Tumor-to-Tumor Metastasis of Lung Cancer to Kidney Cancer: A Review of the Literature and Our Experience
Abstract
1. Introduction
2. The Defining Hallmark of Metastasis
3. Principles of Tumor to Tumor Metastasis
3.1. What Are the Underlying Mechanisms for TTM?
3.2. Why Is Metastasis of Cancer into Cancer Uncommon?
3.3. Does Anatomical Proximity Play a Role in TTM?
4. Review of Available Evidence on Metastatic Lung Cancer within Renal Cell Carcinoma
4.1. Review Approach and Methods
4.2. Results
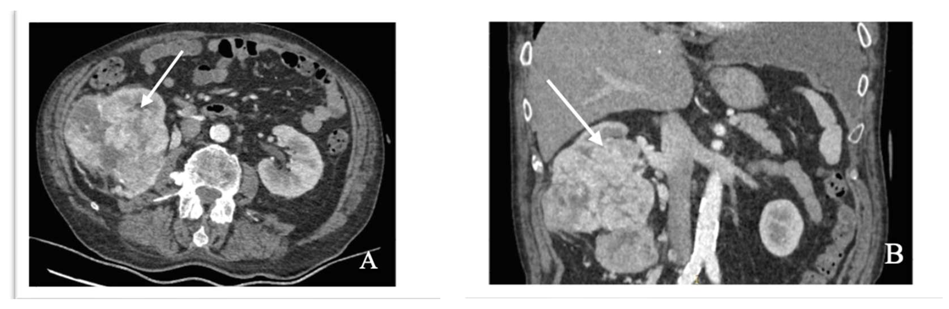
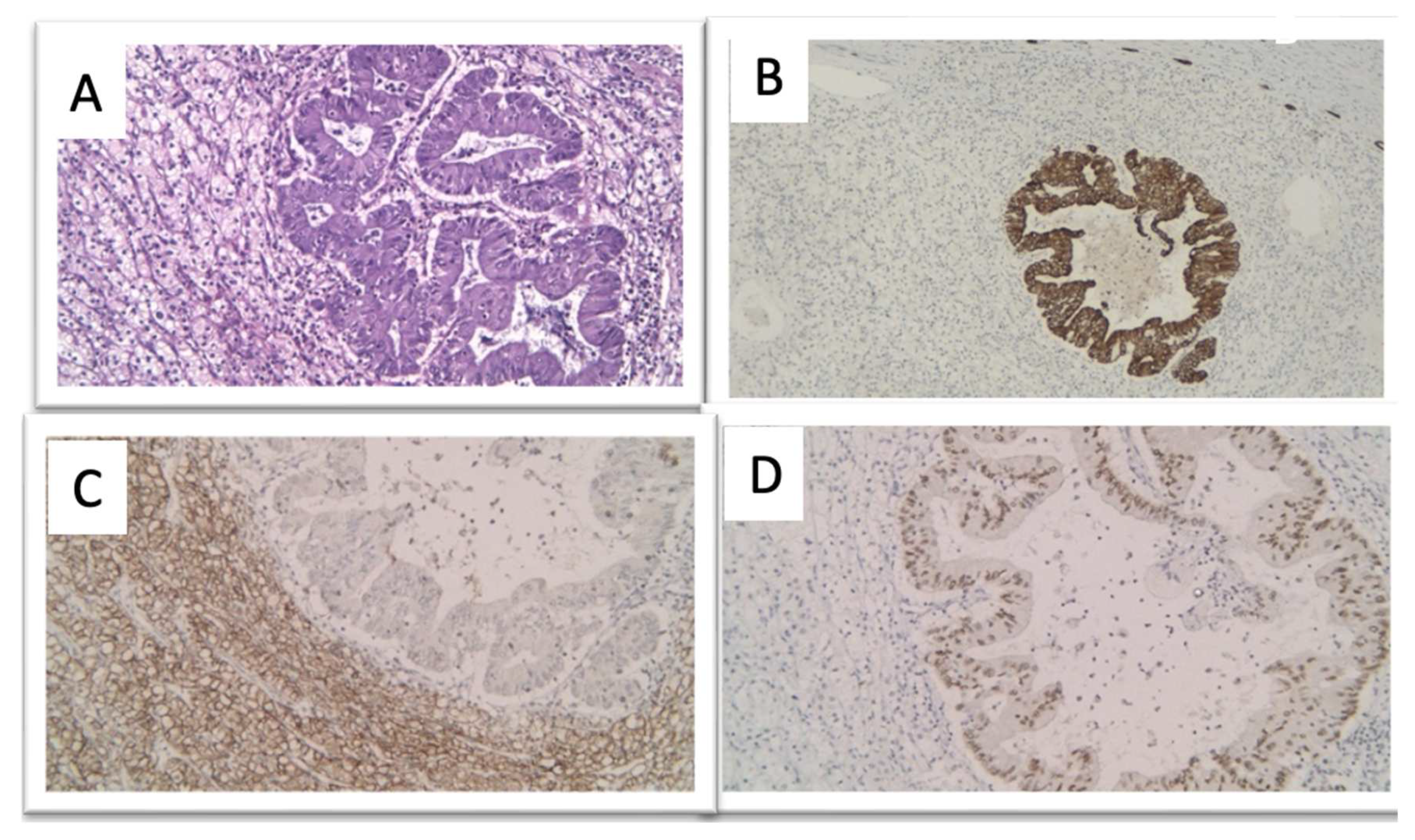
4.3. Case Report: Tumor-to-Tumor Metastasis to a RCC as the Initial Presentation of a Lung Adenocarcinoma
5. Conclusions
Author Contributions
Funding
Informed Consent Statement
Acknowledgments
Conflicts of Interest
References
- Thandra, K.C.; Barsouk, A.; Saginala, K.; Aluru, J.S.; Barsouk, A. Epidemiology of lung cancer. Contemp. Oncol. (Pozn. Pol.) 2021, 25, 45–52. [Google Scholar] [CrossRef]
- Sung, H.; Ferlay, J.; Siegel, R.L.; Laversanne, M.; Soerjomataram, I.; Jemal, A.; Bray, F. Global Cancer Statistics 2020: GLOBOCAN Estimates of Incidence and Mortality Worldwide for 36 Cancers in 185 Countries. CA Cancer J. Clin. 2021, 71, 209–249. [Google Scholar] [CrossRef] [PubMed]
- Houston, K.A.; Mitchell, K.A.; King, J.; White, A.; Ryan, B.M. Histologic Lung Cancer Incidence Rates and Trends Vary by Race/Ethnicity and Residential County. J. Thorac. Oncol. 2018, 13, 497–509. [Google Scholar] [CrossRef] [PubMed]
- Youlden, D.R.; Cramb, S.M.; Baade, P.D. The International Epidemiology of Lung Cancer: Geographical Distribution and Secular Trends. J. Thorac. Oncol. 2008, 3, 819–831. [Google Scholar] [CrossRef]
- Caliò, A.; Marletta, S.; Brunelli, M.; Martignoni, G. WHO 2022 Classification of Kidney Tumors: What is relevant? An update and future novelties for the pathologist. Pathologica 2023, 115, 23–31. [Google Scholar] [CrossRef] [PubMed]
- Hora, M.; Albiges, L.; Bedke, J.; Campi, R.; Capitanio, U.; Giles, R.H.; Ljungberg, B.; Marconi, L.; Klatte, T.; Volpe, A.; et al. European Association of Urology Guidelines Panel on Renal Cell Carcinoma Update on the New World Health Organization Classification of Kidney Tumours 2022: The Urologist’s Point of View. Eur. Urol. 2023, 83, 97–100. [Google Scholar] [CrossRef]
- Piacentini, F.; Rossi, G.; Casali, C.; Cadioli, A.; Barbieri, E.; Guarneri, V. Primary pulmonary cancer colliding with metastatic breast carcinoma: Hitherto unreported cases of cancer-to-cancer metastasis focusing on clinical implications. Lung Cancer 2011, 74, 145–148. [Google Scholar] [CrossRef]
- Berent, W. Seltene metastsenbildung. Zentralbl. Allg. Pathol Int. 1902, 13, 406–410. [Google Scholar]
- Dietterle, J.; Frydrychowicz, C.; Müller, W.; Hoffmann, K.-T.; Jähne, K.; Meixensberger, J. Tumor-to-Tumor Metastasis of Multiple Meningiomas and Clear Cell Renal Cell Carcinoma Metastasis as First Clinical Appearance of Kidney Cancer: A Case Report and Analysis. J. Neurol. Surg. Rep. 2020, 81, e10–e14. [Google Scholar] [CrossRef] [PubMed]
- Nada, A.; Abdelrahman, A.; Cunningham, C.; Cousins, J. Radio-pathological review of a metastatic renal cell carcinoma within a meningioma: A case report of collision tumor. Radiol. Case Rep. 2020, 15, 637–640. [Google Scholar] [CrossRef] [PubMed]
