From Severe Anemia to Intestinal Hemangiomatosis, a Bumpy Road—A Case Report and Literature Review
Abstract
1. Introduction
1.1. Aim
1.2. Incidence
1.3. Background
1.4. Diagnostic and Therapeutic Features
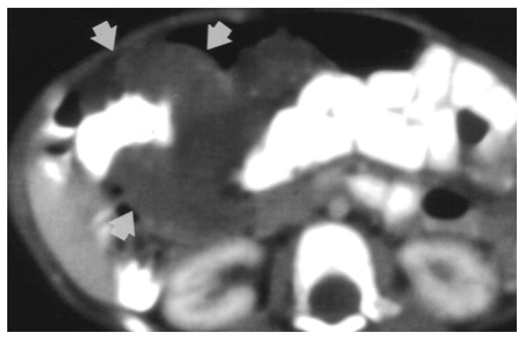
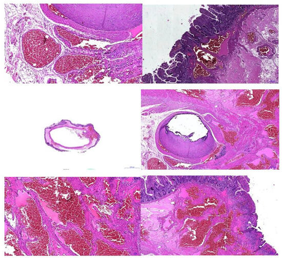
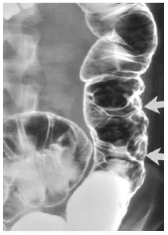
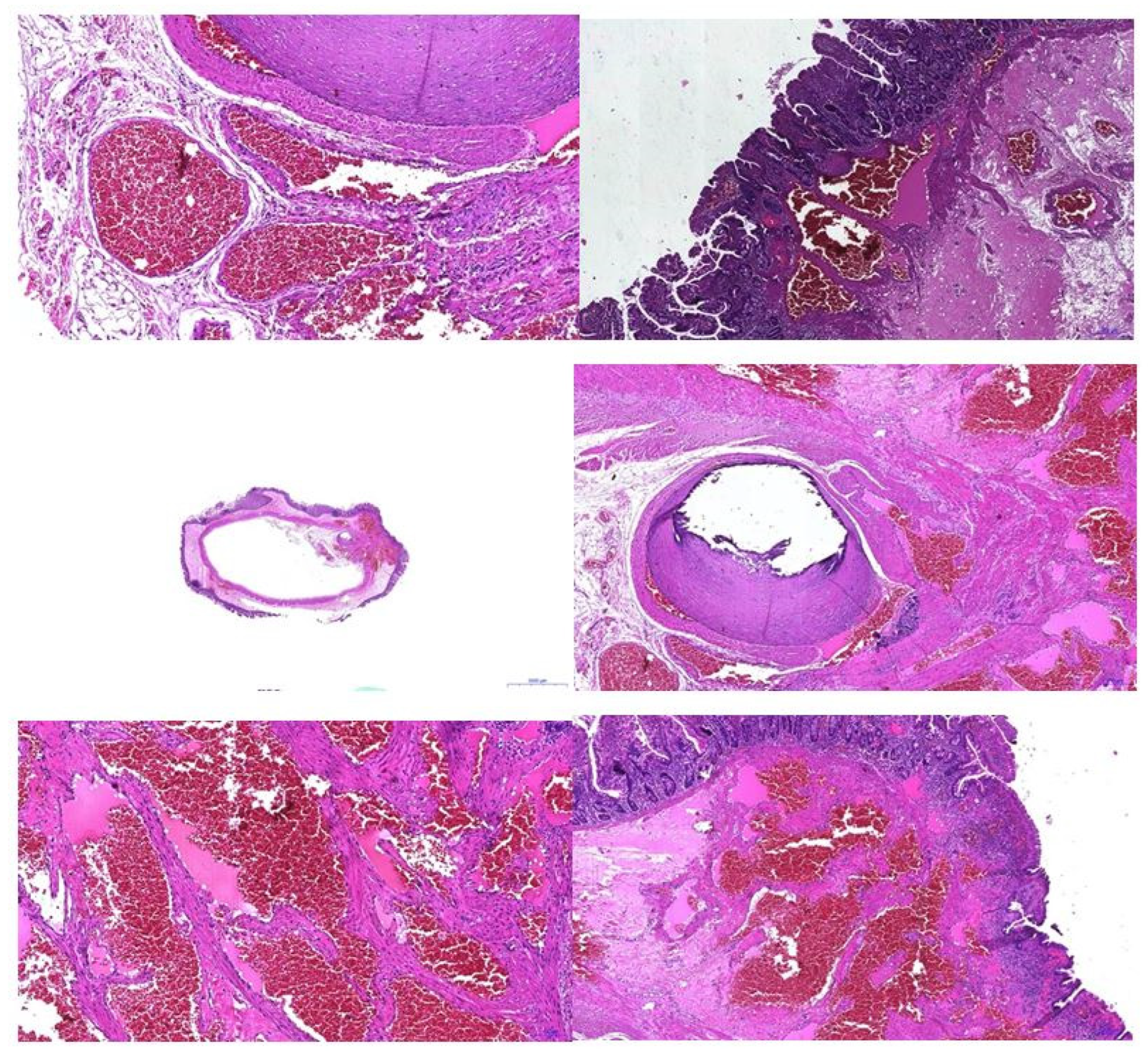
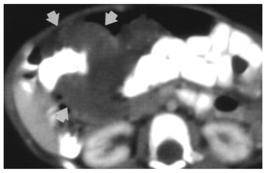
2. Detailed Case Description
3. Discussions
4. Conclusions
Author Contributions
Funding
Institutional Review Board Statement
Informed Consent Statement
Data Availability Statement
Conflicts of Interest
References
- Rubinstein, J.C.; Christison-Lagay, E.R. Successful treatment of visceral infantile hemangioma of the omentum and mesentery with propranolol. J. Pediatr. Surg. Case Rep. 2014, 2, 302–304. [Google Scholar] [CrossRef]
- Medscape. Infantile Hemangioma [Internet]. Updated 6 February 2019. Available online: https://emedicine.medscape.com/article/1083849-overview (accessed on 12 June 2019).
- Han, E.; Kim, S.H.; Kim, H.Y.; Jung, S.E.; Park, K.W. Gastrointestinal hemangioma in childhood: A rare cause of gastrointestinal bleeding. Korean J. Pediatr. 2014, 57, 245–249. [Google Scholar] [CrossRef] [PubMed]
- Ojili, V.; Tirumani, S.H.; Gunabushanam, G.; Nagar, A.; Surabhi, V.R.; Chintapalli, K.N.; Ryan, J. Abdominal Hemangiomas: A Pictorial Review of Unusual, Atypical, and Rare Types. Can. Assoc. Radiol. J. 2013, 64, 18–27. [Google Scholar] [CrossRef] [PubMed]
- Hasosah, M.Y.; Abdul-Wahab, A.A.; Bin-Yahab, S.A.; Al-Rabeaah, A.A.; Rimawi, M.M.; Eyoni, Y.A.; Satti, M.B. Blue rubber bleb nevus syndrome: Extensive small bowel vascular lesions responsible for gastrointestinal bleeding. J. Paediatr. Child Health 2010, 46, 63–65. [Google Scholar] [CrossRef] [PubMed]
- Levy, A.D.; Abbott, R.M.; Rohrmann, C.A.; Frazier, A.A.; Kende, A. Gastrointestinal hemangiomas: Imaging findings with pathologic correlation in pediatric and adult patients. AJR Am. J. Roentgenol. 2001, 177, 973–1219. [Google Scholar] [CrossRef]
- Karaseva, O.V.; Gorelik, A.; Kharitonova, A.; Kislykov, A.N.; Filinov, I.V. Hemangioma of the Jejunum as the Cause of Anemia in the Child. J. Emerg. Med. Trauma Surg. Care 2018, 5, 022. [Google Scholar] [CrossRef]
- Stojsic, Z.; Brasanac, D.; Kokai, G.; Vujovic, D.; Zivanovic, D.; Boricic, I.; Bacetic, D. Intestinal intussusception due to a pyogenic granuloma. Turk. J. Pediatr. 2008, 50, 600–603. [Google Scholar]
- Singh, B.P.; Kumar, A.; Chattopadhyay, T.K. Intussuscepting ileal hemangioma with perforation. Indian J. Gastroenterol. 1992, 11, 94–95. [Google Scholar]
