Current Concepts of the Applications and Treatment Implications of Drug-Induced Sleep Endoscopy for the Management of Obstructive Sleep Apnoea
Abstract
1. Introduction
2. Methods
3. Drug-Induced Sleep Endoscopy
3.1. Indications and Contraindications [32,33,34,35,36,37]
3.1.1. Indications
3.1.2. Contraindications
3.2. Before DISE
3.2.1. Sleep Test
3.2.2. Examinations [41,42]
3.2.3. Pre-Anaesthetic Consultation
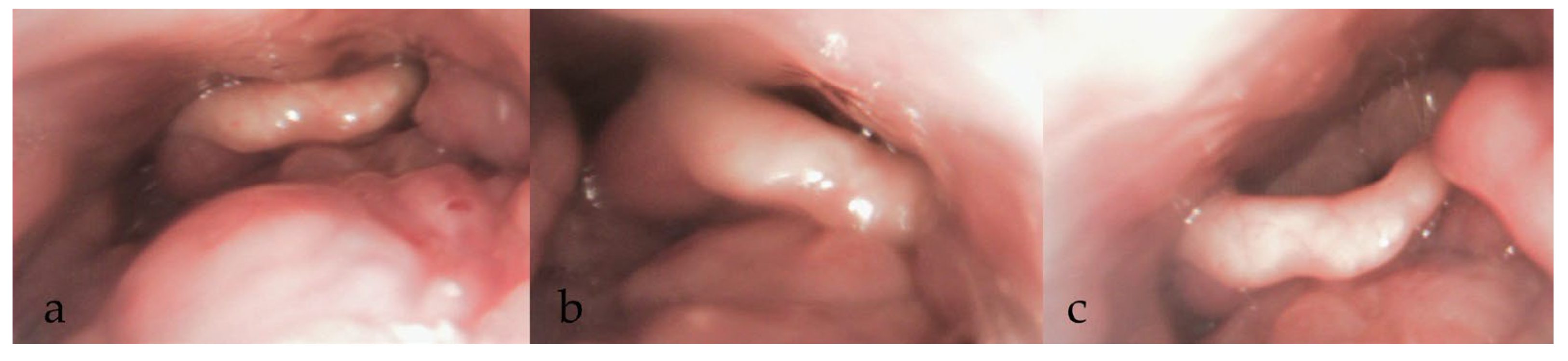
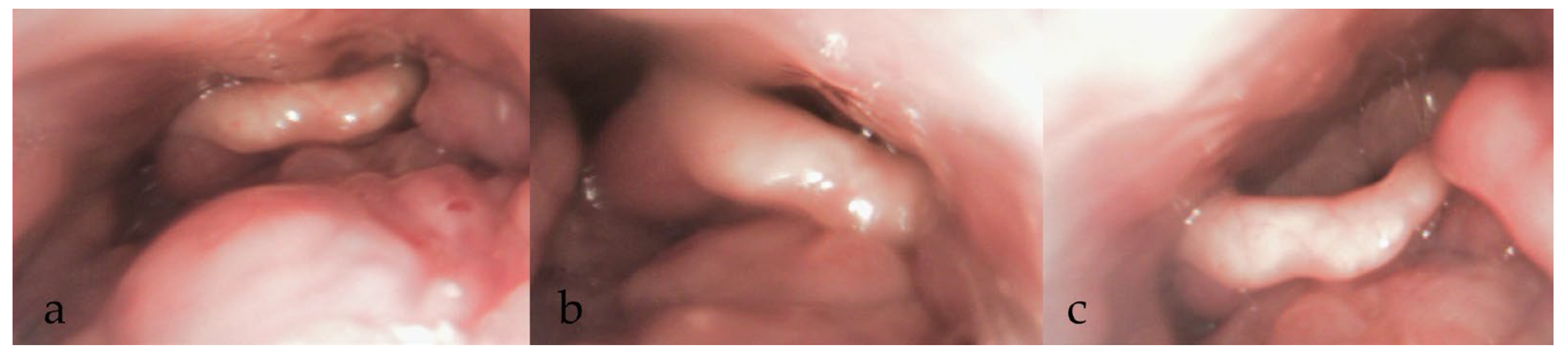
3.3. During DISE (Figure 1)

3.3.1. Manpower
3.3.2. Equipment and Set-Up
3.3.3. Sedative Drugs
3.3.4. Sedation Protocol [32,52] (Table 2)
| Sedative Drugs | Bolus | Target-Controlled Infusion |
|---|---|---|
| Propofol | Starting dose: 30–50 mg with increasing rate of 10 mg/2 min; or Starting dose: 1 mg/kg with increasing rate of 20 mg/2 min | Starting dose: 1.5–3.0 µg/mL then increasing rate 0.2–0.5 µg/mL/2 min |
| Midazolam | Starting dose: 0.03 mg/kg, increasing rate of 0.03 mg/kg after 2–5 min, 0.015 mg/kg after 5 min | / |
| Dexmedetomidine | Starting dose: 1.5 µg/kg over 10 min; maintenance: 1.5 µg/kg/h | Starting dose: 1 µg/kg for 10 min; then 1 µg/kg/h |
3.3.5. Adjunctive Agents
3.3.6. Observation Window
3.3.7. Procedure and Additional Manoeuvres
3.3.8. Documentation
4. Treatment Implications from DISE Findings (Table 3 and Table 4)
4.1. Implications in PAP Therapy
4.2. Implications in Positional Therapy
4.3. Implications in Mandibular Advancement Devices (MADs)
4.4. Implications in Palatal Surgeries
4.5. Implications in Tongue Base Surgeries
4.6. Implications in Upper Airway Stimulation (UAS) Surgery
4.7. Implications in Maxillomandibular Advancement (MMA)
| Intervention | Reference, Year | Design | Sample | DISE Patterns | Outcomes |
|---|---|---|---|---|---|
| PAP | [63], 2023 | DISE-CPAP vs. standard CPAP titration 95th percentile pressure of the CPAP titration trial was compared to optimal pressure for alleviating upper airway blockage in DISE | 30 (mean age 37.5, 17% women; moderate-to-severe OSA) | VOTE classification V & O: >80% had complete collapse | Mean optimal pressure to partially/fully open airway (DISE-CPAP): 16.1 ± 3.9 cmH2O Mean 95th percentile CPAP titration pressure: 14.3 ± 3.5 cmH2O CPAP often results in partial resolution of airway patency |
| Positional therapy | [87], 2018 | Comparative POSA vs. NPOSA vs. non-OSA | 860 DISE performed in 543 patients (119 non-OSA, 257 POSA, 167 NPOSA) | Velum and oropharynx collapse significantly determined presence of OSA CCC occurred less frequently in POSA compared to NPOSA | UAS often cured or improved OSA to less severe POSA Lower efficacy of upper airway surgical interventions in POSA compared to NPOSA |
| [91], 2018 | Retrospective, single-centre cohort study DISE with jaw thrust and lateral head rotation | 200 (80.5% male; mean age 50.1 ± 11.7 years; BMI 27.0 ± 3.1 kg/m2; median AHI 19.2) | VOTE classification 44% non-positional, 56% positional (34% supine isolated, 66% supine predominant) | Jaw thrust reduced sum VOTE score by 66.7% across all subgroups Lateral head rotation reduced sum VOTE score by 33.3% in non-positional and supine predominant positional, and 50% in supine isolated positional Combined manoeuvres reduced sum VOTE score by >75% in all patients | |
| [66], 2015 | Comparative Supine position with head rotated vs. head and trunk in lateral position | 60 (44 male, mean AHI 20.8 ± 17.5) | VOTE classification Similar sites, severity, and patterns of collapse in head rotation (supine) vs. lateral head/trunk position, except at velum Head rotation: 15.0% and 15.0% had complete and partial AP velum collapse Full lateral position: 6.7% and 3.3% had complete and partial AP velum collapse | Head rotation yields similar DISE findings to full lateral positioning, except at velum level | |
| MAD | [62], 2013 | Observational Association between DISE findings with simulation bite and MAD treatment outcome | 200 (74% male; age 46 ± 9 years; AHI 19 ± 13; BMI 27 ± 4 kg/m2) (135 had MAD) | Effects on upper airway patency with simulation bite | Positive correlation between simulation bite effects and MAD therapeutic response |
| [88], 2007 | Prospective Sleep nasoendoscopy with manual mandibular advancement and MAD outcome | 120 (107/120 completed therapy, 8/107 dropped out) | Croft and Pringle scale Obstruction grades 3–5 with airway improvement with 4–5 mm jaw thrust | Favourable response to MAD in patients with airway improvement Median AHI reduced from 18.9 to 4.9 (p < 0.001); ESS score from 11 to 7 (p < 0.001) | |
| [61], 2020 | Prospective cohort (single centre) Association between DISE findings with simulation bite and MAD treatment outcome | 66 (median AHI 43.1) | Baseline collapses: Palate: 95.4% Oropharynx: 12.3% Tongue base: 61.5% Hypopharynx: 44.1% With simulation bite: Palate: 43% Oropharynx: 5.5% Tongue base: 18.7% Hypopharynx: 17.7% With chin lift: Palate: 30.2% Oropharynx: 1.1% Tongue base: 13% Hypopharynx: 4.4% | Presence of palatal collapse at baseline was associated with treatment response (OR: 8.6822; 95% CI: 1.5643–48.1894; p-value: 0.0135) In “predicted response” group, majority of patients were responders (83.3%) | |