- Badawi, F.; Meliti, A. Tumor-to-Tumor Metastasis of Renal Cell Carcinoma to a Follicular Variant of Papillary Thyroid Carcinoma: A Case Report and Literature Review. Cureus 2022, 14, e23742. [Google Scholar] [CrossRef]
- Krsteska, B.; Jovanovic, R.; Eftimov, A.; Ilievski, B.; Hadzi-Mancev, D.; Osmani, B.; Kostadinova-Kunovska, S. Signet ring cell carcinoma of rectum metastasizing to synchronous renal cell carcinoma: A case report. J. Med. Case Rep. 2021, 15, 123. [Google Scholar] [CrossRef] [PubMed]
- Aggarwal, N.; Amin, R.M.; Chung, D.; Parwani, A.V. Tumor-to-tumor metastasis: Case report of a pulmonary adenocarcinoma metastatic to a clear cell renal cell carcinoma. Pathol. Res. Prac. 2012, 208, 50–52. [Google Scholar] [CrossRef]
- Chaffer, C.L.; Weinberg, R.A. A Perspective on Cancer Cell Metastasis. Science 2011, 331, 1559–1564. [Google Scholar] [CrossRef]
- Talmadge, J.E.; Fidler, I.J. AACR Centennial Series: The Biology of Cancer Metastasis: Historical Perspective. Cancer Res. 2010, 70, 5649–5669. [Google Scholar] [CrossRef] [PubMed]
- Leber, M.F.; Efferth, T. Molecular principles of cancer invasion and metastasis (review). Int. J. Oncol. 2009, 34, 881–895. [Google Scholar] [CrossRef] [PubMed]
- Jeevan, D.S.; Cooper, J.B.; Braun, A.; Murali, R.; Jhanwar-Uniyal, M. Molecular Pathways Mediating Metastases to the Brain via Epithelial-to-Mesenchymal Transition: Genes, Proteins, and Functional Analysis. Anticancer Res. 2016, 36, 523–532. [Google Scholar]
- Lambert, A.W.; Pattabiraman, D.R.; Weinberg, R.A. Emerging Biological Principles of Metastasis. Cell 2017, 168, 670–691. [Google Scholar] [CrossRef]
- Wittekind, C.; Neid, M. Cancer Invasion and Metastasis. Oncology 2005, 69 (Suppl. S1), 14–16. [Google Scholar] [CrossRef]
- Engbring, J.A.; Kleinman, H.K. The basement membrane matrix in malignancy. J. Pathol. 2003, 200, 465–470. [Google Scholar] [CrossRef]
- Na, T.-Y.; Schecterson, L.; Mendonsa, A.M.; Gumbiner, B.M. The functional activity of E-cadherin controls tumor cell metastasis at multiple steps. Proc. Natl. Acad. Sci. USA 2020, 117, 5931–5937. [Google Scholar] [CrossRef] [PubMed]
- Soerjomataram, I.; Coebergh, J.W. Epidemiology of multiple primary cancers. Methods Mol. Biol. 2009, 471, 85–105. [Google Scholar] [CrossRef]
- Pan, S.-Y.; Huang, C.-P.; Chen, W.-C. Synchronous/Metachronous Multiple Primary Malignancies: Review of Associated Risk Factors. Diagnostics 2022, 12, 1940. [Google Scholar] [CrossRef]
- Owen, L.J. Multiple malignant neoplasms. JAMA 1921, 76, 1329–1333. [Google Scholar]
- Wood, M.E.; Vogel, V.; Ng, A.; Foxhall, L.; Goodwin, P.; Travis, L.B. Second Malignant Neoplasms: Assessment and Strategies for Risk Reduction. J. Clin. Oncol. 2012, 30, 3734–3745. [Google Scholar] [CrossRef] [PubMed]
- Crocetti, E.; Arniani, S.; Buiatti, E. Synchronous and Metachronous Diagnosis of Multiple Primary Cancers. Tumori J. 1998, 84, 9–13. [Google Scholar] [CrossRef]
- Vogt, A.; Schmid, S.; Heinimann, K.; Frick, H.; Herrmann, C.; Cerny, T.; Omlin, A. Multiple primary tumours: Challenges and approaches, a review. ESMO Open 2017, 2, e000172. [Google Scholar] [CrossRef]
- Nguyen, D.T.; Nguyen, L.M.; Le Phan, T.; Bui, Q.V. One Patient With 4 Different Primary Cancers: A Case Report. Clin. Med. Insights Case Rep. 2023, 16, 11795476221150597. [Google Scholar] [CrossRef]