- Laarif, S.; Saadi, C.; Abdallah, R.B.; Daïb, A.; Hellal, Y.; Kaabar, N. Small bowel infantile hemangioma complicated with acute intestinal intussusception: A case report. J. Pediatr. Surg. Case Rep. 2023, 96, 102680. [Google Scholar] [CrossRef]
- Jing-Dung, S.; Chun-Wen, C.; Tuo-An, C.; Te-Cheng, Y. Colonic hemangioma, a diagnostic challenge in young adults with lower gastrointestinal tract bleeding. Formos. J. Surg. 2016, 49, 238–241. [Google Scholar] [CrossRef]
- Bae, S.J.; Hwang, G.; Kang, H.S.; Song, H.J.; Chang, W.Y.; Maeng, Y.H.; Kang, K.-S. Single cavernous hemangioma of the small bowel diagnosed by using capsule endoscopy in a child with chronic iron-deficiency anemia. Clin. Endosc. 2015, 48, 340–344. [Google Scholar] [CrossRef]
- Pohl, J.; Blancas, J.; Cave, D.; Choi, K.; Delvaux, M.; Ell, C.; Gay, G.; Jacobs, M.; Marcon, N.; Matsui, T.; et al. Consensus report of the 2nd International Conference on double balloon endoscopy. Endoscopy 2008, 40, 156–160. [Google Scholar] [CrossRef]
- Sans, V.; de la Roque, E.D.; Berge, J.; Grenier, N.; Boralevi, F.; Mazereeuw-Hautier, J.; Lipsker, D.; Dupuis, E.; Ezzedine, K.; Vergnes, P.; et al. Propranolol for severe infantile hemangiomas: Follow-up report. Pediatrics 2009, 124, e423–e431. [Google Scholar] [CrossRef]
- Siu Ying Angel, N.; Kam Lun, H.; Wing Kwan Alex, L.; Alexander, K.C.L.; Paul, C.L.C. Neonatal Abdominal Hemangiomatosis: Propranolol beyond Infantile Hemangioma. Case Rep. Pediatr. 2016, 2016, 9803975. [Google Scholar]
- Cura-Esquivel, I.; Velasquez-Palacios, C.; Núñez-Ku, M. Gastrointestinal infantile hemangioma: A rare cause of digestive tract bleeding in children to consider. Clin. Case Rep. 2021, 9, e04722. [Google Scholar] [CrossRef]
- Romano, M.; Plott, N.; Galligan, A.; Khalaf, R. Literature Review and a Relevant Case of Pediatric Collagenous Gastritis: A Rare but Important Etiology of Iron-Deficiency Anemia. JPGN Rep. 2023, 4, e351. [Google Scholar] [CrossRef] [PubMed]
- Lenti, M.V.; Lahner, E.; Bergamaschi, G.; Miceli, E.; Conti, L.; Massironi, S.; Cococcia, S.; Zilli, A.; Caprioli, F.; Vecchi, M.; et al. Cell Blood Count Alterations and Patterns of Anaemia in Autoimmune Atrophic Gastritis at Diagnosis: A Multicentre Study. J. Clin. Med. 2019, 8, 1992. [Google Scholar] [CrossRef] [PubMed]
- Jones, A.E.; Ainsworth, B.H.; Desai, A.; Tsang, T.T. Small bowel hemangioma diagnosed with laparoscopy: Report of two pediatric cases. J. Minim. Access Surg. 2007, 3, 29–31. [Google Scholar] [CrossRef] [PubMed]
