagnostics15232953 (registering DOI) - 21 Nov 2025
Abstract
Background/Objectives: This study aimed to investigate the preoperative clinicopathologic and imaging features associated with subsequent breast cancer events detected on postoperative abbreviated MRI in early-stage breast cancer patients following breast and axillary surgery. Methods: A retrospective analysis was conducted on 1171 patients [...] Read more.
Background/Objectives: This study aimed to investigate the preoperative clinicopathologic and imaging features associated with subsequent breast cancer events detected on postoperative abbreviated MRI in early-stage breast cancer patients following breast and axillary surgery. Methods: A retrospective analysis was conducted on 1171 patients (median age, 53 years; range, 24–90 years) diagnosed with clinical stage I or II breast cancer between January 2013 and December 2017. Logistic regression analysis was used to evaluate preoperative imaging features—including breast density assessed on mammography and MRI descriptors—along with clinicopathologic characteristics, to identify factors independently associated with subsequent breast cancer events during abbreviated MRI screening. Results: Among the patients, 57 (4.9%) experienced subsequent breast cancer events at a median follow-up of 74 months. In the multivariable analysis, high nuclear grade (odds ratio [OR] = 2.821; 95% confidence interval [CI], 1.427–5.577; p = 0.003), dense breast tissue on mammography (OR = 4.680; 95% CI, 1.113–19.684; p = 0.035), and absence of heterogeneous internal enhancement on preoperative MRI (OR = 0.429; 95% CI, 0.206–0.891; p = 0.023) were independently associated with subsequent breast cancer events detected using an abbreviated breast MRI protocol. Age ≥ 40 years (OR = 0.448; 95% CI, 0.193–1.039; p = 0.061) and clinical T2 stage (OR = 1.744; 95% CI, 0.969–3.139; p = 0.064) showed borderline significance. Conclusions: High nuclear grade, dense breast tissue on mammography, and absence of heterogeneous internal enhancement on preoperative MRI were associated with an increased risk of subsequent breast cancer events in patients undergoing abbreviated MRI surveillance following surgery for early-stage breast cancer. Full article
(This article belongs to the Special Issue Recent Advances in Diagnosis and Management of Breast Cancer)
Show Figures

Figure 1

15 pages, 1558 KB  
Article
Quantitative CT Perfusion and Radiomics Reveal Complementary Markers of Treatment Response in HCC Patients Undergoing TACE
by Nicolas Fezoulidis, Jakob Slavicek, Julian-Niklas Nonninger, Klaus Hergan and Shahin Zandieh
Diagnostics 2025, 15(23), 2952; https://doi.org/10.3390/diagnostics15232952 (registering DOI) - 21 Nov 2025
Abstract
Background: Hepatocellular carcinoma (HCC), the most prevalent primary malignancy of the liver, is commonly treated with transarterial chemoembolization (TACE), a locoregional therapy that combines targeted intra-arterial chemotherapy with selective embolization to induce tumor ischemia and necrosis. However, current methods for monitoring the [...] Read more.
Background: Hepatocellular carcinoma (HCC), the most prevalent primary malignancy of the liver, is commonly treated with transarterial chemoembolization (TACE), a locoregional therapy that combines targeted intra-arterial chemotherapy with selective embolization to induce tumor ischemia and necrosis. However, current methods for monitoring the treatment response—such as the RECIST and mRECIST—often fail to detect early or subtle biological changes, such as tumor necrosis or microstructural remodeling, and therefore may underestimate the therapeutic effects, especially in cases with minimal or delayed tumor shrinkage. Thus, there is a critical need for quantitative imaging strategies that can improve early response assessment and guide more personalized treatment decision-making. The goal of this study was to assess the changes in computed tomography (CT) perfusion parameters and radiomic features in HCC before and after TACE and to evaluate the associations of these parameters/features with the tumor burden. Methods: In this retrospective, single-center study, 32 patients with histologically confirmed HCC underwent CT perfusion and radiomic analysis prior to and following TACE. Multiple quantitative perfusion parameters (arterial flow, perfusion flow, perfusion index) and radiomic features were extracted. Statistical comparisons were performed using the Wilcoxon signed-rank test and Spearman’s correlation. Radiomic feature extraction was performed in strict adherence to the Image Biomarker Standardization Initiative (IBSI) guidelines. Preprocessing steps included voxel resampling (1 × 1 × 1 mm), z-score normalization, and fixed bin-width discretization (bin width = 25). All tumor ROIs were manually segmented in consensus by two experienced radiologists to minimize inter-observer variability. Results: Arterial flow significantly decreased from a median of 56.5 to 47.7 mL/100 mL/min after TACE (p = 0.009), while nonsignificant increases in the perfusion flow (from 101.3 to 107.8 mL/100 mL/min, p = 0.44) and decreases in the perfusion index (from 38.6% to 35.7%, p = 0.25) were also observed. Perfusion flow was strongly and positively correlated with tumor size (ρ = 0.94, p < 0.001). Five radiomic texture feature values—especially those of ShortRunHighGrayLevelEmphasis (Δ = +2.11, p = 0.0001) and LargeAreaHighGrayLevelEmphasis (Δ = +75,706, p = 0.0006)—changed significantly after treatment. These radiomic feature value changes were more pronounced in tumors ≥50 mm in diameter. In addition, we performed a receiver operating characteristic (ROC) analysis of the two most discriminative radiomic features (SRHGLE and LAHGLE). We further developed a multivariable logistic regression model that achieved an AUC of 0.87, supporting the potential of these features as predictive biomarkers. Conclusions: CT perfusion and radiomics offer complementary insights into the treatment response of patients with HCC. While perfusion parameters reflect macroscopic vascular changes and are correlated with tumor burden, radiomic features can indicate microstructural changes after TACE. This combined imaging approach may improve early therapeutic assessment and support precision oncology strategies. Full article
(This article belongs to the Section Medical Imaging and Theranostics)
Show Figures

