Artificial Intelligence and Radiomics in Cholangiocarcinoma: A Comprehensive Review
Abstract
1. Introduction
2. Imaging Modalities
2.1. Ultrasonography (US)
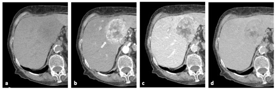
2.2. Computed Tomography (CT)
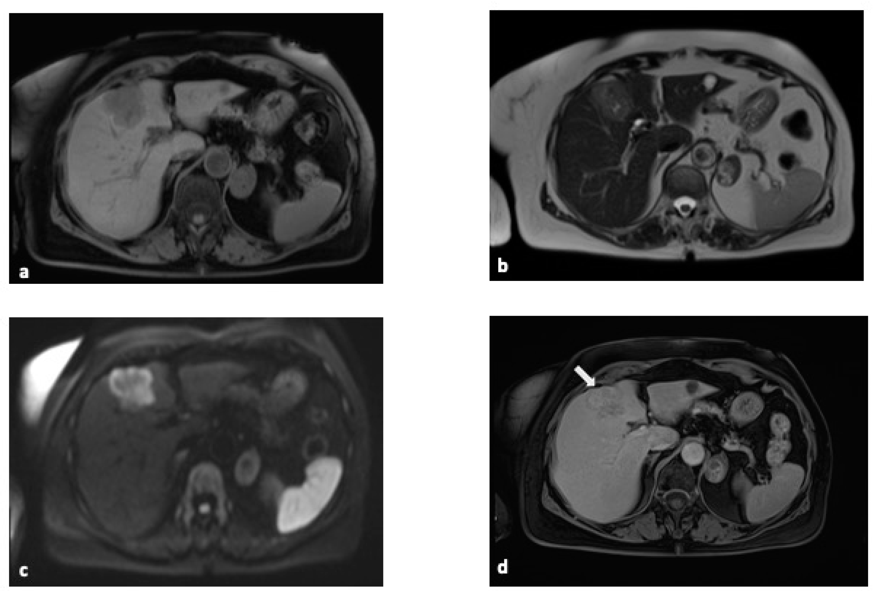
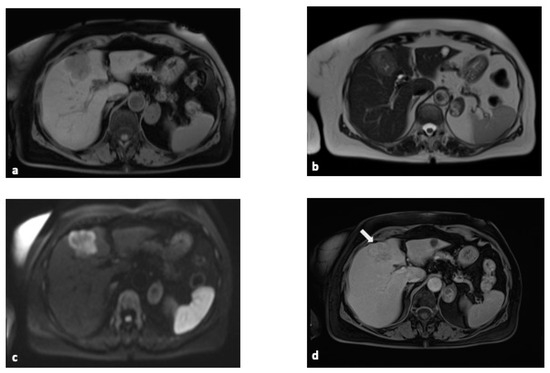
2.3. Magnetic Resonance Imaging (MRI)
3. Radiomics and Artificial Intelligence in Medical Imaging
4. Radiomics and Artificial Intelligence Applications in Cholangiocarcinoma
4.1. Differential Diagnosis
4.2. Pre-Treatment Assessment
4.2.1. Identification and Segmentation of Primary Lesion
4.2.2. Lymphatic Node Metastasis (LNM)
4.2.3. Vascular Invasion
4.2.4. Neural Invasion
4.3. Prognostic Prediction
4.4. The Prediction of Early Recurrence
4.5. Palliative Measures
5. Future Directions
6. Conclusions
Author Contributions
Funding
Institutional Review Board Statement
Informed Consent Statement
Data Availability Statement
Conflicts of Interest
References
- Vithayathil, M.; Khan, S.A. Current epidemiology of cholangiocarcinoma in Western countries. J. Hepatol. 2022, 77, 1690–1698. [Google Scholar] [CrossRef] [PubMed]
- Khan, S.A.; Tavolari, S.; Brandi, G. Cholangiocarcinoma: Epidemiology and risk factors. Liver Int. 2019, 39 (Suppl. S1), 19–31. [Google Scholar] [CrossRef]
- Blechacz, B. Cholangiocarcinoma: Current Knowledge and New Developments. Gut Liver 2017, 11, 13–26. [Google Scholar] [CrossRef] [PubMed]
- Labib, P.L.; Goodchild, G.; Pereira, S.P. Molecular Pathogenesis of Cholangiocarcinoma. BMC Cancer 2019, 19, 185. [Google Scholar] [CrossRef] [PubMed]
- Louis, C.; Papoutsoglou, P.; Coulouarn, C. Molecular classification of cholangiocarcinoma. Curr. Opin Gastroenterol. 2020, 36, 57–62. [Google Scholar] [CrossRef] [PubMed]
- Kendall, T.; Verheij, J.; Gaudio, E.; Evert, M.; Guido, M.; Goeppert, B.; Carpino, G. Anatomical, histomorphological and molecular classification of cholangiocarcinoma. Liver Int. 2019, 39 (Suppl. S1), 7–18. [Google Scholar] [CrossRef]
- Schizas, D.; Mastoraki, A.; Routsi, E.; Papapanou, M.; Tsapralis, D.; Vassiliu, P.; Toutouzas, K.; Felekouras, E. Combined hepatocellular-cholangiocarcinoma: An update on epidemiology, classification, diagnosis and management. Hepatobiliary Pancreat. Dis. Int. 2020, 19, 515–523. [Google Scholar] [CrossRef]
- Squadroni, M.; Tondulli, L.; Gatta, G.; Mosconi, S.; Beretta, G.; Labianca, R. Cholangiocarcinoma. Crit. Rev. Oncol. Hematol. 2017, 116, 11–31. [Google Scholar] [CrossRef] [PubMed]
- Moazzami, B.; Majidzadeh, A.K.; Dooghaie-Moghadam, A.; Eslami, P.; Razavi-Khorasani, N.; Iravani, S.; Khoshdel, A.; Shahi, F.; Dashti, H.; Mehrvar, A.; et al. Cholangiocarcinoma: State of the Art. J. Gastrointest. Cancer 2020, 51, 774–781. [Google Scholar] [CrossRef] [PubMed]
- Banales, J.M.; Marin, J.J.G.; Lamarca, A.; Rodrigues, P.M.; Khan, S.A.; Roberts, L.R.; Cardinale, V.; Carpino, G.; Andersen, J.B.; Braconi, C.; et al. Cholangiocarcinoma 2020: The next horizon in mechanisms and management. Nat. Rev. Gastroenterol. Hepatol. 2020, 17, 557–588. [Google Scholar] [CrossRef] [PubMed]