| [60], 2020 | Prospective cohort (single centre) Agreement in upper airway obstruction and configuration between jaw thrust and boil-and-bite MAD (MyTAP) | 63 | VOTE classification Degree of obstruction agreement (supine): V: 60% (n = 36, κ = 0.41), O: 68.3% (n = 41, κ = 0.35), T: 58.3% (n = 35, κ = 0.28), E: 56.7% (n = 34, κ = 0.14); (lateral): V: 81.7% (n = 49, κ = 0.32), O: 71.7% (n = 43, κ = 0.36), T: 90.0% (n = 54, κ = 0.23), E: 96.7% (n = 58, κ = not determined); Configuration agreement V: 69.0% (n = 20/29, κ = 0.41) in supine, 100% in lateral | Slight to moderate agreement in degree of obstruction between jaw thrust and boil-and-bite MAD Jaw thrust showed greater improvement in hypopharyngeal airway patency but less at retropalatal level | |
| 90 [90], 2023 | Comparative (chin lift vs. MAD) | 56 (AHI ≥ 10 treated with MAD at 75% maximal protrusion) | Only laterolateral (LL) dimensions differed significantly with MAD presence at retro-epiglottic level, with significant relation of LL expansion ratio to treatment response (p = 0.0176) | Greater retroglossal expansion ratios in responders vs. non-responders (p = 0.0441) No significant association between response and chin lift | |
| [89], 2018 | Retrospective MAD treatment outcome between DISE and no DISE | 40 (20 DISE, 20 no DISE) | Increased airway dimensions at velum and/or oropharynx with jaw thrust | In DISE group: Significantly lower treatment AHI (p = 0.04), more patients reaching AHI < 5 with MAD (p = 0.04) | |
| Palatal surgeries | [98], 2020 | Prospective Nose, palate, and/or tongue surgery outcomes with and without DISE | 326 (170 DISE, 156 no DISE; mean BMI 27.6 ± 4.6, 28.1 ± 3.9, mean AHI 15.9 ± 12.6, 13.2 ± 8.8) | VOTE classification | Without DISE: better outcomes (greater % AHI reduction, LSAT increase, blood pressure improvements) DISE may not significantly affect surgical success in OSA |
| [96], 2019 | Retrospective (multicentre) DISE findings and surgical outcomes | 275 (14 centres) (mean age 51.4 ± 11.8, BMI 30.1 ± 5.2 kg/m2) | VOTE classification Most had velum obstruction and relatively few had epiglottis obstruction Primary structure obstructing: V: 35% (90 of 257) O: 24% (62 of 257) T: 39% (100 of 257) E: 2% (5 of 257) | Oropharyngeal lateral wall obstruction was associated with poorer surgical outcomes (adjusted odds ratio (AOR) 0.51; 95% CI 0.27, 0.93) Complete tongue-related obstruction was associated with lower odds of surgical response in moderate to severe OSA (AOR 0.52; 95% CI 0.28, 0.98) Surgical outcomes not clearly associated with degree and configuration of velum or the degree of epiglottis obstruction | |
| [97], 2024 | Retrospective (multicentre) DISE assessed palatal shape and surgical outcomes of isolated pharyngeal surgery | 209 (13 centres) (21% female; age 53.7 ± 11.5, BMI 30.3 ± 5.0 kg/m2) | Palatal levels: hard palate, genu AP, velum, and genu lateral Palatal shape was classified as vertical, intermediate, or oblique Vertical 4% Intermediate 54% Oblique 42% | Greater genu AP narrowing was associated with less odds of surgical response Greater genu lateral narrowing was associated with greater odds of surgical response Palate shape and other palate shape level scores were not clearly associated with surgical outcomes | |
| [94], 2012 | Retrospective Identify DISE patterns as predictors of surgical failure | 34 | Severe airway obstruction was defined as >75% | Surgical failure group had severe lateral oropharyngeal wall collapse (73.3% vs. 36.8%, p = 0.037) and severe supraglottic collapse (93.3% vs. 63.2%, p = 0.046) as compared to surgical success group | |
| [95], 2015 | Comparative | 20 (16 male, age 19–57) | Upper airway classified as uvula and soft palate Lower airway classified as tongue base and epiglottis Modified Mallampati 1 & 2: Upper airway obstruction: 8/9 Lower airway obstruction: 2/9 Both: 1/9 Modified Mallampati 3 & 4: Upper airway obstruction: 9/11 Lower airway obstruction: 4/11 Both: 2/9 | Significantly higher success rate in group with upper airway obstruction (p < 0.05) Significantly lower success rate was found in group with lower airway obstruction (p < 0.01) | |
| Tongue base surgeries | [100], 2017 | Retrospective DISE and predictive success for patients undergoing transoral robotic surgery | 101 | NOHL and VOTE classifications Success: Mean total VOTE score 3.3 ± 1.8 Mean total NOHL score 12.0 ± 1.9 No success: Mean total VOTE score 3.0 ± 1.9 Mean total NOHL score 11.8 ± 2.9 | 87% improvement, 51% success, 17% cured No oropharyngeal lateral collapse in VOTE was more likely to improve following surgery (p = 0.001); but effect not held for success or cure |
| [99], 2020 | Retrospective Muller’s manoeuvre (MM) vs. DISE on tongue base surgical outcomes | 95 (47 MM, 48 DISE) | VOTE classification | Tonsil grade as significant predictive factor for surgical success in both groups (p = 0.004 in MM, p = 0.042 in DISE) Occlusion of the oropharyngeal lateral wall in MM group showed significant difference between surgical success and failure (p = 0.031), but not in DISE group (p = 0.596) Lack of evidence showing superiority of DISE over MM | |
| UAS | [103], 2021 | Retrospective cohort (multicentre) DISE and hypoglossal nerve stimulation outcomes | 343 (10 centres, 76% male, age 60.4 ± 11.0, BMI 29.2 ± 3.6 kg/m2. AHI 35.6 ± 15.2) | Complete palate obstruction was associated with greatest AHI improvement (−26.8 ± 14.9) Complete tongue obstruction was associated with increased odds of treatment response (78%) Complete oropharyngeal lateral wall obstruction was associated with lower odds of surgical response (58%) | Primary tongue contribution to airway obstruction was associated with better outcomes Worse outcomes were found for oropharyngeal lateral walls obstruction CCC at velum should not be excluded for UAS |