- Vinay, D.S.; Ryan, E.P.; Pawelec, G.; Talib, W.H.; Stagg, J.; Elkord, E.; Lichtor, T.; Decker, W.K.; Whelan, R.L.; Kumara, H.M.C.S.; et al. Immune evasion in cancer: Mechanistic basis and therapeutic strategies. Semin. Cancer Biol. 2015, 35, S185–S198. [Google Scholar] [CrossRef] [PubMed]
- Carr, K.; He, L.; Weaver, K.; Nickols, H.H. Renal cell carcinoma metastatic to meningioma: Tumor-to-tumor metastasis. Clin. Neuropathol. 2014, 33, 152–156. [Google Scholar] [CrossRef] [PubMed]
- Rosser, E.C.; Mauri, C. Regulatory B Cells: Origin, Phenotype, and Function. Immunity 2015, 42, 607–612. [Google Scholar] [CrossRef]
- Boyd, A.S.; Rapini, R.P. Cutaneous collision tumors. An analysis of 69 cases and review of the literature. Am. J. Dermatopathol. 1994, 16, 253–257. [Google Scholar] [CrossRef]
- Tie, Y.; Tang, F.; Wei, Y.-Q.; Wei, X.-W. Immunosuppressive cells in cancer: Mechanisms and potential therapeutic targets. J. Hematol. Oncol. 2022, 15, 61. [Google Scholar] [CrossRef]
- Almeslet, A.S. Pleomorphic adenoma: A systematic review. Int. J. Clin. Pediatr. Dent. 2020, 13, 284–287. [Google Scholar] [CrossRef]
- Kilpatrick, S.E.; Hitchcock, M.G.; Kraus, M.D.; Calonje, E.; Fletcher, C.D. Mixed Tumors and Myoepitheliomas of Soft Tissue: A clinicopathologic study of 19 cases with a unifying concept. Am. J. Surg. Pathol. 1997, 21, 13–22. [Google Scholar] [CrossRef] [PubMed]
- Pearson, L.; Taatjes, D.J.; von Turkovich, M.; King, B.J.; Zenali, M. A Composite Renal Tumor with Dual Differentiation, Chromophobe and Collecting Duct Carcinoma. Case Rep. Pathol. 2018, 2018, 2410920. [Google Scholar] [CrossRef]
- Karthikeyan, V.S.; Sistla, S.C.; Srinivasan, R.; Basu, D.; Panicker, L.C.; Ali, S.M.; Rajkumar, N. Metachronous Multiple Primary Malignant Neoplasms of the Stomach and the Breast: Report of Two Cases With Review of Literature. Int. Surg. 2014, 99, 52–55. [Google Scholar] [CrossRef] [PubMed]
- Ellis, M.C.; Mason, T.; Barnett, J.; Kiesow, L.L.; Vetto, J.T. Gastric malignancies in breast cancer survivors: Pathology and outcomes. Am. J. Surg. 2009, 197, 633–636. [Google Scholar] [CrossRef]
- Jones, G.E.; Strauss, D.C.; Forshaw, M.J.; Deere, H.; Mahedeva, U.; Mason, R.C. Breast cancer metastasis to the stomach may mimic primary gastric cancer: Report of two cases and review of literature. World J. Surg. Oncol. 2007, 5, 75. [Google Scholar] [CrossRef]
- Campbell, L.V., Jr.; Gilbert, E.; Chamberlain, C.R., Jr.; Watne, A.L. Metastases of cancer to cancer. Cancer 1968, 22, 635–643. [Google Scholar] [CrossRef] [PubMed]
- Ribatti, D.; Mangialardi, G.; Vacca, A. Stephen Paget and the ‘seed and soil’ theory of metastatic dissemination. Clin. Exp. Med. 2006, 6, 145–149. [Google Scholar] [CrossRef] [PubMed]
- Fidler, I.J. Seed and soil revisited: Contribution of the organ microenvironment to cancer metastasis. Surg. Oncol. Clin. N. Am. 2001, 10, 257–269, vii–viiii. [Google Scholar] [CrossRef] [PubMed]
- Rabson, S.M.; Stier, P.L.; Baumgartner, J.C.; Rosenbaum, D. Metastasis of cancer to cancer. Am. J. Clin. Pathol. 1954, 24, 572–579. [Google Scholar] [CrossRef] [PubMed]
- Kim, K.M.; Na Kim, Y.; Chu, H.H.; Jin, H.Y.; Kim, M.H.; Chung, M.J. Papillary Carcinoma of Thyroid Metastatic to Adenocarcinoma in situ of Lung: Report of an Unusual Case. Korean J. Pathol. 2012, 46, 282–286. [Google Scholar] [CrossRef]
- Moody, P.; Murtagh, K.; Piduru, S.; Brem, S.; Murtagh, R.; Rojiani, A.M. Tumor-to-tumor metastasis: Pathology and neuroimaging considerations. Int. J. Clin. Exp. Pathol. 2012, 5, 367–373. [Google Scholar]