- Kavin, H.; Berman, J.; Martin, T.L.; Feldman, A.; Forsey-Koukol, K. Successful wireless capsule endoscopy for a 2.5-year-old child: Obscure gastrointestinal bleeding from mixed, juvenile, capillary hemangioma-angiomatosis of the jejunum. Pediatrics 2006, 117, 539–543. [Google Scholar] [CrossRef] [PubMed]
- Jessica, C.; Ryan, P.; Rodney, S. Small Bowel Hemangioma in a 2-Year-Old Female With Recurrent Anemia. Ochsner J. 2018, 18, 428–432. [Google Scholar] [CrossRef]
- Su Hyun, K.; Seong Min, K.; Mi Ae, J.; Seong Hun, K.; Seung Heon, L.; Seon Young, K.; Se Lim, C.; Jae Seung, L.; Seong Ho, C.; Hee Seung, P. Diffuse Intestinal Hemangiomatosis Diagnosed by Endoscopy in a Patient with Anemia. Korean J. Gastrointest. Endosc. 2004, 29, 27–31. [Google Scholar]
- Akcam, M.; Pirgon, O.; Salman, H.; Kockar, C. Multiple Gastrointestinal Hemangiomatosis Successfully Treated With Propranolol. J. Pediatr. Gastroenterol. Nutr. 2015, 60, e16. [Google Scholar] [CrossRef] [PubMed]
- Turcotte, J.F.; Prasil, P.; Gagnon, P.; Castilloux, J. Case 1: Recurrent iron-deficiency anemia in a teenager. Paediatr. Child Health 2012, 17, 21–22. [Google Scholar] [CrossRef] [PubMed]
- Sakaguchi, M.; Sue, K.; Etoh, G.; Takagishi, T.; Ezaki, T.; Nakamura, M.; Yamanaka, K.; Morita, J. A case of solitary cavernous hemangioma of the small intestine with recurrent clinical anemic attacks in childhood. J. Pediatr. Gastroenterol. Nutr. 1998, 27, 342–343. [Google Scholar] [CrossRef] [PubMed]
- Kumar, P.; Khatri, A.; Chowdhury, S.; Mahajan, N.; Mathur, G. Incidental finding of intra-abdominal hemangioma in an infant presenting with intestinal obstruction: A case report. World J. Pediatr. Surg. 2022, 5, e000335. [Google Scholar] [CrossRef] [PubMed]
- Kleinman, E.P.; Blei, F.; Adams, D.; Greenberger, S. Sirolimus for diffuse intestinal infantile hemangioma with PHACE features: Systematic review. Pediatr. Res. 2023, 93, 1470–1479. [Google Scholar] [CrossRef] [PubMed]
- Yoo, S. GI-associated hemangiomas and vascular malformations. Clin. Colon Rectal Surg. 2011, 24, 193–200. [Google Scholar] [CrossRef]
- Sylla, P.; Deutsch, G.; Luo, J.; Recavarren, C.; Kim, S.; Heimann, T.M.; Steinhagen, R.M. Cavernous, arteriovenous, and mixed hemangioma e lymphangioma of the rectosigmoid: Rare causes of rectal bleedinge case series and review of the literature. Int. J. Colorectal Dis. 2008, 23, 653–658. [Google Scholar] [CrossRef] [PubMed]
- Magnano, A.; Privitera, A.; Calogero, G.; Nanfito, L.; Basile, G.; Sanfilippo, G. Solitary hemangioma of the small intestine: An unusual cause of bleeding diagnosed at capsule endoscopy. J. Pediatr. Surg. 2005, 40, e25–e27. [Google Scholar] [CrossRef]