| [102], 2013 | Observational DISE findings and UAS outcomes | 21 (20 male, age 55 ± 11, BMI 28 ± 2 kg/m2, AHI 38.5 ± 11.8) | Levels classified as palate, oropharynx, tongue base, and epiglottis/hypopharynx Most common collapse patterns in this study were AP collapse at palate (76.2%) and the tongue base (71.4%) | Significantly better outcome without palatal CCC, reducing AHI from 37.6 ± 11.4 to 11.1 ± 12.0 (p < 0.001) | |
| MMA | [106], 2016 | Retrospective cohort study DISE and computational fluid dynamics (CFD) in evaluating post-MMA changes | 20 (17 male, mean age 44 ± 12, BMI 27.4 ± 4.6 kg/m2, mean AHI 53.6 ± 26.6) | VOTE classification CFD modelling showed significant positive Pearson correlations between reduction of retropalatal airflow velocity and AHI (r = 0.617, p = 0.04) | AHI and ODI improvement post-MMA is best correlated with decreased retropalatal airflow velocity and increased lateral pharyngeal wall stability |
| [105], 2015 | Retrospective cohort DISE evaluation pre- and post-MMA | 16 (15 male, average age 47 ± 10.9, BMI 29.4 ± 5.1 kg/m2, AHI 59.8 ± 25.6) | The post-MMA change in airway collapse was most significant at the lateral pharyngeal wall (p = 0.001) Subjects with most improvement in lateral pharyngeal wall had the largest changes in AHI (from 60.0 ± 25.6 to 7.5 ± 3.4) and oxygen desaturation index (ODI) (from 46.7 ± 29.8 to 5.3 ± 2; p = 0.002) Greatest reduction in upper airway collapsibility is seen at oropharynx, followed by velum, and tongue base | Stability of lateral pharyngeal wall is a marker of MMA success | |
| [104], 2020 | Prospective case series DISE and MMA outcome, focusing on complete concentric collapse at level of palate | 19 (14 with full dataset) (8 male, mean age 51 ± 7, BMI 25.6 ± 3.7 kg/m2, AHI 40.2 ± 25.6) | Levels classified as palate, oropharyngeal, tongue, hypopharyngeal and epiglottis 43% had CCC at palate All patients showed resolution of CCCp (p = 0.0159) during postoperative DISE | Comparable AHI reduction with or without CCC MMA resolved palatal CCC |
| Treatment Modality | DISE Implications and Limitations |
|---|---|
| PAP therapy |
|
| Positional therapy |
|
| Palatal surgeries |
|
| Tongue base surgeries |
|
| UAS |
|
| MMA |
|
5. Conclusions
Author Contributions
Funding
Institutional Review Board Statement
Informed Consent Statement
Data Availability Statement
Acknowledgments
Conflicts of Interest
Abbreviations
| OSA | Obstructive sleep apnoea |
| CPAP | Continuous positive airway pressure |
| DISE | Drug-induced sleep endoscopy |
| PAP | Positive airway pressure |
| MAD | Mandibular advancement device |
| UAS | Upper airway stimulation |
| BMI | Body mass index |
| AHI | Apnoea–hypopnea index |
| CCC | Complete concentric collapse |
| LPW | Lateral pharyngeal wall |
| NE | Nasoendoscopy |
| NSE | Natural sleep endoscopy |
| OAT | Oral appliance therapy |
| PT | Positional therapy |
| ASA | American Society of Anaesthesiologists |
| PSG | Polysomnography |
| AP | Anteroposterior |
| BIS | Bispectral index |
| TCI | Target-controlled infusion |
| DISE-CPAP | Drug-induced sleep endoscopy guided continuous positive airway pressure |
| POSA | Positional obstructive sleep apnoea |
| NPOSA | Non-positional obstructive sleep apnoea |
| MCP | Maximal comfortable protrusion |
| LSAT | Lowest oxygen saturation |
| MMA | Maxillomandibular advancement |
| MM | Muller’s manoeuvre |
| ODI | Oxygen desaturation index |
| CFD | Computational fluid dynamics |
References
- Weaver, T.E.; Mathias, S.D.; Crosby, R.D.; Bron, M.; Bujanover, S.; Menno, D.; Villa, K.F.; Drake, C. Relationship between sleep efficacy endpoints and measures of functional status and health-related quality of life in participants with narcolepsy or obstructive sleep apnea treated for excessive daytime sleepiness. J. Sleep. Res. 2021, 30, e13210. [Google Scholar] [CrossRef] [PubMed]
- Ulfberg, J.; Carter, N.; Talback, M.; Edling, C. Excessive daytime sleepiness at work and subjective work performance in the general population and among heavy snorers and patients with obstructive sleep apnea. Chest 1996, 110, 659–663. [Google Scholar] [CrossRef] [PubMed]
- Al-Lawati, N.M. Sleepy Drivers: High time for action. Sultan Qaboos Univ. Med. J. 2018, 18, e127–e129. [Google Scholar] [CrossRef] [PubMed]
- Punjabi, N.M.; Caffo, B.S.; Goodwin, J.L.; Gottlieb, D.J.; Newman, A.B.; O’Connor, G.T.; Rapoport, D.M.; Redline, S.; Resnick, H.E.; Robbins, J.A.; et al. Sleep-disordered breathing and mortality: A prospective cohort study. PLoS Med. 2009, 6, e1000132. [Google Scholar] [CrossRef]
- Young, T.; Finn, L.; Peppard, P.E.; Szklo-Coxe, M.; Austin, D.; Nieto, F.J.; Stubbs, R.; Hla, K.M. Sleep disordered breathing and mortality: Eighteen-year follow-up of the Wisconsin sleep cohort. Sleep 2008, 31, 1071–1078. [Google Scholar] [CrossRef]
- Peppard, P.E.; Young, T.; Palta, M.; Skatrud, J. Prospective study of the association between sleep-disordered breathing and hypertension. N. Engl. J. Med. 2000, 342, 1378–1384. [Google Scholar] [CrossRef]