- Rizvi, S.; Khan, S.A.; Hallemeier, C.L.; Kelley, R.K.; Gores, G.J. Cholangiocarcinoma—Evolving concepts and therapeutic strategies. Nat. Rev. Clin. Oncol. 2018, 15, 95–111. [Google Scholar] [CrossRef]
- Yang, C.M.; Shu, J. Cholangiocarcinoma Evaluation via Imaging and Artificial Intelligence. Oncology 2021, 99, 72–83. [Google Scholar] [CrossRef]
- Hosny, A.; Parmar, C.; Quackenbush, J.; Schwartz, L.H.; Aerts, H.J.W.L. Artificial intelligence in radiology. Nat. Rev. Cancer 2018, 18, 500–510. [Google Scholar] [CrossRef] [PubMed]
- Haghbin, H.; Aziz, M. Artificial intelligence and cholangiocarcinoma: Updates and prospects. World J. Clin. Oncol. 2022, 13, 125–134. [Google Scholar] [CrossRef]
- Lambin, P.; Leijenaar, R.T.H.; Deist, T.M.; Peerlings, J.; de Jong, E.E.C.; van Timmeren, J.; Sanduleanu, S.; Larue, R.T.H.M.; Even, A.J.G.; Jochems, A.; et al. Radiomics: The bridge between medical imaging and personalized medicine. Nat. Rev. Clin. Oncol. 2017, 14, 749–762. [Google Scholar] [CrossRef]
- Joo, I.; Lee, J.M.; Yoon, J.H. Imaging Diagnosis of Intrahepatic and Perihilar Cholangiocarcinoma: Recent Advances and Challenges. Radiology 2018, 288, 7–13. [Google Scholar] [CrossRef]
- Cillo, U.; Fondevila, C.; Donadon, M.; Gringeri, E.; Mocchegiani, F.; Schlitt, H.J.; Ijzermans, J.N.M.; Vivarelli, M.; Zieniewicz, K.; Olde Damink, S.W.M.; et al. Surgery for cholangiocarcinoma. Liver Int. 2019, 39 (Suppl. S1), 143–155. [Google Scholar] [CrossRef]
- Fábrega-Foster, K.; Ghasabeh, M.A.; Pawlik, T.M.; Kamel, I.R. Multimodality imaging of intrahepatic cholangiocarcinoma. Hepatobiliary Surg. Nutr. 2017, 6, 67–78. [Google Scholar] [CrossRef] [PubMed]
- Han, J.K.; Choi, B.I.; Kim, A.Y.; An, S.K.; Lee, J.W.; Kim, T.K.; Kim, S.W. Cholangiocarcinoma: Pictorial essay of CT and cholangiographic findings. Radiographics 2002, 22, 173–187. [Google Scholar] [CrossRef]
- Chung, Y.E.; Kim, M.J.; Park, Y.N.; Lee, Y.H.; Choi, J.Y. Staging of extrahepatic cholangiocarcinoma. Eur. Radiol. 2008, 18, 2182–2195. [Google Scholar] [CrossRef]
- Olthof, S.C.; Othman, A.; Clasen, S.; Schraml, C.; Nikolaou, K.; Bongers, M. Imaging of Cholangiocarcinoma. Visc. Med. 2016, 32, 402–410. [Google Scholar] [CrossRef]
- Oliveira, I.S.; Kilcoyne, A.; Everett, J.M.; Mino-Kenudson, M.; Harisinghani, M.G.; Ganesan, K. Cholangiocarcinoma: Classification, diagnosis, staging, imaging features, and management. Abdom. Radiol. 2017, 42, 1637–1649. [Google Scholar] [CrossRef] [PubMed]
- Weber, A.; Schmid, R.M.; Prinz, C. Diagnostic approaches for cholangiocarcinoma. World J. Gastroenterol. 2008, 14, 4131–4136. [Google Scholar] [CrossRef] [PubMed]
- Dondossola, D.; Ghidini, M.; Grossi, F.; Rossi, G.; Foschi, D. Practical review for diagnosis and clinical management of perihilar cholangiocarcinoma. World J. Gastroenterol. 2020, 26, 3542–3561. [Google Scholar] [CrossRef] [PubMed]