Figure 1

18 pages, 3817 KB  
Article
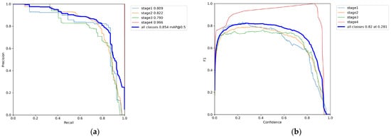
Improving Clinical Generalization of Pressure Ulcer Stage Classification Through Saliency-Guided Data Augmentation
by Jun-Woo Choi, Won Lo Rhee, Dong-Hun Han and Minsoo Kang
Diagnostics 2025, 15(23), 2951; https://doi.org/10.3390/diagnostics15232951 - 21 Nov 2025
Abstract
Background/Objectives: This study demonstrates improved generalization in pressure-ulcer stage classification. In medical imaging, training data are often scarce and disease specific. For skin conditions such as pressure ulcers, variation in camera to subject distance, resolution, illumination, and viewpoint across photographers reduces accuracy [...] Read more.
Background/Objectives: This study demonstrates improved generalization in pressure-ulcer stage classification. In medical imaging, training data are often scarce and disease specific. For skin conditions such as pressure ulcers, variation in camera to subject distance, resolution, illumination, and viewpoint across photographers reduces accuracy in clinical use. Methods: We developed a YOLOv7-based pressure ulcer stage classification model by employing a two-phase training strategy. Phase 1 was trained on the full dataset stratified by pressure-ulcer stage. Phase 2 was trained in saliency-guided images augmented with clinically plausible noise, including healing areas and white keratin. The added dataset comprised 296 images obtained by randomly sampling 30% from stages 1 through 3 of the full dataset. Results: The accuracy of the 38 newly acquired hospital images increased from 75% in Phase 1 to 89% in Phase 2. Five-fold cross-validation demonstrated stable performance (mAP@0.5: 86.20% ± 2.28%), confirming reproducibility. This exceeds by more than five percentage points the performance reported for pressure-ulcer staging models in prior studies conducted in clinical deployment settings. Conclusions: These findings suggest that curriculum learning combined with noise-enriched augmentation can improve generalization in clinical environments. Our results demonstrate that clinically informed data augmentation is a key factor in enhancing the model’s clinical generalization. Accordingly, the proposed approach provides a practical path to enhancing clinical usability in data-limited medical imaging. Full article
(This article belongs to the Section Machine Learning and Artificial Intelligence in Diagnostics)
Show Figures

Figure 1

13 pages, 684 KB  
Article
The Application of the NGS and MLPA Methods in the Molecular Diagnostics of Lynch Syndrome
by Ivana Rako, Ema Vinceljak, Marina Popovic and Tamara Zigman
Diagnostics 2025, 15(23), 2950; https://doi.org/10.3390/diagnostics15232950 - 21 Nov 2025
Abstract
Background: Lynch syndrome (LS) is a cancer-susceptibility syndrome associated with autosomal dominant predisposition to a spectrum of cancers, primarily of the colorectum and endometrium, which exhibit impaired DNA mismatch repair (MMR) activity. LS is caused by a hereditary (germline) pathogenic (PV) or [...] Read more.
Background: Lynch syndrome (LS) is a cancer-susceptibility syndrome associated with autosomal dominant predisposition to a spectrum of cancers, primarily of the colorectum and endometrium, which exhibit impaired DNA mismatch repair (MMR) activity. LS is caused by a hereditary (germline) pathogenic (PV) or likely pathogenic variant (LPV) in one of the mismatch repair (MMR) genes—MLH1, MSH2, MSH6, PMS2, or EPCAM. Although point mutations are the most common genetic changes in MMR genes, >20% are large genomic rearrangements. We hypothesized that a two-tier diagnostic strategy for Lynch syndrome (LS) using next generation sequencing (NGS) and multiplex ligation-dependent probe amplification (MLPA) can increase diagnostic yield of patients with Lynch syndrome. Methods: This study included 60 patients suspected of LS. After genetic counseling, they were referred to genetic testing. Genomic DNA was extracted from peripheral blood and sequenced using NGS multigene panel testing covering 113 cancer susceptibility genes, including MMR genes. Regarding limitations of NGS analysis, which cannot reliably detect genomic alterations larger than 50 base pairs in length, the MLPA method was used for NGS negative DNA samples in order to identify larger deletions and duplications, commonly referred to as copy number variations (CNVs). Results: Different PVs were detected by NGS in 10 patients and CNVs were detected by MLPA in 7 more patients: 3xMLH1 del ex9-15, 2xMSH2 del ex1 and upstream, 1xMSH2 del ex9, and 1xMSH2 del ex1. We did not detect LPVs or variants of uncertain significance (VUS). In our cohort, the addition of MLPA provided an incremental yield of seven pathogenic CNVs, representing an 11.6% absolute increase in diagnostic sensitivity (from 16.7% to 28.3%) over the NGS-alone workflow, with CNVs accounting for 41% of all pathogenic findings. Conclusions: Our results show that MLPA is a very useful method in molecular diagnostics of LS and its implementation in routine genetic testing in combination with NGS using multigene panel testing would benefit both patients and health care providers. Full article
(This article belongs to the Special Issue Exploring the Role of Diagnostic Biochemistry, 2nd Edition)
Show Figures