- Mehra, R.; Benjamin, E.J.; Shahar, E.; Gottlieb, D.J.; Nawabit, R.; Kirchner, H.L.; Sahadevan, J.; Redline, S.; Sleep Heart Health Study. Association of nocturnal arrhythmias with sleep-disordered breathing: The Sleep Heart Health Study. Am. J. Respir. Crit. Care Med. 2006, 173, 910–916. [Google Scholar] [CrossRef]
- Shahar, E.; Whitney, C.W.; Redline, S.; Lee, E.T.; Newman, A.B.; Nieto, F.J.; O’Connor, G.T.; Boland, L.L.; Schwartz, J.E.; Samet, J.M. Sleep-disordered breathing and cardiovascular disease: Cross-sectional results of the Sleep Heart Health Study. Am. J. Respir. Crit. Care Med. 2001, 163, 19–25. [Google Scholar] [CrossRef]
- Tregear, S.; Reston, J.; Schoelles, K.; Phillips, B. Obstructive sleep apnea and risk of motor vehicle crash: Systematic review and meta-analysis. J. Clin. Sleep. Med. 2009, 5, 573–581. [Google Scholar] [CrossRef]
- Goldstein, A.N.; Walker, M.P. The role of sleep in emotional brain function. Annu. Rev. Clin. Psychol. 2014, 10, 679–708. [Google Scholar] [CrossRef]
- Chen, P.; Ban, W.; Wang, W.; You, Y.; Yang, Z. The Devastating Effects of Sleep Deprivation on Memory: Lessons from Rodent Models. Clocks Sleep. 2023, 5, 276–294. [Google Scholar] [CrossRef]
- Reddy, O.C.; van der Werf, Y.D. The Sleeping Brain: Harnessing the Power of the Glymphatic System through Lifestyle Choices. Brain Sci. 2020, 10, 868. [Google Scholar] [CrossRef] [PubMed]
- Benkirane, O.; Delwiche, B.; Mairesse, O.; Peigneux, P. Impact of Sleep Fragmentation on Cognition and Fatigue. Int. J. Environ. Res. Public Health 2022, 19, 15485. [Google Scholar] [CrossRef] [PubMed]
- Eckert, D.J. Phenotypic approaches to obstructive sleep apnoea—New pathways for targeted therapy. Sleep. Med. Rev. 2018, 37, 45–59. [Google Scholar] [CrossRef] [PubMed]
- Rotenberg, B.W.; Murariu, D.; Pang, K.P. Trends in CPAP adherence over twenty years of data collection: A flattened curve. J. Otolaryngol. Head. Neck Surg. 2016, 45, 43. [Google Scholar] [CrossRef]
- Kent, D.; Stanley, J.; Aurora, R.N.; Levine, C.; Gottlieb, D.J.; Spann, M.D.; Torre, C.A.; Green, K.; Harrod, C.G. Referral of adults with obstructive sleep apnea for surgical consultation: An American Academy of Sleep Medicine clinical practice guideline. J. Clin. Sleep. Med. 2021, 17, 2499–2505. [Google Scholar] [CrossRef]
- Zaghi, S.; Holty, J.E.; Certal, V.; Abdullatif, J.; Guilleminault, C.; Powell, N.B.; Riley, R.W.; Camacho, M. Maxillomandibular Advancement for Treatment of Obstructive Sleep Apnea: A Meta-analysis. JAMA Otolaryngol. Head. Neck Surg. 2016, 142, 58–66. [Google Scholar] [CrossRef]
- Koutsourelakis, I.; Safiruddin, F.; Ravesloot, M.; Zakynthinos, S.; de Vries, N. Surgery for obstructive sleep apnea: Sleep endoscopy determinants of outcome. Laryngoscope 2012, 122, 2587–2591. [Google Scholar] [CrossRef]
- Wang, Y.; Sun, C.; Cui, X.; Guo, Y.; Wang, Q.; Liang, H. The role of drug-induced sleep endoscopy: Predicting and guiding upper airway surgery for adult OSA patients. Sleep. Breath. 2018, 22, 925–931. [Google Scholar] [CrossRef]
- Dipalma, G.; Inchingolo, A.M.; Palumbo, I.; Guglielmo, M.; Riccaldo, L.; Morolla, R.; Inchingolo, F.; Palermo, A.; Charitos, I.A.; Inchingolo, A.D. Surgical Management of Pediatric Obstructive Sleep Apnea: Efficacy, Outcomes, and Alternatives-A Systematic Review. Life 2024, 14, 1652. [Google Scholar] [CrossRef]
- Xiao, Z.; Li, X.; Zhou, L.; Long, X.; Tian, L.; Li, W. Drug-Induced Sleep Endoscopy and Its Recent Clinical Applications in Combination with Other Procedures in Children: A Narrative Review. Nat. Sci. Sleep. 2025, 17, 1067–1077. [Google Scholar] [CrossRef]
- Habumugisha, J. Contemporary Approaches to Obstructive Sleep Apnea: A Review of Orthodontic and Non-Orthodontic Interventions in Children and Adults. Oral 2025, 5, 55. [Google Scholar] [CrossRef]
- Kezirian, E.J.; Hohenhorst, W.; de Vries, N. Drug-induced sleep endoscopy: The VOTE classification. Eur. Arch. Otorhinolaryngol. 2011, 268, 1233–1236. [Google Scholar] [CrossRef] [PubMed]
- Hewitt, R.J.; Dasgupta, A.; Singh, A.; Dutta, C.; Kotecha, B.T. Is sleep nasendoscopy a valuable adjunct to clinical examination in the evaluation of upper airway obstruction? Eur. Arch. Otorhinolaryngol. 2009, 266, 691–697. [Google Scholar] [CrossRef]
- Cavaliere, M.; Russo, F.; Iemma, M. Awake versus drug-induced sleep endoscopy: Evaluation of airway obstruction in obstructive sleep apnea/hypopnoea syndrome. Laryngoscope 2013, 123, 2315–2318. [Google Scholar] [CrossRef]
- Gregorio, M.G.; Jacomelli, M.; Figueiredo, A.C.; Cahali, M.B.; Pedreira, W.L., Jr.; Lorenzi Filho, G. Evaluation of airway obstruction by nasopharyngoscopy: Comparison of the Muller maneuver versus induced sleep. Braz. J. Otorhinolaryngol. 2007, 73, 618–622. [Google Scholar] [CrossRef]
- George, J.R.; Chung, S.; Nielsen, I.; Goldberg, A.N.; Miller, A.; Kezirian, E.J. Comparison of drug-induced sleep endoscopy and lateral cephalometry in obstructive sleep apnea. Laryngoscope 2012, 122, 2600–2605. [Google Scholar] [CrossRef]
- Ng, C.H.; Chu, G.; Gu, M.; Leung, Y.Y.; Lin, L.; Yang, Y. Cephalometric Measurements of Upper Airway at Upright and Supine Posture in Adult OSAS Patients. Eur. J. Dent. 2025. Online ahead of print. [Google Scholar] [CrossRef]
- Borowiecki, B.; Pollak, C.P.; Weitzman, E.D.; Rakoff, S.; Imperato, J. Fibro-optic study of pharyngeal airway during sleep in patients with hypersomnia obstructive sleep-apnea syndrome. Laryngoscope 1978, 88, 1310–1313. [Google Scholar] [CrossRef]