- Chung, Y.E.; Kim, M.J.; Park, Y.N.; Choi, J.Y.; Pyo, J.Y.; Kim, Y.C.; Cho, H.J.; Kim, K.A.; Choi, S.Y. Varying appearances of cholangiocarcinoma: Radiologic-pathologic correlation. Radiographics 2009, 29, 683–700. [Google Scholar] [CrossRef] [PubMed]
- Mar, W.A.; Shon, A.M.; Lu, Y.; Yu, J.H.; Berggruen, S.M.; Guzman, G.; Ray, C.E.; Miller, F. Imaging spectrum of cholangiocarcinoma: Role in diagnosis, staging, and posttreatment evaluation. Abdom. Radiol. 2016, 41, 553–567. [Google Scholar] [CrossRef]
- Saleh, M.; Virarkar, M.; Bura, V.; Valenzuela, R.; Javadi, S.; Szklaruk, J.; Bhosale, P. Intrahepatic cholangiocarcinoma: Pathogenesis, current staging, and radiological findings. Abdom. Radiol. 2020, 45, 3662–3680. [Google Scholar] [CrossRef]
- Guo, L.H.; Xu, H.X. Contrast-Enhanced Ultrasound in the Diagnosis of Hepatocellular Carcinoma and Intrahepatic Cholangiocarcinoma: Controversy over the ASSLD Guideline. Biomed. Res. Int. 2015, 2015, 349172. [Google Scholar] [CrossRef]
- Esnaola, N.F.; Meyer, J.E.; Karachristos, A.; Maranki, J.L.; Camp, E.R.; Denlinger, C.S. Evaluation and management of intrahepatic and extrahepatic cholangiocarcinoma. Cancer 2016, 122, 1349–1369. [Google Scholar] [CrossRef]
- Wang, S.; Liu, X.; Zhao, J.; Liu, Y.; Liu, S. Computer auxiliary diagnosis technique of detecting cholangiocarcinoma based on medical imaging: A review. Comput. Methods Programs Biomed. 2021, 208, 106265. [Google Scholar] [CrossRef] [PubMed]
- Hennedige, T.P.; Neo, W.T.; Venkatesh, S.K. Imaging of malignancies of the biliary tract- an update. Cancer Imaging 2014, 14, 14. [Google Scholar] [CrossRef]
- Sainani, N.I.; Catalano, O.A.; Holalkere, N.S.; Zhu, A.X.; Hahn, P.F.; Sahani, D.V. Cholangiocarcinoma: Current and novel imaging techniques. Radiographics 2008, 28, 1263–1287. [Google Scholar] [CrossRef] [PubMed]
- Lim, J.H.; Lee, W.J.; Takehara, Y.; Lim, H.K. Imaging of extrahepatic cholangiocarcinoma. Abdom. Imaging 2004, 29, 565–571. [Google Scholar] [CrossRef] [PubMed]
- Eaton, J.E.; Welle, C.L.; Bakhshi, Z.; Sheedy, S.P.; Idilman, I.S.; Gores, G.J.; Rosen, C.B.; Heimbach, J.K.; Taner, T.; Harnois, D.M.; et al. Early Cholangiocarcinoma Detection With Magnetic Resonance Imaging Versus Ultrasound in Primary Sclerosing Cholangitis. Hepatology 2021, 73, 1868–1881. [Google Scholar] [CrossRef] [PubMed]
- Jhaveri, K.S.; Hosseini-Nik, H. MRI of cholangiocarcinoma. J. Magn. Reson. Imaging 2015, 42, 1165–1179. [Google Scholar] [CrossRef] [PubMed]
- Kang, Y.; Lee, J.M.; Kim, S.H.; Han, J.K.; Choi, B.I. Intrahepatic mass-forming cholangiocarcinoma: Enhancement patterns on gadoxetic acid-enhanced MR images. Radiology 2012, 264, 751–760. [Google Scholar] [CrossRef] [PubMed]
- Engelbrecht, M.R.; Katz, S.S.; van Gulik, T.M.; Laméris, J.S.; van Delden, O.M. Imaging of perihilar cholangiocarcinoma. AJR Am. J. Roentgenol. 2015, 204, 782–791. [Google Scholar] [CrossRef]
- Avanzo, M.; Wei, L.; Stancanello, J.; Vallières, M.; Rao, A.; Morin, O.; Mattonen, S.A.; El Naqa, I. Machine and deep learning methods for radiomics. Med. Phys. 2020, 47, e185–e202. [Google Scholar] [CrossRef]