Figure 1

14 pages, 1735 KB  
Article
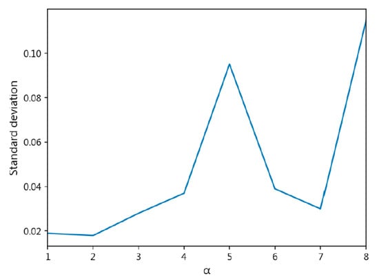
Ordinal Regression Research Based on Dual Loss Function—An Example on Lumbar Vertebra Classification in CT Images
by Chia-Pei Tang, Hong-Yi Chang, Yu-Ming Hsu and Tu-Liang Lin
Diagnostics 2025, 15(23), 2949; https://doi.org/10.3390/diagnostics15232949 - 21 Nov 2025
Abstract
Background/Objectives: Some classification problems involve ordered categories (e.g., low–medium–high), which are better modeled as ordinal regression. This study aimed to propose and evaluate a dual loss framework—Ordinal Residual Dual Loss—for lumbar vertebra classification on CT images to assist L3 identification and sarcopenia [...] Read more.
Background/Objectives: Some classification problems involve ordered categories (e.g., low–medium–high), which are better modeled as ordinal regression. This study aimed to propose and evaluate a dual loss framework—Ordinal Residual Dual Loss—for lumbar vertebra classification on CT images to assist L3 identification and sarcopenia detection. Methods: In this retrospective study, lumbar spine CT images were used to train a deep learning model based on a MobileNet-v3-Large network. The proposed framework combines standard cross-entropy loss for classification with an Ordinal Residual Loss defined on the difference between output probabilities and target ordinal probabilities. Results: Experimental results show that the Ordinal Residual Dual Loss approach outperforms using cross-entropy alone and also surpasses methods from previous studies in lumbar vertebra classification performance. Conclusions: Leveraging a dual loss design that incorporates ordinal information improves vertebral level classification on CT images and has potential to support more accurate automated L3 localization and sarcopenia assessment in clinical practice. Full article
(This article belongs to the Special Issue Artificial Intelligence in Biomedical Signal and Imaging Processing)
Show Figures

Figure 1

20 pages, 1550 KB  
Article
Machine Learning-Based Algorithm for Tacrolimus Dose Optimization in Hospitalized Kidney Transplant Patients
by Dong Jin Park, Mihyeong Kim, Hyungjin Cho, Jung Soo Kim, Jeongkye Hwang and Jehoon Lee
Diagnostics 2025, 15(23), 2948; https://doi.org/10.3390/diagnostics15232948 - 21 Nov 2025
Abstract
Background: Tacrolimus is a cornerstone immunosuppressant in kidney transplantation, but its narrow therapeutic index and marked inter-patient variability complicate dose optimization. Conventional therapeutic drug monitoring (TDM) relies on empirical adjustments that often overlook individual pharmacokinetics. Machine learning (ML) offers a precision dosing [...] Read more.
Background: Tacrolimus is a cornerstone immunosuppressant in kidney transplantation, but its narrow therapeutic index and marked inter-patient variability complicate dose optimization. Conventional therapeutic drug monitoring (TDM) relies on empirical adjustments that often overlook individual pharmacokinetics. Machine learning (ML) offers a precision dosing alternative by integrating diverse clinical and biochemical variables into predictive models. Methods: We retrospectively analyzed 1351 data points from 87 kidney transplant patients at Eunpyeong St. Mary’s Hospital (April 2019–November 2023). Clinical, demographic, and laboratory information, including tacrolimus trough levels and dosing history, were extracted from electronic medical records. Four predictive models—XGBoost, CatBoost, LightGBM, and a multilayer perceptron (MLP)—were trained to forecast next-day tacrolimus concentrations, and model serum creatinine level performance was evaluated using R-squared (R2), mean absolute error (MAE), and root-mean-squared error (RMSE). An ensemble model with weighted soft voting was applied to enhance predictive accuracy, and model interpretability was assessed using SHapley Additive exPlanations (SHAP). Results: The ensemble model achieved the best overall performance (R2 = 0.6297, MAE = 1.0181, RMSE = 1.2999), outperforming all individual models, whereas the MLP model showed superior predictive power among single models, reflecting the significance of nonlinear interactions in tacrolimus pharmacokinetics. SHAP analysis highlighted prior tacrolimus levels, cumulative dose, renal function markers (eGFR level, serum creatinine level), and albumin concentration as the most influential predictors. Conclusions: We present a robust ML-based algorithm for tacrolimus dose optimization in hospitalized kidney transplant recipients. By improving predictions of tacrolimus concentrations, the model may help reduce inter-patient dose variability and lower the risk of nephrotoxicity, supporting safer and more individualized immunosuppressive management. This approach advances AI-driven precision medicine in transplant care, offering a pathway to safer and more effective immunosuppression. Full article
(This article belongs to the Section Machine Learning and Artificial Intelligence in Diagnostics)
Show Figures