- Park, D.; Kim, J.S.; Heo, S.J. Obstruction Patterns During Drug-Induced Sleep Endoscopy vs Natural Sleep Endoscopy in Patients With Obstructive Sleep Apnea. JAMA Otolaryngol. Head. Neck Surg. 2019, 145, 730–734. [Google Scholar] [CrossRef]
- Matarredona-Quiles, S.; Martínez-Ruiz-de-Apodaca, P.; Vaz de Castro, J.; González-Turienzo, E.; Cammaroto, G.; Carrasco-Llatas, M. Comparing upper airway awake exploration, drug-induced sleep endoscopy and natural sleep—A systematic review. J. Oral Maxillofac. Anesth. 2024, 3, 12. [Google Scholar] [CrossRef]
- De Vito, A.; Carrasco Llatas, M.; Ravesloot, M.J.; Kotecha, B.; De Vries, N.; Hamans, E.; Maurer, J.; Bosi, M.; Blumen, M.; Heiser, C.; et al. European position paper on drug-induced sleep endoscopy: 2017 Update. Clin. Otolaryngol. 2018, 43, 1541–1552. [Google Scholar] [CrossRef] [PubMed]
- Charakorn, N.; Kezirian, E.J. Drug-Induced Sleep Endoscopy. Otolaryngol. Clin. North. Am. 2016, 49, 1359–1372. [Google Scholar] [CrossRef]
- Carrasco-Llatas, M.; Matarredona-Quiles, S.; De Vito, A.; Chong, K.B.; Vicini, C. Drug-Induced Sleep Endoscopy: Technique, Indications, Tips and Pitfalls. Healthcare 2019, 7, 93. [Google Scholar] [CrossRef]
- Viana, A.; Estevao, D.; Zhao, C. The clinical application progress and potential of drug-induced sleep endoscopy in obstructive sleep apnea. Ann. Med. 2022, 54, 2909–2920. [Google Scholar] [CrossRef]
- Llatas, M.C.; de Apodaca, P.M.R.; Jardín, P.B.; Reina, C.O.C.; Mayor, G.P.; Silva, I.M.-B.; González, E.V.; González, I.V.; Egía, A.I.N.; Piñol, L.S. Drug-induced sleep endoscopy. Acta Otorrinolaringol. 2020, 71, 316–320. [Google Scholar]
- Hybaskova, J.; Jor, O.; Novak, V.; Zelenik, K.; Matousek, P.; Kominek, P. Drug-Induced Sleep Endoscopy Changes the Treatment Concept in Patients with Obstructive Sleep Apnoea. Biomed. Res. Int. 2016, 2016, 6583216. [Google Scholar] [CrossRef]
- Kapoor, M.; Greenough, G. Home Sleep Tests for Obstructive Sleep Apnea (OSA). J. Am. Board. Fam. Med. 2015, 28, 504–509. [Google Scholar] [CrossRef]
- Aurora, R.N.; Swartz, R.; Punjabi, N.M. Misclassification of OSA severity with automated scoring of home sleep recordings. Chest 2015, 147, 719–727. [Google Scholar] [CrossRef]
- Kapur, V.K.; Auckley, D.H.; Chowdhuri, S.; Kuhlmann, D.C.; Mehra, R.; Ramar, K.; Harrod, C.G. Clinical Practice Guideline for Diagnostic Testing for Adult Obstructive Sleep Apnea: An American Academy of Sleep Medicine Clinical Practice Guideline. J. Clin. Sleep. Med. 2017, 13, 479–504. [Google Scholar] [CrossRef]
- MacKay, S.G.; Lewis, R.; McEvoy, D.; Joosten, S.; Holt, N.R. Surgical management of obstructive sleep apnoea: A position statement of the Australasian Sleep Association. Respirology 2020, 25, 1292–1308. [Google Scholar] [CrossRef] [PubMed]
- American Association of Sleep Technologists. Pre- and Post-Operative Monitoring of the OSA Patient. 2020. Available online: https://aastweb.org/wp-content/uploads/2025/03/OSA-Patient-2.pdf (accessed on 13 October 2025).
- Folha, G.A.; Valera, F.C.P.; de Felicio, C.M. Diagnostic Accuracy of an Orofacial Scale for the Detection of Orofacial Myofunctional Disorders in Patients with Obstructive Sleep Apnoea. J. Oral Rehabil. 2025, 52, 1343–1350. [Google Scholar] [CrossRef] [PubMed]
- Kilinc, D.D.; Mansiz, D. Myofunctional orofacial examination tests: A literature review. BMC Oral Health 2023, 23, 350. [Google Scholar] [CrossRef] [PubMed]
- Moeller, M.; Weber, S.; Coceani-Paskay, L.; Amat, P.; Bianchini, E.; Botzer, E. Consensus statement on the orofacial myofunctional assessment and therapy in patients with OSA: Proposal of an international Delphi Method process. Rev. Orthop. Dento Faciale 2021, 55, 513–521. [Google Scholar] [CrossRef]
- Correa, E.J.; Rodriguez-Alcalá, L.; Conti, D.M.; Rabino, A.; Baptista, P.M.; Garcia-Iriarte, M.-T.; Plaza, G. What are we missing in adult obstructive sleep apnea clinical evaluation? Review of official guidelines. Int. J. Orofac. Myol. Myofunct. Ther. 2023, 49, 1–10. [Google Scholar] [CrossRef]
- Askar, S.M.; El-Anwar, M.W.; Quriba, A.S. Positional awake nasoendoscopic pattern-based surgical decision for correction of retropalatal obstruction in OSA. Eur. Arch. Otorhinolaryngol. 2021, 278, 901–909. [Google Scholar] [CrossRef]
- Amali, A.; Amirzargar, B.; Sadeghi, M.; Saedi, B. Muller’s maneuver in patients with obstructive sleep apnea. J. Sleep. Sci. 2016, 1, 148–150. [Google Scholar]
- Blumen, M.; Bequignon, E.; Chabolle, F. Drug-induced sleep endoscopy: A new gold standard for evaluating OSAS? Part I: Technique. Eur. Ann. Otorhinolaryngol. Head. Neck Dis. 2017, 134, 101–107. [Google Scholar] [CrossRef]
- Shteamer, J.W.; Dedhia, R.C. Sedative choice in drug-induced sleep endoscopy: A neuropharmacology-based review. Laryngoscope 2017, 127, 273–279. [Google Scholar] [CrossRef]
- Ehsan, Z.; Mahmoud, M.; Shott, S.R.; Amin, R.S.; Ishman, S.L. The effects of anesthesia and opioids on the upper airway: A systematic review. Laryngoscope 2016, 126, 270–284. [Google Scholar] [CrossRef]
- Kotecha, B.; De Vito, A. Drug induced sleep endoscopy: Its role in evaluation of the upper airway obstruction and patient selection for surgical and non-surgical treatment. J. Thorac. Dis. 2018, 10, S40–S47. [Google Scholar] [CrossRef]
- Abdullah, V.J.; Lee, D.L.; Ha, S.C.; van Hasselt, C.A. Sleep endoscopy with midazolam: Sedation level evaluation with bispectral analysis. Otolaryngol. Head. Neck Surg. 2013, 148, 331–337. [Google Scholar] [CrossRef]