- Kang, C.Y.; Duarte, S.E.; Kim, H.S.; Kim, E.; Park, J.; Lee, A.D.; Kim, Y.; Kim, L.; Cho, S.; Oh, Y.; et al. Artificial Intelligence-based Radiomics in the Era of Immuno-oncology. Oncologist 2022, 27, e471–e483. [Google Scholar] [CrossRef]
- Caruso, D.; Polici, M.; Zerunian, M.; Pucciarelli, F.; Guido, G.; Polidori, T.; Landolfi, F.; Nicolai, M.; Lucertini, E.; Tarallo, M.; et al. Radiomics in Oncology, Part 1: Technical Principles and Gastrointestinal Application in CT and MRI. Cancers 2021, 13, 2522. [Google Scholar] [CrossRef] [PubMed]
- van Timmeren, J.E.; Cester, D.; Tanadini-Lang, S.; Alkadhi, H.; Baessler, B. Radiomics in medical imaging-”how-to” guide and critical reflection. Insights Imaging 2020, 11, 91. [Google Scholar] [CrossRef] [PubMed]
- Rizzo, S.; Botta, F.; Raimondi, S.; Origgi, D.; Fanciullo, C.; Morganti, A.G.; Bellomi, M. Radiomics: The facts and the challenges of image analysis. Eur. Radiol. Exp. 2018, 2, 36. [Google Scholar] [CrossRef]
- Liu, Z.; Wang, S.; Dong, D.; Wei, J.; Fang, C.; Zhou, X.; Sun, K.; Li, L.; Li, B.; Wang, M.; et al. The Applications of Radiomics in Precision Diagnosis and Treatment of Oncology: Opportunities and Challenges. Theranostics 2019, 9, 1303–1322. [Google Scholar] [CrossRef]
- Wu, W.; Parmar, C.; Grossmann, P.; Quackenbush, J.; Lambin, P.; Bussink, J.; Mak, R.; Aerts, H.J. Exploratory Study to Identify Radiomics Classifiers for Lung Cancer Histology. Front. Oncol. 2016, 6, 71. [Google Scholar] [CrossRef]
- Yao, X.; Sun, C.; Xiong, F.; Zhang, X.; Cheng, J.; Wang, C.; Ye, Y.; Hong, N.; Wang, L.; Liu, Z.; et al. Radiomic signature-based nomogram to predict disease-free survival in stage II and III colon cancer. Eur. J. Radiol. 2020, 131, 109205. [Google Scholar] [CrossRef]
- Walia, A.; Tuia, J.; Prasad, V. Progression-free survival, disease-free survival and other composite end points in oncology: Improved reporting is needed. Nat. Rev. Clin. Oncol. 2023, 20, 885–895. [Google Scholar] [CrossRef] [PubMed]
- Wu, M.; Tan, H.; Gao, F.; Hai, J.; Ning, P.; Chen, J.; Zhu, S.; Wang, M.; Dou, S.; Shi, D. Predicting the grade of hepatocellular carcinoma based on non-contrast-enhanced MRI radiomics signature. Eur. Radiol. 2019, 29, 2802–2811. [Google Scholar] [CrossRef]
- Currie, G.; Hawk, K.E.; Rohren, E.; Vial, A.; Klein, R. Machine Learning and Deep Learning in Medical Imaging: Intelligent Imaging. J. Med. Imaging Radiat. Sci. 2019, 50, 477–487. [Google Scholar] [CrossRef] [PubMed]
- Hamet, P.; Tremblay, J. Artificial intelligence in medicine. Metabolism 2017, 69S, S36–S40. [Google Scholar] [CrossRef]
- Syed, A.B.; Zoga, A.C. Artificial Intelligence in Radiology: Current Technology and Future Directions. Semin. Musculoskelet. Radiol. 2018, 22, 540–545. [Google Scholar] [CrossRef]
- McBee, M.P.; Awan, O.A.; Colucci, A.T.; Ghobadi, C.W.; Kadom, N.; Kansagra, A.P.; Tridandapani, S.; Auffermann, W.F. Deep Learning in Radiology. Acad. Radiol. 2018, 25, 1472–1480. [Google Scholar] [CrossRef]
- Chan, H.P.; Samala, R.K.; Hadjiiski, L.M.; Zhou, C. Deep Learning in Medical Image Analysis. Adv. Exp. Med. Biol. 2020, 1213, 3–21. [Google Scholar] [CrossRef] [PubMed]