Figure 1

12 pages, 759 KB  
Article
Associations Between BioFire FilmArray Gastrointestinal Panel Results and Clinical Outcomes in Infectious Gastroenteritis
by Myeong Joo Lee, Ju Yeong Lee and Suhng Wook Kim
Diagnostics 2025, 15(23), 2947; https://doi.org/10.3390/diagnostics15232947 - 21 Nov 2025
Abstract
Background/Objectives: Infectious gastroenteritis (IGE) is a major global health concern due to its high morbidity and healthcare burden. The BioFire FilmArray Gastrointestinal Panel (FA-GIP) enables rapid multiplex detection of enteric pathogens, offering faster results than conventional stool culture. This study aimed to [...] Read more.
Background/Objectives: Infectious gastroenteritis (IGE) is a major global health concern due to its high morbidity and healthcare burden. The BioFire FilmArray Gastrointestinal Panel (FA-GIP) enables rapid multiplex detection of enteric pathogens, offering faster results than conventional stool culture. This study aimed to evaluate the associations between FA-GIP result status and clinical outcomes in patients with suspected IGE. Methods: A retrospective analysis was conducted at Chung-Ang University Hospital (Seoul, Republic of Korea) from July 2023 to April 2024. Patients were stratified into FA-GIP-positive and FA-GIP-negative groups, and clinical parameters were compared. The diagnostic performance of FA-GIP was also assessed relative to stool culture. Results: No significant differences were observed in the demographic variables. However, the FA-GIP-positive group demonstrated significantly shorter hospital stays and time to discharge, and fewer antibiotic days, compared with the FA-GIP-negative group. Moreover, differences were observed in antibiotic modification or discontinuation rates. FA-GIP markedly shortened diagnostic turnaround time compared with culture (median 1.4 h vs. 72.3 h). Conclusions: These findings suggest that FA-GIP results are associated with clinically meaningful differences in patient management and antibiotic use. However, given the retrospective design, the relationship between FA-GIP testing and clinical decision-making should be interpreted as an association rather causative. Therefore, prospective studies are warranted to confirm the direct impact of FA-GIP-guided interventions on antibiotic stewardship and patient outcomes. Full article
(This article belongs to the Section Clinical Diagnosis and Prognosis)
Show Figures

Figure 1

12 pages, 986 KB  
Article
TNF-α Quantification in Formalin-Fixed Paraffin-Embedded Tissues as a Predictive Biomarker in Ulcerative Colitis
by Anna Viola, Walter Giuseppe Giordano, Rasmus Goll, Emanuela Germanà, Vincenzo Fiorentino, Valeria Zuccalà, Gabriele Ricciardi, Mariagiovanna Ballato, Pietro Tralongo, Antonio Ieni, Guido Fadda, Giuseppe Giuffrè, Maurizio Martini and Walter Fries
Diagnostics 2025, 15(23), 2946; https://doi.org/10.3390/diagnostics15232946 - 21 Nov 2025
Abstract
Objectives: Anti-TNF-α therapies have transformed the management of Inflammatory Bowel Disease (IBD), yet a substantial proportion of patients fail to respond, highlighting the urgent need for predictive biomarkers. Mucosal TNF-α mRNA quantification in fresh biopsies has shown promise but showed several problems for [...] Read more.
Objectives: Anti-TNF-α therapies have transformed the management of Inflammatory Bowel Disease (IBD), yet a substantial proportion of patients fail to respond, highlighting the urgent need for predictive biomarkers. Mucosal TNF-α mRNA quantification in fresh biopsies has shown promise but showed several problems for routine clinical use. This study aimed to validate a clinically feasible method for TNF-α quantification in formalin-fixed paraffin-embedded (FFPE) tissues and to assess its correlation with established measures of disease activity. Methods: FFPE and matched fresh-frozen biopsies from 54 ulcerative colitis patients were analyzed. Total RNA was extracted from FFPE sections, and TNF-α RNA was quantified by RT-qPCR and compared with fresh tissue expression levels. Molecular data were correlated with clinical (pMayo), endoscopic (Mayo Endoscopic Score, MES), and histological (Geboes) indices. Results: TNF-α expression in FFPE samples strongly correlated with fresh tissue levels (r = 0.83, p < 0.0001). High TNF-α expression in FFPE tissue was significantly associated with active endoscopic mucosal disease (MES ≥ 1; OR 28, 95% CI 3.31–237; p < 0.0001) and with histological inflammation (Geboes ≥ 3.1; OR 0.12, 95% CI 0.02–0.59; p = 0.009). Fresh tissue TNF-α levels showed similar associations. Clinical parameters such as age, sex, and pMayo score did not significantly correlate with mucosal TNF-α expression. RT-qPCR quantification of TNF-α in FFPE tissue is a reliable, cost-effective surrogate for fresh biopsy analysis and correlates strongly with endoscopic and histological disease activity. Conclusions: This method offers a practical approach for integrating molecular biomarkers into routine pathology workflows, supporting the implementation of personalized treatment strategies in IBD. Full article
(This article belongs to the Section Pathology and Molecular Diagnostics)
Show Figures