- Ichijima, K.; Yamabe, H.; Kobashi, Y.; Iwata, T. Metastasis of cancer to cancer. Acta Pathol. Jpn. 1980, 30, 293–300. [Google Scholar] [CrossRef]
- Han, H.S.; Kim, E.Y.; Han, J.Y.; Kim, Y.B.; Hwang, T.S.; Chu, Y.C. Metastatic renal cell carcinoma in a meningioma: A case report. J. Korean Med. Sci. 2000, 15, 593–597. [Google Scholar] [CrossRef]
- Richter, B.; Harinath, L.; Pu, C.; Stabingas, K. Metastatic spread of systemic neoplasms to central nervous system tumors: Review of the literature and case presentation of esophageal carcinoma metastatic to meningioma. Clin. Neuropathol. 2017, 36, 60–65. [Google Scholar] [CrossRef]
- Honma, K.; Hara, K.; Sawai, T. Tumour-to-tumour metastasis. Virchows Arch. 1989, 416, 153–157. [Google Scholar] [CrossRef]
- Brandwein-Gensler, M.; Urken, M.; Wang, B. Collision tumor of the thyroid: A case report of metastatic liposarcoma plus papillary thyroid carcinoma. Head Neck 2004, 26, 637–641. [Google Scholar] [CrossRef]
- Rao, H.D.; Sriram, S.; Srinivas, B.H.; Challa, S.; Reddy, R.C.; Murthy, P. Mixed epithelial stromal tumor of the kidney. Indian J. Urol. 2011, 27, 284–287. [Google Scholar] [CrossRef]
- Turbiner, J.; Amin, M.B.; Humphrey, P.A.; Srigley, J.R.; De Leval, L.; Radhakrishnan, A.; Oliva, E. Cystic Nephroma and Mixed Epithelial and Stromal Tumor of Kidney: A Detailed Clinicopathologic Analysis of 34 Cases and Proposal for Renal Epithelial and Stromal Tumor (REST) as a Unifying Term. Am. J. Surg. Pathol. 2007, 31, 489–500. [Google Scholar] [CrossRef]
- Adsay, N.V.; Eble, J.N.; Srigley, J.R.; Jones, E.C.; Grignon, D.J. Mixed epithelial and stromal tumor of the kidney. Am. J. Surg. Pathol. 2000, 24, 958–970. [Google Scholar] [CrossRef]
- Casuscelli, J.; Becerra, M.F.; Seier, K.; Manley, B.J.; Benfante, N.; Redzematovic, A.; Stief, C.G.; Hsieh, J.J.; Tickoo, S.K.; Reuter, V.E.; et al. Chromophobe Renal Cell Carcinoma: Results From a Large Single-Institution Series. Clin. Genitourin. Cancer 2019, 17, 373–379.e4. [Google Scholar] [CrossRef] [PubMed]
- Przybycin, C.G.; Cronin, A.M.; Darvishian, F.; Gopalan, A.; Al-Ahmadie, H.A.; Fine, S.W.; Chen, Y.B.; Bernstein, M.; Russo, P.; Reuter, V.E.; et al. Chromophobe renal cell carcinoma: A clinicopathologic study of 203 tumors in 200 patients with primary resection at a single institution. Am. J. Surg. Pathol. 2011, 35, 962–970. [Google Scholar] [CrossRef] [PubMed]
- Paget, S. The distribution of secondary growths in cancer of the breast. Lancet 1889, 133, 571–573. [Google Scholar] [CrossRef]
- Massagué, J.; Obenauf, A.C. Metastatic colonization by circulating tumour cells. Nature 2016, 529, 298–306. [Google Scholar] [CrossRef] [PubMed]
- Gomis, R.R.; Gawrzak, S. Tumor cell dormancy. Mol. Oncol. 2017, 11, 62–78. [Google Scholar] [CrossRef]
- Tabassum, D.P.; Polyak, K. Tumorigenesis: It takes a village. Nat. Rev. Cancer 2015, 15, 473–483. [Google Scholar] [CrossRef]
- Gundem, G.; Van Loo, P.; Kremeyer, B.; Alexandrov, L.B.; Tubio, J.M.; Papaemmanuil, E.; Brewer, D.S.; Kallio, H.M.; Högnäs, G.; Annala, M. The evolutionary history of lethal metastatic prostate cancer. Nature 2015, 520, 353–357. [Google Scholar] [CrossRef]
- Kinsey, D.L. An experimental study of preferential metastasis. Cancer 1960, 13, 674–676. [Google Scholar] [CrossRef]
- Ewing, J. Metastasis. In Neoplastics, 3rd ed.; Saunders: Philadelphia, PA, USA, 1928; pp. 77–89. [Google Scholar]