- McKay, A.C. Synergism among i.v. anaesthetics. Br. J. Anaesth. 1991, 67, 1–3. [Google Scholar] [CrossRef]
- Oxorn, D.C.; Ferris, L.E.; Harrington, E.; Orser, B.A. The effects of midazolam on propofol-induced anesthesia: Propofol dose requirements, mood profiles, and perioperative dreams. Anesth. Analg. 1997, 85, 553–559. [Google Scholar] [CrossRef] [PubMed]
- Schwartz, D.; Schall, C.; Harders, M.; Tollinche, L.; Tanios, M.; Alter, J.; Weidenbecher, M. Anesthesia for Drug Induced Sleep Endoscopy (DISE). Curr. Anesthesiol. Rep. 2024, 14, 1–6. [Google Scholar] [CrossRef]
- Zhen, H.; Gao, Q.; Cui, Y.; Hua, X.; Li, H.; Feng, J. The use of oxymetazoline in nasal endoscopic sinus surgery. Lin. Chuang Er Bi Yan Hou Ke Za Zhi 2003, 17, 281–282. [Google Scholar]
- Zhou, N.; Ho, J.T.F.; de Vries, N.; Bosschieter, P.F.N.; Ravesloot, M.J.L.; de Lange, J. Evaluation of drug-induced sleep endoscopy as a tool for selecting patients with obstructive sleep apnea for maxillomandibular advancement. J. Clin. Sleep. Med. 2022, 18, 1073–1081. [Google Scholar] [CrossRef]
- Park, D.; Kim, J.S.; Heo, S.J. The Effect of the Modified Jaw-Thrust Maneuver on the Depth of Sedation During Drug-Induced Sleep Endoscopy. J. Clin. Sleep. Med. 2019, 15, 1503–1508. [Google Scholar] [CrossRef]
- Vonk, P.E.; Uniken Venema, J.A.M.; Hoekema, A.; Ravesloot, M.J.L.; van de Velde-Muusers, J.A.; de Vries, N. Jaw thrust versus the use of a boil-and-bite mandibular advancement device as a screening tool during drug-induced sleep endoscopy. J. Clin. Sleep. Med. 2020, 16, 1021–1027. [Google Scholar] [CrossRef]
- Cavaliere, M.; De Luca, P.; De Santis, C.; Scarpa, A.; Ralli, M.; Di Stadio, A.; Viola, P.; Chiarella, G.; Cassandro, C.; Cassandro, F. Drug-Induced Sleep Endoscopy (DISE) with Simulation Bite to Predict the Success of Oral Appliance Therapy in Treating Obstructive Sleep Apnea/Hypopnea Syndrome (OSAHS). Transl. Med. UniSa 2020, 23, 58–62. [Google Scholar] [CrossRef]
- Vroegop, A.V.; Vanderveken, O.M.; Dieltjens, M.; Wouters, K.; Saldien, V.; Braem, M.J.; Van de Heyning, P.H. Sleep endoscopy with simulation bite for prediction of oral appliance treatment outcome. J. Sleep. Res. 2013, 22, 348–355. [Google Scholar] [CrossRef] [PubMed]
- Raj, A.; Bansal, S.; Dhooria, S.; Jain, D.; Virk, R.S.; Panda, N.K. Drug-induced sleep endoscopy-continuous positive airway pressure (DISE-CPAP), a newer modality to choose the right candidates for CPAP. Sleep. Breath. 2023, 27, 1787–1794. [Google Scholar] [CrossRef] [PubMed]
- Vroegop, A.V.; Vanderveken, O.M.; Verbraecken, J.A. Drug-Induced Sleep Endoscopy: Evaluation of a Selection Tool for Treatment Modalities for Obstructive Sleep Apnea. Respiration 2020, 99, 451–457. [Google Scholar] [CrossRef] [PubMed]
- Safiruddin, F.; Koutsourelakis, I.; de Vries, N. Analysis of the influence of head rotation during drug-induced sleep endoscopy in obstructive sleep apnea. Laryngoscope 2014, 124, 2195–2199. [Google Scholar] [CrossRef]
- Safiruddin, F.; Koutsourelakis, I.; de Vries, N. Upper airway collapse during drug induced sleep endoscopy: Head rotation in supine position compared with lateral head and trunk position. Eur. Arch. Otorhinolaryngol. 2015, 272, 485–488. [Google Scholar] [CrossRef]
- Vonk, P.E.; van de Beek, M.J.; Ravesloot, M.J.L.; de Vries, N. Drug-induced sleep endoscopy: New insights in lateral head rotation compared to lateral head and trunk rotation in (non)positional obstructive sleep apnea patients. Laryngoscope 2019, 129, 2430–2435. [Google Scholar] [CrossRef]
- Higami, S.; Inoue, Y.; Higami, Y.; Takeuchi, H.; Ikoma, H. Endoscopic classification of pharyngeal stenosis pattern in obstructive sleep apnea hypopnea syndrome. Psychiatry Clin. Neurosci. 2002, 56, 317–318. [Google Scholar] [CrossRef]
- Iwanaga, K.; Hasegawa, K.; Shibata, N.; Kawakatsu, K.; Akita, Y.; Suzuki, K.; Yagisawa, M.; Nishimura, T. Endoscopic examination of obstructive sleep apnea syndrome patients during drug-induced sleep. Acta Otolaryngol. Suppl. 2003, 123, 36–40. [Google Scholar] [CrossRef]
- Woodson, B.T. A method to describe the pharyngeal airway. Laryngoscope 2015, 125, 1233–1238. [Google Scholar] [CrossRef]
- Dijemeni, E.; D’Amone, G.; Gbati, I. Drug-induced sedation endoscopy (DISE) classification systems: A systematic review and meta-analysis. Sleep. Breath. 2017, 21, 983–994. [Google Scholar] [CrossRef]
- Gillespie, M.B.; Reddy, R.P.; White, D.R.; Discolo, C.M.; Overdyk, F.J.; Nguyen, S.A. A trial of drug-induced sleep endoscopy in the surgical management of sleep-disordered breathing. Laryngoscope 2013, 123, 277–282. [Google Scholar] [CrossRef] [PubMed]
- Pringle, M.B.; Croft, C.B. A grading system for patients with obstructive sleep apnoea--based on sleep nasendoscopy. Clin. Otolaryngol. Allied Sci. 1993, 18, 480–484. [Google Scholar] [CrossRef] [PubMed]
- Camilleri, A.E.; Ramamurthy, L.; Jones, P.H. Sleep nasendoscopy: What benefit to the management of snorers? J. Laryngol. Otol. 1995, 109, 1163–1165. [Google Scholar] [CrossRef]
- Quinn, S.J.; Daly, N.; Ellis, P.D. Observation of the mechanism of snoring using sleep nasendoscopy. Clin. Otolaryngol. Allied Sci. 1995, 20, 360–364. [Google Scholar] [CrossRef]
- Lee, C.H.; Kim, D.K.; Kim, S.Y.; Rhee, C.S.; Won, T.B. Changes in site of obstruction in obstructive sleep apnea patients according to sleep position: A DISE study. Laryngoscope 2015, 125, 248–254. [Google Scholar] [CrossRef]