Figure 1

21 pages, 1140 KB  
Article
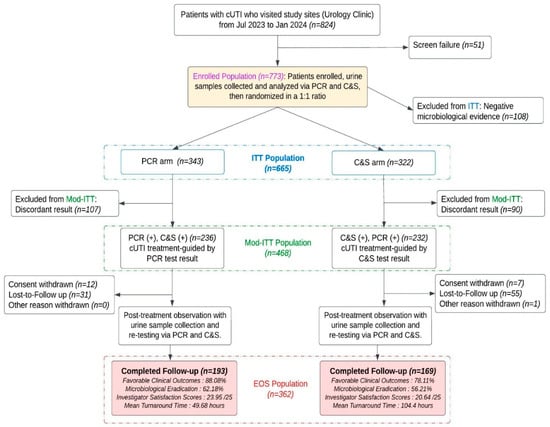
Genotype→Phenotype Concordance and Ct-Informed Predictive Rules for Antimicrobial Resistance in Adult Patients with Complicated Urinary Tract Infections: Clinical and Stewardship Implications from the NCT06996301 Trial
by Moustafa Kardjadj, Itoe P. Priestly, Roel Chavez, DeAndre Derrick and Thomas K. Huard
Diagnostics 2025, 15(23), 2945; https://doi.org/10.3390/diagnostics15232945 - 21 Nov 2025
Abstract
Background: Rapid molecular detection of antimicrobial resistance (AMR) can shorten time to effective therapy in complicated urinary tract infections (cUTI), but the ability of gene presence and quantitative PCR signal (Ct, and ΔCt = Ct_marker − IC_Ct) to predict phenotypic non-susceptibility and clinical [...] Read more.
Background: Rapid molecular detection of antimicrobial resistance (AMR) can shorten time to effective therapy in complicated urinary tract infections (cUTI), but the ability of gene presence and quantitative PCR signal (Ct, and ΔCt = Ct_marker − IC_Ct) to predict phenotypic non-susceptibility and clinical outcomes requires rigorous evaluation. We analyzed marker-level concordance, Ct→MIC relationships, and the clinical impact pathway in the randomized NCT06996301 trial. Methods: Marker–phenotype concordance metrics (sensitivity, specificity, PPV, NPV, LR+, LR−, κ) were computed for selected marker × species strata with stable sample sizes. Mixed-effects models (log2[MIC] ~ ΔCt_marker + IC_Ct + collection_method + prior_abx + (1|site)) assessed quantitative Ct→MIC associations. ROC analyses evaluated ΔCt discrimination of phenotypic non-susceptibility. A pre-specified sensitivity analysis included smaller strata (n ≤ 20) with bootstrap 95% confidence intervals for ΔCt slopes and AUCs. Clinical analyses compared PCR-guided (n = 193) versus culture-guided (n = 169) arms for time-to-antibiotic and treatment success using adjusted logistic regression and causal mediation (time-to-antibiotic as mediator; bootstrap inference). Results: High genotype–phenotype concordance was observed for canonical markers (e.g., blaCTX-M in E. coli: sensitivity 0.94 [95% CI 0.88–0.97], specificity 0.995 [95% CI 0.990–0.998], κ ≈ 0.93). Mixed models showed modest but significant Ct→MIC associations for select markers (e.g., blaCTX-M in E. coli: ΔCt slope −0.15 [95% CI −0.27 to −0.02], p = 0.015). The sensitivity analysis (n ≤ 20 strata) confirmed consistent negative directions, with robust bootstrap CIs excluding zero for qnrS (E. coli), tetM (E. coli), blaNDM (Klebsiella), and qnrS (Proteus). ROC AUCs for ΔCt prediction of non-susceptibility ranged from 0.62 to 0.81 (95% CIs ≈ 0.47–0.97). Clinically, PCR guidance shortened median time to antibiotic initiation (20 h vs. 52 h) and increased treatment success (88.1% vs. 78.1%; adjusted OR 1.95 [95% CI 1.12–3.40], p = 0.018). Mediation analysis estimated that 63% (ACME 0.112 [95% CI 0.045–0.178], p = 0.002) of the treatment success benefit was mediated through earlier antibiotic initiation. Conclusions: Binary detection of high-impact AMR genes by multiplex PCR reliably predicts phenotypic non-susceptibility and accelerates effective therapy when integrated with stewardship workflows. Quantitative PCR (ΔCt) provides modest but reproducible information about MIC magnitude and may flag heteroresistant subpopulations. A pragmatic implementation model combining rapid PCR with conventional culture is recommended to optimize clinical benefit while retaining isolate recovery for definitive AST. Full article
(This article belongs to the Special Issue Advances in the Laboratory Diagnosis)
Show Figures