- Pienta, K.J.; Robertson, B.A.; Coffey, D.S.; Taichman, R.S. The Cancer Diaspora: Metastasis beyond the Seed and Soil Hypothesis. Clin. Cancer Res. 2013, 19, 5849–5855. [Google Scholar] [CrossRef] [PubMed]
- Leong, S.P.; Naxerova, K.; Keller, L.; Pantel, K.; Witte, M. Molecular mechanisms of cancer metastasis via the lymphatic versus the blood vessels. Clin. Exp. Metastasis 2021, 39, 159–179. [Google Scholar] [CrossRef] [PubMed]
- Sleeman, J.P.; Cady, B.; Pantel, K. The connectivity of lymphogenous and hematogenous tumor cell dissemination: Biological insights and clinical implications. Clin. Exp. Metastasis 2012, 29, 737–746. [Google Scholar] [CrossRef] [PubMed]
- Pereira, E.R.; Kedrin, D.; Seano, G.; Gautier, O.; Meijer, E.F.J.; Jones, D.; Chin, S.-M.; Kitahara, S.; Bouta, E.M.; Chang, J.; et al. Lymph node metastases can invade local blood vessels, exit the node, and colonize distant organs in mice. Science 2018, 359, 1403–1407. [Google Scholar] [CrossRef] [PubMed]
- Venet, D.; Fimereli, D.; Rothé, F.; Boeckx, B.; Maetens, M.; Majjaj, S.; Rouas, G.; Capra, M.; Bonizzi, G.; Contaldo, F.; et al. Phylogenetic reconstruction of breast cancer reveals two routes of metastatic dissemination associated with distinct clinical outcome. EBioMedicine 2020, 56, 102793. [Google Scholar] [CrossRef]
- Trapp, E.; Janni, W.; Schindlbeck, C.; Jückstock, J.; Andergassen, U.; de Gregorio, A.; Alunni-Fabbroni, M.; Tzschaschel, M.; Polasik, A.; Koch, J.G.; et al. Presence of Circulating Tumor Cells in High-Risk Early Breast Cancer During Follow-Up and Prognosis. JNCI J. Natl. Cancer Inst. 2018, 111, 380–387. [Google Scholar] [CrossRef]
- Whiteside, T.L. The tumor microenvironment and its role in promoting tumor growth. Oncogene 2008, 27, 5904–5912. [Google Scholar] [CrossRef] [PubMed]
- Marusyk, A.; Polyak, K. Tumor heterogeneity: Causes and consequences. Biochim. Biophys. Acta 2010, 1805, 105–117. [Google Scholar] [CrossRef]
- Kikuchi, K.; Tsuji, Y.; Itakura, K.; Katagiri, H. A case of metastases of gastric cancer to hypernephroma and its metastatic foci. Acta Pathol. Jpn. 1964, 14, 103–110. [Google Scholar] [CrossRef] [PubMed]
- Minezaki, S.; Misawa, T.; Tsukayama, H.; Shibuya, M.; Wada, K.; Sano, K.; Mochizuki, M.; Sasajima, Y.; Kondo, H. Tumor-to-tumor metastasis: An extremely rare combination with renal cell carcinoma as the donor and a pancreatic neuroendocrine tumor as the recipient. Surg. Case Rep. 2022, 8, 8. [Google Scholar] [CrossRef] [PubMed]
- van Oostenbrugge, T.J.; Fütterer, J.J.; Mulders, P.F. Diagnostic Imaging for Solid Renal Tumors: A Pictorial Review. Kidney Cancer 2018, 2, 79–93. [Google Scholar] [CrossRef] [PubMed]
- Kim, H.; Shim, B.Y.; Lee, S.-J.; Lee, J.Y.; Lee, H.-J.; Kim, I.-H. Loss of Von Hippel–Lindau (VHL) Tumor Suppressor Gene Function: VHL–HIF Pathway and Advances in Treatments for Metastatic Renal Cell Carcinoma (RCC). Int. J. Mol. Sci. 2021, 22, 9795. [Google Scholar] [CrossRef]
- Sato, Y.; Yoshizato, T.; Shiraishi, Y.; Maekawa, S.; Okuno, Y.; Kamura, T.; Shimamura, T.; Sato-Otsubo, A.; Nagae, G.; Suzuki, H.; et al. Integrated molecular analysis of clear-cell renal cell carcinoma. Nat. Genet. 2013, 45, 860–867. [Google Scholar] [CrossRef] [PubMed]
- Mitchell, T.J.; Turajlic, S.; Rowan, A.; Nicol, D.; Farmery, J.H.; O’brien, T.; Martincorena, I.; Tarpey, P.; Angelopoulos, N.; Yates, L.R.; et al. Timing the Landmark Events in the Evolution of Clear Cell Renal Cell Cancer: TRACERx Renal. Cell 2018, 173, 611–623.e17. [Google Scholar] [CrossRef] [PubMed]