- Wang, H.T.; Gao, X.H.; Fu, C.G.; Wang, L.; Meng, R.G.; Liu, L.J. Diagnosis and treatment of diffuse cavernous hemangioma of the rectum: Report of 17 cases. World J. Surg. 2010, 34, 2477–2486. [Google Scholar] [CrossRef]
- Ramanujam, P.S.; Venkatesh, K.S.; Bettinger, L.; Hayashi, J.T.; Rothman, M.C.; Fietz, M.J. Hemangioma of the small intestine: Case report and literature review. Am. J. Gastroenterol. 1995, 90, 2063–2064. [Google Scholar]
- Park, J.H. Role of colonoscopy in the diagnosis and treatment of pediatric lower gastrointestinal disorders. Korean J. Pediatr. 2010, 53, 824–829. [Google Scholar] [CrossRef][Green Version]
- Grant, A.M.; Lindsay, S.; Mahmoud, S. Intestinal hemangioma presenting as recurrent hematochezia in a 6-week-old male. J. Pediatr. Surg. Case Rep. 2015, 3, 280–282. [Google Scholar]
- Elsayes, K.M.; Menias, C.O.; Dillman, J.R.; Platt, J.F.; Willatt, J.M.; Heiken, J.P. Vascular malformation and hemangiomatosis syndromes: Spectrum of imaging manifestations. AJR Am. J. Roentgenol. 2008, 190, 1291–1299. [Google Scholar] [CrossRef]
- Simms, S.M. Gastric hemangioma associated with phleboliths. Gastrointest. Radiol. 1985, 10, 51–53. [Google Scholar] [CrossRef]
- Djouhri, H.; Arrive, L.; Bouras, T.; Martin, B.; Monnier-Cholley, L.; Tubiana, J.M. MR imaging of diffuse cavernous hemangioma of the rectosigmoid colon. AJR 1998, 171, 413–417. [Google Scholar] [CrossRef] [PubMed]
- Oikawa-Kawamoto, M.; Sogo, T.; Yamaguchi, T.; Tsunoda, T.; Kondo, T.; Komatsu, H.; Inui, A.; Fujisawa, T. Safety and utility of capsule endoscopy for infants and young children. World J. Gastroenterol. 2013, 19, 8342–8348. [Google Scholar] [CrossRef] [PubMed]
- Kilcline, C.; Frieden, I.J. Infantile hemangiomas: How common are they? A systematic review of the medical literature. Pediatr. Dermatol. 2008, 25, 168–173. [Google Scholar] [CrossRef] [PubMed]








| Article by Year | Subject Age | Site and Type of Hemangioma | Presenting Symptoms | Therapy Intervention and Follow-Up |
|---|---|---|---|---|
| Han et al., 2014 [3] | 13 months/male | Jejunum/Cavernous hemangioma involving submucosa to the subserosa | Melena and nonbilious vomiting for 15 days | Resection/discharged on the seventh day and no further issues |
| 8 years/male | Rectum/Cavernous hemangioma | Hematochezia for 3 months | Resection/discharged on the twelfth day and no further issues | |
| 15 years/female | Jejunum, distal ileum/cavernous hemangioma | Dizziness | Resection/Recurrence of multiple hemangiomas in the stomach and small bowel 4 years later; no anemia or intestinal bleeding | |