Figure 1

33 pages, 1585 KB  
Review
Next-Generation Sequencing for Bloodstream Infections: Shaping the Future of Rapid Diagnostics and Precision Medicine
by Ayman Elbehiry, Eman Marzouk, Husam M. Edrees, Moustafa H. Abdelsalam, Feras Aljizani, Saad Alqarni, Eyad Khateeb, Feras Alzaben, Mai Ibrahem, Ayman M. Mousa, Nasser Huraysh and Akram Abu-Okail
Diagnostics 2025, 15(23), 2944; https://doi.org/10.3390/diagnostics15232944 - 21 Nov 2025
Abstract
Bloodstream infections and sepsis necessitate rapid, sensitive, and clinically relevant diagnostics to minimize treatment delays and improve clinical outcomes. Next-generation sequencing enables culture-independent pathogen detection, antimicrobial resistance profiling, and genome-informed epidemiology. This narrative review integrates clinical evidence with practical workflows across three complementary [...] Read more.
Bloodstream infections and sepsis necessitate rapid, sensitive, and clinically relevant diagnostics to minimize treatment delays and improve clinical outcomes. Next-generation sequencing enables culture-independent pathogen detection, antimicrobial resistance profiling, and genome-informed epidemiology. This narrative review integrates clinical evidence with practical workflows across three complementary approaches. We describe the use of plasma microbial cell-free DNA for broad organism detection and burden monitoring, as well as metagenomic next-generation sequencing of blood or plasma for unbiased pathogen discovery, including culture-negative and polymicrobial infections. Same-day Oxford Nanopore Technologies sequencing of positive blood culture broth is also discussed as a way to accelerate species identification, targeted resistance reporting, and infection-prevention decisions. We outline the sample-to-result steps, typical turnaround time (TAT), and stewardship-aligned decision points. Analytical reliability depends on effective reduction in human DNA background, stringent control of background and reagent-derived nucleic acids in low-biomass samples, and documented and validated bioinformatics workflows that are supported by curated taxonomic and resistance databases. Quantitative reports should adhere to validated thresholds and should be interpreted in the context of internal controls and clinical pretest probability. Ongoing challenges include variable correlation between genotype and phenotype for specific pathogen and antibiotic pairs, interpretation of low-level signals, and inconsistent regulatory and reimbursement environments. Advances in portable sequencing, faster laboratory and analytical workflows, and scaled liquid biopsy strategies may further reduce the TAT and expand access. Integrating these tools within One Health frameworks and global genomic surveillance programs could support early resistance detection and coordinated public health action, which could help to advance sepsis care toward more precise treatment and real-time infection control insights. Full article
(This article belongs to the Special Issue DNA Sequencing of Infectious Diseases)
Show Figures

Figure 1

14 pages, 1017 KB  
Article
Illuminating the Intricacies: A Comparative Cross-Sectional Sonographic Evaluation of Degenerative Changes in Leiomyomas Through Post-Processing Technique
by Mahasin G. Hassan, Nouf Aldrees, Sadeem Aldawsari, Raghad Alanazi, Noura Alboqami, Maryem Alanazi, Renad Alanazi, Khadejah Alrashidi and Basim S. Almutairi
Diagnostics 2025, 15(23), 2943; https://doi.org/10.3390/diagnostics15232943 - 21 Nov 2025
Abstract
Background: Leiomyomas are benign tumors that may cause symptoms and affect fertility, requiring careful assessment. Magnetic Resonance Imaging (MRI) becomes crucial when ultrasonography results are inconclusive; however, it is expensive and time-consuming. Utilizing post-processing techniques could enhance the ultrasound results. Using ultrasound [...] Read more.
Background: Leiomyomas are benign tumors that may cause symptoms and affect fertility, requiring careful assessment. Magnetic Resonance Imaging (MRI) becomes crucial when ultrasonography results are inconclusive; however, it is expensive and time-consuming. Utilizing post-processing techniques could enhance the ultrasound results. Using ultrasound with Fiji (ImageJ) enables precise evaluation of leiomyoma degeneration and may reduce the need for MRI. Aim: This study aims to evaluate the effectiveness of a post-processing technique using Fiji (ImageJ) to detect degenerative changes in leiomyomas and compare these findings with those obtained from conventional ultrasound and MRI results. Methods: A cross-sectional analytical study was conducted at King Saud Medical City involving 41 females diagnosed with uterine leiomyomas using ultrasound and MRI. Ultrasound images were analyzed using Fiji software to identify degenerative changes and compare results with ultrasound and MRI reports. Results: ImageJ outperformed ultrasound across all diagnostic metrics, with higher sensitivity (84.2% vs. 63.2%), specificity (81.8% vs. 22.7%), and accuracy (82.9% vs. 41.5%). ROC analysis showed superior diagnostic performance of ImageJ (AUC = 0.830) compared to ultrasound (AUC = 0.429), with a significant correlation to MRI findings (p < 0.001). Fibroids with and without degeneration showed no significant differences in Fiji parameters (p > 0.05). Conclusions: Integrating post-processing tools such as ImageJ with ultrasound imaging significantly improves the detection of degenerative changes in uterine leiomyomas, potentially reducing dependence on costly and less accessible modalities like MRI. Future studies should utilize a prospective design with larger sample sizes to strengthen the validity and generalizability of these findings. Full article
(This article belongs to the Special Issue Advanced Ultrasound Techniques in Diagnosis)
Show Figures

Figure 1

9 pages, 1112 KB  
Correction
Correction: Chen et al. The Efficacy and Safety of Tandem Transplant Versus Single Stem Cell Transplant for Multiple Myeloma Patients: A Systematic Review and Meta-Analysis. Diagnostics 2024, 14, 1030
by Yu-Han Chen, Lindsay Fogel, Andrea Yue-En Sun, Chieh Yang, Rushin Patel, Wei-Cheng Chang, Po-Huang Chen, Hong-Jie Jhou, Yeu-Chin Chen, Ming-Shen Dai and Cho-Hao Lee
Diagnostics 2025, 15(23), 2942; https://doi.org/10.3390/diagnostics15232942 - 21 Nov 2025
Abstract
After publication, the authors identified several errors in the manuscript, including inconsistencies between the manuscript’s reported results and the corresponding figures, a missing citation, and incorrect reference citations [...] Full article
(This article belongs to the Section Clinical Laboratory Medicine)
Show Figures