- Díaz-Montero, C.M.; Rini, B.I.; Finke, J.H. The immunology of renal cell carcinoma. Nat. Rev. Nephrol. 2020, 16, 721–735. [Google Scholar] [CrossRef] [PubMed]
- Takei, H.; Powell, S.Z. Tumor-to-tumor metastasis to the central nervous system. Neuropathology 2009, 29, 303–308. [Google Scholar] [CrossRef]
- Bori, R.; Kiss, C.A.; Huszka, E.; Szûcs, M.; Tusa, M.; Cserni, G. A rare case of tumor-to-tumor metastasis: Secondary deposits of pulmonary adenocarcinoma in a secretory meningioma. Magy. Onkol. 2002, 46, 261–264. [Google Scholar]
- Clifford, S.C.; Prowse, A.H.; Affara, N.A.; Buys, C.H.; Maher, E.R. Inactivation of the von Hippel-Lindau (VHL) tumour suppressor gene and allelic losses at chromosome arm 3p in primary renal cell carcinoma: Evidence for a VHL-independent pathway in clear cell renal tumourigenesis. Genes Chromosom. Cancer 1998, 22, 200–209. [Google Scholar] [CrossRef]
- Albiges, L.; Salem, M.; Rini, B.; Escudier, B. Vascular Endothelial Growth Factor–Targeted Therapies in Advanced Renal Cell Carcinoma. Hematol. Oncol. Clin. N. Am. 2011, 25, 813–833. [Google Scholar] [CrossRef]
- Monda, S.M.; Lui, H.T.; Pratsinis, M.A.; Chandrasekar, T.; Evans, C.P.; Dall’Era, M.A. The Metastatic Risk of Renal Cell Carcinoma by Primary Tumor Size and Subtype. Eur. Urol. Open Sci. 2023, 52, 137–144. [Google Scholar] [CrossRef]
- Zhou, C.; Urbauer, D.L.; Fellman, B.M.; Tamboli, P.; Zhang, M.; Matin, S.F.; Wood, C.G.; Karam, J.A. Metastases to the kidney: A comprehensive analysis of 151 patients from a tertiary referral centre. BJU Int. 2016, 117, 775–782. [Google Scholar] [CrossRef] [PubMed]
- Sánchez-Ortiz, R.F.; Madsen, L.T.; Bermejo, C.E.; Wen, S.; Shen, Y.; Swanson, D.A.; Wood, C.G. A renal mass in the setting of a nonrenal malignancy: When is a renal tumor biopsy appropriate? Cancer 2004, 101, 2195–2201. [Google Scholar] [CrossRef] [PubMed]
- Pagani, J.J. Solid renal mass in the cancer patient: Second primary renal cell carcinoma versus renal metastasis. J. Comput. Assist. Tomogr. 1983, 7, 444–448. [Google Scholar] [CrossRef] [PubMed]
- Jiang, B.; Mu, Q.; Qiu, F.; Li, X.; Xu, W.; Yu, J.; Fu, W.; Cao, Y.; Wang, J. Machine learning of genomic features in organotropic metastases stratifies progression risk of primary tumors. Nat. Commun. 2021, 12, 6692. [Google Scholar] [CrossRef] [PubMed]
- Jackson, J.G.; Symmers, W.S.C. Coexistence at one site of two neoplasms, one of local origin and one metastatic. Br. J. Cancer 1951, 5, 38–44. [Google Scholar] [CrossRef][Green Version]
- Sakai, S.; Morinaga, Y.; Koshiba, A.; Mori, T.; Kusuki, I.; Kitawaki, J. Unexpected tumor-to-tumor metastasis of synovial sarcoma within leiomyoma: A case report and literature review. J. Obstet. Gynaecol. Res. 2020, 46, 1216–1223. [Google Scholar] [CrossRef] [PubMed]
- Koo, H.-L.; Jang, J.; Hong, S.J.; Shong, Y.K.; Gong, G. Renal Cell Carcinoma Metastatic to Follicular Adenoma of the Thyroid Gland. A case report. Acta Cytol. 2004, 48, 64–68. [Google Scholar] [CrossRef]
- Shi, Y.X.; Sun, Z.W.; Jia, D.L.; Wang, H.B. Autophagy deficiency promotes lung metastasis of prostate cancer via stabilization of TWIST1. Clin. Transl. Oncol. 2022, 24, 1403–1412. [Google Scholar] [CrossRef]