| Rubinstein et al., 2014 [1] | 3 weeks/male | Omentum and mesentery/type not specified | Intra-abdominal hemorrhage | Oral propranolol |
| Karaseva et al., 2018 [7] | 11 years/male | Jejunum/Cavernous hemangioma | Chronic anemia and recurrent intestinal bleeding | Resection and end-to-end anastomosis |
| Jones et al., 2007 [19] | 1 year/female | Jejunum hemangioma/type not specified | Severe iron deficiency anemia and abdominal pain | Resection and end-to-end anastomosis Uneventful recovery No anemia at 6 months follow-up |
| 7 years/female | Jejunum hemangioma/type not specified | A 3-week history of lethargy and abdominal pain | Resection and end-to-end anastomosis Uneventful recovery No anemia at 6 months follow-up | |
| Shen et al., 2016 [11] | 15 years/female | Colonic hemangioma involving mucosa, submucosa, pericolic fat/type not specified | A 3-week history of the intermittent passage of bright red blood after defecation | Anterior resection and end-to-end anastomosis Full recovery No further bleeding |
| Kavin et al., 2006 [20] | 2.5 years/female | Jejunum/Mixed capillary hemangioma | Melenic stools | Resection/no further issues |
| Coleman et al., 2018 [21] | 2 years/female | Small bowel hemangioma/type not specified | Severe microcytic anemia and melenic stools | Resection of lesion/no further issues |
| Kim et al., 2004 [22] | 17 years/female | Diffuse hemangiomatosis, largely distributed in the stomach and colon/type not specified | Several months of refractory anemia and dizziness | Endoscopic ligation Improved anemia |
| Akcam et al., 2015 [23] | 16 years/male | Multiple cavernous hemangiomas in the stomach and colon | A 2-month history of fatigue and severe anemia | Oral propranolol 2 mg/kg/day After 8 months, hemangiomas volume significantly decreased |
| Bae et al., 2015 [12] | 13 years/male | Jejunum/Cavernous hemangioma | Recurrent iron-deficiency anemia, nausea, and dizziness | Resection/discharged after 7 days and no further issues |
| Turcotte et al., 2012 [24] | 16 years/female | Jejunum/Capillary hemangioma | Fatigue and weakness | Resection/no further issues and uneventful recovery |
| Stojsic et al., 2008 [8] | 13 years/female | Ileum/Capillary hemangioma, pyogenic | Intestinal obstruction | Resection/no further issues |
| Sakaguchi et al., 1998 [25] | 11 years/male | Ileum/Cavernous hemangioma | Recurrent anemia and abdominal pain | Resection/discharged after 7 days and no further issues. |
| Cura-Esquivel et al., 2021 [16] | 10 months/female | Mesentery hemangioma/type not specified | Hematochezia for 3 months and anemia | Oral propranolol 3 mg/kg/day After 6 months, hemangioma disappeared |