- Song, Y.; Zhou, G.; Zhou, Y.; Xu, Y.; Zhang, J.; Zhang, K.; He, P.; Chen, M.; Liu, Y.; Sun, J.; et al. Artificial intelligence CT radiomics to predict early recurrence of intrahepatic cholangiocarcinoma: A multicenter study. Hepatol. Int. 2023, 17, 1019–1027. [Google Scholar] [CrossRef] [PubMed]
- Hu, R.; Li, H.; Horng, H.; Thomasian, N.M.; Jiao, Z.; Zhu, C.; Zou, B.; Bai, H.X. Automated machine learning for differentiation of hepatocellular carcinoma from intrahepatic cholangiocarcinoma on multiphasic MRI. Sci. Rep. 2022, 12, 7924. [Google Scholar] [CrossRef] [PubMed]
- Xu, X.; Mao, Y.; Tang, Y.; Liu, Y.; Xue, C.; Yue, Q.; Liu, Q.; Wang, J.; Yin, Y. Classification of Hepatocellular Carcinoma and Intrahepatic Cholangiocarcinoma Based on Radiomic Analysis. Comput. Math. Methods Med. 2022, 2022, 5334095. [Google Scholar] [CrossRef]
- Gao, W.; Wang, W.; Song, D.; Wang, K.; Lian, D.; Yang, C.; Zhu, K.; Zheng, J.; Zeng, M.; Rao, S.X.; et al. A Multiparametric Fusion Deep Learning Model Based on DCE-MRI for Preoperative Prediction of Microvascular Invasion in Intrahepatic Cholangiocarcinoma. J. Magn. Reson. Imaging 2022, 56, 1029–1039. [Google Scholar] [CrossRef] [PubMed]
- Xu, H.; Zou, X.; Zhao, Y.; Zhang, T.; Tang, Y.; Zheng, A.; Zhou, X.; Ma, X. Differentiation of Intrahepatic Cholangiocarcinoma and Hepatic Lymphoma Based on Radiomics and Machine Learning in Contrast-Enhanced Computer Tomography. Technol. Cancer Res. Treat. 2021, 20, 15330338211039125. [Google Scholar] [CrossRef]
- Tang, Y.; Yang, C.M.; Su, S.; Wang, W.J.; Fan, L.P.; Shu, J. Machine learning-based Radiomics analysis for differentiation degree and lymphatic node metastasis of extrahepatic cholangiocarcinoma. BMC Cancer 2021, 21, 1268. [Google Scholar] [CrossRef] [PubMed]
- Tang, Y.; Zhang, T.; Zhou, X.; Zhao, Y.; Xu, H.; Liu, Y.; Wang, H.; Chen, Z.; Ma, X. The preoperative prognostic value of the radiomics nomogram based on CT combined with machine learning in patients with intrahepatic cholangiocarcinoma. World J. Surg. Oncol. 2021, 19, 45. [Google Scholar] [CrossRef]
- Qin, H.; Hu, X.; Zhang, J.; Dai, H.; He, Y.; Zhao, Z.; Yang, J.; Xu, Z.; Chen, Z. Machine-learning radiomics to predict early recurrence in perihilar cholangiocarcinoma after curative resection. Liver Int. 2021, 41, 837–850. [Google Scholar] [CrossRef]
- Xu, L.; Yang, P.; Liang, W.; Liu, W.; Wang, W.; Luo, C.; Wang, J.; Peng, Z.; Xing, L.; Huang, M.; et al. A radiomics approach based on support vector machine using MR images for preoperative lymph node status evaluation in intrahepatic cholangiocarcinoma. Theranostics 2019, 9, 5374–5385. [Google Scholar] [CrossRef]
- Chen, X.; Chen, Y.; Chen, H.; Zhu, J.; Huang, R.; Xie, J.; Zhang, T.; Xie, A.; Li, Y. Machine learning based on gadoxetic acid-enhanced MRI for differentiating atypical intrahepatic mass-forming cholangiocarcinoma from poorly differentiated hepatocellular carcinoma. Abdom. Radiol. 2023, 48, 2525–2536. [Google Scholar] [CrossRef] [PubMed]