- Matsukuma, S.; Kono, T.; Takeo, H.; Hamakawa, Y.; Sato, K. Tumor-to-tumor metastasis from lung cancer: A clinicopathological postmortem study. Virchows Arch. 2013, 463, 525–534. [Google Scholar] [CrossRef] [PubMed]
- Sawada, T.; Takahashi, H.; Hasatani, K.; Yoshida, I.; Oyama, O.; Inoue, R.; Miwa, K.; Kawashiri, M.-A.; Misawa, K.; Kyoi, M.; et al. Tumor-to-tumor Metastasis: Report of an Autopsy Case of Lung Adenocarcinoma Metastasizing to Renal Cell Carcinoma. Intern. Med. 2009, 48, 1525–1529. [Google Scholar] [CrossRef] [PubMed]
- Rais, G.; Ziouziou, I.; Wakrim, S.; Serhane, H. F-FDG18PET/CT incidental detection of tumor-to-tumor metastasis in patients investigated for squamous cell lung cancer. Radiol. Case Rep. 2022, 17, 1450–1456. [Google Scholar] [CrossRef] [PubMed]
- Wu, P.-S.; Pan, C.-C. Lung Adenocarcinoma Metastasizing Into a Renal Angiomyolipoma. Int. J. Surg. Pathol. 2015, 23, 230–233. [Google Scholar] [CrossRef] [PubMed]
- Altinok, G.; Güler, G.; Sahin, A. Tumor metastasis to an oncocytoma. Scand. J. Urol. Nephrol. 1999, 33, 416–417. [Google Scholar] [CrossRef] [PubMed]
- Duprez, R.; Thimon, S.; Kerdraon, R.; Bonneau, C.; Metois, D.; Michenet, P. Métastases d’une tumeur dans une autre tumeur: À propos de trois cas [Tumor-to-tumor metastasis: Report of three cases]. Ann. Pathol. 2009, 29, 507–511. [Google Scholar] [CrossRef] [PubMed]
- Sella, A.; Ro, J.Y. Renal cell cancer: Best recipient of tumor-to-tumor metastasis. Urology 1987, 30, 35–38. [Google Scholar] [CrossRef] [PubMed]
- Granville, L.A.; Ostrowski, M.L.; Truong, L.D.; Shen, S. Pathologic quiz case: Unusual morphology in an otherwise classic renal cell carcinoma. Tumor-to-tumor metastasis: Pulmonary adenocarcinoma metastatic to clear cell renal cell carcinoma. Arch. Pathol. Lab. Med. 2005, 129, e49–e50. [Google Scholar] [CrossRef]
- Mu, J.; Huang, J.; Ao, M.; Li, W.; Jiang, L.; Yang, L. Advances in diagnosis and prediction for aggression of pure solid T1 lung cancer. Precis. Clin. Med. 2023, 6, pbad020. [Google Scholar] [CrossRef]
- Gerull, W.D.; Puri, V.; Kozower, B.D. The epidemiology and biology of pulmonary metastases. J. Thorac. Dis. 2021, 13, 2585–2589. [Google Scholar] [CrossRef]
- Milano, M.T.; Bates, J.E.; Budnik, J.; Qiu, H.; Hardy, S.; Cummings, M.A.; Baumgart, M.A.; Maggiore, R.J.; Mulford, D.A.; Usuki, K.Y. Risk of brain metastases in T1–3N0 NSCLC: A population-based analysis. Lung Cancer Manag. 2020, 9, LMT25. [Google Scholar] [CrossRef]
- Vornicova, O.; Bar-Sela, G. Do we have a “game changer” in treating patients with brain metastasis from renal cell carcinoma? Ann. Transl. Med. 2019, 7 (Suppl. S8), S360. [Google Scholar] [CrossRef] [PubMed]
- Kotecha, R.R.; Flippot, R.; Nortman, T.; Guida, A.; Patil, S.; Escudier, B.; Motzer, R.J.; Albiges, L.; Voss, M.H. Prognosis of Incidental Brain Metastases in Patients With Advanced Renal Cell Carcinoma. J. Natl. Compr. Cancer Netw. 2021, 19, 432–438. [Google Scholar] [CrossRef] [PubMed]
- Earnest, F., 4th; Ryu, J.H.; Miller, G.M.; Luetmer, P.H.; Forstrom, L.A.; Burnett, O.L.; Rowland, C.M.; Swensen, S.J.; Midthun, D.E. Suspected Non-Small Cell Lung Cancer: Incidence of Occult Brain and Skeletal Metastases and Effectiveness of Imaging for Detection—Pilot Study. Radiology 1999, 211, 137–145. [Google Scholar] [CrossRef] [PubMed]






| Campbell’s proposed criteria |
|
| Han’s proposed criteria |
|
| Richter’s proposed criteria |
|