| Laarif et al., 2023 [10] | 13 weeks/female | Ileum hemangioma/type not specified | Bilious vomiting, rectal bleeding for 3 days and intestinal intussusception | Segmental ileal resection Good outcome at 6 months |
| Kumar et al., 2022 [26] | 4 months/male | Abdominal involuting hemangioma (liver surface)/capillary hemangioma | Bilious vomiting for 2 days and partial bowel obstruction | Resection of involuting lesion adhered to the liver Good outcome at 2 years |
| Kleinman et al., 2023 [27] | 3 months/female | Diffuse small bowel hemangioma (PHACE syndrome)/type not specified | PHACE syndrome symptoms (with cardiovascular anomalies, hemangioma)—limited access article | Oral propranolol and sirolimus (GI symptoms persisted under oral propranolol) The addition of sirolimus led to regression of hemangioma (first reported case) |
Disclaimer/Publisher’s Note: The statements, opinions and data contained in all publications are solely those of the individual author(s) and contributor(s) and not of MDPI and/or the editor(s). MDPI and/or the editor(s) disclaim responsibility for any injury to people or property resulting from any ideas, methods, instructions or products referred to in the content. |
© 2024 by the authors. Licensee MDPI, Basel, Switzerland. This article is an open access article distributed under the terms and conditions of the Creative Commons Attribution (CC BY) license (https://creativecommons.org/licenses/by/4.0/).
Share and Cite
Vlad, R.M.; Dobritoiu, R.; Niculescu, C.; Moga, A.; Balanescu, L.; Pacurar, D. From Severe Anemia to Intestinal Hemangiomatosis, a Bumpy Road—A Case Report and Literature Review. Diagnostics 2024, 14, 310. https://doi.org/10.3390/diagnostics14030310
Vlad RM, Dobritoiu R, Niculescu C, Moga A, Balanescu L, Pacurar D. From Severe Anemia to Intestinal Hemangiomatosis, a Bumpy Road—A Case Report and Literature Review. Diagnostics. 2024; 14(3):310. https://doi.org/10.3390/diagnostics14030310
Chicago/Turabian StyleVlad, Raluca Maria, Ruxandra Dobritoiu, Carmen Niculescu, Andreea Moga, Laura Balanescu, and Daniela Pacurar. 2024. "From Severe Anemia to Intestinal Hemangiomatosis, a Bumpy Road—A Case Report and Literature Review" Diagnostics 14, no. 3: 310. https://doi.org/10.3390/diagnostics14030310
APA StyleVlad, R. M., Dobritoiu, R., Niculescu, C., Moga, A., Balanescu, L., & Pacurar, D. (2024). From Severe Anemia to Intestinal Hemangiomatosis, a Bumpy Road—A Case Report and Literature Review. Diagnostics, 14(3), 310. https://doi.org/10.3390/diagnostics14030310