Figure 1

16 pages, 3304 KB  
Case Report
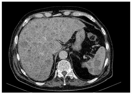
Rapidly Progressive Merkel Cell Carcinoma with Atypical Metastatic Pattern—A Case Report and Brief Literature Review
by Teodora Gabriela Alexescu, Denisa Lungu, Tania Popescu, Mirela Georgiana Perne, Cezara Andreea Gerdanovics, Olga Hilda Orășan, Angela Cozma, Ioana Raluca Dobrotă, Răzvan Dan Togănel, Mircea Vasile Milaciu, Lorena Ciumărnean, Nicoleta Valentina Leach, Călin Vasile Vlad, Vlad Alexandru Zolog and Cornel Dragoș Cheregi
Diagnostics 2025, 15(23), 2941; https://doi.org/10.3390/diagnostics15232941 - 21 Nov 2025
Abstract
Background and Clinical Significance: Merkel cell carcinoma (MCC) is a rare, aggressive neuroendocrine cutaneous malignancy with increasing incidence among elderly, immunocompromised patients or individuals exposed to ultraviolet radiation. Case Presentation: We present the case of an 84-year-old Caucasian male with no history of [...] Read more.
Background and Clinical Significance: Merkel cell carcinoma (MCC) is a rare, aggressive neuroendocrine cutaneous malignancy with increasing incidence among elderly, immunocompromised patients or individuals exposed to ultraviolet radiation. Case Presentation: We present the case of an 84-year-old Caucasian male with no history of immunosuppression, who was admitted for asthenia, dysphagia, weight loss, and generalized weakness. Clinical and imaging investigations revealed a violaceous tumor on the right arm and disseminated metastases affecting the liver, spleen, bones and lymph nodes. A liver biopsy confirmed a small round blue cell neoplasm suggestive for MCC, although immunohistochemistry could not be performed due to the patient’s fulminant deterioration and death within 12 days of admission. Conclusions: This case is notable for its exceptionally rapid progression, particularly splenic involvement, and absence of known immunosuppressive factors. It highlights the existence of highly proliferative MCC subtypes with potential for bypassing classical metastatic pathways. Early clinical suspicion and prompt histological evaluation are essential for diagnosis, although the prognosis remains poor in advanced stages. Due to fulminant deterioration, immunohistochemistry could not be performed; therefore, the diagnosis is highly suggestive based on clinical, imaging, and morphological correlation. Full article
Show Figures

Figure 1

1 pages, 132 KB  
Correction
Correction: Növer et al. Prediction of Recurrence and Rupture Risk of Ruptured and Unruptured Intracranial Aneurysms of the Posterior Circulation: A Machine Learning-Based Analysis. Diagnostics 2025, 15, 2365
by Martin Növer, Hanna Styczen, Ramazan Jabbarli, Philipp Dammann, Martin Köhrmann, Tim Hagenacker, Christoph Moenninghoff, Michael Forsting, Yan Li, Isabel Wanke, Aydin Demircioğlu and Cornelius Deuschl
Diagnostics 2025, 15(23), 2940; https://doi.org/10.3390/diagnostics15232940 - 21 Nov 2025
Abstract
In the original publication [...] Full article
(This article belongs to the Section Machine Learning and Artificial Intelligence in Diagnostics)
2 pages, 155 KB  
Reply
Reply to Lei et al. Comment on “Altobelli et al. Colon Capsule Endoscopy as a Promising Diagnostic Tool in Colorectal Cancer: A Systematic Review and Network Meta-Analysis. Diagnostics 2025, 15, 2157”
by Emma Altobelli, Paolo Matteo Angeletti and Francesco Masedu
Diagnostics 2025, 15(23), 2939; https://doi.org/10.3390/diagnostics15232939 - 21 Nov 2025
Abstract
We sincerely thank the reviewer for their thoughtful and constructive comments on our network meta-analysis (NMA) evaluating colon capsule endoscopy (CCE) for colorectal cancer (CRC) screening [...] Full article
(This article belongs to the Section Medical Imaging and Theranostics)
6 pages, 610 KB  
Comment
Comment on Altobelli et al. Colon Capsule Endoscopy as a Promising Diagnostic Tool in Colorectal Cancer: A Systematic Review and Network Meta-Analysis. Diagnostics 2025, 15, 2157
by Ian Io Lei, Ramesh Arasaradnam, Wojciech Marlicz and Anastasios Koulouzidis
Diagnostics 2025, 15(23), 2938; https://doi.org/10.3390/diagnostics15232938 - 21 Nov 2025
Abstract
Altobelli et al [...] Full article
(This article belongs to the Section Clinical Diagnosis and Prognosis)
Show Figures