| Study | Year | Demographic Information | Histology Diagnosis | Other Visceral Metastasis | ||||||
|---|---|---|---|---|---|---|---|---|---|---|
| Gender | Age | Donor Tumor | Receptor Tumor | |||||||
| HP | IHC | Size (cm) | HP | IHC | Size (cm) | |||||
| Matsukuma S. et al. [91] | 2013 | M | 88 | Lung ADK | Napsin A+ CK7+ Vim+ | 8.2 | Clear-cell RCC | Vim+ CK7− PAX8 | 1.3 | M1PUL |
| M | 69 | Lung ADK | Napsin A+ CK7+ | 2.5 | Clear-cell RCC | CA IX+ CK7− | 3 | - | ||
| M | 72 | Lung ADK | TTF-1+ CK7+ | 6.5 | Papillary RCC | CK7+, AMACR+ CAIX− | 8 | M1HEP | ||
| M | 48 | Lung ADK | Napsin A+ CK7+ | 2.6 | Clear-cell RCC | CA IX+ CK7− | 1.2 | M1OSS | ||
| M | 82 | SCLC | Vim+ TTF-1+ Synatopsin+ CD56+ | 6 | Clear-cell RCC | CA IX+ CK7− | 2 | - | ||
| Sawada T et al. [92] | 2009 | F | 97 | Lung ADK | TTF-1+ CK7+ | 4 | Clear-cell RCC | CA IX+ CK7− | 4.4 | - |
| Rais G, et al [93] | 2022 | M | 52 | Squamous cell lung cancer | P40+ | 7.2 | Clear-cell RCC | Vim+, CD10+ | 3 | - |
| Wu PS, et al. [94] | 2015 | F | 72 | Lung ADK | TTF-1+ CK7+ | 5 | Renal angiomyo-lipoma | smooth muscle actin and HMB- 45 | 10 | - |
| Altinok G, et al. [95] | 1999 | M | 64 | Squamous cell lung cancer | CK5/6 + | 4.5 | Renal oncocitoma | CD117+ E-cadherin+ | 6.5 | - |
| Duprez R, et al. [96] | 2009 | M | 60 | SCLC | Vim− CD10−, CK 7+ TTF1+, Chromogranin+ CD56+ | 2.5 | Clear-cell RCC | Vim+ CD10+ CK 7− | 2.5 | M1LYM, M1HEP |
| Sella A, et al. [97] | 1987 | F | 56 | Lung ADK | TTF-1+ CK7+ | 5.5 | Clear-cell RCC | CA IX+ CK7− | 7 | M1LYM M1OSS M1HEP |
| Granville LA, et al. [98] | 2005 | F | 65 | Lung ADK | TTF-1+ CK7+ | 1 | Clear-cell RCC | Vim+ CK 7− | 4 | M1OSS |
Disclaimer/Publisher’s Note: The statements, opinions and data contained in all publications are solely those of the individual author(s) and contributor(s) and not of MDPI and/or the editor(s). MDPI and/or the editor(s) disclaim responsibility for any injury to people or property resulting from any ideas, methods, instructions or products referred to in the content. |
© 2024 by the authors. Licensee MDPI, Basel, Switzerland. This article is an open access article distributed under the terms and conditions of the Creative Commons Attribution (CC BY) license (https://creativecommons.org/licenses/by/4.0/).
Share and Cite
Baston, C.; Parosanu, A.I.; Mihai, M.; Moldoveanu, O.; Stanciu, I.M.; Nitipir, C. Tumor-to-Tumor Metastasis of Lung Cancer to Kidney Cancer: A Review of the Literature and Our Experience. Diagnostics 2024, 14, 553. https://doi.org/10.3390/diagnostics14050553
Baston C, Parosanu AI, Mihai M, Moldoveanu O, Stanciu IM, Nitipir C. Tumor-to-Tumor Metastasis of Lung Cancer to Kidney Cancer: A Review of the Literature and Our Experience. Diagnostics. 2024; 14(5):553. https://doi.org/10.3390/diagnostics14050553
Chicago/Turabian StyleBaston, Catalin, Andreea Ioana Parosanu, Mihaela Mihai, Oana Moldoveanu, Ioana Miruna Stanciu, and Cornelia Nitipir. 2024. "Tumor-to-Tumor Metastasis of Lung Cancer to Kidney Cancer: A Review of the Literature and Our Experience" Diagnostics 14, no. 5: 553. https://doi.org/10.3390/diagnostics14050553
APA StyleBaston, C., Parosanu, A. I., Mihai, M., Moldoveanu, O., Stanciu, I. M., & Nitipir, C. (2024). Tumor-to-Tumor Metastasis of Lung Cancer to Kidney Cancer: A Review of the Literature and Our Experience. Diagnostics, 14(5), 553. https://doi.org/10.3390/diagnostics14050553