- Bachar, G.; Nageris, B.; Feinmesser, R.; Hadar, T.; Yaniv, E.; Shpitzer, T.; Eidelman, L. Novel grading system for quantifying upper-airway obstruction on sleep endoscopy. Lung 2012, 190, 313–318. [Google Scholar] [CrossRef]
- Vroegop, A.V.; Vanderveken, O.M.; Boudewyns, A.N.; Scholman, J.; Saldien, V.; Wouters, K.; Braem, M.J.; Van de Heyning, P.H.; Hamans, E. Drug-induced sleep endoscopy in sleep-disordered breathing: Report on 1249 cases. Laryngoscope 2014, 124, 797–802. [Google Scholar] [CrossRef]
- Vicini, C.; De Vito, A.; Benazzo, M.; Frassineti, S.; Campanini, A.; Frasconi, P.; Mira, E. The nose oropharynx hypopharynx and larynx (NOHL) classification: A new system of diagnostic standardized examination for OSAHS patients. Eur. Arch. Otorhinolaryngol. 2012, 269, 1297–1300. [Google Scholar] [CrossRef]
- Koo, S.K.; Choi, J.W.; Myung, N.S.; Lee, H.J.; Kim, Y.J.; Kim, Y.J. Analysis of obstruction site in obstructive sleep apnea syndrome patients by drug induced sleep endoscopy. Am. J. Otolaryngol. 2013, 34, 626–630. [Google Scholar] [CrossRef]
- Altintas, A.; Yegin, Y.; Celik, M.; Kaya, K.H.; Koc, A.K.; Kayhan, F.T. Interobserver Consistency of Drug-Induced Sleep Endoscopy in Diagnosing Obstructive Sleep Apnea Using a VOTE Classification System. J. Craniofac Surg. 2018, 29, e140–e143. [Google Scholar] [CrossRef]
- Moore, K.E.; Phillips, C. A practical method for describing patterns of tongue-base narrowing (modification of Fujita) in awake adult patients with obstructive sleep apnea. J. Oral Maxillofac. Surg. 2002, 60, 252–260, discussion 260–261. [Google Scholar] [CrossRef]
- Andersen, A.P.; Alving, J.; Lildholdt, T.; Wulff, C.H. Obstructive sleep apnea initiated by a lax epiglottis. A contraindication for continuous positive airway pressure. Chest 1987, 91, 621–623. [Google Scholar] [CrossRef] [PubMed]
- Verse, T.; Pirsig, W. Age-related changes in the epiglottis causing failure of nasal continuous positive airway pressure therapy. J. Laryngol. Otol. 1999, 113, 1022–1025. [Google Scholar] [CrossRef] [PubMed]
- Yui, M.S.; Tominaga, Q.; Lopes, B.C.P.; Eckeli, A.L.; de Almeida, L.A.; Rabelo, F.A.W.; Kupper, D.S.; Valera, F.C.P. Can drug-induced sleep endoscopy (DISE) predict compliance with positive airway pressure therapy? A pilot study. Sleep. Breath. 2022, 26, 109–116. [Google Scholar] [CrossRef] [PubMed]
- Freiser, M.E.; Schell, A.E.; Soose, R.J. DISE-PAP: A method for troubleshooting residual AHI elevation despite positive pressure therapy. J. Clin. Sleep. Med. 2020, 16, 631–633. [Google Scholar] [CrossRef]
- Kastoer, C.; Benoist, L.B.L.; Dieltjens, M.; Torensma, B.; de Vries, L.H.; Vonk, P.E.; Ravesloot, M.J.L.; de Vries, N. Comparison of upper airway collapse patterns and its clinical significance: Drug-induced sleep endoscopy in patients without obstructive sleep apnea, positional and non-positional obstructive sleep apnea. Sleep. Breath. 2018, 22, 939–948. [Google Scholar] [CrossRef]
- Johal, A.; Hector, M.P.; Battagel, J.M.; Kotecha, B.T. Impact of sleep nasendoscopy on the outcome of mandibular advancement splint therapy in subjects with sleep-related breathing disorders. J. Laryngol. Otol. 2007, 121, 668–675. [Google Scholar] [CrossRef]
- Huntley, C.; Cooper, J.; Stiles, M.; Grewal, R.; Boon, M. Predicting Success of Oral Appliance Therapy in Treating Obstructive Sleep Apnea Using Drug-Induced Sleep Endoscopy. J. Clin. Sleep. Med. 2018, 14, 1333–1337. [Google Scholar] [CrossRef]
- Van den Bossche, K.; Van de Perck, E.; Vroegop, A.V.; Verbraecken, J.A.; Braem, M.J.; Dieltjens, M.; Op de Beeck, S.; Vanderveken, O.M. Quantitative Measurement of Pharyngeal Dimensions During Drug-induced Sleep Endoscopy for Oral Appliance Outcome. Laryngoscope 2023, 133, 3619–3627. [Google Scholar] [CrossRef]
- Vonk, P.E.; Beelen, A.; de Vries, N. Towards a prediction model for drug-induced sleep endoscopy as selection tool for oral appliance treatment and positional therapy in obstructive sleep apnea. Sleep. Breath. 2018, 22, 901–907. [Google Scholar] [CrossRef]
- Certal, V.F.; Pratas, R.; Guimaraes, L.; Lugo, R.; Tsou, Y.; Camacho, M.; Capasso, R. Awake examination versus DISE for surgical decision making in patients with OSA: A systematic review. Laryngoscope 2016, 126, 768–774. [Google Scholar] [CrossRef]
- Eichler, C.; Sommer, J.U.; Stuck, B.A.; Hormann, K.; Maurer, J.T. Does drug-induced sleep endoscopy change the treatment concept of patients with snoring and obstructive sleep apnea? Sleep. Breath. 2013, 17, 63–68. [Google Scholar] [CrossRef] [PubMed]
- Soares, D.; Sinawe, H.; Folbe, A.J.; Yoo, G.; Badr, S.; Rowley, J.A.; Lin, H.S. Lateral oropharyngeal wall and supraglottic airway collapse associated with failure in sleep apnea surgery. Laryngoscope 2012, 122, 473–479. [Google Scholar] [CrossRef] [PubMed]
- Aktas, O.; Erdur, O.; Cirik, A.A.; Kayhan, F.T. The role of drug-induced sleep endoscopy in surgical planning for obstructive sleep apnea syndrome. Eur. Arch. Otorhinolaryngol. 2015, 272, 2039–2043. [Google Scholar] [CrossRef] [PubMed]
- Green, K.K.; Kent, D.T.; D’Agostino, M.A.; Hoff, P.T.; Lin, H.S.; Soose, R.J.; Boyd Gillespie, M.; Yaremchuk, K.L.; Carrasco-Llatas, M.; Tucker Woodson, B.; et al. Drug-Induced Sleep Endoscopy and Surgical Outcomes: A Multicenter Cohort Study. Laryngoscope 2019, 129, 761–770. [Google Scholar] [CrossRef]