- Wei, Y.; Yang, M.; Zhang, M.; Gao, F.; Zhang, N.; Hu, F.; Zhang, X.; Zhang, S.; Huang, Z.; Xu, L.; et al. Focal liver lesion diagnosis with deep learning and multistage CT imaging. Nat. Commun. 2024, 15, 7040. [Google Scholar] [CrossRef] [PubMed]
- Midya, A.; Chakraborty, J.; Srouji, R.; Narayan, R.R.; Boerner, T.; Zheng, J.; Pak, L.M.; Creasy, J.M.; Escobar, L.A.; Harrington, K.A.; et al. Computerized Diagnosis of Liver Tumors From CT Scans Using a Deep Neural Network Approach. IEEE J. Biomed. Health Inform. 2023, 27, 2456–2464. [Google Scholar] [CrossRef]
- Bi, W.L.; Hosny, A.; Schabath, M.B.; Giger, M.L.; Birkbak, N.J.; Mehrtash, A.; Allison, T.; Arnaout, O.; Abbosh, C.; Dunn, I.F.; et al. Artificial intelligence in cancer imaging: Clinical challenges and applications. CA Cancer J. Clin. 2019, 69, 127–157. [Google Scholar] [CrossRef]
- Reginelli, A.; Nardone, V.; Giacobbe, G.; Belfiore, M.P.; Grassi, R.; Schettino, F.; Del Canto, M.; Cappabianca, S. Radiomics as a New Frontier of Imaging for Cancer Prognosis: A Narrative Review. Diagnostics 2021, 11, 1796. [Google Scholar] [CrossRef]
- Yang, C.; Zhou, Q.; Li, M.; Xu, L.; Zeng, Y.; Liu, J.; Wei, Y.; Shi, F.; Chen, J.; Li, P.; et al. MRI-based automatic identification and segmentation of extrahepatic cholangiocarcinoma using deep learning network. BMC Cancer 2023, 23, 1089. [Google Scholar] [CrossRef] [PubMed]
- Liu, Z.; Luo, C.; Chen, X.; Feng, Y.; Feng, J.; Zhang, R.; Ouyang, F.; Li, X.; Tan, Z.; Deng, L.; et al. Noninvasive prediction of perineural invasion in intrahepatic cholangiocarcinoma by clinicoradiological features and computed tomography radiomics based on interpretable machine learning: A multicenter cohort study. Int. J. Surg. 2024, 110, 1039–1051. [Google Scholar] [CrossRef]
- Bo, Z.; Chen, B.; Yang, Y.; Yao, F.; Mao, Y.; Yao, J.; Yang, J.; He, Q.; Zhao, Z.; Shi, X.; et al. Machine learning radiomics to predict the early recurrence of intrahepatic cholangiocarcinoma after curative resection: A multicentre cohort study. Eur. J. Nucl. Med. Mol. Imaging 2023, 50, 2501–2513. [Google Scholar] [CrossRef] [PubMed]
- Chen, B.; Mao, Y.; Li, J.; Zhao, Z.; Chen, Q.; Yu, Y.; Yang, Y.; Dong, Y.; Lin, G.; Yao, J.; et al. Predicting very early recurrence in intrahepatic cholangiocarcinoma after curative hepatectomy using machine learning radiomics based on CECT: A multi-institutional study. Comput. Biol. Med. 2023, 167, 107612. [Google Scholar] [CrossRef]
- Shao, F.; Huang, Q.; Wang, C.; Qiu, L.; Hu, Y.G.; Zha, S.Y. Artificial Neural Networking Model for the Prediction of Early Occlusion of Bilateral Plastic Stent Placement for Inoperable Hilar Cholangiocarcinoma. Surg. Laparosc. Endosc. Percutan. Tech. 2018, 28, e54–e58. [Google Scholar] [CrossRef] [PubMed]
- Ng, S.S.T.; Oehring, R.; Ramasetti, N.; Roller, R.; Thomas, P.; Chen, Y.; Moosburner, S.; Winter, A.; Maurer, M.M.; Auer, T.A.; et al. Concordance of a decision algorithm and multidisciplinary team meetings for patients with liver cancer-a study protocol for a randomized controlled trial. Trials 2023, 24, 577. [Google Scholar] [CrossRef] [PubMed]