Figure 1

19 pages, 4353 KB  
Article
Genomic Characterization of Papillary Thyroid Carcinoma: Age Differences in Tumor Aggressiveness and Immune Infiltration
by Wei Ao, Shuqian Chen, Tenghong Liu, Bo Wang and Wenxin Zhao
Diagnostics 2025, 15(23), 2937; https://doi.org/10.3390/diagnostics15232937 - 21 Nov 2025
Abstract
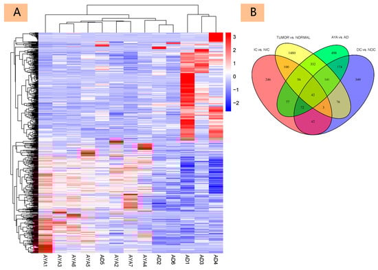
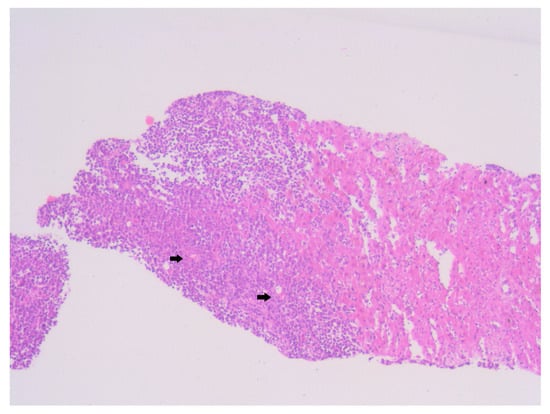
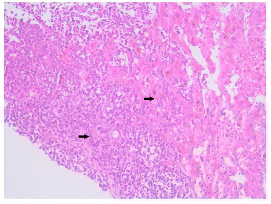
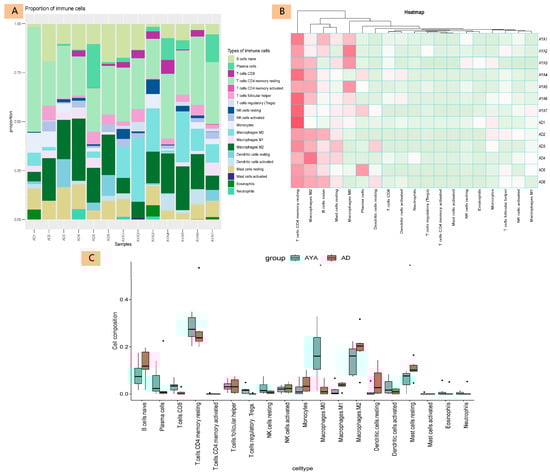
Background: Adolescents and young adults (AYA) with papillary thyroid carcinoma (PTC) often present with more extensive cervical lymph node metastasis (LNM) than older adults (AD). We aimed to identify age-associated molecular and immune features that might explain this phenotype and to explore potential [...] Read more.
Background: Adolescents and young adults (AYA) with papillary thyroid carcinoma (PTC) often present with more extensive cervical lymph node metastasis (LNM) than older adults (AD). We aimed to identify age-associated molecular and immune features that might explain this phenotype and to explore potential translational implications for managing aggressive AYA PTC. Methods: We analyzed clinical and transcriptomic data from 501 PTC cases in The Cancer Genome Atlas (TCGA), stratified as AYA (<30 years, n = 64) and AD (≥30 years, n = 437). An institutional RNA-seq cohort (n = 13; 7 AYA, 6 AD) was used to screen for differentially expressed genes (DEGs). DEGs were defined by p ≤ 0.05 and |log2 fold change| ≥ 1. Intersection with invasion- and dissemination-related gene sets yielded a final age-related DEG list. Functional enrichment (GO/KEGG via DAVID), PPI network analysis (STRING, Cytoscape/cytoHubba), and immune deconvolution (CIBERSORT LM22) were performed. Protein-level validation was carried out by immunohistochemistry (IHC) in an independent cohort (n = 56; 28 AYA, 28 AD). Statistical comparisons used chi-square/Fisher’s exact tests for categorical variables, t-tests or nonparametric tests for continuous variables, and EdgeR with FDR correction for transcriptomic analyses. Results: In TCGA, LNM was more frequent in AYA than in AD (62.1% vs. 47.8%, p = 0.031). From intersected analyses, we identified 239 core DEGs distinguishing highly invasive, age-related tumors. Key upregulated genes in AYA included CXCR4, OPCML and S100A2; downregulated genes included ATP1A3, CHL1, HLA-DRA and IL-1β. Enriched pathways involved extracellular matrix organization, cell adhesion, calcium signaling and canonical oncogenic cascades (PI3K-Akt, MAPK, Wnt, Ras). Immune deconvolution showed reduced naïve B cells, M1 and M2 macrophages and resting mast cells and an increased proportion of M0 macrophages in AYA tumors. IHC validated differential protein expression for seven markers. Collectively, the data indicate an immune-suppressed, immune-excluded microenvironment in AYA PTC. Conclusions: AYA PTC exhibits distinct molecular and immune features that may underlie its propensity for lymphatic dissemination. These findings support evaluation of translational strategies, such as CXCR4 inhibition, restoration of antigen presentation, and macrophage reprogramming, to convert “cold” tumors into immune-permissive lesions. Validation in larger, prospective, multicenter cohorts is required. Full article
(This article belongs to the Special Issue Recent Advances in Endocrinology Pathology)
Show Figures

Figure 1

Previous Issue
Back to TopTop