- Commesso, E.A.; Kedarisetty, S.; Kita, A.E.; Sharma, A.; Woodson, B.T.; Green, K.K.; Kent, D.T.; D’Agostino, M.A.; Kezirian, E.J. Palate Shape, Drug-Induced Sleep Endoscopy Findings, and Obstructive Sleep Apnea Pharyngeal Surgery Outcomes. Otolaryngol. Head. Neck Surg. 2024, 171, 902–909. [Google Scholar] [CrossRef]
- Pang, K.P.; Baptista, P.M.; Olszewska, E.; Braverman, I.; Carrasco-Llatas, M.; Kishore, S.; Chandra, S.; Yang, H.C.; Wang, C.M.Z.; Chan, Y.H.; et al. Does drug-induced sleep endoscopy affect surgical outcome? A multicenter study of 326 obstructive sleep apnea patients. Laryngoscope 2020, 130, 551–555. [Google Scholar] [CrossRef]
- Ha, J.G.; Lee, Y.; Nam, J.S.; Park, J.J.; Yoon, J.H.; Kim, C.H.; Cho, H.J. Can drug-induced sleep endoscopy improve the success rates of tongue base surgery? J. Otolaryngol. Head. Neck Surg. 2020, 49, 8. [Google Scholar] [CrossRef]
- Meraj, T.S.; Muenz, D.G.; Glazer, T.A.; Harvey, R.S.; Spector, M.E.; Hoff, P.T. Does drug-induced sleep endoscopy predict surgical success in transoral robotic multilevel surgery in obstructive sleep apnea? Laryngoscope 2017, 127, 971–976. [Google Scholar] [CrossRef]
- Strollo, P.J., Jr.; Soose, R.J.; Maurer, J.T.; de Vries, N.; Cornelius, J.; Froymovich, O.; Hanson, R.D.; Padhya, T.A.; Steward, D.L.; Gillespie, M.B.; et al. Upper-airway stimulation for obstructive sleep apnea. N. Engl. J. Med. 2014, 370, 139–149. [Google Scholar] [CrossRef]
- Vanderveken, O.M.; Maurer, J.T.; Hohenhorst, W.; Hamans, E.; Lin, H.S.; Vroegop, A.V.; Anders, C.; de Vries, N.; Van de Heyning, P.H. Evaluation of drug-induced sleep endoscopy as a patient selection tool for implanted upper airway stimulation for obstructive sleep apnea. J. Clin. Sleep. Med. 2013, 9, 433–438. [Google Scholar] [CrossRef] [PubMed]
- Huyett, P.; Kent, D.T.; D’Agostino, M.A.; Green, K.K.; Soose, R.J.; Kaffenberger, T.M.; Woodson, B.T.; Huntley, C.; Boon, M.S.; Heiser, C.; et al. Drug-Induced Sleep Endoscopy and Hypoglossal Nerve Stimulation Outcomes: A Multicenter Cohort Study. Laryngoscope 2021, 131, 1676–1682. [Google Scholar] [CrossRef] [PubMed]
- Kastoer, C.; Op de Beeck, S.; Dom, M.; Neirinckx, T.; Verbraecken, J.; Braem, M.J.; Van de Heyning, P.H.; Nadjmi, N.; Vanderveken, O.M. Drug-Induced Sleep Endoscopy Upper Airway Collapse Patterns and Maxillomandibular Advancement. Laryngoscope 2020, 130, E268–E274. [Google Scholar] [CrossRef] [PubMed]
- Liu, S.Y.; Huon, L.K.; Powell, N.B.; Riley, R.; Cho, H.G.; Torre, C.; Capasso, R. Lateral Pharyngeal Wall Tension After Maxillomandibular Advancement for Obstructive Sleep Apnea Is a Marker for Surgical Success: Observations from Drug-Induced Sleep Endoscopy. J. Oral Maxillofac. Surg. 2015, 73, 1575–1582. [Google Scholar] [CrossRef]
- Liu, S.Y.; Huon, L.K.; Iwasaki, T.; Yoon, A.; Riley, R.; Powell, N.; Torre, C.; Capasso, R. Efficacy of Maxillomandibular Advancement Examined with Drug-Induced Sleep Endoscopy and Computational Fluid Dynamics Airflow Modeling. Otolaryngol. Head. Neck Surg. 2016, 154, 189–195. [Google Scholar] [CrossRef]
- Tsui, W.K.; Yang, Y.; McGrath, C.; Leung, Y.Y. Mandibular distraction osteogenesis versus sagittal split ramus osteotomy in managing obstructive sleep apnea: A randomized clinical trial. J. Craniomaxillofac Surg. 2019, 47, 750–757. [Google Scholar] [CrossRef]
- Leung, Y.Y.; Wan, J.C.C.; Fu, H.L.; Chen, W.C.; Chung, J.H.Z. Segmental mandibular advancement for moderate-to-severe obstructive sleep apnoea: A pilot study. Int. J. Oral Maxillofac. Surg. 2023, 52, 956–963. [Google Scholar] [CrossRef]






| Sedative Drugs | Advantages | Disadvantages |
|---|---|---|
| Propofol |
|
|
| Midazolam |
|
|
| Dexmedetomidine |
|
|
Disclaimer/Publisher’s Note: The statements, opinions and data contained in all publications are solely those of the individual author(s) and contributor(s) and not of MDPI and/or the editor(s). MDPI and/or the editor(s) disclaim responsibility for any injury to people or property resulting from any ideas, methods, instructions or products referred to in the content. |
© 2025 by the authors. Licensee MDPI, Basel, Switzerland. This article is an open access article distributed under the terms and conditions of the Creative Commons Attribution (CC BY) license (https://creativecommons.org/licenses/by/4.0/).
Share and Cite
Wan, C.C.J.; Leung, Y.Y. Current Concepts of the Applications and Treatment Implications of Drug-Induced Sleep Endoscopy for the Management of Obstructive Sleep Apnoea. Diagnostics 2025, 15, 2614. https://doi.org/10.3390/diagnostics15202614
Wan CCJ, Leung YY. Current Concepts of the Applications and Treatment Implications of Drug-Induced Sleep Endoscopy for the Management of Obstructive Sleep Apnoea. Diagnostics. 2025; 15(20):2614. https://doi.org/10.3390/diagnostics15202614
Chicago/Turabian StyleWan, Chi Ching Joan, and Yiu Yan Leung. 2025. "Current Concepts of the Applications and Treatment Implications of Drug-Induced Sleep Endoscopy for the Management of Obstructive Sleep Apnoea" Diagnostics 15, no. 20: 2614. https://doi.org/10.3390/diagnostics15202614
APA StyleWan, C. C. J., & Leung, Y. Y. (2025). Current Concepts of the Applications and Treatment Implications of Drug-Induced Sleep Endoscopy for the Management of Obstructive Sleep Apnoea. Diagnostics, 15(20), 2614. https://doi.org/10.3390/diagnostics15202614