| Type | Description |
|---|---|
| Type I | Below the confluence of the hepatics duct |
| Type II | Involves the confluence but not the hepatic ducts |
| Type IIIa | Affects the common hepatic duct and the right hepatic duct |
| Type IIIb | Affects the common hepatic duct and the left hepatic duct |
| Type IV | A multicentric tumor, or extended to the confluence of the right and left hepatic ducts |
| Imaging Modality | Strengths | Limitation | Sensitivity | Specificity | PPV | NPV |
|---|---|---|---|---|---|---|
| Ultrasound (US) | Widely available, non-invasive, and cost-effective. | Operator-dependent, limited in obese patients, and less effective for deep lesions. | 60–80% | 50–75% | 60–70% | 55–75% |
| Computed Tomography (CT) | High spatial resolution, good for staging and assessing vascular invasion. | Radiation exposure and limited soft tissue contrast. | 80–90% | 70–85% | 75–85% | 80–90% |
| Magnetic Resonance (MR) | Excellent soft tissue contrast, superior for biliary tract evaluation. | High cost, longer exam time, and limited availability. | 85–95% | 80–90% | 85–90% | 85–95% |
| Description | Challenges/Limitations | |
|---|---|---|
| AI in Medical Imaging | AI uses neural networks to solve complex problems in imaging. | Limited clinical adoption due to regulatory and legal issues. |
| Machine Learning | Supervised and unsupervised learning classify and predict data. | Data quality and diversity impact model performance. |
| Deep Learning (DL) | CNNs process and interpret imaging data. | High computational demands and data requirements. |
| CAD Systems | Assist radiologists, especially in cancer detection. | May increase workload due to false positives. |
| Image Enhancement | Reduces image artifacts, improves quality at lower radiation doses. | Integration with existing systems is still evolving. |
| Predictive Analytics | AI-based markers predict malignancy, prognosis, and treatment response. | Requires extensive validation and clinical trials. |
| Study | N Patients | Endpoint | Type of Evaluation | Model Performance | Imaging Modality | Data Augmentation | Processing Steps | Features Extracted | Nature of Study |
|---|---|---|---|---|---|---|---|---|---|
| Yangda Song et al. (2023) [53] | Total 311 | Prediction of early recurrence of I-CCA | AI and radiomics | End 1: AUC 0.974 | CT | No | LightGBM model | 15 | Multicentric Retrospective |
| Rong Hu et al. (2022) [54] | Total 489 | Differentiation of HCC from I-CCA | Automated machine learning | End 1: AUC 0.89 | MRI | No | AutoML | 94 | Monocentric Retrospective |
| Xiaoliang Xu et al (2022) [55] | Total 211 | Classification of HCC and I-CCA | Radiomic Analysis | End 1: AUC 0.855 | CT | No | SVM | 841 | Monocentric Retrospective |
| Wenyu Gao et al. (2022) [56] | Total 519 | Prediction of Microvascular Invasion in I-CCA | Fusion Deep Learning | End 1: AUC 0.888 | DCE-MRI | No | CNN | Monocentric Retrospective | |
| Hanyue Xu et al. (2021) [57] | Total 129 | Distinguish I-CCA and HL | Radiomics and Machine Learning | End 1: AUC 0.997 | CECT | No | ML model | 38 | Monocentric Retrospective |
| Yong Tang et al. (2021) [58] | Total 100 | Preoperative prediction of differentiation degree and lymph node metastasis in E-CCA | Radiomics and Machine Learning | End 1: AUC 0.9 | MRI | No | BACG JMI | 1200 | Monocentric Retrospective |
| Youyin Tang et al. (2021) [59] | Total 101 | Preoperative prognostic value in I-CCA | Radiomics nomogram and Machine Learning | End 1: AUC 0.783 End 2: AUC 0.633 | CT | No | SVM | 42 | Monocentric Retrospective |
| Huan Qin et al. (2020) [60] | Total 274 | Prediction of early recurrence in perihilar CCA after curative resection | Radiomics and Machine Learning | End 1: AUC 0.883 | CECT | No | A-Shrink, V-Shrink, P-Shrink | 302 | Monocentric Retrospective |
| Lei Xu et al. (2019) [61] | Total 42 | Preoperative lymph node status evaluation in I-CCA | Radiomics approach based on support vector machine | End 1: AUC 0.842 | MRI | No | SVM | 5 | Monocentric Retrospective |
Disclaimer/Publisher’s Note: The statements, opinions and data contained in all publications are solely those of the individual author(s) and contributor(s) and not of MDPI and/or the editor(s). MDPI and/or the editor(s) disclaim responsibility for any injury to people or property resulting from any ideas, methods, instructions or products referred to in the content. |
© 2025 by the authors. Licensee MDPI, Basel, Switzerland. This article is an open access article distributed under the terms and conditions of the Creative Commons Attribution (CC BY) license (https://creativecommons.org/licenses/by/4.0/).
Share and Cite
Zerunian, M.; Polidori, T.; Palmeri, F.; Nardacci, S.; Del Gaudio, A.; Masci, B.; Tremamunno, G.; Polici, M.; De Santis, D.; Pucciarelli, F.; et al. Artificial Intelligence and Radiomics in Cholangiocarcinoma: A Comprehensive Review. Diagnostics 2025, 15, 148. https://doi.org/10.3390/diagnostics15020148
Zerunian M, Polidori T, Palmeri F, Nardacci S, Del Gaudio A, Masci B, Tremamunno G, Polici M, De Santis D, Pucciarelli F, et al. Artificial Intelligence and Radiomics in Cholangiocarcinoma: A Comprehensive Review. Diagnostics. 2025; 15(2):148. https://doi.org/10.3390/diagnostics15020148
Chicago/Turabian StyleZerunian, Marta, Tiziano Polidori, Federica Palmeri, Stefano Nardacci, Antonella Del Gaudio, Benedetta Masci, Giuseppe Tremamunno, Michela Polici, Domenico De Santis, Francesco Pucciarelli, and et al. 2025. "Artificial Intelligence and Radiomics in Cholangiocarcinoma: A Comprehensive Review" Diagnostics 15, no. 2: 148. https://doi.org/10.3390/diagnostics15020148
APA StyleZerunian, M., Polidori, T., Palmeri, F., Nardacci, S., Del Gaudio, A., Masci, B., Tremamunno, G., Polici, M., De Santis, D., Pucciarelli, F., Laghi, A., & Caruso, D. (2025). Artificial Intelligence and Radiomics in Cholangiocarcinoma: A Comprehensive Review. Diagnostics, 15(2), 148. https://doi.org/10.3390/diagnostics15020148

